Which of the following mechanisms is NOT responsible for complications in Diabetes Mellitus?
Pheochromocytoma are tumors of which structure?
Expression of which of the following oncogenes is associated with a high incidence of medullary carcinoma of the thyroid?
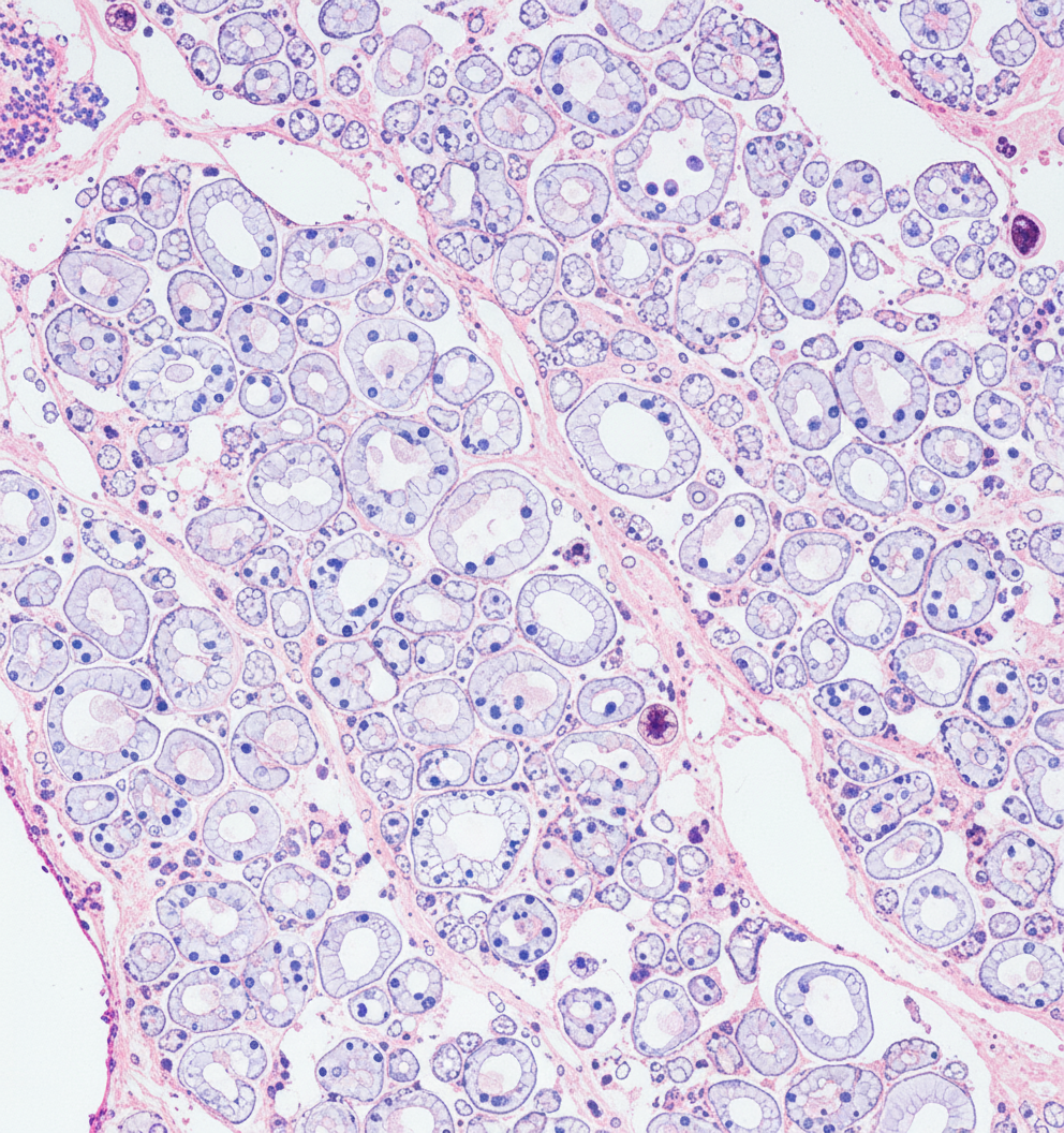
A biopsy from the parathyroid gland of a 55-year-old male, a known case of chronic kidney disease with hypertension and type II diabetes who recently developed bone pain, skin lesions, and recurrent kidney stones, is shown below. What is the most likely histopathological finding?

The neuroendocrine carcinoma arising from parafollicular 'C' cells of thyroid is:
A 30-year-old woman presents with headache, visual disturbances, deepening of the voice, generalized weakness, amenorrhea for one year, and a recent requirement for a larger shoe size. Laboratory studies show impaired glucose tolerance. What additional diagnostic procedure would be most useful?
A 50-year-old man with fasting blood glucose >140 mg/dL on two occasions is put on a restricted caloric diet and started on a glucagon-like peptide-1 (GLP-1) receptor agonist. Which of the following laboratory studies is most likely to afford the best method of monitoring disease control in this man?
Psammoma bodies are typically found in which of the following conditions?
Hyaline in islets of Langerhans resembles which substance?
Which of the following gene defects is associated with the development of medullary carcinoma of the thyroid?
Explanation: The pathogenesis of diabetic complications is primarily driven by **hyperglycemia-induced metabolic disturbances** rather than primary chronic inflammation [1]. While diabetes is associated with a low-grade inflammatory state, the specific biochemical pathways leading to microvascular and macrovascular damage are well-defined. ### Why "Chronic Inflammation" is the Correct Answer Chronic inflammation is a feature of many diseases, but it is **not** considered one of the four primary metabolic pathways (defined by Robbins Pathology) that directly cause diabetic complications. The damage in diabetes is biochemical and structural, resulting from the toxic effects of excess glucose on tissues that do not require insulin for glucose uptake (e.g., nerves, kidneys, blood vessels) [1]. ### Explanation of Other Options (The 3 Main Mechanisms) * **Non-enzymatic glycosylation (Option A):** Glucose binds to proteins (like collagen) without enzymes, forming **Advanced Glycation End-products (AGEs)**. AGEs cross-link proteins, trap LDL in vessel walls, and bind to RAGE (Receptors for AGEs) to release cytokines and pro-coagulant factors [1]. * **Protein Kinase C (PKC) activation (Option B):** Intracellular hyperglycemia increases Diacylglycerol (DAG), which activates PKC [1]. This leads to the production of **VEGF** (causing neovascularization in retinopathy) and **TGF-β** (causing basement membrane thickening). * **Disturbance in Polyol Pathway (Option C):** In tissues like the lens or nerves, glucose is converted to **sorbitol** by aldose reductase. Sorbitol is osmotically active, leading to water influx, oxidative stress, and depleted glutathione, causing cataracts and peripheral neuropathy. ### NEET-PG High-Yield Pearls * **The "Fourth" Mechanism:** Not listed here, but often tested, is the **Hexosamine pathway**, which leads to the production of fructose-6-phosphate and contributes to insulin resistance [1]. * **Common Denominator:** All these pathways are triggered by the production of **Reactive Oxygen Species (ROS)** in the mitochondria. * **HbA1c:** This is a clinical example of non-enzymatic glycosylation used to monitor long-term glycemic control. **References:** [1] Kumar V, Abbas AK, et al.. Robbins and Cotran Pathologic Basis of Disease. 9th ed. The Endocrine System, pp. 1118-1121.
Explanation: **Explanation:** **Pheochromocytoma** is a catecholamine-secreting tumor derived from the **chromaffin cells** [2] of the **adrenal medulla** [3]. These cells are embryologically derived from the **neural crest** and are responsible for synthesizing and secreting epinephrine and norepinephrine [3]. **Analysis of Options:** * **Adrenal Cortex (Incorrect):** The cortex is derived from the mesoderm and produces steroid hormones (aldosterone, cortisol, and androgens) [3]. Tumors here include Conn’s syndrome or Cushing’s syndrome adenomas. * **Pancreas (Incorrect):** While the pancreas has endocrine functions (Islets of Langerhans), its tumors (e.g., Insulinoma, Gastrinoma) are distinct from catecholamine-secreting pheochromocytomas. * **Bone (Incorrect):** Bone is not a site for primary chromaffin cell tumors. **High-Yield Clinical Pearls for NEET-PG:** * **The Rule of 10s:** 10% are bilateral, 10% are malignant, 10% occur in children, and 10% are extra-adrenal (known as **Paragangliomas**, most commonly at the Organ of Zuckerkandl) [1]. * **Clinical Triad:** Episodic headache, sweating (diaphoresis), and palpitations/tachycardia, usually accompanied by hypertension [2]. * **Diagnosis:** Best initial screening test is **urinary/plasma metanephrines**. * **Histology:** Characterized by the **"Zellballen" pattern** (nested clusters of cells surrounded by a vascular stroma) [1]. * **Genetic Associations:** Frequently associated with **MEN 2A and 2B**, von Hippel-Lindau (VHL) syndrome, and Neurofibromatosis type 1 (NF1). * **Management:** Pre-operative blockade must follow the sequence: **Alpha-blockade first** (e.g., Phenoxybenzamine), followed by Beta-blockade to prevent a hypertensive crisis. **References:** [1] Cross SS. Underwood's Pathology: A Clinical Approach. 6th ed. Common Clinical Problems From Liver And Biliary System Disease, pp. 419-420. [2] Kumar V, Abbas AK, et al.. Robbins and Cotran Pathologic Basis of Disease. 9th ed. The Endocrine System, pp. 1137-1139. [3] Kumar V, Abbas AK, et al.. Robbins and Cotran Pathologic Basis of Disease. 9th ed. The Endocrine System, pp. 1125-1126.
Explanation: **Explanation:** **Medullary Thyroid Carcinoma (MTC)** is a neuroendocrine tumor derived from the parafollicular C-cells [2], which secrete calcitonin. The molecular hallmark of MTC is the mutation of the **RET proto-oncogene**, located on chromosome 10q11.2. 1. **Why RET is correct:** * **Germline mutations** in RET are responsible for nearly all cases of hereditary MTC, including **MEN 2A, MEN 2B**, and Familial MTC [1]. * **Somatic mutations** in RET are found in approximately 50% of sporadic MTC cases. * The mutation leads to constitutive activation of the receptor tyrosine kinase, driving uncontrolled cell proliferation. 2. **Why other options are incorrect:** * **BRAF:** Mutations (specifically V600E) are most commonly associated with **Papillary Thyroid Carcinoma (PTC)** and some Anaplastic carcinomas, not MTC. * **FOS:** This is an immediate-early gene involved in cell cycle progression but is not a specific diagnostic or prognostic marker for thyroid malignancies. * **WNT1:** Dysregulation of the Wnt/β-catenin pathway is associated with **Follicular Thyroid Carcinoma** and some variants of Papillary carcinoma (e.g., Cribriform-morular variant), but not MTC. **High-Yield Clinical Pearls for NEET-PG:** * **Amyloid Stroma:** Histologically, MTC is characterized by nests of polygonal cells with **amyloid deposits** (derived from pro-calcitonin) that stain with Congo Red. * **Screening:** In families with known MEN 2 syndromes, prophylactic thyroidectomy is often performed based on the detection of a RET mutation before the cancer even develops [1]. * **Marker:** Serum **Calcitonin** is the primary tumor marker for diagnosis and monitoring recurrence [1]. * **Origin:** C-cells are derived from the **ultimobranchial body** (neural crest origin) [2]. **References:** [1] Kumar V, Abbas AK, et al.. Robbins and Cotran Pathologic Basis of Disease. 9th ed. The Endocrine System, pp. 1102-1103. [2] Cross SS. Underwood's Pathology: A Clinical Approach. 6th ed. Common Clinical Problems From Liver And Biliary System Disease, pp. 428-429.
Explanation: ***Water clear cells in parathyroid hyperplasia*** - **Chronic kidney disease** leads to **secondary hyperparathyroidism** due to decreased **vitamin D activation** and **phosphate retention**, causing **parathyroid hyperplasia** with characteristic **water clear cells (wasserhelle cells)**. - These cells have **abundant clear cytoplasm** due to **glycogen accumulation** and **mitochondrial swelling**, commonly seen in **long-standing hyperparathyroidism** associated with **CKD**. *Water clear cells in parathyroid carcinoma* - **Parathyroid carcinoma** would show **capsular invasion**, **vascular invasion**, and **mitotic figures**, which are not typical in **secondary hyperparathyroidism** from CKD. - **Carcinoma** is extremely rare and usually presents with **severe hypercalcemia** and **rapid onset** symptoms, not the chronic progression seen with CKD. *Tuberculous parathyroiditis* - **TB parathyroiditis** would show **caseating granulomas**, **epithelioid cells**, and **Langerhans giant cells**, not water clear cells. - This condition is extremely rare and would present with **systemic TB symptoms** like **fever**, **weight loss**, and **night sweats**, which are absent here. *Parathyroid necrosis* - **Parathyroid necrosis** would show **tissue death**, **inflammatory infiltrate**, and **loss of normal architecture**, not hyperplastic changes. - This typically occurs in **acute conditions** like **infarction** or **severe hypocalcemia**, not in chronic progressive CKD with bone pain and stones.
Explanation: **Explanation:** **Correct Answer: C. Medullary Carcinoma** Medullary Thyroid Carcinoma (MTC) is a unique **neuroendocrine tumor** [2] derived from the **parafollicular ‘C’ cells** of the thyroid [1]. Unlike other thyroid cancers, these cells originate from the **neural crest** (ultimobranchial body) rather than the thyroid follicular epithelium. Their primary function is the secretion of **Calcitonin** [1], which serves as a crucial tumor marker for diagnosis and monitoring recurrence [3]. **Analysis of Incorrect Options:** * **A. Papillary Carcinoma:** The most common thyroid malignancy; it arises from follicular cells and is characterized by nuclear features like Orphan Annie eye nuclei and Psammoma bodies. * **B. Follicular Carcinoma:** Arises from follicular cells; it is characterized by capsular or vascular invasion [2] and typically spreads hematogenously [1]. * **D. Anaplastic Carcinoma:** A highly aggressive, undifferentiated tumor arising from follicular cells [2], usually seen in elderly patients. **High-Yield NEET-PG Pearls:** * **Histology:** Shows nests of polygonal cells in an **amyloid stroma** (formed by altered calcitonin) [2]. Amyloid stains positive with **Congo Red** (apple-green birefringence). * **Genetics:** Approximately 20-25% are familial, associated with **MEN 2A and 2B** syndromes [1] involving **RET proto-oncogene** mutations. * **Staining:** Positive for neuroendocrine markers like **Chromogranin A**, Synaptophysin, and Calcitonin. * **Prophylaxis:** In patients with known RET mutations, prophylactic thyroidectomy is often indicated. **References:** [1] Cross SS. Underwood's Pathology: A Clinical Approach. 6th ed. Common Clinical Problems From Liver And Biliary System Disease, pp. 428-429. [2] Cross SS. Underwood's Pathology: A Clinical Approach. 6th ed. Common Clinical Problems From Liver And Biliary System Disease, pp. 430-431. [3] Kumar V, Abbas AK, et al.. Robbins and Cotran Pathologic Basis of Disease. 9th ed. The Endocrine System, pp. 1102-1103.
Explanation: ### Explanation **Clinical Analysis:** The patient presents with classic features of **Acromegaly** (excess Growth Hormone [GH] after epiphyseal closure). Key diagnostic clues include: * **Somatic changes:** Increased shoe size (acral enlargement) and deepening of the voice (laryngeal hypertrophy) [1]. * **Mass effect:** Headache and visual disturbances (likely bitemporal hemianopia) due to a pituitary adenoma compressing the optic chiasm [1], [3]. * **Endocrine/Metabolic dysfunction:** Amenorrhea (often due to co-secretion of prolactin or compression of the pituitary stalk) and impaired glucose tolerance (GH is a counter-regulatory hormone that induces insulin resistance) [1], [2]. **Why Option C is Correct:** The most common cause of acromegaly (>95%) is a **GH-secreting pituitary adenoma**. Once biochemical screening (elevated IGF-1 and failure of GH suppression after an oral glucose load) is suggestive, **Magnetic Resonance Imaging (MRI) of the sella turcica** is the gold standard for visualizing the tumor, assessing its size (usually a macroadenoma >10mm), and planning surgical intervention [3]. **Why Other Options are Incorrect:** * **A. CBC:** This is a non-specific test and does not aid in diagnosing endocrine hyperfunction. * **B. CT Abdomen:** While used to look for ectopic GHRH-secreting tumors (e.g., pancreatic NETs), these are extremely rare. The primary pathology is almost always in the sella. * **D. 21-hydroxylase activity:** This is used to diagnose Congenital Adrenal Hyperplasia (CAH), which presents with virilization and salt-wasting, not acral enlargement or visual loss. **High-Yield NEET-PG Pearls:** * **Best Initial Screening Test:** Serum IGF-1 levels (stable throughout the day). * **Confirmatory Test:** Oral Glucose Tolerance Test (OGTT) – failure to suppress GH <1 ng/mL. * **Most Common Cause of Death:** Cardiovascular disease (specifically dilated cardiomyopathy) [1]. * **Associated Conditions:** Colonic polyps and increased risk of colorectal carcinoma. **References:** [1] Cross SS. Underwood's Pathology: A Clinical Approach. 6th ed. Common Clinical Problems From Liver And Biliary System Disease, pp. 417-418. [2] Cross SS. Underwood's Pathology: A Clinical Approach. 6th ed. Common Clinical Problems From Liver And Biliary System Disease, pp. 412-414. [3] Kumar V, Abbas AK, et al.. Robbins and Cotran Pathologic Basis of Disease. 9th ed. The Endocrine System, p. 1081.
Explanation: **Explanation:** **Correct Option: C. Glycosylated hemoglobin (HbA1c)** The patient meets the diagnostic criteria for Diabetes Mellitus (fasting plasma glucose ≥126 mg/dL on two occasions) [1]. In diabetic management, **HbA1c** is the gold standard for monitoring long-term glycemic control. It measures the non-enzymatic glycation of hemoglobin within erythrocytes. Since the average lifespan of a red blood cell is approximately **120 days**, HbA1c provides a retrospective index of the average blood glucose levels over the preceding **2–3 months**. Unlike daily glucose testing, it is not affected by recent meals, exercise, or acute stress. **Incorrect Options:** * **A. Total Cholesterol:** While diabetics are at high risk for dyslipidemia and cardiovascular disease, cholesterol levels reflect lipid metabolism, not glycemic control. * **B. Fasting Plasma Glucose (FPG):** FPG only provides a "snapshot" of the blood sugar at a single point in time. It is useful for diagnosis [2] but unreliable for long-term monitoring as it fluctuates daily based on diet and medication adherence. * **D. Microalbuminuria:** This is a screening tool for **diabetic nephropathy** (early renal damage). While important for monitoring complications, it does not reflect the adequacy of blood glucose management. **NEET-PG High-Yield Pearls:** * **HbA1c Targets:** For most non-pregnant adults, the goal is **<7%**. * **Falsely Low HbA1c:** Seen in conditions with high RBC turnover (e.g., hemolytic anemia, recent blood transfusion, pregnancy, or EPO therapy). * **Falsely High HbA1c:** Seen in iron-deficiency anemia (due to increased RBC lifespan). * **GLP-1 Agonists:** These drugs (e.g., Liraglutide) stimulate insulin secretion, inhibit glucagon, and slow gastric emptying, often leading to weight loss [1]. **References:** [1] Kumar V, Abbas AK, et al.. Robbins and Cotran Pathologic Basis of Disease. 9th ed. The Endocrine System, pp. 1109-1113. [2] Cross SS. Underwood's Pathology: A Clinical Approach. 6th ed. Common Clinical Problems From Liver And Biliary System Disease, pp. 434-435.
Explanation: **Explanation:** **Psammoma bodies** are concentric, laminated calcified structures (dystrophic calcification) that represent a hallmark histopathological feature of certain tumors. In the context of thyroid pathology, they are highly characteristic of **Papillary Carcinoma of the Thyroid (PTC)** [1]. They are formed by the infarction and subsequent calcification of the tips of the papillae. **Analysis of Options:** * **A. Papillary Carcinoma of the Thyroid (Correct):** Approximately 40–50% of PTC cases show Psammoma bodies [1]. They are often found within the stroma of the papillae or in the lymphatics. Their presence in a fine-needle aspiration (FNA) or cervical lymph node is highly suggestive of PTC [2]. * **B. Follicular Carcinoma:** This tumor is characterized by follicles and vascular/capsular invasion. It does not form papillae or Psammoma bodies [3]. * **C. Medullary Carcinoma:** Derived from parafollicular C-cells, this tumor is characterized by **Amyloid deposits** (staining with Congo Red) rather than Psammoma bodies [2]. * **D. Anaplastic Carcinoma:** This is an undifferentiated, highly aggressive tumor showing pleomorphic giant cells or spindle cells; it typically lacks the organized architecture required to form Psammoma bodies [2]. **NEET-PG High-Yield Pearls:** * **Mnemonic for Psammoma Bodies (PSaMMoma):** **P**apillary CA (Thyroid/Renal/Endometrial), **S**erous cystadenocarcinoma (Ovary), **M**eningioma, **M**esothelioma. * **Nuclear features of PTC:** "Orphan Annie eye" nuclei (clear/ground-glass), nuclear grooves, and pseudo-inclusions are more diagnostic than Psammoma bodies [1]. * **Dystrophic Calcification:** Psammoma bodies are a classic example of dystrophic calcification (occurs in necrotic/dying tissue with normal serum calcium levels). **References:** [1] Kumar V, Abbas AK, et al.. Robbins and Cotran Pathologic Basis of Disease. 9th ed. The Endocrine System, p. 1099. [2] Cross SS. Underwood's Pathology: A Clinical Approach. 6th ed. Common Clinical Problems From Liver And Biliary System Disease, pp. 429-430. [3] Kumar V, Abbas AK, et al.. Robbins and Cotran Pathologic Basis of Disease. 9th ed. The Endocrine System, pp. 1100-1101.
Explanation: **Explanation:** The correct answer is **Amyloid**. [1] **Why Amyloid is correct:** In **Type 2 Diabetes Mellitus**, the characteristic pathological finding in the pancreas is the deposition of pink, amorphous, hyaline material within the Islets of Langerhans [1]. This hyaline material is actually **Amyloid**. It is composed of **Amylin** (also known as Islet Amyloid Polypeptide or IAPP), which is co-secreted with insulin by the beta cells. In states of insulin resistance and hyperinsulinemia, excessive IAPP accumulates and misfolds into amyloid fibrils, which are toxic to beta cells and contribute to their gradual loss [2]. **Why other options are incorrect:** * **A. Mucin:** Mucin is a glycoprotein found in epithelial secretions (e.g., adenocarcinoma). It does not form hyaline deposits in the islets. * **C. Glycolipid:** These accumulate in lysosomal storage diseases (e.g., Gaucher’s) but do not present as extracellular hyaline in the pancreas. * **D. Phospholipid:** These are primary components of cell membranes and "myelin figures" in cell injury, not the hyaline seen in diabetic islets. **High-Yield Clinical Pearls for NEET-PG:** * **Staining:** Like all amyloid, islet hyaline shows **Apple-green birefringence** under polarized light when stained with **Congo Red** [1]. * **Type 1 vs. Type 2 DM:** Hyaline/Amyloid deposition is a hallmark of **Type 2 DM**. In contrast, Type 1 DM is characterized by **Insulitis** (lymphocytic infiltration) and a marked reduction in islet size/number. * **Insulinoma:** Amyloid deposition can also be seen in the stroma of an Insulinoma (a pancreatic neuroendocrine tumor). **References:** [1] Kumar V, Abbas AK, et al.. Robbins and Cotran Pathologic Basis of Disease. 9th ed. Diseases of the Immune System, pp. 268-269. [2] Kumar V, Abbas AK, et al.. Robbins and Cotran Pathologic Basis of Disease. 9th ed. Diseases of the Immune System, pp. 264-266.
Explanation: **Explanation:** **Medullary Thyroid Carcinoma (MTC)** is a neuroendocrine tumor derived from the parafollicular C-cells of the thyroid, which secrete calcitonin [3]. 1. **Why RET Proto-oncogene is correct:** The **RET proto-oncogene** (located on chromosome 10q11.2) encodes a receptor tyrosine kinase. Gain-of-function mutations in RET are the hallmark of MTC. * **Sporadic MTC (75%):** Somatic RET mutations are found in about 50% of cases. * **Familial MTC (25%):** Germline RET mutations are responsible for **MEN 2A and MEN 2B** syndromes [1]. Identifying this mutation is clinically vital as it mandates prophylactic thyroidectomy in carriers. 2. **Why other options are incorrect:** * **APC gene:** Mutations in the Adenomatous Polyposis Coli gene are associated with **Familial Adenomatous Polyposis (FAP)** and colon cancer. While FAP patients have a higher risk of the *cribriform-morular variant* of papillary thyroid carcinoma, it is not linked to MTC. * **Rb gene:** This is a tumor suppressor gene associated with **Retinoblastoma** and Osteosarcoma. * **BRCA 1 gene:** This gene is primarily associated with hereditary **Breast and Ovarian cancer** syndromes. **High-Yield Clinical Pearls for NEET-PG:** * **Amyloid Stroma:** Histologically, MTC is characterized by nests of cells in a prominent amyloid stroma (derived from altered calcitonin). * **Staining:** MTC stains positive for **Congo Red** (showing apple-green birefringence) and **Calcitonin**. * **MEN 2A:** MTC + Pheochromocytoma + Parathyroid Hyperplasia [1]. * **MEN 2B:** MTC + Pheochromocytoma + Mucosal Neuromas + Marfanoid Habitus [1][2]. * **Screening:** Serum Calcitonin levels are used for diagnosis and monitoring recurrence [2]. **References:** [1] Kumar V, Abbas AK, et al.. Robbins and Cotran Pathologic Basis of Disease. 9th ed. The Endocrine System, p. 1137. [2] Kumar V, Abbas AK, et al.. Robbins and Cotran Pathologic Basis of Disease. 9th ed. The Endocrine System, pp. 1102-1103. [3] Cross SS. Underwood's Pathology: A Clinical Approach. 6th ed. Common Clinical Problems From Liver And Biliary System Disease, pp. 428-429.
Pituitary Gland Disorders
Practice Questions
Thyroid Gland Diseases
Practice Questions
Parathyroid Gland Pathology
Practice Questions
Adrenal Cortical Disorders
Practice Questions
Adrenal Medullary Disorders
Practice Questions
Pancreatic Endocrine Disorders
Practice Questions
Multiple Endocrine Neoplasia Syndromes
Practice Questions
Diffuse Neuroendocrine System
Practice Questions
Pineal Gland Pathology
Practice Questions
Laboratory Diagnosis of Endocrine Diseases
Practice Questions
Get full access to all questions, explanations, and performance tracking.
Start For Free