Keratocyst has all of the following features except?
Which of the following is characteristic of Osteogenesis imperfecta?
Which of the following has the strongest association with osteosarcoma?
An 8-year-old boy presents with progressive muscle weakness and walking difficulties. On examination, pseudohypertrophy of calf muscles was noted. Which of the following is true regarding this condition?
A patient presents with morning stiffness and tests positive for anti-CCP antibodies. Which of the following histological features is most characteristic of the underlying disease?
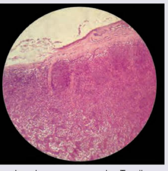
Identify the tissue

A 16-year-old boy presents with pain and swelling around the knee for 3 months. X-ray of the affected region is shown below. What is the most likely diagnosis?

Bone biopsy specimen is shown below. Diagnosis is:

The most common site for osteosarcoma is:
A 40-year-old female presents with an irregular 5 × 6 cm mass in the right breast. Histopathological examination reveals the image shown. What is the most likely diagnosis?

Explanation: **Explanation:** The **Odontogenic Keratocyst (OKC)** is a unique and aggressive developmental cyst derived from the dental lamina. The correct answer is **Option C** because OKCs are notorious for their **high recurrence rate** (ranging from 25% to 60%), rather than a low one. This high recurrence is attributed to the presence of "daughter cysts" or "satellite cysts" in the fibrous wall and the thin, friable nature of the epithelial lining, which makes complete surgical removal difficult. **Analysis of Options:** * **Option A:** OKCs are significantly **more common in the mandible** (60-80% of cases), particularly in the posterior body and ramus. * **Option B:** While the cyst lumen typically contains "cheesy" parakeratin, it may also be filled with **thin, straw-colored fluid** (transudate) or a clear liquid with low protein content (<4g/dL), which helps differentiate it from other cysts. * **Option D:** **Expansion of bone** is a common clinical finding. While OKCs tend to grow in an anteroposterior direction within the medullary cavity initially, larger lesions eventually cause cortical expansion and thinning. **High-Yield Clinical Pearls for NEET-PG:** * **Histology:** Characterized by a uniform 6–8 cell layer thick lining of parakeratinized stratified squamous epithelium with a **palisaded basal layer** (often described as "tombstone" appearance). * **Syndromic Association:** Multiple OKCs are a hallmark of **Gorlin-Goltz Syndrome** (Nevoid Basal Cell Carcinoma Syndrome), associated with *PTCH* gene mutations [1]. * **Radiology:** Appears as a well-defined unilocular or multilocular radiolucency. * **Treatment:** Due to high recurrence, aggressive treatment like Enucleation with **Carnoy’s solution** or Marsupialization is often required. **References:** [1] Kumar V, Abbas AK, et al.. Robbins and Cotran Pathologic Basis of Disease. 9th ed. The Skin, pp. 1157-1158.
Explanation: **Explanation:** **Osteogenesis Imperfecta (OI)**, also known as "Brittle Bone Disease," is a group of genetic disorders primarily caused by mutations in the **COL1A1 and COL1A2 genes**, leading to defective synthesis of **Type I collagen**. 1. **Why Option B is correct:** Blue sclera is a classic hallmark of OI [1]. The sclera appears blue because the underlying choroidal veins show through the abnormally thin collagen layer [1]. While highly characteristic and often considered a "textbook" pathognomonic sign in the context of brittle bones, it is most commonly seen in Type I (the mildest form). 2. **Why Option A is incorrect:** OI is typically inherited as an **Autosomal Dominant** trait (though some rare forms are recessive), not sex-linked. It affects all bones, not just those developing in cartilage. 3. **Why Option C is incorrect:** This is a tricky distractor. While OI **is** associated with hearing loss (due to otosclerosis or deformity of auditory ossicles), the question asks for the *most characteristic* feature. In many standardized formats, if a "pathognomonic" or "defining" physical sign is listed, it takes precedence. 4. **Why Option D is incorrect:** OI is associated with **Dentinogenesis imperfecta** (translucent, weak teeth), not Amelogenesis imperfecta (which affects enamel). **NEET-PG High-Yield Pearls:** * **Defect:** Type I Collagen (mnemonic: "Type **One** for B**one**"). * **Clinical Tetrad:** Fragile bones (multiple fractures), Blue sclera, Early-onset hearing loss, and Dentinogenesis imperfecta. * **Classification:** Sillence Classification (Type II is the most severe/lethal in utero; Type I is the most common). * **Radiology:** Look for "Wormian bones" on skull X-rays and "Codfish vertebrae" due to spinal compression fractures. **References:** [1] Cross SS. Underwood's Pathology: A Clinical Approach. 6th ed. Common Clinical Problems From Osteoarticular And Connective Tissue Disease, pp. 671-672.
Explanation: **Explanation:** The correct answer is **Retinoblastoma**. This association is rooted in the molecular genetics of the **RB1 gene**, located on chromosome **13q14** [1]. 1. **The RB1 Connection:** The RB1 gene is a tumor suppressor gene that regulates the G1-S checkpoint of the cell cycle [2]. Patients with the **hereditary (germline) form** of retinoblastoma have a "first hit" mutation in all somatic cells. If a "second hit" occurs in the bone, it leads to the development of osteosarcoma [3]. These patients have a **several hundred-fold increased risk** of developing osteosarcoma compared to the general population [4]. It is the most common secondary primary malignancy in survivors of hereditary retinoblastoma. **Incorrect Options:** * **Wilms tumor:** Associated with mutations in the WT1 gene (11p13). While part of syndromes like WAGR or Denys-Drash, it does not predispose to osteosarcoma. * **Rhabdomyosarcoma:** While both are mesenchymal tumors, there is no direct genetic link between the two, though both can rarely occur in Li-Fraumeni syndrome (TP53 mutation). * **Ewing’s tumor:** This is a distinct primary bone tumor characterized by the **t(11;22)** translocation. It does not increase the risk of osteosarcoma. **High-Yield Clinical Pearls for NEET-PG:** * **Genetic Associations:** Osteosarcoma is most commonly linked to **RB1** (Retinoblastoma) and **TP53** (Li-Fraumeni Syndrome). * **Bimodal Age Distribution:** 1st peak in adolescents (around the knee); 2nd peak in elderly (associated with Paget’s disease or radiation). * **Radiology:** Look for "Codman’s triangle" and "Sunburst appearance" [4]. * **Histology:** The hallmark is the production of **mineralized bone (osteoid)** by malignant stromal cells [4]. **References:** [1] Kumar V, Abbas AK, et al.. Robbins and Cotran Pathologic Basis of Disease. 9th ed. Neoplasia, p. 300. [2] Kumar V, Abbas AK, et al.. Robbins and Cotran Pathologic Basis of Disease. 9th ed. Neoplasia, pp. 297-298. [3] Kumar V, Abbas AK, et al.. Robbins and Cotran Pathologic Basis of Disease. 9th ed. Neoplasia, pp. 298-300. [4] Kumar V, Abbas AK, et al.. Robbins and Cotran Pathologic Basis of Disease. 9th ed. Bones, Joints, and Soft Tissue Tumors, pp. 1200-1202.
Explanation: ***Absent dystrophin***- Duchenne Muscular Dystrophy (DMD) is caused by mutations in the *DMD* gene located on the X-chromosome, leading to the complete or near-complete absence of the muscle stabilizing protein, **dystrophin** [1].- The resulting muscle fiber instability and necrosis cause the progressive weakness and **pseudohypertrophy** (replacement of muscle tissue with fat and connective tissue) observed in this young boy [1].*Abnormal collagen*- Abnormalities in collagen, such as Type I or V defects, are typically associated with disorders like **Osteogenesis Imperfecta** (brittle bone disease) or **Ehlers-Danlos Syndrome**, which involves skin and joint hyperlaxity [2].- Connective tissue disorders usually do not present with the characteristic **calf pseudohypertrophy** seen in DMD.*Expansions of CTG triplet repeats*- This genetic abnormality is the underlying cause of **Myotonic Dystrophy Type 1 (DM1)**, not DMD [3].- DM1 symptoms include **myotonia** (inability to quickly relax muscles), cataracts, frontal balding, and typically have a later or more variable onset pattern [4].*Defective fibrillin*- Defective **fibrillin-1** is the causative factor in **Marfan Syndrome**, an autosomal dominant disorder of connective tissue.- Marfan Syndrome primarily involves the skeletal, ocular (**ectopia lentis**), and cardiovascular systems (**aortic root dilation**), which is distinct from the primary myopathy seen in DMD. **References:** [1] Kumar V, Abbas AK, et al.. Robbins and Cotran Pathologic Basis of Disease. 9th ed. Peripheral Nerves and Skeletal Muscles, pp. 1244-1245. [2] Kumar V, Abbas AK, et al.. Robbins and Cotran Pathologic Basis of Disease. 9th ed. Genetic Disorders, pp. 154-155. [3] Cross SS. Underwood's Pathology: A Clinical Approach. 6th ed. Common Clinical Manifestations Of Central And Peripheral Nervous System Disease, pp. 732-733. [4] Kumar V, Abbas AK, et al.. Robbins and Cotran Pathologic Basis of Disease. 9th ed. Peripheral Nerves and Skeletal Muscles, pp. 1245-1246.
Explanation: ***Pannus formation and erosive joint damage*** - **Anti-CCP antibodies** along with morning stiffness heavily suggest **Rheumatoid Arthritis (RA)**, whose defining feature is the proliferation of hyperplastic synovial tissue known as the **pannus** [1]. - The **pannus** invades and destroys the adjacent articular cartilage and subchondral bone, leading to characteristic joint **erosions** [1] and deformities [3]. *Non-caseating granulomas* - These histological findings are characteristic of systemic inflammatory conditions such as **Sarcoidosis** or certain types of inflammatory bowel disease like **Crohn's disease**. - Granulomas are distinct structures involving epithelioid macrophages and do not represent the primary destructive pathology in RA [1]. *Subepidermal blister with IgA deposits* - This pathology is specific to the skin disease **Dermatitis Herpetiformis**, often associated with Celiac disease. - It involves IgA deposition in the dermal papillae, which is completely irrelevant to the underlying joint pathology of RA. *Tophi with monosodium urate crystals* - These structures are the histological hallmarks of chronic **Gout**, resulting from the deposition of precipitated **monosodium urate** crystals usually surrounded by foreign-body giant cells [2]. - Gouty arthritis is clinically and immunologically distinct from RA, lacking anti-CCP antibody positivity. **References:** [1] Cross SS. Underwood's Pathology: A Clinical Approach. 6th ed. Common Clinical Problems From Osteoarticular And Connective Tissue Disease, pp. 677-678. [2] Kumar V, Abbas AK, et al.. Robbins and Cotran Pathologic Basis of Disease. 9th ed. Bones, Joints, and Soft Tissue Tumors, pp. 1218-1220. [3] Kumar V, Abbas AK, et al.. Robbins and Cotran Pathologic Basis of Disease. 9th ed. Bones, Joints, and Soft Tissue Tumors, p. 1214.
Explanation: ***Tonsil*** - The presence of **crypts** (invaginations of the surface epithelium) and a prominent **germinal center** within the lymphoid follicles are characteristic features of the tonsil [1]. - Tonsils are part of Waldeyer's ring and function in immune surveillance of the oral cavity and pharynx. *Lymph node* - Lymph nodes typically have a **capsule**, a distinct **cortex** and **medulla**, and afferent/efferent lymphatic vessels. - They lack the prominent crypts seen in tonsils. *Spleen* - The spleen is characterized by distinct **red pulp** (involved in filtering blood) and **white pulp** (lymphoid tissue). - It does not have crypts or a similar architectural organization to the tonsil. *Thymus* - The thymus is characterized by a **cortex** and **medulla**, with the presence of **Hassall's corpuscles** in the medulla [2]. - It is primarily involved in T-cell maturation and lacks the lymphoid follicles with germinal centers and crypts seen in tonsils. **References:** [1] Cross SS. Underwood's Pathology: A Clinical Approach. 6th ed. Common Clinical Problems From Diseases Of The Urinary And Male Genital Tracts, pp. 552-553. [2] Kumar V, Abbas AK, et al.. Robbins and Cotran Pathologic Basis of Disease. 9th ed. Diseases of White Blood Cells, Lymph Nodes, Spleen, and Thymus, p. 634.
Explanation: ***Osteosarcoma*** - **Osteosarcoma** is the most common primary malignant bone tumor, typically affecting the **metaphysis** of long bones in adolescents and young adults [1,2]. - Radiographically, it often presents with a **sunburst appearance** or **Codman's triangle** due to periosteal reaction [1]. *Ewing's sarcoma* - **Ewing's sarcoma** is a malignant small round blue cell tumor, often presenting with an **onion-skin appearance** on X-ray due to lamellated periosteal reaction [3]. - It commonly affects the **diaphysis** of long bones and flat bones, and is associated with the **t(11;22) translocation** [3]. *Giant cell tumor* - **Giant cell tumor** is a benign but locally aggressive tumor, typically found in the **epiphysis** of long bones, especially around the knee [4]. - It is characterized by numerous **osteoclast-like giant cells** and has a characteristic **soap-bubble appearance** on imaging [4]. *Enchondroma* - **Enchondroma** is a benign cartilaginous tumor that arises within the **medullary cavity** of bone, most commonly in the small bones of the hands and feet [3]. - It is typically asymptomatic and discovered incidentally, often appearing as a **well-circumscribed lucent lesion** with calcifications [3]. **References:** [1] Kumar V, Abbas AK, et al.. Robbins and Cotran Pathologic Basis of Disease. 9th ed. Bones, Joints, and Soft Tissue Tumors, pp. 1200-1202. [2] Cross SS. Underwood's Pathology: A Clinical Approach. 6th ed. Common Clinical Problems From Osteoarticular And Connective Tissue Disease, pp. 673-674. [3] Cross SS. Underwood's Pathology: A Clinical Approach. 6th ed. Common Clinical Problems From Osteoarticular And Connective Tissue Disease, pp. 671-672. [4] Kumar V, Abbas AK, et al.. Robbins and Cotran Pathologic Basis of Disease. 9th ed. Bones, Joints, and Soft Tissue Tumors, pp. 1205-1206.
Explanation: ***Paget's disease*** - The image shows a **mosaic pattern of woven and lamellar bone**, with prominent **cement lines** (dark wavy lines). This disorganized bone remodeling is characteristic of Paget's disease. - Paget's disease involves excessive and disorganized bone turnover, leading to structurally abnormal and weakened bone. *Osteomalacia* - Characterized by **deficient mineralization of osteoid**, leading to accumulation of unmineralized matrix. - Histologically, this would present as wide, unmineralized osteoid seams, which are not seen in the image. *Osteoporosis* - Defined by a **reduction in bone mass** and microarchitectural deterioration, leading to increased fracture risk. - Histologically, osteoporosis would show **thinner trabeculae** and **larger marrow spaces**, but the bone itself would be normally mineralized, lacking the disorganized mosaic pattern. *Osteosclerosis* - Refers to an **increase in bone density**, often due to increased bone formation or decreased bone resorption. - While Paget's disease can lead to increased bone density in affected areas, osteosclerosis as a primary diagnosis would typically involve uniformly dense, often thickened bone without the classic mosaic pattern seen here.
Explanation: ***Distal femur*** - The **distal femur** is the most frequent site of involvement for **osteosarcoma**, accounting for approximately 40% of all cases [1]. - This region, along with the proximal tibia and proximal humerus, constitutes the most common locations for this primary malignant bone tumor [1]. *Proximal humerus* - While the **proximal humerus** is a common site for osteosarcoma, it is less frequent than the distal femur [1]. - It ranks third in incidence after the distal femur and proximal tibia [1]. *Proximal femur* - The **proximal femur** can be affected by osteosarcoma, but it is a relatively less common site compared to the distal femur. - Osteosarcomas tend to occur around the **growth plates** of long bones [1]. *Distal humerus* - The **distal humerus** is an uncommon site for the development of osteosarcoma. - It is much less frequently involved than the other major long bone metaphyses. **References:** [1] Kumar V, Abbas AK, et al.. Robbins and Cotran Pathologic Basis of Disease. 9th ed. Bones, Joints, and Soft Tissue Tumors, pp. 1200-1202.
Explanation: ***Phyllodes tumor*** - The image demonstrates a characteristic **leaf-like or cleft-like stromal growth pattern** often seen in phyllodes tumors [1]. The stroma is cellular and appears to project into ductal spaces, leading to the formation of slit-like spaces [1]. - Phyllodes tumors are typically **large (5 cm or more)**, firm, and solitary, with a rapid growth rate, consistent with the described 5×6 cm mass [1]. - They show a **biphasic pattern** with both epithelial and stromal components, where the stromal component predominates [1]. *Fibroadenoma* - While fibroadenomas are biphasic like phyllodes tumors, they usually present with a more uniform, less cellular stroma and less pronounced epithelial-stromal clefting [1]. - Fibroadenomas also do not typically grow as large as 5-6 cm with such aggressive stromal patterns in a 40-year-old. - The stroma in fibroadenoma is less cellular and lacks the leaf-like architecture [1]. *Invasive ductal carcinoma* - Invasive ductal carcinoma would show **infiltrating cords, nests, or tubules of malignant epithelial cells** invading through the stroma with associated desmoplasia [2]. - The biphasic leaf-like architecture with stromal fronds protruding into epithelial-lined spaces is not characteristic of carcinoma. - While it can present as a large irregular mass, the histological pattern is distinctly different from the image shown [2]. *Intraductal papilloma* - Intraductal papilloma presents with **arborizing fibrovascular cores lined by epithelial cells** within dilated ducts, typically near the nipple. - They are usually small (a few millimeters to 2-3 cm) and do not typically present as large 5-6 cm masses. - The prominent stromal overgrowth with leaf-like pattern seen in the image is not characteristic of papilloma. **References:** [1] Kumar V, Abbas AK, et al.. Robbins and Cotran Pathologic Basis of Disease. 9th ed. The Breast, pp. 1072-1074. [2] Kumar V, Abbas AK, et al.. Robbins and Cotran Pathologic Basis of Disease. 9th ed. The Breast, pp. 1066-1068.
Bone Development and Growth
Practice Questions
Fracture Healing
Practice Questions
Osteomyelitis and Infectious Diseases
Practice Questions
Metabolic Bone Diseases
Practice Questions
Bone Tumors and Tumor-like Lesions
Practice Questions
Joints and Rheumatologic Diseases
Practice Questions
Soft Tissue Tumors
Practice Questions
Muscular Dystrophies and Myopathies
Practice Questions
Diseases of Tendons and Fascia
Practice Questions
Pathology of Orthopedic Implants
Practice Questions
Get full access to all questions, explanations, and performance tracking.
Start For Free