Hairy cell leukemia is which type of tumor?
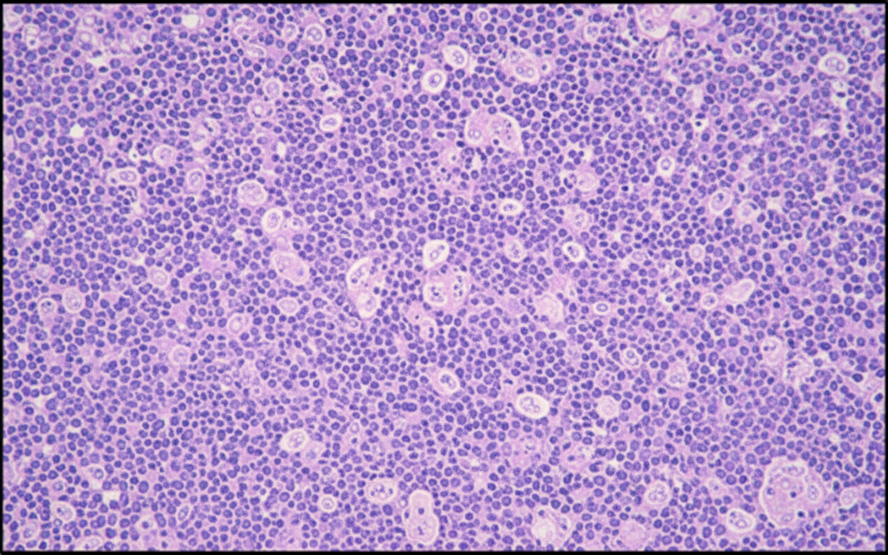
The histological feature shown is seen in which of the following conditions?

Which of the following statements regarding leukemias is true?
Low LAP score may be seen in the following EXCEPT:
Which of the following toxic states is not associated with anemia?
Which is the most immunogenic RBC blood group system among the given options?
Pancytopenia with hypercellular marrow may be seen due to all of the following except:
Which of the following are types of Hodgkin's lymphoma?
A 36-year-old male presents with weakness, pallor, and bleeding gums. His HB was 7 g/dL, total leukocyte count was 110,000/mm³ with many immature white blood cells positive for MPO, and platelet count was 22,000/mm³. What is the most likely diagnosis?
Microangiopathic hemolytic anemia (MAHA) is a component of all of the following, except?
Explanation: **Explanation:** **Hairy Cell Leukemia (HCL)** is a rare, chronic lymphoproliferative disorder characterized by the proliferation of mature, small B-lymphocytes with characteristic "hairy" cytoplasmic projections [1]. **Why Option A is Correct:** HCL is definitively a **B-cell neoplasm**. The cells express pan-B-cell markers such as **CD19, CD20, and CD22**. More specifically, HCL is identified by the highly specific expression of **CD11c, CD25, CD103, and CD123**. The underlying molecular hallmark in nearly 100% of cases is the **BRAF V600E mutation**, which leads to constitutive activation of the RAF-MEK-ERK pathway, driving B-cell proliferation. **Why Other Options are Incorrect:** * **Option B & C:** While T-cell and NK-cell leukemias exist (e.g., T-cell Prolymphocytic Leukemia or Large Granular Lymphocytic Leukemia), HCL is strictly a B-lineage malignancy. There is no T-cell or NK-cell variant of classic Hairy Cell Leukemia. **High-Yield Clinical Pearls for NEET-PG:** * **Clinical Triad:** Splenomegaly (often massive), Pancytopenia, and "Dry tap" on bone marrow aspiration due to associated **reticulin fibrosis** [1]. * **Morphology:** Cells show "fried egg appearance" in bone marrow biopsies. * **Cytochemistry:** Historically diagnosed using **TRAP (Tartrate-Resistant Acid Phosphatase)** positivity, though flow cytometry is now the gold standard. * **Treatment:** Highly sensitive to purine analogs like **Cladribine** (Drug of Choice) and Pentostatin. * **Key Association:** Unlike most leukemias, HCL is notably associated with **monocytopenia**. **References:** [1] Kumar V, Abbas AK, et al.. Robbins and Cotran Pathologic Basis of Disease. 9th ed. Diseases of White Blood Cells, Lymph Nodes, Spleen, and Thymus, p. 612.
Explanation: ***Burkitt's lymphoma*** - The **"starry sky" pattern** is pathognomonic for Burkitt's lymphoma, characterized by **tingible body macrophages** scattered among sheets of **monomorphic lymphoid cells**. - This high-grade B-cell lymphoma shows **rapid cell turnover** with macrophages phagocytosing apoptotic debris, creating the distinctive starry appearance. *Hodgkin's lymphoma* - Distinguished by the presence of **Reed-Sternberg cells** (large, multinucleated giant cells) which are absent in the starry sky pattern. - Shows **mixed inflammatory infiltrate** including eosinophils, plasma cells, and lymphocytes, not the monomorphic appearance of Burkitt's. *Non-Hodgkin's lymphoma* - This is a **broad category** that technically includes Burkitt's lymphoma, but the starry sky pattern is **specific to Burkitt's** subtype. - Other NHL subtypes like **follicular lymphoma** or **DLBCL** have different histological patterns without the characteristic starry sky appearance. *All of the above* - Incorrect because the **starry sky pattern** is **pathognomonic specifically for Burkitt's lymphoma**. - While Burkitt's is technically a type of NHL, the distinctive histological feature shown is **not seen** in Hodgkin's lymphoma or other NHL subtypes.
Explanation: **Explanation:** The prognosis of Acute Lymphoblastic Leukemia (ALL) is heavily influenced by age and cytogenetic markers [1]. **Why Option C is correct:** In ALL, age is a critical prognostic factor. Infants **less than 1 year of age** have a **poor prognosis** [1]. This is primarily due to the high frequency of the **t(4;11)** translocation involving the **MLL (KMT2A) gene** rearrangement [1]. This subtype is often associated with high white blood cell counts, central nervous system involvement, and a poor response to standard chemotherapy. **Analysis of Incorrect Options:** * **Option A:** ALL is primarily a disease of childhood, with a peak incidence between **2 and 5 years** [3]. While a second peak occurs in the elderly, it is not the "common" presentation. * **Option B:** Hairy Cell Leukemia (HCL) typically affects middle-aged to elderly men (median age ~50-55). While it has an excellent prognosis due to its response to BRAF inhibitors and purine analogs (Cladribine), the age-related prognostic statement in the option is not a standard clinical rule compared to the infant ALL rule. * **Option D:** Chronic Lymphocytic Leukemia (CLL) is the most common leukemia in the Western world and is a disease of the **elderly** [2]. It is rarely seen in individuals under 40-50 years of age; the median age at diagnosis is approximately 70 years. **High-Yield NEET-PG Pearls:** * **Best Prognosis in ALL:** Age 2–10 years, hyperdiploidy (>50 chromosomes), and t(12;21) [ETV6-RUNX1] [1]. * **Worst Prognosis in ALL:** Age <1 year or >10 years, hypodiploidy, and t(9;22) [Philadelphia chromosome] [1]. * **CLL Hallmark:** Presence of "Smudge cells" on peripheral smear and CD5+ B-cells. * **HCL Hallmark:** TRAP (Tartrate-Resistant Acid Phosphatase) positivity and "fried egg" appearance on bone marrow biopsy. **References:** [1] Kumar V, Abbas AK, et al.. Robbins and Cotran Pathologic Basis of Disease. 9th ed. Diseases of White Blood Cells, Lymph Nodes, Spleen, and Thymus, pp. 600-602. [2] Cross SS. Underwood's Pathology: A Clinical Approach. 6th ed. Common Clinical Problems From Blood And Bone Marrow Disease, pp. 612-613. [3] Cross SS. Underwood's Pathology: A Clinical Approach. 6th ed. Common Clinical Problems From Blood And Bone Marrow Disease, pp. 607-608.
Explanation: **Explanation:** The **Leukocyte Alkaline Phosphatase (LAP) score** (also known as the Neutrophil Alkaline Phosphatase/NAP score) measures the activity of the enzyme alkaline phosphatase within the secondary granules of mature neutrophils. This score is a classic diagnostic tool used to differentiate between a **Leukemoid Reaction** (high score) and **Chronic Myeloid Leukemia** (low score). **Why Polycythemia Vera is the correct answer:** In **Polycythemia Vera (PV)**, which is a myeloproliferative neoplasm (MPN), there is typically an **increased LAP score**. The question asks for the condition where a low LAP score is *not* seen (the "EXCEPT"). Since PV is associated with an elevated score, it is the correct choice [1]. **Analysis of Incorrect Options (Conditions with Low LAP Score):** * **CML (Chronic Myeloid Leukemia):** This is the classic cause of a **low LAP score** due to the presence of functionally immature neutrophils that lack the enzyme [1]. * **Paroxysmal Nocturnal Hemoglobinuria (PNH):** This is a stem cell disorder where the GPI-anchor is missing. Since LAP is a GPI-anchored protein, its expression is significantly **decreased**. * **Autoimmune Hemolytic Anemia (AIHA):** While not a primary diagnostic marker for AIHA, certain types of anemia and marrow stress can result in a **low LAP score**. **High-Yield Clinical Pearls for NEET-PG:** * **High LAP Score:** Leukemoid reaction, Pregnancy (3rd trimester), Polycythemia Vera, and Down Syndrome [1]. * **Low LAP Score:** CML, PNH, Hypophosphatasia, and Aplastic Anemia [1]. * **Normal Range:** 40–100. * **Modern Shift:** In clinical practice, the LAP score has largely been replaced by cytogenetics (Philadelphia chromosome) and molecular testing (BCR-ABL1) for CML diagnosis [1]. **References:** [1] Kumar V, Abbas AK, et al.. Robbins and Cotran Pathologic Basis of Disease. 9th ed. Diseases of White Blood Cells, Lymph Nodes, Spleen, and Thymus, pp. 624-627.
Explanation: **Explanation:** The correct answer is **Listeriosis**. This question tests the candidate's ability to differentiate between systemic infections/toxicities that cause red blood cell destruction (hemolysis) or production failure versus those that do not. **1. Why Listeriosis is the correct answer:** *Listeria monocytogenes* is a Gram-positive intracellular bacillus primarily known for causing meningitis and sepsis in neonates, the elderly, and immunocompromised patients [1]. While it is a severe systemic infection, it is **not typically associated with anemia**. Its primary pathology involves granulomatous inflammation or purulent meningitis rather than hemolysis or bone marrow suppression [1]. **2. Why the other options are incorrect:** * **Clostridial Sepsis:** *Clostridium perfringens* produces the **Alpha-toxin (Lecithinase)**, which acts as a phospholipase. This enzyme digests the phospholipids in RBC membranes, leading to massive **intravascular hemolysis** and profound anemia [4]. * **Snake Venom:** Many snake venoms (especially Viperidae) contain hemotoxins and phospholipases that cause direct lysis of red blood cells or trigger **Disseminated Intravascular Coagulation (DIC)**, leading to microangiopathic hemolytic anemia [3]. * **Lead Poisoning:** Lead causes anemia via two mechanisms: it inhibits enzymes in the heme synthesis pathway (**ALAD and Ferrochelatase**) and causes shortened RBC survival (hemolysis) [2]. A classic peripheral smear finding is **basophilic stippling** [2]. **NEET-PG High-Yield Pearls:** * **Clostridial Sepsis:** Look for "gas gangrene" and "spherical RBCs" (spherocytes) due to membrane loss. * **Lead Poisoning:** Associated with "Burtonian lines" on gums and "Lead lines" on metaphyses of long bones [2]. * **Listeriosis:** It is the only Gram-positive bacteria with **endotoxin-like** activity and exhibits **"tumbling motility"** at 25°C. It is a classic cause of neonatal sepsis via contaminated deli meats/soft cheeses [1]. **References:** [1] Kumar V, Abbas AK, et al.. Robbins and Cotran Pathologic Basis of Disease. 9th ed. Infectious Diseases, p. 374. [2] Kumar V, Abbas AK, et al.. Robbins and Cotran Pathologic Basis of Disease. 9th ed. Infectious Diseases, pp. 418-419. [3] Cross SS. Underwood's Pathology: A Clinical Approach. 6th ed. (Basic Pathology) introduces the student to key general principles of pathology, both as a medical science and as a clinical activity with a vital role in patient care. Part 2 (Disease Mechanisms) provides fundamental knowledge about the cellular and molecular processes involved in diseases, providing the rationale for their treatment. Part 3 (Systematic Pathology) deals in detail with specific diseases, with emphasis on the clinically important aspects., pp. 63-64. [4] Kumar V, Abbas AK, et al.. Robbins and Cotran Pathologic Basis of Disease. 9th ed. Red Blood Cell and Bleeding Disorders, p. 638.
Explanation: The immunogenicity of a blood group antigen refers to its ability to provoke an immune response (antibody production) in an individual who lacks that antigen. **1. Why Kell is Correct:** The **Kell (K)** antigen is the **most immunogenic** non-ABO/Rh red cell antigen. After the D antigen (Rh system), the K antigen is the most likely to cause sensitization. Approximately 5-10% of K-negative individuals will develop anti-K antibodies if transfused with one unit of K-positive blood. These antibodies (IgG) are clinically significant as they cause severe **Hemolytic Disease of the Fetus and Newborn (HDFN)** and delayed hemolytic transfusion reactions. **2. Why other options are incorrect:** * **Duffy (Fy) & Kidd (Jk):** While both can cause transfusion reactions and HDFN, they are significantly less immunogenic than Kell. * **Lewis (Le):** Lewis antigens are not integral to the RBC membrane (they are adsorbed from plasma). Lewis antibodies are usually naturally occurring IgM and are rarely clinically significant because they are neutralized by free Lewis substances in the recipient's plasma [1]. **High-Yield Clinical Pearls for NEET-PG:** * **Hierarchy of Immunogenicity:** Rh (D) > Kell (K) > others (c, E, Fya, Jka) [1]. * **Kell & Erythropoiesis:** Unlike Rh-HDFN, Kell-HDFN causes anemia not just by hemolysis, but also by **suppressing erythropoiesis** (anti-K destroys Kell-expressing erythroid precursors in the bone marrow) [2]. * **McLeod Phenotype:** A rare condition associated with the lack of Kx protein (linked to Kell), characterized by acanthocytosis and late-onset muscular dystrophy. **References:** [1] Cross SS. Underwood's Pathology: A Clinical Approach. 6th ed. Common Clinical Problems From Blood And Bone Marrow Disease, pp. 627-628. [2] Cross SS. Underwood's Pathology: A Clinical Approach. 6th ed. Common Clinical Problems From Blood And Bone Marrow Disease, pp. 603-604.
Explanation: **Explanation:** The core concept tested here is the distinction between **ineffective hematopoiesis** (hypercellular marrow with peripheral cytopenia) and **aplastic/hypoplastic anemia** (hypocellular marrow). **1. Why Dyskeratosis Congenita is the correct answer:** Dyskeratosis congenita is a congenital form of **Aplastic Anemia** caused by telomere maintenance defects. The hallmark of aplastic anemia is a **hypocellular marrow** where hematopoietic stem cells are replaced by fat cells [1]. Therefore, it does not present with a hypercellular marrow. Inherited forms of aplastic anemia include Fanconi anemia and other congenital syndromes [3]. **2. Analysis of Incorrect Options (Causes of Pancytopenia with Hypercellular Marrow):** * **Myelodysplasia (MDS):** Characterized by "ineffective hematopoiesis." The marrow is hypercellular, but the cells are dysplastic and undergo premature apoptosis before entering circulation, leading to peripheral pancytopenia [2]. * **Paroxysmal Nocturnal Hemoglobinuria (PNH):** While PNH can be associated with aplastic anemia, it frequently presents with a hypercellular marrow during phases of active hemolysis or when evolving from/into other myelodysplastic processes [3]. * **Sarcoidosis:** This is a cause of **myelophthisic anemia**. Granulomatous infiltration of the bone marrow (space-occupying lesions) can lead to a compensatory hypercellularity in the remaining areas of the marrow, despite peripheral pancytopenia. **Clinical Pearls for NEET-PG:** * **Hypercellular Marrow + Pancytopenia:** Think of Megaloblastic anemia (most common) [4], MDS, Aleukemic leukemia, and Myelofibrosis (early stage). * **Hypocellular Marrow + Pancytopenia:** Think of Aplastic anemia (acquired or Fanconi/Dyskeratosis congenita), pure red cell aplasia, and late-stage Myelofibrosis. * **Dyskeratosis Congenita Triad:** Abnormal skin pigmentation, nail dystrophy, and oral leukoplakia. **References:** [1] Kumar V, Abbas AK, et al.. Robbins and Cotran Pathologic Basis of Disease. 9th ed. Red Blood Cell and Bleeding Disorders, p. 662. [2] Cross SS. Underwood's Pathology: A Clinical Approach. 6th ed. Common Clinical Problems From Blood And Bone Marrow Disease, pp. 613-614. [3] Cross SS. Underwood's Pathology: A Clinical Approach. 6th ed. Common Clinical Problems From Blood And Bone Marrow Disease, pp. 595-596. [4] Cross SS. Underwood's Pathology: A Clinical Approach. 6th ed. Common Clinical Problems From Blood And Bone Marrow Disease, pp. 594-595.
Explanation: **Explanation:** Hodgkin Lymphoma (HL) is histologically divided into two main entities: **Classical Hodgkin Lymphoma (CHL)** and **Nodular Lymphocyte Predominant Hodgkin Lymphoma (NLPHL)** [5]. **Lymphocyte Depletion (Option B)** is a subtype of Classical Hodgkin Lymphoma [4]. It is the rarest variant (<1%) and carries the worst prognosis [3]. It is characterized by a paucity of background lymphocytes and an abundance of Reed-Sternberg (RS) cells or their pleomorphic variants [4]. It is frequently associated with HIV infection and EBV positivity. **Analysis of Options:** * **Nodular Sclerosis (Option A):** This is the most common subtype of CHL (60-70%), typically seen in young adults (especially females) and characterized by "Lacunar" RS cells and collagen bands [2]. * **Mixed Cellularity (Option C):** The second most common subtype, often associated with EBV and a "mixed" inflammatory background (eosinophils, plasma cells, histiocytes) [3]. * **Mantle Cell Lymphoma (Option D):** This is a type of **Non-Hodgkin Lymphoma (NHL)** derived from B-cells in the mantle zone of the lymph node follicle. It is characterized by the t(11;14) translocation and cyclin D1 overexpression. **High-Yield NEET-PG Pearls:** 1. **RS Cell Immunophenotype (CHL):** CD15+, CD30+, CD45 (LCA)-. 2. **NLPHL Immunophenotype:** CD20+, CD45+, CD15-, CD30- (contains "Popcorn cells") [1]. 3. **Best Prognosis:** Lymphocyte Rich (CHL) or NLPHL [1]. 4. **Worst Prognosis:** Lymphocyte Depletion. 5. **Bimodal Age Distribution:** HL typically shows peaks in the 20s and 50s. **References:** [1] Kumar V, Abbas AK, et al.. Robbins and Cotran Pathologic Basis of Disease. 9th ed. Diseases of White Blood Cells, Lymph Nodes, Spleen, and Thymus, p. 618. [2] Cross SS. Underwood's Pathology: A Clinical Approach. 6th ed. Common Clinical Problems From Diseases Of The Urinary And Male Genital Tracts, pp. 558-559. [3] Kumar V, Abbas AK, et al.. Robbins and Cotran Pathologic Basis of Disease. 9th ed. Diseases of White Blood Cells, Lymph Nodes, Spleen, and Thymus, pp. 616-618. [4] Cross SS. Underwood's Pathology: A Clinical Approach. 6th ed. Common Clinical Problems From Diseases Of The Urinary And Male Genital Tracts, pp. 559-560. [5] Cross SS. Underwood's Pathology: A Clinical Approach. 6th ed. Common Clinical Problems From Diseases Of The Urinary And Male Genital Tracts, pp. 556-557.
Explanation: **Explanation:** The clinical presentation of weakness, pallor, and bleeding gums indicates **pancytopenia** (anemia and thrombocytopenia) resulting from bone marrow failure [1]. The markedly elevated total leukocyte count (110,000/mm³) with "immature white blood cells" suggests an acute leukemia. **Why AML is the correct answer:** The definitive clue in this case is the positivity for **Myeloperoxidase (MPO)**. MPO is a lysosomal enzyme found in the primary granules of myeloid cells. Its presence is the hallmark of **myeloid differentiation**, effectively ruling out lymphoid lineages [1]. In a patient with high blast counts and MPO positivity, **Acute Myeloid Leukemia (AML)** is the most likely diagnosis [3]. **Why the other options are incorrect:** * **Chronic Myeloid Leukemia (CML):** While CML presents with high WBC counts, the peripheral smear typically shows a "spectrum" of myeloid cells (neutrophils, metamyelocytes, myelocytes) rather than a predominance of immature blasts. * **Acute Lymphoid Leukemia (ALL):** ALL also presents with blasts and marrow failure, but lymphoblasts are **MPO negative**. They typically express markers like TDT, CD10, or CD19 [3]. * **Chronic Lymphoid Leukemia (CLL):** CLL usually presents in older adults with an indolent course and a predominance of mature-appearing small lymphocytes and "smudge cells," not immature blasts. **High-Yield Clinical Pearls for NEET-PG:** * **Auer Rods:** If mentioned, these are pathognomonic for AML (specifically M2 and M3 subtypes) [2]. They are composed of fused primary granules (MPO). * **MPO vs. TDT:** MPO (+) = AML; TDT (+) = ALL. * **Hyperleukocytosis:** A WBC count >100,000/mm³ (as seen here) puts the patient at risk for leukostasis, a medical emergency. * **FAB Classification:** Remember that AML-M3 (APML) is associated with DIC and t(15;17) [2]. **References:** [1] Kumar V, Abbas AK, et al.. Robbins and Cotran Pathologic Basis of Disease. 9th ed. Diseases of White Blood Cells, Lymph Nodes, Spleen, and Thymus, pp. 620-622. [2] Kumar V, Abbas AK, et al.. Robbins and Cotran Pathologic Basis of Disease. 9th ed. Diseases of White Blood Cells, Lymph Nodes, Spleen, and Thymus, p. 620. [3] Cross SS. Underwood's Pathology: A Clinical Approach. 6th ed. Common Clinical Problems From Blood And Bone Marrow Disease, pp. 607-608.
Explanation: **Explanation:** **Microangiopathic Hemolytic Anemia (MAHA)** is a descriptive term for non-immune hemolytic anemias caused by intravascular red blood cell fragmentation [4]. The hallmark finding on a peripheral blood smear is the presence of **schistocytes** (helmet cells), which occur when RBCs are sheared while passing through microvasculature obstructed by fibrin or platelet thrombi [3]. **Why Paroxysmal Nocturnal Hemoglobinuria (PNH) is the correct answer:** PNH is an **intravascular hemolytic anemia**, but it is **not** microangiopathic. It is caused by an acquired mutation in the *PIGA* gene, leading to a deficiency of GPI-anchored proteins (CD55 and CD59) on the RBC membrane [5]. This makes the cells susceptible to **complement-mediated lysis**, rather than mechanical shearing [5]. Therefore, schistocytes are typically absent in PNH. **Analysis of incorrect options:** * **TTP and HUS:** These are the classic "primary TMA (Thrombotic Microangiopathy) syndromes." In TTP (ADAMTS13 deficiency) and HUS (Shiga toxin-mediated), platelet-rich thrombi form in small vessels, mechanically shredding RBCs as they flow past [1], [2]. * **HELLP Syndrome:** This is a severe complication of pregnancy characterized by microvascular endothelial activation and fibrin deposition in the liver sinusoids, leading to mechanical hemolysis (MAHA). **High-Yield Clinical Pearls for NEET-PG:** * **Diagnostic Triad of MAHA:** Anemia, Schistocytes on smear, and elevated LDH/low haptoglobin. * **Pentad of TTP:** Fever, Anemia (MAHA), Thrombocytopenia, Neurological symptoms, and Renal failure (**FAT RN**) [2]. * **PNH Screening:** The gold standard is **Flow Cytometry** to detect the absence of CD55 and CD59 [5]. * **Coombs Test:** MAHA is always **Coombs negative** (non-immune). **References:** [1] Kumar V, Abbas AK, et al.. Robbins and Cotran Pathologic Basis of Disease. 9th ed. Red Blood Cell and Bleeding Disorders, pp. 667-668. [2] Kumar V, Abbas AK, et al.. Robbins and Cotran Pathologic Basis of Disease. 9th ed. The Kidney, pp. 947-948. [3] Kumar V, Abbas AK, et al.. Robbins and Cotran Pathologic Basis of Disease. 9th ed. The Kidney, pp. 946-947. [4] Cross SS. Underwood's Pathology: A Clinical Approach. 6th ed. Common Clinical Problems From Diseases Of The Urinary And Male Genital Tracts, pp. 540-541. [5] Kumar V, Abbas AK, et al.. Robbins and Cotran Pathologic Basis of Disease. 9th ed. Red Blood Cell and Bleeding Disorders, pp. 650-651.
Anemias: Classification and Approach
Practice Questions
Hemolytic Anemias
Practice Questions
Myeloproliferative Neoplasms
Practice Questions
Myelodysplastic Syndromes
Practice Questions
Acute Leukemias
Practice Questions
Chronic Leukemias
Practice Questions
Lymphomas and Lymphoid Neoplasms
Practice Questions
Plasma Cell Disorders
Practice Questions
Bleeding Disorders
Practice Questions
Thrombotic Disorders
Practice Questions
Get full access to all questions, explanations, and performance tracking.
Start For Free