What is the most common location for a carcinoid tumor?
Puetz-Jegher syndrome is characterised by
Glossodynia is defined as:
A 49-year-old female taking ibuprofen for increasing joint pain in her hands presents with increasing pain in her midsternal area. Gastroscopy reveals multiple, scattered, punctate hemorrhagic areas in her gastric mucosa. Biopsies from one of these hemorrhagic lesions reveal mucosal erosions with edema and hemorrhage. No mucosal ulceration is seen. What is the most likely diagnosis?
In Barrett's oesophagus, which of the following epithelial transformations occurs?
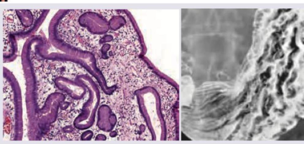
The following histological slide demonstrates:

A 60-year-old man with tobacco chewing history presents with trismus and ankyloglossia. The lesion is shown below. Diagnosis is? (NEET Pattern 2018)

Identify the types of gastric ulcers labeled A and B in the image below.

The following specimen of esophagus and biopsy performed shows all except:

All are true about the condition shown except:

Explanation: **Explanation:** Carcinoid tumors (well-differentiated neuroendocrine tumors) arise from the diffuse neuroendocrine system [1]. According to the most recent epidemiological data (including SEER database updates), the **small intestine** (specifically the ileum) is now recognized as the most common site for carcinoid tumors, followed by the rectum and the appendix [1]. **Analysis of Options:** * **A. Small Intestine (Correct):** It is the most frequent site overall. Small bowel carcinoids are often multiple and are the most likely to cause **Carcinoid Syndrome** (flushing, diarrhea, wheezing) once they metastasize to the liver [1]. * **B. Bronchus:** While the lungs are a common site for neuroendocrine tumors, they rank lower in frequency compared to the gastrointestinal tract [1]. * **C. Appendix:** Historically, the appendix was taught as the most common site. However, with increased use of endoscopy and imaging, the small intestine and rectum have surpassed it in reported frequency. It remains the most common site for *incidentally* discovered carcinoids during surgery. * **D. Stomach:** Gastric carcinoids are less common and are often associated with chronic atrophic gastritis (Type I) or Zollinger-Ellison syndrome (Type II). **High-Yield Clinical Pearls for NEET-PG:** * **Origin:** Derived from **Kulchitsky cells** (Enterochromaffin cells). * **Marker:** **Chromogranin A** is the most specific serum marker; **5-HIAA** is the urinary metabolite used for diagnosis. * **Golden Rule:** Carcinoid syndrome only occurs when tumor mediators (serotonin) bypass hepatic metabolism (i.e., when there are liver metastases or the primary is extra-portal, like the bronchus). * **Histology:** Characteristic "salt and pepper" chromatin and organoid/nesting patterns. **References:** [1] Kumar V, Abbas AK, et al.. Robbins and Cotran Pathologic Basis of Disease. 9th ed. The Gastrointestinal Tract, pp. 780-781.
Explanation: **Peutz-Jeghers Syndrome (PJS)** is an autosomal dominant condition characterized by the mutation of the **STK11 (LKB1)** tumor suppressor gene on chromosome 19. [1] ### **Explanation of the Correct Answer** The hallmark of PJS is the development of **multiple hamartomatous polyps** throughout the gastrointestinal tract, most commonly in the **small intestine** (jejunum), followed by the colon and stomach. [1] These polyps are histologically distinct, featuring a characteristic "Christmas tree" branching pattern of smooth muscle fibers (arborization) within the lamina propria. [1] Clinically, these polyps often lead to recurrent intussusception or GI bleeding. ### **Explanation of Incorrect Options** * **A. Deafness:** This is not associated with PJS. Sensorineural deafness is a feature of syndromes like **Alport syndrome** or **Waardenburg syndrome**. * **B. Multiple supernumerary teeth:** This is a classic feature of **Gardner Syndrome** (a variant of Familial Adenomatous Polyposis), which also presents with colonic polyps, osteomas, and desmoid tumors. * **D. Scleroderma:** This is an autoimmune connective tissue disorder characterized by fibrosis; it has no genetic or clinical link to the hamartomatous polyposis seen in PJS. ### **High-Yield Clinical Pearls for NEET-PG** * **Mucocutaneous Pigmentation:** PJS is uniquely identified by dark blue-to-brown **melanotic macules** on the lips, buccal mucosa, and perioral skin. [1] * **Cancer Risk:** Patients have a significantly increased risk of both GI and extra-GI malignancies (Pancreas, Breast, Ovary/Sertoli cell tumors of the testis). [1] * **Inheritance:** Autosomal Dominant; STK11 gene mutation. [1] * **Differentiating Point:** Unlike FAP polyps, PJS polyps are **hamartomatous**, not adenomatous, though they still carry a cumulative risk of malignancy. **References:** [1] Kumar V, Abbas AK, et al.. Robbins and Cotran Pathologic Basis of Disease. 9th ed. The Gastrointestinal Tract, pp. 813-814.
Explanation: **Explanation:** **Glossodynia** is derived from the Greek words *glossa* (tongue) and *odynia* (pain). It refers specifically to the clinical symptom of **pain in the tongue**. It is often associated with "Burning Mouth Syndrome" (BMS), but the term itself is the anatomical descriptor for lingual pain. * **Option A (Correct):** Glossodynia is the medical term for pain localized to the tongue. It can be caused by local trauma, infections (like candidiasis), nutritional deficiencies (B12, folate, iron), or neuropathic issues. * **Option B (Incorrect):** While burning is a common *type* of pain described by patients, the specific term for a burning sensation in the tongue is **Glossopyrosis**. * **Option C (Incorrect):** Swelling of the tongue is termed **Glossitis** (when associated with inflammation) or **Macroglossia** (enlargement due to causes like amyloidosis, Down syndrome, or hypothyroidism). * **Option D (Incorrect):** A white patch on the tongue is typically referred to as **Leukoplakia** [1] (a clinical term for a white patch that cannot be scraped off) or **Oral Candidiasis** [2] (if it can be scraped off, leaving an erythematous base). [3] **High-Yield Clinical Pearls for NEET-PG:** * **Glossitis:** Often presents as a "beefy red tongue." Classic causes include **Vitamin B12 deficiency** (pernicious anemia) and **Iron deficiency anemia** (Plummer-Vinson Syndrome). * **Atrophic Glossitis:** Characterized by the loss of filiform papillae, making the tongue appear smooth and shiny (Bald tongue of Sandwith). * **Glossodynia vs. Glossopyrosis:** In exams, if "burning" and "pain" are both options, remember that *odynia* specifically denotes pain, while *pyrosis* denotes burning. **References:** [1] Cross SS. Underwood's Pathology: A Clinical Approach. 6th ed. Common Clinical Problems From Alimentary System Disease, pp. 344-345. [2] Kumar V, Abbas AK, et al.. Robbins and Cotran Pathologic Basis of Disease. 9th ed. The Lung, pp. 736-737. [3] Kumar V, Abbas AK, et al.. Robbins and Cotran Pathologic Basis of Disease. 9th ed. The Lung, pp. 737-738.
Explanation: The clinical presentation and histopathology point directly to **Acute Gastritis**, specifically **Acute Erosive Gastritis** secondary to NSAID use [1]. **1. Why Acute Gastritis is Correct:** The patient is taking **ibuprofen** (an NSAID), which inhibits COX-1 and COX-2 enzymes [2]. This leads to decreased synthesis of **prostaglandins (PGE2 and PGI2)**, which are essential for maintaining the gastric mucosal barrier (stimulating bicarbonate and mucus secretion). The loss of this protective layer allows gastric acid to cause direct mucosal injury [1]. * **Gross findings:** "Scattered, punctate hemorrhagic areas" are classic for acute erosive changes [1]. * **Microscopic findings:** The presence of **edema, hemorrhage, and erosions** (loss of superficial epithelium) without crossing the muscularis mucosae (which would define an ulcer) is the hallmark of acute gastritis [1]. **2. Why the other options are incorrect:** * **Active chronic gastritis:** This refers to chronic gastritis (usually H. pylori-related) with superimposed acute inflammation (neutrophilic infiltration). It typically shows lymphoid aggregates and glandular atrophy, which are absent here [1]. * **Autoimmune gastritis:** This is a form of chronic gastritis affecting the **fundus and body**. It involves antibodies against parietal cells/intrinsic factor, leading to pernicious anemia and mucosal atrophy, not acute hemorrhagic erosions. * **Chronic gastritis:** This is characterized by a chronic inflammatory infiltrate (lymphocytes and plasma cells), intestinal metaplasia, and atrophy, usually caused by *H. pylori*. **NEET-PG High-Yield Pearls:** * **NSAIDs** are the most common cause of acute erosive gastritis [2]. * **Erosion vs. Ulcer:** An erosion is a partial-thickness loss of epithelium (limited to the mucosa), whereas an ulcer extends through the **muscularis mucosae** into the submucosa or deeper [1]. * **Curling Ulcer:** Acute gastric ulcer associated with severe burns (hypovolemia) [1]. * **Cushing Ulcer:** Acute gastric ulcer associated with CNS trauma (increased vagal tone/acid secretion). **References:** [1] Kumar V, Abbas AK, et al.. Robbins and Cotran Pathologic Basis of Disease. 9th ed. The Gastrointestinal Tract, pp. 767-769. [2] Kumar V, Abbas AK, et al.. Robbins and Cotran Pathologic Basis of Disease. 9th ed. Infectious Diseases, pp. 430-431.
Explanation: ***Squamous to intestinal columnar epithelium*** - Barrett's esophagus is a complication of chronic **gastroesophageal reflux disease (GERD)**, where the normal stratified **squamous epithelium** of the lower esophagus is replaced by metaplastic columnar epithelium [1]. - This metaplastic epithelium is specifically an **intestinal type**, characterized by the presence of **goblet cells**, which is considered a premalignant condition for esophageal adenocarcinoma [1]. *Columnar to squamous epithelium* - This describes the reverse process of what happens in Barrett's esophagus. - This type of metaplasia can occur in other organs, for example, in the endocervix (squamous metaplasia) or the bronchi of chronic smokers. *Transitional to squamous epithelium* - **Transitional epithelium** (urothelium) is the characteristic lining of the urinary tract (e.g., bladder, ureters) and is not found in the esophagus. - This type of metaplastic change is seen in the bladder in response to chronic irritation, such as from stones or **Schistosoma haematobium** infection. *Cuboidal to columnar epithelium* - The normal esophageal lining is stratified squamous epithelium, not cuboidal epithelium. - While metaplasia involving cuboidal cells can occur in glandular ducts or bronchioles, it is not the transformation that defines Barrett's esophagus. **References:** [1] Cross SS. Underwood's Pathology: A Clinical Approach. 6th ed. Common Clinical Problems From Alimentary System Disease, pp. 347-349.
Explanation: ***Flask-shaped ulcer*** - The image depicts a **flask-shaped ulcer**, which is a characteristic pathological finding in **amoebic dysentery** caused by *Entamoeba histolytica* [1][2]. - These ulcers are formed as the amoebae invade the colonic mucosa, creating a narrow neck at the surface and a wider base in the submucosa [1]. *Pseudopolyps* - **Pseudopolyps** are typically seen in inflammatory bowel diseases like **ulcerative colitis**, resulting from regenerating mucosa surrounded by areas of ulceration [3]. - They are not characteristic of amoebic infections and do not present as deep, flask-shaped lesions. *Blunting of microvilli* - **Blunting of microvilli** is a feature of malabsorptive conditions, such as **celiac disease**, where the villi are damaged. - This finding is related to the absorptive surface of the small intestine and is not a typical macroscopic or microscopic feature of amoebic ulcers in the colon. *Whipple's disease* - **Whipple's disease** is a rare systemic infectious disease caused by the bacterium *Tropheryma whipplei*, primarily affecting the small intestine [4]. - Histologically, it is characterized by **foamy macrophages** in the lamina propria and is not associated with flask-shaped ulcers [4]. **References:** [1] Cross SS. Underwood's Pathology: A Clinical Approach. 6th ed. Common Clinical Problems From Alimentary System Disease, pp. 364-365. [2] Kumar V, Abbas AK, et al.. Robbins and Cotran Pathologic Basis of Disease. 9th ed. The Gastrointestinal Tract, pp. 801-802. [3] Kumar V, Abbas AK, et al.. Robbins and Cotran Pathologic Basis of Disease. 9th ed. The Gastrointestinal Tract, p. 809. [4] Kumar V, Abbas AK, et al.. Robbins and Cotran Pathologic Basis of Disease. 9th ed. The Gastrointestinal Tract, pp. 798-799.
Explanation: ***Submucosal fibrosis*** - **Oral submucous fibrosis (OSMF)** is a chronic, progressive, precancerous condition of the oral cavity characterized by juxta-epithelial fibrosis. It is strongly associated with **areca nut (betel nut) chewing**, often found in tobacco products [1]. - Clinical features include **trismus** (difficulty opening the mouth due to fibrosis of the oral tissues), burning sensation, and **ankyloglossia** (restricted tongue movement) due to fibrosis of the lingual frenum. *Erythroplakia* - **Erythroplakia** is a red patch or lesion in the oral cavity that cannot be characterized clinically or pathologically as any other definable disease. - It is considered a highly dysplastic or **premalignant lesion**, but its primary presentation is a red, velvety patch, not primarily trismus or ankyloglossia. *Chronic hyperplastic candidiasis* - **Chronic hyperplastic candidiasis** (Candidal leukoplakia) is a persistent white lesion that cannot be removed by scraping, caused by chronic *Candida albicans* infection [2]. - While it is a precancerous condition, its main clinical feature is a **white patch** or plaque, and it does not typically cause severe trismus or ankyloglossia as primary symptoms. *Jaffe's tumor* - **Jaffe's tumor** is an outdated term for **fibrous dysplasia**, a bone disorder where normal bone is replaced by fibrous tissue and immature woven bone. - It primarily affects bones, and while it can occur in the jaw, it does not present with the classic oral mucosal symptoms of trismus and ankyloglossia associated with tobacco chewing. **References:** [1] Cross SS. Underwood's Pathology: A Clinical Approach. 6th ed. Common Clinical Problems From Alimentary System Disease, pp. 344-345. [2] Kumar V, Abbas AK, et al.. Robbins and Cotran Pathologic Basis of Disease. 9th ed. The Lung, pp. 736-737.
Explanation: ***A=Benign gastric ulcer, B=Malignant gastric ulcer*** - Image A shows a **punched-out**, **clean-based ulcer** with radiating folds, characteristic features of a **benign gastric ulcer**. - Image B depicts an **irregular**, **raised-edge ulcer** with a necrotic base, which is typical of a **malignant gastric ulcer** [1]. *A=Malignant gastric ulcer, B=Benign gastric ulcer* - Image A's features (smooth, punched-out) are inconsistent with a **malignant ulcer**, which is typically irregular and raised [1]. - Image B's features (irregular, raised, necrotic) are not consistent with a **benign ulcer**, which is usually clean and well-demarcated. *A=Leiomyoma, B=Malignant gastric ulcer* - A **leiomyoma** is a submucosal tumor, usually presenting as a smooth, firm mass, not an ulcerated lesion like in Image A. - Image B is consistent with a **malignant gastric ulcer** [1], but Image A is not a leiomyoma. *A=Chronic hyperplastic gastritis, B=Malignant gastric ulcer* - **Chronic hyperplastic gastritis** involves thickened gastric folds and inflammation, not a discrete ulceration as seen in Image A. - While Image B is consistent with a **malignant gastric ulcer** [1], Image A does not represent chronic hyperplastic gastritis. **References:** [1] Kumar V, Abbas AK, et al.. Robbins and Cotran Pathologic Basis of Disease. 9th ed. The Gastrointestinal Tract, p. 779.
Explanation: ***Napkin Ring Stricture*** - A **napkin ring stricture** is characteristic of **adenocarcinoma of the colon**, not typically seen in esophageal squamous cell carcinoma. - Esophageal squamous cell carcinoma usually presents as an **infiltrating mass** or **ulcerative lesion**, causing luminal narrowing but not the classic napkin ring appearance [1]. *Diffuse infiltrating squamous cell cancer of esophagus* - This is a common presentation of **esophageal squamous cell carcinoma**, which is implied by the presence of keratin pearls. - The tumor often grows in an **infiltrative pattern**, leading to luminal narrowing and dysphagia [1]. *Keratin pearls* - **Keratin pearls** are a histological hallmark of **well-differentiated squamous cell carcinoma**, indicating squamous differentiation. - Their presence confirms the diagnosis of squamous cell carcinoma in the biopsy. *Can erode into trachea leading to formation of T.E.F* - **Esophageal squamous cell carcinoma** can locally invade surrounding structures, including the **trachea**, due to its aggressive nature [1]. - This invasion can lead to the formation of a **tracheoesophageal fistula (TEF)**, a serious complication. **References:** [1] Kumar V, Abbas AK, et al.. Robbins and Cotran Pathologic Basis of Disease. 9th ed. The Gastrointestinal Tract, pp. 766-767.
Explanation: ***Mainly involves antral mucosa*** - The condition described by **cerebral convolutions** and **hyperplastic tortuous foveolae** is **Menetrier's disease**, which primarily affects the **fundus and body of the stomach**, not the antrum [1]. - Involvement of the antrum is **uncommon** in Menetrier's disease [1]. *Hyperplastic tortuous foveolae* - **Menetrier's disease** is characterized by marked **foveolar hyperplasia** and **glandular atrophy**, leading to tortuous and elongated foveolae [1]. - This histological feature is a hallmark of the condition [1]. *Cerebral convolutions in stomach mucosa* - The macroscopic appearance of the gastric mucosa in **Menetrier's disease** is often described as having **giant rugal folds** resembling **cerebral convolutions** [1]. - This gross appearance is due to the extensive foveolar hyperplasia and edema [1]. *Protein losing enteropathy* - **Menetrier's disease** is a form of **protein-losing gastropathy**, where there is excessive loss of plasma proteins (especially albumin) into the gastric lumen. - This leads to **hypoalbuminemia** and peripheral edema, which is a significant clinical feature of the disease. **References:** [1] Kumar V, Abbas AK, et al.. Robbins and Cotran Pathologic Basis of Disease. 9th ed. The Gastrointestinal Tract, pp. 775-776.
Oral Cavity and Esophageal Pathology
Practice Questions
Gastritis and Peptic Ulcer Disease
Practice Questions
Inflammatory Bowel Disease
Practice Questions
Malabsorption Syndromes
Practice Questions
Vascular Disorders of Intestine
Practice Questions
Diverticular Disease
Practice Questions
Intestinal Obstruction
Practice Questions
Gastrointestinal Infections
Practice Questions
Polyps and Neoplasms
Practice Questions
Appendiceal Pathology
Practice Questions
Get full access to all questions, explanations, and performance tracking.
Start For Free