A 6-year-old child sustained an elbow injury. Four years later, the child presents with tingling and numbness on the ulnar side of the fingers. What type of fracture is most likely associated with these symptoms?
What is meant by a 'pulled elbow'?
What is the commonest cause of limp in a seven-year-old child?
Ortolani's test is done for which condition?
All are true about the condition shown in the image except:

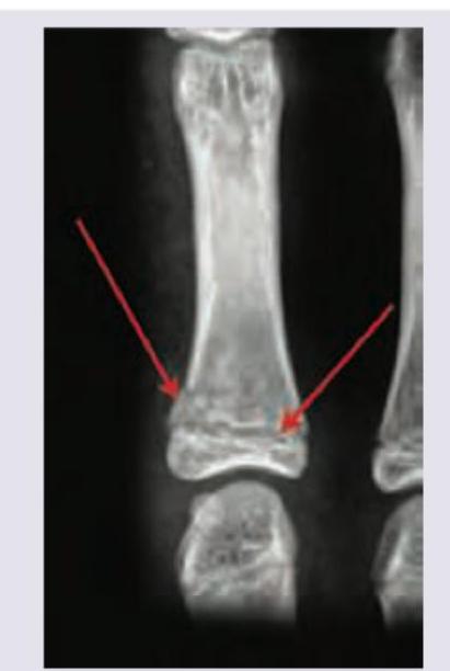
A 3-year-child fell from the roof and landed on his feet. What is the Salter and Harris grading of the fracture in distal tibia as shown below?

A 12-year-old boy while playing football falls over a goalpost and hurts his arm. X-ray forearm was performed. What is the most likely diagnosis?

Image shown below depicts:

Incorrect about the image is:

All are true about the test being performed except:

Explanation: **Explanation:** The clinical presentation describes **Tardy Ulnar Nerve Palsy**, a classic late complication of a **Lateral Condylar Humerus Fracture**. **1. Why Lateral Condylar Fracture is Correct:** Lateral condyle fractures are "fractures of necessity" (often requiring ORIF) because they are intra-articular and prone to non-union. If the fracture fails to unite or develops a growth arrest, it leads to a progressive **Cubitus Valgus** (increased carrying angle) deformity. As the valgus deformity increases over years, the ulnar nerve is chronically stretched as it passes behind the medial epicondyle. This "tardy" (delayed) stretching results in ulnar neuropathy, manifesting as tingling and numbness in the ulnar 1.5 fingers. **2. Why Incorrect Options are Wrong:** * **Supracondylar Humerus Fracture:** While this is the most common elbow fracture in children, its most common nerve injury is the **Anterior Interosseous Nerve (AIN)**. Late complications usually involve **Cubitus Varus** (Gunstock deformity), which rarely causes ulnar nerve symptoms. * **Olecranon Fracture:** These are less common in children and typically do not result in significant remodeling deformities that stretch the ulnar nerve over a 4-year period. * **Dislocation of the Elbow:** Acute ulnar nerve injury can occur during the trauma, but it does not typically present with a delayed (tardy) onset years later due to progressive deformity. **Clinical Pearls for NEET-PG:** * **Milch Classification** is used for lateral condyle fractures. * **Tardy Ulnar Nerve Palsy** treatment: Anterior transposition of the ulnar nerve. * **Lateral Condyle Fracture** is the second most common elbow fracture in children and is known as the "Fracture of Wise Men" (as it requires surgical judgment).
Explanation: ### Explanation **Pulled Elbow (Nursemaid’s Elbow)** is a common pediatric injury occurring typically in children aged 1–4 years. **Why Option B is Correct:** The injury is a **subluxation of the radial head** caused by sudden longitudinal traction (pulling) on an extended, pronated arm. Because the **annular ligament** is relatively lax and the radial head is not yet fully developed (bulbous) in young children, the ligament slips over the head of the radius and becomes trapped within the radio-capitellar joint. **Why Other Options are Incorrect:** * **Option A & D:** Pulled elbow is a soft-tissue/ligamentous displacement, not a bony fracture. While fractures (like Supracondylar or Monteggia) are common in children, they involve different mechanisms and present with significant swelling and deformity, which are absent in a pulled elbow. * **Option C:** A fracture-dislocation (e.g., Monteggia fracture-dislocation) involves a complete disruption of the joint along with a fracture, requiring urgent surgical or formal orthopedic intervention, unlike the simple manual reduction used for a pulled elbow. **High-Yield Clinical Pearls for NEET-PG:** * **Clinical Presentation:** The child holds the arm in a fixed position of **flexion and pronation**, refusing to use it (pseudoparalysis). There is no significant swelling or bruising. * **Management:** Reduction is performed via **supination and flexion** (most common) or hyperpronation. A characteristic "click" is felt, and the child usually begins using the arm within minutes. * **Radiology:** X-rays are typically normal and are only indicated if a fracture is suspected (e.g., history of a fall rather than a pull). * **Anatomy:** The specific structure involved is the **annular ligament**.
Explanation: ### Explanation The correct answer is **Perthes disease (Legg-Calvé-Perthes disease)**. **1. Why Perthes Disease is Correct:** Perthes disease is an idiopathic avascular necrosis of the femoral head. It typically affects children between **4 and 10 years of age** (peak incidence at 5–7 years) and is significantly more common in boys. It presents as an insidious, painless (or mildly painful) limp. In the context of a seven-year-old child, it is the most common orthopedic cause of a chronic limp, especially when inflammatory or infectious causes (like transient synovitis) are excluded. **2. Why the Other Options are Incorrect:** * **Tuberculosis of the Hip:** While common in developing countries, it usually presents with systemic symptoms (fever, weight loss) and "night cries." It is less common than Perthes in the general pediatric population. * **Congenital Dislocation of the Hip (DDH):** This is typically diagnosed in infancy or when the child starts walking (around 1 year). By age seven, it would present as a long-standing gait abnormality (Trendelenburg gait) rather than a newly developed limp. * **Slipped Upper Femoral Epiphysis (SUFE/SCFE):** This condition typically occurs in **adolescents** (10–15 years), often in obese children during their growth spurt. A seven-year-old is generally too young for this diagnosis. **Clinical Pearls for NEET-PG:** * **Age Groups for Hip Pathology:** * 0–3 years: DDH, Septic Arthritis. * 4–10 years: **Perthes Disease**, Transient Synovitis. * 11–15 years: **SCFE**. * **Perthes Sign:** Early loss of **internal rotation and abduction** of the hip. * **Radiology:** Look for the "Crescent sign" (subchondral fracture) or "Gage’s sign" (V-shaped lucency on the lateral side of the epiphysis). * **Prognosis:** The younger the age at onset, the better the prognosis (due to better remodeling potential).
Explanation: **Explanation:** **Ortolani’s Test** is a classic clinical maneuver used to diagnose **Developmental Dysplasia of the Hip (DDH)**, formerly known as Congenital Dislocation of the Hip (CDH). **Why the correct answer is right:** The test is designed to identify a hip that is currently dislocated but is **reducible**. To perform the test, the clinician flexes the infant's hips and knees to 90 degrees and then gently **abducts** the hip while applying upward pressure on the greater trochanter. A positive test is indicated by a palpable (and sometimes audible) **"clunk"** as the femoral head slips back into the acetabulum. This "clunk of entry" confirms the reduction of a dislocated hip. **Why the incorrect options are wrong:** * **Options A, C, and D:** While congenital dislocations can occur in the knee, shoulder, or elbow, they are significantly rarer than DDH. There are no specific eponymously named "reduction maneuvers" like Ortolani’s used as standard screening tools for these joints in the neonatal period. **High-Yield Clinical Pearls for NEET-PG:** * **Barlow’s Test:** The opposite of Ortolani; it is a **provocative maneuver** used to detect a "dislocatable" hip. It involves adduction and downward pressure to push the femoral head out of the acetabulum ("clunk of exit"). * **Age Limit:** These tests are most reliable in the first **2–3 months** of life. After this, soft tissue contractures develop, and **limited abduction** becomes the most sensitive clinical sign. * **Galeazzi Sign:** Used in older infants; it identifies apparent shortening of the femur when hips and knees are flexed. * **Investigation of Choice:** **Ultrasound** is preferred for infants <6 months (as the femoral head is not yet ossified); **X-ray** is used for children >6 months.
Explanation: ***Absence of edema*** - The condition shown in the image is **postmortem lividity** (livor mortis), characterized by the **reddish-purple discoloration** of the skin due to the pooling of blood in capillaries under gravitational forces. - This process involves the passive accumulation of blood, which can lead to a *slight increase in tissue volume*, hence, the **absence of edema is an incorrect statement** as there can be some degree of swelling due to fluid accumulation with the blood. *Passive accumulation over dependant parts* - **Livor mortis** is indeed the passive accumulation of blood in the **capillaries** and small veins of the dependent parts of the body due to gravity after cessation of circulation. - This results in a characteristic discoloration of the skin. *Takes 5-6 hours to become fixed* - **Livor mortis** becomes **fixed** (i.e., non-blanching) between **8 to 12 hours** post-mortem. - It becomes evident within **30 minutes to 2 hours** post-mortem and gradually progresses to fixation. The statement of 5-6 hours for fixation is incorrect as it typically takes longer for livor to become *fully* fixed. *Extravascular phenomenon* - **Livor mortis** is primarily an **intravascular phenomenon** where blood remains *within* the vessels, specifically in the capillaries and small veins. - It is not an extravascular phenomenon like a hematoma, where blood has leaked *out of* the vessels into the surrounding tissues.
Explanation: ***Grade II*** - This fracture involves the **epiphysis, physis, and metaphysis**, specifically a fracture through the growth plate and extending into the metaphysis but sparing the epiphysis. - Grade II fractures are characterized by a fragment of the metaphysis remaining attached to the epiphyseal fragment, often described as a **"corner sign" or "Thurston Holland fragment."** *Grade I* - A Grade I fracture involves a **transverse fracture through the physis (growth plate)**, with no involvement of the metaphysis or epiphysis. - This type of fracture is often difficult to detect on X-ray, as there is no displacement of bone fragments. *Grade V* - A Grade V fracture is a **crush injury to the physis (growth plate)**, resulting in complete compression and potential growth arrest. - This is the most severe type of Salter-Harris fracture and carries the **worst prognosis** for disturbed growth. *Grade III* - A Grade III fracture involves a **fracture through the physis and extending into the epiphysis**, but not involving the metaphysis. - This fracture type is intra-articular and often requires **anatomical reduction** to prevent long-term complications like arthritis.
Explanation: ***Greenstick fracture*** - The X-ray image shows an **incomplete fracture** where one side of the bone is broken and the other side is bent, which is characteristic of a greenstick fracture. - This type of fracture is common in children because their bones are **more flexible** and less brittle than adult bones. *Nonunion* - **Nonunion** refers to the failure of a fractured bone to heal after a sufficient period, typically presenting with persistent pain and mobility at the fracture site long after the injury. - This image shows an **acute fracture** with no signs of attempted or failed healing. *Malunion* - **Malunion** occurs when a fractured bone heals in an anatomically incorrect or deformed position. - The image depicts an **acute fracture** immediately following injury, not a healed but malaligned fracture. *Torus fracture* - A **torus (buckle) fracture** is a subtle fracture where the bone cortex buckles but does not break through completely. - This image clearly shows a **distinct break** in one cortex and bending of the other, which is beyond a simple buckle.
Explanation: ***Salter and Harris growth plate injury*** - The image clearly shows a **fracture through the growth plate** (physis) of a long bone, indicated by the red arrows pointing to a disruption at the metaphyseal-epiphyseal junction. This type of injury is classified by the Salter-Harris system. - Specifically, this appears to be a **Salter-Harris type II fracture**, where the fracture line extends through the physis and then exits through the metaphysis, leaving the epiphysis intact. *Morel-Lavallee lesion* - A Morel-Lavallee lesion is a **closed degloving injury** resulting from shearing forces that separate the skin and subcutaneous tissue from the underlying fascia. - It presents as a **seroma or hematoma** and is typically identified on MRI or ultrasound rather than a plain radiograph of bone. *Ulnar fovea sign* - The ulnar fovea sign is a clinical finding associated with **triangular fibrocartilage complex (TFCC) injuries** in the wrist. - It refers to localized tenderness upon palpation of the fovea, which is felt just distal to the ulnar styloid process, and is not a radiographic finding. *Rickets* - Rickets is a condition caused by a **deficiency of vitamin D, calcium, or phosphate**, leading to impaired mineralization of growing bone. - Radiographic features include **widened, cupped, and frayed growth plates**, bowing of long bones, and osteopenia, which are not the primary abnormalities depicted here.
Explanation: ***Circumduction gait*** - The image depicts **genu valgum** (knock-knees), which is typically associated with a **waddling or scissoring gait**, not circumduction. - **Circumduction gait** is characterized by swinging the leg in a semicircle to clear the ground, commonly seen in conditions causing limb weakness or stiffness like **hemiplegia**. *Distal femur is most common site* - This statement is **correct**. **Genu valgum** most commonly results from an angular deformity originating at the **distal femur**, which causes the knees to come together. - Less commonly, the deformity can originate in the **proximal tibia**. *Hemiepiphysiodesis* - This statement is **correct** as **hemiepiphysiodesis**, a procedure that temporarily arrests growth on one side of a growth plate, is a common surgical treatment for **genu valgum** in growing children. - It aims to correct the angular deformity by allowing the unchained side of the physis to continue growing, thus straightening the limb. *Bracing is preferred* - This statement is **correct** for managing **mild physiological genu valgum** in younger children, especially if the deformity is not severe. - **Bracing** can help guide bone growth and prevent progression of the deformity, often used before considering surgical intervention.
Explanation: ***Barlow's test is followed by Ortolani's test*** - This statement is incorrect as it reverses the usual examination sequence. Generally, the **Ortolani maneuver** is performed first to reduce a dislocated hip, followed by the **Barlow maneuver** to check for hip instability. - While both tests assess for developmental dysplasia of the hip (DDH), their intended purposes and typical order are distinct. *Ortolani's test is followed by Barlow's test* - This statement accurately describes the typical sequence: the **Ortolani maneuver** first attempts to reduce a hip that is already dislocated. - Following a successful Ortolani reduction, the **Barlow maneuver** is then performed to assess if the now-reduced hip is stable and not easily dislocatable. *Barlow's test positive implies hip is dislocatable* - A positive **Barlow's test** indicates that the hip is **dislocatable**, meaning the femoral head can be made to slip out of the acetabulum with gentle pressure. - This test is used to assess for hip instability in an otherwise reduced hip. *Ortolani positive implies hip is reducible* - A positive **Ortolani's test** implies that the hip is **dislocated** but **reducible**, meaning the femoral head can be gently maneuvered back into the acetabulum. - The sensation of a "clunk" or "thud" is felt as the femoral head re-enters the socket.
Developmental Dysplasia of Hip
Practice Questions
Clubfoot
Practice Questions
Pediatric Fractures
Practice Questions
Growth Plate Injuries
Practice Questions
Legg-Calvé-Perthes Disease
Practice Questions
Slipped Capital Femoral Epiphysis
Practice Questions
Pediatric Spine Deformities
Practice Questions
Cerebral Palsy: Orthopaedic Aspects
Practice Questions
Neuromuscular Disorders in Children
Practice Questions
Pediatric Bone and Joint Infections
Practice Questions
Limb Length Discrepancies
Practice Questions
Orthopedic Manifestations of Genetic Disorders
Practice Questions
Get full access to all questions, explanations, and performance tracking.
Start For Free