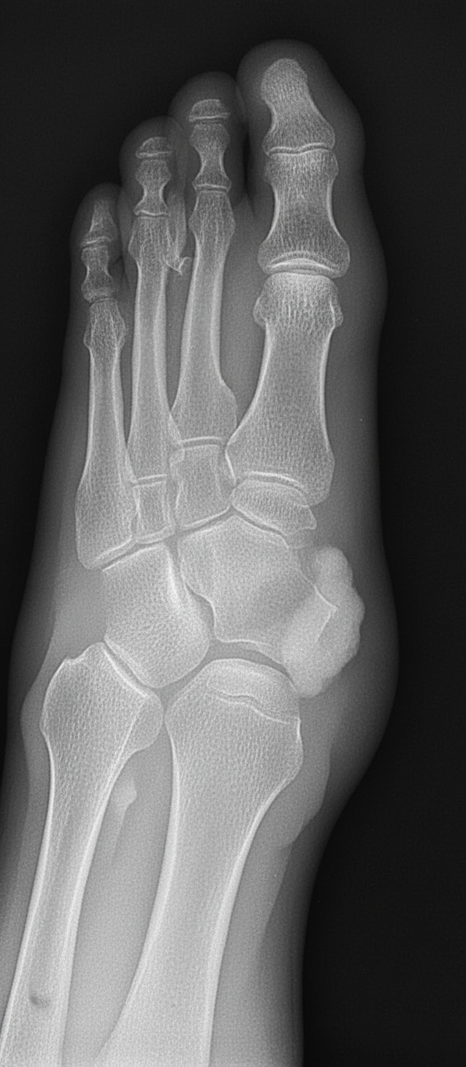
Which disease is shown by the following X-ray of a foot?

All are features of Jansen's disease, except?
Osteoporosis may be seen in all of the following conditions EXCEPT:
Which of the following carcinomas metastasizes to bone EXCEPT:
The most common manifestation of osteoporosis is:
Paget's disease is associated with which of the following?
Increased alkaline phosphatase is seen in which of the following conditions?
Windswept deformity in the foot is seen in which condition?
Wind swept deformity is seen in which condition?
In osteomalacia, all the following are seen except?
Explanation: ***Gout*** - Classic X-ray features include **punched-out erosions** with **overhanging edges** (Martel sign) and **soft tissue tophi**, typically affecting the first metatarsophalangeal joint. - **Preserved joint space** and absence of **periarticular osteoporosis** are characteristic findings that distinguish it from other arthropathies. *Rheumatoid arthritis* - Shows **symmetric joint erosions** with **periarticular osteoporosis** and **joint space narrowing**, unlike the preserved joint spaces in gout. - Typically affects **metacarpophalangeal** and **proximal interphalangeal joints** with **swan neck** or **boutonniere deformities**. *Osteoarthritis* - Characterized by **joint space narrowing**, **osteophyte formation**, and **subchondral sclerosis** rather than punched-out erosions. - Commonly affects **weight-bearing joints** like knees and hips, with **Heberden's** and **Bouchard's nodes** in hands. *Psoriatic arthritis* - Shows **pencil-in-cup deformity** and **ankylosis** with **asymmetric joint involvement**, different from gout's punched-out pattern. - Associated with **psoriatic skin lesions** and **nail pitting**, often affecting **distal interphalangeal joints**.
Explanation: **Explanation:** **Jansen’s Metaphyseal Chondrodysplasia** is a rare autosomal dominant condition caused by a **constitutive (permanent) activation of the PTH/PTHrP receptor (PTHR1)**. 1. **Why Option B is correct:** Because the PTH receptor is "locked" in the ON position, the body behaves as if there are massive amounts of Parathyroid Hormone present, even though the actual hormone levels are low. This leads to **suppressed (low) Parathyroid Hormone (PTH) levels** due to negative feedback from high calcium. Therefore, "High PTH levels" is the incorrect feature. 2. **Why Option D is incorrect:** The constant activation of the receptor in the kidneys and bone leads to **Hypercalcemia**, mimicking primary hyperparathyroidism. 3. **Why Option C is incorrect:** Activation of the receptor in the renal tubules causes phosphate wasting, leading to **Hypophosphatemia**. 4. **Why Option A is incorrect:** The PTHrP receptor is critical for regulating the growth plate. Overactivity disrupts normal endochondral ossification, leading to severe metaphyseal changes, disorganized bone formation, and **short-limbed dwarfism**. **NEET-PG High-Yield Pearls:** * **Genetics:** Mutation in the **PTHR1 gene** (constitutive activation). * **Biochemical Profile:** High Calcium, Low Phosphate, **Low/Suppressed PTH**, and Low PTHrP. * **Radiology:** Characterized by "cauliflower-like" cystic expansions of the metaphyses and severe bowing of long bones. * **Contrast with Schmid-type:** Schmid metaphyseal chondrodysplasia is more common, caused by **COL10A1** mutations, and has **normal** calcium/phosphate levels.
Explanation: **Explanation:** **1. Why Hypoparathyroidism is the Correct Answer:** Osteoporosis is characterized by a decrease in bone mineral density (BMD) due to an imbalance between bone formation and resorption. In **Hypoparathyroidism**, there is a deficiency of Parathyroid Hormone (PTH). Since PTH is the primary driver of osteoclastic bone resorption, its absence leads to **increased bone mass** (osteosclerosis) rather than osteoporosis. The bone in hypoparathyroidism is typically denser, though it may be of poorer quality. **2. Analysis of Incorrect Options:** * **Hyperparathyroidism:** Excess PTH stimulates osteoclasts via the RANKL pathway, leading to significant bone resorption. This classically manifests as "brown tumors," osteitis fibrosa cystica, and generalized osteoporosis. * **Thyrotoxicosis:** High levels of thyroid hormones (T3/T4) increase the rate of bone turnover. The resorptive phase dominates over the formative phase, leading to a net loss of bone density. * **Heparin Administration:** Long-term heparin use (especially >6 months) is a well-known cause of secondary osteoporosis. It increases osteoclast activity and decreases osteoblast function, often seen in pregnant women on long-term anticoagulation. **3. NEET-PG High-Yield Pearls:** * **Drug-induced Osteoporosis:** Aside from Heparin, the most common cause is **Corticosteroids**. Others include Anticonvulsants (Phenytoin) and Proton Pump Inhibitors (PPIs). * **Gold Standard Diagnosis:** DEXA Scan (Dual-Energy X-ray Absorptiometry). Osteoporosis is defined as a **T-score ≤ -2.5**. * **Most Common Site of Fracture:** Vertebral body (compression fracture), followed by the neck of the femur. * **Biochemical Marker:** In primary osteoporosis, serum Calcium, Phosphate, and ALP levels are typically **normal**, unlike Osteomalacia or Hyperparathyroidism.
Explanation: **Explanation:** The skeleton is the third most common site for metastatic disease, following the lung and liver. While many tumors can spread to bone, certain "select" carcinomas are notorious for their predilection for skeletal metastasis. **Why Liver is the Correct Answer:** Primary **Hepatocellular Carcinoma (HCC)** rarely metastasizes to the bone. It primarily spreads via intrahepatic routes or to the lungs and abdominal lymph nodes. While bone metastasis can occur in advanced stages, it is significantly less common compared to the other organs listed. Therefore, in the context of standard NEET-PG "except" questions regarding common bone-seeking tumors, the liver is the outlier. **Analysis of Incorrect Options:** * **Thyroid:** Thyroid carcinoma (especially Follicular type) is a classic "bone-seeking" tumor. These metastases are typically **osteolytic** and highly vascular (pulsatile). * **Prostate:** This is the most common cause of bone metastasis in elderly males. It is unique because it characteristically produces **osteoblastic** (sclerotic) lesions. * **Breast:** The most common cause of bone metastasis in females. These lesions are usually **mixed** (both osteolytic and osteoblastic) or purely lytic. **High-Yield NEET-PG Pearls:** * **Mnemonic for Bone Metastasis:** "**PB-KTL**" (Lead Kettle) – **P**rostate, **B**reast, **K**idney, **T**hyroid, **L**ung. * **Most common site of bone metastasis:** Spine (specifically the thoracic spine). * **Osteoblastic lesions:** Prostate (most common), Carcinoid, Small cell lung cancer. * **Osteolytic lesions:** Kidney (RCC), Thyroid, Lung (NSCLC). * **Pulsatile secondarys:** RCC and Follicular Thyroid Carcinoma.
Explanation: **Explanation:** Osteoporosis is a metabolic bone disease characterized by reduced bone mass and micro-architectural deterioration, leading to increased bone fragility. It is often referred to as a **"Silent Disease"** because it remains asymptomatic until a fracture occurs. **1. Why Option A is Correct:** The most common clinical manifestation of osteoporosis is a **vertebral compression fracture**. These fractures often occur with minimal trauma or even during routine activities like bending or lifting. They typically present as sudden back pain, loss of height, or progressive kyphosis (Dowager’s hump). The lower thoracic and upper lumbar spine (T12–L1) are the most frequent sites. **2. Why Other Options are Incorrect:** * **Option B:** Osteoporosis is characterized by **normal** serum calcium, phosphate, and alkaline phosphatase levels. Low serum calcium is more characteristic of Osteomalacia or Hypoparathyroidism. * **Option C:** Bowing of legs is a classic feature of **Rickets** (in children) or **Paget’s disease**, where the bone is soft or structurally abnormal, rather than just decreased in mass. * **Option D:** While osteoporosis can lead to a loss of **height** due to vertebral collapse, it does not typically cause a loss of weight. **NEET-PG High-Yield Pearls:** * **Gold Standard Diagnosis:** DEXA Scan (Dual-energy X-ray Absorptiometry). * **WHO Criteria:** A **T-score of ≤ -2.5** defines Osteoporosis. * **Most Common Fracture Site:** Vertebra (Overall), but the **Hip fracture** is associated with the highest morbidity and mortality. * **First-line Treatment:** Bisphosphonates (e.g., Alendronate), which inhibit osteoclast-mediated bone resorption.
Explanation: **Explanation:** **Paget’s Disease (Osteitis Deformans)** is a chronic skeletal disorder characterized by a focal alteration in bone remodeling. The primary pathology involves a massive **increase in bone turnover** due to overactive osteoclasts and compensatory, disorganized osteoblastic activity. 1. **Why Option C is Correct:** The hallmark of Paget’s disease is a "metabolic madness" where bone is resorbed and replaced at an accelerated rate. This high turnover occurs in three phases: the **Osteolytic phase** (intense resorption), the **Mixed phase** (rapid, chaotic bone formation), and the **Osteosclerotic phase** (burnt-out, dense, poorly mineralized bone). This results in a characteristic **"Mosaic pattern"** of lamellar bone. 2. **Why Other Options are Incorrect:** * **Option A:** Bone mineralization is not primarily decreased (unlike Osteomalacia); rather, the bone formed is structurally weak and disorganized. * **Option B:** While bone resorption is significantly increased, it is only one half of the process. The defining feature of the disease is the *coupling* of increased resorption with increased formation, leading to high overall turnover. * **Option D:** While collagen metabolites (like hydroxyproline) are excreted more in urine due to bone breakdown, "increased degradation of collagen" is a non-specific finding and does not define the disease mechanism as accurately as "increased turnover." **High-Yield Clinical Pearls for NEET-PG:** * **Marker of Bone Resorption:** Urinary Hydroxyproline or N-telopeptide. * **Marker of Bone Formation:** Serum **Alkaline Phosphatase (ALP)** is markedly elevated (Calcium and Phosphate are usually normal). * **Radiology:** Look for "Blade of grass" appearance (lytic lesion), "Picture frame vertebra," or "Cotton wool spots" in the skull. * **Treatment of Choice:** **Bisphosphonates** (Zoledronic acid). * **Complication:** Most dreaded is **Osteosarcoma** (<1% of cases).
Explanation: **Explanation:** **Paget’s Disease (Correct Answer):** In Paget’s disease (Osteitis Deformans), there is a localized, intense disorder of bone remodeling characterized by excessive osteoclastic resorption followed by a disorganized, compensatory increase in osteoblastic activity. **Alkaline Phosphatase (ALP)** is a marker of osteoblastic activity. Because the bone formation in Paget’s is extremely rapid (albeit disorganized), serum ALP levels are characteristically **markedly elevated**, while serum calcium and phosphate levels typically remain normal. **Why the other options are incorrect:** * **Osteoporosis:** This is a "silent" metabolic bone disease where bone quality and quantity decrease, but the biochemical profile (Calcium, Phosphate, and ALP) remains **normal**. * **Multiple Myeloma:** This is a plasma cell dyscrasia characterized by purely **osteolytic** lesions. Because there is a lack of reactive osteoblastic activity (due to the inhibition of osteoblasts by myeloma cells), the ALP level is typically **normal**, despite extensive bone destruction. * **Osteolytic Metastasis:** While bone destruction occurs, purely osteolytic lesions (e.g., from thyroid or renal cell carcinoma) usually do not significantly elevate ALP. In contrast, **osteoblastic** metastases (e.g., Prostate cancer) would show elevated ALP. **NEET-PG High-Yield Pearls:** * **Paget’s Disease Triad:** Normal Calcium, Normal Phosphate, and Markedly Increased ALP. * **Marker of Bone Resorption:** Urinary Hydroxyproline or N-telopeptide (increased in Paget's). * **Imaging:** Look for "Cotton wool" appearance of the skull or "Picture frame" vertebrae. * **Treatment of Choice:** Bisphosphonates (Zoledronic acid).
Explanation: **Explanation:** **Windswept deformity of the foot** is a classic clinical feature of **Rheumatoid Arthritis (RA)**. It describes a specific combination of forefoot deformities where the toes appear "blown" to one side. This occurs due to a combination of **hallux valgus** (great toe deviating laterally) and **fibular (lateral) deviation** of the lesser toes at the metatarsophalangeal (MTP) joints. The underlying pathology involves chronic synovitis leading to the destruction of collateral ligaments and joint capsules, causing the toes to drift laterally. **Analysis of Incorrect Options:** * **Rickets (Option A):** While Rickets is famous for "Windswept deformity," it occurs at the **knees** (one knee in genu valgum and the other in genu varum), not the foot. This is a common "trap" in exams. * **Hyperparathyroidism (Option C):** This condition typically presents with subperiosteal bone resorption (classically in the phalanges), Brown tumors, and "Salt and Pepper" skull, but not specific windswept foot deformities. * **Scurvy (Option D):** Vitamin C deficiency presents with subperiosteal hemorrhages, Scorbutic rosary, and radiographic signs like Wimberger’s ring sign and Frankel’s line, rather than joint deviations. **High-Yield Clinical Pearls for NEET-PG:** * **Windswept Knee:** Rickets (most common), Osteomalacia, or Skeletal Dysplasias. * **Windswept Foot:** Rheumatoid Arthritis. * **Rheumatoid Foot Triad:** Hallux valgus, Fibular deviation of toes, and Subluxation of MTP joints (leading to "daylight sign"). * **Hand Deformities in RA:** Swan neck deformity, Boutonniere deformity, and Ulnar deviation at MCP joints.
Explanation: **Explanation:** **Windswept deformity** is a classic clinical sign of **Rickets**, a metabolic bone disease characterized by deficient mineralization of the osteoid matrix, usually due to Vitamin D deficiency. In a growing child, the softened bones are unable to withstand the mechanical stress of weight-bearing. This results in a combination of **genu valgum** (knock-knee) in one leg and **genu varum** (bow-leg) in the other, giving the appearance that the knees have been "swept" to one side by the wind. **Analysis of Options:** * **Scurvy (Option A):** Caused by Vitamin C deficiency, it leads to defective collagen synthesis. Clinical features include subperiosteal hemorrhages, "scorbutic rosary" (depressed costochondral junctions), and gingival bleeding, but not windswept deformity. * **Achondroplasia (Option B):** This is a genetic disorder of endochondral ossification leading to dwarfism. While it causes rhizomelic shortening and trident hands, it typically presents with symmetrical bowing (genu varum), not the asymmetrical windswept pattern. * **Osteoporosis (Option D):** This involves a decrease in total bone mass (mineral + matrix) in adults. It primarily leads to pathological fractures (vertebral compression, Colles’, and hip fractures) rather than the plastic bowing deformities seen in the pediatric skeleton. **High-Yield Clinical Pearls for NEET-PG:** * **Rickets Triad:** Genu varum/valgum, Rachitic rosary (prominent costochondral junctions), and Harrison’s sulcus. * **Radiological Signs:** Cupping, fraying, and splaying of the metaphysis (best seen at the lower end of the radius/ulna). * **Windswept Deformity in Adults:** While classic in Rickets, it can also be seen in severe **Osteoarthritis** or **Rheumatoid Arthritis** due to asymmetrical joint destruction.
Explanation: **Explanation:** Osteomalacia is a metabolic bone disease characterized by **defective mineralization** of the organic bone matrix (osteoid), usually due to Vitamin D deficiency. This results in "soft bones," which are structurally weak. **Why Option C is the correct answer:** In osteomalacia, the bone becomes soft and pliable rather than brittle. However, because the mineral content (calcium hydroxyapatite) is significantly reduced, the bone loses its structural integrity. This leads to **decreased resistance** to stress, making the patient highly prone to **pathological fractures** and skeletal deformities (like bowing of legs). Therefore, saying there is "increased resistance" is pathophysiologically incorrect. **Analysis of other options:** * **A. Looser zones:** These are pathognomonic radiolucent lines (pseudofractures) representing stress fractures healed with unmineralized osteoid. Common sites include the axillary border of the scapula, neck of the femur, and pubic rami. * **B. High alkaline phosphatase (ALP):** Osteoblastic activity increases in an attempt to form new bone to compensate for the structural weakness, leading to elevated serum ALP levels. * **D. Diminished urinary excretion of calcium:** Due to Vitamin D deficiency, intestinal calcium absorption is low. The body compensates via secondary hyperparathyroidism, which increases renal tubular reabsorption of calcium, resulting in low urinary calcium levels (Hypocalciuria). **NEET-PG High-Yield Pearls:** * **Biochemical Triad:** Low/Normal Serum Calcium, Low Serum Phosphate, and High ALP. * **Radiology:** "Codfish vertebrae" (biconcave) and "Milkman’s fractures" (Looser zones). * **Histology:** Increased thickness of osteoid seams (Goldner’s Trichrome stain). * **Clinical:** Diffuse bone pain, proximal muscle weakness, and a waddling gait.
Osteoporosis
Practice Questions
Osteomalacia and Rickets
Practice Questions
Paget's Disease of Bone
Practice Questions
Hyperparathyroidism
Practice Questions
Renal Osteodystrophy
Practice Questions
Fluorosis
Practice Questions
Osteogenesis Imperfecta
Practice Questions
Bone Mineral Density Assessment
Practice Questions
Pharmacological Management of Metabolic Bone Diseases
Practice Questions
Surgical Considerations in Metabolic Bone Diseases
Practice Questions
Fragility Fractures
Practice Questions
Prevention Strategies
Practice Questions
Get full access to all questions, explanations, and performance tracking.
Start For Free