A 40-year-old male patient complains of muscle and joint pain. The patient has a history of systemic lupus erythematosus. Which type of necrosis is typically associated with the vascular changes seen in this condition?
Which cluster of differentiation (CD) molecule serves as a marker for T lymphocytes?
The AGE-RAGE signaling axis is related to which of the following processes?
All of the following genetic conditions are associated with an increased risk for cancers except?
Apoptosis is inhibited by?
All are features of apoptosis EXCEPT?
ESR is a critical investigation in the diagnosis of TB. Which of the following is true about ESR in TB?
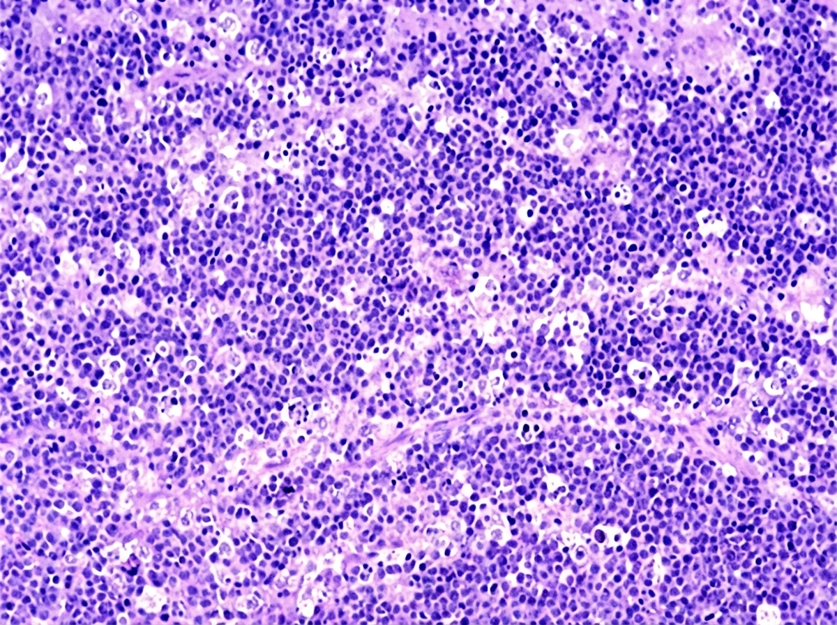
A 4-year-old African boy develops a rapidly enlarging mass that involves the right side of his face. Biopsies of this lesion are shown below. Which chromosomal translocation is associated with this neoplasm?

A 20-year-old female presents for an infertility workup. She has never had a menstrual period. She is short with a broad chest, webbed neck, and low-set ears. It is demonstrated that she has an abnormal karyotype. Which one of the following best describes the cause of this genetic abnormality?
Multiple epidermoid cysts are seen in which of the following conditions?
Explanation: ### Explanation **Correct Answer: D. Fibrinoid** **Why it is correct:** Fibrinoid necrosis is a specialized form of cell death typically seen in immune-mediated vascular damage [1]. In **Systemic Lupus Erythematosus (SLE)**, immune complexes (antigen-antibody complexes) are deposited in the walls of blood vessels [2]. These complexes, along with leaked plasma proteins (such as fibrin), create a bright pink, amorphous, "fibrin-like" appearance under Hematoxylin and Eosin (H&E) staining [1]. This is a hallmark of Type III hypersensitivity reactions and vasculitides [3]. **Why the other options are incorrect:** * **A. Coagulative Necrosis:** This is the most common pattern, typically caused by ischemia (infarction) in solid organs like the heart, kidney, or spleen. The architecture of the dead tissue is preserved for a few days. * **B. Liquefactive Necrosis:** Characterized by the digestion of dead cells into a liquid viscous mass. It is classically seen in focal bacterial/fungal infections (abscesses) and CNS infarcts (brain). * **C. Fat Necrosis:** Refers to focal areas of fat destruction, typically resulting from the release of activated pancreatic lipases (acute pancreatitis) or trauma to the breast. **High-Yield Clinical Pearls for NEET-PG:** * **Fibrinoid Necrosis** is also seen in **Malignant Hypertension**, Polyarteritis Nodosa (PAN), and the Aschoff bodies of Rheumatic Heart Disease. * **SLE** is a multisystem autoimmune disease characterized by **ANA positivity** and **Anti-dsDNA** (highly specific) [2]. * Remember: Fibrinoid necrosis is usually not visible macroscopically; it is primarily a microscopic diagnosis. **References:** [1] Kumar V, Abbas AK, et al.. Robbins and Cotran Pathologic Basis of Disease. 9th ed. Diseases of the Immune System, pp. 214-215. [2] Kumar V, Abbas AK, et al.. Robbins and Cotran Pathologic Basis of Disease. 9th ed. Diseases of the Immune System, pp. 230-232. [3] Cross SS. Underwood's Pathology: A Clinical Approach. 6th ed. Common Clinical Problems From Cardiovascular Disease, pp. 278-279.
Explanation: **Explanation:** The correct answer is **CD 8**. Cluster of Differentiation (CD) molecules are cell surface markers used to identify and classify leukocytes. **Why CD 8 is correct:** T lymphocytes are primarily divided into two subsets: Helper T cells and Cytotoxic T cells [1]. **CD 8** is the definitive marker for **Cytotoxic T lymphocytes**, which play a crucial role in cell-mediated immunity by killing virally infected or tumor cells [1]. While CD 3 is the pan-T cell marker [2], CD 8 (along with CD 4) is a standard marker used to identify T cell subpopulations in clinical pathology [2]. **Analysis of Incorrect Options:** * **CD 19 & CD 20:** These are primary markers for **B lymphocytes** [3]. CD 19 is expressed from the earliest stages of B-cell development, while CD 20 is a target for the monoclonal antibody Rituximab. * **CD 45:** Known as the **Leukocyte Common Antigen (LCA)**, it is expressed on all hematopoietic cells (except mature erythrocytes). It is used in immunohistochemistry to differentiate lymphomas from carcinomas, but it is not specific to T cells. **High-Yield Clinical Pearls for NEET-PG:** * **Pan-T cell markers:** CD 1, CD 2, **CD 3** (most specific), CD 5, and CD 7 [2]. * **MHC Restriction:** CD 4 cells interact with MHC Class II, while **CD 8 cells interact with MHC Class I** (Rule of 8: 4×2=8 and 8×1=8) [1]. * **NK Cell markers:** CD 16 (FcγRIII) and CD 56 [3]. * **Reed-Sternberg Cells (Hodgkin Lymphoma):** Characteristically **CD 15+ and CD 30+**. **References:** [1] Kumar V, Abbas AK, et al.. Robbins and Cotran Pathologic Basis of Disease. 9th ed. Diseases of the Immune System, p. 240. [2] Kumar V, Abbas AK, et al.. Robbins and Cotran Pathologic Basis of Disease. 9th ed. Diseases of the Immune System, pp. 198-199. [3] Kumar V, Abbas AK, et al.. Robbins and Cotran Pathologic Basis of Disease. 9th ed. Diseases of the Immune System, pp. 207-208.
Explanation: **Explanation:** The **AGE-RAGE signaling axis** is a hallmark of the pathogenesis of **Diabetes Mellitus**. 1. **Why Diabetes is Correct:** In states of chronic hyperglycemia, glucose undergoes non-enzymatic glycation with proteins (like hemoglobin or collagen). These early glycosylation products undergo further chemical rearrangements to form irreversible **Advanced Glycation End-products (AGEs)**. These AGEs bind to specific receptors called **RAGE (Receptor for AGE)**, found on inflammatory cells, endothelium, and vascular smooth muscle. This binding triggers the release of pro-inflammatory cytokines, generates Reactive Oxygen Species (ROS), and increases pro-coagulant activity, leading to diabetic complications like **microangiopathy, nephropathy, and accelerated atherosclerosis.** [1] 2. **Why Other Options are Incorrect:** * **Ageing:** While AGEs do accumulate slowly during normal ageing, the specific "AGE-RAGE axis" is the primary pathological driver of diabetic vascular damage rather than the physiological process of senescence. [1] * **Oncogenesis:** Cancer involves mutations in proto-oncogenes and tumor suppressor genes (e.g., TP53, RAS) [3]. While inflammation plays a role, the AGE-RAGE axis is not the primary signaling pathway for malignant transformation. * **Alzheimer Disease:** This is characterized by Amyloid-beta plaques and Tau protein tangles. Although RAGE can bind Amyloid-beta, the axis is classically associated with Diabetes in standard pathology textbooks (Robbins) [1]. **High-Yield Clinical Pearls for NEET-PG:** * **HbA1c** is a clinical measure of a specific AGE (glycated hemoglobin) used to monitor long-term glycemic control [2]. * **Cross-linking of Collagen:** AGEs cause cross-linking of Type I collagen in large vessels (decreasing elasticity) and Type IV collagen in basement membranes (increasing fluid filtration/leakiness) [1]. * **RAGE** is a member of the immunoglobulin superfamily of cell surface molecules. **References:** [1] Kumar V, Abbas AK, et al.. Robbins and Cotran Pathologic Basis of Disease. 9th ed. The Endocrine System, pp. 1118-1121. [2] Kumar V, Abbas AK, et al.. Robbins and Cotran Pathologic Basis of Disease. 9th ed. The Endocrine System, pp. 1109-1111. [3] Cross SS. Underwood's Pathology: A Clinical Approach. 6th ed. Common Clinical Problems From Liver And Biliary System Disease, pp. 435-436.
Explanation: **Explanation:** The correct answer is **None of the above** because all three listed genetic conditions—Down syndrome, Turner syndrome, and Neurofibromatosis type I—are well-documented to have a significantly increased predisposition to specific malignancies. 1. **Down Syndrome (Trisomy 21):** Individuals with Down syndrome have a 10- to 20-fold increased risk of developing acute leukemia. Specifically, they are prone to **Acute Megakaryoblastic Leukemia (AML-M7)** before the age of 3 and **Acute Lymphoblastic Leukemia (ALL)** after the age of 3. 2. **Turner Syndrome (45, XO):** While the overall cancer risk is not as high as in other syndromes, there is a specific increased risk for **Gonadoblastoma** (especially if Y-chromosome mosaicism is present) and a higher incidence of certain solid tumors like meningiomas and childhood brain tumors. 3. **Neurofibromatosis Type I (NF1):** Caused by a mutation in the *NF1* tumor suppressor gene (encoding Neurofibromin), this condition is characterized by a high risk of **Optic Nerve Gliomas**, **Malignant Peripheral Nerve Sheath Tumors (MPNST)**, Pheochromocytomas, and Juvenile Myelomonocytic Leukemia (JMML) [1]. **Clinical Pearls for NEET-PG:** * **GATA1 Mutation:** Highly associated with Transient Abnormal Myelopoiesis (TAM) and AML-M7 in Down syndrome patients. * **NF1 vs. NF2:** NF1 is associated with Lisch nodules and Optic gliomas; NF2 is associated with bilateral Acoustic Neuromas (Schwannomas). * **DNA Repair Defects:** Remember that conditions like Xeroderma Pigmentosum and Bloom Syndrome also carry high cancer risks due to defective DNA repair mechanisms [2]. **References:** [1] Kumar V, Abbas AK, et al.. Robbins and Cotran Pathologic Basis of Disease. 9th ed. Peripheral Nerves and Skeletal Muscles, pp. 1249-1250. [2] Kumar V, Abbas AK, et al.. Robbins and Cotran Pathologic Basis of Disease. 9th ed. Neoplasia, pp. 322-323.
Explanation: Apoptosis (programmed cell death) is regulated by a balance between pro-apoptotic and anti-apoptotic proteins. [1] **1. Why Bcl-2 is correct:** **Bcl-2** is the prototypical **anti-apoptotic** protein. It resides in the outer mitochondrial membrane and functions by stabilizing the membrane and preventing the leakage of Cytochrome C into the cytosol. [2] It achieves this by inhibiting the pro-apoptotic "gatekeepers" (BAX and BAK). When Bcl-2 is overexpressed, the cell becomes resistant to apoptosis, a hallmark of many cancers. [3] **2. Why the other options are incorrect:** * **p53 (Option A):** Known as the "Guardian of the Genome," p53 **promotes** apoptosis. When DNA damage is irreparable, p53 upregulates pro-apoptotic proteins like BAX and PUMA. [1] * **N-myc (Option B):** This is an oncogene often amplified in neuroblastoma. While it promotes cell proliferation, it does not directly inhibit the apoptotic machinery in the same way Bcl-2 does; in fact, excessive Myc signaling can sometimes trigger p53-mediated apoptosis. [1] * **RAS (Option C):** RAS is a proto-oncogene involved in signal transduction for cell growth and differentiation. While it promotes survival pathways (like PI3K/AKT), it is not primarily defined as an apoptosis inhibitor in the context of the Bcl-2 family regulation. **Clinical Pearls for NEET-PG:** * **Bcl-2 Family:** Divided into Anti-apoptotic (Bcl-2, Bcl-xL, MCL-1), Pro-apoptotic (BAX, BAK), and BH3-only sensors (BAD, BIM, PUMA, NOXA). [2] * **Follicular Lymphoma:** Characterized by the **t(14;18)** translocation, which leads to the overexpression of Bcl-2, preventing the death of B-cells. [3] * **Caspases:** The executioners of apoptosis; **Caspase 9** is the initiator for the intrinsic (mitochondrial) pathway, while **Caspase 8/10** are initiators for the extrinsic (death receptor) pathway. [2] **References:** [1] Kumar V, Abbas AK, et al.. Robbins and Cotran Pathologic Basis of Disease. 9th ed. Neoplasia, p. 310. [2] Kumar V, Abbas AK, et al.. Robbins and Cotran Pathologic Basis of Disease. 9th ed. Cellular Responses to Stress and Toxic Insults: Adaptation, Injury, and Death, pp. 64-67. [3] Kumar V, Abbas AK, et al.. Robbins and Cotran Pathologic Basis of Disease. 9th ed. Neoplasia, pp. 310-311.
Explanation: Apoptosis is a pathway of programmed cell death induced by a tightly regulated intracellular program. The hallmark of apoptosis is that the cell dies without spilling its contents, thereby avoiding an inflammatory response [1]. **Why Option C is the Correct Answer:** In **apoptosis**, the plasma membrane remains **intact** but undergoes structural alterations (like phosphatidylserine flipping to the outer leaflet) to signal phagocytes [1]. **Disruption of the plasma membrane** is a characteristic feature of **necrosis**, where the loss of membrane integrity leads to the leakage of cellular contents and subsequent inflammation [1]. **Analysis of Incorrect Options:** * **A. Absence of adjacent inflammation:** Since apoptotic bodies are membrane-bound and rapidly cleared by macrophages, there is no release of inflammatory mediators [1]. * **B. Fragmentation of nuclei:** This is a classic feature. The nucleus undergoes pyknosis (condensation), followed by karyorrhexis (fragmentation) into nucleosome-sized pieces due to internucleosomal DNA cleavage by endonucleases [1]. * **D. Shrinkage of cell size:** Unlike necrosis (where cells swell), apoptotic cells shrink, and the cytoplasm becomes dense with tightly packed organelles [1]. **High-Yield Pearls for NEET-PG:** * **Gold Standard for Detection:** DNA Laddering on electrophoresis (represents internucleosomal cleavage). * **Morphological Hallmark:** Formation of membrane-bound **apoptotic bodies** [1]. * **Key Enzymes:** **Caspases** (Cysteine aspartate-specific proteases) [1]. * **Most Characteristic Feature:** Chromatin condensation (Pyknosis). * **Marker for Phagocytosis:** Presence of **Phosphatidylserine** on the outer layer of the plasma membrane (detected by Annexin V) [1]. **References:** [1] Kumar V, Abbas AK, et al.. Robbins and Cotran Pathologic Basis of Disease. 9th ed. Cellular Responses to Stress and Toxic Insults: Adaptation, Injury, and Death, pp. 53-71.
Explanation: ### **Explanation** **Correct Answer: C. ESR is raised due to increased RBC aggregation** **Mechanism:** The Erythrocyte Sedimentation Rate (ESR) is a non-specific marker of inflammation. In chronic infections like Tuberculosis (TB), there is a significant increase in **acute-phase reactants**, particularly **Fibrinogen** and globulins [1]. These large, asymmetrical proteins carry positive charges that neutralize the negative surface charge (Zeta potential) of Red Blood Cells (RBCs). This neutralization allows RBCs to stack together like coins, a phenomenon known as **Rouleaux formation** (aggregation) [1]. Aggregated RBCs have a lower surface-area-to-volume ratio than individual cells, causing them to sediment faster through the plasma, thereby increasing the ESR. **Analysis of Incorrect Options:** * **Option A:** TB is a chronic granulomatous infection that triggers a systemic inflammatory response [3]; therefore, ESR is almost always elevated, not unchanged. * **Option B:** While a falling ESR may suggest a response to treatment, it **does not confirm recovery**. Clinical improvement and microbiological clearance (sputum conversion) are the gold standards for recovery. * **Option D:** ESR is generally **inversely proportional to RBC size** in certain anemias (e.g., macrocytes sediment faster), but in TB, the primary driver is plasma protein composition (aggregation), not a decrease in cell size. **High-Yield Clinical Pearls for NEET-PG:** * **Westergren Method:** The most common and preferred method for measuring ESR. * **Factors increasing ESR:** Pregnancy, Anemia (except Sickle cell), Malignancy (Multiple Myeloma shows very high ESR) [1], and Infections [2]. * **Factors decreasing ESR:** Polycythemia, Afibrinogenemia, Spherocytosis, and Sickle cell anemia (due to abnormal shape interfering with Rouleaux formation). * **Extreme ESR (>100 mm/hr):** Think of Multiple Myeloma, Metastatic Cancer, Temporal Arteritis, or TB [2]. **References:** [1] Kumar V, Abbas AK, et al.. Robbins and Cotran Pathologic Basis of Disease. 9th ed. Diseases of White Blood Cells, Lymph Nodes, Spleen, and Thymus, pp. 607-608. [2] Cross SS. Underwood's Pathology: A Clinical Approach. 6th ed. (Basic Pathology) introduces the student to key general principles of pathology, both as a medical science and as a clinical activity with a vital role in patient care. Part 2 (Disease Mechanisms) provides fundamental knowledge about the cellular and molecular processes involved in diseases, providing the rationale for their treatment. Part 3 (Systematic Pathology) deals in detail with specific diseases, with emphasis on the clinically important aspects., pp. 195-196. [3] Kumar V, Abbas AK, et al.. Robbins and Cotran Pathologic Basis of Disease. 9th ed. Inflammation and Repair, pp. 109-110.
Explanation: ***c-myc*** - The clinical presentation of a rapidly enlarging facial mass in an **African child** is classic for **endemic Burkitt lymphoma**, which is associated with the **t(8;14) translocation** involving the **c-myc oncogene**. - Endemic Burkitt lymphoma characteristically presents as **jaw and facial bone tumors** in children from **malaria-endemic regions** of Africa, with the **c-myc translocation** being the hallmark genetic abnormality. *bcl-2* - The **bcl-2 oncogene** is associated with **follicular lymphoma** and some cases of **diffuse large B-cell lymphoma** through the **t(14;18) translocation**. - **bcl-2** prevents **apoptosis** and is typically seen in **indolent B-cell lymphomas** affecting adults, not rapidly growing pediatric facial masses. *N-myc* - **N-myc amplification** is characteristically associated with **neuroblastoma**, a common pediatric tumor arising from **neural crest cells**. - Neuroblastoma typically presents as **abdominal masses** or **adrenal tumors** in young children, not as facial bone lesions. *erb-B* - The **erb-B (HER2/neu) oncogene** is associated with **breast carcinoma** and **gastric adenocarcinoma** in adults. - **erb-B overexpression** is linked to **epithelial malignancies** and is not associated with **B-cell lymphomas** or pediatric hematologic malignancies.
Explanation: ### **Explanation** The clinical presentation described—**short stature, primary amenorrhea, webbed neck, broad (shield) chest, and low-set ears**—is a classic description of **Turner Syndrome** [1]. **1. Why Monosomy is Correct:** Turner Syndrome is most commonly caused by **Monosomy X (45, XO)**, where one of the X chromosomes is partially or completely missing [1]. This occurs due to **nondisjunction** during meiosis (most commonly paternal). It is the only monosomy compatible with life [2]. The lack of a second X chromosome leads to "streak ovaries" (accelerated oocyte loss), resulting in primary amenorrhea and infertility. **2. Why Incorrect Options are Wrong:** * **A. Trisomy:** This refers to an extra chromosome (e.g., Trisomy 21 in Down Syndrome). While Trisomy X (47, XXX) exists, it typically presents with tall stature and few physical abnormalities, unlike the short stature seen here [2]. * **C. Trinucleotide Repeat:** This involves the expansion of specific DNA sequences (e.g., CGG in Fragile X Syndrome or CAG in Huntington’s Disease). These do not typically cause the gross structural/phenotypic changes seen in Turner Syndrome [3]. * **D. Translocation:** While Robertsonian or reciprocal translocations can cause genetic disorders (like some cases of Down Syndrome), they are not the primary cause of the classic Turner phenotype described [4]. **3. High-Yield Clinical Pearls for NEET-PG:** * **Karyotype:** 45, XO (50% of cases); others include mosaics (45,XO/46,XX) or isochromosomes [4]. * **Cardiac Association:** Bicuspid aortic valve (most common) and Coarctation of the aorta. * **Renal Association:** Horseshoe kidney. * **Hormonal Profile:** Hypergonadotropic hypogonadism (High FSH/LH, Low Estrogen). * **Lymphedema:** Webbed neck and puffy hands/feet in neonates are due to lymphatic obstruction. **References:** [1] Kumar V, Abbas AK, et al.. Robbins and Cotran Pathologic Basis of Disease. 9th ed. Genetic Disorders, pp. 175-177. [2] Kumar V, Abbas AK, et al.. Robbins and Cotran Pathologic Basis of Disease. 9th ed. Genetic Disorders, pp. 168-169. [3] Kumar V, Abbas AK, et al.. Robbins and Cotran Pathologic Basis of Disease. 9th ed. Genetic Disorders, pp. 174-175. [4] Kumar V, Abbas AK, et al.. Robbins and Cotran Pathologic Basis of Disease. 9th ed. Genetic Disorders, pp. 169-170.
Explanation: **Explanation:** **Gardner’s Syndrome** is a clinical variant of Familial Adenomatous Polyposis (FAP), inherited in an autosomal dominant fashion due to mutations in the **APC gene** on chromosome 5q21 [1]. It is characterized by a distinct triad of: 1. **Colonic Polyposis:** Thousands of adenomatous polyps with a 100% risk of progression to colorectal carcinoma [1]. 2. **Osteomas:** Benign bony growths, most commonly involving the mandible and skull. 3. **Soft Tissue Tumors:** Specifically **multiple epidermoid cysts**, desmoid tumors, and fibromas. The presence of multiple epidermoid cysts in a young patient is a high-yield clinical marker that should prompt an evaluation for occult colonic polyposis. **Analysis of Incorrect Options:** * **Turcot’s Syndrome:** Also a variant of FAP, but it is characterized by the association of colonic polyps with **Central Nervous System (CNS) tumors** (e.g., Medulloblastoma or Glioblastoma Multiforme), not skin cysts. * **Peutz-Jeghers Syndrome:** An autosomal dominant condition (STK11 mutation) featuring hamartomatous polyps and **mucocutaneous hyperpigmentation** (melanotic macules on lips and oral mucosa) [1]. * **Familial Polyposis Coli (FAP):** While Gardner’s is a subtype of FAP, the term "FAP" typically refers to the isolated colonic manifestation without the extra-colonic features like epidermoid cysts or osteomas [1]. **NEET-PG High-Yield Pearls:** * **CHRPE:** Congenital Hypertrophy of Retinal Pigment Epithelium is often the earliest detectable sign of Gardner’s Syndrome. * **Desmoid Tumors:** These are aggressive fibromatoses that frequently occur post-surgery in Gardner’s patients. * **Mnemonic for Gardner’s:** "**S**oft tissue tumors (Cysts), **O**steomas, **D**esmoids, **A**PC gene" (**SODA**). **References:** [1] Kumar V, Abbas AK, et al.. Robbins and Cotran Pathologic Basis of Disease. 9th ed. The Gastrointestinal Tract, pp. 821-822.
Cell Injury and Cell Death
Practice Questions
Adaptations of Cellular Growth
Practice Questions
Accumulations and Deposits
Practice Questions
Acute and Chronic Inflammation
Practice Questions
Tissue Repair and Wound Healing
Practice Questions
Hemodynamic Disorders
Practice Questions
Genetic Disorders
Practice Questions
Environmental Pathology
Practice Questions
Nutritional Diseases
Practice Questions
Molecular Basis of Disease
Practice Questions
Get full access to all questions, explanations, and performance tracking.
Start For Free