Which of the following is FALSE regarding a granuloma?
Fats are stained by which of the following methods?
Which of the following is an example of physiological atrophy?
All of the following can trigger sensors of cell damage in the cytoplasm, except:
Which fixative is commonly used in histopathology?
The gene that predisposes to retinoblastoma is located at which chromosomal band?
Irregular opaque areas are found on radiographs of lower anterior teeth. The teeth are vital. What may be the cause?
Green discoloration on the surface of teeth is due to which of the following?
Pyroptosis is associated with which of the following cytokines?
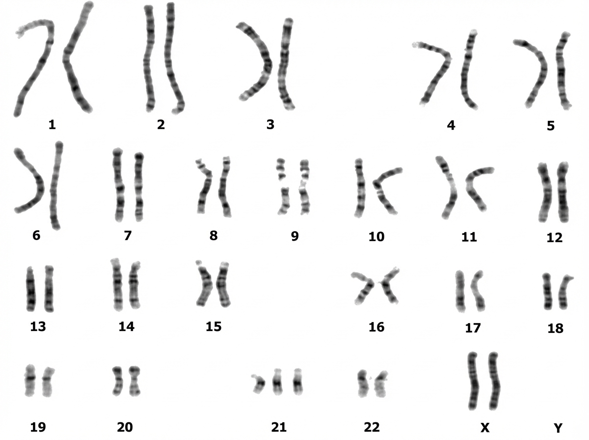
This gene mapping indicates:

Explanation: ### Explanation The question asks to identify the **FALSE** statement regarding a **Dental Granuloma** (Periapical Granuloma), often compared clinically and radiographically with a **Periapical Cyst** (Radicular Cyst). Although the term is common, it does not represent true granulomatous inflammation [1]. #### Why Option D is the Correct (False) Statement: **Aspiration of straw-colored fluid** is the classic diagnostic feature of a **Periapical Cyst**, not a granuloma. The fluid in a cyst contains cholesterol crystals (Shimmery appearance) and is a result of cystic lumen formation. In contrast, a **granuloma** is a solid mass of chronic inflammatory tissue (granulation tissue); therefore, it yields a **"dry tap"** or only a few drops of blood upon aspiration [1]. #### Analysis of Other Options: * **Option A (Size):** Granulomas are typically smaller than cysts. Generally, a periapical radiolucency less than 1.5 cm in diameter is more likely to be a granuloma, whereas larger lesions (>2 cm) are more likely to be cysts. * **Option B (Dye Intake):** In contrastography, because a granuloma is a solid soft-tissue mass, it has no central lumen to accommodate a significant volume of radiopaque dye. A cyst, being hollow, can take in a larger volume. * **Option C (Electrophoresis):** Serum protein electrophoresis of a granuloma typically shows a faint to moderate albumin pattern. In contrast, a cyst shows a more intense pattern due to the presence of inflammatory exudate and higher protein content in the cystic fluid. ### NEET-PG Clinical Pearls: * **Histology:** A granuloma consists of a fibrous capsule, capillaries, and an inflammatory infiltrate (lymphocytes, plasma cells, and **Rushton bodies** if transitioning to a cyst). * **Pathogenesis:** Both arise from pulpal necrosis, but a cyst specifically requires the proliferation of the **Epithelial Rests of Malassez**. * **Radiology:** Both appear as well-defined periapical radiolucencies; definitive differentiation is only possible via **histopathology** [1]. **References:** [1] Kumar V, Abbas AK, et al.. Robbins and Cotran Pathologic Basis of Disease. 9th ed. Head and Neck, pp. 741-742.
Explanation: **Explanation:** **Correct Answer: B. Oil Red O** Fats (lipids) are hydrophobic and do not react chemically with standard dyes. Instead, they are stained using **physical solubility** principles. Oil Red O is a lysochrome (fat-soluble dye) that dissolves in the lipid droplets, coloring them bright red. * **Crucial Concept:** To demonstrate lipids, tissues must be processed using **frozen sections (cryostat)** [2]. Standard paraffin embedding involves alcohols and xylol, which dissolve fats, leaving behind empty vacuoles (as seen in "clear cell" changes or fatty liver on H&E) [1]. **Analysis of Incorrect Options:** * **A. Hematoxylin and Eosin (H&E):** This is the routine structural stain. It does not stain fat; lipids appear as clear, unstained spaces because they are washed out during processing [1]. * **C. Periodic Acid Schiff (PAS):** This stain is used to demonstrate **glycogen**, mucopolysaccharides, and basement membranes. It stains these structures magenta/purple. * **D. GMS (Gomori Methenamine Silver):** This is a specialized silver stain primarily used to identify **fungal elements** (e.g., *Pneumocystis jirovecii*, *Candida*) and certain bacteria. **High-Yield Clinical Pearls for NEET-PG:** * **Other Fat Stains:** Sudan Black B (most sensitive for phospholipids) and Sudan IV. * **Osmium Tetroxide:** The only stain that chemically fixes fat and can be used on paraffin sections (turns fat black). * **Clinical Application:** Oil Red O is used to diagnose **Fat Embolism Syndrome** (identifying fat globules in sputum or urine) and to confirm **steatosis** (fatty liver) [1]. **References:** [1] Kumar V, Abbas AK, et al.. Robbins and Cotran Pathologic Basis of Disease. 9th ed. Liver and Gallbladder, pp. 848-850. [2] Cross SS. Underwood's Pathology: A Clinical Approach. 6th ed. (Basic Pathology) introduces the student to key general principles of pathology, both as a medical science and as a clinical activity with a vital role in patient care. Part 2 (Disease Mechanisms) provides fundamental knowledge about the cellular and molecular processes involved in diseases, providing the rationale for their treatment. Part 3 (Systematic Pathology) deals in detail with specific diseases, with emphasis on the clinically important aspects., pp. 25-26.
Explanation: **Explanation:** **Physiological atrophy** refers to the shrinkage of organs or tissues as a part of normal development or natural biological processes, rather than as a result of disease. **1. Why Option A is correct:** The **decrease in uterus size after delivery** (involution) is a classic example of physiological atrophy. During pregnancy, the uterus undergoes massive hypertrophy and hyperplasia due to hormonal stimulation (estrogen). Once the stimulus is removed post-delivery, the cells decrease in size through a combination of protein degradation and apoptosis to return the organ to its near-pre-gestational state. Other examples include the atrophy of the thyroglossal duct during fetal development and the involution of the thymus during puberty. **2. Why other options are incorrect:** * **Option B (Disuse atrophy):** This is **pathological**. It occurs when a limb is immobilized (e.g., in a plaster cast) [1]. The lack of mechanical load leads to a decrease in cell size and number [1]. * **Option C (Denervation atrophy):** This is **pathological**. Skeletal muscle health depends on trophic signals from nerves. Damage to the nerve (e.g., polio or trauma) leads to rapid muscle fiber shrinkage [1]. * **Option D (Senile atrophy):** While aging is a natural process, senile atrophy (especially of the brain or heart) is generally classified under **pathological atrophy** because it is often associated with reduced blood supply (atherosclerosis) and chronic cell loss [2]. **High-Yield NEET-PG Pearls:** * **Mechanism:** Atrophy involves a combination of **decreased protein synthesis** and **increased protein degradation** via the **Ubiquitin-Proteasome Pathway**. * **Autophagy:** Atrophied cells often show increased "autophagic vacuoles," where the cell eats its own components to survive nutrient deprivation. * **Lipofuscin:** In chronic atrophy (especially in the heart), undigested lipid debris from autophagy can accumulate as "wear-and-tear" pigment, leading to **Brown Atrophy**. **References:** [1] Cross SS. Underwood's Pathology: A Clinical Approach. 6th ed. (Basic Pathology) introduces the student to key general principles of pathology, both as a medical science and as a clinical activity with a vital role in patient care. Part 2 (Disease Mechanisms) provides fundamental knowledge about the cellular and molecular processes involved in diseases, providing the rationale for their treatment. Part 3 (Systematic Pathology) deals in detail with specific diseases, with emphasis on the clinically important aspects., pp. 90-91. [2] Kumar V, Abbas AK, et al.. Robbins and Cotran Pathologic Basis of Disease. 9th ed. Cellular Responses to Stress and Toxic Insults: Adaptation, Injury, and Death, pp. 47-49.
Explanation: This question tests your knowledge of the **Inflammasome**, a multiprotein cytoplasmic complex that recognizes products of dead cells and microbial toxins, triggering the activation of Caspase-1 and the release of IL-1β [1]. ### **Explanation of the Correct Answer** **Option C (Increased intracellular potassium ion concentration)** is the correct answer because it is actually a **decrease** in intracellular potassium (efflux) that triggers the inflammasome [1]. Under normal physiological conditions, intracellular potassium ($K^+$) is high. When the cell membrane is damaged or specific ion channels are opened (e.g., by ATP or toxins), $K^+$ leaks out of the cell. This **low intracellular potassium** concentration is a primary signal for the assembly of the **NLRP3 inflammasome** [1]. ### **Analysis of Incorrect Options** * **Option A (ATP):** Extracellular ATP is a potent "danger signal." When cells die, they release ATP into the interstitium. This ATP binds to P2X7 receptors on neighboring cells, causing $K^+$ efflux and activating the inflammasome [1]. * **Option B (DNA):** Cytoplasmic DNA is a hallmark of cell damage or viral infection. Sensors like AIM2 (Absent in Melanoma 2) detect double-stranded DNA in the cytoplasm to initiate an inflammatory response [2]. * **Option D (Uric acid):** Uric acid is a byproduct of DNA/purine breakdown. In states of excessive cell death, it crystallizes into monosodium urate, which is a well-known endogenous activator of the NLRP3 inflammasome (the mechanism behind Gout) [1]. ### **NEET-PG High-Yield Pearls** * **The Inflammasome Pathway:** Sensor (NLRP3) → Adaptor (ASC) → Enzyme (**Caspase-1**) → Cytokine activation (**IL-1β** and IL-18) [1], [2]. * **Pyroptosis:** A form of programmed cell death associated with inflammation, mediated by the inflammasome and Caspase-1 [2]. * **Clinical Correlation:** Gain-of-function mutations in NLRP3 lead to **Cryopyrin-Associated Periodic Syndromes (CAPS)**, characterized by spontaneous fever and inflammation, treated with IL-1 antagonists (e.g., Anakinra). **References:** [1] Kumar V, Abbas AK, et al.. Robbins and Cotran Pathologic Basis of Disease. 9th ed. Diseases of the Immune System, p. 196. [2] Kumar V, Abbas AK, et al.. Robbins and Cotran Pathologic Basis of Disease. 9th ed. Cellular Responses to Stress and Toxic Insults: Adaptation, Injury, and Death, p. 71.
Explanation: **Explanation:** Fixation is the most crucial step in histopathology, aimed at preserving cells and tissues in a life-like state by preventing autolysis and putrefaction [1]. **Why 10% Buffered Neutral Formalin (BNF) is the Correct Answer:** 10% BNF is the **"Gold Standard"** and the most widely used fixative in routine histopathology. It is a solution of 4% formaldehyde gas in water, buffered to a neutral pH (7.0) to prevent the formation of formalin pigment (acid formaldehyde hematin). It works by forming cross-links between amino acids (methylene bridges), preserving morphology excellently for long-term storage and allowing for a wide range of subsequent stains, including Immunohistochemistry (IHC). **Analysis of Incorrect Options:** * **Bouin’s Fixative:** Contains picric acid. It is excellent for preserving delicate structures like **testicular biopsies** and GI tract biopsies, but it causes RBC lysis and is not used for routine large specimens. * **Glutaraldehyde:** Primarily used for **Electron Microscopy (EM)**. It provides superior preservation of ultrastructural details but penetrates tissues very slowly and makes them too brittle for routine light microscopy. * **Ethyl Alcohol:** A dehydrating fixative used mainly for **cytology smears** (e.g., Pap smears) [1]. It causes significant tissue shrinkage and is not ideal for routine tissue blocks. **High-Yield Clinical Pearls for NEET-PG:** * **Best fixative for Electron Microscopy:** Glutaraldehyde (Primary), Osmium Tetroxide (Secondary). * **Best fixative for Enzyme Histochemistry:** Frozen section (Liquid Nitrogen) [1]. * **Best fixative for Renal/Skin Biopsies (Immunofluorescence):** Michel’s Medium. * **Fixative for Gout (Urate crystals):** Absolute Alcohol (as urates are water-soluble). **References:** [1] Cross SS. Underwood's Pathology: A Clinical Approach. 6th ed. (Basic Pathology) introduces the student to key general principles of pathology, both as a medical science and as a clinical activity with a vital role in patient care. Part 2 (Disease Mechanisms) provides fundamental knowledge about the cellular and molecular processes involved in diseases, providing the rationale for their treatment. Part 3 (Systematic Pathology) deals in detail with specific diseases, with emphasis on the clinically important aspects., pp. 25-26.
Explanation: ### Explanation **Correct Option: A. Chromosome 13q14** The **RB1 gene**, the first tumor suppressor gene discovered, is located on the long arm (q) of **chromosome 13 at band 14** [1]. According to Knudson’s "Two-Hit Hypothesis," both alleles of the RB1 gene must be inactivated for retinoblastoma to develop [1], [2]. The RB protein (pRb) is a critical regulator of the **G1/S checkpoint** in the cell cycle; it binds to the E2F transcription factor, preventing the cell from entering the S-phase. Loss of this gene leads to unregulated cell proliferation. **Analysis of Incorrect Options:** * **B. Chromosome 15q11:** This region is associated with **Prader-Willi Syndrome** and **Angelman Syndrome**, involving genomic imprinting defects. * **C. Chromosome 11p13:** This is the location of the **WT1 gene**, which is associated with **Wilms tumor** (nephroblastoma) and WAGR syndrome. * **D. Chromosome 22q11:** Deletions in this region cause **DiGeorge Syndrome** and Velocardiofacial syndrome. It is also the site of the *NF2* gene (Neurofibromatosis type 2). **NEET-PG High-Yield Pearls:** * **Two-Hit Hypothesis:** In familial cases, the first hit is inherited (germline), and the second is somatic. In sporadic cases, both hits are somatic [1]. * **Secondary Malignancy:** Patients with hereditary retinoblastoma have a significantly increased risk of developing **Osteosarcoma** later in life. * **Histology:** Look for **Flexner-Wintersteiner rosettes** (pathognomonic for retinoblastoma). * **Clinical Sign:** The most common presenting sign is **Leukocoria** (white pupillary reflex). **References:** [1] Kumar V, Abbas AK, et al.. Robbins and Cotran Pathologic Basis of Disease. 9th ed. Neoplasia, p. 300. [2] Cross SS. Underwood's Pathology: A Clinical Approach. 6th ed. (Basic Pathology) introduces the student to key general principles of pathology, both as a medical science and as a clinical activity with a vital role in patient care. Part 2 (Disease Mechanisms) provides fundamental knowledge about the cellular and molecular processes involved in diseases, providing the rationale for their treatment. Part 3 (Systematic Pathology) deals in detail with specific diseases, with emphasis on the clinically important aspects., pp. 227-228.
Explanation: **Explanation:** The presence of **irregular opaque areas** on radiographs of lower anterior teeth, specifically when the teeth are **vital**, is a classic presentation of **subgingival calculus**. Calculus is mineralized plaque that contains calcium phosphate salts, making it radiopaque [1]. On a radiograph, it typically appears as irregular, spicule-like, or wedge-shaped projections on the proximal surfaces of the teeth. The lower anterior region is a high-predilection site due to its proximity to the openings of the submandibular and sublingual salivary ducts. **Analysis of Incorrect Options:** * **Cementoma (Periapical Cemento-osseous Dysplasia):** While it appears as a radiopacity in its mature stage, it is located within the bone at the apex of the tooth, not on the tooth surface. * **Condensing Osteitis:** This is a reaction to low-grade infection or inflammation. It presents as a diffuse radiopacity at the root apex and is associated with **non-vital** or pulpally involved teeth. * **Chronic Apical Periodontitis:** This typically presents as a **radiolucency** (not opacity) at the apex, indicating bone resorption due to pulpal necrosis. **Clinical Pearls for NEET-PG:** * **Vitality is the key:** If the teeth are vital, inflammatory periapical pathologies like condensing osteitis or apical periodontitis are ruled out. * **Calculus "Spurs":** Radiographically, calculus is often described as "spurs" or "ring-like" opacities around the cervical neck of the tooth [1]. * **Location:** The most common sites for calculus are the lingual surfaces of mandibular incisors and the buccal surfaces of maxillary molars (near Stensen’s duct) [1]. **References:** [1] Kumar V, Abbas AK, et al.. Robbins and Cotran Pathologic Basis of Disease. 9th ed. The Lung, pp. 734-735.
Explanation: **Explanation:** The correct answer is **Nasmyth’s membrane** (Option C). **1. Why Nasmyth’s Membrane is Correct:** Nasmyth’s membrane, also known as the **primary enamel cuticle**, is a thin, delicate tissue derived from the reduced enamel epithelium and the oral epithelium. It covers the crown of newly erupted deciduous and permanent teeth. This membrane has a high affinity for picking up extrinsic stains from chromogenic bacteria and food debris, which often results in a characteristic **greenish or yellowish-green discoloration** on the tooth surface. It eventually wears away through mastication and toothbrushing. **2. Analysis of Incorrect Options:** * **A. Porphyria:** Congenital erythropoietic porphyria causes a **reddish-brown or purplish** discoloration (erythrodontia) due to the deposition of porphyrins in the dentin and enamel. These teeth fluoresce red under Wood’s lamp. * **B. Internal Resorption:** This is a pathological process where dentin is resorbed from the inside out. It typically presents as a **"Pink Spot of Mummery"** because the vascular pulp tissue becomes visible through the thinned remaining enamel. * **C. Silver:** Chronic exposure to silver (Argyria) or the use of silver-containing dental materials (like amalgams) typically results in a **grey or black** discoloration. **3. NEET-PG High-Yield Pearls:** * **Tetracycline Staining:** Causes yellow/brown/grey bands; occurs if taken during tooth calcification (avoid in pregnancy and children <8 years). * **Fluorosis:** Presents as **mottled enamel** with opaque white spots or brown pitting (due to >1.5-2 ppm fluoride in water). * **Bilirubin (Erythroblastosis Fetalis):** Can cause a **greenish-blue** intrinsic discoloration due to bile pigment deposition in the primary teeth.
Explanation: **Explanation:** **Pyroptosis** is a specialized form of programmed cell death that uniquely triggers an intense inflammatory response. It is primarily mediated by the activation of the **Inflammasome** (a multi-protein intracellular complex) [1]. 1. **Why IL-1 is Correct:** The hallmark of pyroptosis is the activation of **Caspase-1** (and sometimes Caspase-4/5/11). Caspase-1 performs two critical functions: * It cleaves the precursor **Pro-IL-1̢** into its active, potent inflammatory form, **IL-1̢** [1]. * It cleaves **Gasdermin D**, which forms pores in the plasma membrane. These pores allow the swelling, osmotic lysis of the cell, and the massive release of IL-1 into the extracellular space, recruiting further inflammatory cells. 2. **Why Other Options are Incorrect:** * **IL-2:** Primarily a T-cell growth factor involved in adaptive immunity and lymphocyte proliferation. * **IL-5:** Involved in eosinophil activation and recruitment; it is a key cytokine in Type I hypersensitivity and helminthic infections. * **IL-6:** A major pro-inflammatory cytokine involved in the acute phase response (CRP production), but it is not the direct product of the inflammasome-caspase-1 pathway that defines pyroptosis. **High-Yield Clinical Pearls for NEET-PG:** * **Key Molecule:** **Gasdermin D** is the "pore-forming" protein essential for pyroptosis. * **Mechanism:** Unlike apoptosis (which is "silent"), pyroptosis is **pro-inflammatory** due to the release of IL-1 and IL-18 [1]. * **Infectious Link:** It is often triggered by intracellular pathogens (e.g., *Salmonella*, *Shigella*) to eliminate the niche of the pathogen while alerting the immune system. * **Distinction:** While apoptosis uses Caspase-3, 8, and 9, pyroptosis is defined by **Caspase-1** [1]. **References:** [1] Kumar V, Abbas AK, et al.. Robbins and Cotran Pathologic Basis of Disease. 9th ed. Diseases of the Immune System, p. 196.
Explanation: ***Down's syndrome*** - The gene mapping/karyotype shows **trisomy 21** (47,XY+21 or 47,XX+21), which is the characteristic chromosomal abnormality for Down's syndrome. - This extra chromosome 21 causes the classic features including **intellectual disability**, **characteristic facial features**, and increased risk of **congenital heart defects**. *Klinefelter syndrome* - Caused by **XXY karyotype** (47,XXY), not trisomy 21 as shown in the gene mapping. - Presents with **hypogonadism**, **tall stature**, and **infertility** in males, not the features associated with chromosome 21. *Cri du chat syndrome* - Results from **deletion of chromosome 5p** (5p- syndrome), not an extra chromosome 21. - Characterized by a distinctive **high-pitched cry**, **microcephaly**, and **severe intellectual disability**. *Eagle's syndrome* - This is **not a chromosomal disorder** and would not be identified through gene mapping or karyotype analysis. - It's an anatomical condition involving **elongated styloid process** causing throat and neck pain, unrelated to genetic abnormalities.
Cell Injury and Cell Death
Practice Questions
Adaptations of Cellular Growth
Practice Questions
Accumulations and Deposits
Practice Questions
Acute and Chronic Inflammation
Practice Questions
Tissue Repair and Wound Healing
Practice Questions
Hemodynamic Disorders
Practice Questions
Genetic Disorders
Practice Questions
Environmental Pathology
Practice Questions
Nutritional Diseases
Practice Questions
Molecular Basis of Disease
Practice Questions
Get full access to all questions, explanations, and performance tracking.
Start For Free