What is the most common cause of primary hyperparathyroidism?
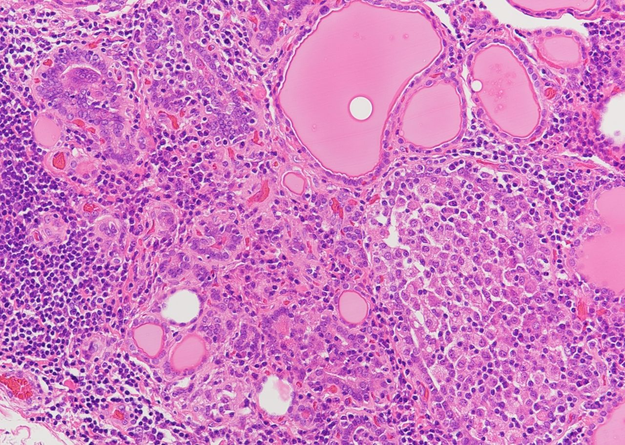
A 45-year-old female patient presented with features of hypothyroidism. Based on the provided histological features, what is your diagnosis?

All are seen in MEN IIA syndrome except?
Pancreatitis, pituitary tumor, and pheochromocytoma may be associated with which of the following types of thyroid cancer?
Carcinoid tumours commonly arise from which cell type and location?
Pheochromocytomas are known to arise from all of the following locations, except:
All of the following are seen in follicular carcinoma of the thyroid, except?
Crook's hyaline change occurs in which of the following?
A female neonate with DiGeorge syndrome develops severe muscle cramps and convulsions soon after birth. Which of the following is the cause of convulsions in this neonate?
Hürthle cell carcinoma is a variant of which thyroid carcinoma?
Explanation: **Explanation:** Primary hyperparathyroidism (PHPT) is characterized by the autonomous overproduction of parathyroid hormone (PTH), leading to hypercalcemia. **1. Why "Single Adenoma" is correct:** A **solitary parathyroid adenoma** is the most frequent cause, accounting for approximately **85% to 95%** of all cases of PHPT. Pathologically, these are usually well-circumscribed, solitary nodules (often involving the inferior parathyroid glands) composed of chief cells, with a characteristic rim of compressed normal parathyroid tissue. **2. Why the other options are incorrect:** * **Multiple gland hyperplasia:** This accounts for about **10% to 15%** of cases. It typically involves all four glands and is frequently associated with familial syndromes like MEN1 or MEN2A [1]. * **Multiple adenomas:** These are rare (approx. **1%**) and involve two or more glands while others remain normal. * **Single gland hyperplasia:** This is not a standard pathological entity; hyperplasia by definition involves a proliferation of cells that typically affects multiple glands in the parathyroid context. * **Parathyroid Carcinoma:** (Not listed, but important) This is the rarest cause, occurring in <1% of cases. **High-Yield Clinical Pearls for NEET-PG:** * **Clinical Presentation:** Classically described as "Bones, Stones, Abdominal Groans, and Psychic Moans" (osteitis fibrosa cystica, nephrolithiasis, peptic ulcers, and depression). * **Biochemical Hallmark:** Elevated Serum Calcium + Elevated (or inappropriately normal) PTH + Low Serum Phosphate. * **Most common genetic mutation:** *MEN1* gene (sporadic or syndromic) and *CCND1* (Cyclin D1) inversions [1]. * **Sestamibi Scan:** The investigation of choice for localizing an adenoma before surgery. **References:** [1] Kumar V, Abbas AK, et al.. Robbins and Cotran Pathologic Basis of Disease. 9th ed. The Endocrine System, pp. 1104-1105.
Explanation: ***Hashimoto thyroiditis*** - Classic histological features include **lymphocytic infiltration** with **germinal center formation** and **Hürthle cell metaplasia**, consistent with hypothyroidism in a middle-aged female. - Shows **follicular atrophy** and **fibrosis**, leading to gradual thyroid dysfunction and is the most common cause of hypothyroidism in iodine-sufficient areas. *Granulomatous thyroiditis* - Characterized by **epithelioid granulomas** and **giant cells** histologically, not lymphocytic infiltration with germinal centers. - Typically presents with **painful thyroid enlargement** and **transient hyperthyroidism** followed by hypothyroidism, rather than primary hypothyroidism. *Papillary carcinoma of the thyroid* - Shows **papillary architecture** with **psammoma bodies** and **nuclear features** like overlapping, grooves, and pseudoinclusions. - Usually presents as a **thyroid nodule** rather than diffuse hypothyroidism, and patients are typically **euthyroid**. *Riedel's thyroiditis* - Characterized by **dense fibrous tissue** replacing thyroid parenchyma with **woody hardness** on palpation. - Shows **storiform fibrosis** without significant lymphocytic infiltration or germinal centers, and often involves surrounding structures.
Explanation: **Explanation:** **MEN IIA (Sipple Syndrome)** is an autosomal dominant disorder characterized by a triad of Medullary Thyroid Carcinoma (MTC), Pheochromocytoma, and Parathyroid Hyperplasia [1]. **1. Why Option C is the correct answer (The False Statement):** MEN IIA is caused by a **gain-of-function** (activating) mutation in the **RET proto-oncogene** on chromosome 10 [1]. In contrast, "loss-of-function" mutations in the RET gene are associated with **Hirschsprung disease**. This is a high-yield distinction for NEET-PG. **2. Analysis of Incorrect Options (True Statements):** * **Option A:** MTC is the most consistent feature of MEN IIA, occurring in **100%** of patients [1]. It is often multifocal and preceded by C-cell hyperplasia. * **Option B:** Pheochromocytomas occur in approximately **40-50%** of patients [1]. They are frequently bilateral and extra-adrenal. * **Option C:** Primary hyperparathyroidism (due to hyperplasia) is seen in **10-20%** of cases. Because it occurs in the minority of patients compared to MTC and Pheochromocytoma, it is considered the **most variable** clinical feature. **Clinical Pearls for NEET-PG:** * **MEN IIA Components:** MTC + Pheochromocytoma + Parathyroid Hyperplasia [1]. * **MEN IIB Components:** MTC + Pheochromocytoma + Mucosal Neuromas/Marfanoid habitus (No parathyroid involvement) [1]. * **Prophylactic Thyroidectomy:** Recommended in children carrying the RET mutation because MTC is inevitable. * **Screening:** Always rule out Pheochromocytoma (via urinary metanephrines) before performing surgery for MTC to prevent a hypertensive crisis. **References:** [1] Kumar V, Abbas AK, et al.. Robbins and Cotran Pathologic Basis of Disease. 9th ed. The Endocrine System, p. 1137.
Explanation: **Explanation:** The correct answer is **Medullary Carcinoma of the Thyroid (MTC)**. This association is explained by the **Multiple Endocrine Neoplasia (MEN) syndromes**, specifically **MEN 2A (Sipple Syndrome)** and **MEN 2B**. [1] 1. **Why Medullary Carcinoma is correct:** * **Pheochromocytoma:** MTC is a hallmark of both MEN 2A and 2B. These syndromes are caused by a germline mutation in the **RET proto-oncogene**. [1] * **Pituitary Tumor:** While classically part of MEN 1 (Wermer Syndrome), there is a rare overlap where patients with MEN-related syndromes or mixed phenotypes can present with pituitary adenomas. * **Pancreatitis:** This is a clinical "red herring" that points toward **Hyperparathyroidism** (part of MEN 2A). [1] Hypercalcemia resulting from hyperparathyroidism is a known cause of acute pancreatitis. Therefore, the constellation of MTC, Pheochromocytoma, and Hyperparathyroidism (leading to pancreatitis) strongly indicates MEN 2A. 2. **Why other options are incorrect:** * **Papillary Carcinoma (C):** The most common thyroid cancer; associated with *BRAF* mutations and radiation exposure, not MEN syndromes. [2] * **Follicular Carcinoma (D):** Associated with iodine deficiency and *RAS* mutations/PAX8-PPAR̳ rearrangements. [2] * **Anaplastic Carcinoma (A):** A highly aggressive undifferentiated tumor, usually seen in the elderly, with no association with pheochromocytoma or MEN. **High-Yield Clinical Pearls for NEET-PG:** * **MTC Origin:** Derived from **Parafollicular C-cells** (neuroendocrine); secretes **Calcitonin** (used for diagnosis and follow-up). [3] * **Amyloid Stroma:** Histology shows nests of cells in a Congo-red positive amyloid stroma (derived from pro-calcitonin). [4] * **MEN 2A:** MTC + Pheochromocytoma + Parathyroid Hyperplasia. [1] * **MEN 2B:** MTC + Pheochromocytoma + Mucosal Neuromas + Marfanoid Habitus. [1] * **Prophylactic Thyroidectomy:** Recommended for children with identified *RET* mutations. **References:** [1] Kumar V, Abbas AK, et al.. Robbins and Cotran Pathologic Basis of Disease. 9th ed. The Endocrine System, p. 1137. [2] Kumar V, Abbas AK, et al.. Robbins and Cotran Pathologic Basis of Disease. 9th ed. The Endocrine System, pp. 1097-1098. [3] Cross SS. Underwood's Pathology: A Clinical Approach. 6th ed. Common Clinical Problems From Liver And Biliary System Disease, pp. 428-429. [4] Cross SS. Underwood's Pathology: A Clinical Approach. 6th ed. Common Clinical Problems From Liver And Biliary System Disease, pp. 430-431.
Explanation: **Explanation:** **1. Why the correct answer is right:** Carcinoid tumors are well-differentiated neuroendocrine tumors (NETs) that arise from **enterochromaffin (EC) cells**, also known as **Argentaffin cells** [1]. These cells are part of the Diffuse Neuroendocrine System (DNES). While they can occur throughout the body (bronchi, stomach, rectum), the **small intestine** (specifically the ileum) is the most common site for clinically significant carcinoid tumors [1], [2]. They are called "Argentaffin" because they have the ability to reduce silver salts to metallic silver due to their high serotonin content [3]. **2. Why the incorrect options are wrong:** * **Option A:** Gastrin cells (G-cells) in the pancreas or duodenum lead to Gastrinomas (Zollinger-Ellison Syndrome), which are distinct from classic serotonin-producing carcinoid tumors [1]. * **Option C:** While the pancreas can host neuroendocrine tumors (e.g., Insulinomas, Glucagonomas), the term "carcinoid" specifically refers to the serotonin-producing tumors most prevalent in the midgut [2]. * **Option D:** Colon polyps are typically epithelial growths (adenomas) and are precursors to adenocarcinoma, not neuroendocrine carcinoid tumors. **3. High-Yield Clinical Pearls for NEET-PG:** * **Most common site overall:** Historically the appendix (often incidental), but the **small intestine (ileum)** is the most common site for symptomatic/metastatic disease [1], [2]. * **Carcinoid Syndrome:** Occurs only when the tumor metastasizes to the **liver** (bypassing first-pass metabolism). Symptoms include flushing, diarrhea, and wheezing. * **Diagnosis:** 24-hour urinary **5-HIAA** (metabolite of serotonin) and Serum **Chromogranin A** (tumor marker) [3]. * **Cardiac Involvement:** Right-sided heart failure (Tricuspid regurgitation/Pulmonary stenosis) due to endocardial fibrosis. Left-sided heart is spared because the lungs metabolize serotonin. **References:** [1] Kumar V, Abbas AK, et al.. Robbins and Cotran Pathologic Basis of Disease. 9th ed. The Gastrointestinal Tract, pp. 780-781. [2] Cross SS. Underwood's Pathology: A Clinical Approach. 6th ed. Common Clinical Problems From Alimentary System Disease, pp. 375-376. [3] Kumar V, Abbas AK, et al.. Robbins and Cotran Pathologic Basis of Disease. 9th ed. The Lung, p. 727.
Explanation: ### Explanation **Concept:** Pheochromocytomas are catecholamine-secreting tumors derived from **chromaffin cells**. These cells originate from the **neural crest** and are primarily found in the adrenal medulla [1]. However, during embryogenesis, chromaffin cells migrate along the sympathetic chain. Tumors arising from extra-adrenal chromaffin tissue are technically called **paragangliomas**, though they are often clinically grouped under the "Rule of 10s" for pheochromocytoma [2]. **Why "Chest Wall" is the Correct Answer:** Chromaffin tissue is distributed along the **para-axial sympathetic chain** (from the neck to the pelvis) and the **pre-vertebral sympathetic ganglia**. The **chest wall** (ribs, intercostal muscles) does not contain sympathetic ganglia or chromaffin tissue; therefore, it is not a site for these tumors. **Analysis of Incorrect Options:** * **Adrenal Gland:** The most common site (90% of cases), specifically the adrenal medulla [1]. * **Mediastinum:** Paragangliomas can occur in the posterior mediastinum along the paravertebral sympathetic chain [2]. * **Neck:** Carotid body tumors are a well-known type of head and neck paraganglioma [2]. **High-Yield Clinical Pearls for NEET-PG:** * **The Rule of 10s:** 10% are extra-adrenal, 10% are bilateral, 10% are malignant, and 10% occur in children. * **Organ of Zuckerkandl:** The most common extra-adrenal site, located near the bifurcation of the aorta [2]. * **Zellballen Pattern:** The characteristic histological arrangement of tumor cells in nests surrounded by sustentacular cells. * **Associated Syndromes:** MEN 2A, MEN 2B, von Hippel-Lindau (VHL), and NF-1 [3]. * **Diagnosis:** Best initial test is 24-hour urinary fractionated metanephrines and catecholamines. **References:** [1] Cross SS. Underwood's Pathology: A Clinical Approach. 6th ed. Common Clinical Problems From Liver And Biliary System Disease, pp. 419-420. [2] Kumar V, Abbas AK, et al.. Robbins and Cotran Pathologic Basis of Disease. 9th ed. Head and Neck, pp. 748-749. [3] Kumar V, Abbas AK, et al.. Robbins and Cotran Pathologic Basis of Disease. 9th ed. The Endocrine System, p. 1137.
Explanation: **Explanation:** Follicular Carcinoma of the Thyroid (FTC) is the second most common thyroid malignancy. Its pathogenesis is driven by specific molecular alterations that promote follicular cell proliferation and survival [1]. **Why Option C is correct:** **Point mutations of TP53** are characteristic of **Anaplastic Thyroid Carcinoma**, not Follicular Carcinoma. TP53 mutations are late-stage events associated with dedifferentiation and extreme clinical aggressiveness. While they may occasionally be seen in very advanced, poorly differentiated cases, they are not a hallmark or diagnostic feature of FTC. **Analysis of Incorrect Options:** * **A. PAX8-PPARG fusion:** This translocation, $t(2;3)(q13;p25)$, is seen in approximately 30-35% of FTCs. It results in a fusion protein that acts as a dominant-negative inhibitor of wild-type PPARG, promoting oncogenesis. * **B. RAS gene mutations:** Mutations in the RAS family (especially NRAS, followed by HRAS and KRAS) are found in 40-50% of FTCs [1]. They activate the MAPK and PI3K/AKT signaling pathways. * **C. Loss-of-function mutations of PTEN:** PTEN is a negative regulator of the PI3K/AKT pathway. Germline mutations cause **Cowden Syndrome** (which has a high risk of FTC), and somatic mutations/deletions are common in sporadic FTC. **High-Yield Clinical Pearls for NEET-PG:** * **Spread:** Unlike Papillary Carcinoma (lymphatic), FTC spreads primarily via the **hematogenous route** (to lungs and bone) [2]. * **Diagnosis:** FTC **cannot** be diagnosed by FNAC. Histological evidence of **capsular or vascular invasion** is mandatory to differentiate it from Follicular Adenoma [2]. * **Hurthle Cell Carcinoma:** A variant of FTC characterized by abundant mitochondria-rich eosinophilic cytoplasm. * **Molecular Summary:** * Papillary: BRAF V600E, RET/PTC. * Follicular: RAS, PAX8-PPARG, PTEN. * Medullary: RET (point mutations). * Anaplastic: TP53. **References:** [1] Kumar V, Abbas AK, et al.. Robbins and Cotran Pathologic Basis of Disease. 9th ed. The Endocrine System, pp. 1097-1098. [2] Cross SS. Underwood's Pathology: A Clinical Approach. 6th ed. Common Clinical Problems From Liver And Biliary System Disease, pp. 428-431.
Explanation: **Explanation:** **Crooke’s hyaline change** refers to a specific morphological alteration occurring in the **ACTH-producing basophils** of the anterior pituitary gland [1]. This change is a response to chronic high levels of circulating glucocorticoids (hypercortisolism), most commonly seen in **Cushing’s syndrome** (regardless of the cause) and **Cushing’s disease** [1]. **Why it occurs:** Under the influence of excess cortisol, the normal granular cytoplasm of the basophils is replaced by a homogenous, pale, eosinophilic, and glassy material. This "hyaline" represents an accumulation of **intermediate keratin filaments** (cytokeratins), which occurs as a result of the feedback inhibition of ACTH secretion [1]. **Analysis of Incorrect Options:** * **Voluntary muscles:** Chronic steroid excess leads to muscle wasting (steroid myopathy) due to catabolism, but not "hyaline change." * **Liver in Diabetes Mellitus:** The liver in DM typically shows **steatosis** (fatty change) or glycogenated nuclei, not Crooke’s hyaline. * **Liver in Viral Hepatitis B:** This is characterized by **"Ground-glass hepatocytes"** (due to HBsAg accumulation in the ER) or **Councilman bodies** (apoptotic hepatocytes). **High-Yield Clinical Pearls for NEET-PG:** * **Microscopy:** Look for the replacement of basophilic granules with a pale, "glassy" cytoplasmic appearance [1]. * **Reversibility:** Crooke’s hyaline change is a reactive process and is potentially reversible if the source of excess cortisol is removed. * **Differential:** Do not confuse this with **Mallory-Denk bodies** (seen in alcoholic liver disease), which are also composed of intermediate filaments but occur in hepatocytes. **References:** [1] Kumar V, Abbas AK, et al.. Robbins and Cotran Pathologic Basis of Disease. 9th ed. The Endocrine System, p. 1127.
Explanation: **Explanation:** The correct answer is **Hypocalcemia**. **1. Why Hypocalcemia is correct:** DiGeorge Syndrome (22q11.2 deletion syndrome) results from the failure of the **3rd and 4th pharyngeal pouches** to develop. This leads to the **aplasia or hypoplasia of the parathyroid glands** and the thymus [1]. The absence of parathyroid glands causes a deficiency in Parathyroid Hormone (PTH), leading to **hypocalcemia**. In neonates, severe hypocalcemia increases neuromuscular excitability, manifesting as tetany, muscle cramps, and convulsions (seizures) [2]. **2. Why the other options are incorrect:** * **A. Acute hemorrhagic adrenalitis:** Also known as Waterhouse-Friderichsen syndrome, this is typically associated with *Neisseria meningitidis* sepsis and causes adrenal insufficiency, not DiGeorge syndrome. * **C. Hypoglycemia:** While common in neonates of diabetic mothers or those with Beckwith-Wiedemann syndrome, it is not a primary feature of the developmental defects seen in DiGeorge syndrome. * **D. Hypokalemia:** This refers to low potassium levels. DiGeorge syndrome primarily affects calcium homeostasis; potassium levels are generally unaffected by parathyroid aplasia. **3. Clinical Pearls for NEET-PG:** * **CATCH-22 Mnemonic:** **C**ardiac defects (Truncus arteriosus, TOF), **A**bnormal facies, **T**hymic hypoplasia (T-cell deficiency/infections), **C**left palate, **H**ypocalcemia, due to **22**q11 deletion. * **Chest X-ray:** Look for the "absent thymic shadow" in a neonate. * **Diagnosis:** Confirmed via **FISH** (Fluorescence In Situ Hybridization) for the 22q11.2 microdeletion [1]. * **Pharyngeal Pouches:** Remember, the 3rd pouch forms the inferior parathyroids and thymus; the 4th pouch forms the superior parathyroids. **References:** [1] Kumar V, Abbas AK, et al.. Robbins and Cotran Pathologic Basis of Disease. 9th ed. The Endocrine System, pp. 1107-1108. [2] Cross SS. Underwood's Pathology: A Clinical Approach. 6th ed. Common Clinical Problems From Liver And Biliary System Disease, pp. 432-433.
Explanation: **Explanation:** **Hürthle cell carcinoma (HCC)** is traditionally classified as a variant of **Follicular Thyroid Carcinoma (FTC)** [1]. It is characterized by a predominance (>75%) of Hürthle cells (oncocytes), which are large, polygonal cells with abundant, granular, eosinophilic cytoplasm. This appearance is due to the massive accumulation of dysfunctional mitochondria. Like FTC, the diagnosis of HCC requires evidence of capsular or vascular invasion, as it cannot be distinguished from Hürthle cell adenoma by fine-needle aspiration (FNA) alone [1]. **Analysis of Options:** * **Follicular Carcinoma (Correct):** HCC shares the same growth patterns and metastatic behavior (hematogenous spread to bone/lungs) as FTC [2]. However, it is often more aggressive, more likely to metastasize to lymph nodes, and less likely to take up radioactive iodine. * **Medullary Carcinoma:** This arises from parafollicular C-cells (secreting calcitonin) and is associated with amyloid stroma and MEN 2 syndromes [2]. It does not feature Hürthle cells. * **Papillary Carcinoma:** While Hürthle cell changes can occasionally occur in Papillary Thyroid Carcinoma (PTC), the defining features of PTC are nuclear (Orphan Annie eyes, pseudoinclusions, grooves) and architectural (papillae, Psammoma bodies). * **Anaplastic Carcinoma:** This is an undifferentiated, highly aggressive tumor. While it may arise from differentiated cancers, it lacks the specific mitochondrial-rich follicular morphology of Hürthle cells. **High-Yield Clinical Pearls for NEET-PG:** * **Mitochondria:** The eosinophilic granularity of Hürthle cells is due to **mitochondrial hyperplasia**. * **Iodine Uptake:** Hürthle cell tumors are generally **non-avid** for Radioiodine (I-131) compared to classic FTC. * **Genetics:** Often associated with mitochondrial DNA mutations and losses of chromosomes 7 and 12. * **Staining:** Hürthle cells stain positive for **Thyroglobulin** (unlike Medullary carcinoma). **References:** [1] Kumar V, Abbas AK, et al.. Robbins and Cotran Pathologic Basis of Disease. 9th ed. The Endocrine System, pp. 1100-1101. [2] Cross SS. Underwood's Pathology: A Clinical Approach. 6th ed. Common Clinical Problems From Liver And Biliary System Disease, pp. 428-429.
Pituitary Gland Disorders
Practice Questions
Thyroid Gland Diseases
Practice Questions
Parathyroid Gland Pathology
Practice Questions
Adrenal Cortical Disorders
Practice Questions
Adrenal Medullary Disorders
Practice Questions
Pancreatic Endocrine Disorders
Practice Questions
Multiple Endocrine Neoplasia Syndromes
Practice Questions
Diffuse Neuroendocrine System
Practice Questions
Pineal Gland Pathology
Practice Questions
Laboratory Diagnosis of Endocrine Diseases
Practice Questions
Get full access to all questions, explanations, and performance tracking.
Start For Free