Disseminated Intravascular Coagulation (DIC) is seen with all of the following conditions EXCEPT:
Which anticoagulant is used for chelating calcium?
Which of the following conditions predisposes to leukemia?
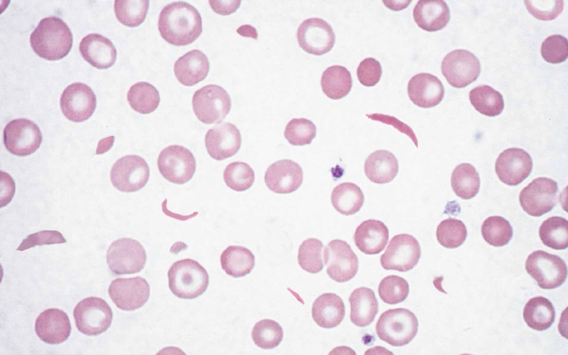
Which organ is most commonly affected in the disorder characterized by the given peripheral blood smear findings?

In leucopenia, which white blood cell type is predominantly involved?
Which cell is not seen in Hodgkin lymphoma?
Lupus anticoagulants may cause all of the following except:
Reticulocytes are stained with which of the following reagents?
Which of the viruses is not commonly implicated in the pathogenesis of Non-Hodgkin's lymphomas?
Histiocytosis X is a spectrum of disorders that includes which of the following conditions?
Explanation: **Explanation:** Disseminated Intravascular Coagulation (DIC) is a thrombohemorrhagic disorder characterized by the systemic activation of the coagulation cascade, leading to widespread fibrin deposition and subsequent consumption of platelets and clotting factors [4]. **Why Option D is the Correct Answer:** **Overdosage with Vitamin K** does not cause DIC. Vitamin K is a fat-soluble vitamin essential for the gamma-carboxylation (activation) of Clotting Factors II, VII, IX, and X, as well as Proteins C and S [2], [5]. An overdose of Vitamin K may lead to a hypercoagulable state or interfere with warfarin therapy, but it does not trigger the systemic, uncontrolled consumption of factors seen in DIC. **Why the other options are wrong (Causes of DIC):** * **Accidental Hemorrhage (Abruptio Placentae):** This is a classic trigger for DIC. The premature separation of the placenta releases massive amounts of **tissue thromboplastin** (Tissue Factor) into the maternal circulation, activating the extrinsic pathway [3]. * **Amniotic Fluid Embolism:** This is an obstetric emergency where amniotic fluid enters maternal circulation. The fluid contains procoagulant substances and tissue factor that trigger rapid, severe DIC [1], [3]. * **Black Water Fever:** This is a complication of *Plasmodium falciparum* malaria characterized by massive intravascular hemolysis. The release of erythrocyte stroma and procoagulant phospholipids acts as a trigger for DIC. **High-Yield Clinical Pearls for NEET-PG:** * **Most common cause of DIC:** Gram-negative sepsis (due to Endotoxins/LPS) [3]. * **Best Screening Test:** Platelet count (decreased) and PT/aPTT (prolonged) [4]. * **Most Specific Test:** **D-dimer levels** (elevated), indicating fibrinolysis of cross-linked fibrin. * **Peripheral Smear:** Characterized by **Schistocytes** (fragmented RBCs) due to microangiopathic hemolytic anaemia (MAHA) [4]. **References:** [1] Cross SS. Underwood's Pathology: A Clinical Approach. 6th ed. (Basic Pathology) introduces the student to key general principles of pathology, both as a medical science and as a clinical activity with a vital role in patient care. Part 2 (Disease Mechanisms) provides fundamental knowledge about the cellular and molecular processes involved in diseases, providing the rationale for their treatment. Part 3 (Systematic Pathology) deals in detail with specific diseases, with emphasis on the clinically important aspects., pp. 151-152. [2] Cross SS. Underwood's Pathology: A Clinical Approach. 6th ed. Common Clinical Problems From Blood And Bone Marrow Disease, pp. 582-583. [3] Kumar V, Abbas AK, et al.. Robbins and Cotran Pathologic Basis of Disease. 9th ed. Red Blood Cell and Bleeding Disorders, pp. 671-672. [4] Cross SS. Underwood's Pathology: A Clinical Approach. 6th ed. Common Clinical Problems From Blood And Bone Marrow Disease, pp. 625-626. [5] Cross SS. Underwood's Pathology: A Clinical Approach. 6th ed. Common Clinical Problems From Blood And Bone Marrow Disease, pp. 624-625.
Explanation: **Explanation:** The coagulation cascade is a calcium-dependent process; specifically, **Factor IV (Calcium)** is essential for several steps in the clotting pathway [1]. To prevent blood from clotting in vitro, anticoagulants must either remove or neutralize these calcium ions. **Mechanism of Action:** The correct answer is **"All of the above"** because EDTA, Oxalate, and Sodium Citrate all function by **chelating (binding) calcium**, thereby making it unavailable for the coagulation cascade. * **EDTA (Ethylenediamine Tetraacetic Acid):** The most common anticoagulant for routine hematology (CBC). It chelates calcium ions effectively, preserving cell morphology. * **Sodium Citrate:** Used for coagulation studies (PT/APTT) and blood transfusion bags. It binds calcium to form a soluble complex. It is preferred for coagulation tests because the process is reversible by adding back calcium. * **Oxalates:** (e.g., Potassium oxalate) These combine with calcium to form an insoluble precipitate of calcium oxalate, effectively removing it from the plasma. **Why other options are "wrong" as standalone answers:** While A, B, and C are all individually correct in their mechanism, the question asks which anticoagulant is used for this purpose. Since all three share the same fundamental mechanism of calcium chelation/removal, "All of the above" is the most accurate choice. **High-Yield Clinical Pearls for NEET-PG:** * **EDTA:** Best for morphology; however, it can cause "Platelet Satellitism" (an in-vitro artifact leading to pseudothrombocytopenia). * **Sodium Citrate:** The ratio for coagulation studies is **1:9** (anticoagulant to blood). For ESR (Westergren method), the ratio is **1:4**. * **Heparin:** Unlike the others, Heparin does **not** chelate calcium. It works by activating **Antithrombin III**, which inhibits Thrombin and Factor Xa [2]. It is the anticoagulant of choice for arterial blood gas (ABG) analysis. **References:** [1] Kumar V, Abbas AK, et al.. Robbins and Cotran Pathologic Basis of Disease. 9th ed. Hemodynamic Disorders, Thromboembolic Disease, and Shock, pp. 126-130. [2] Cross SS. Underwood's Pathology: A Clinical Approach. 6th ed. Common Clinical Problems From Blood And Bone Marrow Disease, pp. 583-584.
Explanation: **Explanation:** The question asks for the condition that **predisposes** to leukemia. While several factors are associated with leukemogenesis, the correct answer in this context is **Infectious Mononucleosis (IM)**. **1. Why Infectious Mononucleosis is the Correct Answer:** Infectious Mononucleosis is caused by the **Epstein-Barr Virus (EBV)**. EBV is a potent oncogenic virus that infects B-lymphocytes via the CD21 receptor [3]. It drives B-cell proliferation and is strongly associated with the development of various hematological malignancies, most notably **Burkitt Lymphoma** (a high-grade B-cell leukemia/lymphoma) and Hodgkin Lymphoma [1]. In the context of "predisposing to leukemia," EBV’s ability to immortalize B-cells is the key underlying mechanism [4]. **2. Analysis of Incorrect Options:** * **Ionizing Radiation (A):** While radiation is a known risk factor for AML and CML [2], it is considered an **extrinsic etiological agent** rather than a predisposing clinical "condition" or disease state [5]. * **Myelofibrosis (B) & Polycythemia Vera (D):** These are Myeloproliferative Neoplasms (MPNs). While they can *transform* into Acute Myeloid Leukemia (Blast Crisis), they are technically already considered "pre-leukemic" or chronic malignant states themselves. In standard MCQ patterns, viral triggers like EBV are frequently highlighted as predisposing biological factors. **High-Yield Clinical Pearls for NEET-PG:** * **EBV Associations:** Burkitt Lymphoma (t(8;14)), Nasopharyngeal Carcinoma, and Primary CNS Lymphoma in HIV patients. * **Atypical Lymphocytes:** In IM, the "Downey cells" seen on peripheral smear are actually **CD8+ T-cells** reacting against infected B-cells. * **Other Predisposing Conditions:** Down Syndrome (increased risk of ALL and AML-M7), Fanconi Anemia, and Bloom Syndrome. **References:** [1] Cross SS. Underwood's Pathology: A Clinical Approach. 6th ed. (Basic Pathology) introduces the student to key general principles of pathology, both as a medical science and as a clinical activity with a vital role in patient care. Part 2 (Disease Mechanisms) provides fundamental knowledge about the cellular and molecular processes involved in diseases, providing the rationale for their treatment. Part 3 (Systematic Pathology) deals in detail with specific diseases, with emphasis on the clinically important aspects., pp. 219-220. [2] Kumar V, Abbas AK, et al.. Robbins and Cotran Pathologic Basis of Disease. 9th ed. Diseases of White Blood Cells, Lymph Nodes, Spleen, and Thymus, pp. 595-596. [3] Kumar V, Abbas AK, et al.. Robbins and Cotran Pathologic Basis of Disease. 9th ed. Infectious Diseases, pp. 368-369. [4] Kumar V, Abbas AK, et al.. Robbins and Cotran Pathologic Basis of Disease. 9th ed. Neoplasia, pp. 335-336. [5] Cross SS. Underwood's Pathology: A Clinical Approach. 6th ed. (Basic Pathology) introduces the student to key general principles of pathology, both as a medical science and as a clinical activity with a vital role in patient care. Part 2 (Disease Mechanisms) provides fundamental knowledge about the cellular and molecular processes involved in diseases, providing the rationale for their treatment. Part 3 (Systematic Pathology) deals in detail with specific diseases, with emphasis on the clinically important aspects., pp. 220-221.
Explanation: ***Spleen*** - The spleen is the **most commonly affected organ** in sickle cell disease due to **vaso-occlusive crises** causing repeated infarction and congestion. - Early in the disease, the spleen undergoes **sequestration crises**, and later develops **autosplenectomy** from repeated sickling episodes. *Lungs* - While **acute chest syndrome** can occur in sickle cell disease, it is not the most commonly affected organ overall. - Pulmonary complications are **episodic** rather than the primary site of chronic organ damage. *Kidney* - **Nephropathy** can develop in sickle cell disease due to chronic hypoxia and sickling in renal medulla. - However, renal involvement typically occurs **later in the disease course** and is less frequent than splenic complications. *Liver* - **Hepatic sequestration** and cholestasis can occur but are **less common** than splenic involvement. - Liver complications are usually **secondary** to hemolysis and transfusion-related iron overload rather than primary sickling effects.
Explanation: **Explanation:** **Leucopenia** is defined as a decrease in the total white blood cell (WBC) count below the normal range (typically <4,000/mm³). While a decrease in any WBC subtype can contribute to leucopenia, it is **predominantly caused by a reduction in granulocytes**, specifically **neutrophils** (neutropenia) [2]. Since neutrophils are the most abundant leucocytes in the peripheral blood (50-70%), their fluctuation has the most significant impact on the total WBC count [2]. **Analysis of Options:** * **B. Granulocytes (Correct):** This category includes neutrophils, eosinophils, and basophils. Neutropenia is the most common clinical cause of leucopenia, often resulting from reduced production (e.g., drug-induced bone marrow suppression) or increased peripheral destruction [1]. * **A. Erythrocytes:** These are red blood cells (RBCs). A decrease in erythrocytes is termed **anemia**, not leucopenia. * **C. Eosinophils:** While a decrease in eosinophils (eosinopenia) can occur (e.g., in Cushing syndrome or acute stress), they constitute only 1-4% of the total WBC count. Their reduction does not significantly lower the total leucocyte count compared to granulocytes. * **D. Monocytes:** Monocytopenia is rare and typically associated with specific conditions like hairy cell leukemia or MAC infections, but it is not the primary driver of general leucopenia. **High-Yield Clinical Pearls for NEET-PG:** * **Agranulocytosis:** A severe form of neutropenia where the count drops below **500 cells/mm³**, making the patient highly susceptible to fulminant bacterial and fungal infections. * **Common Causes:** Drugs are a frequent culprit (e.g., Clozapine, Antithyroid drugs like Methimazole, and Chemotherapy) [1]. * **Morphology:** In drug-induced agranulocytosis, the bone marrow may show a "maturation arrest" at the promyelocyte stage [1]. **References:** [1] Kumar V, Abbas AK, et al.. Robbins and Cotran Pathologic Basis of Disease. 9th ed. The Heart, pp. 590-592. [2] Cross SS. Underwood's Pathology: A Clinical Approach. 6th ed. Common Clinical Problems From Blood And Bone Marrow Disease, pp. 578-579.
Explanation: **Explanation:** The correct answer is **D. Langerhans cell**. This question tests the ability to distinguish between the specific neoplastic cells of Hodgkin Lymphoma (HL) and cells belonging to the dendritic cell lineage. **1. Why Langerhans cell is the correct answer:** Langerhans cells are specialized antigen-presenting dendritic cells normally found in the stratum spinosum of the epidermis [1]. In pathology, they are the hallmark of **Langerhans Cell Histiocytosis (LCH)**, characterized by Birbeck granules (tennis-racket shape) on electron microscopy and CD1a/S100/Langerin positivity [1]. They have no primary role in the pathogenesis or diagnosis of Hodgkin Lymphoma. **2. Why the other options are incorrect:** * **Reed-Sternberg (RS) cell:** The diagnostic hallmark of Classical Hodgkin Lymphoma (CHL). It is a large, multinucleated cell with prominent "owl-eye" nucleoli [2], [3]. * **Lacunar cell:** A variant of the RS cell seen specifically in **Nodular Sclerosis HL**. During formalin fixation, the cytoplasm retracts, leaving the nucleus in a clear space or "lacuna" [2]. * **L&H cell (Lymphocytic and Histiocytic cell):** Also known as the **"Popcorn cell,"** this is the characteristic neoplastic cell of **Nodular Lymphocyte Predominant Hodgkin Lymphoma (NLPHL)** [4]. Unlike classical RS cells, these are CD20 positive and CD15/CD30 negative [4]. **High-Yield Clinical Pearls for NEET-PG:** * **Classical HL Markers:** CD15+, CD30+, CD45–. * **NLPHL (Popcorn cell) Markers:** CD20+, CD45+, CD15–, CD30– [4]. * **Most common subtype:** Nodular Sclerosis (often presents with mediastinal mass in young females). * **Best prognosis:** Lymphocyte Rich; **Worst prognosis:** Lymphocyte Depleted. * **EBV Association:** Highest in Mixed Cellularity subtype. **References:** [1] Kumar V, Abbas AK, et al.. Robbins and Cotran Pathologic Basis of Disease. 9th ed. Diseases of White Blood Cells, Lymph Nodes, Spleen, and Thymus, pp. 629-630. [2] Kumar V, Abbas AK, et al.. Robbins and Cotran Pathologic Basis of Disease. 9th ed. Diseases of White Blood Cells, Lymph Nodes, Spleen, and Thymus, p. 616. [3] Kumar V, Abbas AK, et al.. Robbins and Cotran Pathologic Basis of Disease. 9th ed. Diseases of White Blood Cells, Lymph Nodes, Spleen, and Thymus, pp. 614-616. [4] Kumar V, Abbas AK, et al.. Robbins and Cotran Pathologic Basis of Disease. 9th ed. Diseases of White Blood Cells, Lymph Nodes, Spleen, and Thymus, p. 618.
Explanation: **Explanation:** Lupus Anticoagulant (LA) is a misnomer. While it acts as an anticoagulant *in vitro*, it is a potent prothrombotic agent *in vivo*. It belongs to the Antiphospholipid Antibody Syndrome (APS) spectrum. **Why "Increased Prothrombin Time" is the correct answer:** Lupus anticoagulants are antibodies directed against phospholipids and phospholipid-binding proteins. In laboratory testing, they interfere with phospholipid-dependent coagulation assays [1], [2]. This characteristically causes a **prolonged Activated Partial Thromboplastin Time (aPTT)**, not Prothrombin Time (PT). PT remains typically normal because the concentration of phospholipids used in the PT reagent (thromboplastin) is high enough to override the inhibitory effect of the antibodies. **Analysis of Incorrect Options:** * **Recurrent abortion:** APS is a leading cause of pregnancy morbidity. LA causes placental infarction and spiral artery thrombosis, leading to recurrent miscarriages (usually after 10 weeks) [1]. * **False positive VDRL:** The VDRL/RPR test uses cardiolipin as an antigen. Since LA patients often have anti-cardiolipin antibodies, they may show a "biological false positive" for syphilis [2]. * **Arterial thrombosis:** Despite the name "anticoagulant," LA promotes a hypercoagulable state leading to both venous (DVT/PE) and arterial (stroke/MI) thrombosis [1], [2]. **High-Yield Clinical Pearls for NEET-PG:** * **The Paradox:** LA causes a **prolonged aPTT** in the lab but **thrombosis** in the patient [1]. * **Mixing Study:** If aPTT is prolonged due to LA, it **will not correct** upon mixing with normal plasma (unlike factor deficiencies). * **Confirmatory Test:** Dilute Russell Viper Venom Time (dRVVT) is the most sensitive screening test for LA. * **Diagnostic Criteria:** Requires at least one clinical criteria (thrombosis or pregnancy loss) and one laboratory criteria (LA, anti-cardiolipin, or anti-β2-glycoprotein I antibodies) positive on two occasions 12 weeks apart [1]. **References:** [1] Cross SS. Underwood's Pathology: A Clinical Approach. 6th ed. Common Clinical Problems From Blood And Bone Marrow Disease, pp. 626-627. [2] Kumar V, Abbas AK, et al.. Robbins and Cotran Pathologic Basis of Disease. 9th ed. Hemodynamic Disorders, Thromboembolic Disease, and Shock, pp. 134-135.
Explanation: **Explanation:** Reticulocytes are immature red blood cells that contain residual ribosomal RNA (rRNA). Because these cells lack a nucleus, they cannot be identified on a standard Leishman or Wright stain (where they appear as polychromatic cells). To visualize the characteristic "reticulum" or network of RNA, **Supravital Staining** is required [1]. **1. Why Brilliant Cresyl Blue is correct:** Supravital stains are applied to living, unfixed cells. Reagents like **Brilliant Cresyl Blue** or **New Methylene Blue** penetrate the living cell membrane and cause the acidic ribosomal RNA to aggregate and precipitate into a visible blue-stained network or granules [1]. This allows for an accurate reticulocyte count, which is the best indicator of bone marrow erythropoietic activity. **2. Analysis of Incorrect Options:** * **Methyl Violet:** Used primarily to visualize **Heinz bodies** (denatured hemoglobin) in conditions like G6PD deficiency. * **Sudan Black:** A lipid-soluble stain used to identify myeloblasts in **Acute Myeloid Leukemia (AML)**; it stains the phospholipid membranes of primary granules. * **Indigo Carmine:** A dye used primarily in surgery and urology to highlight urinary tract patency or as a marker for chromoendoscopy; it has no role in hematological cell staining. **3. NEET-PG High-Yield Pearls:** * **Supravital Stains:** Remember the duo—**New Methylene Blue** (preferred/more stable) and **Brilliant Cresyl Blue**. * **Reticulocyte Index (RI):** In anemia, always look for the "Corrected Reticulocyte Count." An RI > 2-3% indicates a brisk marrow response (e.g., hemolysis or acute blood loss). * **Miller Disc:** An optical tool used in the eyepiece of a microscope to standardize the manual counting of reticulocytes. **References:** [1] Cross SS. Underwood's Pathology: A Clinical Approach. 6th ed. Common Clinical Problems From Blood And Bone Marrow Disease, pp. 578-579.
Explanation: **Explanation:** The pathogenesis of Non-Hodgkin’s Lymphoma (NHL) is frequently linked to oncogenic viruses that drive malignant transformation through chronic inflammation or direct integration into the host genome. **Cytomegalovirus (CMV)** is the correct answer because, while it is a significant cause of morbidity in immunocompromised patients (causing retinitis, pneumonitis, or colitis), it is **not** an oncogenic virus and is not implicated in the development of lymphomas. **Analysis of Incorrect Options:** * **HTLV-1:** A retrovirus strongly associated with **Adult T-cell Leukemia/Lymphoma (ATLL)** [4]. It utilizes the *Tax* protein to stimulate cell proliferation and inhibit DNA repair. * **EBV (HHV-4):** One of the most common oncogenic viruses [2]. It is implicated in **Burkitt Lymphoma** (especially the endemic variant), Hodgkin Lymphoma, and **Diffuse Large B-cell Lymphoma (DLBCL)**, particularly in HIV patients [3], [5]. * **HHV-8 (KSHV):** This virus is the primary causative agent of **Primary Effusion Lymphoma (PEL)** and Multicentric Castleman Disease, in addition to Kaposi Sarcoma [1], [4]. **High-Yield Clinical Pearls for NEET-PG:** * **Hepatitis C Virus (HCV):** Associated with **Splenic Marginal Zone Lymphoma** and Lymphoplasmacytic Lymphoma [4]. * ***H. pylori*:** Though a bacterium, it is a high-yield association for **Gastric MALToma**. * **Burkitt Lymphoma:** Look for the "Starry Sky" appearance on histology and the **t(8;14)** translocation involving the *c-myc* gene [5]. * **HTLV-1** is endemic in parts of Japan, the Caribbean, and Africa; look for "flower cells" on peripheral smears [4]. **References:** [1] Kumar V, Abbas AK, et al.. Robbins and Cotran Pathologic Basis of Disease. 9th ed. Diseases of White Blood Cells, Lymph Nodes, Spleen, and Thymus, pp. 595-596. [2] Kumar V, Abbas AK, et al.. Robbins and Cotran Pathologic Basis of Disease. 9th ed. Diseases of the Immune System, pp. 261-262. [3] Kumar V, Abbas AK, et al.. Robbins and Cotran Pathologic Basis of Disease. 9th ed. Diseases of the Immune System, pp. 262-263. [4] Cross SS. Underwood's Pathology: A Clinical Approach. 6th ed. (Basic Pathology) introduces the student to key general principles of pathology, both as a medical science and as a clinical activity with a vital role in patient care. Part 2 (Disease Mechanisms) provides fundamental knowledge about the cellular and molecular processes involved in diseases, providing the rationale for their treatment. Part 3 (Systematic Pathology) deals in detail with specific diseases, with emphasis on the clinically important aspects., pp. 219-220. [5] Kumar V, Abbas AK, et al.. Robbins and Cotran Pathologic Basis of Disease. 9th ed. Neoplasia, pp. 335-336.
Explanation: **Explanation:** **Histiocytosis X**, now more commonly known as **Langerhans Cell Histiocytosis (LCH)**, is a group of idiopathic disorders characterized by the abnormal proliferation of Langerhans cells (dendritic cells) [1]. These cells are identified by their characteristic "coffee-bean" nuclei and **Birbeck granules** (tennis-racket shaped) on electron microscopy [1]. The spectrum of Histiocytosis X includes three distinct clinical entities based on the extent of involvement and age of onset: 1. **Letterer-Siwe Disease (Option C):** The most severe form, typically seen in infants (<2 years). it is a **multifocal, multisystem** disorder involving the skin (seborrheic-like rash), organs (hepatosplenomegaly), and bone marrow. It carries a poor prognosis. 2. **Hand-Schüller-Christian Disease (Option B):** A **multifocal, unisystem** variant usually seen in children. It is classically defined by a high-yield triad: **Calvarial bone defects, Exophthalmos, and Diabetes Insipidus** (due to pituitary involvement). 3. **Eosinophilic Granuloma (Option A):** The mildest and most common form, usually **unifocal**. It typically presents as a solitary osteolytic lesion in the skull, ribs, or femur in older children or young adults. Since all three conditions are part of the Histiocytosis X spectrum, **Option D** is the correct answer. **High-Yield NEET-PG Pearls:** * **Immunohistochemistry (IHC):** LCH cells are characteristically positive for **CD1a, S100, and CD207 (Langerin)** [1]. Langerin is the most specific marker. * **Radiology:** Bone lesions are typically "punched-out" lytic lesions without a sclerotic rim. * **Morphology:** On H&E stain, look for "grooved" or "folded" nuclei resembling coffee beans [1]. **References:** [1] Kumar V, Abbas AK, et al.. Robbins and Cotran Pathologic Basis of Disease. 9th ed. Diseases of White Blood Cells, Lymph Nodes, Spleen, and Thymus, pp. 629-630.
Anemias: Classification and Approach
Practice Questions
Hemolytic Anemias
Practice Questions
Myeloproliferative Neoplasms
Practice Questions
Myelodysplastic Syndromes
Practice Questions
Acute Leukemias
Practice Questions
Chronic Leukemias
Practice Questions
Lymphomas and Lymphoid Neoplasms
Practice Questions
Plasma Cell Disorders
Practice Questions
Bleeding Disorders
Practice Questions
Thrombotic Disorders
Practice Questions
Get full access to all questions, explanations, and performance tracking.
Start For Free