All are true about the esophageal condition shown in the image except:

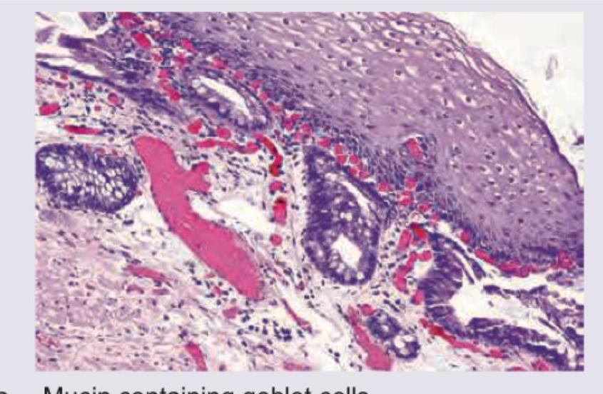
A 35-year-old male patient presents with a history of heartburn. An upper GI endoscopy was done and a biopsy from a suspicious lesion showed the following picture. What does this show? Which special stain will you use for confirmation and what will you look for?

A 15-year-old patient develops intussusception for which he was operated and a segment of intestine showing multiple polyps was resected. The microscopy showed the following pathology. What is the likely diagnosis?

A 50-year-old male presents with colicky abdominal pain and recurrent bloody diarrhea. Colonoscopy shows geographical ulcers. Histopathology is shown below. Diagnosis is:

Melanosis coli, which occurs due to long term consumption of stimulant laxatives, presents as brown discolouration of colonic mucosa due to deposition of which one of the following pigments?
Which one of the following is correct regarding Gastrointestinal Stromal Tumour (GIST)?
Consider the following: 1. Cholesterolosis 2. Adenomyomatosis 3. Polyposis 4. Cholelithiasis To which of the above does cholecystoses refer to?
A 40 year old male patient complains of severe acute abdominal pain. Radiologic examination reveals multiple gall stones. On histologic examination, foci of necrosis containing shadowy outlines of necrotic cells surrounded by basophilic calcium deposits were seen. Which type of necrosis is seen in this patient?
Congenital megacolon is confirmed by:
Hirschsprung disease is due to
Explanation: ***Mucosal ablation in high grade dysplasia*** - The question asks for the statement that is **NOT true** about the esophageal condition (likely **Barrett's esophagus** based on the options). Mucosal ablation is indeed a treatment for high-grade dysplasia in Barrett's esophagus [1], making this statement **true**. - Therefore, since the question asks for the exception, this statement is the correct answer because it is a true statement about the condition, and the question asks for the one that is *not* true. *Mucin containing goblet cells* - **Barrett's esophagus** is characterized by the replacement of normal stratified squamous epithelium with **intestinal metaplasia**, which includes **goblet cells** that produce mucin [2]. - This statement is **true** about Barrett's esophagus, thus it is not the exception. *Goblet cells will stain positive with alcian blue* - **Alcian blue** is a special stain used to identify **acidic mucins**, which are characteristic of the goblet cells found in **intestinal metaplasia** of Barrett's esophagus [2]. - This statement is **true** about Barrett's esophagus, thus it is not the exception. *Risk of development of adenocarcinoma is $0.5 \%$ per year* - The annual risk of progression from **Barrett's esophagus** to **adenocarcinoma** is estimated to be around **0.1-0.3% per year**, not 0.5%. - This statement is **false** regarding the typical risk, making it a potential exception if the question implied a specific, lower risk. However, compared to the other options, this value is often cited as an approximate risk, and the most definitively "not true" statement in the context of the question's phrasing is the one about mucosal ablation being *not* true. **References:** [1] Kumar V, Abbas AK, et al.. Robbins and Cotran Pathologic Basis of Disease. 9th ed. The Gastrointestinal Tract, pp. 764-765. [2] Cross SS. Underwood's Pathology: A Clinical Approach. 6th ed. Common Clinical Problems From Alimentary System Disease, pp. 348-349.
Explanation: ***Barrett's esophagus, mucin stain, dysplasia*** - The image likely shows **intestinal metaplasia** of the esophageal epithelium, which is characteristic of **Barrett's esophagus** [1]. - **Mucin stains** (e.g., Alcian blue at pH 2.5) highlight goblet cells, confirming intestinal metaplasia [1], and the presence of **dysplasia** indicates malignant potential [2]. *H. pylori infection, Silver stain, Gram-negative coccobacilli* - While *H. pylori* can cause heartburn, the question implies a suspicious lesion requiring biopsy, suggesting a more significant change than simple infection. - **Silver stains** (e.g., Warthin-Starry) are used to visualize *H. pylori*, which appear as **curved gram-negative rods**, not coccobacilli. *Adenocarcinoma esophagus, mucin stain, mitotic figures* - While adenocarcinoma can arise from Barrett's esophagus, the question asks what the biopsy "shows" and what to "look for" for confirmation, implying a pre-malignant or early stage. - While **mucin stains** can be used in adenocarcinoma, **mitotic figures** are a feature of malignancy but not the primary confirmatory stain for the diagnosis itself. *Squamous cell carcinoma, keratin stain* - **Squamous cell carcinoma** typically arises in the proximal or mid-esophagus and is not directly linked to heartburn in the same way as adenocarcinoma [3]. - **Keratin stains** (immunohistochemistry) are used to confirm squamous differentiation, but the context of heartburn and a suspicious lesion in the distal esophagus points away from primary squamous cell carcinoma. **References:** [1] Cross SS. Underwood's Pathology: A Clinical Approach. 6th ed. Common Clinical Problems From Alimentary System Disease, pp. 348-349. [2] Kumar V, Abbas AK, et al.. Robbins and Cotran Pathologic Basis of Disease. 9th ed. The Gastrointestinal Tract, pp. 764-765. [3] Kumar V, Abbas AK, et al.. Robbins and Cotran Pathologic Basis of Disease. 9th ed. The Gastrointestinal Tract, pp. 766-767.
Explanation: ***Hamartomatous polyps*** - The patient's age (15 years), presentation with **intussusception**, and the presence of **multiple polyps** are highly suggestive of a hamartomatous polyposis syndrome, such as Peutz-Jeghers syndrome [1,2]. - **Hamartomatous polyps** are non-neoplastic malformations of normal tissue components, often leading to complications like intussusception in younger individuals [2]. *Tubulovillous polyps* - These are **adenomatous polyps** with a significant risk of malignant transformation, typically seen in older adults. - While they can cause symptoms, **intussusception** in a 15-year-old with multiple polyps is less characteristic of tubulovillous adenomas. *Inflammatory polyps* - These polyps are usually a result of chronic inflammation, such as in **inflammatory bowel disease**. - They are generally not associated with **intussusception** as a primary presentation in a young patient with multiple polyps. *Adenocarcinoma* - **Adenocarcinoma** is a malignant tumor and is rare in a 15-year-old, especially as multiple primary lesions causing intussusception. - While polyps can transform into adenocarcinoma, the initial presentation in a young patient points more towards a **benign polyposis syndrome** [1,2]. **References:** [1] Kumar V, Abbas AK, et al.. Robbins and Cotran Pathologic Basis of Disease. 9th ed. The Gastrointestinal Tract, pp. 813-815. [2] Kumar V, Abbas AK, et al.. Robbins and Cotran Pathologic Basis of Disease. 9th ed. The Gastrointestinal Tract, p. 813.
Explanation: ***Inflammatory bowel disease*** - The presentation of **colicky abdominal pain**, **recurrent bloody diarrhea**, and **geographical ulcers** on colonoscopy are classic features of **Inflammatory Bowel Disease (IBD)**, specifically **Crohn's disease** [1]. - Histopathology in Crohn's disease often shows **transmural inflammation**, **non-caseating granulomas**, and **crypt abscesses**, which align with the clinical picture [1,2]. *Pseudomembranous colitis* - This condition is typically caused by **Clostridium difficile infection** and presents with watery diarrhea, fever, and abdominal pain, often after antibiotic use. - Colonoscopy reveals **yellowish-white plaques (pseudomembranes)**, not geographical ulcers. *NHL (Non-Hodgkin Lymphoma)* - While NHL can affect the colon, it usually presents with symptoms like **abdominal mass**, weight loss, and less commonly with recurrent bloody diarrhea as the primary symptom. - Colonoscopy findings would typically show a **mass lesion** or **polypoid growths**, not geographical ulcers. *Adenocarcinoma colon* - **Adenocarcinoma of the colon** is more common in older adults and typically presents with changes in bowel habits, rectal bleeding, and weight loss. - Colonoscopy would reveal a **polypoid mass** or an **ulcerative lesion** that is often solitary and malignant, not widespread geographical ulcers. **References:** [1] Cross SS. Underwood's Pathology: A Clinical Approach. 6th ed. Common Clinical Problems From Alimentary System Disease, pp. 365-367. [2] Kumar V, Abbas AK, et al.. Robbins and Cotran Pathologic Basis of Disease. 9th ed. The Gastrointestinal Tract, pp. 806-807.
Explanation: ***Lipofuscin*** - **Melanosis coli** is characterized by the accumulation of **lipofuscin** in macrophages within the lamina propria of the colon. - This accumulation is typically induced by the long-term use of **stimulant laxatives**, particularly those containing anthraquinones (e.g., senna, cascara). *Haemoglobin* - **Haemoglobin** is the protein in red blood cells responsible for oxygen transport and does not deposit in the colonic mucosa to cause brown discoloration in melanosis coli. - Its presence in stool typically indicates **gastrointestinal bleeding**, which is a distinct condition from melanosis coli. *Haemosiderin* - **Haemosiderin** is an iron-storage complex that can accumulate in tissues as a result of **hemorrhage** or increased iron load [1]. - While it can cause brown discoloration, it is not the pigment responsible for the characteristic appearance of melanosis coli. *Melanin* - **Melanin** is the pigment primarily responsible for skin and hair color, produced by melanocytes [1]. - It is not found in significant amounts in the colonic mucosa and is not involved in the pathogenesis of melanosis coli. **References:** [1] Kumar V, Abbas AK, et al.. Robbins and Cotran Pathologic Basis of Disease. 9th ed. Cellular Responses to Stress and Toxic Insults: Adaptation, Injury, and Death, p. 75.
Explanation: ***50% arise from stomach.*** - The stomach is the most common primary site for GISTs, accounting for approximately **50-60% of cases**. [1] - Other common sites include the small intestine (25-30%), colon/rectum (5%), and esophagus (<5%). *The male to female ratio is 9 : 1.* - GISTs show **no significant gender predominance**, with the male-to-female ratio being roughly 1:1. - While some gastrointestinal cancers have gender disparities, GISTs affect both sexes almost equally. *Lymphatic spread is seen commonly.* - GISTs rarely spread via the **lymphatic system**; lymphatic metastases are uncommon. - The primary routes of GIST metastasis are **hematogenous** spread, commonly to the liver, and direct seeding within the peritoneal cavity. *It arises from epithelial layer.* - GISTs are **mesenchymal tumors**, specifically believed to originate from the **interstitial cells of Cajal** or their precursor cells. [1] - These cells are found in the muscularis propria layer of the gastrointestinal tract, not the epithelial layer. **References:** [1] Kumar V, Abbas AK, et al.. Robbins and Cotran Pathologic Basis of Disease. 9th ed. The Gastrointestinal Tract, pp. 782-784.
Explanation: ***1 and 2 only*** - **Cholecystoses** is a term used in pathology to describe a group of **non-inflammatory, degenerative changes** in the gallbladder wall, classically comprising two main entities: **cholesterolosis** and **adenomyomatosis**. - **Cholesterolosis** involves the accumulation of cholesterol esters in macrophages within the gallbladder mucosa, creating a characteristic **"strawberry gallbladder"** appearance on gross examination. - **Adenomyomatosis** is characterized by **hyperplasia of the muscularis propria** with epithelial invaginations forming **Rokitansky-Aschoff sinuses**, which are deep diverticula extending into the thickened muscle layer [1]. - These conditions are typically benign, often incidental findings, and distinct from inflammatory or neoplastic processes. *1, 2 and 3* - This option incorrectly includes **polyposis** as a separate category of cholecystoses. - While **cholesterol polyps** and **adenomyomatous polyps** can be manifestations of cholesterolosis and adenomyomatosis respectively, "polyposis" itself is not traditionally classified as a distinct cholecystosis in standard pathology references (Robbins, WHO classification). - Gallbladder polyps represent a heterogeneous group including neoplastic and non-neoplastic lesions, but are not listed as a separate cholecystosis category. *2, 3 and 4* - This option incorrectly includes **cholelithiasis** (gallstones), which is a completely separate condition involving calculi formation within the gallbladder lumen [3]. - Cholelithiasis is an **inflammatory/metabolic condition**, not a degenerative change of the gallbladder wall itself as seen in cholecystoses [2]. - It also incorrectly excludes **cholesterolosis**, which is one of the two classical cholecystoses. *1 and 3 only* - This option incorrectly excludes **adenomyomatosis**, which is one of the two classical and well-established forms of cholecystoses. - It also incorrectly includes **polyposis** as a separate category, which is not supported by standard pathology literature. **References:** [1] Cross SS. Underwood's Pathology: A Clinical Approach. 6th ed. Common Clinical Problems From Liver And Biliary System Disease, pp. 404-405. [2] Kumar V, Abbas AK, et al.. Robbins and Cotran Pathologic Basis of Disease. 9th ed. Liver and Gallbladder, pp. 883-884. [3] Cross SS. Underwood's Pathology: A Clinical Approach. 6th ed. Common Clinical Problems From Liver And Biliary System Disease, pp. 403-404.
Explanation: ***Fat*** - The description of **foci of necrosis** containing **shadowy outlines of necrotic cells** surrounded by **basophilic calcium deposits** is characteristic of **fat necrosis**, specifically enzymatic fat necrosis [1]. - This typically occurs in the **pancreas** during acute pancreatitis, where activated **lipases** released from damaged pancreatic cells digest fat, leading to the formation of **calcium soaps** [1], [2]. *Liquefactive* - This type of necrosis is characterized by the **dissolution of dead cells** into a viscous liquid mass, often seen in **brain infarcts** or **abscesses**. - It does not present with the shadowy outlines of necrotic cells or calcium deposits as described. *Fibrinoid* - **Fibrinoid necrosis** involves immune-mediated damage to blood vessel walls, where **fibrin** and plasma proteins deposit within the vessel wall. - It is typically seen in conditions like **vasculitis** or **malignant hypertension** and does not involve the saponification of fat. *Coagulative* - **Coagulative necrosis** is characterized by the preservation of the **architectural outline** of dead cells for several days, typically due to **ischemia** in solid organs (e.g., heart, kidney) [1]. - While cells are necrotic, there is no mention of **calcium deposits** or the specific fat saponification associated with the described findings. **References:** [1] Kumar V, Abbas AK, et al.. Robbins and Cotran Pathologic Basis of Disease. 9th ed. Cellular Responses to Stress and Toxic Insults: Adaptation, Injury, and Death, pp. 53-55. [2] Kumar V, Abbas AK, et al.. Robbins and Cotran Pathologic Basis of Disease. 9th ed. The Pancreas, pp. 889-890.
Explanation: ***Rectal biopsy*** - **Rectal biopsy** is the **gold standard** for diagnosing congenital megacolon (Hirschsprung disease) by demonstrating the **absence of ganglion cells** in the myenteric and submucosal plexuses [1]. - This absence of innervation leads to a functional obstruction, causing proximal bowel dilation [1]. *Sigmoidoscopy* - While **sigmoidoscopy** allows visualization of the mucosa, it cannot directly confirm the **absence of ganglion cells**, which is the hallmark of Hirschsprung disease. - It may reveal features like a **narrowed segment** transition to a dilated segment but requires further diagnostic confirmation. *Invertogram* - An **invertogram** is used to assess the **anal position** and check for imperforate anus by showing the gas bubble in the rectum relative to the skin marker. - It does not provide information about the **innervation of the rectosigmoid colon** or the presence of ganglion cells. *Barium enema* - A **barium enema** can reveal characteristic findings like a **transition zone** between a narrowed aganglionic segment and a dilated, normally innervated colon. - However, it is a **radiological study** and cannot definitively confirm the histopathological absence of ganglion cells, which requires a tissue biopsy. **References:** [1] Kumar V, Abbas AK, et al.. Robbins and Cotran Pathologic Basis of Disease. 9th ed. The Gastrointestinal Tract, pp. 759-760.
Explanation: ***Failure of migration of neural crest cells*** - Hirschsprung disease is characterized by the **absence of intramural ganglion cells** (Meissner's and Auerbach's plexuses) in the distal colon [1]. - This aganglionosis results from the **failure of neural crest cells to migrate** completely to the distal parts of the gastrointestinal tract during embryonic development [1]. *Mucosa thickening* - **Mucosal thickening** is not the primary pathophysiology of Hirschsprung disease. The core issue is aganglionosis in the bowel wall. - While there can be secondary changes in the colonic wall due to obstruction, primary mucosal thickening does not cause the disease. *Loss of crypts* - **Loss of crypts** is typically associated with conditions like **Crohn's disease** or **ulcerative colitis**, where there is inflammation and damage to the intestinal lining. - This is not a characteristic feature or the underlying cause of Hirschsprung disease. *None of the above* - This option is incorrect because the **failure of neural crest cell migration** is indeed the established cause of Hirschsprung disease [1]. **References:** [1] Cross SS. Underwood's Pathology: A Clinical Approach. 6th ed. (Basic Pathology) introduces the student to key general principles of pathology, both as a medical science and as a clinical activity with a vital role in patient care. Part 2 (Disease Mechanisms) provides fundamental knowledge about the cellular and molecular processes involved in diseases, providing the rationale for their treatment. Part 3 (Systematic Pathology) deals in detail with specific diseases, with emphasis on the clinically important aspects., pp. 94-95.
Oral Cavity and Esophageal Pathology
Practice Questions
Gastritis and Peptic Ulcer Disease
Practice Questions
Inflammatory Bowel Disease
Practice Questions
Malabsorption Syndromes
Practice Questions
Vascular Disorders of Intestine
Practice Questions
Diverticular Disease
Practice Questions
Intestinal Obstruction
Practice Questions
Gastrointestinal Infections
Practice Questions
Polyps and Neoplasms
Practice Questions
Appendiceal Pathology
Practice Questions
Get full access to all questions, explanations, and performance tracking.
Start For Free