In the treatment of osteosarcoma, all of the following chemotherapy agents are used EXCEPT:
Which of the following statements is true regarding hemangioma of the bone?
What is the most common bone involved in hemangioma?
Which of the following is NOT an epiphyseal tumor?
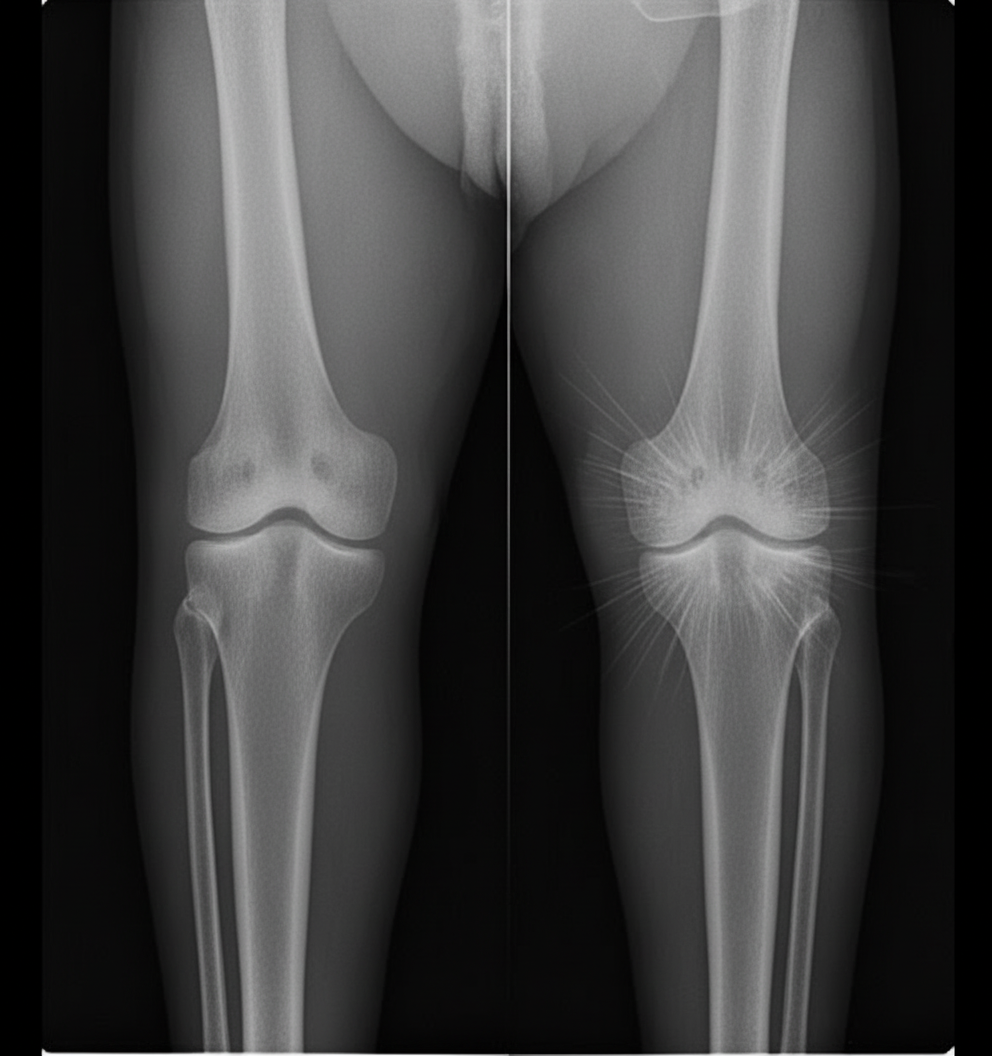
A 25-year-old male presents with right knee swelling of one month duration. A radiograph is provided. Which of the following statements is true regarding this condition?

Which of the following bones is not a common site for metastasis?
Which of the following bone tumors is radiosensitive?
Which of the following organs is usually the first site of metastasis in a case of osteosarcoma in a young female?
A 12-year-old girl complains of leg pain persisting for several weeks with a low-grade fever. A radiograph reveals a mass in the diaphyseal region of the left femur with overlying cortical erosion and soft tissue extension. A biopsy of the lesion shows numerous small round cells, rich in PAS-positive diastase-sensitive granules. What is the most likely histological diagnosis?
What is the most common site of a March fracture?
Explanation: **Explanation:** The standard of care for **Osteosarcoma** involves a multimodal approach consisting of neoadjuvant chemotherapy, wide local surgical excision (limb-salvage surgery), and adjuvant chemotherapy. **Why Vincristine is the correct answer:** Vincristine is a vinca alkaloid that inhibits microtubule formation. While it is a cornerstone in the treatment of **Ewing’s Sarcoma** (as part of the VAC/VAI regimen), it has no proven efficacy against Osteosarcoma. Therefore, it is not included in standard osteosarcoma protocols. **Analysis of other options:** * **High-dose Methotrexate (with Leucovorin rescue):** This is a primary agent used to inhibit dihydrofolate reductase, crucial for treating high-grade osteosarcoma. * **Doxorubicin (Adriamycin):** An anthracycline that remains one of the most effective drugs for bone sarcomas. * **Cyclophosphamide:** While not part of the primary "MAP" (Methotrexate, Adriamycin, Platinum) regimen, it is frequently used in **second-line or salvage therapy** for recurrent or refractory osteosarcoma. **High-Yield NEET-PG Pearls:** 1. **Standard Regimen (MAP):** The most common chemotherapy combination for Osteosarcoma is **M**ethotrexate, **A**driamycin (Doxorubicin), and **P**latin (Cisplatin). 2. **Ewing’s Sarcoma Regimen:** Remember the mnemonic **VAC** (Vincristine, Adriamycin, Cyclophosphamide) or **VAI** (Ifosfamide instead of Cyclophosphamide). 3. **Prognostic Marker:** The most important prognostic factor in osteosarcoma is the **histologic response to neoadjuvant chemotherapy** (Huvos grade; >90% necrosis indicates a good prognosis). 4. **Radio-resistance:** Osteosarcoma is generally radio-resistant, making chemotherapy and surgery the mainstays of treatment.
Explanation: **Explanation:** **Hemangioma of the bone** is a benign, slow-growing vascular lesion. The correct answer is **C** because these lesions are considered **hamartomatous** in origin—meaning they are a malformation of normal vascular tissue (capillary, cavernous, or venous) rather than a true neoplastic growth. **Analysis of Options:** * **Option A (Incorrect):** While hemangiomas can occur in the skull, the **vertebral column** (specifically the thoracic and lumbar spine) is the most common site, followed by the skull. * **Option B (Incorrect):** Hemangiomas are strictly **benign** and have no documented malignant potential. Most are asymptomatic and require observation only because they are harmless, not because they are premalignant. * **Option D (Incorrect):** They are relatively common incidental findings (found in ~10% of autopsies), but they account for only **0.7% to 1%** of all primary bone tumors, not 10-12%. **High-Yield Clinical Pearls for NEET-PG:** * **Radiological Signs:** * **Vertebra:** Shows a characteristic **"Jail-bar"** or **"Corduroy cloth"** appearance due to the thickening of vertical trabeculae. * **Skull:** Shows a classic **"Sunburst"** or **"Spoke-wheel"** pattern of trabeculation. * **Management:** Most are asymptomatic and require no treatment. If symptomatic (e.g., spinal cord compression), options include radiotherapy, embolization, or surgical decompression. * **Polka-dot Sign:** On CT scans of the vertebrae, the cross-section of thickened vertical trabeculae appears as multiple small dots.
Explanation: **Explanation:** **Hemangioma** is a benign, slow-growing vascular tumor characterized by the proliferation of blood vessels. It is the most common primary benign tumor of the spine. 1. **Why Vertebrae is Correct:** The **vertebral column** (specifically the thoracic and lumbar spine) is the most common site for skeletal hemangiomas. They are usually asymptomatic and discovered incidentally on imaging. Pathologically, they involve the replacement of bone marrow by vascular channels, leading to the characteristic **"Polka-dot" appearance** on axial CT scans and a **"Corduroy cloth" or "Jail-bar" appearance** (vertical striations) on lateral X-rays due to the thickening of remaining vertical trabeculae. 2. **Why Other Options are Incorrect:** * **Femur and Tibia:** While these are common sites for other bone tumors like Osteoid Osteoma or Osteosarcoma, they are rare sites for hemangiomas. When hemangiomas occur in long bones, they are often located in the craniofacial bones (skull) rather than the appendicular skeleton. * **Pelvis:** Although the pelvis contains significant marrow, it is a much less frequent site for hemangiomas compared to the axial skeleton (spine and skull). **High-Yield Clinical Pearls for NEET-PG:** * **Most common site:** Vertebrae (Thoracic > Lumbar). * **Second most common site:** Skull (Calvarium). * **Radiological Signs:** "Jail-bar" appearance (X-ray), "Polka-dot" sign (CT), and high signal intensity on both T1 and T2 weighted images (MRI) due to fat content. * **Management:** Most are asymptomatic and require no treatment. Symptomatic cases (causing cord compression) may require radiotherapy, embolization, or surgery.
Explanation: The location of a bone tumor relative to the growth plate (epiphysis, metaphysis, or diaphysis) is a high-yield diagnostic marker in orthopaedics. ### **Explanation of the Correct Answer** **D. Simple Bone Cyst (SBC):** This is a **metaphyseal** lesion. SBCs (also known as Unicameral Bone Cysts) typically occur in the proximal humerus or femur of children. They originate near the growth plate in the metaphysis and "migrate" toward the diaphysis as the bone grows. They are never primarily epiphyseal. ### **Analysis of Incorrect Options (Epiphyseal Tumors)** The epiphysis is an uncommon site for tumors; therefore, the few that occur there are frequently tested: * **A. Chondroblastoma:** The classic epiphyseal tumor in children/adolescents (before physeal closure). It is often referred to as "Codman’s tumor." * **B. Osteoclastoma (Giant Cell Tumor):** The most common epiphyseal tumor in adults (after physeal closure). It characteristically extends from the metaphysis into the epiphysis up to the subchondral bone. * **C. Clear Cell Chondrosarcoma:** A rare, low-grade malignant variant of chondrosarcoma that specifically involves the epiphysis of long bones (often the femoral head), mimicking a GCT or chondroblastoma. ### **NEET-PG High-Yield Pearls** * **Mnemonic for Epiphyseal Lesions:** "**C**-**G**-**C**" (**C**hondroblastoma, **G**iant Cell Tumor, **C**lear Cell Chondrosarcoma). * **Age Distinction:** If the physis is **open** (child) → Chondroblastoma; if the physis is **closed** (adult) → Giant Cell Tumor. * **SBC Radiographic Sign:** Look for the **"Fallen Leaf Sign"** (a pathological fracture where a cortical fragment settles at the bottom of the fluid-filled cyst). * **Diaphyseal Tumors:** Remember **Ewing’s Sarcoma**, Osteoid Osteoma, and Adamantinoma.
Explanation: ***All of the above.*** - All three statements accurately describe **osteosarcoma**, the most common primary bone malignancy in young males presenting with knee swelling. - The combination of being a **bone-forming malignant tumor**, showing **Codman's triangle** on radiographs, and having propensity for **pulmonary metastasis** are classic features of osteosarcoma. *It is a bone-forming primary malignant tumor of bone.* - **Osteosarcoma** is indeed the most common primary **bone-forming malignant tumor**, typically affecting the **metaphysis** of long bones. - It predominantly occurs in **adolescents and young adults** (10-25 years), especially around the **knee** (distal femur, proximal tibia). *Codman's triangle can be seen.* - **Codman's triangle** is a classic radiographic sign formed by **elevated periosteum** at the edge of a bone lesion, commonly seen in osteosarcoma. - It represents **reactive new bone formation** where the periosteum is lifted by the underlying aggressive tumor growth. *Hematogenous spread with lung metastasis are common.* - **Pulmonary metastasis** occurs in approximately **80-90%** of osteosarcoma cases via **hematogenous spread**. - **Chest CT** is mandatory in staging as **lung metastases** significantly affect prognosis and treatment planning.
Explanation: **Explanation:** Bone is the third most common site for distant metastasis (after the lung and liver). Metastatic cells typically seed in areas with high **red bone marrow** content and rich vascularity. **1. Why Fibula is the correct answer:** The **Fibula** is a rare site for metastasis. In adults, red marrow is primarily replaced by yellow (fatty) marrow in the distal parts of the appendicular skeleton. The fibula has relatively low vascularity and minimal red marrow compared to the axial skeleton and proximal long bones, making it an unfavorable environment for circulating tumor cells to lodge and proliferate. **2. Analysis of Incorrect Options:** * **Spine (Option D):** This is the **most common** site for bone metastasis overall. The presence of the **Batson’s venous plexus** (a valveless system) allows direct retrograde spread of tumor cells from the pelvic organs (e.g., prostate) to the vertebral column. * **Femur (Option A):** The proximal femur is the second most common site for skeletal metastasis. It contains significant hematopoietic marrow. * **Humerus (Option B):** Along with the femur, the proximal humerus is a frequent site for appendicular metastasis. **High-Yield Clinical Pearls for NEET-PG:** * **Most common primary cancers** spreading to bone: **P**rostate, **B**reast, **L**ung, **K**idney, **T**hyroid (Mnemonic: **PB-KTL** / "Lead Kettle"). * **Most common site:** Spine > Pelvis > Femur > Humerus. * **Acral Metastasis:** Metastasis to the hands or feet is extremely rare and is most commonly associated with **Lung Cancer**. * **Blastic vs. Lytic:** Prostate cancer typically causes osteoblastic (sclerotic) lesions, while Kidney and Thyroid cancers cause purely osteolytic lesions.
Explanation: **Explanation:** **Multiple Myeloma** is a plasma cell neoplasm characterized by the monoclonal proliferation of plasma cells in the bone marrow. In the context of bone tumors, it is highly **radiosensitive**. Radiotherapy is a cornerstone of management for localized lesions (plasmacytomas), providing excellent local control and effective palliation for bone pain. The underlying medical concept is that hematopoietic and lymphoid cells (like plasma cells) have high mitotic rates and low repair capacity, making them more susceptible to ionizing radiation compared to mesenchymal tumors. **Analysis of Incorrect Options:** * **Fibrosarcoma:** This is a primary malignant tumor of mesenchymal fibroblasts. Like most primary bone sarcomas (except Ewing’s), it is considered **radioresistant** and is primarily managed with wide surgical excision. * **Malignant GCT (Giant Cell Tumor):** GCT is generally treated surgically (curettage or resection). Radiotherapy is avoided because it carries a significant risk of inducing **post-radiation sarcomatous transformation** into a more aggressive malignancy. * **Synovial Cell Sarcoma:** This is a high-grade soft tissue sarcoma. While radiotherapy is used as an adjuvant to surgery to reduce local recurrence, the tumor itself is not classified as highly radiosensitive; surgery remains the primary curative modality. **NEET-PG High-Yield Pearls:** * **Most Radiosensitive Bone Tumors:** Ewing’s Sarcoma and Multiple Myeloma/Plasmacytoma. * **Most Radioresistant Bone Tumors:** Osteosarcoma, Chondrosarcoma, and Fibrosarcoma. * **Radiological Hallmark of Myeloma:** "Punched-out" lytic lesions without reactive sclerosis (due to osteoclast activating factors). * **Bence-Jones Proteins:** These are light chains found in urine; they do not show up on a standard dipstick (requires sulfosalicylic acid test).
Explanation: **Explanation:** **Osteosarcoma** is the most common primary malignant bone tumor in children and young adults. It is characterized by the production of osteoid (immature bone) by malignant cells. **1. Why Lungs are the Correct Answer:** Osteosarcoma is a highly aggressive mesenchymal tumor that spreads primarily via the **hematogenous route** (bloodstream). Since the venous drainage from the limbs (where most osteosarcomas occur, such as the distal femur) passes through the systemic circulation directly into the right heart and then to the pulmonary capillary bed, the **lungs** act as the first "filter." Consequently, the lungs are the most common and usually the first site of distant metastasis (occurring in approximately 80% of metastatic cases). **2. Why Other Options are Incorrect:** * **Kidneys & Liver:** While hematogenous spread can theoretically reach any organ, these are rare primary sites for osteosarcoma metastasis. They are more common for epithelial carcinomas or specific pediatric tumors like Wilms' tumor or Neuroblastoma. * **CNS:** Brain metastases are extremely rare in osteosarcoma and usually occur only in very advanced, end-stage systemic disease. **3. High-Yield Clinical Pearls for NEET-PG:** * **Skip Metastasis:** This refers to smaller focus of tumor within the same bone but separate from the primary lesion. It is a poor prognostic factor. * **Radiology:** Look for the **"Sunray appearance"** (spiculated periosteal reaction) and **"Codman’s triangle"** (subperiosteal new bone formation). * **Investigation of Choice:** **MRI** is best for local staging (extent and skip lesions), while **CT Chest** is the gold standard to rule out pulmonary metastasis. * **Treatment:** Neoadjuvant chemotherapy → Limb salvage surgery (or amputation) → Adjuvant chemotherapy.
Explanation: **Explanation:** The clinical presentation and histopathology point definitively to **Ewing’s Sarcoma**. **Why Ewing’s Sarcoma is correct:** 1. **Demographics & Site:** It typically affects children and adolescents (5–15 years) and is the most common bone tumor to involve the **diaphysis** of long bones (femur being the most common site). 2. **Clinical Features:** It often mimics osteomyelitis, presenting with pain, swelling, and systemic signs like **low-grade fever** and elevated ESR. 3. **Histopathology:** It is a "Small Round Blue Cell Tumor." The presence of **PAS-positive, diastase-sensitive granules** is a pathognomonic finding, indicating the presence of **glycogen** in the cytoplasm. **Why other options are incorrect:** * **Osteogenic Sarcoma:** Usually occurs in the **metaphysis** (not diaphysis) and shows malignant osteoid formation on biopsy. It is PAS negative. * **Osteoblastoma:** A benign, bone-forming tumor usually involving the posterior elements of the spine. It does not present with systemic symptoms or small round cells. * **Chondroblastoma:** A benign cartilaginous tumor characteristically located in the **epiphysis** of young patients. Histology shows "chicken-wire" calcification. **NEET-PG High-Yield Pearls:** * **Radiology:** Characterized by "Onion-skin" periosteal reaction and "Codman’s triangle." * **Genetics:** Associated with **t(11;22)** translocation involving the *EWS-FLI1* gene. * **Markers:** Strongly positive for **CD99 (MIC2)**. * **Homer-Wright Rosettes:** May be seen in cases with neuroectodermal differentiation (PNET spectrum).
Explanation: **Explanation:** A **March fracture** is a type of fatigue or stress fracture that occurs due to repetitive, prolonged mechanical stress on the foot. It is classically seen in individuals who have recently increased their physical activity levels, such as military recruits (hence the name "March"), athletes, or hikers. **1. Why Option A is Correct:** The **shaft of the 2nd and 3rd metatarsals** is the most common site because these bones are relatively thin and fixed in the midfoot. During walking or running, the 2nd metatarsal acts as a rigid lever; when the calf muscles fatigue, the bone absorbs the repetitive loading force, leading to micro-fractures. Radiographs may initially be negative, but later show periosteal reaction or callus formation. **2. Why Other Options are Incorrect:** * **Option B (Avulsion fracture of the 5th metatarsal):** Also known as a **Pseudo-Jones fracture**, this occurs at the base of the 5th metatarsal due to sudden inversion of the foot (pull of the Peroneus brevis tendon), not repetitive stress. * **Option C (Calcaneus):** While the calcaneus is the second most common site for stress fractures in the foot, it is not the classic "March fracture" site. * **Option D (Olecranon):** Stress fractures here are rare and usually seen in overhead throwing athletes (e.g., javelin throwers), not associated with marching or walking. **High-Yield Clinical Pearls for NEET-PG:** * **Investigation of Choice:** **MRI** is the most sensitive investigation for early detection (shows marrow edema). * **X-ray finding:** Often shows a "cloud" of callus around the metatarsal shaft 2–3 weeks after the onset of pain. * **Treatment:** Conservative management with rest, activity modification, and occasionally a walking boot. Surgery is rarely required.
Classification of Bone Tumors
Practice Questions
Benign Bone Tumors
Practice Questions
Malignant Primary Bone Tumors
Practice Questions
Metastatic Bone Disease
Practice Questions
Tumor-Like Lesions of Bone
Practice Questions
Soft Tissue Tumors
Practice Questions
Evaluation and Staging of Bone Tumors
Practice Questions
Biopsy Principles
Practice Questions
Limb Salvage Surgery
Practice Questions
Amputation for Bone Tumors
Practice Questions
Adjuvant Therapies
Practice Questions
Surveillance and Follow-up
Practice Questions
Get full access to all questions, explanations, and performance tracking.
Start For Free