Which of the following movements is restricted in Perthes disease?
Which of the following sites is least commonly involved in arthrogryposis?
An afebrile, obese 14-year-old boy has developed pain at the right knee and a limp. What is the most likely diagnosis?
What is a greenstick fracture?
Von-Rosen's sign is positive in which condition?
Which of the following is true about developmental dysplasia of the hip (DDH)?
In a child with a cavovarus foot deformity, the standing lateral block test assesses the flexibility of which structure?
All of the following statements about Sprengel's deformity are false, except:
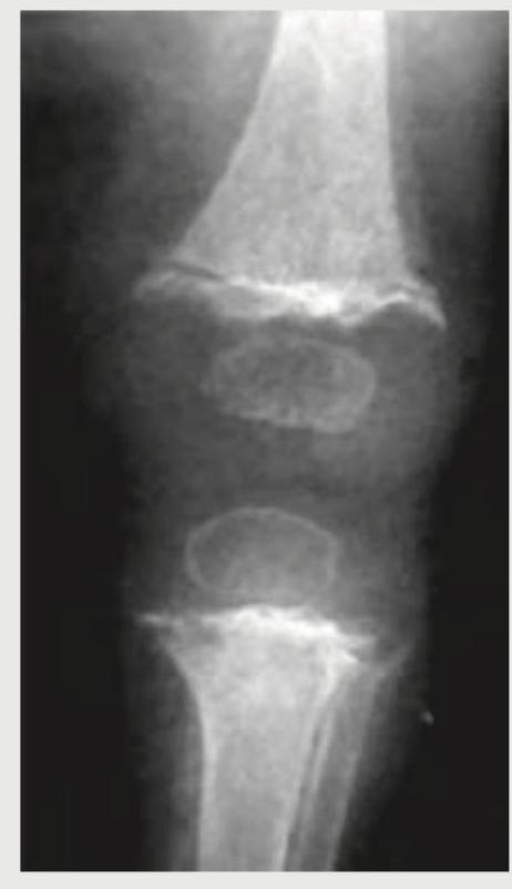
A 12-year-old boy presents with chronic knee pain for 2 years. A knee X-ray is shown. What is the probable diagnosis?

What is the best management for a fracture of the neck of the femur in a child?
Explanation: ### Explanation **Legg-Calvé-Perthes Disease (LCPD)** is an idiopathic avascular necrosis of the capital femoral epiphysis, typically seen in boys aged 4–8 years. The restriction of specific movements is a hallmark clinical finding used to differentiate it from other hip pathologies. #### 1. Why Abduction and Internal Rotation are restricted: In Perthes disease, the femoral head undergoes necrosis, collapse, and subsequent flattening (**coxa plana**). This deformity leads to a loss of sphericity. * **Abduction** is restricted because the flattened, enlarged femoral head (coxa magna) impinges against the acetabular rim (lateral pillar). * **Internal Rotation** is restricted due to muscle spasms (primarily of the adductors and psoas) and the mechanical incongruity between the deformed femoral head and the acetabulum. This is often the earliest sign of the disease. #### 2. Analysis of Incorrect Options: * **A & C (Adduction):** Adduction is rarely restricted in hip joint pathologies; in fact, the hip often assumes an adducted and externally rotated position to accommodate the joint effusion and minimize intra-articular pressure. * **B (External Rotation):** In Perthes, external rotation is usually preserved or may even appear increased as a compensatory mechanism for the loss of internal rotation. #### 3. Clinical Pearls for NEET-PG: * **Classic Presentation:** A painless (or mildly painful) limp in a young boy. * **Gage’s Sign:** A V-shaped lucency on the lateral side of the epiphysis (a "Head at Risk" sign). * **Catterall Classification:** Based on the extent of head involvement (Groups I-IV). * **Herring Classification:** Based on the integrity of the **Lateral Pillar** (most prognostic). * **Management Principle:** The goal is **"Containment"**—keeping the femoral head within the acetabulum (using braces or osteotomy) so it molds into a spherical shape during the revascularization phase.
Explanation: **Explanation:** **Arthrogryposis Multiplex Congenita (AMC)** is a clinical syndrome characterized by non-progressive, multiple joint contractures present at birth. The underlying pathophysiology involves **fetal akinesia** (decreased fetal movement), which leads to the replacement of muscle tissue with fibrous and fatty tissue. **Why Trunk is the Correct Answer:** AMC primarily affects the **appendicular skeleton** (limbs) rather than the axial skeleton. The contractures are typically symmetrical and involve the distal joints more severely than the proximal ones. The **trunk (spine)** is the **least commonly involved** site; while scoliosis can occur in about 20-30% of cases as the child grows, it is not a primary feature of the classic "amyoplasia" type of arthrogryposis, unlike the limb joints which are involved in almost 100% of cases. **Analysis of Incorrect Options:** * **Knee:** Very commonly involved, often presenting as fixed extension contractures or occasionally flexion contractures with pterygium (skin webbing). * **Hip:** Frequently affected, often presenting with dislocations or fixed flexion/abduction/external rotation deformities. * **Elbow:** A hallmark site, typically presenting with fixed extension deformities (the "waiter's tip" position when combined with wrist flexion). **Clinical Pearls for NEET-PG:** * **Classic Presentation:** "Wooden doll" appearance with featureless, tubular limbs, absent skin creases, and rigid joints. * **Most Common Type:** **Amyoplasia** (sporadic occurrence). * **Typical Limb Position:** Shoulders adducted/internally rotated, elbows extended, wrists flexed (volar/ulnar deviation), and **Clubfoot (Talipes Equinovarus)**, which is the most common foot deformity. * **Intelligence:** Children with AMC usually have **normal intelligence** and sensation. * **Management:** Early aggressive physical therapy and serial casting (Ponseti method for feet) are the mainstays of treatment.
Explanation: ### Explanation **Slipped Capital Femoral Epiphysis (SCFE)** is the most likely diagnosis based on the classic triad presented: **obesity, adolescent age (10–16 years), and referred knee pain.** #### 1. Why the Correct Answer is Right SCFE involves the displacement of the femoral neck (metaphysis) anteriorly and superiorly relative to the femoral head (epiphysis) through the physis. * **Demographics:** It typically affects obese adolescent boys during the pubertal growth spurt. * **Clinical Presentation:** Patients present with an antalgic limp and pain. Crucially, in 15–30% of cases, the pain is **referred to the knee** via the obturator nerve, often leading to a delayed diagnosis. * **Physical Exam:** A hallmark sign is **obligate external rotation** (the hip externally rotates automatically when flexed). #### 2. Why Other Options are Wrong * **Legg-Calvé-Perthes Disease:** This is avascular necrosis of the femoral head. It typically affects younger children (ages 4–8) who are usually of small stature, not obese adolescents. * **Septic Arthritis/Osteomyelitis:** These are inflammatory/infectious conditions. The patient in the vignette is **afebrile**, making an infectious etiology highly unlikely. Septic arthritis would also present with an acute inability to bear weight and severe systemic distress. #### 3. High-Yield Pearls for NEET-PG * **Radiology:** The earliest sign is "Pre-slip" (widening of physis). On AP view, **Trethowan’s Sign** is seen (Klein’s line fails to intersect the femoral head). * **Classification:** Loder’s classification (Stable vs. Unstable) is the best predictor of prognosis (risk of AVN). * **Management:** The treatment of choice is **In-situ single screw fixation**. * **Associated Conditions:** If SCFE occurs in a non-obese child or outside the typical age range, screen for endocrine disorders like **hypothyroidism** or growth hormone deficiency.
Explanation: A **Greenstick fracture** is a classic pediatric injury named after the analogy of breaking a young, moist branch (a "green stick") which splinters on one side but stays connected on the other. ### Why Option A is Correct In children, bones are more porous, less mineralized, and have a thick, active **periosteum**. When a bending force is applied, the bone undergoes failure on the **tension side** (the convex side), resulting in a break. However, the **compression side** (the concave side) undergoes plastic deformation (bending) but remains intact. This results in an **incomplete fracture**. ### Why Other Options are Incorrect * **Option B & D:** These describe **complete fractures**. In a greenstick fracture, the bone does not break through the entire cross-section; the intact cortex on the compression side provides inherent stability. * **Option C:** While greenstick fractures involve bending, they are typically transverse or oblique on the tension side. A **spiral fracture** is a complete fracture caused by rotational (torsional) forces, not simple bending. ### High-Yield NEET-PG Pearls * **Management:** These fractures often require "completing the fracture" (breaking the intact cortex) during reduction to prevent the elastic recoil of the bone from causing a deformity recurrence in the cast. * **Plastic Deformation:** A related concept where the bone bows without any visible cortical disruption on X-ray. * **Torus (Buckle) Fracture:** Another pediatric incomplete fracture where the cortex "buckles" under axial loading, usually at the metaphysis. * **Common Site:** Most frequently seen in the midshaft of the **radius and ulna**.
Explanation: **Explanation:** **Von-Rosen’s sign** is a clinical/radiological indicator used in the diagnosis of **Developmental Dysplasia of the Hip (DDH)**, specifically in neonates. 1. **Why DDH is correct:** In a normal hip, a line drawn up the shaft of the femur (with the hips abducted to 45° and internally rotated) points toward the lateral edge of the acetabulum and intersects the spine at the level of the lumbosacral junction. In DDH, because the femoral head is dislocated superiorly and laterally, the **Von-Rosen’s line** (prolongation of the femoral shaft axis) points above the acetabulum, usually intersecting the midline at a higher vertebral level (e.g., L4 or L5). 2. **Why other options are incorrect:** * **Perthes’ Disease:** This is avascular necrosis of the femoral head in children (typically ages 4–8). Clinical signs include the **Gage sign** (radiological) and limited internal rotation/abduction. * **SCFE (Slipped Capital Femoral Epiphysis):** This involves the displacement of the femoral epiphysis. Key signs include **Drehmann’s sign** (obligate external rotation during hip flexion) and **Trethowan’s sign** (on X-ray). * **CTEV (Clubfoot):** This is a foot deformity characterized by CAVE (Cavus, Adductus, Varus, Equinus). Diagnosis is clinical; radiological assessment uses the **Kite’s angle**. **High-Yield Clinical Pearls for NEET-PG:** * **Ortolani Maneuver:** Reduces a dislocated hip (clunk of entry). * **Barlow Maneuver:** Dislocates a lax hip (clunk of exit). * **Galeazzi Sign:** Apparent shortening of the femur (unequal knee heights). * **Trendelenburg Sign:** Positive in older children with untreated DDH due to abductor insufficiency. * **Investigation of Choice:** Ultrasound (USG) is preferred for infants <6 months; X-ray is used after 6 months once the femoral head ossifies.
Explanation: **Explanation:** Developmental Dysplasia of the Hip (DDH) encompasses a spectrum of disorders ranging from neonatal instability to complete dislocation. **Why Option B is Correct:** In older children with an unreduced hip dislocation, the femoral head is displaced superiorly and posteriorly. To compensate for this displacement and maintain stability during weight-bearing, the limb assumes a characteristic posture of **flexion, adduction, and internal rotation**. This is often associated with a positive Trendelenburg sign and a "waddling gait" if bilateral, or a "short-limb gait" if unilateral. **Analysis of Incorrect Options:** * **Option A:** Female gender is a significant risk factor (Female:Male ratio is approximately **6:1**), likely due to increased sensitivity to maternal relaxin. * **Option C:** In DDH, the femoral neck typically exhibits **increased anteversion**, not retroversion. The acetabulum is also shallow and anteverted. * **Option D:** The **ligamentum teres** is actually **hypertrophied** and elongated in DDH, often becoming a "pulvinar" (fatty tissue) that fills the acetabulum and hinders reduction. **High-Yield Clinical Pearls for NEET-PG:** * **Risk Factors:** First-born, Female, Foot-first (Breech presentation), and Family history (The "4 Fs"). * **Screening Tests:** **Barlow’s** (dislocates a stable hip) and **Ortolani’s** (reduces a dislocated hip). These are most reliable up to 2–3 months of age. * **Radiology:** **Von Rosen’s view** is the specific X-ray view. **Hilgenreiner’s line** and **Perkin’s line** are used to assess the position of the femoral head. * **Treatment:** **Pavlik harness** is the gold standard for infants <6 months. For older children (6–18 months), closed reduction and Spica casting are preferred.
Explanation: **Explanation:** The **Coleman Block Test** (standing lateral block test) is a clinical maneuver used to evaluate the flexibility of the **hindfoot (subtalar joint)** in patients with a cavovarus deformity. **1. Why Hindfoot is Correct:** In many cases of cavovarus foot (often seen in Charcot-Marie-Tooth disease), the primary deformity is a **plantar-flexed first ray (forefoot valgus)**. When the patient stands, this rigid forefoot forces the hindfoot into a compensatory varus position to maintain balance. By placing a block under the lateral aspect of the foot (unweighting the first ray), the clinician observes if the heel (hindfoot) corrects to a neutral or valgus position. * If the heel corrects: The hindfoot is **flexible**, and surgery should focus on the forefoot. * If the heel remains in varus: The hindfoot is **fixed/rigid**, and bony procedures (like a calcaneal osteotomy) are required. **2. Why Other Options are Incorrect:** * **Forefoot:** The test *uses* the forefoot's position to influence the hindfoot, but it specifically *assesses* the mobility of the subtalar joint (hindfoot). * **Ankle:** The ankle joint primarily allows dorsiflexion and plantarflexion; varus/valgus alignment is a function of the subtalar joint. * **Ankle and Hindfoot:** While the ankle is part of the foot complex, the block test is specific to the subtalar joint's ability to compensate for forefoot driven deformity. **Clinical Pearls for NEET-PG:** * **Primary Deformity:** In cavovarus, the "driver" is often the **Plantar-flexed 1st ray** (due to Peroneus Longus overactivity). * **Components of Cavovarus:** **C**avus (midfoot), **A**dduction (forefoot), **V**arus (hindfoot). * **Associated Condition:** Always screen for **Spinal Dysraphism** or **Charcot-Marie-Tooth (CMT)** in bilateral cases.
Explanation: **Sprengel’s Deformity** is a congenital condition characterized by the failure of the scapula to descend from its embryonic cervical position to its normal thoracic position. ### **Explanation of Options** * **Correct Answer (B): Ommovertebral bar present.** In approximately 30–50% of cases, an abnormal fibrous, cartilaginous, or osseous bridge called the **ommovertebral bone/bar** connects the superior angle of the scapula to the cervical spine (usually C4–C7). This restricts shoulder abduction and rotation. * **Option A (Dextrocardia):** This is not a classic association. Sprengel’s is more commonly associated with **Klippel-Feil Syndrome** (fused cervical vertebrae), scoliosis, and rib anomalies. * **Option C (Scapula diameter):** In this deformity, the scapula is actually **smaller in its vertical diameter** and **wider in its horizontal diameter**, appearing "short and fat." * **Option D (Congenital low scapula):** This is the opposite of the pathology. Sprengel’s is a **congenital high scapula**. ### **High-Yield Clinical Pearls for NEET-PG** * **Embryology:** The scapula normally descends from the level of C4 to T2–T7 by the 8th week of gestation. Failure of this descent results in the deformity. * **Clinical Presentation:** Patients present with a high, rotated scapula, restricted shoulder abduction, and a short neck. * **Associated Conditions:** Most common association is **Klippel-Feil Syndrome**. Also associated with syringomyelia and diastematomyelia. * **Treatment:** * Mild cases: Observation/Physical therapy. * Severe cases (functional/cosmetic): Surgical procedures like **Woodward’s** or **Green’s procedure** (aimed at relocating the scapula inferiorly). * **Radiology:** The ommovertebral bar is best visualized on a CT scan or lateral X-ray.
Explanation: ***Rickets*** - Classic X-ray findings include **metaphyseal cupping and fraying** at the growth plates, **widening of growth plates**, and **osteopenia**, which are characteristic of vitamin D deficiency in children. - Chronic knee pain in a **12-year-old** with these imaging changes strongly suggests rickets, as growth plates are still active at this age. *Chronic osteomyelitis* - Would show **bone destruction**, **sequestrum formation**, and **sclerotic changes** on X-ray, not the metaphyseal changes seen in rickets. - Typically presents with **fever**, **localized warmth**, and **acute onset** rather than chronic pain alone. *Osteosarcoma* - X-ray would demonstrate a **destructive bone lesion** with **sunburst pattern** or **Codman's triangle**, not metaphyseal cupping. - Usually presents as a **rapidly growing mass** with severe pain that worsens at night, unlike the chronic presentation described. *Hyperparathyroidism* - Causes **subperiosteal bone resorption** and **brown tumors** on X-ray, not the metaphyseal changes characteristic of rickets. - More commonly affects **adults** and presents with **hypercalcemia symptoms** like kidney stones and psychiatric symptoms.
Explanation: **Explanation:** Fractures of the femoral neck in children are orthopedic emergencies due to the precarious blood supply to the developing femoral head. The management strategy is primarily dictated by the **Delbet Classification**. **Why Option A is Correct:** For **undisplaced fractures** (Delbet Type II, III, and IV), the goal is to maintain alignment without invasive surgery. **Hip spica casting in abduction and internal rotation** is the treatment of choice as it stabilizes the fracture site and utilizes the "capsular tamponade" effect to minimize displacement. Abduction and internal rotation help in achieving the best anatomical fit of the femoral head within the acetabulum, providing stability during the healing process. **Why Other Options are Incorrect:** * **B. Traction:** While traction may be used as a temporary measure to reduce pain or muscle spasms before definitive treatment, it is not a definitive management for femoral neck fractures as it cannot provide the rigid immobilization required to prevent non-union or avascular necrosis (AVN). * **C. Open Reduction:** This is reserved for **displaced fractures** (Delbet Type I-IV) where closed reduction fails. In children, we prefer closed reduction and internal fixation (CRIF) first to avoid further vascular compromise associated with open surgery. * **D. Masterly Inactivity:** This is never appropriate for femoral neck fractures due to the extremely high risk of complications like AVN (up to 40%), coxa vara, and premature physeal closure. **NEET-PG High-Yield Pearls:** * **Delbet Classification:** Type I (Transepiphyseal), Type II (Transcervical - Most common), Type III (Cervicotrochanteric), Type IV (Intertrochanteric). * **Complications:** **Avascular Necrosis (AVN)** is the most common and dreaded complication. **Coxa Vara** is the most common deformity. * **Management Rule:** Displaced fractures in children require urgent anatomical reduction and internal fixation (usually with cannulated cancellous screws or K-wires depending on age).
Developmental Dysplasia of Hip
Practice Questions
Clubfoot
Practice Questions
Pediatric Fractures
Practice Questions
Growth Plate Injuries
Practice Questions
Legg-Calvé-Perthes Disease
Practice Questions
Slipped Capital Femoral Epiphysis
Practice Questions
Pediatric Spine Deformities
Practice Questions
Cerebral Palsy: Orthopaedic Aspects
Practice Questions
Neuromuscular Disorders in Children
Practice Questions
Pediatric Bone and Joint Infections
Practice Questions
Limb Length Discrepancies
Practice Questions
Orthopedic Manifestations of Genetic Disorders
Practice Questions
Get full access to all questions, explanations, and performance tracking.
Start For Free