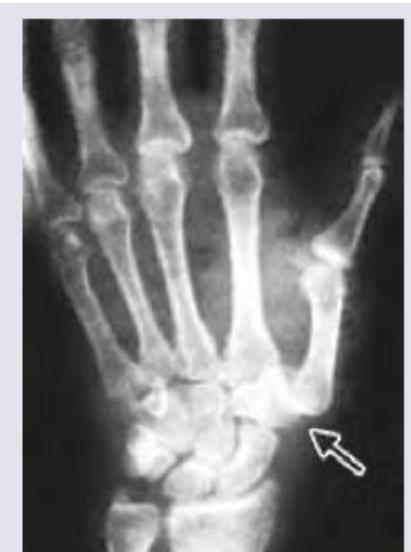
X-ray of hand of the picture shows:

The test performed below shows involvement of which of the following nerve?

The test performed below shows involvement of which of the following nerve?

The test performed below shows testing of which of the following nerve: (Recent NEET Pattern 2016-17)

The contracture shown in the image is associated with all except:

The given nature of injury will lead to the development of:

What is correct about the fracture shown in the figure?

A patient came with inability to move his 4th and 5th digit and cannot hold pen or paper between his fingers. Which of the following sites shown below is the probable cause of nerve injury to this patient?

Identify the deformity:

Identify the deformity shown in the image.

Explanation: ***Bennett fracture*** - The X-ray image shows an **intra-articular fracture** at the base of the **first metacarpal bone**, extending into the carpometacarpal (CMC) joint of the thumb. - This fracture is often **unstable** due to the pull of the abductor pollicis longus muscle, leading to dorsal and radial displacement of the metacarpal shaft. *Boxer fracture* - A Boxer fracture involves a break in the **neck of the fifth metacarpal bone**, typically occurring after punching a hard object. - While it is a common hand injury, the image clearly shows the fracture at the base of the thumb's metacarpal, not the fifth metacarpal. *Gamekeeper thumb* - Also known as skier's thumb, this injury is a tear or rupture of the **ulnar collateral ligament** of the metacarpophalangeal (MCP) joint of the thumb. - This condition is a soft tissue injury and would not typically present as a bone fracture on an X-ray, although avulsion fractures can sometimes be associated. *Colle's fracture* - A Colles' fracture is a fracture of the **distal radius** with dorsal displacement of the distal fragment, occurring about 1 inch proximal to the radiocarpal joint. - The fracture shown in the image is in the hand, specifically at the base of the thumb's metacarpal, and not in the distal forearm.
Explanation: ***Median nerve*** - The image depicts the **Phalen's test**, where prolonged forced wrist flexion compresses the **median nerve** within the **carpal tunnel**. - The lightning bolt symbol indicates the characteristic **paresthesia** (tingling, numbness) experienced in the distribution of the median nerve, affecting the **thumb, index finger, middle finger, and radial half of the ring finger**. *Radial nerve* - The **radial nerve** primarily innervates the **extensor muscles** of the forearm and hand and provides sensation to the posterior aspect of the forearm and hand, as well as the dorsal side of the lateral 3.5 digits; it is not compressed by Phalen's maneuver. - Injury to the radial nerve typically causes **wrist drop** and sensory loss in a different distribution. *Axillary nerve* - The **axillary nerve** innervates the **deltoid** and **teres minor** muscles and provides sensation over the lateral shoulder. - It is not involved in conditions affecting the wrist or hand tested by maneuvers like Phalen's. *Ulnar nerve* - The **ulnar nerve** provides sensation to the **little finger** and **ulnar half of the ring finger**, and innervates most of the intrinsic hand muscles. - Compression of the ulnar nerve is typically tested by **Tinel's sign** at the **cubital tunnel** or Guyon's canal, not Phalen's test.
Explanation: ***Ulnar nerve*** - The image on the right depicts **Froment's sign**, which is a clinical test for **ulnar nerve palsy**. The patient attempts to hold a piece of paper between the thumb and index finger. - When the adductor pollicis (innervated by the ulnar nerve) is weak, the patient compensates by flexing the **interphalangeal joint of the thumb** using the flexor pollicis longus (innervated by the median nerve). *Median nerve* - Damage to the median nerve would typically affect **thumb opposition**, abduction, and sensation over the first three and a half digits, but would not cause the compensatory action seen in Froment's sign. - While the median nerve compensates for ulnar nerve weakness in Froment's sign, the primary deficit points to the ulnar nerve. *Radial nerve* - Radial nerve injury primarily affects **wrist extension** and **finger extension**, leading to **wrist drop**. It does not typically present with the inability to hold paper between the thumb and index finger. - Sensory deficits for the radial nerve affect the dorsum of the hand, which is unrelated to the motor function tested here. *Axillary nerve* - The axillary nerve innervates the **deltoid muscle** and **teres minor**, responsible for shoulder abduction and external rotation. - Injury to the axillary nerve would cause weakness in shoulder movements and sensory loss over the lateral shoulder, not hand intrinsic muscle weakness.
Explanation: ***Ulnar nerve*** - The image shows a patient with inability to adequately flex the **ring and little fingers**, a classic sign of **ulnar nerve palsy**. This is known as the **"ulnar claw"** when the patient attempts to make a fist or extend the fingers. - The ulnar nerve innervates most of the **intrinsic hand muscles**, including the **interossei** and the **medial two lumbricals (ring and little fingers)**, which are responsible for flexion at the metacarpophalangeal joints and extension at the interphalangeal joints of these digits. *Median nerve* - **Median nerve injury** typically results in inability to **oppose the thumb** (ape hand deformity) and sensory loss over the radial three and a half digits. - It affects the **flexor muscles of the forearm** and the **thenar muscles**, not primarily the ring and little finger flexion shown. *Radial nerve* - **Radial nerve injury** causes **wrist drop** and **finger drop** due to paralysis of the extensors of the wrist and fingers. - It primarily affects **extension** of the wrist and fingers, rather than the intrinsic hand function of flexion shown in the image. *Axillary nerve* - The **axillary nerve** primarily innervates the **deltoid muscle** and **teres minor**, responsible for shoulder abduction and external rotation. - Injury to the axillary nerve would result in **shoulder weakness** and sensory loss over the lateral shoulder, with no direct impact on hand or finger function.
Explanation: ***Table top test is negative*** - The image shows a hand affected by **Dupuytren's contracture**, characterized by fixed flexion deformities of the finger joints. - In Dupuytren's contracture, the **tabletop test** is typically **positive** (meaning the hand cannot be laid flat on a table) when the metacarpophalangeal (MCP) or proximal interphalangeal (PIP) joint contracture exceeds 30 degrees, indicating significant fascial thickening and shortening. *Seen in cirrhosis* - **Dupuytren's contracture** is indeed associated with conditions like **alcoholism** and **liver cirrhosis**, though the exact pathophysiological link is not fully understood. - Other associated conditions include diabetes mellitus, manual labor, and certain anti-epileptic medications. *Involves the ring and little finger* - Dupuytren's contracture most commonly affects the **ulnar side of the hand**, particularly the **ring finger** and **little finger**, due to fibrosis and shortening of the palmar fascia. - It can also involve the middle finger and rarely the index finger and thumb. *Clostridial collagenase for resolution* - **Collagenase clostridium histolyticum (CCH)**, derived from *Clostridium histolyticum*, is an approved non-surgical treatment for Dupuytren's contracture. - It works by injecting the enzyme directly into the palmar cord to **dissolve the collagen fibers** responsible for the contracture, allowing for manipulation to release the contracture.
Explanation: ***Mallet finger*** - The image shows a **rupture of the extensor tendon** at its insertion into the distal phalanx, or an avulsion fracture of the distal phalanx, causing an inability to extend the distal interphalangeal (DIP) joint. - This injury results in the characteristic **flexion deformity** of the DIP joint, known as mallet finger. *Jersey finger* - This injury involves the **rupture of the flexor digitorum profundus tendon** from its insertion at the base of the distal phalanx. - Patients cannot actively **flex their DIP joint**, unlike the extensor tendon injury shown. *Jammed finger* - This is a general term for an **axial load injury** to the finger, usually causing a sprain or mild fracture without a specific tendon rupture as depicted. - It typically results from impact on the fingertip, leading to **ligamentous injury** or joint capsule damage. *Boxer knuckle* - **Boxer's knuckle** refers to a sagital band rupture at the metacarpophalangeal (MCP) joint, affecting the central slip of the extensor tendon. - This injury primarily involves the **MCP joint** and not the DIP joint, as shown in the image.
Explanation: ***A= Bennett fracture, B= Rolando fracture*** * **Bennett fracture** (A) is an **intra-articular fracture** of the base of the first metacarpal bone with a characteristic **two-part fracture** pattern. It involves a small fragment of the metacarpal base remaining attached to the carpometacarpal joint, while the rest of the metacarpal is dislocated. * **Rolando fracture** (B) is a **comminuted intra-articular fracture** at the base of the first metacarpal. It is characterized by a **Y or T-shaped fracture pattern**, indicating a more complex, three-part or more fragment involvement compared to a Bennett fracture. *A= Rolando fracture, B= Bennett fracture* * This option incorrectly identifies A as a Rolando fracture; Image A clearly shows a **two-part fracture** typical of a Bennett fracture, not the comminuted pattern of a Rolando. * Similarly, B is incorrectly identified as a Bennett fracture as it depicts a **multi-fragmented, Y-shaped fracture**, which defines a Rolando fracture. *A= Boxer's fracture, B= Bennett fracture* * **Boxer's fracture** is a fracture of the **neck of the fifth metacarpal**, which is not depicted in either image A or B. Both images show fractures at the base of the first metacarpal. * Image A is a **Bennett fracture**, not a Boxer's fracture, and B is a **Rolando fracture**, not a Bennett fracture. *A= Bennett fracture, B= Boxer's fracture* * While A is correctly identified as a **Bennett fracture**, B is incorrectly identified as a Boxer's fracture. * As previously stated, a **Boxer's fracture affects the fifth metacarpal**, whereas image B clearly shows a fracture of the first metacarpal base with multiple fragments.
Explanation: **C** - The symptoms described (inability to move the 4th and 5th digits and difficulty with adduction/abduction of fingers, e.g., holding a pen) are characteristic of **ulnar nerve injury**. - The ulnar nerve passes behind the **medial epicondyle** of the humerus, which corresponds to location **C** in the image, making it vulnerable to injury here. *A* - Location **A** represents the surgical neck of the humerus. Injury here primarily affects the **axillary nerve**, leading to weakness in shoulder abduction and loss of sensation over the deltoid. - This does not explain the specific loss of function in the 4th and 5th digits. *B* - Location **B** represents the mid-shaft of the humerus. Fractures here commonly injure the **radial nerve**, leading to "wrist drop" and sensory loss over the posterior forearm and hand. - This injury pattern does not match the patient's symptoms affecting the ulnar side of the hand. *D* - Location **D** represents the lateral epicondyle of the humerus. This area is associated with conditions like **tennis elbow** (lateral epicondylitis), which involves inflammation of the common extensor origin. - Nerve injuries related to this area typically involve the deep branch of the **radial nerve** (posterior interosseous nerve), leading to weakness in finger and thumb extension, not ulnar nerve symptoms.
Explanation: ***Mallet finger*** - This image clearly shows a **flexion deformity of the distal interphalangeal (DIP) joint**, where the fingertip is bent downwards, characteristic of a mallet finger. - This deformity results from an injury to the **extensor tendon** at its insertion on the distal phalanx, preventing full extension of the fingertip. *Swan neck* - A swan neck deformity involves **hyperextension of the proximal interphalangeal (PIP) joint** and flexion of the DIP joint, which is the opposite of what is seen in the image for the PIP joint. - It often results from conditions like **rheumatoid arthritis** or a ruptured flexor digitalis superficialis tendon. *Boutonniere deformity* - This deformity is characterized by **flexion of the PIP joint** and **hyperextension of the DIP joint**, resembling a buttonhole. - It occurs due to a rupture of the central slip of the **extensor tendon** over the PIP joint. *Jersey finger* - Jersey finger is an injury to the **flexor digitorum profundus tendon**, preventing the patient from flexing the DIP joint against resistance. - The digit would typically appear extended or unable to actively flex, not in a *flexed* position as shown in the image.
Explanation: ***Sclerodactyly*** - The image shows **thickening and tightening of the skin** of the fingers, particularly noticeable over the joints, characteristic of sclerodactyly. - This condition is often associated with **systemic sclerosis (scleroderma)**, where excessive collagen deposition leads to skin hardening. *Prayer sign* - The **prayer sign** refers to the inability to approximate the palmar surfaces of the hands, fingers, and thumbs due to **limited joint mobility**, typically seen in patients with diabetes mellitus. - The image does not depict the hands in a prayer posture or show evidence of generalized joint immobility that would define this sign. *Boutonniere deformity* - A **Boutonniere deformity** is characterized by **flexion of the proximal interphalangeal (PIP) joint** and **hyperextension of the distal interphalangeal (DIP) joint** of a finger. - The image exhibits diffuse skin tightening and swelling rather than the specific joint angulation seen in a Boutonniere deformity. *Arachnodactyly* - **Arachnodactyly** is a condition where the fingers and toes are unusually **long and slender**, often described as "spider-like." - The fingers in the image appear swollen and thickened, which is the opposite of the slender appearance in arachnodactyly.
Hand Anatomy and Biomechanics
Practice Questions
Hand Fractures and Dislocations
Practice Questions
Tendon Injuries
Practice Questions
Nerve Injuries in Hand
Practice Questions
Dupuytren's Disease
Practice Questions
Carpal Tunnel Syndrome
Practice Questions
Rheumatoid Hand
Practice Questions
Reconstructive Hand Surgery
Practice Questions
Tendon Transfers
Practice Questions
Congenital Hand Anomalies
Practice Questions
Hand Infections
Practice Questions
Microsurgery in Hand Surgery
Practice Questions
Get full access to all questions, explanations, and performance tracking.
Start For Free