What is the most common cause of death in primary amyloidosis?
Which of the following can cause myocarditis?
Mac Callum plaques in rheumatic heart disease are associated with which chamber?
Which is the first organ to be affected in left ventricular failure?
What are the causes of restrictive cardiomyopathy?
What is the earliest time after myocardial infarction when triphenyl tetrazolium chloride (TTC) staining can detect infarcted tissue?
A 65-year-old man dies due to myocardial infarction. Which stains can be used to see the infarct in the heart while conducting an autopsy?
An athlete collapsed suddenly during exercise and died on the field. Postmortem heart is shown in the figure. There is family history of heart disease. What is the diagnosis?

All are true regarding the heart specimen shown except:

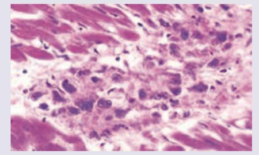
A patient presented with mitral valve stenosis, identify the diagnosis from the mitral valve histopathology depicted below. (AIIMS Nov 2017)

Explanation: **Explanation:** **Primary Amyloidosis (AL type)** is a plasma cell dyscrasia characterized by the deposition of monoclonal light chain protein fibrils in various tissues [2]. **Why Cardiac Failure is the Correct Answer:** The heart is the most critical organ involved in AL amyloidosis [1]. Amyloid fibrils deposit in the myocardial interstitium, leading to **Restrictive Cardiomyopathy** [1]. This results in stiffening of the ventricles, impaired diastolic filling, and eventually, low-output congestive heart failure and fatal arrhythmias. Cardiac involvement is the single most important prognostic factor, accounting for approximately **40-50% of deaths** in these patients. **Analysis of Incorrect Options:** * **A. Respiratory Failure:** While amyloid can deposit in the alveolar septa or tracheobronchial tree, it rarely leads to isolated fatal respiratory failure compared to cardiac or renal complications. * **C. Renal Failure:** Although the kidney is the most frequently involved organ (often presenting as Nephrotic Syndrome), modern dialysis and management have made it a less common cause of immediate death than cardiac events. * **D. Septicemia:** While patients may be immunocompromised due to underlying plasma cell dyscrasia or chemotherapy, it is not the primary cause of mortality inherent to the amyloid deposition process itself. **High-Yield Clinical Pearls for NEET-PG:** * **Most common organ involved:** Kidney (presents as proteinuria/nephrotic syndrome). * **Most common cause of death:** Cardiac failure/Arrhythmias. * **Diagnosis:** Congo Red stain showing **Apple-green birefringence** under polarized light [1][2]. * **Echocardiography:** Characteristically shows a **"Speckled" or "Gritty" appearance** of the myocardium. * **Biopsy Gold Standard:** Abdominal fat pad aspiration or rectal biopsy (less invasive). **References:** [1] Kumar V, Abbas AK, et al.. Robbins and Cotran Pathologic Basis of Disease. 9th ed. The Heart, pp. 579-581. [2] Kumar V, Abbas AK, et al.. Robbins and Cotran Pathologic Basis of Disease. 9th ed. Diseases of the Immune System, pp. 268-269.
Explanation: **Explanation:** **Myocarditis** is the inflammation of the heart muscle, most commonly caused by viral infections (like Coxsackie B) [1]. However, bacterial toxins and hypersensitivity reactions are also significant etiologies. **Why Pertussis is the correct answer:** While *Bordetella pertussis* is primarily known for causing "whooping cough" via respiratory tract inflammation, it is a recognized, albeit rare, cause of infectious myocarditis. The mechanism involves both direct bacterial impact and the systemic effects of the pertussis toxin, which can lead to myocardial inflammation and dysfunction. **Analysis of Incorrect Options:** * **Diphtheria:** *Corynebacterium diphtheriae* is a classic cause of **toxic myocarditis**. However, in the context of standard pathology textbooks (like Robbins) and NEET-PG patterns, if a question asks for a specific bacterial cause among these options, Pertussis is often highlighted in specific MCQ banks as a causative agent of myocarditis, whereas Diphtheria is more classically associated with "isolated" toxin-mediated damage rather than generalized inflammatory myocarditis (though this distinction is subtle). * **Measles:** While Measles can cause giant cell pneumonia or encephalitis, it is not a standard or common cause of myocarditis. * **Scorpion Sting:** This typically causes a **catecholamine storm** leading to "toxic cardiomyopathy" or "myocardial stunning" [2] rather than true inflammatory myocarditis. **High-Yield Clinical Pearls for NEET-PG:** * **Most common cause overall:** Coxsackie B virus (Enterovirus) [1]. * **Chagas Disease:** Caused by *Trypanosoma cruzi*; it is the most common cause of myocarditis in endemic areas (South America). * **Diphtheritic Myocarditis:** Characterized by fatty change and patchy necrosis; it occurs in 50% of diphtheria patients and is the most common cause of death in those cases. * **Giant Cell Myocarditis:** The most lethal form, characterized by multinucleated giant cells and a poor prognosis. * **Hypersensitivity Myocarditis:** Often drug-induced (e.g., sulfonamides), showing an **eosinophilic** infiltrate. **References:** [1] Kumar V, Abbas AK, et al.. Robbins and Cotran Pathologic Basis of Disease. 9th ed. The Heart, pp. 578-579. [2] Kumar V, Abbas AK, et al.. Robbins and Cotran Pathologic Basis of Disease. 9th ed. The Heart, pp. 574-576.
Explanation: **Explanation:** **MacCallum plaques** are a classic pathological feature of **Rheumatic Heart Disease (RHD)**. They represent irregular, map-like areas of subendocardial thickening caused by the healing of inflammatory lesions (Aschoff bodies) [1]. **Why the Left Atrium is correct:** These plaques are most commonly found in the **posterior wall of the left atrium**, typically just above the posterior leaflet of the mitral valve. Their formation is attributed to the "jet effect" of chronic mitral regurgitation. The high-pressure regurgitant blood flow from the left ventricle strikes the endocardial surface of the left atrium, leading to chronic irritation, inflammation, and subsequent subendocardial fibrosis. **Why other options are incorrect:** * **Left Ventricle:** While RHD affects the mitral and aortic valves, the specific subendocardial thickening known as MacCallum plaques is not a characteristic feature of the ventricular walls. * **Right Atrium & Right Ventricle:** RHD primarily affects the high-pressure left side of the heart [1]. The right-sided chambers are rarely involved in the primary inflammatory process unless there is severe, multi-valvular disease or secondary changes due to pulmonary hypertension. **High-Yield Pearls for NEET-PG:** * **Location:** Posterior wall of the Left Atrium (above the mitral valve). * **Pathogenesis:** Result of regurgitant jets (Mitral Regurgitation) [1]. * **Microscopic Hallmark of RHD:** **Aschoff bodies** (containing Anitschkow cells or "caterpillar cells") [1]. * **Valve Involvement Frequency:** Mitral > Aortic > Tricuspid > Pulmonary (MATP) [1]. * **Bread and Butter Appearance:** Refers to the fibrinous pericarditis seen in acute rheumatic carditis. **References:** [1] Kumar V, Abbas AK, et al.. Robbins and Cotran Pathologic Basis of Disease. 9th ed. The Heart, p. 566.
Explanation: **Explanation:** In Left Ventricular Failure (LVF), the left ventricle is unable to pump blood effectively into the systemic circulation. This leads to a "back-up" of pressure [1]. Blood pools in the left atrium and subsequently in the pulmonary veins. This increased **pulmonary venous pressure** is transmitted directly to the pulmonary capillaries [1], leading to pulmonary congestion and edema. Therefore, the **lungs** are the first and most significantly affected organs. **Analysis of Options:** * **Lungs (Correct):** The primary pathological hallmark of LVF is **pulmonary congestion** [1]. Histologically, this is characterized by "heart failure cells" (hemosiderin-laden macrophages) in the alveoli. * **Liver:** The liver is the primary organ affected in **Right Ventricular Failure (RVF)**, leading to "Nutmeg Liver" (chronic passive congestion). In LVF, the liver is only affected later if the condition progresses to biventricular failure. * **Kidney:** While LVF causes decreased renal perfusion (activating the RAAS pathway) [2], structural changes like Acute Tubular Necrosis occur later due to prolonged hypoperfusion, not as the immediate primary site of congestion. * **Brain:** Hypoxic encephalopathy can occur due to low cardiac output, but it is a late-stage manifestation compared to the immediate mechanical back-pressure seen in the lungs. **High-Yield Clinical Pearls for NEET-PG:** * **Earliest Symptom of LVF:** Dyspnea on exertion. * **Most Specific Symptom:** Paroxysmal Nocturnal Dnyspnea (PND). * **Pathognomonic Sign:** Basal crepitations (rales) on auscultation. * **Morphology:** Look for **"Heart Failure Cells"** in sputum or lung biopsy—these are alveolar macrophages that have phagocytosed red blood cells leaking from congested capillaries. **References:** [1] Kumar V, Abbas AK, et al.. Robbins and Cotran Pathologic Basis of Disease. 9th ed. The Heart, pp. 537-538. [2] Kumar V, Abbas AK, et al.. Robbins and Cotran Pathologic Basis of Disease. 9th ed. The Heart, pp. 536-537.
Explanation: **Explanation:** Restrictive Cardiomyopathy (RCM) is characterized by a primary decrease in ventricular compliance, resulting in impaired ventricular filling during diastole (diastolic dysfunction) [1]. The ventricles are of normal size or slightly enlarged, but the myocardium is stiff and non-compliant. **Why "All of the above" is correct:** The etiology of RCM is categorized into non-infiltrative, infiltrative, and storage disorders: * **Amyloidosis (Option A):** This is the **most common cause** of restrictive cardiomyopathy. Deposition of insoluble amyloid fibrils in the interstitium leads to significant myocardial stiffening [1], [2]. * **Sarcoidosis (Option B):** An infiltrative granulomatous disease where non-caseating granulomas and subsequent fibrosis disrupt the myocardial architecture, leading to restriction. * **Storage Diseases (Option C):** Conditions like **Hemochromatosis** (iron overload), **Fabry disease** (glycosphingolipid accumulation), and **Gaucher disease** lead to the deposition of metabolites within the myocytes, increasing wall rigidity. **Clinical Pearls for NEET-PG:** * **Hemodynamics:** RCM mimics **Constrictive Pericarditis**. A key differentiating feature is that the **ventricular filling pressure** is elevated in both, but the "Dip and Plateau" (Square root sign) on pressure tracings is more characteristic of RCM. * **ECG Finding:** Low voltage complexes are classically seen in Amyloidosis despite the apparent "thickening" of the heart walls on Echo. * **Biopsy:** Endomyocardial biopsy is the gold standard for definitive diagnosis. In Amyloidosis, **Congo Red stain** shows **apple-green birefringence** under polarized light [1]. * **Other Causes:** Loeffler endomyocarditis (associated with eosinophilia) and Endomyocardial Fibrosis (common in tropical regions). **References:** [1] Kumar V, Abbas AK, et al.. Robbins and Cotran Pathologic Basis of Disease. 9th ed. The Heart, pp. 572-581. [2] Cross SS. Underwood's Pathology: A Clinical Approach. 6th ed. (Basic Pathology) introduces the student to key general principles of pathology, both as a medical science and as a clinical activity with a vital role in patient care. Part 2 (Disease Mechanisms) provides fundamental knowledge about the cellular and molecular processes involved in diseases, providing the rationale for their treatment. Part 3 (Systematic Pathology) deals in detail with specific diseases, with emphasis on the clinically important aspects., pp. 135-136.
Explanation: ***3 hours***- **TTC (Triphenyl Tetrazolium Chloride)** staining detects viable myocardium by reacting with **lactate dehydrogenase** (LDH) and other mitochondrial dehydrogenases, resulting in a **brick-red color** [1].- Necrotic myocardium loses these enzymes, preventing the color change and leaving the infarcted tissue **pale yellow**; this process usually takes at least **3 hours** post-occlusion to be grossly detectable [1].*1 hour*- The time interval is too short for the complete depletion of **dehydrogenases** from the infarcted cells necessary to prevent the TTC reaction and produce a visually distinct **pale area**.- Reliable gross detection by TTC requires cellular necrosis advanced enough to cause enzyme leakage, which typically requires more time than 1 hour [1].*30 minutes*- At 30 minutes post-MI, myocardial damage is often still in the stage of **reversible injury**, and the cell membranes and internal enzyme systems are still largely intact [2].- This limited timeframe does not allow for sufficient enzyme leakage or inactivation required to produce a clear negative (unstained) reaction with the **tetrazolium salt** [1].*Immediately*- Immediate staining will show uniformly red tissue because sufficient time has not passed for the irreversible cell injury (**necrosis**) and subsequent loss of intrinsic **enzymatic activity**.- Myocardium must undergo several hours of severe ischemia and necrosis before the gross chemical findings detected by **TTC** become apparent [1]. **References:** [1] Kumar V, Abbas AK, et al.. Robbins and Cotran Pathologic Basis of Disease. 9th ed. The Heart, pp. 552-554. [2] Kumar V, Abbas AK, et al.. Robbins and Cotran Pathologic Basis of Disease. 9th ed. The Heart, p. 552.
Explanation: ***Triphenyl tetrazolium chloride***- This stain is used to macroscopically identify **acute myocardial infarction** during autopsy, typically within the first few hours up to 2 weeks post-infarct [1].- It detects the activity of **dehydrogenase enzymes** (like LDH); viable myocardium reacts with TTC to form a **brick red** color, while the necrotic (infarcted) tissue lacks these enzymes and remains **pale** or *gray-yellow* [1].*Oil red O*- **Oil red O** is a lipid stain primarily used to demonstrate neutral lipids and **triglycerides**, often used for conditions like steatosis or fat emboli.- It is not specific for the cellular necrosis defining an acute infarct and is generally used on frozen sections.*Sudan black B*- **Sudan black B** is a lipid stain used to visualize phospholipids, neutral lipids, and lipoproteins.- It is more commonly employed in hematopathology (e.g., staining **myeloblasts**) or for demonstrating specific lipid storage, not for defining the boundaries of an acute myocardial infarct in gross pathology examination.*Masson trichrome*- This is a differential stain used to distinguish between muscle (red) and **collagen** (blue or green), used to highlight **fibrosis**.- While crucial for identifying **old, healed myocardial infarcts** (scar tissue), it is ineffective for rapid visualization of a fresh, acute infarct where significant collagen deposition has not yet taken place [1]. **References:** [1] Kumar V, Abbas AK, et al.. Robbins and Cotran Pathologic Basis of Disease. 9th ed. The Heart, pp. 552-554.
Explanation: ***Hypertrophic cardiomyopathy*** - **Sudden cardiac death** in young athletes, especially with a family history, is a classic presentation of **hypertrophic cardiomyopathy (HCM)** [2][3]. - Postmortem examination typically reveals **asymmetric septal hypertrophy** and **myocardial fiber disarray**, which are characteristic of HCM [1]. *Mitral regurgitation* - While mitral regurgitation can lead to heart failure, it is less commonly associated with **sudden death in athletes** without prior symptoms. - The primary finding would be **valvular abnormalities** and **left atrial/ventricular dilation**, not typically isolated hypertrophy. *Mitral stenosis* - Mitral stenosis primarily causes **left atrial enlargement** and **pulmonary hypertension**, leading to symptoms like dyspnea and fatigue. - It is not a common cause of **sudden cardiac death** in athletes and would not typically present with the gross hypertrophy seen in HCM. *Aortic stenosis with left ventricular hypertrophy* - Aortic stenosis can cause **left ventricular hypertrophy** due to increased pressure overload. - However, sudden death in athletes due to aortic stenosis is less common than HCM, and the hypertrophy in aortic stenosis is typically **concentric** and symmetrical, unlike the asymmetric hypertrophy often seen in HCM [1]. **References:** [1] Kumar V, Abbas AK, et al.. Robbins and Cotran Pathologic Basis of Disease. 9th ed. The Heart, pp. 577-578. [2] Kumar V, Abbas AK, et al.. Robbins and Cotran Pathologic Basis of Disease. 9th ed. The Heart, pp. 576-577. [3] Cross SS. Underwood's Pathology: A Clinical Approach. 6th ed. Common Clinical Problems From Cardiovascular Disease, pp. 303-304.
Explanation: ***Spade-shaped cavity of left ventricle*** - The heart specimen in **hypertrophic cardiomyopathy (HCM)** typically shows a **banana-shaped or crescentic left ventricular cavity** due to the hypertrophied septum bulging into the outflow tract [1]. - A **spade-shaped cavity** is characteristic of **apical hypertrophic cardiomyopathy**, which is a specific, less common variant of HCM. *Asymmetrical septal hypertrophy* - This is a hallmark feature of **hypertrophic cardiomyopathy (HCM)**, where the **interventricular septum** is disproportionately thicker than the free wall of the left ventricle [1][2]. - It is the most common morphological pattern seen in HCM [2]. *Left ventricular outflow tract obstruction* - This occurs in a significant proportion of HCM patients due to the **hypertrophied septum** and **systolic anterior motion (SAM)** of the mitral valve [1]. - The obstruction leads to a **pressure gradient** across the left ventricular outflow tract, causing symptoms like dyspnea and syncope [1]. *Diastolic dysfunction* - **Diastolic dysfunction** is a universal finding in HCM due to the **stiff, non-compliant hypertrophied left ventricle** [1]. - This impaired relaxation and filling of the ventricle leads to elevated **diastolic pressures** and contributes to symptoms of heart failure [1]. **References:** [1] Kumar V, Abbas AK, et al.. Robbins and Cotran Pathologic Basis of Disease. 9th ed. The Heart, pp. 577-578. [2] Cross SS. Underwood's Pathology: A Clinical Approach. 6th ed. Common Clinical Problems From Cardiovascular Disease, pp. 303-304.
Explanation: ***Rheumatic heart disease*** - **Rheumatic heart disease** is the most common cause of **mitral valve stenosis** and is characterized by **fibrosis** and **calcification** of the valve leaflets, often with **commissural fusion** [1]. - Histopathology would show features like **Aschoff bodies** (granulomas with Anitschkow cells) in the acute phase [3], and later **fibrous thickening** and **neovascularization** of the valve [1]. *Tuberculosis* - While tuberculosis can affect the heart (tuberculous pericarditis or myocarditis), it is an **extremely rare cause of isolated valvular stenosis**. - Histopathology would show **caseating granulomas** with **Langhans giant cells**, which are not typical findings in primary valvular stenosis. *Myxomatous degeneration* - **Myxomatous degeneration** primarily affects the **mitral valve**, leading to **mitral valve prolapse** and **regurgitation**, not stenosis. - Histopathology shows **accumulation of proteoglycans** and **disruption of collagen fibers** within the valve, making it floppy. *Viral myocarditis* - **Viral myocarditis** is an inflammation of the **myocardium** (heart muscle) and typically leads to **dilated cardiomyopathy** and **heart failure**, not primary valvular stenosis. - Histopathology would reveal **inflammatory infiltrates** (lymphocytes) and **myocyte necrosis**, not changes specific to valve stenosis. **References:** [1] Kumar V, Abbas AK, et al.. Robbins and Cotran Pathologic Basis of Disease. 9th ed. The Heart, pp. 566-567. [2] Cross SS. Underwood's Pathology: A Clinical Approach. 6th ed. Common Clinical Problems From Cardiovascular Disease, pp. 293-294. [3] Kumar V, Abbas AK, et al.. Robbins and Cotran Pathologic Basis of Disease. 9th ed. The Heart, p. 566.
Congenital Heart Disease
Practice Questions
Ischemic Heart Disease
Practice Questions
Hypertensive Heart Disease
Practice Questions
Valvular Heart Disease
Practice Questions
Myocarditis and Cardiomyopathies
Practice Questions
Pericardial Disease
Practice Questions
Cardiac Tumors
Practice Questions
Heart Failure Pathophysiology
Practice Questions
Cardiac Transplantation Pathology
Practice Questions
Endocarditis
Practice Questions
Get full access to all questions, explanations, and performance tracking.
Start For Free