Which of the following statements about Becker muscular dystrophy is FALSE?
All of the following are opsonins, except?
Amyloid material can be best diagnosed by which method?
Yellow or green pigmentation of teeth is seen in which of the following conditions?
Which stain is used for melanin?
Common variable hypogammaglobulinemia shows which of the following?
Secondary amyloidosis is seen most commonly in which of the following conditions?
Which of the following conditions can present with numbness of the lip in the absence of previous dental treatment?
Which proto-oncogene is involved in Gastrointestinal Stromal Tumors (GIST)?
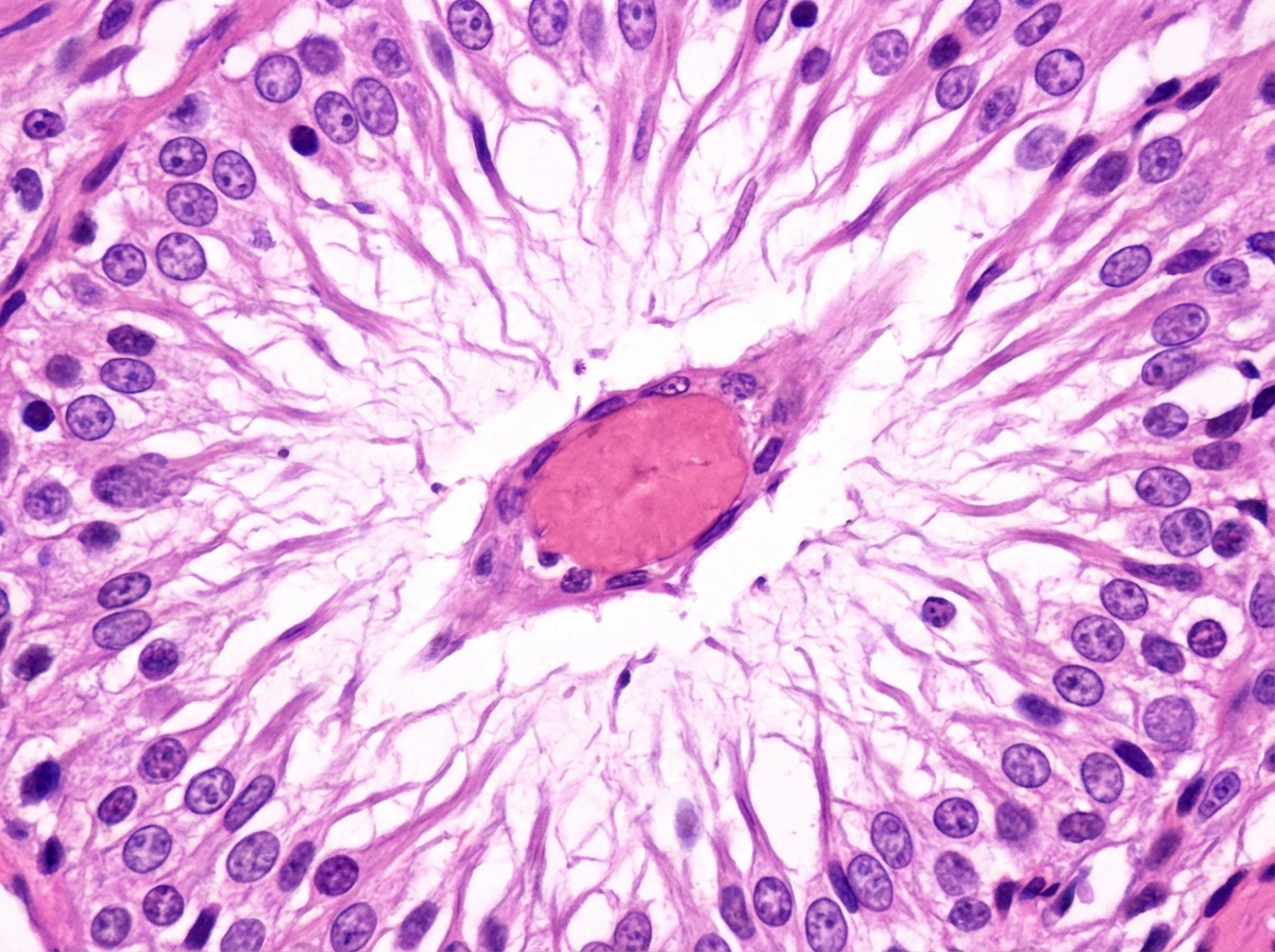
Identify the rosette and its corresponding diagnosis.

Explanation: **Explanation:** The correct answer is **C** because Becker Muscular Dystrophy (BMD) is caused by a mutation in the **dystrophin gene** (located on the short arm of the X chromosome, Xp21), not the myosin gene [1]. Dystrophin is a vital structural protein that links the intracellular cytoskeleton (actin) to the extracellular matrix, stabilizing the sarcolemma during muscle contraction. * **Option A is true:** BMD follows an **X-linked recessive** inheritance pattern, primarily affecting males while females are typically asymptomatic carriers [2]. * **Option B is true:** BMD is characterized by **slowly progressive** proximal muscle weakness. Unlike Duchenne Muscular Dystrophy (DMD), patients with BMD often remain ambulatory well into their 20s or later. * **Option D is true:** DMD is more severe because it results from **frameshift mutations** leading to a near-total absence of dystrophin [1]. In contrast, BMD results from **non-frameshift (in-frame) mutations**, leading to the production of a truncated but partially functional dystrophin protein [1]. **NEET-PG High-Yield Pearls:** * **Genetic Locus:** The dystrophin gene is the largest known human gene, making it highly susceptible to spontaneous mutations. * **Clinical Sign:** Both DMD and BMD may present with **pseudohypertrophy of the calves** (fatty replacement of muscle). * **Diagnosis:** Gold standard is genetic testing; muscle biopsy shows diminished (not absent) dystrophin staining in BMD. * **Cardiac Involvement:** Dilated cardiomyopathy is a common cause of mortality in both conditions. **References:** [1] Kumar V, Abbas AK, et al.. Robbins and Cotran Pathologic Basis of Disease. 9th ed. Peripheral Nerves and Skeletal Muscles, pp. 1244-1246. [2] Kumar V, Abbas AK, et al.. Robbins and Cotran Pathologic Basis of Disease. 9th ed. Genetic Disorders, p. 151.
Explanation: Opsonization is the process by which specific molecules (opsonins) coat a particle or pathogen to enhance its recognition and ingestion by phagocytes (neutrophils and macrophages) [1]. Phagocytes possess specific surface receptors for these opsonins, facilitating a "lock and key" attachment [1]. **Why LTB4 is the correct answer:** **Leukotriene B4 (LTB4)** is a potent **chemotactic agent**, not an opsonin. Its primary role is to recruit and activate neutrophils to the site of inflammation. It does not coat the pathogen to facilitate attachment; rather, it acts as a chemical signal to guide inflammatory cells. **Analysis of other options:** * **IgG (Option A):** The **Fc portion of IgG** (specifically IgG1 and IgG3) is the most important serum opsonin [1]. Phagocytes express Fc̲̲̲ receptors that bind to the IgG-coated surface of microbes [1][2]. * **C3b (Option B):** This is a major product of the complement cascade [2]. Phagocytes have **CR1 receptors** that bind to C3b and its breakdown product, iC3b, making it a powerful opsonin [2][3]. * **Mannose-binding lectin (Option D):** MBL is a plasma protein that recognizes microbial carbohydrates [1]. It acts as a pattern recognition receptor and functions as an opsonin by activating the lectin pathway of complement or directly enhancing phagocytosis [1]. **High-Yield Clinical Pearls for NEET-PG:** * **Most potent opsonins:** IgG and C3b [1]. * **Other opsonins:** C-reactive protein (CRP), Fibronectin, and Fibrinogen. * **Chemotactic factors (The "Big Four"):** LTB4, C5a, IL-8, and Bacterial products (N-formyl methionine) [3]. * **Deficiency Note:** Deficiency of C3b leads to recurrent infections with encapsulated bacteria (e.g., *S. pneumoniae*) due to impaired opsonization. **References:** [1] Kumar V, Abbas AK, et al.. Robbins and Cotran Pathologic Basis of Disease. 9th ed. Inflammation and Repair, pp. 89-91. [2] Cross SS. Underwood's Pathology: A Clinical Approach. 6th ed. (Basic Pathology) introduces the student to key general principles of pathology, both as a medical science and as a clinical activity with a vital role in patient care. Part 2 (Disease Mechanisms) provides fundamental knowledge about the cellular and molecular processes involved in diseases, providing the rationale for their treatment. Part 3 (Systematic Pathology) deals in detail with specific diseases, with emphasis on the clinically important aspects., pp. 162-163. [3] Cross SS. Underwood's Pathology: A Clinical Approach. 6th ed. (Basic Pathology) introduces the student to key general principles of pathology, both as a medical science and as a clinical activity with a vital role in patient care. Part 2 (Disease Mechanisms) provides fundamental knowledge about the cellular and molecular processes involved in diseases, providing the rationale for their treatment. Part 3 (Systematic Pathology) deals in detail with specific diseases, with emphasis on the clinically important aspects., pp. 163-164.
Explanation: The diagnosis of amyloidosis relies on identifying the characteristic physical structure of amyloid fibrils. The gold standard for routine diagnostic pathology is **Polarized Microscopy**. [1] 1. **Why Polarized Microscopy is correct:** Amyloid has a unique **$\beta$-pleated sheet configuration**. When tissue sections are stained with **Congo red** dye and viewed under polarized light, this molecular arrangement causes the light to split (birefringence). This produces the pathognomonic **"Apple-green birefringence,"** which is the definitive diagnostic feature used by pathologists to confirm amyloid deposits in tissue biopsies. [1] 2. **Why the other options are incorrect:** * **Electron Microscopy (EM):** While EM can visualize the actual non-branching fibrils (7.5–10 nm diameter), it is expensive, time-consuming, and not the primary "diagnostic method" used in clinical practice. [1][2] * **X-ray Crystallography:** This is used to determine the atomic and molecular structure of the $\beta$-pleated sheets. It is a research tool rather than a diagnostic method for patient samples. * **Scanning Electron Microscopy (SEM):** SEM provides 3D images of surfaces. It is not used for the routine diagnosis of amyloid material. **NEET-PG High-Yield Pearls:** * **Stains for Amyloid:** Congo red (most common), Methyl violet/Crystal violet (Metachromatic), and Thioflavin T/S (Fluorescent). * **Appearance:** Under light microscopy with H&E stain, amyloid appears as extracellular, **hyaline, eosinophilic, amorphous** material. * **Precursor Proteins:** AL (Light chain) is associated with Multiple Myeloma; AA (Amyloid Associated) is associated with chronic inflammation (e.g., TB, Rheumatoid Arthritis). [1] * **Abdominal Fat Pad Biopsy:** A common, minimally invasive screening site for systemic amyloidosis. **References:** [1] Kumar V, Abbas AK, et al.. Robbins and Cotran Pathologic Basis of Disease. 9th ed. Diseases of the Immune System, pp. 268-269. [2] Cross SS. Underwood's Pathology: A Clinical Approach. 6th ed. (Basic Pathology) introduces the student to key general principles of pathology, both as a medical science and as a clinical activity with a vital role in patient care. Part 2 (Disease Mechanisms) provides fundamental knowledge about the cellular and molecular processes involved in diseases, providing the rationale for their treatment. Part 3 (Systematic Pathology) deals in detail with specific diseases, with emphasis on the clinically important aspects., pp. 135-136.
Explanation: **Explanation:** The correct answer is **Erythroblastosis fetalis (A)**. **Why it is correct:** Erythroblastosis fetalis (Hemolytic Disease of the Newborn) involves severe Rh or ABO incompatibility leading to massive hemolysis [1]. This results in significant **hyperbilirubinemia** [2]. During the period of tooth formation (calcification), circulating bilirubin (bile pigments) can be deposited into the dental hard tissues (dentin and enamel). This leads to a characteristic **yellow, green, or bluish-green discoloration** of the primary teeth, often referred to as "chlorodontia." **Analysis of Incorrect Options:** * **B. Porphyria:** Congenital erythropoietic porphyria causes a **reddish-brown or purplish** discoloration of teeth (Erythrodontia) due to the deposition of porphyrins. These teeth typically show red fluorescence under Wood’s lamp (UV light). * **C. Internal Resorption:** This is a localized condition where the pulp tissue resorbs the dentin. It often presents as a **"Pink spot of Mummery"** because the vascular pulp becomes visible through the thinned enamel. * **D. Nasmyth’s Membrane:** This is a normal anatomical structure (primary enamel cuticle) that covers newly erupted teeth. It can pick up extrinsic stains (green/orange) from food or bacteria but is not an intrinsic systemic pigmentation. **NEET-PG High-Yield Pearls:** * **Tetracycline:** Causes yellowish-brown discoloration; it chelates calcium and deposits in teeth/bones. It is contraindicated in pregnancy and children under 8. * **Fluorosis:** Causes "mottled enamel" with chalky white spots or brownish pitting. * **Alkaptonuria:** May cause a brownish-black pigmentation of permanent teeth. * **Bilirubin deposition:** Specifically targets the dentin more than the enamel. **References:** [1] Cross SS. Underwood's Pathology: A Clinical Approach. 6th ed. Common Clinical Problems From Blood And Bone Marrow Disease, pp. 603-604. [2] Kumar V, Abbas AK, et al.. Robbins and Cotran Pathologic Basis of Disease. 9th ed. Diseases of Infancy and Childhood, pp. 470-472.
Explanation: **Explanation:** The correct answer is **Masson Fontana stain**. **1. Why Masson Fontana is correct:** Melanin is a non-lipid, non-hematogenous pigment produced by melanocytes [1]. It possesses **argentaffin** properties, meaning it has the inherent ability to reduce silver nitrate to metallic silver without the need for an external reducing agent. The Masson Fontana stain utilizes this property; the silver salts are reduced by melanin, resulting in a distinct **black** coloration of the pigment granules. **2. Analysis of Incorrect Options:** * **Alizarin red S:** This is a specialized stain used to identify **calcium** deposits. It reacts with calcium to form an orange-red lake. * **Von Kossa:** This is another method for **calcium** (specifically phosphates and carbonates). It is a metal substitution method where silver replaces calcium, appearing as black deposits. * **PAS (Periodic Acid-Schiff) stain:** This stain is primarily used to demonstrate **glycogen, mucopolysaccharides, and basement membranes**. It stains these structures magenta/bright pink. It is also the stain of choice for identifying fungal cell walls. **3. NEET-PG High-Yield Pearls:** * **Bleaching Test:** To confirm a pigment is melanin, "Melanin Bleaching" is performed using hydrogen peroxide or potassium permanganate. Melanin disappears, whereas other pigments like lipofuscin do not. * **Schmorl’s Reaction:** Another method used for melanin (and lipofuscin), which produces a blue-green color. * **DOPA Reaction:** Used to identify the enzyme tyrosinase in fresh tissue to confirm melanocytic activity. * **Iron Stain:** To differentiate melanin from hemosiderin (which looks similar), use **Prussian Blue (Perl’s stain)**; it stains hemosiderin blue but does not react with melanin. **References:** [1] Cross SS. Underwood's Pathology: A Clinical Approach. 6th ed. Common Clinical Problems From Blood And Bone Marrow Disease, pp. 633-634.
Explanation: **Explanation:** **Common Variable Immunodeficiency (CVID)**, also known as Common Variable Hypogammaglobulinemia, is a primary immunodeficiency characterized by a failure of B-cell differentiation into plasma cells [1]. **Why the correct answer is right:** In CVID, the primary defect is not the production of B cells, but their **functional maturation**. Patients typically have a **normal number of peripheral B cells**, but these cells are unable to differentiate into antibody-secreting plasma cells [1]. This results in low serum levels of all immunoglobulin classes (IgG, IgA, and IgM). Because the B cell count itself remains within the normal range, Option C is the correct answer. **Why the incorrect options are wrong:** * **Options A, B, and D:** These are incorrect because CVID is defined by a qualitative defect rather than a quantitative one. A **decreased or absent B cell count** (Options A and D) is the hallmark of **X-linked Agammaglobulinemia (Bruton’s)**, where there is a failure of pre-B cells to differentiate into mature B cells due to a mutation in the BTK gene [2]. An increased B cell count (Option B) is not a feature of primary immunodeficiency syndromes and would more likely suggest a lymphoproliferative disorder. **High-Yield Clinical Pearls for NEET-PG:** * **Age of Onset:** Unlike Bruton’s (infancy), CVID typically presents later in life, usually in the **2nd or 3rd decade** (15–35 years). * **Clinical Features:** Recurrent pyogenic sinopulmonary infections (e.g., *H. influenzae*, *S. pneumoniae*) and *Giardia lamblia* infections. * **Associated Risks:** High risk of **autoimmune diseases** (e.g., Pernicious anemia, RA) and **malignancies** (especially B-cell lymphomas and Gastric carcinoma) [1]. * **Diagnosis:** Low IgG with low IgA and/or IgM, poor response to vaccines, and normal B cell counts. **References:** [1] Kumar V, Abbas AK, et al.. Robbins and Cotran Pathologic Basis of Disease. 9th ed. Diseases of the Immune System, pp. 249-250. [2] Kumar V, Abbas AK, et al.. Robbins and Cotran Pathologic Basis of Disease. 9th ed. Diseases of the Immune System, pp. 248-249.
Explanation: **Explanation:** **Secondary (AA) Amyloidosis** occurs due to the deposition of Amyloid Associated (AA) protein, which is derived from the precursor **Serum Amyloid A (SAA)** [1]. SAA is an acute-phase reactant synthesized by the liver in response to chronic inflammatory states. 1. **Why Tuberculosis is Correct:** Chronic granulomatous infections are the most common triggers for secondary amyloidosis. Globally and historically, **Tuberculosis (TB)** remains the leading cause of AA amyloidosis due to the persistent, long-term immune stimulation and cytokine release (specifically IL-1 and IL-6) that drives continuous SAA production [2]. Other common causes include Rheumatoid Arthritis, Bronchiectasis, and Osteomyelitis [1]. 2. **Analysis of Incorrect Options:** * **Actinomycosis:** While it is a chronic infection, it rarely leads to systemic amyloidosis compared to the high prevalence and systemic inflammatory burden of TB. * **Rabies:** This is an acute, rapidly fatal viral infection. Amyloidosis requires a **chronic** course (months to years) to allow for protein misfolding and deposition. * **Secondary Syphilis:** This is a subacute stage of infection. While tertiary syphilis could theoretically cause chronic issues, it is not a classic or common association for amyloidosis in modern pathology. **High-Yield Clinical Pearls for NEET-PG:** * **Precursor Protein:** SAA (Serum Amyloid A) [2]. * **Staining:** Shows **Apple-green birefringence** under polarized light with Congo Red stain. * **Organ Involvement:** The **Kidney** is the most common and earliest organ involved in secondary amyloidosis (presenting as nephrotic syndrome) [1]. * **Most common cause in developed countries:** Rheumatoid Arthritis. * **Most common cause in developing countries:** Tuberculosis. **References:** [1] Cross SS. Underwood's Pathology: A Clinical Approach. 6th ed. (Basic Pathology) introduces the student to key general principles of pathology, both as a medical science and as a clinical activity with a vital role in patient care. Part 2 (Disease Mechanisms) provides fundamental knowledge about the cellular and molecular processes involved in diseases, providing the rationale for their treatment. Part 3 (Systematic Pathology) deals in detail with specific diseases, with emphasis on the clinically important aspects., pp. 136-140. [2] Cross SS. Underwood's Pathology: A Clinical Approach. 6th ed. (Basic Pathology) introduces the student to key general principles of pathology, both as a medical science and as a clinical activity with a vital role in patient care. Part 2 (Disease Mechanisms) provides fundamental knowledge about the cellular and molecular processes involved in diseases, providing the rationale for their treatment. Part 3 (Systematic Pathology) deals in detail with specific diseases, with emphasis on the clinically important aspects., pp. 195-196.
Explanation: **Explanation:** The clinical presentation of numbness of the lower lip and chin in the absence of dental trauma or treatment is known as **Numb Chin Syndrome (NCS)** or **Mental Neuropathy**. **1. Why Metastatic Carcinoma is correct:** Numb Chin Syndrome is a red-flag clinical sign often indicating a malignancy [2]. It occurs due to the involvement of the **mental nerve** (a branch of the inferior alveolar nerve). In the absence of dental causes, the most common etiology is **metastatic infiltration** of the mandible or the base of the skull. The most frequent primary tumors metastasizing to the jaw are **breast and prostate cancers**, followed by lung cancer and lymphoreticular malignancies (like Non-Hodgkin Lymphoma) [1], [2]. The tumor cells compress or infiltrate the nerve, leading to localized anesthesia [1]. **2. Why other options are incorrect:** * **Central Nervous System Lesion:** While CNS lesions (like MS or stroke) can cause facial numbness, they typically involve larger distributions of the trigeminal nerve (V1, V2, V3) and are rarely isolated to just the mental nerve distribution (lip/chin). * **Osteomyelitis:** While inflammation of the bone can affect nerves, it is almost always accompanied by significant pain, swelling, fever, and a history of dental infection or trauma. * **Infection:** Localized infections (abscesses) usually present with inflammatory signs (rubor, tumor, calor, dolor). Isolated numbness without these signs is highly suspicious of malignancy. **High-Yield Clinical Pearls for NEET-PG:** * **Numb Chin Syndrome (NCS)** is often the *first* sign of systemic malignancy or its recurrence [1]. * **Mental Nerve** is the terminal branch of the **Inferior Alveolar Nerve** (Mandibular division of Trigeminal Nerve). * **Differential Diagnosis:** Always rule out dental procedures first; if absent, perform a thorough workup for occult malignancy (especially Breast/Prostate) [2]. **References:** [1] Kumar V, Abbas AK, et al.. Robbins and Cotran Pathologic Basis of Disease. 9th ed. The Central Nervous System, pp. 1317-1318. [2] Kumar V, Abbas AK, et al.. Robbins and Cotran Pathologic Basis of Disease. 9th ed. The Lower Urinary Tract and Male Genital System, pp. 993-994.
Explanation: **Explanation:** **Gastrointestinal Stromal Tumors (GIST)** are the most common mesenchymal neoplasms of the gastrointestinal tract, arising from the **Interstitial Cells of Cajal (ICC)**, which serve as the gut's pacemaker cells. 1. **Why KIT is Correct:** Approximately 75–85% of GISTs are driven by gain-of-function mutations in the **c-KIT (CD117)** proto-oncogene [1]. This gene encodes a Type III receptor tyrosine kinase. The mutation leads to constitutive activation of the receptor, promoting uncontrolled cell proliferation and survival [1]. This discovery revolutionized treatment, as GISTs are highly responsive to **Imatinib (Gleevec)**, a tyrosine kinase inhibitor [2]. 2. **Why Other Options are Incorrect:** * **RAS:** A family of GTPases (K-RAS, N-RAS, H-RAS) commonly mutated in pancreatic, colon, and lung adenocarcinomas, but not the primary driver in GIST. * **RET:** A receptor tyrosine kinase associated with **Multiple Endocrine Neoplasia (MEN) 2A and 2B**, and Medullary Thyroid Carcinoma. * **MYC:** A transcription factor (nuclear oncoprotein) frequently involved in lymphomas (e.g., **Burkitt Lymphoma** via t(8;14)) and various solid tumors. **High-Yield Clinical Pearls for NEET-PG:** * **Most common site:** Stomach (60%), followed by the small intestine (30%). * **Immunohistochemistry (IHC) Marker:** **CD117 (KIT)** is the gold standard diagnostic marker. **DOG1** (Discovered On GIST 1) is another highly sensitive and specific marker. * **Alternative Mutation:** About 5–10% of GISTs (often KIT-negative) harbor mutations in **PDGFRA** (Platelet-Derived Growth Factor Receptor Alpha) [1]. * **Histology:** Characterized by spindle cells or epithelioid cells. **References:** [1] Kumar V, Abbas AK, et al.. Robbins and Cotran Pathologic Basis of Disease. 9th ed. The Gastrointestinal Tract, pp. 782-783. [2] Kumar V, Abbas AK, et al.. Robbins and Cotran Pathologic Basis of Disease. 9th ed. The Gastrointestinal Tract, pp. 783-784.
Explanation: ***Perivascular pseudorosette*** - Characterized by **radial arrangement** of tumor cells around blood vessels with **fibrillary processes** extending toward the vessel wall, creating a perivascular pattern. - **Pathognomonic** for **ependymoma**, a glial tumor arising from ependymal cells lining the ventricles and central canal of the spinal cord. *Homer Wright rosette* - Features tumor cells arranged in a **circular pattern** around a **central tangle of neural filaments** without a true lumen. - Classically associated with **neuroblastoma** and **medulloepithelioma**, but not diagnostic as they can be seen in other neural tumors. *True rosette* - Contains a **central true lumen** lined by tumor cells, representing primitive neural tube formation. - Seen in **primitive neuroectodermal tumors (PNET)** and **medulloepithelioma**, but less specific than other rosette types. *Flexner Wintersteiner rosette* - Shows tumor cells arranged around a **central lumen** with terminal bars and **internal limiting membrane**, resembling retinal photoreceptors. - **Pathognomonic** for **retinoblastoma**, the most common primary intraocular malignancy in children.
Cell Injury and Cell Death
Practice Questions
Adaptations of Cellular Growth
Practice Questions
Accumulations and Deposits
Practice Questions
Acute and Chronic Inflammation
Practice Questions
Tissue Repair and Wound Healing
Practice Questions
Hemodynamic Disorders
Practice Questions
Genetic Disorders
Practice Questions
Environmental Pathology
Practice Questions
Nutritional Diseases
Practice Questions
Molecular Basis of Disease
Practice Questions
Get full access to all questions, explanations, and performance tracking.
Start For Free