The following gait is due to:

Comment on the diagnosis on the case presentation shown:

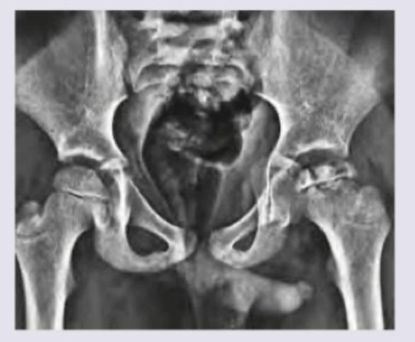
A 10-year-old obese boy has pain in the left groin after slipping during a basketball match 4 weeks back. On examination he has limitation of internal rotation. What does the given X-ray bilateral hip joint show?

The following medical condition is associated with all except:

What does X-ray pelvis show?

What does the image given below show?

A 3-year-old obese child presents with a leg deformity as shown. On work up, the plasma ascorbate levels are normal. Serum calcium, phosphate and serum alkaline phosphatase are normal. X-ray of bilateral knee joint is shown below. What is the diagnosis?

The clinical presentation of 9-year-old child is shown below. Work up for rickets showed normal serum calcium, phosphate and serum alkaline phosphatase. Surgery is performed if the intermalleolar distance exceeds \qquad .

A 5-year-old child presents with limp and pain in left thigh. The mother remarks that her child was always very active and was always running and jumping around, but has restricted activity for last 3 months. What does the given X-ray bilateral hip joint show?

A 10-year-old girl presents with severe back pain for last 4 weeks and deformity of spine. MRI spine was performed and is shown below. All are true about the condition image shown except:

Explanation: ***Bilateral congenital dysplasia of hip*** - The image shows a **waddling gait**, characterized by swaying from side to side, which is typical of **bilateral hip abductor muscle weakness**. This weakness often results from the femoral heads being poorly seated in the acetabulum, as seen in bilateral congenital dysplasia of the hip. - In this condition, the instability of both hips leads to an exaggerated side-to-side trunk movement during walking as the body attempts to maintain balance over the stance leg. *Coxa vara* - **Coxa vara** is a deformity where the angle between the head and shaft of the femur is decreased, leading to **shortening of the leg** and a **limp**. - While it can manifest as a Trendelenburg gait if unilateral, it typically does not present with the prominent bilateral waddling seen in the image. *Charcot-Marie-Tooth disease* - **Charcot-Marie-Tooth disease** is a neurological disorder affecting peripheral nerves, causing muscle weakness and atrophy, particularly in the lower legs and feet. - This often results in a **steppage gait** or **foot drop**, not the characteristic waddling gait depicted. *Bilateral coxa valgum* - **Coxa valga** is a deformity where the angle between the femoral head and shaft is increased. - This condition generally causes a **less stable hip joint** and potentially a slight limp, but does not typically lead to the pronounced waddling gait that is characteristic of severe bilateral hip abductor insufficiency.
Explanation: ***Sprengel's shoulder*** - The image shows an **elevated and abducted scapula**, which is characteristic of Sprengel's deformity. This is often associated with a short, webbed neck and restricted shoulder movement. - The elevated scapula is typically due to a failure of descent during embryonic development, and it may be connected to the cervical spine by an **omovertebral bone** or cartilaginous bar. *Klippel-Feil syndrome* - This syndrome is characterized by the **congenital fusion of two or more cervical vertebrae**, leading to a short neck, low hairline, and restricted neck movement. - While it can be associated with Sprengel's deformity, the primary feature in the image is the elevated scapula, not explicitly fused cervical vertebrae. *Winging of scapula* - **Scapular winging** occurs when the scapula protrudes posteriorly from the back, often due to weakness or paralysis of the serratus anterior muscle (long thoracic nerve palsy). - The image depicts an abnormally high and rotated scapula, not a posterior protrusion. *Madelung deformity* - This condition involves an abnormal growth of the **distal radius**, leading to volar and ulnar deviation of the wrist. - It affects the wrist and forearm, and is not related to the elevated shoulder and scapular abnormalities seen in the image.
Explanation: ***Slipped capital femoral epiphysis*** - The X-ray image (indicated by the arrow) shows **posterior and medial displacement of the capital femoral epiphysis** relative to the metaphysis, which is characteristic of SCFE. - The patient's age (10-year-old), obesity, groin pain, and **limitation of internal rotation** are classic clinical features of SCFE. *Developmental dysplasia of hip* - This condition involves abnormal development of the hip socket and femoral head, typically diagnosed in **infancy** or early childhood. - Radiographically, it presents as a **shallow acetabulum**, a small or abnormally positioned femoral head, and sometimes subluxation or dislocation, which are not seen here. *Septic arthritis* - Septic arthritis is an ** EMERGENCY** condition characterized by acute joint pain, swelling, warmth, and systemic signs of infection (fever, elevated inflammatory markers). - Radiographs may show **joint effusions** and eventually joint space narrowing and bone erosion, but not the specific epiphyseal displacement seen in the image. *TB hip joint* - **Tuberculosis of the hip joint** is a chronic infection that typically presents with gradual onset of pain, stiffness, and antalgic gait, often with systemic symptoms like weight loss and night sweats. - Radiographic features include **osteopenia**, joint space narrowing, and bony erosion, particularly in the weight-bearing areas, without the characteristic slip seen here.
Explanation: ***Charcot-Marie-Tooth disease*** - The image shows features of **caudal regression syndrome** or **agenesis of the distal sacrococcygeal spine**, characterized by abnormal development of the lower spine and limbs, usually associated with **diabetes mellitus**. - **Charcot-Marie-Tooth disease** is a hereditary neurological disorder affecting peripheral nerves, leading to muscle weakness and sensory loss, without directly causing the severe congenital spinal and limb malformations seen here. *Tethered cord syndrome* - **Tethered cord syndrome** can be associated with caudal regression syndrome, as the abnormal development of the spinal cord can lead to its tethering. - It involves the caudal portion of the spinal cord becoming abnormally fixed, often linked to **spina bifida** or other spinal dysraphisms. *Sacral agenesis* - **Sacral agenesis** is directly related to the image findings, as it refers to the congenital absence or malformation of the sacrum, which is characteristic of caudal regression syndrome. - This condition often results in severe neurological deficits in the lower limbs, bowel, and bladder, consistent with the observed limb deformities. *Arthrogryposis* - **Arthrogryposis** refers to congenital joint contractures, which can be a secondary manifestation of neurological or muscular problems, often seen in conditions like caudal regression syndrome due to fetal akinesia. - The limited movement caused by neurological deficits in conditions like sacral agenesis can lead to fixed joint deformities characteristic of arthrogryposis.
Explanation: ***Coxa Vara*** - The image clearly shows a **decreased angle between the neck and shaft of the femur** on the left side, indicated by the red lines, which is characteristic of coxa vara. - Specifically, this typically means the **neck-shaft angle is less than 120 degrees**, causing the femoral head to be lower relative to the greater trochanter. *Coxa Valgum* - This condition is characterized by an **increased angle** between the neck and shaft of the femur (typically greater than 135 degrees), which is the opposite of what is seen here. - In coxa valga, the femoral head is positioned **higher** relative to the greater trochanter. *TB hip* - Tuberculosis of the hip would typically show signs of **joint destruction, osteopenia, or abscess formation**, none of which are evident in this image. - While TB can cause bone deformities over time, the primary finding here is a specific angular deformity, not infectious changes. *Developmental dysplasia of the hip* - Developmental dysplasia of the hip (DDH) involves **abnormal development of the hip joint**, leading to instability or dislocation of the femoral head from the acetabulum. - Common radiographic signs of DDH include an **underdeveloped acetabulum**, a high-riding femoral head, or increased acetabular index, which are not the primary findings demonstrated by the marked lines in this X-ray.
Explanation: ***Congenital vertical talus*** - The clinical image shows a severe **rocker-bottom foot deformity** with a prominent talar head plantarly and a dorsiflexed foot. - The radiograph confirms the diagnosis by showing the **vertical position of the talus**, which is characteristic of this condition. *CTEV* - **CTEV (Congenital Talipes Equinovarus)**, or clubfoot, presents with a foot that is *plantarflexed, varus, adductus, and cavus*, which is distinctly different from the rocker-bottom foot seen. - The talus in CTEV is typically *plantarflexed*, not vertical, and the foot is *adducted* and *inverted*. *Calcaneovalgus foot* - A **calcaneovalgus foot** is characterized by excessive *dorsiflexion* and *eversion* of the foot, where the ankle is significantly bent upwards and outwards. - This condition is generally *flexible* and can often be corrected passively, unlike the rigid deformity seen in the image. *Spinal muscular atrophy* - **Spinal muscular atrophy (SMA)** is a *neuromuscular disorder* causing muscle weakness and atrophy, which can lead to foot deformities such as clubfoot or pes cavus. - However, SMA is a systemic condition, and the image specifically depicts a *structural foot deformity* that is congenital, not primarily a neuromuscular one, although severe foot deformities can occur secondary to SMA.
Explanation: ***Blount's disease*** - The image shows **bowing of the legs** (genu varum) in an obese 3-year-old child, along with X-ray findings consistent with **medial tibial growth plate disturbance**, which are classic features of Blount's disease. - The normal plasma ascorbate, serum calcium, phosphate, and alkaline phosphatase levels rule out other metabolic causes of bowed legs like rickets. *Congenital knee dislocation* - This condition involves an **abnormal position of the tibia relative to the femur** at birth, and typically presents with a severely hyperextended or dislocated knee joint, which would be evident immediately after birth. - The clinical presentation and X-ray findings of bowed legs are not characteristic of congenital knee dislocation. *Resistant rickets* - Rickets, including resistant forms, is primarily characterized by **defective mineralization of growing bone** often due to vitamin D deficiency or genetic defects in phosphate metabolism. - This would typically present with **abnormal serum calcium, phosphate, or alkaline phosphatase levels**, which are explicitly stated as normal in this case. *Albright hereditary osteodystrophy* - This is a complex genetic disorder associated with resistance to parathyroid hormone causing **short stature, brachydactyly**, and **ectopic ossification**, along with specific facial features. - It does not typically present with isolated bowing of the legs (genu varum) as the primary orthopaedic manifestation, and the imaging and lab findings do not support this diagnosis.
Explanation: ***10 cm*** - Surgical correction for **genu varum** (bowlegs), as shown in the image, is typically considered when the **intermalleolar distance** exceeds 10 cm in a child of this age group. - This threshold indicates a significant enough deformity to warrant operative intervention, especially when conservative measures like bracing have failed or if the child is older and growth plates are nearing closure. *5 cm* - An **intermalleolar distance** of 5 cm falls within the range often managed with close observation or non-surgical methods such as bracing, particularly in younger children. - This degree of bowing might be **physiological** or less severe, making surgical intervention less likely unless there is progressive worsening or a specific underlying pathological cause. *15 cm* - An **intermalleolar distance** of 15 cm represents a very severe degree of genu varum and would almost certainly require surgical correction. - While surgery would be definitively indicated at this measurement, 10 cm is often the more commonly cited threshold for initial consideration of surgical management. *25 cm* - An **intermalleolar distance** of 25 cm indicates an extremely severe and highly atypical case of genu varum. - Such a severe deformity would unequivocally demand surgical correction, but it is a less common threshold discussed in the context of typical surgical indications than 10 cm or 15 cm.
Explanation: ***Legg-Calve-Perthes disease*** - The X-ray shows changes consistent with **avascular necrosis of the femoral head**, characterized by **flattening and fragmentation of the epiphysis** on the left, which is typical for Legg-Calve-Perthes disease in a 5-year-old child presenting with limp and pain. - The clinical presentation of a **5-year-old child** with a limp, pain in the thigh, and progressive restriction of activity over 3 months is highly suggestive of Legg-Calve-Perthes disease. *Developmental dysplasia of hip* - This condition is typically diagnosed in **infancy or early childhood** and involves an **abnormal development of the hip joint**, often with **acetabular dysplasia** and/or **femoral head subluxation or dislocation**. - The X-ray findings in this case (specifically, the apearance of the femoral head itself) are not consistent with the typical features of DDH, which would show an underdeveloped or shallow acetabulum and/or a displaced femoral head, rather than the fragmentation seen. *Slipped capital femoral epiphysis* - SCFE primarily affects **adolescents** (typically 10-16 years old) during periods of rapid growth and presents with a **posterior and inferior displacement of the femoral epiphysis** relative to the femoral neck. - The patient's age (5 years old) is outside the typical age range for SCFE, and the radiological findings of **flattening and fragmentation** are not characteristic of this condition. *TB hip* - **Tuberculosis of the hip** typically causes **joint space narrowing**, **osteolysis**, and sometimes **abscess formation** or **periarticular osteopenia**, often with a more insidious onset and systemic symptoms. - While TB hip can present with limp and pain, the specific **radiographic changes of fragmentation and flattening of the femoral head epiphysis** seen on this X-ray are not classic for TB and are more indicative of avascular necrosis.
Explanation: ***Block vertebra*** - The image shows **Pott's disease** (tuberculous spondylitis), characterized by destruction of vertebral bodies and intervertebral discs. **Block vertebrae** are congenital fusions of two or more vertebral bodies and are not typically seen in active Pott's disease. - While Pott's disease can lead to vertebral collapse and eventual fusion if untreated, this is a secondary process of healing, not the primary presentation shown here or a congenital block vertebra. *Gibbus* - **Gibbus deformity** is a sharply angulated kyphosis, commonly seen in Pott's disease due to the collapse of anterior vertebral bodies. The clinical image shows spinal curvature consistent with such a deformity. - This is a characteristic clinical manifestation of advanced tuberculous spondylitis. *Paravertebral abscess formation* - **Paravertebral abscesses** are a common complication of Pott's disease, resulting from the spread of infection from the vertebrae into surrounding soft tissues. The MRI clearly shows evidence of fluid collections and signal changes around the spine, highly suggestive of abscesses. - These abscesses can cause compressive symptoms and contribute to back pain. *Paraplegia can present during healing* - Paraplegia in Pott's disease (known as **Pott's paraplegia**) can occur during the active phase due to compression from abscesses, granuloma, or bony fragments. - However, it can also paradoxically worsen or appear during the **healing phase** due to fibrosis, calcification, or spinal deformity progression, making this a true statement about the condition.
Developmental Dysplasia of Hip
Practice Questions
Clubfoot
Practice Questions
Pediatric Fractures
Practice Questions
Growth Plate Injuries
Practice Questions
Legg-Calvé-Perthes Disease
Practice Questions
Slipped Capital Femoral Epiphysis
Practice Questions
Pediatric Spine Deformities
Practice Questions
Cerebral Palsy: Orthopaedic Aspects
Practice Questions
Neuromuscular Disorders in Children
Practice Questions
Pediatric Bone and Joint Infections
Practice Questions
Limb Length Discrepancies
Practice Questions
Orthopedic Manifestations of Genetic Disorders
Practice Questions
Get full access to all questions, explanations, and performance tracking.
Start For Free