CD-10 is seen in which of the following conditions?
Platelets are stored at what temperature?
Translocation of the bcr-abl gene is characteristically seen in which of the following conditions?
Burr cells are seen in which condition?
Gandy Gamma bodies are seen in which of the following conditions?
Disseminated intravascular coagulation (DIC) is commonly seen in which of the following conditions?
In megaloblastic anemia, what is the characteristic cell morphology?
What is the investigation of choice to confirm sickle cell disease?
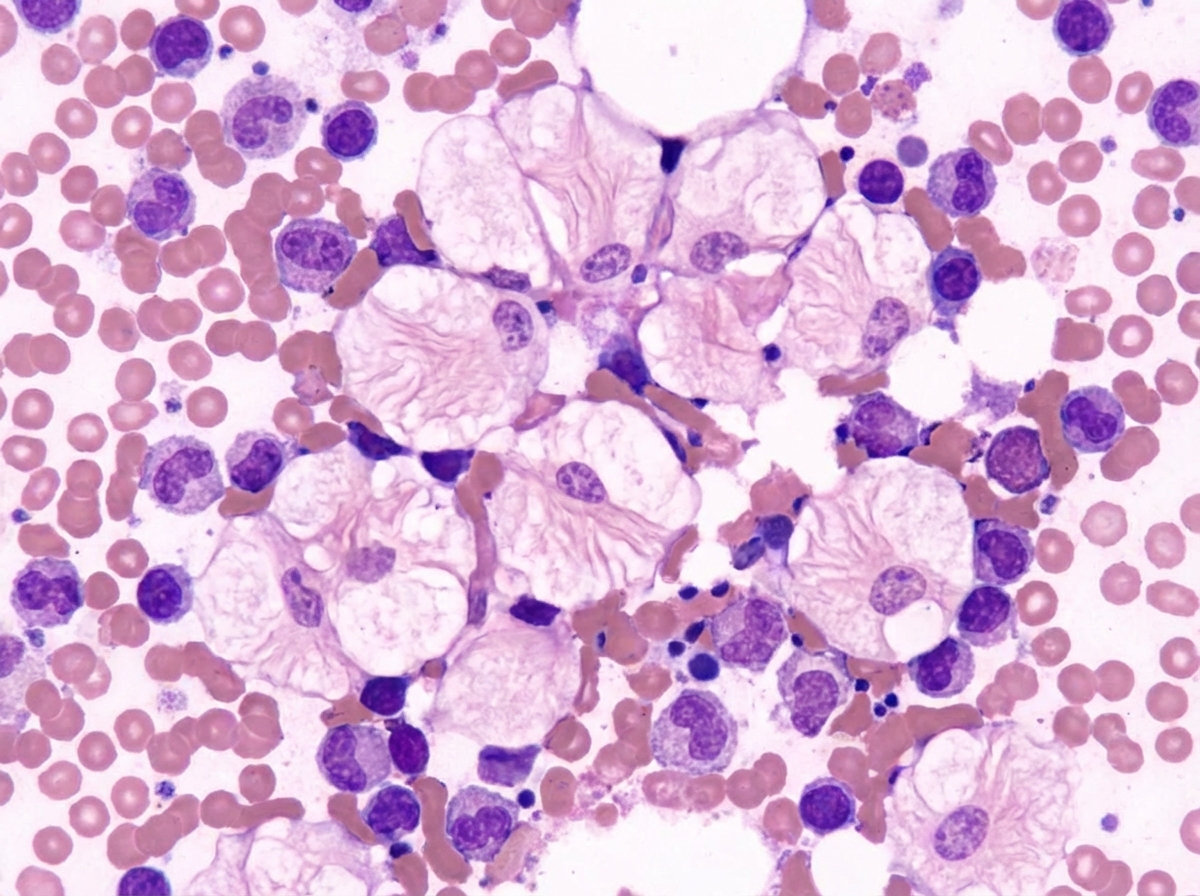
A 3-year-old child presented with anemia and thrombocytopenia. On examination, there was massive splenomegaly. A bone marrow aspiration revealed specific cellular findings. What is the diagnosis?

What type of antibodies are typically found in Idiopathic Thrombocytopenic Purpura (ITP)?
Explanation: **Explanation:** **CD10**, also known as **CALLA** (Common Acute Lymphoblastic Leukemia Antigen), is a neutral endopeptidase and a classic marker for precursor B-cells [1]. It is primarily expressed on the surface of early B-lymphocytes and is the hallmark immunophenotypic marker for **Acute Lymphoblastic Leukemia (ALL)**, specifically the "Common ALL" subtype. * **Why Option A is Correct:** In ALL, CD10 is used for diagnosis and subclassification. Approximately 75-80% of B-ALL cases express CD10. Its presence is generally associated with a better prognosis compared to CD10-negative cases. * **Why Option B is Incorrect:** **CLL** is a mature B-cell neoplasm characterized by the co-expression of **CD5 and CD23** [2]. It is typically CD10 negative [2]. * **Why Option C is Incorrect:** **Hairy Cell Leukemia** is characterized by markers such as **CD11c, CD25, CD103, and Annexin A1** [1]. It does not typically express CD10. * **Why Option D is Incorrect:** **CML** is a myeloproliferative neoplasm defined by the Philadelphia chromosome $t(9;22)$. While a CML "lymphoid blast crisis" might express CD10, the chronic phase of the disease does not. **High-Yield Clinical Pearls for NEET-PG:** 1. **Other CD10+ conditions:** Apart from B-ALL, CD10 is also expressed in **Follicular Lymphoma**, **Burkitt Lymphoma**, and **Endometrial Stromal Sarcoma** [1]. 2. **Prognostic Significance:** In B-ALL, the "Common ALL" (CD10+) subtype has a better response to chemotherapy than the Pro-B (CD10-) subtype. 3. **L-Type Classification:** Most CD10+ ALL cases correspond to the **L1 or L2** morphology in the FAB classification. **References:** [1] Kumar V, Abbas AK, et al.. Robbins and Cotran Pathologic Basis of Disease. 9th ed. Diseases of White Blood Cells, Lymph Nodes, Spleen, and Thymus, p. 598. [2] Kumar V, Abbas AK, et al.. Robbins and Cotran Pathologic Basis of Disease. 9th ed. Diseases of White Blood Cells, Lymph Nodes, Spleen, and Thymus, p. 602.
Explanation: **Explanation:** **Correct Answer: A. 20-24°C** Platelets are stored at **room temperature (20-24°C)** under continuous agitation. This specific temperature range is critical to maintain platelet viability and metabolic activity. Agitation (using a platelet agitator) is necessary to prevent aggregation and to facilitate gas exchange ($O_2$ and $CO_2$), which prevents a drop in pH that would otherwise lead to the loss of platelet function (the "storage lesion"). **Analysis of Incorrect Options:** * **B. 2-6°C:** This is the storage temperature for **Whole Blood and Packed Red Blood Cells (PRBCs)**. Refrigerating platelets at this temperature causes irreversible structural changes (cold-induced activation and "chilling injury"), leading to rapid clearance from the recipient's circulation by hepatic macrophages. * **C. 37°C:** This is normal body temperature. Storing blood components at this temperature would promote rapid bacterial proliferation and protein denaturation. * **D. -2 to -4°C:** This is below the freezing point for blood components. Freezing without specialized cryoprotectants (like glycerol) causes ice crystal formation, which ruptures cell membranes. (Note: Fresh Frozen Plasma is stored at **-18°C or colder**). **High-Yield Clinical Pearls for NEET-PG:** * **Shelf Life:** Platelets have the shortest shelf life of all blood components—only **5 days**—due to the risk of bacterial contamination at room temperature. * **Transfusion Dose:** One unit of Random Donor Platelets (RDP) typically increases the platelet count by **5,000–10,000/µL** in an average adult. * **Apheresis:** Single Donor Platelets (SDP) are equivalent to 6–8 units of RDP. * **Best Indicator of Viability:** The "swirling phenomenon" observed when a platelet bag is held against light indicates healthy, discoid platelets.
Explanation: The **bcr-abl** fusion gene is the hallmark of **Chronic Myeloid Leukemia (CML)** [1]. It results from a reciprocal translocation between chromosomes 9 and 22, known as the **Philadelphia chromosome [t(9;22)(q34;q11)]** [2]. This translocation fuses the *ABL1* proto-oncogene (Ch 9) with the *BCR* gene (Ch 22), creating a chimeric protein with constitutive **tyrosine kinase activity** [1]. This leads to uncontrolled proliferation of the myeloid lineage. **Analysis of Options:** * **Chronic Myeloid Leukemia (Correct):** Present in >95% of cases [1]. It is the defining diagnostic feature and the target for Tyrosine Kinase Inhibitors (TKIs) like Imatinib. * **Acute Myeloid Leukemia (Incorrect):** While rare variants exist, AML is more commonly associated with t(8;21), t(15;17) in APML, or inv(16). * **Chronic Lymphatic Leukemia (Incorrect):** CLL is typically characterized by deletions (13q, 11q, 17p) or Trisomy 12, not the bcr-abl translocation. * **Acute Lymphatic Leukemia (Incorrect):** Although t(9;22) occurs in ~25% of adult ALL and ~5% of pediatric ALL (indicating a poor prognosis), it is not the *characteristic* or defining feature of the disease as it is for CML. **High-Yield Pearls for NEET-PG:** 1. **Philadelphia Chromosome:** It is a shortened chromosome 22 [2]. 2. **Protein Product:** The p210 protein is typical for CML, while p190 is more common in Ph+ ALL. 3. **Leukocyte Alkaline Phosphatase (LAP) Score:** Characteristically **decreased** in CML, helping differentiate it from a Leukemoid reaction (where LAP is increased). 4. **Treatment:** Imatinib mesylate is the first-line targeted therapy. **References:** [1] Kumar V, Abbas AK, et al.. Robbins and Cotran Pathologic Basis of Disease. 9th ed. Diseases of White Blood Cells, Lymph Nodes, Spleen, and Thymus, pp. 624-625. [2] Cross SS. Underwood's Pathology: A Clinical Approach. 6th ed. (Basic Pathology) introduces the student to key general principles of pathology, both as a medical science and as a clinical activity with a vital role in patient care. Part 2 (Disease Mechanisms) provides fundamental knowledge about the cellular and molecular processes involved in diseases, providing the rationale for their treatment. Part 3 (Systematic Pathology) deals in detail with specific diseases, with emphasis on the clinically important aspects., pp. 225-226.
Explanation: **Burr cells**, also known as **Echinocytes**, are mature red blood cells characterized by multiple, short, blunt, and evenly spaced circumferential projections. **1. Why Uremia is correct:** In **Uremia** (chronic kidney disease), the accumulation of metabolic waste products and toxins in the plasma alters the osmotic environment and the lipid composition of the RBC membrane [1]. This leads to an expansion of the outer leaflet of the lipid bilayer relative to the inner leaflet, resulting in the characteristic "spiculated" appearance. Burr cells are a classic peripheral smear finding in renal failure and are reversible if the cells are placed in healthy serum [2]. **2. Why the other options are incorrect:** * **Gastric Carcinoma:** While not the primary association, gastric carcinoma is classically associated with **Acanthocytes** (Spur cells) or microangiopathic hemolytic anemia (MAHA) if disseminated, but not specifically Burr cells. * **Hepatocellular & Ovarian Carcinoma:** These do not typically present with Burr cells. Liver disease is more commonly associated with **Target cells** (Codocytes) or **Acanthocytes** (due to abnormal cholesterol metabolism). **3. High-Yield Clinical Pearls for NEET-PG:** * **Burr Cells vs. Acanthocytes:** Burr cells have *regular, even* projections; Acanthocytes have *irregular, finger-like* projections. * **Common Causes of Burr Cells:** Uremia (most common), Pyruvate Kinase deficiency, and Hypophosphatemia. * **Acanthocytes (Spur Cells)** are seen in Abetalipoproteinemia and severe Liver Disease. * **Schistocytes** (Fragmented cells) are seen in MAHA (DIC, HUS, TTP). **References:** [1] Kumar V, Abbas AK, et al.. Robbins and Cotran Pathologic Basis of Disease. 9th ed. The Pancreas, pp. 902-905. [2] Cross SS. Underwood's Pathology: A Clinical Approach. 6th ed. Common Clinical Problems From Diseases Of The Urinary And Male Genital Tracts, pp. 539-540.
Explanation: **Explanation:** **Gandy-Gamma bodies** (also known as Gamna-Gandy bodies or Siderofibrotic nodules) are small, firm, brownish-yellow nodules found in the spleen. They represent organized areas of hemorrhage where deposits of **hemosiderin** (iron) and **calcium** form on a background of fibrous connective tissue. 1. **Why Sickle Cell Anemia (SCA) is correct:** In SCA, the spleen undergoes chronic congestion and repeated micro-infarctions due to the "sickling" of red blood cells in the splenic sinusoids [1]. This leads to focal hemorrhages. Over time, these areas fibrose and calcify, forming Gandy-Gamma bodies. Eventually, the spleen becomes shrunken and non-functional, a process known as **autosplenectomy** [1]. 2. **Why other options are incorrect:** * **Thalassemia:** While it causes massive splenomegaly due to extramedullary hematopoiesis, it is not typically characterized by the specific siderofibrotic nodules seen in SCA. * **Hereditary Spherocytosis:** This condition involves splenic sequestration and destruction of spherocytes, leading to splenomegaly, but the classic "siderofibrotic" nodules are not a hallmark feature. * **Vitamin B12 Deficiency:** This results in megaloblastic anemia and does not involve the splenic pathology or hemorrhagic infarctions required to form Gandy-Gamma bodies. **NEET-PG High-Yield Pearls:** * **Composition:** Gandy-Gamma bodies contain **Iron (Hemosiderin)**, **Calcium**, and **Fibrous tissue**. * **Staining:** They appear golden-brown on H&E stain; iron is highlighted by **Prussian Blue** (Perl’s stain) and calcium by **Von Kossa** stain. * **Other Associations:** Besides SCA, they can be seen in **Congestive Splenomegaly** (e.g., Portal Hypertension) and Hemochromatosis. * **Radiology:** On MRI, they appear as "signal voids" (low signal intensity) on T2-weighted images due to the paramagnetic effect of iron. **References:** [1] Kumar V, Abbas AK, et al.. Robbins and Cotran Pathologic Basis of Disease. 9th ed. Red Blood Cell and Bleeding Disorders, pp. 644-646.
Explanation: ### Explanation **Correct Option: A. Acute Promyelocytic Leukemia (APL/AML-M3)** **Underlying Concept:** Acute Promyelocytic Leukemia (APL), characterized by the **t(15;17)** translocation, is the most common leukemia associated with **Disseminated Intravascular Coagulation (DIC)** [3]. The pathophysiology involves the presence of numerous **Auer rods** (faggot cells) in the promyelocytes [1]. These cells contain procoagulant substances and tissue factor-like molecules. When these cells undergo lysis (either spontaneously or due to chemotherapy), they release these granules into the circulation, triggering the extrinsic coagulation pathway and leading to widespread fibrin deposition and consumption of clotting factors [1], [4]. **Analysis of Incorrect Options:** * **B. Acute Myelomonocytic Leukemia (AML-M4):** While this subtype is associated with gum hypertrophy and skin involvement (leukemia cutis), it does not have a primary association with DIC compared to the M3 subtype. * **C. Chronic Myeloid Leukemia (CML):** CML typically presents with massive splenomegaly and a hypercellular bone marrow. DIC is rare in the chronic phase and only occasionally seen during a blast crisis. * **D. Autoimmune Hemolytic Anemia (AIHA):** This is an immune-mediated destruction of RBCs (Type II hypersensitivity). While it causes anemia and jaundice, it does not trigger the systemic activation of the coagulation cascade seen in DIC [5]. **High-Yield Clinical Pearls for NEET-PG:** * **Morphology:** Look for **"Faggot cells"** (cells with bundles of Auer rods) in the peripheral smear [1]. * **Molecular Marker:** **PML-RARα** fusion gene [2]. * **Treatment:** **ATRA (All-trans retinoic acid)** and Arsenic Trioxide. ATRA induces the maturation of promyelocytes, which helps resolve the DIC. * **Emergency:** DIC in APL is a medical emergency; it often presents as life-threatening mucosal bleeding or intracranial hemorrhage [5]. **References:** [1] Kumar V, Abbas AK, et al.. Robbins and Cotran Pathologic Basis of Disease. 9th ed. Diseases of White Blood Cells, Lymph Nodes, Spleen, and Thymus, pp. 621-622. [2] Kumar V, Abbas AK, et al.. Robbins and Cotran Pathologic Basis of Disease. 9th ed. Diseases of White Blood Cells, Lymph Nodes, Spleen, and Thymus, pp. 620-621. [3] Kumar V, Abbas AK, et al.. Robbins and Cotran Pathologic Basis of Disease. 9th ed. Diseases of White Blood Cells, Lymph Nodes, Spleen, and Thymus, p. 620. [4] Kumar V, Abbas AK, et al.. Robbins and Cotran Pathologic Basis of Disease. 9th ed. Red Blood Cell and Bleeding Disorders, pp. 671-672. [5] Cross SS. Underwood's Pathology: A Clinical Approach. 6th ed. Common Clinical Problems From Blood And Bone Marrow Disease, pp. 625-626.
Explanation: **Explanation:** **1. Why Macrocytic Normochromic is Correct:** Megaloblastic anemia, primarily caused by Vitamin B12 or Folate deficiency, is characterized by impaired DNA synthesis. While DNA replication is delayed, cytoplasmic maturation (hemoglobin synthesis) proceeds at a normal rate. This "nuclear-cytoplasmic asynchrony" results in fewer cell divisions, leading to the formation of large RBCs (**Macrocytosis**, MCV >100 fL) [1], [2]. Because hemoglobin synthesis is unaffected, the concentration of hemoglobin within these large cells remains within the normal range. Therefore, the cells are **Normochromic** (MCHC is normal). **2. Why Other Options are Incorrect:** * **Macrocytic Hyperchromic:** This is a common misconception. While the cells are larger and may *appear* more saturated with color on a peripheral smear due to their thickness, the actual concentration of hemoglobin (MCHC) does not exceed physiological limits. True "hyperchromia" is rarely seen in clinical practice, except in conditions like Hereditary Spherocytosis. * **Macrocytic Hypochromic:** Hypochromia (low MCHC) indicates a defect in hemoglobin synthesis (e.g., Iron Deficiency Anemia). In megaloblastic anemia, hemoglobin synthesis is intact; only the cell division is defective. **3. NEET-PG High-Yield Pearls:** * **Peripheral Smear:** Look for **Macro-ovalocytes** (large oval RBCs) and **Hypersegmented Neutrophils** (earliest sign; >5% neutrophils with 5 lobes or a single neutrophil with ≥6 lobes) [1], [2]. * **Bone Marrow:** Shows hypercellularity with "Megaloblasts" exhibiting an open, lacy **"Checkered-board" chromatin** pattern [1], [2]. * **Ineffective Erythropoiesis:** Leads to increased intramedullary hemolysis, resulting in elevated Indirect Bilirubin and **very high LDH levels**. * **Pancytopenia:** Severe megaloblastic anemia can present with low counts in all three cell lines. **References:** [1] Cross SS. Underwood's Pathology: A Clinical Approach. 6th ed. Common Clinical Problems From Blood And Bone Marrow Disease, pp. 593-594. [2] Kumar V, Abbas AK, et al.. Robbins and Cotran Pathologic Basis of Disease. 9th ed. Red Blood Cell and Bleeding Disorders, pp. 654-655.
Explanation: ### Explanation **Correct Answer: C. High-performance liquid chromatography (HPLC)** **Why HPLC is the Investigation of Choice:** High-performance liquid chromatography (HPLC) is currently considered the gold standard and investigation of choice for the diagnosis of Sickle Cell Disease (SCD). It provides a highly sensitive, automated, and quantitative analysis of hemoglobin variants. HPLC can precisely identify and quantify Hemoglobin S (HbS), Hemoglobin F (HbF), and other co-existing variants (like HbC or HbE), which is crucial for distinguishing between Sickle Cell Trait (HbAS) and Sickle Cell Anemia (HbSS). **Analysis of Incorrect Options:** * **A. Tandem mass spectrometry:** While used in some newborn screening programs for metabolic disorders, it is not the standard clinical investigation for confirming SCD in routine practice. * **B. Gel electrophoresis:** Historically the gold standard, it is now largely replaced by HPLC. Alkaline electrophoresis cannot distinguish between HbS, HbD, and HbG, requiring further acidic electrophoresis for confirmation. * **D. Naked eye single tube red cell osmotic fragility test (NESTROFT):** This is a screening test for **Thalassemia trait**, not sickle cell disease. In SCD, solubility tests or sodium metabisulfite sickling tests are used for screening, but they cannot differentiate between trait and disease. **High-Yield Clinical Pearls for NEET-PG:** * **Screening Test:** Solubility test (using sodium dithionite) or Sickling test. * **Peripheral Smear:** Shows sickle cells (drepanocytes) and Howell-Jolly bodies (due to autosplenectomy) . * **Molecular Diagnosis:** PCR is used for prenatal diagnosis (amniotic fluid/chorionic villus sampling). * **Amino Acid Substitution:** Glutamic acid is replaced by Valine at the 6th position of the beta-globin chain [1]. * **Autosplenectomy:** Usually complete by age 8; the spleen becomes a small, shrunken, calcified fibrous mass (siderofibrotic nodules or Gandy-Gamma bodies) [2]. **References:** [1] Cross SS. Underwood's Pathology: A Clinical Approach. 6th ed. Common Clinical Problems From Blood And Bone Marrow Disease, pp. 598-599. [2] Kumar V, Abbas AK, et al.. Robbins and Cotran Pathologic Basis of Disease. 9th ed. Red Blood Cell and Bleeding Disorders, pp. 644-646.
Explanation: ***Gaucher disease*** - The combination of **anemia**, **thrombocytopenia**, and **massive splenomegaly** with specific cellular findings on bone marrow aspiration strongly suggests Gaucher disease. - Bone marrow reveals pathognomonic **Gaucher cells** with characteristic **wrinkled tissue paper cytoplasm** due to **glucocerebrosidase deficiency** leading to glucocerebroside accumulation. *Mucopolysaccharidosis* - Typically presents with **coarse facial features**, **hepatosplenomegaly**, and **developmental delay** rather than isolated hematological abnormalities. - Bone marrow shows **foamy macrophages** filled with **glycosaminoglycans**, not the characteristic wrinkled cytoplasm seen in Gaucher cells. *Acute Leukemia* - Would show **blast cells** on bone marrow aspiration with high **white blood cell count** and **lymphadenopathy**. - The **specific cellular findings** mentioned in the question point toward storage cells rather than malignant blasts. *Thalassemia* - Primarily causes **anemia** with **target cells** and **nucleated RBCs** on peripheral smear, but **thrombocytopenia** is uncommon. - Bone marrow shows **erythroid hyperplasia** rather than the specific storage cells characteristic of lysosomal storage disorders.
Explanation: **Explanation:** **Idiopathic Thrombocytopenic Purpura (ITP)**, now more commonly referred to as Immune Thrombocytopenic Purpura, is an autoimmune disorder characterized by the premature destruction of platelets. **1. Why IgG is Correct:** The pathogenesis of ITP involves the production of **anti-platelet autoantibodies**, which are almost exclusively of the **IgG** class. These antibodies are typically directed against platelet membrane glycoproteins, most commonly **GPIIb/IIIa** or **GPIb/IX**. Once these IgG antibodies coat the platelets (opsonization), the platelets are recognized by the Fc receptors on splenic macrophages, leading to their sequestration and phagocytosis in the **spleen**. **2. Why the other options are Incorrect:** * **IgM:** While IgM is the first antibody produced in a primary immune response, it is rarely the mediator of chronic autoimmune destruction in ITP. * **IgE:** This antibody is primarily involved in Type I hypersensitivity reactions (allergies) and parasitic infections, not platelet destruction. * **IgD:** This is found in trace amounts in serum and functions mainly as an antigen receptor on B-cell surfaces; it has no known role in the pathogenesis of ITP. **3. High-Yield Clinical Pearls for NEET-PG:** * **Site of Destruction:** The spleen is the primary site of both antibody production and platelet destruction. This is why **splenectomy** is an effective second-line treatment [2]. * **Bone Marrow Findings:** Characterized by **increased megakaryocytes** (compensatory hyperplasia) to make up for peripheral destruction [1]. * **Clinical Presentation:** Presents with mucocutaneous bleeding (petechiae, purpura, epistaxis) with a **normal** coagulation profile (PT/aPTT) but a prolonged bleeding time [1], [2]. * **Treatment:** First-line therapy includes **Corticosteroids** or IVIG (which blocks Fc receptors on macrophages) [2]. **References:** [1] Cross SS. Underwood's Pathology: A Clinical Approach. 6th ed. Common Clinical Problems From Blood And Bone Marrow Disease, pp. 620-621. [2] Kumar V, Abbas AK, et al.. Robbins and Cotran Pathologic Basis of Disease. 9th ed. Red Blood Cell and Bleeding Disorders, pp. 666-667.
Anemias: Classification and Approach
Practice Questions
Hemolytic Anemias
Practice Questions
Myeloproliferative Neoplasms
Practice Questions
Myelodysplastic Syndromes
Practice Questions
Acute Leukemias
Practice Questions
Chronic Leukemias
Practice Questions
Lymphomas and Lymphoid Neoplasms
Practice Questions
Plasma Cell Disorders
Practice Questions
Bleeding Disorders
Practice Questions
Thrombotic Disorders
Practice Questions
Get full access to all questions, explanations, and performance tracking.
Start For Free