Which test is used for posterior dislocation of the glenohumeral joint?
Which solitary bone lesion does not arise from the metaphysis?
Sunray appearance on X-ray may be seen in:
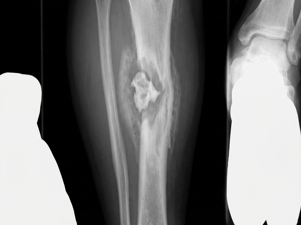
A patient with a history of Road Traffic Accident (RTA) two years ago developed pain and swelling at the same site in the leg. X-ray shows certain features. What is the most likely diagnosis?

Which of the following conditions is considered a premalignant condition for secondary osteosarcoma?
Which tumors are known to produce expansile bony metastases?
New periosteal bone formation can be seen in which of the following conditions?
Which of the following is NOT a non-neoplastic lesion that simulates a bone tumor?
Which of the following is NOT a diaphyseal tumor?
What is the most serious complication of Paget's disease?
Explanation: The **Jerk test** is the specific clinical maneuver used to assess **posterior instability** and posterior labral tears of the glenohumeral joint. ### **Explanation of Options** * **A. Jerk Test (Correct):** To perform this, the patient’s arm is placed in 90° of abduction and internal rotation. The examiner applies an axial load to the humerus while moving the arm into horizontal adduction. A positive result is a sudden "jerk" or "clunk" as the humeral head subluxates posteriorly over the glenoid rim. * **B. Fulcrum Test:** This is used to diagnose **stress fractures of the femoral shaft**. The examiner’s arm acts as a fulcrum under the patient's thigh while downward pressure is applied to the knee. * **C. Crank Test:** This is used to identify **SLAP (Superior Labrum Anterior to Posterior) lesions**. It involves axial loading and rotation of the humerus in an elevated position. * **D. McMurray’s Test:** A classic physical exam maneuver used to diagnose **meniscal tears** in the knee joint, not the shoulder. ### **High-Yield Clinical Pearls for NEET-PG** * **Posterior Dislocation:** Often associated with **seizures** or **electric shocks**. On X-ray, look for the **"Light bulb sign"** (due to internal rotation) and the **"Rim sign"**. * **Kim Test:** Another specific test for posteroinferior labral tears, often performed in conjunction with the Jerk test. * **Anterior Instability:** The most common type of shoulder dislocation. Key tests include the **Apprehension test**, **Relocation test**, and **Surprise test**. * **Bankart Lesion:** Avulsion of the anteroinferior labrum; **Hill-Sachs Lesion:** Compression fracture of the posterolateral humeral head (both seen in anterior dislocations).
Explanation: The location of a bone lesion relative to the growth plate is a critical diagnostic feature in orthopaedic oncology. Most primary bone tumors occur in the **metaphysis** because it is the site of maximum metabolic activity and rapid cell turnover. ### **Why Giant Cell Tumour (GCT) is the Correct Answer** **Giant Cell Tumour (Osteoclastoma)** is classically an **epiphyseal** lesion. It typically occurs in young adults (20–40 years) after the growth plate has closed. The tumor starts in the metaphysis but characteristically extends into the epiphysis, reaching the subchondral bone. On X-ray, it appears as an eccentric, "soap-bubble" lytic lesion. ### **Analysis of Incorrect Options** * **Simple Bone Cyst (SBC):** These are centrally located, fluid-filled cavities found almost exclusively in the **metaphysis** of long bones (commonly the proximal humerus or femur) in children. * **Aneurysmal Bone Cyst (ABC):** These are expansile, blood-filled reactive lesions that typically arise in the **metaphysis**. They are known for their "blow-out" appearance on imaging. * **Fibrous Dysplasia:** This is a developmental anomaly where normal bone is replaced by fibrous tissue. While it can involve the diaphysis, it most commonly affects the **metaphysis** (e.g., "Shepherd’s Crook" deformity of the proximal femur). ### **High-Yield Clinical Pearls for NEET-PG** * **Epiphyseal Lesions:** Remember the mnemonic **"GEC"** — **G**iant Cell Tumour, **E**nchondroma (sometimes), and **C**hondroblastoma (the only one occurring *before* epiphyseal closure). * **Diaphyseal Lesions:** Ewing’s Sarcoma, Adamantinoma, Osteoid Osteoma, and Eosinophilic Granuloma. * **GCT Key Fact:** Although histologically benign, GCT is locally aggressive and can rarely metastasize to the lungs ("Benign Pulmonary Metastasis"). * **Treatment of GCT:** Extended curettage with the use of a physical/chemical adjuvant (like liquid nitrogen or phenol) and packing with bone cement (PMMA).
Explanation: **Explanation:** The **Sunray (or Sunburst) appearance** is a classic radiological sign of a highly aggressive periosteal reaction. It occurs when the tumor grows so rapidly that the periosteum does not have time to form a solid layer of new bone. Instead, the Sharpey’s fibers are stretched perpendicular to the bone cortex, and ossification occurs along these fibers, creating the appearance of radiating rays of bone. * **Osteosarcoma (Correct):** This is the most common primary malignant bone tumor in young adults. The sunray appearance is a hallmark feature, along with **Codman’s triangle** (elevation of the periosteum) and a mixed lytic-sclerotic lesion. It typically involves the metaphysis of long bones (e.g., distal femur). **Why other options are incorrect:** * **Osteoclastoma (Giant Cell Tumor):** Characteristically shows a **"Soap bubble" appearance**. It is an eccentric, epiphyseal lesion that occurs after physeal closure. * **Osteoblastoma:** Usually presents as a well-circumscribed radiolucent lesion, often involving the posterior elements of the spine. It does not typically show aggressive periosteal reactions. * **Chondroblastoma:** A rare benign tumor that occurs in the **epiphysis** of young patients. It typically shows a "fluffy" or "stippled" calcification (popcorn calcification) rather than a sunray pattern. **NEET-PG High-Yield Pearls:** * **Onion-peel appearance:** Ewing’s Sarcoma (lamellated periosteal reaction). * **Ground-glass appearance:** Fibrous Dysplasia. * **Nidus < 2cm with nocturnal pain relieved by Aspirin:** Osteoid Osteoma. * **Most common site for Osteosarcoma:** Around the knee (Distal femur > Proximal tibia).
Explanation: ***Chronic osteomyelitis*** - History of **Road Traffic Accident** two years ago provides a predisposing factor for bone infection through **open fracture** or **contamination**. - X-ray findings typically show **sequestrum** (dead bone), **involucrum** (new bone formation), **sclerosis**, and **periosteal reaction** consistent with chronic infection. *Osteogenic sarcoma* - Most common in **adolescents** and young adults, typically presenting as a **primary malignancy** without clear traumatic history. - X-ray shows **sunburst pattern**, **Codman's triangle**, and **soft tissue mass**, which differ from post-traumatic chronic infection changes. *Ewing's sarcoma* - Predominantly affects **children and adolescents** under 20 years, with no clear association to trauma. - Characteristic X-ray findings include **onion-skin appearance** with **permeative bone destruction** and extensive **soft tissue involvement**. *Multiple myeloma* - Typically occurs in **elderly patients** over 60 years and presents as **multiple lytic lesions** throughout the skeleton. - Associated with **systemic symptoms** like anemia, hypercalcemia, and renal dysfunction, not localized post-traumatic pain.
Explanation: **Explanation:** Secondary osteosarcoma refers to an osteosarcoma that arises from a pre-existing benign bone lesion or underlying bone pathology. Unlike primary osteosarcoma, which typically occurs in adolescents, secondary osteosarcoma usually presents in older adults (40–60+ years). **Why "All of the above" is correct:** Each of the listed conditions carries a documented risk of malignant transformation into a sarcoma, most commonly osteosarcoma or chondrosarcoma. * **Paget’s Disease (Option A):** This is the most common cause of secondary osteosarcoma in the elderly. Chronic high bone turnover leads to genetic mutations; approximately 1% of patients with extensive Paget’s disease develop osteosarcoma (often involving the pelvis, femur, or humerus). * **Enchondromatosis (Ollier’s Disease/Maffucci Syndrome) (Option B):** While solitary enchondromas rarely turn malignant, multiple enchondromas carry a significant risk (up to 25–30%) of transforming into secondary chondrosarcoma or, less commonly, osteosarcoma. * **Diaphyseal Aclasis (Hereditary Multiple Exostoses) (Option C):** This condition involves multiple osteochondromas. There is a roughly 1–5% risk of the cartilage cap undergoing malignant transformation into a secondary sarcoma. **High-Yield Clinical Pearls for NEET-PG:** * **Post-Radiation:** Prior radiotherapy is another major risk factor for secondary osteosarcoma (latency period of 5–10 years). * **Prognosis:** Secondary osteosarcomas generally have a **poorer prognosis** and a worse response to chemotherapy compared to primary osteosarcomas. * **Radiological Sign:** A sudden increase in pain or a rapid increase in the size of a stable lesion in these conditions should raise immediate suspicion of malignant transformation.
Explanation: **Explanation:** The correct answer is **D. All the above**. Expansile bony metastases are characterized by aggressive osteolytic destruction that causes the cortex to bulge outward, often creating a "blow-out" appearance on imaging. This occurs when the rate of tumor growth is rapid enough to destroy bone but slow enough to allow the periosteum to form a thin shell of new bone around the lesion. **Breakdown of Options:** * **Renal Cell Carcinoma (RCC):** This is the most classic cause of a "blow-out" metastasis. These lesions are highly vascular and purely osteolytic. * **Thyroid Carcinoma:** Specifically the follicular variant, thyroid secondaries are notorious for being expansile and pulsatile due to their extreme vascularity. * **Melanoma:** While less common than RCC or Thyroid, melanoma frequently produces aggressive, purely lytic, and expansile lesions in the axial and appendicular skeleton. **Why "All the above" is correct:** While RCC and Thyroid are the "classic" duo taught for expansile metastases, the list also includes Melanoma, Pheochromocytoma, and occasionally Hepatocellular Carcinoma. Since all three listed options share the characteristic of producing hypervascular, osteolytic, and expansile secondary deposits, option D is the most accurate. **High-Yield Clinical Pearls for NEET-PG:** 1. **Pulsatile Metastases:** The two most common causes are **RCC** and **Follicular Thyroid Carcinoma**. 2. **Osteoblastic (Sclerotic) Metastases:** Most commonly from **Prostate cancer** (classic) and Breast cancer (can be mixed). 3. **Purely Lytic Metastases:** Think **RCC**, **Thyroid**, and **Multiple Myeloma** (though MM is a primary bone marrow malignancy). 4. **Commonest site for bone metastasis:** The **spine** (via Batson’s venous plexus). 5. **Investigation of choice:** **PET-CT** is generally preferred, but for screening most metastases, a **Bone Scan (Technetium-99m)** is used (Note: Bone scans may be false-negative in purely lytic lesions like Multiple Myeloma).
Explanation: **Explanation:** The correct answer is **All of the above** because each of these conditions triggers the periosteum to produce new bone in response to underlying inflammation, trauma, or neoplastic growth. This process is known as a **periosteal reaction**. 1. **Ewing’s Sarcoma:** This is a highly aggressive malignant bone tumor. It typically presents with a **"sunburst"** or **"onion-skin"** (lamellated) appearance on X-ray. The rapid growth of the tumor lifts the periosteum, and the body attempts to contain it by depositing layers of new bone. 2. **Caffey Disease (Infantile Cortical Hyperostosis):** This is a rare, self-limiting inflammatory disorder of infants. It is characterized by a triad of irritability, soft tissue swelling, and massive **subperiosteal new bone formation**, most commonly affecting the mandible, clavicle, and ulna. 3. **Garre’s Osteomyelitis (Chronic Osteomyelitis with Proliferative Periostitis):** This is a specific type of chronic osteomyelitis where low-grade infection stimulates the periosteum to produce thick, concentric layers of new bone. It classically presents as a hard, non-tender swelling of the jaw (mandible). **High-Yield Clinical Pearls for NEET-PG:** * **Onion-skin appearance:** Characteristic of Ewing’s sarcoma and sometimes Garre’s osteomyelitis. * **Codman’s Triangle:** A triangular area of new subperiosteal bone formed when a tumor (like Osteosarcoma) lifts the periosteum rapidly. * **Sunburst/Hair-on-end:** Seen in Osteosarcoma due to rapid spicule formation. * **Mandible involvement:** If a question mentions periosteal reaction in the jaw of a child, think of either Caffey disease or Garre’s osteomyelitis.
Explanation: ### Explanation In Orthopaedics, certain non-neoplastic conditions are termed **"tumor-like lesions"** because they mimic the clinical or radiological appearance of true bone neoplasms. **Why Hurler Syndrome is the Correct Answer:** **Hurler syndrome (Mucopolysaccharidosis Type I)** is a systemic lysosomal storage disorder caused by a deficiency of the enzyme alpha-L-iduronidase. While it causes significant skeletal abnormalities (collectively known as *dysostosis multiplex*, such as J-shaped sella or ovoid vertebrae), it presents as a **generalized skeletal dysplasia** rather than a localized lesion that simulates a bone tumor. It does not typically enter the differential diagnosis for a solitary bone tumor. **Analysis of Incorrect Options:** * **Fibrous Dysplasia:** A classic "tumor-like lesion" where normal bone is replaced by fibrous tissue and immature bone. Radiologically, it presents as a "ground-glass" appearance and can easily be mistaken for a neoplastic process like an osteoid osteoma or low-grade sarcoma. * **Bone Island (Enostosis):** A focus of mature compact bone within the cancellous bone. It mimics a small osteoma or a sclerotic metastasis (like from prostate cancer) on X-ray. * **Bone Infarct:** Medullary bone infarction (osteonecrosis) can present with peripheral calcification and "smoke-up-the-chimney" appearance, often mimicking an enchondroma or a low-grade chondrosarcoma. **NEET-PG High-Yield Pearls:** * **Common Tumor Mimickers:** Remember the mnemonic **"FAME"** (Fibrous dysplasia, Aneurysmal bone cyst, Metaphyseal fibrous defect/NOF, Enchondroma/Eosinophilic granuloma). * **Brown Tumor:** A non-neoplastic lesion caused by **Hyperparathyroidism**; it is a classic "pseudotumor" that disappears once the underlying endocrine issue is treated. * **Myositis Ossificans:** A post-traumatic soft tissue lesion that can mimic an osteosarcoma due to rapid growth and peripheral mineralization.
Explanation: **Explanation:** The location of a bone tumor within the long bone (epiphysis, metaphysis, or diaphysis) is a critical diagnostic clue in orthopaedics. **Why Chondroblastoma is the correct answer:** Chondroblastoma is a classic **epiphyseal** tumor. It typically occurs in young patients (10–20 years) before the growth plate closes. It is one of the few tumors that originate in the epiphysis, along with Giant Cell Tumor (which occurs after physeal closure). Because it is epiphyseal and not diaphyseal, it is the correct "NOT" option. **Analysis of Incorrect Options (Diaphyseal Tumors):** * **Adamantinoma:** A rare, slow-growing malignant tumor that almost exclusively involves the **diaphysis of the tibia**. * **Ewing’s Sarcoma:** A highly malignant round-cell tumor that characteristically involves the **diaphysis** of long bones in children. It often presents with an "onion-skin" periosteal reaction. * **Osteoid Osteoma:** While it can occur in various locations, it frequently involves the **cortex of the diaphysis** (especially the femur and tibia), presenting with night pain relieved by aspirin. **NEET-PG High-Yield Pearls:** * **Mnemonic for Diaphyseal Tumors:** "**A E I O U**" — **A**damantinoma, **E**wing’s Sarcoma, **I**sland of bone (Osteoid Osteoma), **O**steoblastoma (can be), **U**nusual (Eosinophilic Granuloma/Lymphoma). * **Epiphyseal Tumors:** Only two major ones to remember: **Chondroblastoma** (Children/Open physis) and **Giant Cell Tumor** (Adults/Closed physis). * **Metaphyseal Tumors:** Most common site for bone tumors (e.g., Osteosarcoma, Osteochondroma).
Explanation: **Explanation:** **Paget’s Disease (Osteitis Deformans)** is characterized by excessive and disorganized bone remodeling, where overactive osteoclasts lead to compensatory, chaotic bone formation. While most patients are asymptomatic, the most feared and serious complication is **malignant transformation into Osteosarcoma.** 1. **Why Osteosarcoma is correct:** In approximately 1% of patients with Paget’s disease (and up to 5-10% in extensive polyostotic cases), the rapid bone turnover triggers a malignant change. **Pagetoid Sarcoma** (secondary osteosarcoma) typically occurs in elderly patients (unlike primary osteosarcoma in the young) and carries an extremely poor prognosis. Clinical suspicion should arise if a stable Pagetic patient develops sudden, localized pain or a new soft tissue mass. 2. **Why other options are incorrect:** * **A. Osteochondroma:** This is a benign developmental outgrowth (exostosis) of the growth plate and is not associated with the pathophysiology of Paget’s disease. * **C. Osteopetrosis:** This is a genetic condition characterized by "marble bones" due to defective osteoclast function. It is a distinct entity from the disordered remodeling seen in Paget’s. * **D. Osteitis deformans:** This is simply the **synonym** for Paget’s disease itself, not a complication. **High-Yield Clinical Pearls for NEET-PG:** * **Markers:** Elevated **Serum Alkaline Phosphatase (ALP)** with normal Calcium and Phosphorus. Urinary hydroxyproline is a marker of bone resorption. * **Radiology:** Look for "Cotton wool" appearance of the skull, "Picture frame" vertebrae, and "Blade of grass" (flame-shaped) lytic lesions. * **Other Complications:** High-output heart failure (due to increased vascularity), pathological fractures (Chalk-stick fractures), and cranial nerve palsies (due to foraminal narrowing). * **Treatment:** Bisphosphonates (e.g., Zoledronate) are the drug of choice.
Classification of Bone Tumors
Practice Questions
Benign Bone Tumors
Practice Questions
Malignant Primary Bone Tumors
Practice Questions
Metastatic Bone Disease
Practice Questions
Tumor-Like Lesions of Bone
Practice Questions
Soft Tissue Tumors
Practice Questions
Evaluation and Staging of Bone Tumors
Practice Questions
Biopsy Principles
Practice Questions
Limb Salvage Surgery
Practice Questions
Amputation for Bone Tumors
Practice Questions
Adjuvant Therapies
Practice Questions
Surveillance and Follow-up
Practice Questions
Get full access to all questions, explanations, and performance tracking.
Start For Free