Watson Jones operation is indicated for which condition?
Triple arthrodesis does not involve which of the following joints?
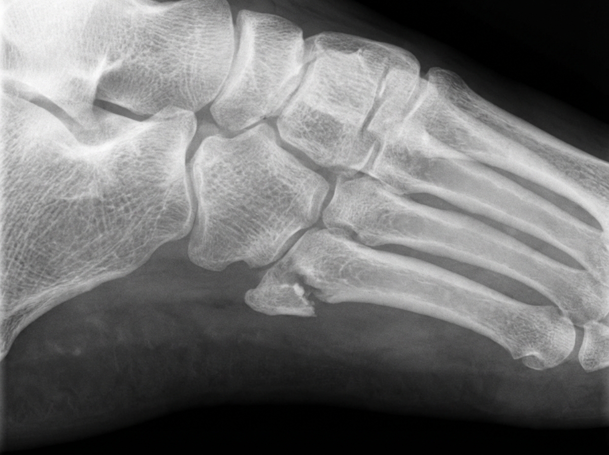
A 45-year-old male presents with foot pain after an injury. What is the mechanism of injury associated with the pathology seen in this X-ray?

Hallux valgus is associated with all of the following except:
A 32-year-old athlete presents with posterior heel pain. Which of the following could be a differential diagnosis?
What happens to Gissane's angle in an intraarticular fracture of the calcaneum?
A patient presents with a hindfoot deformity requiring triple arthrodesis. Which of the following bones are fused in a triple arthrodesis?
Radiographic examination of a woman with foot pain reveals a neuroma. What is the most typical location of this neuroma?
What does equinus deformity refer to?
Triple orthodesis consists of fusion of which three joints of the foot?
Explanation: **Explanation:** The **Watson-Jones operation** is a reconstructive surgical procedure used to treat **chronic lateral ankle instability**, typically resulting from recurrent sprains that have led to insufficiency of the **Anterior Talofibular Ligament (ATFL)** and the **Calcaneofibular Ligament (CFL)**. The procedure is a type of **non-anatomic tenodesis stabilization**. It involves using the **Peroneus Brevis tendon**, which is rerouted through tunnels drilled in the distal fibula and the neck of the talus to functionally replace the damaged lateral ligaments. While it provides significant stability, it is often associated with a decrease in subtalar joint motion. **Analysis of Options:** * **Poliomyelitis & Muscle Paralysis:** These conditions often require tendon transfers (like the Jones procedure for great toe clawing) or arthrodesis (like Triple Arthrodesis) to restore balance, but not the Watson-Jones ligament reconstruction. * **Neglected Clubfoot:** This requires extensive soft tissue releases (Turco’s procedure) or bony procedures (Ilizarov, Triple Arthrodesis, or Dwyer’s osteotomy) depending on the age of the patient. **High-Yield Clinical Pearls for NEET-PG:** * **Other Tenodesis Procedures:** Apart from Watson-Jones, the **Evans procedure** and **Chrisman-Snook procedure** also use the Peroneus Brevis for ankle stability. * **Gold Standard:** The **Broström procedure** (anatomic repair/imbrication of the original ligaments) is now preferred over Watson-Jones as it preserves more normal joint kinematics. * **Confusing Names:** Do not confuse the **Watson-Jones operation** (ankle) with the **Watson-Jones approach** (anterolateral approach to the hip).
Explanation: ### Explanation **Triple arthrodesis** is a surgical procedure aimed at stabilizing the hindfoot, correcting deformities, and relieving pain caused by arthritis or neuromuscular conditions. The term "triple" refers to the fusion of **three specific joints** of the hindfoot. #### Why Tibiotalar Joint is the Correct Answer: The **Tibiotalar joint (Ankle joint)** is responsible for plantarflexion and dorsiflexion. It is **not** part of a triple arthrodesis. Fusing the ankle joint along with the hindfoot joints is termed a "pantalar arthrodesis." In a standard triple arthrodesis, the goal is to preserve ankle motion while stabilizing the joints responsible for inversion and eversion. #### Analysis of Incorrect Options: The three joints involved in a triple arthrodesis are: 1. **Talocalcaneal (Subtalar) Joint:** Fusion here stabilizes the primary site of hindfoot inversion and eversion. 2. **Talonavicular Joint:** This is considered the "key" joint of the triple arthrodesis; its fusion significantly limits the motion of the other two joints. 3. **Calcaneocuboid Joint:** Fusion of the lateral column completes the stabilization of the midtarsal (Chopart) joint complex. --- ### High-Yield Clinical Pearls for NEET-PG: * **Indications:** Most commonly performed for **Rigid Flatfoot**, Talipes Equinovarus (TEV), and neuromuscular imbalances (e.g., Polio, Charcot-Marie-Tooth). * **Order of Fixation:** The standard sequence for surgical fixation is usually **Talonavicular → Subtalar → Calcaneocuboid**. * **Impact on Motion:** While it provides excellent stability, it results in the loss of almost all inversion and eversion, placing increased stress on the ankle joint (Tibiotalar joint) over time. * **Chopart’s Joint:** This consists of the Talonavicular and Calcaneocuboid joints. Triple arthrodesis essentially fuses the Subtalar joint + Chopart’s joint.
Explanation: ***Inversion of the foot producing tension on the peroneus brevis tendon*** - Inversion of the foot creates strong **traction** on the **peroneus brevis tendon**, which inserts at the base of the 5th metatarsal, causing an **avulsion fracture** of the styloid process. - This mechanism is the classic cause of a **5th metatarsal base avulsion fracture**, commonly seen in ankle sprains with significant inversion force. *Forcible inversion of the foot in plantar flexion, such as in a dancer's injury* - This mechanism typically causes a **Jones fracture** at the **metaphyseal-diaphyseal junction** of the 5th metatarsal, not at the styloid process. - **Dancer's fractures** occur more distally in the metatarsal shaft due to **repetitive stress** rather than acute avulsion. *Fall while climbing stairs or falling from a height* - These mechanisms typically result in **calcaneal fractures**, **ankle fractures**, or **metatarsal shaft fractures** from axial loading. - The injury pattern would show **compression** or **bending forces** rather than the characteristic **avulsion pattern** at the 5th metatarsal base. *A direct blow* - Direct trauma typically causes **transverse fractures** of the metatarsal shaft or **crush injuries** to the forefoot. - This mechanism would not specifically target the **styloid process** of the 5th metatarsal base where the peroneus brevis inserts.
Explanation: **Explanation:** The correct answer is **A** because the bony prominence seen in Hallux Valgus is **not a true exostosis** (new bone growth). Instead, it is a **pseudo-exostosis** formed by the medial prominence of the first metatarsal head as it deviates medially (metatarsus primus varus), combined with overlying soft tissue thickening. **Analysis of Options:** * **Option A (Correct):** As stated, the "bump" is the displaced metatarsal head itself, not a pathological outgrowth of bone (exostosis). This is a common distractor in orthopedic exams. * **Option B:** A **bunion** is a classic feature of Hallux Valgus. It consists of the pseudo-exostosis, an inflamed adventitial bursa, and thickened skin on the medial aspect of the first MTP joint. * **Option C:** Chronic malalignment and lateral subluxation of the great toe lead to abnormal loading and articular cartilage wear, eventually resulting in **secondary osteoarthritis** of the first MTP joint. * **Option D:** As the hallux deviates laterally, it crowds the lesser toes. This often leads to the **second toe** being displaced (usually overriding the hallux) and subsequent deformities of the **third toe** due to space constraints. **NEET-PG High-Yield Pearls:** * **Hallux Valgus Angle (HVA):** Normal is <15°. * **Intermetatarsal Angle (IMA):** Normal is <9°. * **Associated Deformity:** Often associated with *Pes Planus* (flat foot) and contracture of the Achilles tendon. * **Surgery:** Common procedures include **Chevron osteotomy** (for mild cases) and **Lapidus procedure** (for severe cases with hypermobility).
Explanation: **Explanation:** Posterior heel pain in an athlete is a common clinical presentation, typically involving the **Achilles tendon complex** or its associated bursae. The correct answer is **All of the above** because these three conditions share a similar anatomical location and clinical presentation. 1. **Achilles Tendinopathy:** This is the most common cause of posterior heel pain in athletes. It can be *insertional* (at the calcaneal attachment) or *non-insertional* (2–6 cm proximal to the insertion). It presents with localized pain and stiffness that worsens with activity. 2. **Achilles Tendon Rupture:** This is an acute injury, often described by the patient as a "pop" or a feeling of being "kicked in the heel." It results in immediate pain, a palpable gap, and a positive **Thompson (Simmonds) test**. 3. **Retrocalcaneal Bursitis:** This involves inflammation of the bursa located between the anterior aspect of the Achilles tendon and the posterior calcaneus. It is often associated with **Haglund’s deformity** (a prominent posterosuperior calcaneal tuberosity). **NEET-PG High-Yield Pearls:** * **Thompson Test:** Squeezing the calf fails to produce plantarflexion; diagnostic for complete Achilles rupture. * **Haglund’s Triad:** Retrocalcaneal bursitis, Achilles tendinosis, and a prominent calcaneal bursal projection. * **Imaging:** MRI is the gold standard for soft tissue assessment, though Ultrasound is a cost-effective initial tool for identifying tears or tendinosis. * **Treatment:** Most chronic tendinopathies respond to eccentric loading exercises, while acute ruptures in athletes may require surgical repair.
Explanation: **Explanation:** The **Angle of Gissane** (also known as the Critical Angle) is formed by the downward slope of the lateral facet of the posterior talar articular surface and the upward slope of the anterior and middle facets. In a normal calcaneus, this angle typically ranges between **120° and 145°**. In an intra-articular calcaneal fracture (typically caused by an axial loading force), the talus acts as a wedge, driving the posterior facet downward into the body of the calcaneus. This depression of the posterior facet causes the downward slope to become steeper or more vertical relative to the anterior portion, resulting in an **increase** in the Angle of Gissane. **Analysis of Options:** * **B (Increased):** Correct. The collapse of the posterior facet relative to the anterior/middle facets widens the angle. * **A (Reduced):** Incorrect. While the **Bohler’s Angle** (normal: 20°–40°) is *reduced* or flattened in calcaneal fractures, the Angle of Gissane increases. * **C & D (Not changed/Variable):** Incorrect. These angles are reliable radiographic markers of calcaneal anatomy; a change is expected in displaced intra-articular fractures. **High-Yield Clinical Pearls for NEET-PG:** * **Bohler’s Angle:** Formed by lines connecting the highest points of the anterior process, posterior facet, and posterior tuberosity. It **decreases** in fractures. * **Mechanism of Injury:** Usually axial loading (e.g., fall from height), often associated with **lumbar spine fractures** (Don Juan Syndrome). * **Mondor’s Sign:** Ecchymosis extending to the sole of the foot; pathognomonic for calcaneal fracture. * **Gold Standard Investigation:** CT scan (Broden’s views are used intraoperatively). * **Classification:** Sanders Classification (based on CT) is used for prognosis and treatment planning.
Explanation: ### Explanation **Triple arthrodesis** is a surgical procedure designed to stabilize the hindfoot, correct deformities, and relieve pain by fusing three specific joints. Despite the name "triple," it involves the fusion of **four bones** across **three joint complexes**. #### 1. Why Option A is Correct The procedure targets the joints responsible for inversion and eversion of the foot. The three joints fused are: * **Subtalar joint** (between the Talus and Calcaneus) * **Talonavicular joint** (between the Talus and Navicular) * **Calcaneocuboid joint** (between the Calcaneus and Cuboid) By fusing these joints, the hindfoot is locked into a neutral position, providing a stable base for weight-bearing, though at the cost of losing side-to-side (inversion/eversion) motion. #### 2. Why Other Options are Incorrect * **Options B & C:** Both include the **Tibiofibular joint** (specifically the distal syndesmosis or the ankle joint/Tibiotalar joint). Fusing the ankle joint is termed an *Ankle Arthrodesis*, not a triple arthrodesis. Triple arthrodesis specifically preserves the ankle joint to maintain dorsiflexion and plantarflexion. #### 3. Clinical Pearls for NEET-PG * **Indications:** Rigid flatfoot (Pes Planus), Charcot-Marie-Tooth disease, severe rheumatoid arthritis, or neglected clubfoot. * **Sequence of Fusion:** In surgery, the joints are usually prepared in the order: Subtalar → Calcaneocuboid → Talonavicular. However, they are **fixed** in the reverse order (Talonavicular first) to ensure proper alignment. * **Position of Fusion:** The foot should be fused in **5° of valgus**, neutral dorsiflexion, and 10° of external rotation. * **High-Yield Fact:** The Talonavicular joint is considered the "key" to the triple arthrodesis; if this joint is not correctly aligned, the entire foot remains deformed.
Explanation: **Explanation:** The clinical scenario describes **Morton’s Neuroma**, which is not a true neoplasm but rather a perineural fibrosis and degeneration of the common digital nerve. **1. Why Option A is Correct:** The most common location for Morton’s Neuroma is the **third intermetatarsal space** (between the 3rd and 4th metatarsal heads). This predilection occurs due to two anatomical factors: * **Nerve Thickness:** The third digital nerve is often thicker because it receives communicating branches from both the medial and lateral plantar nerves. * **Mechanical Stress:** The third space is more mobile compared to the relatively fixed second space, leading to chronic compression of the nerve against the deep transverse metatarsal ligament during the toe-off phase of walking. **2. Analysis of Incorrect Options:** * **Option B (2nd & 3rd space):** This is the second most common site. While it occurs frequently, it is statistically less common than the third space. * **Options C & D (1st/2nd and 4th/5th spaces):** These are extremely rare locations for a neuroma. Pain in the first space is more likely related to hallux valgus or sesamoiditis, while fifth-space pain often suggests a tailor’s bunion. **3. NEET-PG High-Yield Pearls:** * **Demographics:** Most common in middle-aged women, often exacerbated by narrow, high-heeled shoes. * **Clinical Sign:** **Mulder’s Click** – A palpable click or "pop" felt when squeezing the metatarsal heads together while applying pressure to the interspace. * **Diagnosis:** Primarily clinical; however, Ultrasound or MRI can be used for confirmation. * **Treatment:** Initial management includes wide-toe-box shoes and metatarsal pads. Refractory cases require surgical excision of the nerve.
Explanation: **Explanation:** **Equinus deformity** refers to a condition where the foot is held in a position of **plantar flexion** at the ankle joint. The term is derived from the Latin word *equus* (horse), as the patient walks on their toes with the heel unable to touch the ground, mimicking the gait of a horse. This is typically caused by tightness or contracture of the **Tendo-Achilles** or the gastrocnemius-soleus complex. **Analysis of Options:** * **Option C (Correct):** Plantar flexion is the downward movement of the foot. In equinus, the ankle cannot be dorsiflexed to a neutral position (90°), resulting in a fixed plantar-flexed posture. * **Option A & B:** Inversion (turning inward) and Eversion (turning outward) are movements that primarily occur at the **subtalar and midtarsal joints**, not the ankle joint proper. * **Option D:** Dorsiflexion is the upward movement of the foot. A fixed dorsiflexion deformity is known as **Calcaneus deformity** (often seen in paralytic conditions like Polio). **High-Yield Clinical Pearls for NEET-PG:** 1. **CTEV (Clubfoot):** Equinus is one of the four primary components of Congenital Talipes Equinovarus, represented by the mnemonic **CAVE** (Cavus, Adduction, Varus, **Equinus**). Equinus is the last component to be corrected in the Ponseti technique. 2. **Silfverskiöld Test:** Used to differentiate between isolated gastrocnemius contracture and global Achilles tendon tightness. If equinus improves with knee flexion, only the gastrocnemius is tight. 3. **Gait:** Equinus deformity leads to a "Toe-walking" gait and can cause secondary compensatory changes like genu recurvatum (knee hyperextension).
Explanation: **Explanation:** Triple arthrodesis is a surgical procedure aimed at stabilizing the hindfoot, correcting deformities, and relieving pain caused by arthritis or neuromuscular instability. The procedure involves the fusion of the three primary joints of the hindfoot complex: 1. **Subtalar joint** (Talocalcaneal) 2. **Talonavicular joint** 3. **Calcaneocuboid joint** By fusing these three joints, the lateral and medial columns of the foot are stabilized, and inversion/eversion movements are eliminated, providing a solid plantigrade base for walking. **Analysis of Options:** * **Option A (Correct):** Includes all three components of the hindfoot complex required for a standard triple arthrodesis. * **Option B (Incorrect):** The **Tibiofibular joint** is part of the ankle/leg complex, not the hindfoot. Fusing the ankle joint is termed "Ankle Arthrodesis." * **Option C (Incorrect):** The **Tarsometatarsal joints** (Lisfranc joint complex) are part of the midfoot. Their fusion is indicated for Lisfranc injuries or midfoot arthritis, not triple arthrodesis. * **Option D (Incorrect):** The **Talocalcaneal joint** is synonymous with the **Subtalar joint**. This option essentially lists the same joint twice and omits the Calcaneocuboid joint. **High-Yield Clinical Pearls for NEET-PG:** * **Indications:** Rigid flatfoot (Pes Planus), Tarsal coalition, Rheumatoid Arthritis, and neuromuscular conditions like Polio or Charcot-Marie-Tooth disease. * **Movement Loss:** The primary trade-off of triple arthrodesis is the total loss of **inversion and eversion** of the foot. * **Sequence of Fusion:** During surgery, the **Talonavicular joint** is considered the "key" to the reduction and is typically addressed first to set the alignment of the medial column. * **Long-term Complication:** The most common late complication is the development of **secondary osteoarthritis** in the adjacent ankle or midtarsal joints due to increased stress.
Foot and Ankle Anatomy
Practice Questions
Hallux Valgus
Practice Questions
Flatfoot Deformities
Practice Questions
Cavus Foot
Practice Questions
Ankle Instability and Sprains
Practice Questions
Achilles Tendon Disorders
Practice Questions
Diabetic Foot
Practice Questions
Foot and Ankle Arthritis
Practice Questions
Ankle Fractures
Practice Questions
Foot Fractures
Practice Questions
Tendon Disorders of Foot and Ankle
Practice Questions
Reconstructive Procedures
Practice Questions
Get full access to all questions, explanations, and performance tracking.
Start For Free