Medullary thyroid carcinoma occurs due to the mutation of which oncogene or gene?
All of the following are features of De Quervain thyroiditis except?
Multiple Endocrine Neoplasia (MEN) types II and III are associated with which gene mutation?
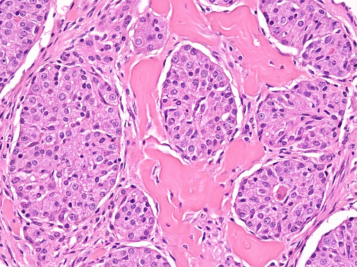
A 40-year-old male presented with a thyroid swelling and dysphagia. He gave history of on and off watery diarrhea. Biopsy of the lesion is shown. What is your diagnosis?

Which of the following is the most reliable feature of malignant transformation of pheochromocytoma?
Which of the following is seen on electron microscopy of medullary thyroid carcinoma specimens?
What is the ultrastructural finding in a case of paraganglioma?
A 21-year-old woman experiences abruptio placentae with severe bleeding during the delivery of a term fetus. Five months later, she presents with profound lethargy, pallor, muscle weakness, failure of lactation, and amenorrhea. Which of the following pathologic findings is expected in this patient?
All of the following are TRUE about Hashimoto's Thyroiditis, EXCEPT?
Spironolactone bodies are seen in which cellular structure?
Explanation: **Medullary Thyroid Carcinoma (MTC)** is a neuroendocrine tumor derived from the **Parafollicular C-cells** of the thyroid [2], which secrete calcitonin. 1. **Why RET oncogene is correct:** The **RET (REarranged during Transfection)** proto-oncogene, located on chromosome 10q11.2, encodes a receptor tyrosine kinase. Germline mutations in the RET oncogene are responsible for nearly all cases of **familial MTC** (associated with MEN 2A and 2B syndromes). Additionally, somatic RET mutations are found in approximately 50% of sporadic MTC cases. 2. **Why other options are incorrect:** * **P53 gene:** This is a tumor suppressor gene. Mutations are typically associated with **Anaplastic Thyroid Carcinoma**, representing a progression from well-differentiated forms, but not the primary driver for MTC. * **RAS (H-RAS, K-RAS, N-RAS):** Mutations in the RAS family are most commonly associated with **Follicular Adenomas/Carcinomas** and the follicular variant of Papillary Thyroid Carcinoma [1]. * **BRCA-1:** This is a DNA repair gene primarily associated with hereditary breast and ovarian cancer syndromes, not thyroid pathology. **High-Yield Clinical Pearls for NEET-PG:** * **Amyloid Stroma:** Histologically, MTC is characterized by nests of polygonal cells with **amyloid deposits** (derived from altered calcitonin) that stain with Congo Red. * **Screening:** In families with known MEN 2 mutations, prophylactic thyroidectomy is often performed because the penetrance for MTC is nearly 100%. * **Biomarker:** Serum **Calcitonin** is used for both diagnosis and monitoring recurrence [2]. * **Origin:** Unlike Papillary and Follicular cancers (follicular epithelium), MTC arises from the **ultimobranchial body**. **References:** [1] Kumar V, Abbas AK, et al.. Robbins and Cotran Pathologic Basis of Disease. 9th ed. The Endocrine System, pp. 1097-1098. [2] Cross SS. Underwood's Pathology: A Clinical Approach. 6th ed. Common Clinical Problems From Liver And Biliary System Disease, pp. 428-429.
Explanation: **De Quervain Thyroiditis (Subacute Granulomatous Thyroiditis)** **Explanation of the Correct Option (C):** The statement "Bacterial infection is a trigger" is **incorrect**, making it the right answer for this "except" question. De Quervain thyroiditis is classically triggered by a **viral infection** (e.g., Coxsackievirus, mumps, measles, adenovirus) or a post-viral inflammatory response. It is not a bacterial process. It is frequently preceded by an upper respiratory tract infection (URTI) and is associated with the **HLA-B35** haplotype. **Analysis of Other Options:** * **Option A:** In the early (acute) phase, the thyroid follicles are indeed disrupted and replaced by **neutrophils**, which can aggregate to form **microabscesses**. * **Option B:** As the disease progresses to the subacute phase, the characteristic finding is a granulomatous inflammation. The infiltrate consists of **lymphocytes, plasma cells, and macrophages** surrounding pools of colloid, often with multinucleated **giant cells** (granuloma formation). * **Option C:** It is clinically recognized as the **most common cause of a painful thyroid gland**. Patients typically present with exquisite thyroid tenderness, fever, and referred pain to the jaw or ears. **High-Yield Clinical Pearls for NEET-PG:** * **Triphasic Clinical Course:** Initial **Hyperthyroidism** (due to follicle destruction and T3/T4 leak) → Transient **Hypothyroidism** → **Euthyroid** state (recovery) [1]. * **Lab Findings:** Characterized by a **high ESR** and **low radioactive iodine uptake (RAIU)** during the thyrotoxic phase (distinguishes it from Graves' disease) [1]. * **Treatment:** Usually self-limiting; managed with NSAIDs or corticosteroids for pain and inflammation. [1]. * **Pathology Keyword:** "Giant cell thyroiditis" or "Granulomatous thyroiditis.". **References:** [1] Kumar V, Abbas AK, et al.. Robbins and Cotran Pathologic Basis of Disease. 9th ed. The Endocrine System, pp. 1091-1092.
Explanation: **Explanation:** The correct answer is **D. Ret**. **1. Why Ret is correct:** The **RET proto-oncogene**, located on chromosome **10q11.2**, encodes a receptor tyrosine kinase involved in cell growth and differentiation. Germline **gain-of-function mutations** in the RET gene are the hallmark of **MEN 2A (Type II)** and **MEN 2B (Type III)** [1]. * **MEN 2A:** Characterized by Medullary Thyroid Carcinoma (MTC), Pheochromocytoma, and Parathyroid hyperplasia [1]. * **MEN 2B:** Characterized by MTC, Pheochromocytoma, Mucosal neuromas, and Marfanoid habitus [1]. * *Note:* In contrast, MEN Type I is caused by a mutation in the *MEN1* gene (Menin protein) on chromosome 11. **2. Why other options are incorrect:** * **A. C-myc:** An oncogene (transcription factor) associated with **Burkitt Lymphoma** (t[8;14]). * **B. Erb-B2 (HER2/neu):** A growth factor receptor overexpressed in certain **Breast and Gastric cancers**. * **C. L-myc:** An oncogene primarily associated with **Small Cell Carcinoma of the Lung**. **High-Yield Clinical Pearls for NEET-PG:** * **Screening:** Prophylactic thyroidectomy is recommended for children carrying the RET mutation because Medullary Thyroid Carcinoma (MTC) occurs in nearly 100% of these patients. * **Hirschsprung Disease:** While *gain-of-function* RET mutations cause MEN 2, *loss-of-function* RET mutations are associated with Hirschsprung disease. * **MTC Marker:** Calcitonin is the tumor marker used for diagnosis and monitoring of MTC in MEN 2 patients. **References:** [1] Kumar V, Abbas AK, et al.. Robbins and Cotran Pathologic Basis of Disease. 9th ed. The Endocrine System, p. 1137.
Explanation: ***Medullary carcinoma of the thyroid*** - The combination of **thyroid swelling** with **watery diarrhea** strongly suggests medullary carcinoma, which arises from **C-cells** and secretes **calcitonin**. - Histologically shows **amyloid deposits in the stroma** and is associated with **MEN syndromes**, explaining the diarrheal symptoms due to excess calcitonin. *Follicular carcinoma of the thyroid* - Arises from **follicular epithelial cells** and typically presents as a **solitary thyroid nodule** without systemic symptoms like diarrhea. - Histologically shows **follicular architecture** with **capsular** or **vascular invasion**, lacking the amyloid deposits seen in medullary carcinoma. *Papillary carcinoma of the thyroid* - Most common thyroid malignancy arising from **follicular epithelial cells**, usually presenting as a painless thyroid mass without diarrhea. - Characterized by **papillary architecture**, **psammoma bodies**, and **Orphan Annie eye nuclei**, distinct from the neuroendocrine features of medullary carcinoma. *Anaplastic carcinoma of the thyroid* - Highly aggressive tumor presenting as a **rapidly enlarging thyroid mass** with severe **compressive symptoms** in elderly patients. - Histologically shows **undifferentiated cells** with **high mitotic activity** and **necrosis**, lacking the organized structure and amyloid deposits of medullary carcinoma.
Explanation: In endocrine pathology, specifically regarding **Pheochromocytoma**, the traditional histological criteria for malignancy used in other tumors (like pleomorphism or mitosis) are notoriously unreliable [1]. ### **Why "None of the above" is Correct** The only definitive and most reliable feature of malignant transformation in pheochromocytoma is the **presence of metastases in non-chromaffin sites** (e.g., lymph nodes, liver, lungs, or bone). Unlike other cancers, the histological appearance of a pheochromocytoma does not reliably predict its clinical behavior [1]. A tumor can appear histologically "benign" but metastasize aggressively, or appear "ugly" with significant atypia but remain localized. ### **Why the other options are incorrect:** * **A. Presence of mitotic figures:** While increased mitoses are factored into scoring systems like the **PASS (Pheochromocytoma of the Adrenal Gland Scaled Score)**, they are not definitive proof of malignancy on their own. * **B & C. Capsular and Vascular invasion:** In many tumors (like Follicular Thyroid Carcinoma), these are hallmarks of malignancy. However, in pheochromocytoma, even benign tumors can occasionally show capsular or vascular "pushing" or entrapment that mimics invasion. Therefore, they are considered suggestive but **not reliable** diagnostic features of malignancy. ### **NEET-PG High-Yield Pearls:** * **Rule of 10s:** Historically, 10% are malignant, 10% are bilateral, 10% are extra-adrenal (Paragangliomas), and 10% occur in children. (Note: Modern genetics show up to 25-40% are familial). * **Zellballen Pattern:** The classic histological arrangement of tumor cells in nests surrounded by sustentacular cells. * **Biomarker:** **Chromogranin A** is a useful serum marker for monitoring. * **Genetic Associations:** Often associated with **MEN 2A/2B, VHL syndrome, and NF-1** [2]. **References:** [1] Cross SS. Underwood's Pathology: A Clinical Approach. 6th ed. Common Clinical Problems From Liver And Biliary System Disease, pp. 419-420. [2] Kumar V, Abbas AK, et al.. Robbins and Cotran Pathologic Basis of Disease. 9th ed. The Endocrine System, p. 1137.
Explanation: **Medullary Thyroid Carcinoma (MTC)** is a neuroendocrine tumor derived from the **Parafollicular C-cells** of the thyroid gland [2]. These cells are responsible for the secretion of **Calcitonin**, a polypeptide hormone. 1. **Why Option D is Correct:** As a neuroendocrine tumor, MTC cells synthesize and store hormones in specialized secretory vesicles. On **Electron Microscopy (EM)**, these appear as membrane-bound, **electron-dense neurosecretory granules** located within the **cytoplasm**. These granules contain calcitonin and other peptides (like CGRP). Their presence is a diagnostic hallmark of neuroendocrine differentiation. 2. **Why Other Options are Incorrect:** * **Option A (Nucleus):** The nucleus contains genetic material (chromatin) and the nucleolus. While MTC may show "salt and pepper" chromatin on light microscopy, secretory granules are never found within the nucleus. * **Option B (Mitochondria):** Mitochondria are involved in energy production (ATP). While they may be abundant in certain tumors (like Hürthle cell tumors/Oncocytomas), they do not store neurosecretory products. * **Option C (Endoplasmic Reticulum):** The ER is the site of protein synthesis. While pro-hormones are processed here, they are packaged into dense granules only after reaching the Golgi apparatus and are subsequently stored in the cytoplasm. **High-Yield Clinical Pearls for NEET-PG:** * **Origin:** Derived from **Ultimobranchial body** (Neural crest cells). * **Amyloid Stroma:** MTC is classic for having stromal amyloid deposits (formed by pro-calcitonin), which stain with **Congo Red** (Apple-green birefringence). * **Genetics:** Strongly associated with **RET proto-oncogene** mutations (MEN 2A and 2B syndromes) [1]. * **Marker:** Serum **Calcitonin** is used for diagnosis and monitoring recurrence; **CEA** is also a useful tumor marker [1]. **References:** [1] Kumar V, Abbas AK, et al.. Robbins and Cotran Pathologic Basis of Disease. 9th ed. The Endocrine System, pp. 1102-1103. [2] Cross SS. Underwood's Pathology: A Clinical Approach. 6th ed. Common Clinical Problems From Liver And Biliary System Disease, pp. 428-429.
Explanation: **Explanation:** **Paragangliomas** (and their adrenal counterpart, Pheochromocytoma) are neuroendocrine tumors derived from the extra-adrenal chromaffin cells of the autonomic nervous system. **Why "Dense core granules" is correct:** Under electron microscopy (ultrastructure), these cells characteristically contain numerous membrane-bound, electron-dense neurosecretory granules [1]. These are known as **"Zellballen"** granules or dense-core granules. They represent the storage sites for catecholamines (epinephrine and norepinephrine) and are a hallmark of neuroendocrine differentiation [1]. **Why the other options are incorrect:** * **A. Deposition of glycogen:** This is a characteristic feature of "Clear Cell" tumors, such as Clear Cell Renal Cell Carcinoma (RCC) or Ewing Sarcoma, but not neuroendocrine tumors. * **B & C. Enlarged/Shrunken mitochondria:** While mitochondrial abnormalities occur in various pathologies (e.g., Oncocytomas show an abundance of mitochondria), they are not the diagnostic ultrastructural feature for paragangliomas. **High-Yield Clinical Pearls for NEET-PG:** * **Histology:** Shows a characteristic **"Zellballen" pattern** (nests of cells surrounded by a delicate vascular stroma). * **Immunohistochemistry (IHC):** The chief cells are positive for **Chromogranin** and **Synaptophysin**, while the peripheral sustentacular cells are positive for **S-100**. * **Rule of 10s:** Historically associated with Pheochromocytoma (10% bilateral, 10% malignant, 10% extra-adrenal), though genetic understanding is evolving. * **Genetic Association:** Often linked to mutations in the **SDH (Succinate Dehydrogenase)** gene complex. **References:** [1] Kumar V, Abbas AK, et al.. Robbins and Cotran Pathologic Basis of Disease. 9th ed. Diseases of Infancy and Childhood, pp. 484-485.
Explanation: ### **Explanation** **Correct Option: C. Infarction of the pituitary** The clinical presentation describes **Sheehan Syndrome** (postpartum pituitary necrosis). During pregnancy, the pituitary gland undergoes physiological hyperplasia (mainly of lactotroph cells) to prepare for lactation, doubling its size without a corresponding increase in blood supply [1]. This makes the gland highly susceptible to ischemia. In this case, the **abruptio placentae** caused severe obstetric hemorrhage and hypovolemic shock, leading to ischemic infarction of the enlarged anterior pituitary [1]. The subsequent symptoms reflect **panhypopituitarism**: * **Failure of lactation:** Loss of Prolactin. * **Amenorrhea:** Loss of FSH and LH. * **Lethargy/Pallor/Weakness:** Loss of TSH (hypothyroidism) and ACTH (secondary adrenal insufficiency) [1]. --- ### **Why Other Options are Incorrect:** * **A. Atrophy of the endocrine pancreas:** This would lead to Diabetes Mellitus (Type 1). While the patient has weakness, the specific obstetric history and failure of lactation point directly to the pituitary. * **B. Autoimmune destruction of the adrenal cortex:** This describes **Addison’s Disease**. While it causes lethargy and weakness, it does not explain the failure of lactation or the specific trigger of postpartum hemorrhage. * **D. Pituitary prolactinoma:** This would cause **galactorrhea** (excessive milk production) and amenorrhea, rather than a failure to lactate. It is a neoplastic process, not an ischemic one triggered by hemorrhage. --- ### **NEET-PG High-Yield Pearls:** * **Sheehan Syndrome** typically involves the **anterior pituitary** (adenohypophysis); the posterior pituitary is usually spared due to its independent arterial blood supply. * **First clinical sign:** Failure of lactation (agalactia). * **Most common cause of panhypopituitarism in adults:** Pituitary adenoma (non-functional). * **Most common cause of postpartum panhypopituitarism:** Sheehan Syndrome [1]. * **Diagnosis:** Low levels of target hormones (T4, Cortisol, Estrogen) with inappropriately low/normal trophic hormones (TSH, ACTH, FSH/LH). MRI shows an **"Empty Sella"** in late stages. **References:** [1] Cross SS. Underwood's Pathology: A Clinical Approach. 6th ed. Common Clinical Problems From Liver And Biliary System Disease, pp. 416-417.
Explanation: **Explanation:** **Hashimoto’s Thyroiditis** is the most common cause of hypothyroidism in iodine-sufficient regions [3]. It is an autoimmune disorder characterized by the destruction of the thyroid gland by both humoral and cell-mediated mechanisms. **Why "Orphan Annie eye nuclei" is the correct answer:** **Orphan Annie eye nuclei** (large, clear, "empty-looking" nuclei) are the pathognomonic histological hallmark of **Papillary Thyroid Carcinoma (PTC)**, not Hashimoto’s Thyroiditis [1]. These nuclei result from finely dispersed chromatin that gives them a transparent appearance on H&E staining. **Analysis of other options:** * **A. Follicular destruction:** The hallmark of Hashimoto’s is the progressive autoimmune destruction of thyroid follicles, leading to primary hypothyroidism [4]. * **B. Increase in lymphocytes:** Histology typically shows a dense **lymphocytic infiltrate** with well-developed **germinal centers**, resembling a lymph node (hence the name "struma lymphomatosa") [2]. * **C. Oncocytic metaplasia:** The remaining follicular epithelial cells often undergo a transformation into **Hürthle cells** (Askanazy cells) [2]. These are large cells with abundant, granular, eosinophilic cytoplasm due to an increased number of mitochondria. **NEET-PG High-Yield Pearls:** * **Antibodies:** Anti-TPO (most sensitive) and Anti-thyroglobulin antibodies. * **HLA Association:** Strongly associated with **HLA-DR3** and **HLA-DR5**. * **Increased Risk:** Patients have a significantly higher risk of developing **B-cell Non-Hodgkin Lymphoma** (specifically MALToma) and a slightly increased risk of Papillary Thyroid Carcinoma [2]. * **Clinical Phase:** May present initially with "Hashitoxicosis" (transient hyperthyroidism) due to follicle rupture before progressing to permanent hypothyroidism [2]. **References:** [1] Kumar V, Abbas AK, et al.. Robbins and Cotran Pathologic Basis of Disease. 9th ed. The Endocrine System, p. 1099. [2] Kumar V, Abbas AK, et al.. Robbins and Cotran Pathologic Basis of Disease. 9th ed. The Endocrine System, pp. 1090-1091. [3] Cross SS. Underwood's Pathology: A Clinical Approach. 6th ed. Common Clinical Problems From Liver And Biliary System Disease, pp. 426-427. [4] Cross SS. Underwood's Pathology: A Clinical Approach. 6th ed. Common Clinical Problems From Liver And Biliary System Disease, pp. 427-428.
Explanation: **Explanation:** **Spironolactone bodies** are eosinophilic, laminated, round cytoplasmic inclusions (measuring 2-10 µm) surrounded by clear halos. They are a characteristic histological finding in the **adrenal cortex**, specifically within the cells of the **Zona Glomerulosa** [3]. They develop in patients with primary hyperaldosteronism (Conn’s Syndrome) who have been treated with the aldosterone antagonist, Spironolactone. **Why "None of the above" is correct:** Spironolactone bodies are found in the **cytoplasm of adrenal cortical cells**. They are derived from the **smooth endoplasmic reticulum (SER)** [1]. Since none of the options (Neuron, Mitochondria, or Hippocampus) represent the adrenal cortex or the SER, "None of the above" is the correct choice. **Analysis of Incorrect Options:** * **A. Neuron:** Neurons contain specific inclusions like Lewy bodies (Parkinson’s) or Negri bodies (Rabies), but not Spironolactone bodies. * **B. Mitochondria:** While the adrenal cortex is rich in mitochondria for steroidogenesis, Spironolactone bodies specifically originate from the whorls of the **smooth endoplasmic reticulum**, not the mitochondria [1]. * **C. Hippocampus:** This brain region is associated with **Hirano bodies** (in Alzheimer’s) or Negri bodies, not endocrine-related inclusions. **NEET-PG High-Yield Pearls:** * **Staining:** They stain strongly with **Luxol fast blue** and are PAS-negative. * **Clinical Context:** Most commonly seen in **Conn’s Syndrome** (Aldosterone-producing adenoma) following medical management [2]. * **Composition:** They represent an exuberant proliferation of the smooth endoplasmic reticulum [1]. * **Differential:** Do not confuse them with **Michaelis-Gutmann bodies** (Malakoplakia) or **Psammoma bodies** (Papillary thyroid CA/Meningioma). **References:** [1] Kumar V, Abbas AK, et al.. Robbins and Cotran Pathologic Basis of Disease. 9th ed. With Illustrations By, pp. 24-25. [2] Kumar V, Abbas AK, et al.. Robbins and Cotran Pathologic Basis of Disease. 9th ed. The Endocrine System, pp. 1129-1130. [3] Cross SS. Underwood's Pathology: A Clinical Approach. 6th ed. Common Clinical Problems From Liver And Biliary System Disease, pp. 420-421.
Pituitary Gland Disorders
Practice Questions
Thyroid Gland Diseases
Practice Questions
Parathyroid Gland Pathology
Practice Questions
Adrenal Cortical Disorders
Practice Questions
Adrenal Medullary Disorders
Practice Questions
Pancreatic Endocrine Disorders
Practice Questions
Multiple Endocrine Neoplasia Syndromes
Practice Questions
Diffuse Neuroendocrine System
Practice Questions
Pineal Gland Pathology
Practice Questions
Laboratory Diagnosis of Endocrine Diseases
Practice Questions
Get full access to all questions, explanations, and performance tracking.
Start For Free