What is the most common site of myocardial infarction?
What is the most likely diagnosis in a patient presenting with large, friable, irregular vegetations on the heart valves?
Early granulation tissue in acute myocardial infarction is typically seen within which timeframe?
Myxoma commonly arises from which chamber of the heart?
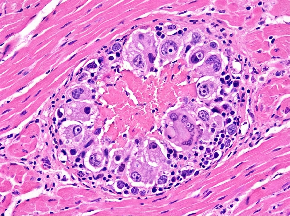
A 15-year-old boy presented with pancarditis. A myocardial biopsy showed a specific finding. What is the most likely diagnosis based on this finding?

Vegetations on the undersurface of Aortic and Mitral (A.V.) valves are found in which condition?
Which of the following is not seen in the early phase of myocardial infarction on microscopy?
Cardiac involvement in carcinoid syndrome is characterized by which of the following?
Which autopsy finding is characteristic after 12 hours in a case of death due to myocardial infarction?
What is the pathognomonic feature of rheumatic heart disease?
Explanation: **Explanation:** The site of a myocardial infarction (MI) is determined by the specific coronary artery that undergoes occlusion. In clinical practice, the **Left Anterior Descending (LAD) artery** is the most frequently occluded vessel (40–50% of cases). Because the LAD supplies the **anterior wall of the left ventricle**, the anterior septum, and the apex, this region is the most common site of infarction [1], [2]. **Analysis of Options:** * **A. Anterior wall of the left ventricle (Correct):** As mentioned, this is supplied by the LAD, which is known as the "widow-maker" artery due to its high frequency of occlusion and the large territory of myocardium it serves [2]. * **B. Posterior wall of the right ventricle:** Isolated right ventricular MIs are rare. The right ventricle has a lower muscle mass and lower oxygen demand compared to the left, making it less susceptible to primary ischemic events. * **C. Posterior wall of the left ventricle:** This area is typically supplied by the Right Coronary Artery (RCA) or the Left Circumflex Artery (LCX). While common, it occurs less frequently than LAD-related anterior wall MIs [2]. * **D. Inferior wall of the left ventricle:** This is usually caused by occlusion of the RCA (in right-dominant hearts). It is the second most common site of MI (30–40% of cases) but still follows the anterior wall in frequency [2]. **High-Yield Clinical Pearls for NEET-PG:** 1. **Frequency of Occlusion:** LAD (40-50%) > RCA (30-40%) > LCX (15-20%) [2]. 2. **LAD Occlusion:** Leads to ST-elevation in leads V1–V4. 3. **RCA Occlusion:** Leads to inferior wall MI (leads II, III, aVF) and often involves the SA/AV nodes, causing bradyarrhythmias. 4. **LCX Occlusion:** Leads to lateral wall MI (leads I, aVL, V5, V6). **References:** [1] Cross SS. Underwood's Pathology: A Clinical Approach. 6th ed. Common Clinical Problems From Cardiovascular Disease, pp. 286-288. [2] Kumar V, Abbas AK, et al.. Robbins and Cotran Pathologic Basis of Disease. 9th ed. The Heart, pp. 550-552.
Explanation: **Explanation:** The correct answer is **Infective Endocarditis (IE)**. The hallmark of IE is the presence of **large, friable, and irregular vegetations** (composed of thrombotic debris and organisms) on the heart valves [3]. These vegetations are often destructive and can lead to valve perforation or chordae tendineae rupture [2]. Their "friable" nature makes them highly prone to systemic embolization. **Analysis of Options:** * **Rheumatic Heart Disease (RHD):** Characterized by small (1–2 mm), firm, sterile, wart-like vegetations called **verrucae** along the lines of closure [1]. They are not large or friable. * **Libman-Sacks Endocarditis (LSE):** Associated with SLE. These are small-to-medium, sterile vegetations that can occur on **both sides** (undersurface) of the valve leaflets and the endocardium [1]. * **Non-bacterial Thrombotic Endocarditis (NBTE):** Also known as marantic endocarditis, these are small, sterile, bland thrombi found in wasted/cachectic patients (e.g., advanced cancer) [1]. While they are friable, they are typically **non-destructive** and smaller than IE vegetations. **High-Yield Clinical Pearls for NEET-PG:** * **Most common valve involved:** Mitral valve (overall); Tricuspid valve (in IV drug users). * **Most common organism:** *Staphylococcus aureus* (Acute IE/IVDU); *Viridans streptococci* (Subacute IE/damaged valves) [4]. * **Duke’s Criteria:** Used for clinical diagnosis (Major: Positive blood cultures, Echo evidence; Minor: Fever, Predisposition, Vascular/Immunologic phenomena) [3]. * **Microscopic feature:** IE vegetations contain bacteria, whereas RHD, LSE, and NBTE are sterile. **References:** [1] Kumar V, Abbas AK, et al.. Robbins and Cotran Pathologic Basis of Disease. 9th ed. The Heart, p. 568. [2] Cross SS. Underwood's Pathology: A Clinical Approach. 6th ed. Common Clinical Problems From Cardiovascular Disease, pp. 295-296. [3] Kumar V, Abbas AK, et al.. Robbins and Cotran Pathologic Basis of Disease. 9th ed. The Heart, pp. 568-570. [4] Kumar V, Abbas AK, et al.. Robbins and Cotran Pathologic Basis of Disease. 9th ed. The Heart, pp. 567-568.
Explanation: ### Explanation The correct answer is **C. 1 week**. #### 1. Why 1 week is correct The evolution of a Myocardial Infarction (MI) follows a predictable microscopic timeline [1]. **Granulation tissue**—characterized by the proliferation of new capillaries (angiogenesis), fibroblasts, and a loose extracellular matrix—typically begins to appear at the margins of the infarct by **day 7 (1 week)** [1], [3]. This stage marks the transition from the inflammatory phase (removal of necrotic debris by macrophages) to the repair phase (formation of a collagenous scar). #### 2. Why the other options are incorrect * **A. 1 hour:** At this stage, there are no gross or light microscopic changes. The only detectable changes are biochemical (leakage of troponins) or seen via electron microscopy (mitochondrial swelling) [1]. * **B. 24 hours:** This period is characterized by **coagulative necrosis**, wavy fibers, and the beginning of neutrophilic infiltration [1], [2]. Granulation tissue has not yet formed. * **D. 1 month:** By this time, the granulation tissue has matured. The hypervascularity decreases, and dense collagen deposition occurs, resulting in a **contracted gray-white scar** [3]. #### 3. High-Yield Clinical Pearls for NEET-PG * **0–24 hours:** Risk of arrhythmias (most common cause of death in the pre-hospital phase). * **1–3 days:** Peak of neutrophilic infiltrate; clinically presents as **post-infarct fibrinous pericarditis** [1]. * **3–7 days:** Peak of macrophage activity. This is the **most dangerous period** for mechanical complications (e.g., ventricular wall rupture, interventricular septum rupture, or papillary muscle rupture) because the tissue is softest ("yellow softening") [1]. * **10 days to 2 weeks:** Granulation tissue is at its maximum prominence [3]. * **6–8 weeks:** Scar formation is complete. **References:** [1] Kumar V, Abbas AK, et al.. Robbins and Cotran Pathologic Basis of Disease. 9th ed. The Heart, p. 552. [2] Cross SS. Underwood's Pathology: A Clinical Approach. 6th ed. (Basic Pathology) introduces the student to key general principles of pathology, both as a medical science and as a clinical activity with a vital role in patient care. Part 2 (Disease Mechanisms) provides fundamental knowledge about the cellular and molecular processes involved in diseases, providing the rationale for their treatment. Part 3 (Systematic Pathology) deals in detail with specific diseases, with emphasis on the clinically important aspects., pp. 147-148. [3] Kumar V, Abbas AK, et al.. Robbins and Cotran Pathologic Basis of Disease. 9th ed. The Heart, pp. 552-554.
Explanation: **Explanation:** Cardiac myxomas are the most common primary tumors of the heart in adults [1, 2]. They are benign mesenchymal tumors that typically present as a pedunculated, gelatinous mass [1]. **1. Why Left Atrium is Correct:** Approximately **75-80% of cardiac myxomas arise in the left atrium** [1, 2], specifically originating from the **fossa ovalis** on the interatrial septum [1]. The high prevalence in the left atrium is a classic "high-yield" anatomical fact. Their location often leads to a "ball-valve" effect, where the tumor intermittently obstructs the mitral valve, mimicking mitral stenosis [1]. **2. Why other options are incorrect:** * **Right Atrium (Option D):** While the right atrium is the second most common site (approx. 15-20%) [1], it is significantly less frequent than the left. Right-sided myxomas may present with symptoms of right heart failure or pulmonary embolism. * **Ventricles (Options A & C):** Myxomas are rarely found in the ventricles (less than 5% combined). Ventricular masses are more likely to be other types of tumors, such as rhabdomyomas (common in children) or fibromas [2]. **3. NEET-PG High-Yield Clinical Pearls:** * **Histology:** Characterized by "Stellate" or "Myxoma cells" embedded in a rich acid mucopolysaccharide ground substance [1]. * **Clinical Triad:** 1. Constitutional symptoms (fever, weight loss due to IL-6 production); 2. Embolic phenomena; 3. Obstructive symptoms (positional dyspnea). * **Auscultation:** A characteristic **"Tumor Plop"** may be heard during diastole as the mass drops into the mitral orifice. * **Genetics:** While most are sporadic, they can be part of **Carney Complex** (autosomal dominant, PRKAR1A mutation), associated with spotty skin pigmentation, endocrine overactivity, and extra-cardiac myxomas. **References:** [1] Kumar V, Abbas AK, et al.. Robbins and Cotran Pathologic Basis of Disease. 9th ed. The Heart, pp. 583-584. [2] Cross SS. Underwood's Pathology: A Clinical Approach. 6th ed. Common Clinical Problems From Cardiovascular Disease, pp. 304-306.
Explanation: ***Aschoff nodule*** - **Aschoff nodules** are **pathognomonic** of **rheumatic carditis** and consist of **fibrinoid necrosis** surrounded by **Anitschkow cells** (enlarged macrophages with owl-eye nuclei) and **multinucleated giant cells**. - In a **15-year-old** with **pancarditis**, finding Aschoff nodules confirms **rheumatic fever**, which commonly affects children and young adults following **Group A Streptococcal** infection. *Tuberculosis* - **TB granulomas** are characterized by **caseating necrosis** with **Langhans giant cells** and **epithelioid cells**, not fibrinoid necrosis. - While TB can cause **pericarditis**, it rarely presents as **pancarditis** in young patients and has different histological features. *Foreign body giant cells* - **Foreign body giant cells** form in response to **inert foreign material** and lack **fibrinoid necrosis** or **Anitschkow cells**. - These are not associated with **pancarditis** and would require a history of **foreign body exposure** or **surgical intervention**. *None of the above* - The presence of **Aschoff nodules** is **diagnostic** of **rheumatic carditis** and is not seen in other cardiac conditions. - Given the **age**, **pancarditis presentation**, and **specific histological finding**, rheumatic fever is the most appropriate diagnosis.
Explanation: **Explanation:** The hallmark of **Libman-Sacks Endocarditis (LSE)**, which occurs in patients with Systemic Lupus Erythematosus (SLE), is the presence of small, sterile, pinkish vegetations (verrucae) [1]. Unlike other forms of endocarditis, these vegetations are unique because they can occur **anywhere on the valve surface**, including the **undersurface (ventricular surface)** of the valves, the chordae tendineae, and even the endocardial mural surfaces [1], [2]. **Analysis of Options:** * **Acute Rheumatic Fever:** Vegetations (verrucae) are small and sterile but are strictly located along the **lines of closure** on the atrial surface of AV valves and the ventricular surface of semilunar valves [2]. They do not typically involve the undersurface. * **Non-Bacterial Thrombotic Endocarditis (NBTE):** These are sterile, bland thrombi found in wasting diseases (Marantic endocarditis). Like rheumatic fever, they occur primarily along the **lines of closure** and are easily detached (friable) [2]. * **Chronic Rheumatic Carditis:** This stage is characterized by valve thickening, commissural fusion ("fish-mouth" deformity), and calcification rather than active vegetation formation. **High-Yield Pearls for NEET-PG:** * **Location Trick:** If the question mentions "both sides of the valve" or "undersurface," think **Libman-Sacks (SLE)** [3]. * **Pathology:** LSE vegetations exhibit **fibrinoid necrosis** and are associated with high titers of anti-phospholipid antibodies. * **Infective Endocarditis (IE):** Unlike the others, IE produces **large, friable, and destructive** vegetations that often lead to valve perforation [2]. * **Mnemonic for LSE:** **L**ibman-**S**acks = **L**upus **S**urface (both surfaces). **References:** [1] Kumar V, Abbas AK, et al.. Robbins and Cotran Pathologic Basis of Disease. 9th ed. The Heart, p. 570. [2] Kumar V, Abbas AK, et al.. Robbins and Cotran Pathologic Basis of Disease. 9th ed. The Heart, p. 568. [3] Kumar V, Abbas AK, et al.. Robbins and Cotran Pathologic Basis of Disease. 9th ed. Diseases of the Immune System, pp. 232-233.
Explanation: **Explanation:** The correct answer is **Fibrosis**. Myocardial infarction (MI) follows a predictable chronological sequence of morphological changes [1]. Fibrosis represents the final stage of the healing process, where dead myocytes are replaced by a collagenous scar. This process typically begins around **2 weeks** post-infarction and can take up to **2 months** to complete [2]. Therefore, it is never seen in the "early phase" (the first few days) of an MI. **Analysis of Incorrect Options:** * **Coagulation Necrosis:** This is the hallmark of irreversible ischemic injury in the heart [1]. It typically becomes visible under light microscopy within **4–12 hours**. Features include "wavy fibers" and loss of nuclei (karyolysis) [1]. * **Edema:** This occurs very early (within **4–12 hours**) as a result of vascular leakage and cell membrane failure following ischemic injury [1]. * **Hemorrhage:** Microvascular injury during the acute phase leads to the extravasation of red blood cells into the interstitium, often seen alongside the early neutrophilic infiltrate (**12–24 hours**) [1]. **NEET-PG High-Yield Pearls:** * **0–30 mins:** Reversible injury; no light microscopy (LM) changes [1]. * **4–12 hours:** First visible LM changes (Coagulation necrosis, edema, hemorrhage) [1]. * **1-3 days:** Peak of **Neutrophilic infiltration** (highest risk of fibrinous pericarditis) [1]. * **3–7 days:** Macrophage infiltration and beginning of **Granulation tissue** (highest risk of free wall rupture/ventricular septal defect) [1]. * **10 days–2 weeks:** Well-established granulation tissue [2]. * **>2 months:** Dense collagenous **Fibrosis/Scarring** [2]. **References:** [1] Kumar V, Abbas AK, et al.. Robbins and Cotran Pathologic Basis of Disease. 9th ed. The Heart, p. 552. [2] Kumar V, Abbas AK, et al.. Robbins and Cotran Pathologic Basis of Disease. 9th ed. The Heart, pp. 552-554.
Explanation: **Explanation:** **Carcinoid Heart Disease** occurs in approximately 50% of patients with systemic carcinoid syndrome. The pathology is driven by the release of bioactive substances, primarily **serotonin (5-HT)**, from neuroendocrine tumor metastases (usually in the liver). 1. **Why Option B is Correct:** Serotonin stimulates fibroblasts, leading to the deposition of **plaque-like intimal thickening** composed of smooth muscle cells and collagen within a mucopolysaccharide matrix [1]. This fibrosis typically involves the endocardium of the **right ventricle**, the **tricuspid valve**, and the **pulmonary valve**, often leading to tricuspid regurgitation and pulmonary stenosis [1]. 2. **Why Other Options are Incorrect:** * **Option A:** The lesions are characterized by fibrous tissue deposition, not calcification. * **Option C:** Carcinoid heart disease specifically targets the endocardium and valves; it does not typically involve the major blood vessels (aorta or large arteries). * **Option D:** The **left side of the heart is usually spared** because the lungs contain monoamine oxidase (MAO), which degrades serotonin before it reaches the left atrium. Left-sided involvement only occurs in cases of right-to-left shunts (e.g., Patent Foramen Ovale) or primary bronchial carcinoids. **High-Yield NEET-PG Pearls:** * **Biomarker:** Elevated 24-hour urinary **5-HIAA** (5-hydroxyindoleacetic acid) is the diagnostic hallmark. * **Morphology:** "Glistening white" plaques on the endocardial surface [1]. * **Clinical Sign:** Right-sided heart failure is a major cause of morbidity in these patients. * **Rule of Thumb:** Carcinoid = **Right-sided** lesions (Tricuspid/Pulmonary) unless there is a lung bypass. **References:** [1] Kumar V, Abbas AK, et al.. Robbins and Cotran Pathologic Basis of Disease. 9th ed. The Heart, pp. 570-572.
Explanation: ### Explanation **Correct Answer: B. Coagulative Necrosis** **Why it is correct:** Myocardial infarction (MI) is a classic example of **ischemic cell death** [3]. In most solid organs (except the brain), ischemia leads to **coagulative necrosis** [3]. This process is characterized by the denaturation of structural proteins and enzymes, which blocks proteolysis. Consequently, the basic outline of the dead cell is preserved for several days, even though the nuclei are lost (a phenomenon often described as "tombstone" or "ghost" cells). Microscopically, features of coagulative necrosis (such as wavy fibers and early neutrophilic infiltration) typically become evident between **4 to 12 hours** post-MI [1]. **Why the other options are incorrect:** * **A. Caseous Necrosis:** This is a "cheese-like" necrosis characteristic of granulomatous inflammation, most commonly seen in **Tuberculosis** [2]. * **C. Fat Necrosis:** This occurs due to the release of activated lipases (as seen in **Acute Pancreatitis**) or physical trauma to fatty tissue (e.g., breast tissue) [2]. * **D. Liquefactive Necrosis:** This is characterized by the digestion of dead cells into a liquid viscous mass. It is seen in **bacterial/fungal infections** (abscesses) and **ischemic death of the Brain** [3]. **High-Yield Clinical Pearls for NEET-PG:** * **0–30 mins:** Reversible injury; no gross or light microscopic changes [1]. * **1–3 hours:** Wavy fibers (earliest light microscopic change) [1]. * **4–12 hours:** Early coagulative necrosis, edema, and hemorrhage [1]. * **12–24 hours:** Contraction band necrosis (due to reperfusion injury) [1]. * **1–3 days:** Peak neutrophilic infiltrate and loss of nuclei [1]. * **3–7 days:** Macrophage infiltration and phagocytosis (highest risk of **myocardial rupture**). * **2 months+:** Complete collagenous scar formation. **References:** [1] Kumar V, Abbas AK, et al.. Robbins and Cotran Pathologic Basis of Disease. 9th ed. The Heart, p. 552. [2] Kumar V, Abbas AK, et al.. Robbins and Cotran Pathologic Basis of Disease. 9th ed. Cellular Responses to Stress and Toxic Insults: Adaptation, Injury, and Death, p. 55. [3] Kumar V, Abbas AK, et al.. Robbins and Cotran Pathologic Basis of Disease. 9th ed. Cellular Responses to Stress and Toxic Insults: Adaptation, Injury, and Death, pp. 51-53.
Explanation: **Explanation:** The correct answer is **B. Caterpillar cell**. In the context of Rheumatic Heart Disease (RHD), **Anitschkow cells** are specialized activated macrophages found within Aschoff bodies [1]. When viewed in a longitudinal section, their chromatin is condensed into a central, wavy ribbon resembling a caterpillar, hence the name "Caterpillar cell" [1]. While the Aschoff body is the pathognomonic *lesion*, the Anitschkow (Caterpillar) cell is considered the pathognomonic *cell* or feature of RHD. **Analysis of Options:** * **A. Aschoff nodule:** These are the characteristic granulomatous foci found in RHD [1]. While they are diagnostic, the question specifically points toward the "Caterpillar cell" as the unique microscopic feature within these nodules. * **C. McCallum plaques:** These are subendocardial thickenings, usually in the left atrium, caused by regurgitant jets. While characteristic of RHD, they are not pathognomonic. * **D. Fibrinous pericarditis:** Often described as a "bread and butter" appearance, this is seen in the acute phase of RHD. However, it is non-specific and can occur in uremia, post-MI (Dressler syndrome), or viral infections. **High-Yield Clinical Pearls for NEET-PG:** * **Aschoff Bodies:** These represent the **pathognomonic histological lesion** of RHD [1]. They evolve through three stages: Exudative (Early), Proliferative (Intermediate), and Healing (Late/Fibrotic). * **Anitschkow Cells:** If viewed in cross-section, they are called **"Owl-eye cells"** (not to be confused with CMV or Reed-Sternberg cells). * **Jones Criteria:** Remember that RHD follows Group A Beta-hemolytic Streptococcal (GABHS) pharyngitis via molecular mimicry (Type II hypersensitivity). * **Valve Involvement:** Mitral valve is most common (M > A > T > P). Mitral stenosis is the most common chronic valvular manifestation [1]. **References:** [1] Kumar V, Abbas AK, et al.. Robbins and Cotran Pathologic Basis of Disease. 9th ed. The Heart, pp. 566-567.
Congenital Heart Disease
Practice Questions
Ischemic Heart Disease
Practice Questions
Hypertensive Heart Disease
Practice Questions
Valvular Heart Disease
Practice Questions
Myocarditis and Cardiomyopathies
Practice Questions
Pericardial Disease
Practice Questions
Cardiac Tumors
Practice Questions
Heart Failure Pathophysiology
Practice Questions
Cardiac Transplantation Pathology
Practice Questions
Endocarditis
Practice Questions
Get full access to all questions, explanations, and performance tracking.
Start For Free