Which of the following causes the 'no-reflow' phenomenon in acute myocardial infarction, contributing to reperfusion injury?
Which of the following is not commonly associated with non-bacterial thrombotic endocarditis (NBTE)?
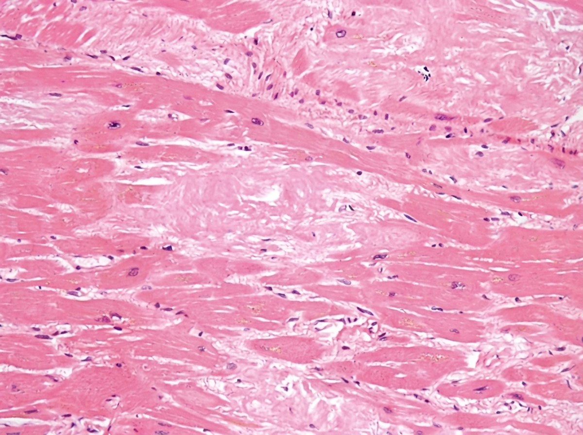
A 17-year-old high school student dies suddenly while playing basketball. Autopsy and histologic sections are provided. What is the most likely diagnosis?

In essential hypertension, what cardiac changes are typically observed?
Heart failure cells are present in which of the following locations?
All of the following statements regarding subendocardial infarction are true, except?
Metastasis to the heart is most commonly from which primary site?
A 25-year-old male presented with a growth in the left atrium. What is the most likely diagnosis?
Calcification of the aortic valve is seen in which of the following conditions?
Hemorrhagic pericarditis occurs in all of the following conditions except?
Explanation: ### Explanation The **'no-reflow' phenomenon** refers to the inability to reperfuse a previously ischemic area of the myocardium despite the restoration of blood flow in the epicardial coronary arteries (e.g., after angioplasty or thrombolysis) [1]. **Why Leukocyte Aggregation is Correct:** The primary mechanism behind the no-reflow phenomenon is **microvascular obstruction**. During ischemia and subsequent reperfusion, neutrophils become activated and less deformable. These **leukocytes aggregate** within the small capillaries, physically plugging the microvasculature [1]. This is further exacerbated by endothelial cell swelling (blebbing) and compression of the vessels by interstitial edema, preventing blood from reaching the myocytes even after the main blockage is cleared [1]. **Analysis of Incorrect Options:** * **A. Myocyte hypercontracture:** This occurs due to a sudden influx of calcium upon reperfusion, leading to "contraction band necrosis" [1]. While it is a feature of reperfusion injury, it is a result of cellular damage rather than the cause of microvascular no-reflow. * **C. Free radicals:** Reactive Oxygen Species (ROS) cause oxidative stress, lipid peroxidation, and membrane damage. They contribute to the *lethal* component of reperfusion injury but are not the physical cause of microvascular plugging. * **D. Complement activation:** This contributes to the inflammatory response and attracts leukocytes to the site, but it is a secondary mediator rather than the direct mechanical cause of the no-reflow state. **NEET-PG High-Yield Pearls:** * **Contraction Band Necrosis:** The hallmark histological finding of reperfusion injury (caused by calcium-induced hypercontracture) [1]. * **Stunned Myocardium:** Temporary systolic dysfunction following reperfusion that eventually recovers [1]. * **Reperfusion Arrhythmias:** Often manifest as Accelerated Idioventricular Rhythm (AIVR), which is actually a sign of successful reperfusion. **References:** [1] Kumar V, Abbas AK, et al.. Robbins and Cotran Pathologic Basis of Disease. 9th ed. The Heart, pp. 554-556.
Explanation: **Non-bacterial thrombotic endocarditis (NBTE)**, also known as marantic endocarditis, is characterized by the deposition of small, sterile thrombi (fibrin and platelets) on heart valves [3]. Unlike infective endocarditis, these vegetations occur in the absence of microorganisms and typically affect previously normal valves. **Why Intravenous Drug Abuse (IVDA) is the correct answer:** IVDA is a major risk factor for **Infective Endocarditis (IE)**, not NBTE [1]. In IVDA, the introduction of bacteria (most commonly *Staphylococcus aureus*) into the bloodstream leads to septic vegetations, frequently involving the right-sided heart valves (Tricuspid valve) [1]. NBTE, by definition, is non-infectious. **Analysis of Incorrect Options:** * **Systemic Lupus Erythematosus (SLE):** Associated with **Libman-Sacks endocarditis**, a specific form of NBTE where small vegetations form on both sides of the valve leaflets [2], [3]. * **Antiphospholipid Antibody Syndrome (APLAS):** This is a hypercoagulable state strongly associated with sterile thrombotic vegetations on the mitral and aortic valves [4]. * **Mucinous Adenocarcinoma:** Often associated with Trousseau syndrome (migratory thrombophlebitis) [2]. These tumors (e.g., pancreatic or lung) release procoagulants that trigger the formation of sterile vegetations in NBTE. **High-Yield NEET-PG Pearls:** * **Pathology:** Vegetations in NBTE are **friable**, sterile, and do not cause significant valvular destruction, but they pose a high risk for **systemic embolization** (e.g., stroke). * **Most Common Valve:** Mitral valve is most frequently involved. * **Association:** Often seen in "wasting" diseases (cancer cachexia), hence the name "marantic" (from *marasmus*). * **Key Histology:** Fibrin and platelets without inflammation or bacteria. **References:** [1] Kumar V, Abbas AK, et al.. Robbins and Cotran Pathologic Basis of Disease. 9th ed. The Heart, pp. 567-568. [2] Kumar V, Abbas AK, et al.. Robbins and Cotran Pathologic Basis of Disease. 9th ed. The Heart, p. 570. [3] Kumar V, Abbas AK, et al.. Robbins and Cotran Pathologic Basis of Disease. 9th ed. The Heart, p. 568. [4] Kumar V, Abbas AK, et al.. Robbins and Cotran Pathologic Basis of Disease. 9th ed. Hemodynamic Disorders, Thromboembolic Disease, and Shock, pp. 134-135.
Explanation: ***Hypertrophic cardiomyopathy*** - **Sudden cardiac death** in young athletes is classically associated with **hypertrophic cardiomyopathy**, which causes **outflow tract obstruction** during exercise. - Histologically shows **myofiber disarray**, **myocyte hypertrophy**, and **interstitial fibrosis** - pathognomonic features of HCM. *Dilated cardiomyopathy* - Presents with **progressive heart failure** and **reduced ejection fraction**, not sudden death in asymptomatic young athletes. - Histology shows **dilated chambers** with **thin walls** and **myocyte atrophy**, contrasting with the hypertrophic features seen here. *Constrictive cardiomyopathy* - Actually refers to **restrictive cardiomyopathy**, which causes **diastolic dysfunction** with preserved systolic function. - Results from **infiltrative diseases** like **amyloidosis** or **sarcoidosis**, not seen in healthy teenagers. *Secondary cardiomyopathy* - Develops due to **systemic conditions** like **hypertension**, **diabetes**, or **chemotherapy toxicity**. - Unlikely in a previously healthy 17-year-old without underlying medical conditions or drug exposure.
Explanation: **Explanation:** **1. Why Cardiac Cell Hypertrophy is Correct:** Essential hypertension increases the **afterload** (systemic vascular resistance) against which the left ventricle must pump [1]. Since adult cardiac myocytes are **permanent cells** (post-mitotic), they have lost the capacity for cell division. To compensate for the increased workload, the myocytes adapt by increasing the synthesis of contractile proteins and organelles, leading to an **increase in cell size**, known as **hypertrophy** [1]. This results in concentric thickening of the left ventricular wall to maintain cardiac output. **2. Why the Other Options are Incorrect:** * **Option A (Hyperplasia):** Hyperplasia refers to an increase in the *number* of cells. Because cardiac myocytes cannot undergo mitosis in response to stress, hyperplasia does not occur in the adult heart [1]. * **Options C & D (Mitochondrial changes):** While there is an increase in the total mass of organelles during hypertrophy, the hallmark pathological change is the overall increase in cell size and protein synthesis [1]. Isolated increases in mitochondrial number or size are not the primary or defining pathological features of hypertensive heart disease; in fact, in late-stage heart failure, mitochondrial density may actually decrease relative to the myofibrillar volume [3]. **Clinical Pearls for NEET-PG:** * **Molecular Mechanism:** Hypertrophy involves the induction of the **"fetal gene program"** (e.g., expression of ANP and ̢-myosin heavy chain) [3]. * **Microscopic Hallmark:** Enlarged, rectangular-shaped nuclei (often called **"boxcar nuclei"**) [1]. * **Gross Pathology:** Concentric left ventricular hypertrophy (LVH) with a reduction in lumen size initially [1]. * **Key Distinction:** Hypertrophy is a **pathological adaptation** to stress; if the stress (hypertension) is not relieved, it progresses to ventricular dilation and heart failure [2]. **References:** [1] Kumar V, Abbas AK, et al.. Robbins and Cotran Pathologic Basis of Disease. 9th ed. The Heart, pp. 536, 560-562. [2] Cross SS. Underwood's Pathology: A Clinical Approach. 6th ed. Common Clinical Problems From Cardiovascular Disease, pp. 276-277. [3] Kumar V, Abbas AK, et al.. Robbins and Cotran Pathologic Basis of Disease. 9th ed. Diseases of Infancy and Childhood, pp. 535-536.
Explanation: **Explanation:** **Heart failure cells** are hemosiderin-laden alveolar macrophages. They are a classic histopathological hallmark of **Chronic Passive Congestion (CPC) of the Lungs**, typically caused by Left-Sided Heart Failure [1]. **Why Alveoli is the Correct Answer:** In left-sided heart failure, the heart cannot pump blood efficiently, leading to increased pressure in the pulmonary veins and capillaries. This high pressure causes red blood cells (RBCs) into the **alveolar spaces**. Alveolar macrophages then phagocytose these RBCs and break down their hemoglobin into **hemosiderin**, a golden-brown pigment. These pigment-filled macrophages are termed "heart failure cells." **Why Other Options are Incorrect:** * **Myocytes:** While myocytes (cardiac muscle cells) undergo hypertrophy or necrosis in heart failure, they do not phagocytose RBCs to form heart failure cells. * **Hepatocytes:** Congestion in the liver (Right-Sided Heart Failure) leads to "Nutmeg Liver." * **Astrocytes:** These are glial cells of the CNS. They do not play a role in pulmonary congestion. **High-Yield NEET-PG Pearls:** * **Stain:** Heart failure cells are best visualized using **Prussian Blue (Perl’s stain)**, which stains the iron in hemosiderin a deep blue. * **Gross Appearance:** Chronic congestion leads to **Brown Induration** of the lungs due to fibrosis and hemosiderin deposition. * **Clinical Correlation:** Their presence in sputum or bronchoalveolar lavage (BAL) fluid is a diagnostic indicator of past or chronic pulmonary edema. **References:** [1] Kumar V, Abbas AK, et al.. Robbins and Cotran Pathologic Basis of Disease. 9th ed. The Heart, pp. 536-537.
Explanation: **Explanation:** In Cardiac Pathology, myocardial infarctions (MI) are classified into two main types based on the depth of involvement: **Transmural** and **Subendocardial** [1]. **Why Option D is the correct (false) statement:** Ventricular aneurysms are a late complication of **Transmural MI**, not subendocardial MI [2]. An aneurysm occurs when the entire thickness of the ventricular wall is replaced by weakened, non-contractile fibrous scar tissue, which then bulges outward during systole. In subendocardial MI, the outer layers of the myocardium remain viable and structurally intact, providing enough mechanical strength to prevent the formation of an aneurysm. **Analysis of other options:** * **Option A (Multifocal):** Subendocardial infarctions are often circumferential or multifocal because they typically result from a global decrease in blood flow rather than a single vessel occlusion [1]. * **Option B (Hypotension/Shock):** The subendocardium is the "watershed area" of the heart (the most distal region from the epicardial coronaries) [3]. Therefore, systemic hypotension, shock, or severe anemia leads to ischemia first in this vulnerable zone. * **Option C (Epicarditis):** Fibrinous pericarditis (or epicarditis) occurs only when the inflammation reaches the epicardial surface [2]. Since subendocardial MI is limited to the inner 1/3 to 1/2 of the wall, it does **not** cause pericarditis. **NEET-PG High-Yield Pearls:** 1. **ECG Finding:** Subendocardial MI typically presents as **ST-segment depression**, whereas Transmural MI presents as **ST-segment elevation (STEMI)** and subsequent Q-waves. 2. **Pathogenesis:** Transmural MI is usually due to complete occlusion of a major coronary artery (plaque rupture + thrombosis); Subendocardial MI is often due to severe stable atherosclerosis combined with increased demand or systemic hypotension. 3. **Mural Thrombi:** Can occur in both, but are more common in transmural MI due to greater stasis and endocardial injury. **References:** [1] Kumar V, Abbas AK, et al.. Robbins and Cotran Pathologic Basis of Disease. 9th ed. The Heart, pp. 550-552. [2] Kumar V, Abbas AK, et al.. Robbins and Cotran Pathologic Basis of Disease. 9th ed. The Heart, pp. 556-557. [3] Cross SS. Underwood's Pathology: A Clinical Approach. 6th ed. (Basic Pathology) introduces the student to key general principles of pathology, both as a medical science and as a clinical activity with a vital role in patient care. Part 2 (Disease Mechanisms) provides fundamental knowledge about the cellular and molecular processes involved in diseases, providing the rationale for their treatment. Part 3 (Systematic Pathology) deals in detail with specific diseases, with emphasis on the clinically important aspects., pp. 150-151.
Explanation: **Explanation:** Metastatic involvement of the heart is significantly more common (about 15–30 times) than primary cardiac tumors [1]. The correct answer is **Breast** because of its high incidence and anatomical proximity to the mediastinum. 1. **Why Breast is Correct:** Metastasis to the heart occurs via three main routes: lymphatic spread, hematogenous spread, or direct extension [1]. Breast cancer, along with **Lung cancer**, represents the most frequent source of cardiac metastasis [1]. This is due to the rich lymphatic drainage from the thoracic wall and the proximity of the breast to the pericardium. In many clinical series, Lung cancer is the most common primary site, but among the options provided, Breast cancer is the leading cause [1]. 2. **Why Incorrect Options are Wrong:** * **Prostate:** While prostate cancer frequently metastasizes to the bone (osteoblastic lesions), it rarely involves the heart. * **Ovary:** Ovarian cancer typically spreads via local seeding (peritoneal carcinomatosis) and rarely involves the myocardium or pericardium. * **All of the above:** This is incorrect as there is a clear hierarchy in the frequency of primary sites. **High-Yield NEET-PG Pearls:** * **Most common primary cardiac tumor:** Myxoma (Adults), Rhabdomyoma (Children). * **Most common site for Myxoma:** Left Atrium (Fossa ovalis). * **Most common malignancy of the heart:** Metastatic disease (Secondary) [1]. * **Highest relative risk:** While Lung/Breast are most common in absolute numbers, **Malignant Melanoma** has the highest *propensity* (percentage of cases) to spread to the heart [1]. * **Clinical Presentation:** Most cardiac metastases are clinically silent, but the most common manifestation is **pericardial effusion** (often hemorrhagic) [1]. **References:** [1] Kumar V, Abbas AK, et al.. Robbins and Cotran Pathologic Basis of Disease. 9th ed. The Heart, pp. 584-586.
Explanation: **Explanation:** **Why Myxoma is the correct answer:** Atrial myxoma is the **most common primary cardiac tumor in adults** [2]. Approximately 75–90% of these tumors occur in the **left atrium**, typically arising from the interatrial septum near the fossa ovalis [1], [2]. Clinically, they often present with a "wrecking ball" effect, potentially obstructing the mitral valve (mimicking mitral stenosis) or causing embolic events and constitutional symptoms (fever, weight loss) due to IL-6 production [1], [2]. **Analysis of Incorrect Options:** * **A. Rhabdomyoma:** This is the most common primary cardiac tumor in **children/infants** and is strongly associated with Tuberous Sclerosis [2]. It most frequently involves the ventricles rather than the left atrium. * **C. Metastasis:** While metastatic tumors (from lung, breast, or melanoma) are the most common tumors found in the heart overall, the question asks for a specific growth in the left atrium in a young male. In the context of primary cardiac masses, Myxoma is the classic "textbook" presentation for this location. * **D. Papillary fibroelastoma:** These are small, sea-anemone-like growths typically found on **cardiac valves** (most commonly the aortic valve) rather than the atrial wall. **High-Yield NEET-PG Pearls:** * **Histology:** Myxoma cells (lepidic cells) are embedded in a "sea" of acid mucopolysaccharide ground substance (myxoid stroma) [1]. * **Carney Complex:** An autosomal dominant syndrome characterized by cardiac myxomas, skin pigmentation (lentigines), and endocrine overactivity. * **Auscultation:** A characteristic "tumor plop" may be heard during diastole as the mass drops into the mitral orifice. **References:** [1] Kumar V, Abbas AK, et al.. Robbins and Cotran Pathologic Basis of Disease. 9th ed. The Heart, pp. 583-584. [2] Cross SS. Underwood's Pathology: A Clinical Approach. 6th ed. Common Clinical Problems From Cardiovascular Disease, pp. 304-306.
Explanation: **Explanation:** The correct answer is **Syphilis (Option C)**. In tertiary syphilis, the spirochete *Treponema pallidum* causes **obliterative endarteritis** of the vasa vasorum of the aorta [1]. This leads to ischemic injury of the aortic media (mesoaortitis), resulting in the loss of elastic tissue and subsequent dilation of the aortic root and ring. This dilation prevents the aortic valve leaflets from coapting properly, leading to **Aortic Regurgitation** [1]. The chronic turbulence and mechanical stress associated with this valvular dysfunction frequently lead to secondary **calcification** of the aortic valve and the ascending aorta (often seen as a "linear calcification" on X-ray). **Analysis of Incorrect Options:** * **Hurler Syndrome (Option A):** This is a mucopolysaccharidosis characterized by the accumulation of dermatan and heparan sulfate. While it causes valvular thickening and "floppy" valves due to metabolite deposition, it is not typically associated with primary aortic valve calcification. * **Marfan Syndrome (Option B):** This is a connective tissue disorder caused by *FBN1* mutations leading to cystic medial necrosis. It typically results in aortic root dilation and mitral valve prolapse (myxomatous degeneration), but not primary calcification of the aortic valve. **High-Yield Clinical Pearls for NEET-PG:** * **Syphilitic Aortitis:** Classically involves the **ascending aorta** (unlike atherosclerosis, which favors the abdominal aorta) [1]. * **Tree-barking appearance:** The gross appearance of the aortic intima in syphilis due to scarring. * **Cor Bovinum:** The massive cardiomegaly (cow’s heart) seen due to severe volume overload from syphilitic aortic regurgitation. * **Most common cause of Aortic Stenosis:** In patients >70 years, it is **Senile Calcific Aortic Stenosis** [2]; in younger patients, it is often a **Congenital Bicuspid Aortic Valve** [2]. **References:** [1] Kumar V, Abbas AK, et al.. Robbins and Cotran Pathologic Basis of Disease. 9th ed. Infectious Diseases, pp. 388-389. [2] Kumar V, Abbas AK, et al.. Robbins and Cotran Pathologic Basis of Disease. 9th ed. The Heart, pp. 562-564.
Explanation: **Explanation:** **Hemorrhagic pericarditis** is characterized by an inflammatory exudate composed of blood mixed with a fibrinous or suppurative effusion [1]. It is most commonly associated with conditions that cause direct vascular rupture or malignant erosion into the pericardial space [2]. **Why Constrictive Pericarditis is the Correct Answer:** Constrictive pericarditis is a chronic condition characterized by the replacement of the pericardial space by **dense, fibrous scar tissue**, often with calcification (forming a "bread-and-butter" or "plaster-mold" appearance) [3]. It is the end-stage result of previous inflammatory processes (like TB or viral pericarditis) rather than an acute hemorrhagic event [1]. It results in restricted diastolic filling but does not typically present with an acute bloody effusion. **Analysis of Incorrect Options:** * **Transmural Myocardial Infarction:** Can lead to hemorrhagic pericarditis either through localized fibrinous inflammation (Dressler syndrome) [4] or, more acutely, via **myocardial rupture** (usually 3–7 days post-MI), leading to hemopericardium. * **Dissecting Aneurysm of Aorta:** A proximal (Stanford Type A) dissection can rupture through the adventitia into the pericardial sac, causing rapid accumulation of blood and fatal cardiac tamponade [2]. * **Metastatic Disease:** Malignant infiltration (commonly from lung or breast cancer) erodes pericardial blood vessels, making it one of the most frequent causes of bloody pericardial effusions [1]. **High-Yield Clinical Pearls for NEET-PG:** * **Most common cause of Hemorrhagic Pericarditis:** Malignancy and Tuberculosis (TB) [1]. * **Most common cause of Constrictive Pericarditis:** In developing countries like India, it is **Tuberculosis** [1]; in developed countries, it is often idiopathic or post-viral. * **Key Sign:** Look for **Kussmaul’s sign** (paradoxical rise in JVP on inspiration) and a **pericardial knock** in cases of constrictive pericarditis. **References:** [1] Kumar V, Abbas AK, et al.. Robbins and Cotran Pathologic Basis of Disease. 9th ed. The Heart, pp. 581-583. [2] Kumar V, Abbas AK, et al.. Robbins and Cotran Pathologic Basis of Disease. 9th ed. Diseases of Infancy and Childhood, pp. 512-513. [3] Kumar V, Abbas AK, et al.. Robbins and Cotran Pathologic Basis of Disease. 9th ed. Inflammation and Repair, pp. 101-103. [4] Cross SS. Underwood's Pathology: A Clinical Approach. 6th ed. Common Clinical Problems From Cardiovascular Disease, pp. 297-298.
Congenital Heart Disease
Practice Questions
Ischemic Heart Disease
Practice Questions
Hypertensive Heart Disease
Practice Questions
Valvular Heart Disease
Practice Questions
Myocarditis and Cardiomyopathies
Practice Questions
Pericardial Disease
Practice Questions
Cardiac Tumors
Practice Questions
Heart Failure Pathophysiology
Practice Questions
Cardiac Transplantation Pathology
Practice Questions
Endocarditis
Practice Questions
Get full access to all questions, explanations, and performance tracking.
Start For Free