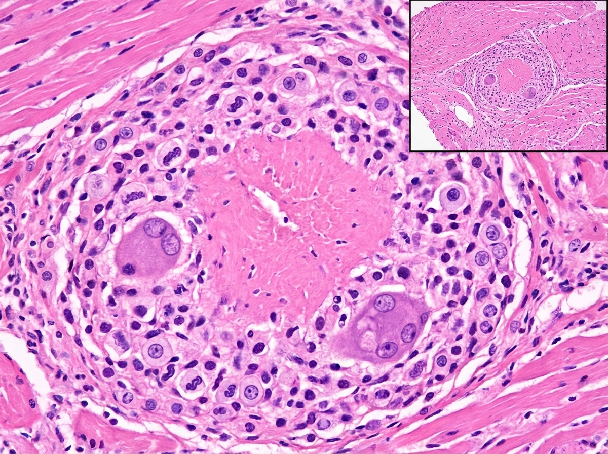
A 5-year-old child presents with fever with chest pain. On auscultation, pericardial friction rub was heard with bilaterally clear lung fields. The Histopathological finding shows presence of:

The following image shows presence of:

The image shows infarcted tissue of the heart that develops after

The following is the Hematoxylin and Eosin stained section from the heart of a patient after myocardial infarction. What can you say about the age of the infarction?

In a patient, Mitral valve vegetations are seen along the lines of closure along with fusion of commissures. What is the likely diagnosis?

An 80-year-old Parkinsonism patient died due to pneumonia. All are true about the heart histopathology slide except:

An 18-year-old male with severe effort intolerance and dyspnea is found to have left atrial enlargement on Chest X-ray. Histopathological examination shows:

An athlete collapsed and expired while playing school basketball. Histology of the cardiac specimen is most likely to indicate which of the following conditions?

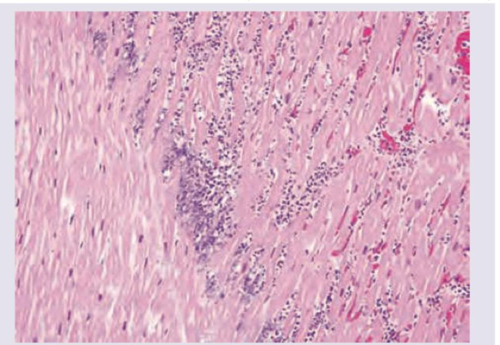
What is the histopathological finding 12 hours after ischemic injury to heart?
Which of the following has the most friable vegetations:
Explanation: ***Aschoff bodies*** - The clinical presentation of fever, chest pain, pericardial friction rub, and clear lung fields in a 5-year-old child is highly suggestive of **acute rheumatic fever** with **pericarditis** [2][3]. - **Aschoff bodies** are pathognomonic granulomas found in the myocardium in cases of **rheumatic heart disease**, indicating the inflammatory response to streptococcal infection [2]. *Fibrinous exudate* - While **fibrinous exudate** is characteristic of **fibrinous pericarditis**, which would cause a pericardial friction rub [4], it is a gross pathological finding, not a specific histopathological finding like Aschoff bodies that points to the underlying cause (rheumatic fever). - Fibrinous exudate can be seen in various causes of pericarditis [4], not exclusively rheumatic fever, and does not represent the specific microscopic hallmark of the disease. *Caseous necrosis* - **Caseous necrosis** is a hallmark of **tuberculosis** [5], which typically presents with lung involvement (though pericardial tuberculosis can occur). The description of "bilaterally clear lung fields" makes tuberculosis less likely. - While tuberculosis can cause pericarditis [5], the overall clinical picture in a 5-year-old, especially without other signs of tuberculosis, points away from this diagnosis. *Amyloid deposition* - **Amyloid deposition** is associated with **amyloidosis**, a disorder of protein misfolding that can affect the heart, leading to restrictive cardiomyopathy or heart failure. - Amyloidosis is a chronic condition and does not typically present acutely with fever and pericardial friction rub in a 5-year-old child. **References:** [1] Kumar V, Abbas AK, et al.. Robbins and Cotran Pathologic Basis of Disease. 9th ed. The Heart, pp. 566-567. [2] Kumar V, Abbas AK, et al.. Robbins and Cotran Pathologic Basis of Disease. 9th ed. The Heart, p. 566. [3] Kumar V, Abbas AK, et al.. Robbins and Cotran Pathologic Basis of Disease. 9th ed. The Heart, pp. 581-582. [4] Cross SS. Underwood's Pathology: A Clinical Approach. 6th ed. Common Clinical Problems From Cardiovascular Disease, pp. 297-298. [5] Kumar V, Abbas AK, et al.. Robbins and Cotran Pathologic Basis of Disease. 9th ed. The Heart, pp. 582-583.
Explanation: ***Anitschkow cell*** - Anitschkow cells are characteristic **caterpillar cells** or **owl-eye cells** seen in the **Aschoff bodies** of **rheumatic fever** [1]. - They are **enlarged macrophages** with a central, wavy, chromatin-rich nucleus [1]. *Aschoff cell* - Aschoff cells are a type of **modified macrophage** or **Anitschkow cell** that are part of the **Aschoff body**, not a distinct cell type on their own [1]. - The term "Aschoff cell" is often used interchangeably with Anitschkow cell, but Anitschkow cell refers to the specific morphology. *Kulchitsky cell* - Kulchitsky cells are **neuroendocrine cells** found in the **gastrointestinal tract** and **bronchi**. - They are associated with **carcinoid tumors** and produce various hormones. *Langhan cell* - Langhan cells are a type of **multinucleated giant cell** formed from fused **epithelioid macrophages**. - They are characteristic of **granulomatous inflammation**, particularly seen in **tuberculosis**. **References:** [1] Kumar V, Abbas AK, et al.. Robbins and Cotran Pathologic Basis of Disease. 9th ed. The Heart, p. 566.
Explanation: ***3 days*** - Grossly, an **infarcted area** of the heart typically appears **yellow-tan** and soft by **3-7 days** due to the onset of **coagulative necrosis** and early inflammatory response [1]. - This time frame allows for significant **neutrophilic infiltration** and the beginning of **macrophage activity** to clear necrotic debris, leading to the characteristic appearance [1]. *3 hours* - Within **3 hours** of infarction, the gross appearance of the myocardium is usually **normal** or shows only subtle changes like slight pallor [1]. - Microscopic changes like **wavy fibers** and early **edema** might be present, but gross discoloration is not yet evident [1]. *3 weeks* - By **3 weeks**, the infarcted area would typically be replaced by a **dense, gray-white scar** composed primarily of **collagen** [1]. - The initial yellow-tan appearance of necrotic tissue would have been largely reabsorbed and replaced by **fibrosis** [1]. *3 months* - At **3 months**, the infarct would be a **well-established, firm, white fibrous scar**, indicating complete healing and remodeling [1]. - There would be no remaining yellow-tan necrotic tissue, as the process of **fibrosis** would be complete [1]. **References:** [1] Kumar V, Abbas AK, et al.. Robbins and Cotran Pathologic Basis of Disease. 9th ed. The Heart, pp. 552-554. [2] Cross SS. Underwood's Pathology: A Clinical Approach. 6th ed. (Basic Pathology) introduces the student to key general principles of pathology, both as a medical science and as a clinical activity with a vital role in patient care. Part 2 (Disease Mechanisms) provides fundamental knowledge about the cellular and molecular processes involved in diseases, providing the rationale for their treatment. Part 3 (Systematic Pathology) deals in detail with specific diseases, with emphasis on the clinically important aspects., pp. 147-148.
Explanation: ***1-2 days*** - At 1-2 days post-MI, **neutrophilic infiltration** is prominent, and **coagulative necrosis** of cardiomyocytes is well-established, leading to loss of nuclei and striations [1]. - This time frame is characterized by the peak inflammatory response to the necrotic tissue [1,2]. *6 hour* - Within 6 hours of MI, there might be early signs of **coagulative necrosis**, such as **wavy fibers** and **hypereosinophilia**, but significant inflammatory infiltrate is usually not yet present [1]. - **Neutrophilic infiltration** is minimal or absent at this very early stage [1]. *1 week* - By 1 week, **macrophages** become the predominant inflammatory cells, clearing necrotic debris [1]. - **Granulation tissue** begins to form, characterized by new blood vessels and fibroblasts, indicating the start of repair [1]. *3 week* - At 3 weeks, the infarcted area is largely replaced by **dense fibrous scar tissue** [1]. - There is minimal inflammatory infiltrate, and the area is composed primarily of **collagen** [1]. **References:** [1] Kumar V, Abbas AK, et al.. Robbins and Cotran Pathologic Basis of Disease. 9th ed. The Heart, p. 552. [2] Kumar V, Abbas AK, et al.. Robbins and Cotran Pathologic Basis of Disease. 9th ed. The Heart, pp. 552-554.
Explanation: ***Rheumatic endocarditis*** - **Rheumatic fever** is a common cause of **mitral valve disease**, leading to **vegetations along the lines of closure** [2] and characteristic **fusion of commissures** [1]. - This chronic inflammation results in **fibrosis** and **calcification**, causing **mitral stenosis** [3] or regurgitation. *Libman-Sacks endocarditis* - Characterized by **sterile vegetations** typically found on **both sides of the valve leaflets** (atrial and ventricular surfaces) [2], often associated with **Systemic Lupus Erythematosus (SLE)**. - It does not typically cause **commissural fusion** or significant valvular stenosis. *Marantic endocarditis* - Also known as **nonbacterial thrombotic endocarditis (NBTE)**, it involves **sterile vegetations** composed of fibrin and platelets, usually found on the **lines of closure** [2]. - It is associated with **debilitating illnesses** like cancer or sepsis, but **does not cause commissural fusion**. *Bacterial endocarditis* - Involves **large, destructive vegetations** that can be found on any part of the valve [2], often associated with **valve destruction**, **abscess formation**, and **septic emboli**. - While it causes vegetations, it typically **does not lead to commissural fusion** as a primary feature; fusion is more characteristic of chronic rheumatic heart disease. **References:** [1] Kumar V, Abbas AK, et al.. Robbins and Cotran Pathologic Basis of Disease. 9th ed. The Heart, pp. 566-567. [2] Kumar V, Abbas AK, et al.. Robbins and Cotran Pathologic Basis of Disease. 9th ed. The Heart, p. 568. [3] Cross SS. Underwood's Pathology: A Clinical Approach. 6th ed. Common Clinical Problems From Cardiovascular Disease, pp. 293-294.
Explanation: ***Positive Acid fast staining*** - **Lipofuscin**, the pigment associated with brown atrophy and seen in aging hearts, does **not** stain positive with **Acid-fast stain**. - Acid-fast staining is typically used to identify **mycobacteria** (e.g., *Mycobacterium tuberculosis*) due to their mycolic acid content in the cell wall. *Peri-lysosomal location pigment* - **Lipofuscin** is an "wear-and-tear" pigment that accumulates within the **lysosomes** of cells, particularly in long-lived post-mitotic cells like cardiac myocytes [1]. - Its accumulation is a hallmark of cellular aging and is found in a **peri-lysosomal** distribution [1]. *Golden Brown pigment* - **Lipofuscin** characteristically appears as a **golden-brown** granular pigment under light microscopy [1]. - This color is due to its complex lipid and protein composition, resulting from the oxidation of unsaturated lipids and proteins. *Seen in Brown atrophy* - The accumulation of **lipofuscin** in cardiac myocytes, combined with a reduction in cell size (atrophy), leads to the gross appearance of the heart as smaller and brownish, a condition known as **brown atrophy**. - This is a common finding in the hearts of elderly individuals or those with chronic wasting diseases. **References:** [1] Kumar V, Abbas AK, et al.. Robbins and Cotran Pathologic Basis of Disease. 9th ed. Cellular Responses to Stress and Toxic Insults: Adaptation, Injury, and Death, p. 75.
Explanation: ***Aschoff nodules*** - The clinical presentation of severe effort intolerance, dyspnea, and left atrial enlargement in an 18-year-old male is highly suggestive of **rheumatic heart disease**, a common cause of **mitral stenosis** leading to left atrial enlargement [1][2]. - **Aschoff nodules** are pathognomonic granulomatous lesions found in the myocardium during the acute phase of **rheumatic fever**, which can lead to rheumatic heart disease [1]. *Sarcoidosis* - While sarcoidosis can cause cardiac involvement (cardiomyopathy, arrhythmias), it typically presents with **non-caseating granulomas** and often affects other organs like lungs, skin, and eyes. - Cardiac sarcoidosis is less common in an 18-year-old and less likely to be the primary cause of isolated left atrial enlargement without other systemic features. *TB* - Tuberculosis can affect the pericardium (constrictive pericarditis) or myocardium, but it typically forms **caseating granulomas**. - Isolated left atrial enlargement due to TB is rare, and the clinical picture does not strongly suggest a tuberculous infection. *Fungal granuloma* - Fungal infections can cause granulomatous inflammation in the heart, especially in immunocompromised individuals. - However, the clinical presentation in an otherwise healthy 18-year-old is not typical for a fungal etiology, and fungal granulomas have distinct morphological features different from Aschoff bodies. **References:** [1] Kumar V, Abbas AK, et al.. Robbins and Cotran Pathologic Basis of Disease. 9th ed. The Heart, pp. 566-567. [2] Cross SS. Underwood's Pathology: A Clinical Approach. 6th ed. Common Clinical Problems From Cardiovascular Disease, pp. 293-294.
Explanation: ***Hypertrophic cardiomyopathy (HCM)*** - The image shows **myocardial disarray and hypertrophy**, characterized by haphazardly arranged and abnormally branched cardiac muscle cells with large, irregular nuclei, which is a classic histologic finding in HCM [1]. - HCM is the most common cause of **sudden cardiac death in young athletes**, often during exertion, due to ventricular arrhythmias arising from the disarrayed myocardium [1]. *Dilated cardiomyopathy (DCM)* - Histology for DCM typically shows **myocyte atrophy**, thinning of the ventricular walls, and interstitial fibrosis, not the marked disarray and hypertrophy seen here [3]. - DCM leads to **progressive cardiac enlargement and systolic dysfunction**, and while it can cause sudden death, it is less common in athletes than HCM [4]. *Restrictive cardiomyopathy (RCM)* - RCM is characterized by **stiff, non-compliant ventricles** with impaired diastolic filling, often due to conditions like amyloidosis or sarcoidosis, showing interstitial infiltration or fibrosis. - The image does not show evidence of significant **interstitial infiltration or severe fibrosis** characteristic of RCM; instead, it highlights myocyte pathology. *Arrhythmogenic right ventricular dysplasia (ARVD)* - ARVD is characterized by the **replacement of right ventricular myocardium with fibrofatty tissue**, which would be evident histologically as fat and fibrous infiltration [2]. - While ARVD can cause sudden death in athletes, the displayed image primarily shows **myocyte hypertrophy and disarray**, not extensive fibrofatty replacement [2]. **References:** [1] Kumar V, Abbas AK, et al.. Robbins and Cotran Pathologic Basis of Disease. 9th ed. The Heart, pp. 577-578. [2] Kumar V, Abbas AK, et al.. Robbins and Cotran Pathologic Basis of Disease. 9th ed. The Heart, pp. 576-577. [3] Kumar V, Abbas AK, et al.. Robbins and Cotran Pathologic Basis of Disease. 9th ed. The Heart, p. 576. [4] Kumar V, Abbas AK, et al.. Robbins and Cotran Pathologic Basis of Disease. 9th ed. The Heart, pp. 559-560.
Explanation: ***Hyper-eosinophilia of myocytes*** - Within **4-12 hours** of myocardial ischemia, the most characteristic histological finding is the development of **hypereosinophilia** in the sarcoplasm of myocardial cells [1]. - This is due to the loss of **glycogen** and an increase in **cytoplasmic protein binding** to eosin, indicating early irreversible cell injury [1], [2]. *Neocapillary invasion of myocytes* - **Neocapillary invasion** is a feature of **healing** and **repair** processes, usually observed much later, typically days to weeks after the initial injury, to facilitate scar formation [1]. - This process involves the growth of **new blood vessels** into the damaged tissue. *Karyorrhexis of myocytes* - **Karyorrhexis**, the fragmentation of the cell nucleus, is a later stage of necrosis, usually becoming apparent **12-24 hours post-infarction** [1]. - In the initial 12 hours, nuclear changes like **pyknosis** (nuclear shrinkage and increased basophilia) might be observed, but karyorrhexis is not prominent [1]. *Coagulation necrosis of myocytes* - While myocardial infarction is characterized by **coagulation necrosis**, the classic histological signs of full-blown coagulation necrosis, such as loss of striations and nuclear changes, become prominent at **12-24 hours and beyond** [1]. - In the first 12 hours, **hypereosinophilia** is the primary early indicator of this necrotic process, preceding the more overt classical features [1]. **References:** [1] Kumar V, Abbas AK, et al.. Robbins and Cotran Pathologic Basis of Disease. 9th ed. The Heart, p. 552. [2] Kumar V, Abbas AK, et al.. Robbins and Cotran Pathologic Basis of Disease. 9th ed. The Heart, pp. 548-550.
Explanation: ***Infective endocarditis*** - The vegetations in infective endocarditis are composed of **fibrin**, **platelets**, and **microorganisms**, making them typically very **friable** and prone to embolization [1]. - This friability is a key factor in the pathogenesis of **septic emboli**, which can lead to complications such as stroke, organ infarction, and systemic infections [1]. *Libman Sack's endocarditis* - Characterized by sterile vegetations, predominantly on the **mitral and aortic valves**, in patients with **Systemic Lupus Erythematosus (SLE)** [1]. - While these vegetations can be a source of emboli, they are generally **less friable** than those seen in infective endocarditis, as they lack the aggressive bacterial component. *SLE* - SLE itself is a **systemic autoimmune disease** that can cause various cardiac manifestations, including pericarditis, myocarditis, and endocarditis (Libman-Sacks). - The term "SLE" refers to the underlying disease, not directly to the friability of vegetations, though it is associated with Libman-Sacks endocarditis which has relatively less friable vegetations. *Rheumatic heart disease* - Results from **acute rheumatic fever**, leading to chronic valvular damage, most commonly affecting the **mitral valve** [2]. - The vegetations, when present during acute rheumatic fever, are small, sterile, and composed primarily of **fibrin and platelets**, making them generally **less friable** and less likely to embolize compared to infective endocarditis [1]. **References:** [1] Kumar V, Abbas AK, et al.. Robbins and Cotran Pathologic Basis of Disease. 9th ed. The Heart, pp. 568-570. [2] Kumar V, Abbas AK, et al.. Robbins and Cotran Pathologic Basis of Disease. 9th ed. The Heart, p. 566.
Congenital Heart Disease
Practice Questions
Ischemic Heart Disease
Practice Questions
Hypertensive Heart Disease
Practice Questions
Valvular Heart Disease
Practice Questions
Myocarditis and Cardiomyopathies
Practice Questions
Pericardial Disease
Practice Questions
Cardiac Tumors
Practice Questions
Heart Failure Pathophysiology
Practice Questions
Cardiac Transplantation Pathology
Practice Questions
Endocarditis
Practice Questions
Get full access to all questions, explanations, and performance tracking.
Start For Free