What is the treatment of choice for pseudotumor?
A middle-aged woman presents with bilateral proptosis, restricted ocular movements, and chemosis. She is euthyroid. What is the probable diagnosis?
What is the most common primary tumor of the orbital cavity that presents as proptosis?
Which of the following is NOT a cause of pseudo-proptosis?
What is the commonest histological type of rhabdomyosarcoma of the orbit?
Which anatomical structure do the oculomotor and trochlear nerves pass through?
A child presents with unilateral proptosis which is compressible and increases on bending forwards. It is non-pulsatile and has no thrill or bruit. MRI shows retroorbital mass with echogenic shadows. What is the most probable diagnosis?
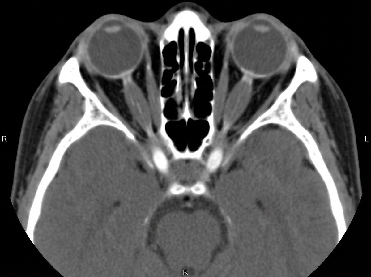
What is the cause for enlargement of the extraocular muscles shown in this CT-scan?

A 8-year-old boy presented with a 3-month history of left eye swelling. Examination revealed left eye proptosis with preserved vision. The right eye is normal. A CT scan revealed an intraorbital extraconal mass lesion. Biopsy revealed embryonal rhabdomyosarcoma. Metastatic workup was normal. What is the standard line of treatment?
Pseudoproptosis is a feature of:
Explanation: **Explanation:** **Orbital Pseudotumor**, also known as **Idiopathic Orbital Inflammatory Syndrome (IOIS)**, is a non-specific, non-neoplastic inflammatory process of the orbit. It is a diagnosis of exclusion and is characterized by the sudden onset of pain, proptosis, and restricted ocular motility. **Why Steroids are the Treatment of Choice:** The underlying pathophysiology involves an intense inflammatory infiltrate. **Systemic Corticosteroids** (usually oral Prednisolone 1–1.5 mg/kg/day) are the first-line treatment because they provide a dramatic and rapid clinical response—often within 24 to 48 hours. This "dramatic response to steroids" is actually used as a diagnostic criterion to differentiate pseudotumor from orbital cellulitis or true tumors. **Analysis of Incorrect Options:** * **A. Methotrexate:** This is a second-line steroid-sparing agent. It is reserved for chronic, recurrent cases or patients who have contraindications to long-term steroid use. * **C. Intravenous Antibiotics:** These are the treatment of choice for **Orbital Cellulitis**. While pseudotumor can mimic cellulitis, it is an inflammatory condition, not an infectious one; therefore, antibiotics are ineffective. * **D. Radiotherapy:** Low-dose orbital radiation is considered a third-line treatment for refractory cases that do not respond to steroids or immunosuppressants. **High-Yield Clinical Pearls for NEET-PG:** * **Most common cause of unilateral proptosis** in adults (after Graves' disease). * **Radiological Hallmark:** In the myositic variant (Orbital Myositis), CT scans show involvement of both the **muscle belly and the tendon** (unlike Graves' ophthalmopathy, which spares the tendon). * **Biopsy:** Indicated only if the presentation is atypical or if there is a poor response to steroids, to rule out lymphoma.
Explanation: ### Explanation **Correct Answer: B. Thyroid ophthalmopathy** **Why it is correct:** Thyroid ophthalmopathy (Graves' Orbitopathy) is the most common cause of both unilateral and bilateral proptosis in adults. The clinical triad of **bilateral proptosis, restricted ocular movements** (due to extraocular muscle enlargement and fibrosis), and **chemosis** is classic. A crucial high-yield point for NEET-PG is that thyroid eye disease can occur in patients who are hyperthyroid, hypothyroid, or **euthyroid** (Euthyroid Graves' Disease). The restriction of movement typically follows the **IMSLO** pattern (Inferior rectus is most commonly involved, followed by Medial, Superior, Lateral, and Oblique). **Why the other options are incorrect:** * **Orbital cellulitis:** Usually presents as an acute, **unilateral** emergency with fever, pain, and a history of preceding sinusitis. Bilateral presentation is rare unless it complicates into cavernous sinus thrombosis. * **Pseudotumor of the orbit (Idiopathic Orbital Inflammatory Syndrome):** Typically presents with **acute onset of pain**, which is not a primary feature in the question. While it can be bilateral, it is more commonly unilateral in adults. * **Orbital lymphoma:** Usually presents as a slow-growing, painless mass (often a "salmon-patch" appearance if conjunctival) in older patients, rather than acute restrictive ophthalmoplegia and chemosis. **Clinical Pearls for NEET-PG:** * **Most common sign:** Lid retraction (Dalrymple sign). * **Most common muscle involved:** Inferior Rectus (leads to defective upward gaze). * **Imaging finding:** "Coke-bottle" appearance on CT (enlarged muscle bellies with **sparing of tendons**). * **Smoking:** The strongest modifiable risk factor for progression. * **NOSPECS classification** is used to grade the severity of the disease.
Explanation: **Explanation:** **1. Why Cavernous Hemangioma is Correct:** Cavernous hemangioma is the **most common primary benign orbital tumor in adults**. It typically presents in the 2nd to 4th decades of life. Pathologically, it consists of large, blood-filled endothelial-lined spaces separated by fibrous septa. Clinically, it causes **slowly progressive, axial, non-pulsatile proptosis**. Because it is an encapsulated tumor, it usually does not involve the extraocular muscles or the optic nerve directly until it reaches a significant size. **2. Why the Other Options are Incorrect:** * **Retinoblastoma:** This is the most common primary **intraocular** malignancy in children. While it can cause proptosis if it undergoes extraocular extension, it is not a primary orbital tumor. * **Malignant Melanoma:** This generally refers to skin or mucosal cancers. While it can metastasize to the orbit, it is not a primary orbital tumor. * **Uveal Melanoma:** This is the most common primary **intraocular** malignancy in adults. Like retinoblastoma, it originates inside the eye (uveal tract) rather than the orbital cavity itself. **3. High-Yield Clinical Pearls for NEET-PG:** * **Most common orbital tumor in children:** Capillary Hemangioma (often presents with "strawberry nevus" and can cause amblyopia). * **Most common primary orbital malignancy in children:** Rhabdomyosarcoma (presents with rapid, "explosive" proptosis). * **Most common cause of both bilateral and unilateral proptosis in adults:** Thyroid Eye Disease (Graves' Ophthalmopathy). * **Imaging finding for Cavernous Hemangioma:** On CT/MRI, it appears as a well-circumscribed, encapsulated intraconal mass. On USG, it shows **high internal reflectivity**.
Explanation: **Explanation:** **Pseudo-proptosis** (or false proptosis) refers to a clinical appearance where the eye appears prominent or bulging, but the actual axial length of the globe and its position within the orbit are normal. **Why Hypermetropia is the Correct Answer:** In **Hypermetropia**, the eyeball is shorter than normal (short axial length). This typically results in a deep-set appearance or "apparent enophthalmos," rather than proptosis. Conversely, **High Myopia** (axial length >26mm) is a classic cause of pseudo-proptosis because the elongated globe occupies more space and appears to protrude. **Analysis of Incorrect Options:** * **Lagophthalmos:** Inability to close the eyelids completely leads to an increased palpebral fissure width, mimicking the appearance of a protruding globe. * **Lid Retraction:** Commonly seen in Graves' ophthalmopathy (Dalrymple’s sign), the elevation of the upper lid exposes more sclera above the limbus, creating a false impression of proptosis. * **Enophthalmos of the fellow eye:** Proptosis is often judged by symmetry. If one eye is sunken (e.g., due to a blow-out fracture or Horner’s syndrome), the normal contralateral eye will appear relatively prominent (pseudo-proptosis). **High-Yield Clinical Pearls for NEET-PG:** * **Measurement:** Proptosis is measured using a **Hertel Exophthalmometer**. A reading >21mm or an asymmetry of >2mm between eyes is significant. * **Common Causes of Pseudo-proptosis:** High Myopia, Buphthalmos (Congenital Glaucoma), Lid retraction, and contralateral Enophthalmos. * **Most common cause of Unilateral & Bilateral Proptosis (Adults):** Thyroid Eye Disease (Graves'). * **Most common cause of Unilateral Proptosis (Children):** Orbital Cellulitis.
Explanation: ### Explanation **Rhabdomyosarcoma (RMS)** is the most common primary malignant orbital tumor in children. It is a mesenchymal tumor arising from undifferentiated pluripotent cells. **1. Why Embryonal type is correct:** The **Embryonal type** is the most common histological variant, accounting for approximately **70-80%** of all orbital RMS cases. It typically presents in young children (average age 7-8 years) with a rapid onset of proptosis. Histologically, it is characterized by spindle-shaped cells and a "loose" appearance resembling embryonic muscle. It carries a relatively good prognosis compared to other types. **2. Why the other options are incorrect:** * **Alveolar type:** This is the second most common type but is much more aggressive. It typically involves the inferior orbit and has the **worst prognosis** due to early hematogenous metastasis. Histologically, cells are arranged in clusters separated by fibrous septa, resembling lung alveoli. * **Pleomorphic type:** This is the **rarest** variant and typically occurs in adults. It consists of large, irregular, undifferentiated cells and has a relatively better prognosis than the alveolar type but is much less frequent than the embryonal type. **3. High-Yield Clinical Pearls for NEET-PG:** * **Presentation:** Characterized by **sudden, rapidly progressive proptosis** (often mimicking orbital cellulitis). * **Most common site:** Superonasal quadrant of the orbit. * **Diagnosis:** Incisional biopsy is the gold standard. * **Treatment:** Primarily managed with **Radiotherapy and Chemotherapy** (VAC regimen: Vincristine, Actinomycin-D, and Cyclophosphamide). Surgery is usually reserved for debulking or localized recurrence. * **Botryoid variant:** A subtype of embryonal RMS, it looks like a "cluster of grapes" and is rarely seen in the orbit (more common in the genitourinary tract).
Explanation: The **Superior Orbital Fissure (SOF)** is a critical communication between the middle cranial fossa and the orbit. It serves as the primary gateway for all ocular motor nerves and the first division of the trigeminal nerve. ### Why Option A is Correct: The SOF is anatomically divided into three parts by the **Common Tendinous Ring (Annulus of Zinn)**. The nerves mentioned pass through as follows: * **Trochlear Nerve (CN IV):** Passes through the **lateral** part (outside the ring). * **Oculomotor Nerve (CN III):** Both superior and inferior divisions pass through the **middle** part (inside the ring). * Additionally, the Abducens (CN VI) and the Ophthalmic nerve branches (Frontal, Lacrimal, Nasociliary) also traverse the SOF. ### Why Other Options are Incorrect: * **Option B (Inferior Orbital Fissure):** This fissure transmits the maxillary nerve (V2), zygomatic nerve, and infraorbital vessels. It does not transmit the nerves responsible for extraocular muscle movement. * **Option C (Optic Canal):** This canal is located medial to the SOF and exclusively transmits the **Optic Nerve (CN II)** and the **Ophthalmic Artery**. ### NEET-PG High-Yield Pearls: 1. **Structures passing OUTSIDE the Annulus of Zinn (Lateral SOF):** Remember the mnemonic **"LFTs"** — **L**acrimal nerve, **F**rontal nerve, **T**rochlear nerve, and the Superior Ophthalmic Vein. 2. **Structures passing INSIDE the Annulus (Middle SOF):** Superior and Inferior divisions of CN III, Nasociliary nerve, and CN VI. 3. **Clinical Correlation:** **Superior Orbital Fissure Syndrome** results in a combination of ophthalmoplegia (CN III, IV, VI) and anesthesia of the upper eyelid/forehead (V1), but with **preserved vision**, distinguishing it from Orbital Apex Syndrome (which involves the Optic Nerve).
Explanation: ### Explanation The clinical presentation described is classic for **Orbital Varix**, a low-flow venous malformation consisting of thinned-walled, dilated veins. **1. Why Orbital Varix is correct:** The hallmark of an orbital varix is **intermittent proptosis** triggered by maneuvers that increase venous pressure (Valsalva, coughing, or **bending forward**). Because it is a venous lesion, it is **compressible** and lacks the high-flow characteristics (pulsations, thrills, or bruits) seen in arterial lesions. MRI typically shows a retro-orbital mass that may contain phleboliths (seen as echogenic shadows or signal voids), which are pathognomonic for chronic venous stasis. **2. Why the other options are incorrect:** * **Orbital Encephalocele:** While it causes proptosis that increases with crying or straining, it is typically **pulsatile** (transmitted cerebrospinal fluid pulsations) and associated with bony defects in the skull base. * **Orbital Arteriovenous Malformation (AVM):** These are high-flow lesions. They present with **pulsatile proptosis** and are almost always associated with an audible **bruit** or palpable **thrill**. * **Neurofibromatosis (NF-1):** NF-1 is associated with sphenoid wing dysplasia, which causes pulsating proptosis (due to the brain pulsating against the orbit), but it is not typically compressible or specifically aggravated by bending forward. **3. Clinical Pearls for NEET-PG:** * **Most common cause of intermittent proptosis:** Orbital Varix. * **Pathognomonic imaging finding:** Phleboliths (calcified thrombi) on X-ray or CT. * **Diagnostic Maneuver:** Proptosis increases with the Valsalva maneuver or jugular vein compression. * **Management:** Usually conservative unless there is vision loss, severe pain, or significant cosmetic deformity, as surgery carries a high risk of hemorrhage.
Explanation: ***Graves' ophthalmopathy*** - Causes **bilateral extraocular muscle belly enlargement** with characteristic **tendon sparing** on CT scan, which is pathognomonic for thyroid-associated orbitopathy. - Results from **glycosaminoglycan deposition** and **inflammatory infiltration** in extraocular muscles, commonly affecting **inferior** and **medial rectus** muscles first. *Pseudotumor* - Shows **irregular, asymmetric** soft tissue enhancement that typically involves the **entire muscle-tendon complex** without sparing tendons. - Presents as **unilateral orbital inflammation** with pain, proptosis, and **rapid onset** of symptoms over days to weeks. *Myositis* - Characterized by **muscle belly and tendon involvement** together, unlike the tendon-sparing pattern seen in Graves' ophthalmopathy. - Usually presents with **acute onset pain**, **restricted eye movement**, and **unilateral involvement** in most cases. *Rhabdomyosarcoma* - Appears as an **irregular, heterogeneous mass** with **destructive changes** and potential **bone erosion** on CT imaging. - Most commonly occurs in **pediatric patients** and presents as a **rapidly growing orbital mass** with proptosis and visual disturbances.
Explanation: **Explanation:** **Rhabdomyosarcoma (RMS)** is the most common primary orbital malignancy in children. The **Embryonal** variant is the most frequent subtype (80%) and generally carries a good prognosis if localized. **1. Why Option D is Correct:** The management of orbital RMS has shifted from radical surgery to a **multimodal approach**. The current standard of care involves **systemic chemotherapy** (typically the VAC regimen: Vincristine, Actinomycin-D, and Cyclophosphamide) combined with **local radiotherapy**. This combination effectively targets the primary tumor and microscopic spread while preserving the globe and vision, achieving survival rates exceeding 90% for localized orbital disease. **2. Why Other Options are Incorrect:** * **Option A (Chemotherapy only):** While RMS is chemosensitive, chemotherapy alone is often insufficient to prevent local recurrence. Radiation is necessary for local control in most cases. * **Option B (Wide local excision):** RMS is a highly infiltrative tumor without a true capsule. Wide excision is technically difficult in the orbit without damaging vital structures and rarely achieves clear margins. * **Option C (Enucleation/Exenteration):** Historically, orbital exenteration was the treatment of choice. However, modern radiotherapy and chemotherapy provide equivalent survival rates with much better cosmetic and functional outcomes. Surgery is now reserved only for recurrent or non-responsive cases. **Clinical Pearls for NEET-PG:** * **Most common site:** Superonasal quadrant (except the Alveolar subtype, which favors the inferior orbit). * **Clinical presentation:** Characteristically presents as **rapidly progressing, painless proptosis**. * **Subtypes & Prognosis:** * *Pleomorphic:* Best prognosis (rare in children). * *Embryonal:* Most common; good prognosis. * *Alveolar:* Worst prognosis; most aggressive. * **Investigation of Choice:** Incisional biopsy (to confirm diagnosis) followed by CT/MRI for staging.
Explanation: **Explanation:** **Pseudoproptosis** (or apparent proptosis) refers to a clinical condition where the eye appears prominent or protruding, but the actual globe position within the bony orbit is normal. This is distinct from true proptosis (exophthalmos), where there is an actual displacement of the globe due to orbital pathology. **Why "All of the Above" is correct:** 1. **Buphthalmos (Option A):** Seen in congenital glaucoma, the increased intraocular pressure causes the entire globe to enlarge (stretch). Because the eye is physically larger, it occupies more space and appears to protrude, even though the orbital contents are normal. 2. **High Axial Myopia (Option B):** In high myopia, the anteroposterior (AP) diameter of the eyeball is significantly elongated. This increased axial length makes the eye appear more prominent than a normal emmetropic eye. 3. **Upper Lid Retraction (Option C):** This is the most common cause of pseudoproptosis. When the upper eyelid is abnormally high (e.g., in Thyroid Eye Disease or facial nerve palsy), more of the superior sclera is exposed. This increased "scleral show" creates a visual illusion of a protruding eye. **Clinical Pearls for NEET-PG:** * **Differential Diagnosis:** Other causes of pseudoproptosis include **contralateral enophthalmos** (the normal eye looks proptotic compared to the sunken one) and **shallow orbits** (congenital craniofacial synostosis like Crouzon syndrome). * **Measurement:** True proptosis is measured using a **Hertel Exophthalmometer**. * **Key Distinction:** In pseudoproptosis, the exophthalmometry readings may be high (in myopia/buphthalmos) or normal (in lid retraction), but there is no retrobulbar mass or orbital inflammation. * **Unilateral vs. Bilateral:** Lid retraction is the most common cause of both unilateral and bilateral pseudoproptosis.
Orbital Anatomy
Practice Questions
Orbital Imaging Techniques
Practice Questions
Orbital Inflammations
Practice Questions
Orbital Infections
Practice Questions
Orbital Tumors: Primary
Practice Questions
Orbital Tumors: Secondary
Practice Questions
Vascular Lesions of Orbit
Practice Questions
Thyroid Orbitopathy
Practice Questions
Orbital Trauma
Practice Questions
Congenital Orbital Anomalies
Practice Questions
Orbital Surgery Techniques
Practice Questions
Enucleation and Exenteration
Practice Questions
Get full access to all questions, explanations, and performance tracking.
Start For Free