Which of the following hematological malignancies is responsible for the finding shown in the image?

Which type of anemia is caused by iron deficiency?
A patient of multiple myeloma presents with bony lesions. What is the best prognostic marker for the disease?
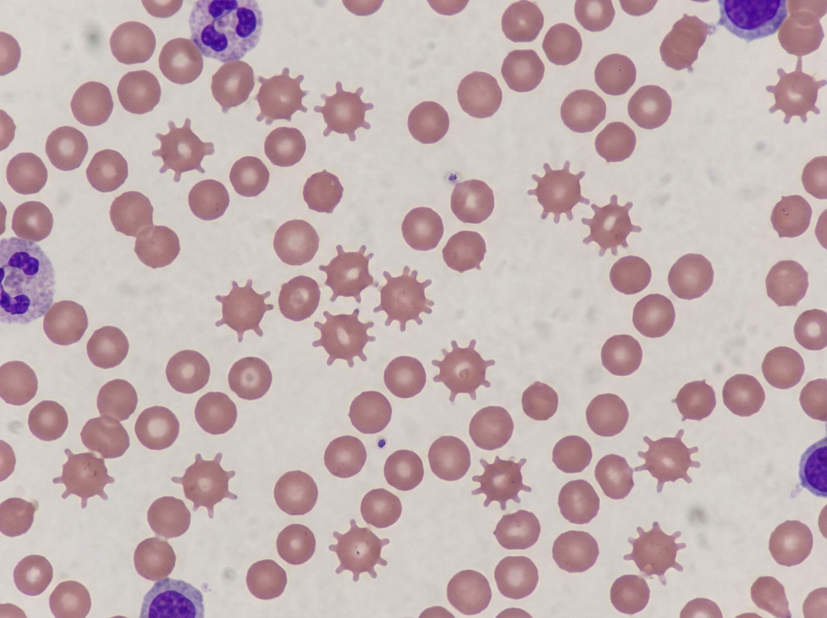
These types of RBCs are seen in which condition?

A patient has a deficiency of Von Willebrand factor. Which of the following abnormalities are seen in this patient?
In Promyelocytic Leukemia, which of the following is NOT a typical feature?
Which type of cell constitutes the largest population in the bone marrow?
ABO antigens are not seen in which of the following?
Diagnostic criteria of pure red cell aplasia (PRCA) includes all of the following, except:
Fanconi's anemia is classified as which of the following types of anemia?
Explanation: ***Acute myeloid leukemia (AML)*** - The image shows **Auer rods**, which are **pathognomonic** (diagnostic) for AML and represent abnormal **azurophilic granules** in myeloid blast cells. - These pink-red, needle-like cytoplasmic inclusions are **highly specific** for AML and help distinguish it from other leukemias on **peripheral blood smear**. *Myelodysplastic syndrome (MDS)* - MDS shows **dysplastic changes** in blood cells but typically lacks **blast cells with Auer rods**. - Characterized by **cytopenia** with **hypercellular bone marrow** and morphological abnormalities, not the acute blast proliferation seen here. *Childhood chronic myeloid leukemia (CML)* - CML presents with **mature granulocytes** at various stages of development, not primitive blast cells. - The **Philadelphia chromosome** (BCR-ABL) is characteristic, and **Auer rods are not found** in CML cells. *Acute lymphoblastic leukemia (ALL)* - ALL involves **lymphoid blasts** that are typically **smaller and more uniform** than myeloid blasts. - **Auer rods are absent** in ALL as they are specific to **myeloid lineage** malignancies, not lymphoid.
Explanation: ### Explanation **Correct Answer: B. Microcytic hypochromic anemia** Iron deficiency is the most common cause of anemia worldwide. Iron is a critical component of **heme**, which combines with globin chains to form hemoglobin [2]. When iron levels are low, hemoglobin synthesis is impaired. 1. **Microcytosis (Low MCV):** As hemoglobin production decreases, the developing red blood cells (RBCs) in the bone marrow undergo additional divisions to maintain a critical concentration of hemoglobin, resulting in smaller cells [1]. 2. **Hypochromia (Low MCHC):** Since hemoglobin provides the red color to the RBC, a deficiency leads to a pale appearance with an increased central pallor [1]. --- ### Analysis of Incorrect Options * **A. Megaloblastic anemia:** This is a macrocytic anemia (High MCV) caused by impaired DNA synthesis, typically due to **Vitamin B12 or Folic acid deficiency**. It is characterized by hypersegmented neutrophils and megaloblasts in the marrow. * **C. Macrocytic hypochromic anemia:** This is not a standard physiological classification. Macrocytic cells are usually normochromic. While some macrocytic states (like sideroblastic anemia) may show hypochromia, it is not the hallmark of iron deficiency. * **D. Microcytic hyperchromic anemia:** This is a physiological impossibility in most contexts. The only condition associated with "hyperchromia" (increased MCHC) is **Hereditary Spherocytosis**, due to membrane loss and cell dehydration, but these cells are typically normocytic or slightly microcytic [3]. --- ### NEET-PG High-Yield Pearls * **Earliest Sign:** The first laboratory sign of iron deficiency is a **decrease in Serum Ferritin** (reflecting depleted stores). * **Gold Standard Investigation:** Bone marrow aspiration with **Prussian Blue staining** (Perl’s stain) to assess marrow iron stores (though rarely done clinically). * **Blood Picture:** Look for **Anisopoikilocytosis** (variation in size/shape) and characteristic **Pencil cells** (elliptocytes) on the peripheral smear [1]. * **Mentzer Index:** (MCV/RBC count) < 13 suggests Thalassemia trait, while **> 13 suggests Iron Deficiency Anemia**. **References:** [1] Cross SS. Underwood's Pathology: A Clinical Approach. 6th ed. Common Clinical Problems From Blood And Bone Marrow Disease, pp. 590-591. [2] Cross SS. Underwood's Pathology: A Clinical Approach. 6th ed. Common Clinical Problems From Blood And Bone Marrow Disease, pp. 587-588. [3] Kumar V, Abbas AK, et al.. Robbins and Cotran Pathologic Basis of Disease. 9th ed. Red Blood Cell and Bleeding Disorders, p. 638.
Explanation: ### Explanation In Multiple Myeloma (MM), the most reliable and widely used independent prognostic marker is **Serum Beta-2 Microglobulin (̢2M)**. **Why Beta-2 Microglobulin is the Correct Answer:** Beta-2 microglobulin is a component of the Major Histocompatibility Complex (MHC) Class I molecule found on the surface of nucleated cells. In MM, its serum levels reflect the **total tumor burden** and the degree of **renal impairment** (as it is excreted by the kidneys). It is the cornerstone of the **International Staging System (ISS)** for Multiple Myeloma: * **Stage I:** ̢2M < 3.5 mg/L (Best prognosis) * **Stage III:** ̢2M ≥ 5.5 mg/L (Worst prognosis) **Analysis of Incorrect Options:** * **A. Bone marrow plasma cell percentage:** While used for diagnosis (≥10% for MM), it does not correlate as accurately with overall survival or prognosis as serum markers do [2]. * **B. Serum calcium level:** Hypercalcemia is a feature of the CRAB criteria (Calcium, Renal, Anemia, Bone) used to define end-organ damage, but it is a complication rather than a primary prognostic indicator [2]. * **D. Beta-1 microglobulin:** This is a distractor; it does not serve as a clinical marker for plasma cell dyscrasias. **High-Yield Clinical Pearls for NEET-PG:** * **Most sensitive marker for prognosis:** Serum Beta-2 Microglobulin. * **Other important prognostic factor:** Serum **Albumin** (included in ISS; higher levels indicate better prognosis). * **Revised ISS (R-ISS):** Now includes **LDH** levels and **Cytogenetics** (del 17p, t(4;14), and t(14;16) indicate poor prognosis). * **M-Spike:** Usually >3g/dL in MM [3]; most common immunoglobulin involved is **IgG**, followed by IgA [1]. **References:** [1] Cross SS. Underwood's Pathology: A Clinical Approach. 6th ed. Common Clinical Problems From Blood And Bone Marrow Disease, pp. 616-617. [2] Cross SS. Underwood's Pathology: A Clinical Approach. 6th ed. Common Clinical Problems From Blood And Bone Marrow Disease, pp. 617-618. [3] Kumar V, Abbas AK, et al.. Robbins and Cotran Pathologic Basis of Disease. 9th ed. Diseases of White Blood Cells, Lymph Nodes, Spleen, and Thymus, pp. 608-609.
Explanation: ***Chronic renal failure (CRF)*** - **Echinocytes** (burr cells) are the characteristic RBC morphology seen in **chronic renal failure** due to uremic toxins affecting the RBC membrane. - **Uremia** causes metabolic changes that alter RBC shape, creating the spiky appearance of echinocytes on peripheral blood smear. *Hereditary spherocytosis* - Characterized by **spherocytes** (round, dense RBCs without central pallor) due to **membrane protein defects**. - Results from deficiencies in **spectrin**, **ankyrin**, or other membrane proteins, not the spiky echinocytes seen in the question. *Myelofibrosis* -典型表现为 **teardrop cells** (dacrocytes) due to **bone marrow fibrosis** causing mechanical distortion of RBCs. - Associated with **leukoerythroblastic** blood picture and **extramedullary hematopoiesis**, not echinocytes. *Myelodysplastic syndrome* - Features **dysplastic RBCs** with various morphological abnormalities including **macro-ovalocytes** and **dimorphic populations**. - Characterized by **ineffective erythropoiesis** and clonal stem cell disorders, not the uniform echinocyte morphology.
Explanation: ### Explanation **1. Understanding the Correct Answer (Option C)** Von Willebrand Factor (vWF) has two primary roles: facilitating platelet adhesion to subendothelial collagen and acting as a carrier protein for **Factor VIII**, protecting it from degradation [1]. In most clinical scenarios and standard laboratory testing for vWF deficiency: * **PT (Prothrombin Time):** Measures the extrinsic and common pathways. It remains **normal** because vWF is not involved in these pathways. * **PTT (Partial Thromboplastin Time):** Measures the intrinsic pathway. While vWF stabilizes Factor VIII, the deficiency must be significant to prolong the PTT [1]. In many mild-to-moderate cases of Von Willebrand Disease (vWD), the residual Factor VIII levels are sufficient to keep the **PTT within the normal range**. Therefore, "Normal PT, Normal PTT" is the most characteristic finding in a stable patient, though PTT *can* be prolonged in severe cases (Type 3). **2. Why Other Options are Incorrect** * **Option A & B:** PT is never affected in vWD as the extrinsic pathway (Factor VII) and common pathway are intact. * **Option D:** While an "Increased PTT" is a classic textbook association due to low Factor VIII, it is **not always present**. In the context of multiple-choice questions where "Normal PT, Normal PTT" is an option, it emphasizes that vWD is primarily a **disorder of primary hemostasis** (platelet plug formation) rather than secondary hemostasis (clotting cascade) [2]. **3. NEET-PG High-Yield Pearls** * **Bleeding Time (BT):** This is the most consistent abnormality in vWD (Increased BT) because platelet adhesion is impaired [2]. * **Ristocetin Cofactor Assay:** The gold standard diagnostic test; it measures vWF-induced platelet agglutination. * **Treatment:** Desmopressin (DDAVP) is the drug of choice as it releases stored vWF from **Weibel-Palade bodies** in endothelial cells. * **Inheritance:** Most common inherited bleeding disorder (Autosomal Dominant). **References:** [1] Kumar V, Abbas AK, et al.. Robbins and Cotran Pathologic Basis of Disease. 9th ed. Red Blood Cell and Bleeding Disorders, pp. 669-670. [2] Kumar V, Abbas AK, et al.. Robbins and Cotran Pathologic Basis of Disease. 9th ed. Hemodynamic Disorders, Thromboembolic Disease, and Shock, p. 128.
Explanation: **Explanation:** Acute Promyelocytic Leukemia (APL), classified as AML-M3 in the FAB system, is a distinct subtype of leukemia characterized by the arrest of myeloid differentiation at the promyelocyte stage [1]. **Why Option C is the Correct Answer (The "NOT" feature):** In APL, the malignant cells typically show a **"maturation paradox"** regarding surface markers. APL cells are characteristically **CD34 negative** and **HLA-DR negative**. While they express myeloid markers like CD33 and CD13, the absence of CD34 (a stem cell marker) and HLA-DR is a classic immunophenotypic "high-yield" signature used to differentiate APL from other types of AML. CD15 expression is also typically weak or absent in the most primitive cells of APL. **Analysis of Incorrect Options:** * **Option A:** ATRA is the cornerstone of therapy. It works by binding to the altered RAR-alpha receptor, forcing the malignant promyelocytes to differentiate into mature neutrophils. * **Option B:** The genetic hallmark of APL is the **t(15;17)(q22;q12)** translocation [1], which fuses the *PML* gene on chromosome 15 with the *RARA* gene on chromosome 17. * **Option D:** APL is a medical emergency due to the high risk of **DIC**. The primary granules in promyelocytes contain procoagulants and fibrinolytic enzymes (like annexin II) that are released upon cell lysis, leading to life-threatening hemorrhage. **High-Yield Clinical Pearls for NEET-PG:** * **Morphology:** Look for **Auer rods**, often found in clusters called **"Faggot cells"** [1]. * **Variant:** The microgranular variant (M3v) presents with a high WBC count and folded/bilobed nuclei (resembling monocytes) but remains CD34 negative [1]. * **Treatment:** Combination of ATRA and Arsenic Trioxide (ATO) is now the standard of care. * **Complication:** Watch for **Differentiation Syndrome** (fever, pulmonary edema, pleural effusion) during ATRA treatment. **References:** [1] Kumar V, Abbas AK, et al.. Robbins and Cotran Pathologic Basis of Disease. 9th ed. Diseases of White Blood Cells, Lymph Nodes, Spleen, and Thymus, pp. 620-622.
Explanation: **Explanation:** In a normal bone marrow aspirate, the **Myeloid:Erythroid (M:E) ratio** typically ranges from **2:1 to 4:1**. This indicates that cells of the myeloid (granulocytic) lineage are significantly more numerous than erythroid cells. Within the myeloid series, the distribution follows a maturation pyramid where more mature, non-dividing cells accumulate in larger numbers than their immature precursors. **Why Metamyelocytes are the correct answer:** Metamyelocytes represent the stage where the "proliferative pool" ends and the "maturation (storage) pool" begins. Because they no longer undergo cell division but spend a significant amount of time maturing before entering the peripheral blood, they accumulate in the marrow. Quantitatively, **metamyelocytes constitute approximately 13–22%** of the total marrow differential, making them the single largest cell population. **Analysis of Incorrect Options:** * **Promyelocytes (A):** These are early precursors and constitute only about 1–5% of the marrow. [1] * **Erythroid cells (C):** While the total erythroid series is large, it is collectively smaller than the total myeloid series (due to the M:E ratio). Individually, stages like polychromatic normoblasts are numerous but do not exceed metamyelocytes. * **Myelocytes (D):** These are the last stage capable of mitosis. They are numerous (approx. 5–18%) but typically fewer than the subsequent metamyelocyte stage. **NEET-PG High-Yield Pearls:** * **Normal M:E Ratio:** 3:1 is the standard average. * **Increased M:E Ratio:** Seen in infections (leukemoid reaction), Myeloid Leukemias, or pure red cell aplasia. * **Decreased M:E Ratio:** Seen in Erythroid hyperplasia (e.g., hemolytic anemias, Megaloblastic anemia) or agranulocytosis. * **The "Maturation Pool":** Consists of metamyelocytes, band cells, and segmented neutrophils; this pool is roughly 15–20 times larger than the amount in peripheral blood. **References:** [1] Kumar V, Abbas AK, et al.. Robbins and Cotran Pathologic Basis of Disease. 9th ed. The Heart, pp. 588-590.
Explanation: ### Explanation The presence of ABO antigens in body fluids is determined by the **Se (Secretor) gene**. Approximately 80% of the population are "secretors," meaning they possess the *FUT2* gene, which allows for the expression of soluble A, B, and H antigens in various exocrine secretions. **1. Why CSF is the Correct Answer:** ABO antigens are primarily found on the surface of red blood cells, endothelial cells, and in epithelial secretions. However, they are **not found in the Cerebrospinal Fluid (CSF)**. The blood-brain barrier and the specific nature of the choroid plexus prevent these glycoproteins from being secreted into the CSF. Additionally, ABO antigens are absent from other specific tissues like the hair and compact bone. **2. Analysis of Incorrect Options:** * **Saliva (Option B):** This is the most common fluid used to determine secretor status. High concentrations of soluble antigens are found here in secretors. * **Semen (Option C):** ABO antigens are present in the seminal fluid of secretors. This is a high-yield fact in **Forensic Medicine** for identifying suspects from stains. * **Sweat (Option D):** ABO antigens are secreted by sweat glands and can be detected in perspiration, though in lower concentrations than saliva. **3. Clinical Pearls & High-Yield Facts for NEET-PG:** * **Secretor Status:** Controlled by the *Se* gene (FUT2) on chromosome 19. * **Universal Presence:** ABO antigens are not just on RBCs; they are "histo-blood group antigens" found on most epithelial and endothelial cells. * **Forensic Significance:** The presence of antigens in saliva, semen, and vaginal secretions allows for blood grouping from non-blood samples (Absorption-Elution method). * **The "Non-Secretor" (20%):** These individuals lack the *Se* gene and will not have ABO antigens in their body fluids, even if they have them on their RBCs.
Explanation: **Explanation:** **Pure Red Cell Aplasia (PRCA)** is a rare hematological syndrome characterized by a selective and severe deficiency in erythroid precursors in the bone marrow, while the production of leukocytes and platelets remains preserved [1]. **Why Thrombocytopenia is the Correct Answer:** The hallmark of PRCA is the **isolation** of the erythroid defect. By definition, granulopoiesis (white cells) and megakaryopoiesis (platelets) are normal. Therefore, **thrombocytopenia** (low platelet count) is not a feature of PRCA. If a patient presents with anemia along with thrombocytopenia or leukopenia, the diagnosis shifts toward Aplastic Anemia or Myelodysplastic Syndrome (MDS). **Analysis of Incorrect Options:** * **Severe Anemia:** This is the primary clinical manifestation. Patients typically present with symptomatic normocytic, normochromic anemia due to the cessation of red cell production. * **Reticulocyte count < 1%:** Since there is a maturation arrest or absence of erythroid precursors in the marrow, the output of new red cells into the blood is near zero, leading to profound reticulocytopenia (typically <0.5% or <10,000/µL). * **Normocellular Marrow:** Unlike Aplastic Anemia (where the marrow is hypocellular and fatty), the marrow in PRCA is generally normocellular. The diagnostic finding is the near-complete absence of erythroid precursors (<0.5% to 1%) amidst normal myeloid and megakaryocytic lineages. **High-Yield Clinical Pearls for NEET-PG:** * **Associations:** PRCA is strongly associated with **Thymoma** (10-15% of cases). Removal of the thymoma can lead to remission. * **Infections:** Acute self-limiting PRCA is often caused by **Parvovirus B19**, which targets the P-antigen on proerythroblasts (look for **References:** [1] Cross SS. Underwood's Pathology: A Clinical Approach. 6th ed. Common Clinical Problems From Blood And Bone Marrow Disease, pp. 595-596.
Explanation: **Explanation:** **Fanconi’s Anemia (FA)** is the most common cause of **inherited (constitutional) aplastic anemia** [1]. It is an autosomal recessive (rarely X-linked) DNA repair defect characterized by hypersensitivity to DNA cross-linking agents. 1. **Why Option A is correct:** The term "Constitutional" refers to conditions that are congenital or genomic in origin. FA is classified as a constitutional anemia because it is a genetic syndrome leading to progressive bone marrow failure [1]. It typically presents in the first decade of life with pancytopenia and macrocytosis [2]. 2. **Why other options are incorrect:** * **B. Hemolytic Anemia:** FA involves a production defect (hypoplasia), not the premature destruction of red cells. [3] * **C. Iron Deficiency Anemia:** This is a microcytic nutritional anemia caused by blood loss or poor intake, whereas FA is a normocytic to macrocytic marrow failure syndrome [2]. * **D. Autoimmune Anemia:** While acquired aplastic anemia is often T-cell mediated (autoimmune), FA is strictly a genetic defect in the FANC protein complex [1]. **Clinical Pearls for NEET-PG:** * **Physical Findings:** Short stature, **absent/hypoplastic thumbs**, radius malformations, and **café-au-lait spots**. * **Gold Standard Diagnosis:** **Chromosomal Breakage Analysis** (using Diepoxybutane or Mitomycin C). * **Malignancy Risk:** Patients have a significantly high risk of developing **AML** (Acute Myeloid Leukemia) and squamous cell carcinomas (head, neck, and anogenital). * **Pathogenesis:** Defect in the **FA pathway**, which is responsible for repairing interstrand DNA cross-links. **References:** [1] Cross SS. Underwood's Pathology: A Clinical Approach. 6th ed. Common Clinical Problems From Blood And Bone Marrow Disease, pp. 595-596. [2] Kumar V, Abbas AK, et al.. Robbins and Cotran Pathologic Basis of Disease. 9th ed. Red Blood Cell and Bleeding Disorders, pp. 662-663. [3] Kumar V, Abbas AK, et al.. Robbins and Cotran Pathologic Basis of Disease. 9th ed. Red Blood Cell and Bleeding Disorders, p. 638.
Anemias: Classification and Approach
Practice Questions
Hemolytic Anemias
Practice Questions
Myeloproliferative Neoplasms
Practice Questions
Myelodysplastic Syndromes
Practice Questions
Acute Leukemias
Practice Questions
Chronic Leukemias
Practice Questions
Lymphomas and Lymphoid Neoplasms
Practice Questions
Plasma Cell Disorders
Practice Questions
Bleeding Disorders
Practice Questions
Thrombotic Disorders
Practice Questions
Get full access to all questions, explanations, and performance tracking.
Start For Free