Chondroblastoma most commonly occurs in which part of the bone?
All of the following statements regarding Ewing's sarcoma are true EXCEPT?
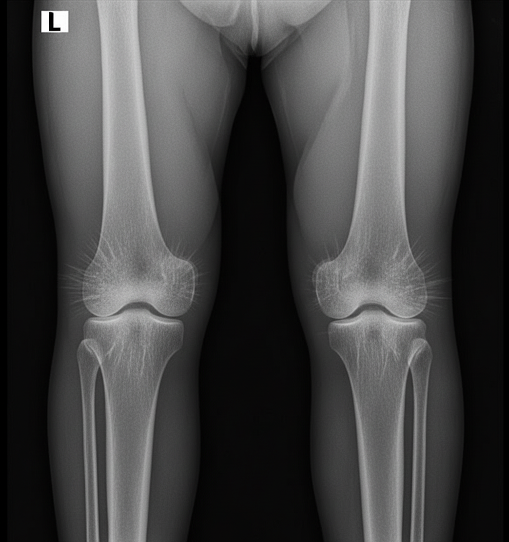
What is the most probable diagnosis based on the X-ray findings in a 20-year-old female presenting with knee swelling?

Osteosclerotic metastasis is common in which cancer?
Generally, radiotherapy should not be used for treating benign conditions. What is the only possible exception to this rule?
Which one of the following is a malignant bone tumor?
A 22-year-old male presents with pain and swelling over the distal radius. X-ray shows an expansile lytic lesion in the metaphysis. Fine needle aspiration (FNA) reveals a bloody aspirate with hemosiderin-laden macrophages. What is the most likely diagnosis?
A 20-year-old male patient presented with localized pain, which is gradual in onset and worsened over time. X-ray showed the following finding. What is the diagnosis?
A 20-year-old patient presents with painful swelling in the middle finger around the proximal phalanx. An X-ray was done, and it is shown below. What is the most likely diagnosis? 
A 17-year-old boy presents to the clinic complaining of a painless lump on the lateral aspect of his left knee. The radiograph of the patient is shown below. Which of the following is the most likely diagnosis?
Explanation: ### Explanation **Correct Option: C. Epiphysis** Chondroblastoma (also known as **Codman’s Tumor**) is a rare, benign primary bone tumor derived from immature cartilage cells (chondroblasts). The hallmark of this tumor is its specific anatomical location: it characteristically arises in the **epiphysis** of long bones (most commonly the proximal humerus, distal femur, and proximal tibia) before the closure of the growth plate. It is one of the few tumors that can cross the physis to involve the metaphysis. **Why other options are incorrect:** * **Metaphysis (A):** This is the most common site for the majority of primary bone tumors, including Osteosarcoma and Osteochondroma. While Chondroblastoma can extend here, it does not originate here. * **Diaphysis (B):** This site is characteristic of tumors like Ewing’s Sarcoma, Adamantinoma, and Osteoid Osteoma. * **Medullary Cavity (D):** While many tumors occupy the medullary space, this is a general anatomical compartment rather than a specific longitudinal segment like the epiphysis. **High-Yield Clinical Pearls for NEET-PG:** * **Age Group:** Typically occurs in the 2nd decade of life (10–20 years), before epiphyseal fusion. * **Radiology:** Appears as a well-defined, eccentric, lytic lesion with a thin sclerotic rim. * **Histology:** Features a **"Chicken-wire" calcification** pattern (calcification surrounding individual chondroblasts) and "Cobblestone" appearance. * **Differential Diagnosis:** The other major epiphyseal tumor is **Giant Cell Tumor (GCT)**, but GCT occurs in an older age group (20–40 years) after the growth plate has closed. * **Treatment:** Surgical curettage and bone grafting.
Explanation: ### Explanation **Ewing’s Sarcoma** is a highly malignant, small round blue cell tumor typically affecting children and adolescents. #### Why Option D is the Correct Answer (The "Except" Statement) **Flexner-Wintersteiner rosettes** are characteristic of **Retinoblastoma** (and occasionally Pineoblastoma). In Ewing’s sarcoma, the classic histological finding is **Homer-Wright rosettes**, where tumor cells are arranged around a central fibrillar area. Both are "small round blue cell tumors," but the type of rosette is a critical distinguishing factor for exams. #### Analysis of Incorrect Options (True Statements) * **A. Common location is the diaphysis:** Unlike Osteosarcoma (metaphysis), Ewing’s sarcoma is the most common primary bone tumor to arise in the **diaphysis** (shaft) of long bones (femur, tibia) and flat bones (pelvis). * **B. Symptoms resemble osteomyelitis:** Patients often present with systemic symptoms like fever, elevated ESR, leukocytosis, and a painful, warm swelling. This mimics an infection, making osteomyelitis the primary differential diagnosis. * **C. Translocation t(11;22):** This is the pathognomonic genetic hallmark, found in >90% of cases. It results in the **EWS-FLI1** fusion gene. #### NEET-PG High-Yield Pearls * **Radiology:** Classic **"onion-skin"** periosteal reaction (due to layers of new bone formation). * **Origin:** Derived from primitive neuroectodermal cells (mesenchymal stem cells). * **PAS Staining:** Tumor cells are **PAS positive** because they contain glycogen (unlike Lymphoma). * **Marker:** **CD99** (MIC2) is a highly sensitive membrane marker for Ewing’s sarcoma. * **Treatment:** It is highly radiosensitive; however, the standard of care is a combination of chemotherapy and surgery (VAC regimen: Vincristine, Adriamycin, Cyclophosphamide).
Explanation: ***Osteosarcoma*** - Most common **primary bone malignancy** in young adults (10-25 years), typically affecting the **metaphysis** of long bones around the knee (distal femur, proximal tibia). - Classic X-ray features include **mixed lytic-sclerotic lesions**, **Codman's triangle** (periosteal elevation), and **sunburst pattern** of new bone formation. *Osteoclastoma* - Also known as **giant cell tumor**, typically occurs in patients aged **20-40 years** but has a predilection for the **epiphysis** rather than metaphysis. - X-ray shows **purely lytic lesions** with well-defined margins and **soap bubble appearance**, lacking the aggressive mixed pattern seen in osteosarcoma. *Osteochondroma* - Most common **benign bone tumor**, usually presents as an **asymptomatic bony projection** rather than swelling. - X-ray shows a **pedunculated or sessile bony outgrowth** with **cartilaginous cap**, not the destructive mixed lytic-sclerotic pattern typical of malignant tumors. *None of the above* - Given the patient's age (**20 years**), location (**knee**), and typical X-ray findings described, osteosarcoma fits the classic presentation. - The **demographic profile** and **radiological characteristics** strongly support a specific diagnosis rather than an atypical presentation.
Explanation: **Explanation:** Bone metastases are broadly classified into **osteolytic** (bone-destroying) and **osteoblastic/osteosclerotic** (bone-forming). **1. Why Prostate Cancer is Correct:** Prostate carcinoma is the classic example of a malignancy that produces **osteoblastic (sclerotic)** lesions. This occurs because prostate cancer cells secrete factors like Bone Morphogenetic Proteins (BMPs) and Endothelin-1, which stimulate osteoblasts to lay down new, dense, but disorganized bone. On X-ray, these appear as radiopaque (white) spots. **2. Analysis of Incorrect Options:** * **Lungs:** Lung cancer typically produces **osteolytic** lesions. An exception is Small Cell Lung Cancer, which can sometimes be mixed, but it is not the primary answer for pure sclerosis. * **Malignant Melanoma:** This is a highly aggressive tumor that characteristically causes **osteolytic** destruction. * **Renal Cell Carcinoma (RCC):** RCC is famous for producing purely **osteolytic**, "blow-out" expansile lesions that are highly vascular. **3. High-Yield Clinical Pearls for NEET-PG:** * **Most common source of Osteoblastic Mets:** Prostate (Men), Breast (Women - though breast is often mixed). * **Most common source of Osteolytic Mets:** Lung, RCC, Thyroid, and Multiple Myeloma. * **Purely Lytic:** RCC and Multiple Myeloma (Note: Multiple Myeloma is **Cold** on Bone Scan). * **Route of Spread:** Most spinal metastases spread via the **Batson’s venous plexus** (a valveless system). * **Investigation of Choice:** **Bone Scan (Technetium-99m)** is the most sensitive screening tool for most mets, except for Multiple Myeloma where a Skeletal Survey (X-ray) is preferred.
Explanation: **Explanation:** The general rule in orthopaedics is to avoid radiotherapy for benign conditions due to the risk of **radiation-induced sarcomatous transformation** and long-term morbidity. However, **Pigmented Villonodular Synovitis (PVNS)**, specifically the diffuse type, is a notable exception. **Why PVNS is the exception:** PVNS is a benign but locally aggressive proliferative disorder of the synovium. While surgical synovectomy is the primary treatment, the **diffuse form** has a very high recurrence rate (up to 40-50%). In cases where the disease is extensive, involves vital neurovascular structures, or recurs repeatedly after surgery, **low-dose external beam radiotherapy** is used as an adjuvant to achieve local control and prevent further joint destruction. **Analysis of Incorrect Options:** * **A. Chondromyxoid Fibroma:** This is a benign cartilaginous tumor. Radiotherapy is strictly contraindicated as it carries a high risk of inducing a secondary malignant transformation into post-radiation sarcoma. * **C. Benign Fibrous Histiocytoma:** This is treated by curettage and bone grafting. It is not radiosensitive, and surgery is curative. * **D. Desmoplastic Fibroma:** Although locally aggressive and difficult to excise, the primary treatment remains wide surgical resection. Radiotherapy is generally avoided due to the risk of malignant transformation into fibrosarcoma. **NEET-PG High-Yield Pearls:** * **PVNS Pathognomonic feature:** MRI shows "blooming effect" on Gradient Echo (GRE) sequences due to **hemosiderin** deposits. * **Giant Cell Tumor (GCT):** Another benign but aggressive tumor where radiotherapy is reserved only for "unresectable" lesions (e.g., spine/sacrum) due to the risk of transformation into malignant GCT. * **Radiotherapy in Orthopaedics:** Most commonly used for malignant tumors (Ewing’s Sarcoma) or palliative care in bony metastases.
Explanation: **Explanation:** The correct answer is **Chondrosarcoma**. In orthopedic oncology, the suffix **"-sarcoma"** denotes a malignant tumor of mesenchymal origin. Chondrosarcoma is a malignant tumor characterized by the production of cartilage matrix by tumor cells. It typically affects adults (40–60 years) and commonly involves the pelvis, femur, and humerus. **Analysis of Options:** * **Osteoid Osteoma (Option A):** A benign, bone-forming tumor characterized by a small radiolucent **nidus** (less than 2 cm). It classically presents with nocturnal pain that is dramatically relieved by Aspirin/NSAIDs. * **Chondroma (Option B):** A benign cartilage tumor. When located within the medullary cavity, it is called an **Enchondroma**. Multiple enchondromas are seen in Ollier’s disease and Maffucci syndrome. * **Osteochondroma (Option D):** Also known as **Exostosis**, this is the **most common benign bone tumor**. It is a cartilage-capped bony outgrowth from the metaphysis, pointing away from the joint. **NEET-PG High-Yield Pearls:** 1. **Malignancy Rule:** Most tumors ending in "-oma" are benign (e.g., Osteoma, Chondroma), while those ending in "-sarcoma" are malignant (e.g., Osteosarcoma, Chondrosarcoma). *Exceptions to remember: Lymphoma, Melanoma, and Myeloma are always malignant.* 2. **Radiology of Chondrosarcoma:** Look for "popcorn calcification" or "ring-and-arc" patterns on X-ray. 3. **Most common primary malignant bone tumor:** Osteosarcoma (in children/adolescents) and Multiple Myeloma (in adults >40). 4. **Most common benign bone tumor:** Osteochondroma.
Explanation: ***Aneurysmal bone cyst*** - This diagnosis is highly suggested by the patient's age (young adult) and the finding of an **expansile and lytic metaphyseal lesion** in a long bone like the distal radius. - The fine needle aspiration finding of a bloody aspirate containing numerous **hemosiderin-laden macrophages** is characteristic, reflecting the hemorrhagic, non-neoplastic, multicystic nature of an aneurysmal bone cyst (ABC). *Giant cell tumor* - While GCT is also lytic and occurs in young adults, it classically arises in the **epiphysis** (subarticular region) of long bones, especially around the knee (distal femur, proximal tibia). - Histologically, GCT shows numerous evenly distributed **multinucleated giant cells** and mononuclear stromal cells, which would dominate the aspirate rather than just blood and macrophages. *Osteosarcoma* - Osteosarcoma is typically an aggressive malignant tumor that often presents with mixed lytic and **sclerotic** features and frequently shows significant periosteal reaction (e.g., **Codman triangle** or **sunburst pattern**). - Cytology would reveal highly **anaplastic malignant cells** actively producing osteoid, which is the defining characteristic. *Chondroblastoma* - This is an uncommon benign tumor that characteristically arises in the **epiphysis** of long bones (e.g., proximal humerus, femoral condyles). - Histology is defined by compact polygonal cells called **chondroblasts** often surrounded by deposits of **chondroid matrix** and characteristic **"chicken-wire" calcification**. - The metaphyseal location and bloody aspirate with hemosiderin-laden macrophages do not fit this diagnosis.
Explanation: ***Osteosarcoma*** - The X-ray shows a classic **sunburst appearance**, which represents spiculated periosteal new bone formation radiating outwards, a hallmark of osteosarcoma. - This diagnosis is supported by the patient's age (peak incidence in adolescence/young adulthood) and the tumor's location in the **metaphysis** of a long bone (distal tibia). *Ewing sarcoma* - This tumor typically presents with a lytic lesion and a lamellated, **"onion-skin" periosteal reaction**, which is different from the sunburst pattern seen here. - Ewing sarcoma most commonly arises in the **diaphysis** (shaft) of long bones or in flat bones like the pelvis. *Chondrosarcoma* - This is a malignant cartilage-forming tumor that typically affects older adults (usually >40 years), making it less likely in a 20-year-old. - Radiographically, it is characterized by **"ring-and-arc"** or **"popcorn" calcifications** within the tumor matrix, which are absent in this image. *Gout* - Gout is a form of inflammatory arthritis, not a bone tumor, and would present with acute joint pain and swelling rather than a gradual mass effect. - Radiographic findings in chronic gout include characteristic **"punched-out" erosions** with overhanging edges, which are completely different from the aggressive, bone-forming lesion shown.
Explanation: ***Enchondroma*** - This is the most common primary bone tumor of the hand, typically found in the **phalanges** and **metacarpals** in patients aged 10-40, consistent with this case. - The X-ray shows a classic well-defined, centrally located, **lytic lesion** causing **endosteal scalloping** (thinning of the inner cortex) and expansile remodeling, which are characteristic features of an **enchondroma**. *Osteosarcoma* - **Osteosarcoma** typically arises in the **metaphysis** of long bones like the femur and tibia, and is very rare in the small bones of the hand. - Radiographically, it presents with aggressive features like **cortical destruction**, a soft tissue mass, and a **sunburst** or **Codman's triangle** periosteal reaction, which are absent in this image. *Ewing's sarcoma* - This is a highly malignant tumor that most commonly affects the **diaphysis** (shaft) of long bones and the pelvis; its occurrence in the hand is extremely rare. - It classically shows an aggressive, permeative or **moth-eaten** lytic lesion with a large soft tissue component and a characteristic **onion-skin** periosteal reaction. *Osteoclastoma* - Also known as a Giant Cell Tumor (GCT), it characteristically occurs in the **epiphysis** of long bones in skeletally mature individuals, most commonly around the knee. - The typical radiographic appearance is an eccentric, lytic lesion extending to the subarticular bone, often described as having a **"soap bubble"** appearance, which differs from the findings here.
Explanation: ***Osteochondroma*** - The radiograph displays a classic **bony exostosis** with a stalk (pedunculated) arising from the metaphyseal region of the distal femur, which is the pathognomonic appearance of an osteochondroma. - These are the most common benign bone tumors, typically presenting in adolescents as a painless, slow-growing mass near the **growth plates** of long bones, especially around the knee. *Enchondroma* - An enchondroma is a benign cartilaginous tumor that develops *within* the **medullary cavity** of a bone, not as an external projection. - They are most commonly found in the small bones of the hands and feet and appear as a lytic lesion with characteristic **"rings and arcs" calcification** on radiographs. *Chondroblastoma* - This is a rare benign cartilaginous tumor that characteristically arises in the **epiphysis** of long bones in skeletally immature patients. - Radiographically, it appears as a well-defined, lytic lesion, often with a thin **sclerotic rim**, located in the end of the bone, unlike the metaphyseal outgrowth seen here. *Giant cell tumor* - This is a locally aggressive tumor that typically affects the **epiphysis** of long bones in skeletally mature adults (age 20-40). - It appears as an eccentric, lytic lesion with a **"soap bubble"** appearance that extends to the subchondral bone, which is inconsistent with the presented image.
Classification of Bone Tumors
Practice Questions
Benign Bone Tumors
Practice Questions
Malignant Primary Bone Tumors
Practice Questions
Metastatic Bone Disease
Practice Questions
Tumor-Like Lesions of Bone
Practice Questions
Soft Tissue Tumors
Practice Questions
Evaluation and Staging of Bone Tumors
Practice Questions
Biopsy Principles
Practice Questions
Limb Salvage Surgery
Practice Questions
Amputation for Bone Tumors
Practice Questions
Adjuvant Therapies
Practice Questions
Surveillance and Follow-up
Practice Questions
Get full access to all questions, explanations, and performance tracking.
Start For Free