Which method of visual field testing is shown below?

The following image shows:

The following image shows:

The image shows which chart for visual acuity?

Which instruments are shown below?

All are true about the instrument shown except:

What does the given image show?

What does the given image show?

All are true about the condition shown in the fundus finding except: (Recent NEET Pattern 2016-17)

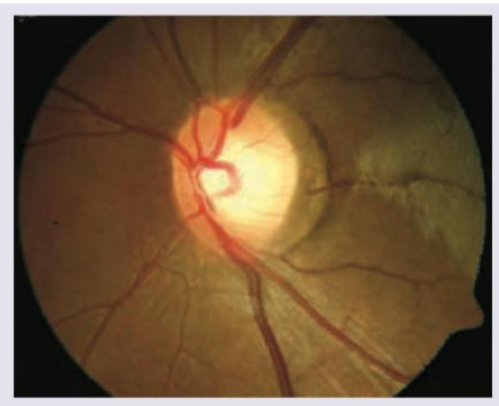
The following fundus finding is seen in:

Explanation: ***Goldmann perimeter*** - The image displays a **radial grid pattern** commonly used in **Goldmann perimetry**, a manual kinetic perimetry technique. - This method involves moving a target of a specific size and intensity from a non-seeing area to a seeing area to map out the **isopters** (lines of equal visual sensitivity). - The **bowl-shaped design with concentric circles** is the hallmark of Goldmann perimeter charts. *Bjerrum screen* - The Bjerrum screen typically uses a **flat, tangential screen** for charting the **central 30 degrees** of the visual field. - While it also identifies scotomas, its representation is a flat map, not the curved, radial grid of bowl perimeters. *Humphrey analyzer* - The Humphrey Field Analyzer is an **automated static perimeter** that presents targets of various intensities at fixed locations. - The output is usually a **grayscale or numeric printout** showing statistical analyses like total deviation and pattern deviation, rather than a direct radial grid. *Ferster perimeter* - The Ferster perimeter is another type of **manual arc perimeter** used for peripheral visual field testing. - While similar in concept to Goldmann, the **characteristic radial and concentric grid pattern** depicted is most specific to Goldmann perimetry charts.
Explanation: ***Stenopaeic slit*** - The image displays a circular device with a **narrow linear slit** cut through its center, which is characteristic of a stenopaeic slit. - This optical device is used in ophthalmology to determine the **axis of astigmatism** and improve vision by isolating a small bundle of light rays. *Pin hole* - A pinhole occluder has a **small circular aperture**, unlike the linear opening shown in the image. - While both improve vision by reducing the circle of confusion, a pinhole does so by limiting light to a central ray, whereas a stenopaeic slit helps to diagnose and manage astigmatism by allowing light through a specific meridian. *Retinoscope* - A retinoscope is an instrument used to objectively measure the **eye's refractive error** by observing the reflection of light from the retina. - It does not resemble the circular disc with a slit shown in the image. *Placido's disc* - Placido's disc is used for **keratoscopy**, which involves examining the curvature of the cornea. - It typically consists of **concentric black and white rings** and does not feature a single linear slit.
Explanation: ***Pin hole*** - The image clearly displays a **small, circular aperture** in the center of a larger circular disc, consistent with the design of a **pinhole occluder**. - A pinhole is used in ophthalmology to test for refractive errors by isolating central rays of light, improving visual acuity in patients with refractive amblyopia. *Stenopaeic slit* - A stenopaeic slit is characterized by a **narrow, elongated opening**, not the circular shape shown in the main part of the image. - While the accessory slits on the left side of the implement resemble stenopaeic slits, the central, prominent feature is clearly a pinhole. *Retinoscope* - A retinoscope is an **ophthalmic instrument** used to objectively measure the refractive error of the eye by observing the movement of reflected light from the retina. - The image depicts a simple occluder, not an optical instrument with lenses and mirrors. *Placido's disc* - A Placido's disc is a **flat disc with concentric black and white rings** used to evaluate the curvature and regularity of the corneal surface (keratoscopy). - The image does not show concentric rings or the typical appearance of a Placido's disc.
Explanation: **Correct: Snellen's chart** - The image displays rows of **optotypes (letters)** that decrease in size, a hallmark of the **Snellen eye chart** used for measuring **distance visual acuity**. - The numbers on the side, such as '20/20' or '20/40', represent standard visual acuity fractions, confirming it is a Snellen chart. - This is the standard distance vision testing chart used worldwide. *Incorrect: Jaeger's chart* - This chart is used for testing **near visual acuity** and consists of blocks of text in varying font sizes, not individual letters arranged in decreasing rows. - It does not present the classic '20/X' acuity measurements for distance. *Incorrect: Snellen's near chart* - While it uses Snellen optotypes, a Snellen near chart is designed for reading at a close distance (e.g., 14-16 inches) and would typically be provided as a handheld card, not projected or displayed in this large format. - The presentation of the letters is consistent with a distance chart, not a near chart. *Incorrect: LogMAR chart* - The LogMAR chart uses a different progression where each line has the **same number of letters**, and the letter sizes decrease logarithmically. - It maintains **consistent spacing** between letters and lines, which differs from the standard Snellen layout with varying numbers of letters per line.
Explanation: ***A = Placido's disc, B = Jackson cross cylinder*** - Image A displays a **Placido's disc**, which uses concentric rings to evaluate the **corneal surface regularity** and detect astigmatism or keratoconus by observing the reflection pattern. - Image B shows a **Jackson cross cylinder**, an ophthalmic lens device used during subjective refraction to **refine the power and axis of astigmatism**. *A = Jackson cross cylinder, B = Placido's disc* - This option incorrectly identifies image A as a Jackson cross cylinder. A **Jackson cross cylinder** is a handheld refractor with two lenses of opposite power, which does not resemble the concentric ring pattern in image A. - It also misidentifies image B as a Placido's disc, which is incorrect as image B is a **Jackson cross cylinder**. *A = Placido's disc, B = Photokeratoscope* - While image A is correctly identified as a Placido's disc, image B is incorrectly identified as a photokeratoscope. A **photokeratoscope** is a sophisticated device that captures images of the reflected corneal rings for detailed analysis, unlike the simple lens in image B. - Image B is a **Jackson cross cylinder**, used for subjective refraction. *A = Photokeratoscope, B = Placido's disc* - This option incorrectly labels image A as a photokeratoscope. While a photokeratoscope uses the principles of a Placido's disc, image A specifically shows the **Placido's disc** itself. - It also incorrectly identifies image B as a Placido's disc. Image B is a **Jackson cross cylinder**.
Explanation: ***No depth adjustment*** (CORRECT - This is FALSE) - This statement is **incorrect** - binocular loupes DO provide depth perception and depth adjustment. - The instrument shown is a **binocular loupe**, which provides **stereoscopic vision** through two separate optical pathways. - Stereoscopic vision creates **excellent depth perception**, allowing the examiner to accurately judge distances and work at the appropriate focal plane. - The working distance and convergence angles can be adjusted, providing depth adjustment capabilities. *Low magnification* (True statement) - Binocular loupes typically provide **low to moderate magnification** in the range of **2x to 6x**. - This level is sufficient for detailed ophthalmologic examinations, identifying foreign bodies, and performing minor procedures. - While lower than operating microscopes, this magnification is ideal for clinical examination and minor surgical tasks. *Hands-free approach during ocular examination* (True statement) - The loupe is **head-mounted**, worn with a headband or attached to spectacles. - This design completely **frees both hands** for manipulating instruments, positioning the patient, or performing delicate procedures. - This is a major advantage over handheld magnifiers in clinical practice. *Useful to identify caterpillar hairs* (True statement) - **Ophthalmia nodosa** is caused by retained **caterpillar hairs** (setae) embedded in ocular tissues. - The magnification provided by loupes (2x-6x) is ideal for **visualizing these fine, irritating foreign bodies** in the conjunctiva or cornea. - Early identification and removal prevents chronic granulomatous inflammation.
Explanation: ***Astigmatic fan*** - The image displays a **radial pattern of lines**, which is characteristic of an astigmatic fan (also called astigmatic dial or clock dial). - This tool is used in **refraction** to determine the presence and axis of astigmatism, as patients with astigmatism will see some lines more clearly or darker than others. - The patient is asked to identify which line appears **darkest or clearest**, helping determine the **axis of astigmatism**. *Jackson cross cylinder* - The **Jackson cross cylinder** is a handheld trial lens device used to refine the power and axis of astigmatism, not a chart that is viewed. - It consists of two cylindrical lenses of equal power but opposite signs, with their axes 90 degrees apart. - Used after initial astigmatic correction to fine-tune the prescription. *Placido disc* - A **Placido disc** is used to assess the regularity of the corneal surface by projecting concentric rings onto the cornea and observing their reflection. - It helps detect **corneal astigmatism** and conditions like **keratoconus**, but its appearance would show concentric rings, not radial lines. - Used for qualitative assessment of corneal topography. *Stenopaeic slit* - A **stenopaeic slit** is a trial lens accessory with a narrow slit opening used to determine the axis of astigmatism by rotating it until maximum visual acuity is achieved. - Unlike the astigmatic fan which is a visual chart, the stenopaeic slit is a physical device placed in the trial frame. - It works by blocking peripheral rays and allowing only central rays through the slit.
Explanation: ***Auto refractometer*** - The image displays a handheld device with a large viewing aperture and optics designed for automated refractive error measurements. - This specific model, a **handheld auto refractometer**, is used to objectively determine a patient's prescription quickly and efficiently, often in pediatric or immobile patients. *Streak retinoscope* - A streak retinoscope typically has a slit-like light source and a rotating streak, used to manually refract the eye by observing the movement of the reflex in the pupil. - Its appearance is distinct, generally with a smaller head than the device shown and a mechanism to rotate the light streak. *Indirect ophthalmoscope* - An indirect ophthalmoscope is usually worn on the examiner's head and involves a bright light source and a high-plus condensing lens held by hand to view the fundus. - The device in the image is a handheld instrument, not a head-mounted one, and lacks the open lens holder characteristic of an indirect ophthalmoscope. *Keratometer* - A keratometer measures the curvature of the cornea, vital for contact lens fitting and cataract surgery calculations. - It typically has a prominent chin rest and forehead support, and its optical system includes mire patterns projected onto the cornea, which are not visible in this image.
Explanation: ***Large positive alpha angle*** - This is the **EXCEPTION** - it is **NOT true** for the condition shown (high myopia). - In **high myopia**, the axial elongation causes **temporal displacement of the fovea** relative to the optic disc, resulting in a **NEGATIVE alpha angle**, not positive. - A **large positive alpha angle** is characteristically seen in **hyperopia**, not myopia. - This makes it the incorrect statement among the options presented. *Annular crescent* - The fundus image shows a prominent **myopic crescent** (peripapillary atrophy), which is an area of chorioretinal atrophy around the optic disc. - This is a **hallmark feature of high myopia** and can appear annular (ring-shaped) when it encompasses a large portion of the disc perimeter. - This statement is TRUE for the condition shown. *Pseudo-proptosis* - **Pseudo-proptosis** (relative proptosis) occurs in high myopia due to the **increased axial length of the globe**, which causes the eyeball to project forward within the orbit. - While not directly visible on fundus examination, it is a well-recognized **clinical feature of high myopia**. - This statement is TRUE for the condition shown. *Deep anterior chamber* - A **deep anterior chamber** is characteristically associated with **axial myopia** due to the elongated anteroposterior diameter of the globe. - This is consistent with the fundus findings showing a **myopic disc with peripapillary crescent**. - This statement is TRUE for the condition shown.
Explanation: ***Papilledema*** - The image shows a **swollen optic disc** with blurred margins, a classic sign of papilledema, which is caused by increased **intracranial pressure**. - Visible **venous engorgement** and **hemorrhages** near the disc further support the diagnosis of papilledema. *Myopia* - Myopia (nearsightedness) is characterized by a **longer eyeball**, which can sometimes cause a tempora-crescent or peripapillary atrophy, but not a swollen, blurred disc. - The optic nerve head in myopia is usually normal or may show some **conus** at the temporal margin without disc swelling. *Hypermetropia* - Hypermetropia (farsightedness) is due to a **shorter eyeball** and may present with a small, crowded optic disc, a condition sometimes confused with mild papilledema, but usually without the pronounced blurring and hemorrhages. - The vessels typically appear normal, and there is no evidence of increased intracranial pressure. *Diabetic retinopathy* - Diabetic retinopathy is characterized by **microaneurysms**, **hemorrhages**, **exudates**, and sometimes **neovascularization**, none of which are the primary finding in this image. - While it can cause retinal vascular changes, it does not typically present with bilateral optic disc swelling like papilledema.
Physical Optics
Practice Questions
Geometric Optics
Practice Questions
Optical System of Eye
Practice Questions
Visual Acuity and Contrast Sensitivity
Practice Questions
Refractive Errors
Practice Questions
Accommodation and Presbyopia
Practice Questions
Optical Instruments
Practice Questions
Lenses and Prisms
Practice Questions
Retinoscopy
Practice Questions
Subjective Refraction
Practice Questions
Contact Lens Optics
Practice Questions
Wavefront Technology
Practice Questions
Get full access to all questions, explanations, and performance tracking.
Start For Free