Medullary carcinoma of the thyroid arises from which of the following cells?
What is true about papillary carcinoma?
Which type of adenoma has the highest propensity to undergo dystrophic calcification?
A 29-year-old woman presents with a 6-month history of nervousness, muscle weakness, heat intolerance, excessive sweating, and a 9 kg weight loss despite increased caloric intake. She also reports palpitations and amenorrhea. Physical examination reveals warm, moist skin and exophthalmos. A thyroid biopsy is performed. Which of the following best describes the expected pathologic findings?
Pheochromocytoma with malignant potential exclusively secretes which of the following?
In malignant hyperthermia, what causes the increased heat production?
Familial hypocalciuric hypercalcemia is characterized by mild elevation of calcium and parathyroid hormone (PTH) levels. It is primarily caused by a mutation in which of the following?
A 58-year-old woman presents with difficulty in swallowing. After a comprehensive workup by a gastroenterologist rules out primary esophageal disease, she is referred to an endocrinologist. The endocrinologist suspects Riedel thyroiditis. Which of the following physical examination findings would best help confirm this diagnosis?
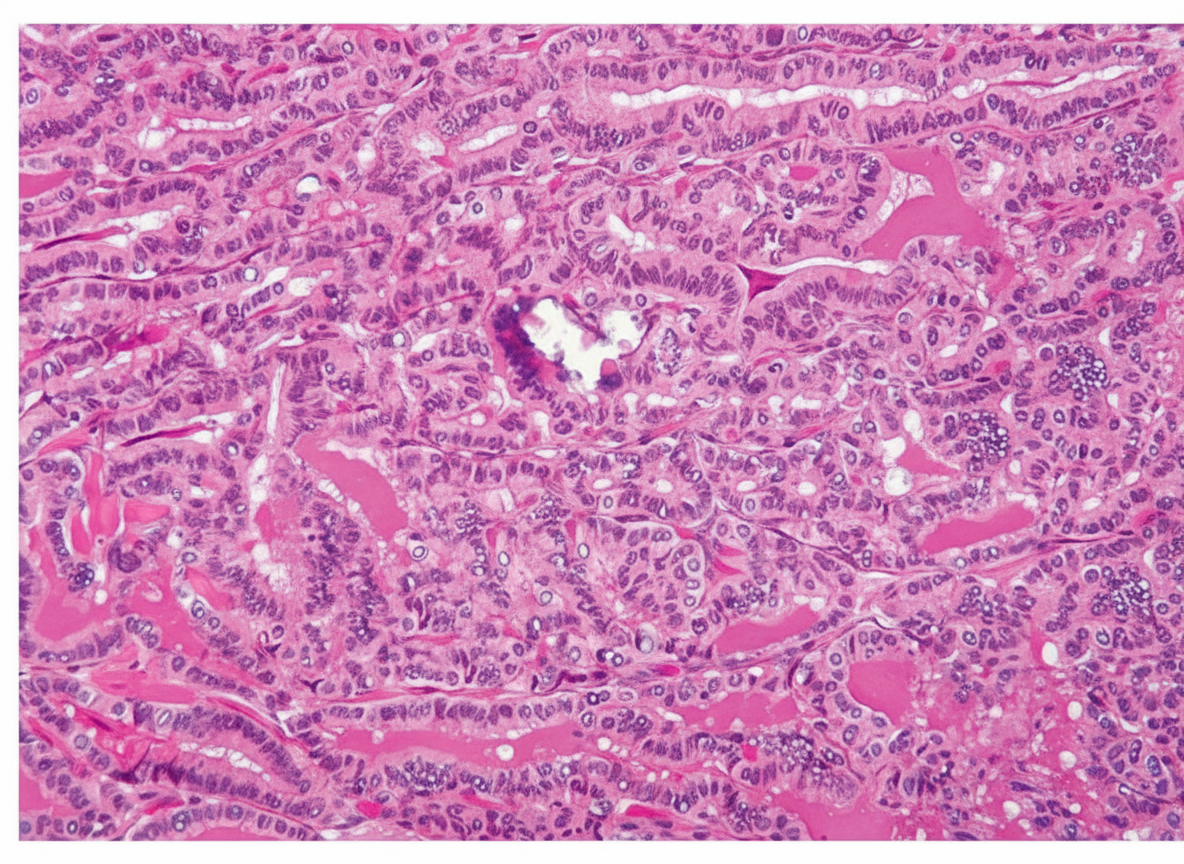
A tumor similar to that shown in the illustration is observed in a biopsy specimen from the thyroid of a 50-year-old woman. An adjacent lymph node is also involved. Which of the following descriptions of this tumor is most appropriate?

Thymic hyperplasia is seen in which condition?
Explanation: **Explanation:** **Medullary Thyroid Carcinoma (MTC)** is a neuroendocrine neoplasm that arises from the **Parafollicular cells (C-cells)** of the thyroid gland [1]. These cells are derived from the **ultimobranchial body** (neural crest origin) and are responsible for the secretion of **Calcitonin**, which serves as a crucial tumor marker for diagnosis and monitoring recurrence [2]. **Analysis of Options:** * **Option A (Correct):** Parafollicular cells are located in the connective tissue between thyroid follicles. MTC is unique because it does not arise from the follicular epithelium, explaining why it does not concentrate iodine. * **Option B (Incorrect):** Cells lining the acini (follicular cells) give rise to Papillary, Follicular, and Anaplastic carcinomas [1]. * **Option C & D (Incorrect):** The capsule and stroma are supportive connective tissues. While tumors may invade these structures, they do not originate from them. **High-Yield Clinical Pearls for NEET-PG:** * **Histology:** Characterized by nests of polygonal cells in an **amyloid stroma** (formed by procalcitonin) [3]. Amyloid stains positive with **Congo Red** (apple-green birefringence). * **Genetics:** Approximately 70-80% are sporadic; 20-30% are familial, associated with **MEN 2A and 2B** syndromes involving **RET proto-oncogene** mutations [1], [2]. * **Staining:** Positive for Calcitonin, Chromogranin A, and Synaptophysin [3]. * **Prophylaxis:** In MEN 2 carriers, prophylactic thyroidectomy is often indicated based on the specific RET mutation. **References:** [1] Cross SS. Underwood's Pathology: A Clinical Approach. 6th ed. Common Clinical Problems From Liver And Biliary System Disease, pp. 428-429. [2] Kumar V, Abbas AK, et al.. Robbins and Cotran Pathologic Basis of Disease. 9th ed. The Endocrine System, pp. 1102-1103. [3] Cross SS. Underwood's Pathology: A Clinical Approach. 6th ed. Common Clinical Problems From Liver And Biliary System Disease, pp. 430-431.
Explanation: **Explanation:** Papillary Thyroid Carcinoma (PTC) is the most common thyroid malignancy [3]. The correct answer is **Option C** because PTC is characteristically a **lymphophilic tumor**. It spreads primarily via the lymphatic system to the cervical (neck) lymph nodes [1]. Interestingly, despite the frequent presence of lymph node metastases at the time of diagnosis, the overall prognosis remains excellent [1]. **Analysis of Incorrect Options:** * **Option A (Often encapsulated):** PTC is typically **non-encapsulated** and often shows infiltrative borders [2]. In contrast, Follicular Carcinoma is usually encapsulated. * **Option B (Bad prognosis):** PTC has an **excellent prognosis**, with a 10-year survival rate exceeding 95% [1]. It is the least aggressive of the well-differentiated thyroid cancers [1]. * **Option D (Iodine deficiency):** Iodine deficiency is a risk factor for **Follicular Carcinoma** and Anaplastic Carcinoma [3]. The most significant risk factor for Papillary Carcinoma is exposure to **ionizing radiation** [3]. **High-Yield NEET-PG Pearls:** * **Nuclear Features (Diagnostic Gold Standard):** Look for **Orphan Annie eye nuclei** (optically clear) [1][2], **Psammoma bodies** (laminated calcifications), and **Nuclear grooves/pseudoinclusions** [2]. * **Genetic Mutations:** Most commonly associated with **BRAF mutations** (specifically V600E) and **RET/PTC rearrangements**. * **Variants:** The "Tall Cell Variant" is a more aggressive subtype, while the "Follicular Variant" is common but must show characteristic PTC nuclear features [2][3]. * **Diagnosis:** Fine Needle Aspiration Cytology (FNAC) is the investigation of choice [2]. **References:** [1] Cross SS. Underwood's Pathology: A Clinical Approach. 6th ed. Common Clinical Problems From Liver And Biliary System Disease, pp. 429-430. [2] Kumar V, Abbas AK, et al.. Robbins and Cotran Pathologic Basis of Disease. 9th ed. The Endocrine System, p. 1099. [3] Kumar V, Abbas AK, et al.. Robbins and Cotran Pathologic Basis of Disease. 9th ed. The Endocrine System, pp. 1098-1099.
Explanation: ### Explanation **Correct Option: C. Lactotroph adenoma** Lactotroph adenomas (prolactinomas) are the most common type of hyperfunctioning pituitary adenoma [1]. They have a unique propensity for **dystrophic calcification**, which can range from microscopic isolated grains to large, stony masses known as **"pituitary stones."** The underlying mechanism involves the deposition of calcium salts in necrotic or degenerating tumor tissue. When these calcifications form concentric, laminated structures, they are termed **psammoma bodies**. While other adenomas can calcify, this feature is classically associated with and most frequent in lactotroph adenomas. **Analysis of Incorrect Options:** * **A. Somatotroph adenoma:** These GH-secreting tumors are the second most common type. While they can cause acromegaly or gigantism, they are more typically characterized by "fibrous bodies" (cytokeratin filaments) on histology rather than significant calcification [1]. * **B. Corticotroph adenoma:** These ACTH-secreting tumors are usually small (microadenomas) at the time of diagnosis [3]. Their hallmark histological feature is **Crooke’s hyaline change** (accumulation of intermediate filaments in the non-neoplastic pituitary), not calcification. * **D. Thyrotroph adenoma:** These are the rarest form of pituitary adenomas (<1%) [4]. They typically present with hyperthyroidism and do not have a specific association with dystrophic calcification. **High-Yield Facts for NEET-PG:** * **Psammoma bodies** in the pituitary are a classic histological clue for a **prolactinoma**. * **Dystrophic calcification** occurs in dead/dying tissue with **normal** serum calcium levels. * **Staining:** Lactotroph adenomas are usually **chromophobic** or weakly acidophilic. * **Clinical Presentation:** In females, the classic triad is amenorrhea, galactorrhea, and infertility [2]. In males, it often presents late with mass effect (bitemporal hemianopia) or decreased libido. **References:** [1] Kumar V, Abbas AK, et al.. Robbins and Cotran Pathologic Basis of Disease. 9th ed. The Endocrine System, p. 1081. [2] Kumar V, Abbas AK, et al.. Robbins and Cotran Pathologic Basis of Disease. 9th ed. The Endocrine System, pp. 1081-1082. [3] Kumar V, Abbas AK, et al.. Robbins and Cotran Pathologic Basis of Disease. 9th ed. The Endocrine System, pp. 1082-1083. [4] Kumar V, Abbas AK, et al.. Robbins and Cotran Pathologic Basis of Disease. 9th ed. The Endocrine System, p. 1079.
Explanation: ### Explanation **Clinical Diagnosis: Graves’ Disease** The patient presents with classic signs of **thyrotoxicosis** (heat intolerance, weight loss, palpitations) and pathognomonic **exophthalmos**, pointing to Graves’ Disease [1]. This is an autoimmune disorder caused by Thyroid-Stimulating Immunoglobulins (TSI) that bind to and activate the TSH receptor, leading to autonomous thyroid hyperfunction [3]. **1. Why the Correct Answer is Right:** * **Follicular Hyperplasia:** Chronic stimulation by TSI causes the follicular epithelial cells to become crowded and transition from cuboidal to **tall columnar** [1]. This crowding often results in the formation of small papillae that project into the follicular lumen (without fibrovascular cores, unlike papillary carcinoma) [1]. * **Scalloping of Colloid:** The hyperactive follicular cells rapidly resorb colloid to produce thyroid hormones. This creates clear, "moth-eaten" or **scalloped edges** at the periphery of the colloid where it meets the epithelium [1]. **2. Why the Incorrect Options are Wrong:** * **Option A (Atrophy and Fibrosis):** Characteristic of the late stages of **Riedel’s Thyroiditis** or end-stage Hashimoto’s [5]. * **Option B (Dense lymphoid infiltrate with germinal centers):** This is the hallmark of **Hashimoto’s Thyroiditis**, which typically presents with hypothyroidism and Hürthle cell metaplasia [4]. * **Option D (Necrotizing parenchymal granulomas):** Characteristic of **De Quervain (Subacute) Thyroiditis**, which presents with a painful thyroid gland following a viral infection [3]. **3. NEET-PG High-Yield Pearls:** * **Triad of Graves:** Hyperthyroidism, Exophthalmos (due to retro-orbital glycosaminoglycan deposition), and Pretibial Myxedema [2]. * **Laboratory:** Low TSH, High T3/T4, and positive **Anti-TSHR antibodies** (TSI) [3]. * **Radioiodine uptake:** Shows **diffuse, increased** uptake (unlike toxic multinodular goiter which shows "patchy" uptake) [3]. **References:** [1] Kumar V, Abbas AK, et al.. Robbins and Cotran Pathologic Basis of Disease. 9th ed. The Endocrine System, p. 1093. [2] Kumar V, Abbas AK, et al.. Robbins and Cotran Pathologic Basis of Disease. 9th ed. The Endocrine System, pp. 1092-1093. [3] Kumar V, Abbas AK, et al.. Robbins and Cotran Pathologic Basis of Disease. 9th ed. The Endocrine System, p. 1087. [4] Kumar V, Abbas AK, et al.. Robbins and Cotran Pathologic Basis of Disease. 9th ed. The Endocrine System, pp. 1090-1091. [5] Kumar V, Abbas AK, et al.. Robbins and Cotran Pathologic Basis of Disease. 9th ed. The Endocrine System, pp. 1091-1092.
Explanation: **Explanation:** The correct answer is **Dopamine**. **1. Why Dopamine is correct:** Pheochromocytomas are tumors of the chromaffin cells that typically secrete catecholamines (epinephrine and norepinephrine). However, the secretion of **Dopamine** is a significant biochemical marker for **malignancy**. Malignant pheochromocytomas often lack the enzyme *Dopamine beta-hydroxylase*, which converts dopamine into norepinephrine. Consequently, these poorly differentiated cells secrete dopamine directly into the circulation. Elevated plasma or urinary dopamine (and its metabolite HVA) is a high-yield indicator of malignant potential or extra-adrenal locations (paragangliomas). **2. Why the other options are incorrect:** * **Norepinephrine:** This is the most common catecholamine secreted by both benign and malignant pheochromocytomas [3]. It is responsible for sustained hypertension but does not specifically indicate malignancy. * **Epinephrine:** Secretion of epinephrine requires the enzyme *PNMT*, which is primarily found in the adrenal medulla. While common in benign adrenal pheochromocytomas, its presence actually suggests a more differentiated (often benign) tumor. * **Metanephrine:** This is a metabolite of epinephrine. Metanephrines (normetanephrine and metanephrine) are the most sensitive screening markers for pheochromocytoma in general, but they do not differentiate between benign and malignant states. **Clinical Pearls for NEET-PG:** * **Rule of 10s:** 10% are bilateral, 10% are extra-adrenal, 10% are pediatric, and 10% are malignant (though malignancy rates are higher in extra-adrenal tumors) [1]. * **Zuckerkandl’s Organ:** The most common site for extra-adrenal pheochromocytoma. * **Histology:** Look for the **"Zellballen" pattern** (nests of cells surrounded by vascular stroma) [2]. * **Malignancy Criterion:** Histology cannot reliably predict malignancy [1]; the only definitive proof of malignancy is the **presence of metastases** to non-chromaffin sites (e.g., bone, liver, lymph nodes). **References:** [1] Cross SS. Underwood's Pathology: A Clinical Approach. 6th ed. Common Clinical Problems From Liver And Biliary System Disease, pp. 419-420. [2] Kumar V, Abbas AK, et al.. Robbins and Cotran Pathologic Basis of Disease. 9th ed. The Endocrine System, pp. 1137-1138. [3] Kumar V, Abbas AK, et al.. Robbins and Cotran Pathologic Basis of Disease. 9th ed. The Endocrine System, pp. 1138-1139.
Explanation: **Explanation:** **Malignant Hyperthermia (MH)** is a pharmacogenetic hypermetabolic crisis triggered by volatile anesthetics (e.g., Halothane) or depolarizing muscle relaxants (e.g., Succinylcholine). 1. **Why Option A is Correct:** The underlying defect is most commonly a mutation in the **RYR1 (Ryanodine Receptor)** gene on chromosome 19. This receptor regulates the release of calcium from the sarcoplasmic reticulum. In susceptible individuals, triggers cause the RYR1 channel to remain open, leading to a massive **efflux of calcium ions** into the sarcoplasm. This excess calcium causes continuous muscle contraction and overactivation of the ATP-dependent calcium reuptake pumps. The resulting **hypermetabolic state** consumes massive amounts of ATP, generating excessive heat, CO₂, and lactic acid. 2. **Why Other Options are Incorrect:** * **B. Thermic effect of food:** This refers to the energy expenditure required for digestion and is unrelated to anesthetic-induced crises. * **C. Increased sympathetic discharge:** While MH presents with tachycardia and hypertension (mimicking sympathetic overactivity), these are secondary responses to hypercarbia and acidosis, not the primary source of heat. * **D. Mitochondrial thermogenesis:** While mitochondria are involved in cellular respiration, the primary heat source in MH is the mechanical and biochemical work of the myofibrils and ion pumps in the sarcoplasm. **High-Yield Clinical Pearls for NEET-PG:** * **Earliest Sign:** Increase in **End-tidal CO₂ (ETCO₂)**. * **Clinical Features:** Muscle rigidity (specifically Masseter muscle rigidity), hyperpyrexia, and rhabdomyolysis. * **Drug of Choice:** **Dantrolene** (Mechanism: Acts as a muscle relaxant by binding to RYR1 and inhibiting calcium release). * **Inheritance:** Autosomal Dominant.
Explanation: **Explanation:** **Familial Hypocalciuric Hypercalcemia (FHH)** is an autosomal dominant disorder characterized by lifelong mild hypercalcemia, inappropriately normal or slightly elevated PTH, and low urinary calcium excretion (hypocalciuria) [1]. **Why the correct answer is right:** The condition is caused by an inactivating **mutation in the Calcium-Sensing Receptor (CaSR)** gene located on chromosome 3q [1]. The CaSR is a G-protein coupled receptor expressed primarily in the parathyroid glands and the renal tubules. * **In the Parathyroid:** The mutation "blunts" the receptor’s sensitivity, meaning higher-than-normal serum calcium levels are required to suppress PTH secretion [1]. * **In the Kidneys:** The defective receptor leads to increased calcium reabsorption in the thick ascending limb of the loop of Henle, resulting in low urinary calcium. **Why incorrect options are wrong:** * **Options A, B, and C:** These are distractors. The CaSR is a cell-surface receptor (plasma membrane), not a mitochondrial, ribosomal, or Golgi-based protein. There are no recognized clinical syndromes involving "mitochondrial calcium receptors" or "ribosomal surface proteins" that present with this biochemical profile. **NEET-PG High-Yield Pearls:** 1. **Biochemical Hallmark:** High serum Ca²⁺, low urinary Ca²⁺ (Calcium/Creatinine clearance ratio < 0.01), and mildly elevated/normal PTH. 2. **Clinical Significance:** FHH is usually asymptomatic and **does not** require surgery (parathyroidectomy is ineffective). It must be differentiated from Primary Hyperparathyroidism (PHPT) to avoid unnecessary surgery [1]. 3. **Homozygous State:** While FHH is heterozygous, a homozygous mutation in the CaSR gene leads to **Neonatal Severe Hyperparathyroidism**, which is life-threatening. **References:** [1] Kumar V, Abbas AK, et al.. Robbins and Cotran Pathologic Basis of Disease. 9th ed. The Endocrine System, pp. 1104-1105.
Explanation: **Explanation:** **Riedel Thyroiditis** is a rare form of chronic thyroiditis characterized by extensive **fibrosis** that replaces the normal thyroid parenchyma and extends into adjacent neck structures (e.g., esophagus, trachea, recurrent laryngeal nerves) [1]. 1. **Why Option D is correct:** The hallmark of Riedel thyroiditis is a **"stony-hard" or "woody" thyroid gland**. This extreme firmness is due to dense fibrous tissue replacement. The fibrosis often extends beyond the capsule, causing obstructive symptoms like dysphagia (difficulty swallowing) or dyspnea, as seen in this patient [1]. 2. **Why other options are incorrect:** * **Option A (Eyeball protrusion):** Exophthalmos is characteristic of **Graves' Disease**, caused by autoimmune-mediated inflammation of orbital tissues, not fibrosis [1]. * **Option B (Massive, soft gland):** A soft or boggy gland is more typical of a simple diffuse goiter. Riedel thyroiditis is never soft; it is fixed and hard [1]. * **Option C (Painful/Tender gland):** Tenderness is the classic feature of **De Quervain (Subacute Granulomatous) Thyroiditis**, which usually follows a viral infection. Riedel thyroiditis is typically painless. **High-Yield Clinical Pearls for NEET-PG:** * **IgG4-Related Disease:** Riedel thyroiditis is now considered part of the systemic IgG4-related sclerosing disease spectrum (associated with retroperitoneal fibrosis and sclerosing cholangitis) [1]. * **"Hard as Wood":** This is the classic descriptor used in exams to differentiate it from Anaplastic Carcinoma, which also presents as a hard, fixed mass in older patients [1]. * **Histology:** Shows dense collagenous fibrous tissue with a sparse lymphocytic infiltrate; importantly, there is **no giant cell formation** (unlike De Quervain). **References:** [1] Kumar V, Abbas AK, et al.. Robbins and Cotran Pathologic Basis of Disease. 9th ed. The Endocrine System, pp. 1091-1092.
Explanation: ***Slow-growing lesion with relatively good prognosis*** - The histological features described suggest **papillary thyroid carcinoma**, which has an excellent prognosis with **10-year survival rates >95%**. - Despite **lymph node involvement**, papillary carcinoma grows slowly and responds well to **surgical resection** and **radioiodine therapy**. *Functional tumor resulting in thyrotoxicosis* - **Papillary thyroid carcinoma** is typically **non-functional** and does not produce excess thyroid hormones. - Functional tumors causing thyrotoxicosis are usually **toxic adenomas** or **toxic multinodular goiter**, not malignant lesions. *Origin from C cells* - **C cells** (parafollicular cells) give rise to **medullary thyroid carcinoma**, not papillary carcinoma. - Papillary carcinoma originates from **follicular epithelial cells** and shows characteristic **papillary architecture** with **Orphan Annie eye nuclei**. *Calcitonin-producing tumor* - **Calcitonin** is produced by **medullary thyroid carcinoma** arising from C cells, not papillary carcinoma. - Papillary carcinoma produces **thyroglobulin** as a tumor marker, which is used for monitoring recurrence after treatment.
Explanation: **Explanation:** **Thymic hyperplasia** (specifically follicular hyperplasia) is characterized by the presence of lymphoid follicles with germinal centers within the thymic medulla [2]. 1. **Why Myasthenia Gravis (MG) is correct:** There is a strong association between the thymus and MG [1]. Approximately **65-70% of patients with Myasthenia Gravis exhibit thymic hyperplasia**. In these cases, the thymus acts as the site of autosensitization, where "myoid cells" (cells expressing acetylcholine receptors) trigger the production of autoantibodies by B-cells in the germinal centers [3]. Surgical removal of the thymus (thymectomy) often leads to clinical improvement in these patients. 2. **Why other options are incorrect:** * **Thymoma:** This is a true neoplasm of the thymic epithelial cells. While 30-45% of patients with thymoma have MG, the question asks for *hyperplasia* (a reactive process), not a neoplastic one [2]. * **Thymic Lymphoma:** This is a malignancy of the lymphoid tissue (commonly T-cell lymphoblastic lymphoma) and is distinct from the reactive follicular hyperplasia seen in autoimmune states [2]. * **Scleroderma:** While an autoimmune condition, it is not classically associated with thymic pathology. Thymic hyperplasia is more commonly linked to MG, Graves' disease, and SLE [4]. **High-Yield Clinical Pearls for NEET-PG:** * **Thymic Hyperplasia vs. Thymoma:** Hyperplasia is seen in ~70% of MG cases, while Thymoma is seen in ~10-15% of MG cases. * **Histology:** The hallmark of thymic hyperplasia is the presence of **B-cell germinal centers** in the medulla (the thymus is normally a T-cell organ) [2]. * **Other Associations:** Thymic hyperplasia can also be seen in Graves' disease, Systemic Lupus Erythematosus (SLE), and Rheumatoid Arthritis [4]. **References:** [1] Kumar V, Abbas AK, et al.. Robbins and Cotran Pathologic Basis of Disease. 9th ed. Peripheral Nerves and Skeletal Muscles, pp. 1237-1238. [2] Cross SS. Underwood's Pathology: A Clinical Approach. 6th ed. Common Clinical Problems From Diseases Of The Urinary And Male Genital Tracts, pp. 571-572. [3] Kumar V, Abbas AK, et al.. Robbins and Cotran Pathologic Basis of Disease. 9th ed. Diseases of White Blood Cells, Lymph Nodes, Spleen, and Thymus, p. 634. [4] Kumar V, Abbas AK, et al.. Robbins and Cotran Pathologic Basis of Disease. 9th ed. The Endocrine System, pp. 1092-1093.
Pituitary Gland Disorders
Practice Questions
Thyroid Gland Diseases
Practice Questions
Parathyroid Gland Pathology
Practice Questions
Adrenal Cortical Disorders
Practice Questions
Adrenal Medullary Disorders
Practice Questions
Pancreatic Endocrine Disorders
Practice Questions
Multiple Endocrine Neoplasia Syndromes
Practice Questions
Diffuse Neuroendocrine System
Practice Questions
Pineal Gland Pathology
Practice Questions
Laboratory Diagnosis of Endocrine Diseases
Practice Questions
Get full access to all questions, explanations, and performance tracking.
Start For Free