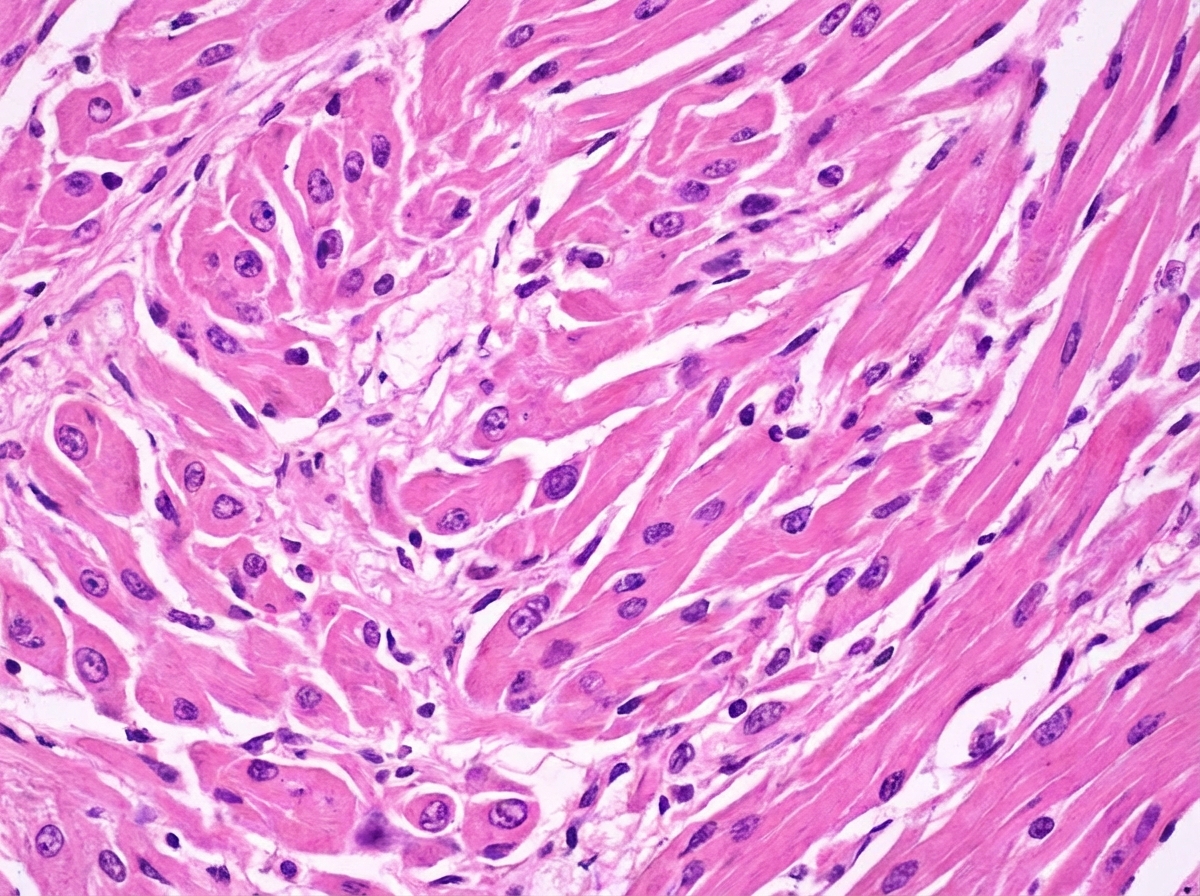
What type of cardiomyopathy is characterized by this arrangement of myofibrils?

All of the following statements regarding endocarditis are true, except:
What is the typical site of lesion in endocarditis of rheumatic heart disease?
Aschoff bodies in the myocardium are the hallmark of carditis associated with which condition?
Firm warty vegetations along the line of apposition of heart valves are present in which condition?
McCallum's patch is diagnostic of which condition?
A stenotic valve is removed from a 70-year-old man. The valve demonstrates hard nodular masses heaped up within the sinuses of Valsalva. On microscopic section, the acellular masses stain darkly blue with hematoxylin and eosin. Which of the following is the MOST significant constituent of the masses?
A patient developed an anterior wall myocardial infarction and died within 2 hours of symptom onset. An autopsy is being performed, and the involved myocardium is being observed under light microscopy. What pathological finding would be expected?
Aschoff's nodules are seen in which condition?
Non-sterile vegetations are seen in which of the following conditions?
Explanation: ***Hypertrophic cardiomyopathy*** - **Myofibrillar disarray** (chaotic, disorganized arrangement of cardiac myofibers) is the **pathognomonic histological hallmark** of hypertrophic cardiomyopathy. - This characteristic **disorganized pattern** distinguishes HCM from other cardiomyopathies and is essential for definitive diagnosis. *Dilated cardiomyopathy* - Shows **hypertrophy** and **fibrosis** but maintains **normal myofibrillar organization** without the characteristic disarray. - Histologically characterized by **enlarged chambers** with **thinned walls**, not disorganized myofibrils. *Constrictive cardiomyopathy* - This is not a recognized form of **primary cardiomyopathy** but rather refers to **constrictive pericarditis**. - **Pericardial thickening** and **calcification** are the main features, not myofibrillar changes. *Fibroelastic cardiomyopathy* - Also known as **endomyocardial fibrosis**, characterized by **subendocardial fibrosis** and **thickening**. - Shows **organized fibrotic tissue** deposition rather than **myofibrillar disarray** pattern.
Explanation: ### Explanation The correct answer is **C**, as it is a false statement. In **Infective Endocarditis (IE)**, vegetations typically occur on the **atrial surface of atrioventricular valves** (Mitral/Tricuspid) and the **ventricular surface of semilunar valves** (Aortic/Pulmonary). They are generally found on the line of closure on the surface exposed to the forward flow of blood. #### Why Option C is the Correct Choice (The False Statement): Vegetations occurring on **both surfaces** of the valve cusps (and even on the endocardium) is a hallmark of **Libman-Sacks Endocarditis** (associated with Systemic Lupus Erythematosus), not Infective Endocarditis [1]. #### Analysis of Other Options: * **Option A (True):** IE vegetations are characterized as **large, irregular, and friable** (easily crumbled) [1]. Their friability makes them highly prone to embolization, leading to systemic septic infarcts [2]. * **Option B (True):** **Non-Bacterial Thrombotic Endocarditis (NBTE)**, also known as marantic endocarditis, occurs in **References:** [1] Kumar V, Abbas AK, et al.. Robbins and Cotran Pathologic Basis of Disease. 9th ed. The Heart, pp. 568-570. [2] Cross SS. Underwood's Pathology: A Clinical Approach. 6th ed. Common Clinical Problems From Cardiovascular Disease, pp. 294-296.
Explanation: In Acute Rheumatic Fever (ARF), the endocardial involvement manifests as **Rheumatic Endocarditis**, characterized by the formation of small, sterile, friable vegetations called **verrucae**. [1] ### Why "Along the lines of closure" is correct: The vegetations in rheumatic heart disease are unique because they develop specifically at the **lines of closure** of the valve leaflets (on the atrial surface of AV valves and ventricular surface of semilunar valves). [1] This occurs because the inflammatory process makes the endocardium edematous and fragile; the repetitive mechanical trauma of the valves closing leads to focal endothelial loss, triggering the deposition of fibrin and platelets at these precise contact points. ### Explanation of Incorrect Options: * **B. Free margin of valves:** While the lines of closure are near the margins, they are not the "free edge" itself. Vegetations on the free margins are more characteristic of Infective Endocarditis (IE). [1] * **C. Both sides of valves:** This is the hallmark of **Libman-Sacks Endocarditis** (associated with SLE), where vegetations appear on both the upper and lower surfaces of the cusps. [1] * **D. Valve cusps:** This is too non-specific. While the lesion is on the cusp, the NEET-PG examiner looks for the specific anatomical location (lines of closure). ### High-Yield Clinical Pearls for NEET-PG: * **Morphology:** Rheumatic verrucae are 1–2 mm, small, firm, sterile, and non-destructive (unlike the large, friable, destructive vegetations of Infective Endocarditis). [1] * **Valve Frequency:** Mitral > Aortic > Tricuspid > Pulmonary (MATP). * **MacCallum’s Patch:** An area of endocardial thickening usually found in the **posterior wall of the left atrium**, caused by regurgitant jets. * **Pathognomonic Feature:** The presence of **Aschoff bodies** (containing Anitschkow "caterpillar" cells) in the myocardium. **References:** [1] Kumar V, Abbas AK, et al.. Robbins and Cotran Pathologic Basis of Disease. 9th ed. The Heart, p. 568.
Explanation: **Explanation:** **Aschoff bodies** are the pathognomonic histological hallmark of **Acute Rheumatic Fever (ARF)** [2]. They represent areas of focal interstitial inflammation found in all three layers of the heart (pancarditis), though they are most characteristic in the myocardium. 1. **Why Rheumatic Fever is correct:** ARF is an immunologically mediated multisystem disease following a Group A Streptococcal infection [2]. Aschoff bodies consist of a central focus of fibrinoid necrosis surrounded by chronic inflammatory cells (lymphocytes, plasma cells) and characteristic **Anitschkow cells** (caterpillar cells)—modified macrophages with wavy, ribbon-like chromatin [1], [2]. Over time, these bodies fibrose to form small scars. 2. **Why other options are incorrect:** * **Infective Endocarditis:** Characterized by "vegetations" (friable masses of fibrin, platelets, and microorganisms) on heart valves, not granulomatous Aschoff bodies [3]. * **Rheumatoid Arthritis:** Can cause fibrinous pericarditis or rheumatoid nodules, but these are histologically distinct from Aschoff bodies. * **Systemic Lupus Erythematosus (SLE):** Associated with **Libman-Sacks endocarditis**, characterized by small, sterile vegetations on both sides of the valves, and "hematoxylin bodies" in tissues, but not Aschoff bodies [4]. **High-Yield Pearls for NEET-PG:** * **Anitschkow Cells:** If the nucleus is seen in cross-section, it is called an **"Owl-eye cell."** * **MacCallum Patch:** A subendocardial thickening, usually in the left atrium, caused by regurgitant jets in ARF. * **Jones Criteria:** Used for clinical diagnosis of ARF (Major: Joint, Carditis, Nodules, Erythema marginatum, Sydenham chorea). * **Chronic Rheumatic Heart Disease:** Characterized by "fish-mouth" or "button-hole" stenosis of the mitral valve [1]. **References:** [1] Kumar V, Abbas AK, et al.. Robbins and Cotran Pathologic Basis of Disease. 9th ed. The Heart, pp. 566-567. [2] Kumar V, Abbas AK, et al.. Robbins and Cotran Pathologic Basis of Disease. 9th ed. The Heart, p. 566. [3] Kumar V, Abbas AK, et al.. Robbins and Cotran Pathologic Basis of Disease. 9th ed. The Heart, p. 568. [4] Kumar V, Abbas AK, et al.. Robbins and Cotran Pathologic Basis of Disease. 9th ed. Diseases of the Immune System, pp. 232-233.
Explanation: ### Explanation The correct answer is **Rheumatic Heart Disease (RHD)**. #### 1. Why Rheumatic Heart Disease is Correct In Acute Rheumatic Fever, pancarditis occurs. The endocardial involvement leads to the formation of **verrucae** (vegetations). These are characteristically **small (1–2 mm), firm, sterile, and friable**. Crucially, they are arranged in a continuous row **along the line of closure (apposition)** of the valve leaflets [1]. This location is due to the mechanical trauma at the point where leaflets meet, which overlying the inflamed endocardium leads to fibrin deposition. #### 2. Why Other Options are Incorrect * **NBTE (Non-Bacterial Thrombotic Endocarditis):** These vegetations are also sterile and occur along the line of closure, but they are typically **larger** than RHD verrucae and occur in hypercoagulable states (e.g., Trousseau syndrome) [1]. They are loosely attached and prone to embolization. * **Bacterial Endocarditis:** These vegetations are **large, bulky, irregular, and highly friable** [1]. They often cause significant valvular destruction (perforation) and are not restricted to the line of closure. * **Libman-Sacks Endocarditis (SLE):** These are small, sterile vegetations that are unique because they occur on **both sides of the valve leaflets** (undersurface/chordae), not just the line of closure [1], [2]. #### 3. NEET-PG High-Yield Pearls * **Most common valve involved in RHD:** Mitral valve (followed by Aortic). * **Microscopic Hallmark:** **Aschoff bodies** (containing Anitschkow "caterpillar" cells) [1]. * **Macroscopic Hallmark:** **MacCallum patches** (subendocardial thickenings, usually in the left atrium). * **Chronic RHD:** Characterized by "fish-mouth" or "buttonhole" stenosis due to commissural fusion [1]. **References:** [1] Kumar V, Abbas AK, et al.. Robbins and Cotran Pathologic Basis of Disease. 9th ed. The Heart, p. 568. [2] Kumar V, Abbas AK, et al.. Robbins and Cotran Pathologic Basis of Disease. 9th ed. The Heart, p. 570.
Explanation: **Explanation:** **MacCallum’s patch** is a characteristic lesion pathonomonic for **Acute Rheumatic Carditis**. It presents as a map-like, thickened, and wrinkled area of the endocardium, typically located in the **posterior wall of the left atrium**, just above the posterior leaflet of the mitral valve [1]. The underlying mechanism involves subendocardial inflammation (endocarditis) caused by the regurgitant jet of blood hitting the atrial wall (due to mitral valve involvement) and the inflammatory process itself. Histologically, these patches contain **Aschoff bodies**, which are the hallmark granulomatous lesions of Rheumatic Heart Disease [1]. **Analysis of Incorrect Options:** * **Infective Endocarditis:** Characterized by "vegetations" (friable, bulky thrombi) on valve leaflets, not endocardial patches [2]. * **Myocardial Infarction:** Presents with coagulative necrosis and subsequent scarring (fibrosis) of the myocardium, typically involving the ventricles rather than the atrial endocardium. * **Tetralogy of Fallot (ToF):** A congenital cyanotic heart disease characterized by four structural defects (VSD, Overriding aorta, Pulmonary stenosis, RVH); it does not feature MacCallum’s patches. **High-Yield Clinical Pearls for NEET-PG:** * **Location:** Most common in the **Left Atrium** (Posterior wall). * **Aschoff Bodies:** The pathognomonic microscopic feature of Rheumatic Fever, consisting of Anitschkow cells ("caterpillar cells") [1]. * **Pancarditis:** Rheumatic fever affects all three layers (Endocardium, Myocardium, Pericardium) [1]. * **Bread and Butter Pericarditis:** Refers to the fibrinous pericarditis seen in Rheumatic Heart Disease. **References:** [1] Kumar V, Abbas AK, et al.. Robbins and Cotran Pathologic Basis of Disease. 9th ed. The Heart, pp. 566-567. [2] Kumar V, Abbas AK, et al.. Robbins and Cotran Pathologic Basis of Disease. 9th ed. The Heart, p. 568.
Explanation: ### Explanation The clinical presentation describes **Calcific Aortic Stenosis**, the most common cause of aortic stenosis in the elderly [1]. The "nodular masses heaped up within the sinuses of Valsalva" are characteristic of **Dystrophic Calcification** [1]. **1. Why Calcium Phosphate is Correct:** Dystrophic calcification occurs in damaged, necrotic, or aging tissues despite **normal** serum calcium levels [2]. In the heart valves, chronic mechanical stress leads to valvular injury and lipid accumulation, triggering a process similar to bone formation. The mineral deposits primarily consist of **crystalline calcium phosphate**, specifically in the form of **hydroxyapatite** ($Ca_{10}(PO_4)_6(OH)_2$) [2]. On H&E stain, these deposits appear intensely basophilic (dark blue) and acellular. **2. Why the Other Options are Incorrect:** * **A. Calcium oxalates:** These are typically associated with renal stones or ethylene glycol poisoning. They are not the primary constituent of vascular or valvular calcification. * **C. Complexed iron:** While iron can deposit in tissues (hemosiderosis/hemochromatosis), it appears as golden-brown granules on H&E and requires a Prussian Blue stain for confirmation. It does not form hard, nodular masses in valves. * **D. Magnesium phosphates:** While trace amounts of magnesium may be present in minerals, the predominant inorganic constituent of human pathologic calcification is calcium phosphate. **3. High-Yield NEET-PG Pearls:** * **Dystrophic Calcification:** Normal serum calcium; occurs in necrotic tissue (e.g., caseous necrosis in TB, Atherosclerosis, Psammoma bodies). * **Metastatic Calcification:** Elevated serum calcium (Hypercalcemia); occurs in normal tissues (primarily lungs, kidneys, and gastric mucosa due to alkaline pH) [2]. * **Morphology:** Both types appear as "gritty" white granules macroscopically and basophilic (blue) deposits microscopically [2]. * **Aortic Stenosis Triad:** Dyspnea, Angina, and Syncope (SAD). **References:** [1] Kumar V, Abbas AK, et al.. Robbins and Cotran Pathologic Basis of Disease. 9th ed. The Heart, pp. 562-564. [2] Kumar V, Abbas AK, et al.. Robbins and Cotran Pathologic Basis of Disease. 9th ed. Cellular Responses to Stress and Toxic Insults: Adaptation, Injury, and Death, pp. 76-77.
Explanation: **Explanation:** The correct answer is **Waviness of myocyte fibers at the border**. This finding represents the earliest histological change in myocardial infarction (MI), typically occurring within **0.5 to 4 hours** of ischemia [1]. **1. Why Option C is correct:** When a portion of the myocardium becomes ischemic and loses its ability to contract, the surrounding viable muscle continues to pull on the non-contractile, dead fibers. This mechanical stretching causes the necrotic myocytes to become thin, elongated, and "wavy." This is a high-yield microscopic hallmark of the very early phase of MI (0–4 hours) [1]. **2. Why the other options are incorrect:** * **Option A (Beginning of coagulation necrosis):** While the process starts early, classic features of coagulation necrosis (pyknosis, karyorrhexis, and increased eosinophilia) are usually not clearly visible under light microscopy until **4 to 12 hours** post-infarction [1]. * **Option B (Neutrophilic infiltration):** Neutrophils begin to appear at the margins of the infarct between **12 to 24 hours**, peaking at 1–3 days [1]. * **Option D (Phagocytosis):** Macrophages arrive to clear dead cells and debris much later, typically between **3 to 7 days** post-MI [1]. **Clinical Pearls for NEET-PG:** * **0–30 mins:** No changes on light microscopy; reversible injury [3]. * **0.5–4 hours:** Waviness of fibers (earliest change) [1]. * **4–12 hours:** Early coagulation necrosis, edema, and hemorrhage [1]. * **12–24 hours:** Contraction band necrosis (due to reperfusion) and beginning of neutrophilic infiltrate [1]. * **Gross finding at 2 hours:** Usually none. **Triphenyltetrazolium chloride (TTC) stain** can be used to identify the infarct (it remains unstained/pale, while viable tissue turns brick red) [2]. **References:** [1] Kumar V, Abbas AK, et al.. Robbins and Cotran Pathologic Basis of Disease. 9th ed. The Heart, p. 552. [2] Kumar V, Abbas AK, et al.. Robbins and Cotran Pathologic Basis of Disease. 9th ed. The Heart, pp. 552-554. [3] Kumar V, Abbas AK, et al.. Robbins and Cotran Pathologic Basis of Disease. 9th ed. The Heart, pp. 548-550.
Explanation: **Explanation:** **Aschoff bodies (or nodules)** are the pathognomonic histological hallmark of **Acute Rheumatic Fever (ARF)** [1]. They represent areas of focal interstitial inflammation found in all three layers of the heart (pancarditis). **Why Rheumatic Carditis is correct:** Aschoff bodies evolve through three stages: 1. **Exudative stage:** Early fibrinoid degeneration of collagen. 2. **Proliferative (Granulomatous) stage:** Characterized by the presence of **Anitschkow cells** (caterpillar cells)—modified macrophages with wavy, ribbon-like chromatin [1]. When these cells become multinucleated, they are called **Aschoff giant cells**. 3. **Healed stage:** Replacement by fibrous scars. **Why other options are incorrect:** * **Subacute Bacterial Endocarditis (SBE):** Characterized by large, irregular masses (vegetations) on the valve cusps that can extend onto the chordae [2]. Histology shows fibrin, inflammatory cells, and bacterial colonies, not Aschoff nodules. * **Libman-Sacks Endocarditis:** Associated with **SLE**. It features small or medium-sized vegetations on either or both sides of the valve leaflets [2]. * **Non-Bacterial Thrombotic Endocarditis (NBTE):** Seen in wasting diseases (Marantic endocarditis). It involves small, bland thrombi along the lines of closure [2], typically due to hypercoagulable states. **High-Yield Pearls for NEET-PG:** * **Anitschkow cells** are the most characteristic component of the Aschoff body [1]. * **MacCallum patch:** A map-like area of subendocardial thickening, usually in the left atrium, caused by regurgitant jets in Rheumatic Heart Disease. * **Jones Criteria:** Used for clinical diagnosis of ARF (Major: Joint, Carditis, Nodules, Erythema marginatum, Sydenham chorea). * **Molecular Mimicry:** The underlying mechanism where antibodies against Group A Streptococcal M-protein cross-react with cardiac myosin [1]. **References:** [1] Kumar V, Abbas AK, et al.. Robbins and Cotran Pathologic Basis of Disease. 9th ed. The Heart, pp. 566-567. [2] Kumar V, Abbas AK, et al.. Robbins and Cotran Pathologic Basis of Disease. 9th ed. The Heart, p. 568.
Explanation: **Explanation:** The core concept distinguishing types of endocarditis is the presence or absence of microorganisms within the vegetations. **Correct Answer: B. Infective Endocarditis** Infective endocarditis (IE) is characterized by **non-sterile** vegetations [1]. These are bulky, friable, and destructive lesions composed of fibrin, inflammatory cells, and, most importantly, **colonies of bacteria or fungi** [2]. Because these vegetations contain live pathogens, they are the only ones among the options that are inherently non-sterile [3]. **Analysis of Incorrect Options:** * **A. Rheumatic Fever:** Vegetations (verrucae) are small, sterile, and occur along the lines of closure of the valves [1]. They result from an inflammatory reaction (Type II hypersensitivity), not direct infection. * **C. Non-bacterial Thrombotic Endocarditis (NBTE):** As the name implies, these are sterile thrombi consisting of fibrin and platelets [1]. They typically occur in "wasting" states (Marantic endocarditis) or advanced malignancies. * **D. Libman-Sacks Endocarditis:** These are sterile, small-to-medium-sized vegetations associated with Systemic Lupus Erythematosus (SLE) [1]. They are unique because they can occur on both sides of the valve leaflets. **NEET-PG High-Yield Pearls:** 1. **Location:** Libman-Sacks is the only endocarditis that classically involves **both sides** of the valve (undersurface and chordae) [1]. 2. **Friability:** IE vegetations are the most friable and carry the highest risk of **septic embolization** [2]. 3. **Valve Involvement:** Mitral valve is most commonly affected in all types, except in IV drug users where the **Tricuspid valve** (S. aureus) is frequently involved [3]. 4. **Size:** NBTE and IE have larger vegetations, while Rheumatic Fever has the smallest (1-2 mm) [1]. **References:** [1] Kumar V, Abbas AK, et al.. Robbins and Cotran Pathologic Basis of Disease. 9th ed. The Heart, p. 568. [2] Kumar V, Abbas AK, et al.. Robbins and Cotran Pathologic Basis of Disease. 9th ed. The Heart, pp. 568-570. [3] Kumar V, Abbas AK, et al.. Robbins and Cotran Pathologic Basis of Disease. 9th ed. The Heart, pp. 567-568.
Congenital Heart Disease
Practice Questions
Ischemic Heart Disease
Practice Questions
Hypertensive Heart Disease
Practice Questions
Valvular Heart Disease
Practice Questions
Myocarditis and Cardiomyopathies
Practice Questions
Pericardial Disease
Practice Questions
Cardiac Tumors
Practice Questions
Heart Failure Pathophysiology
Practice Questions
Cardiac Transplantation Pathology
Practice Questions
Endocarditis
Practice Questions
Get full access to all questions, explanations, and performance tracking.
Start For Free