A patient presents with a painful red eye. Fluorescein staining reveals the lesion shown in the image. What is the diagnosis?

A 15-year-old contact lens user presents with severe eye pain for last 3 days. All are correct about the treatment for the condition shown in the patient except:

Which complication of the corneal ulcer is shown in the image below?

What does the following image show?

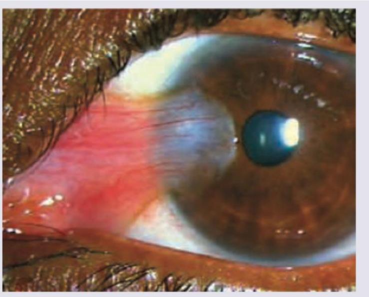
An 18-year-old male presents with complaints of acute pain and redness in the right eye with reduced visual acuity and a white spot on the cornea. What does the given ocular examination reveal?

All are correct about the lesion shown except:

What does the following image show?

Identify the stain instilled in the eye in the following image:

Name the instrument shown in the image:

All the following statements regarding the picture are true except: (Recent Neet Pattern 2016-17)

Explanation: ***Dendritic keratitis*** - The image exhibits a classic **branching lesion** on the cornea, characteristic of a **dendritic ulcer**. - This specific morphology, often stained with fluorescein, is pathognomonic for active **herpes simplex virus (HSV) keratitis**. *Metaherpetic keratitis* - This typically presents as a **non-dendritic corneal ulcer**, often with a **trophic** or **geographic** appearance, which results from chronic HSV infection and corneal nerve damage. - While it's a complication of HSV, the current image shows an active dendritic lesion, not the sequelae of metaherpetic disease. *Nummular keratitis* - Characterized by **coin-shaped stromal infiltrates** and is often associated with adenoviral infections or other inflammatory conditions, not the branching pattern seen here. - The lesions in nummular keratitis are typically subepithelial or stromal, not epithelial like a dendrite. *Marginal keratitis* - Usually presents as **crescent-shaped infiltrates** near the limbus (corneal edge) and is often caused by a hypersensitivity reaction to staphylococcal toxins or other peripheral corneal inflammations. - This condition does not exhibit the central, branching epithelial defect shown in the image.
Explanation: ***Neomycin*** - **Neomycin** is an **aminoglycoside antibiotic** with activity against **Gram-positive and Gram-negative bacteria** but has **no anti-amoebic activity** against Acanthamoeba. - It would be **completely inappropriate** as treatment for **Acanthamoeba keratitis** and offers **no therapeutic benefit** for this protozoal infection. - This is the **incorrect option** for treating the condition shown. *Propamidine isethionate* - This is an effective **aromatic diamidine** with potent **amoebicidal activity** used as **first-line treatment** for **Acanthamoeba keratitis**. - It is highly effective against **trophozoite forms** and often used in **combination therapy** with biguanides. - Typically used as **0.1% solution** with good corneal penetration. *Polyhexamethylene biguanide (PHMB)* - A **biguanide antiseptic** that is considered **first-line treatment** for **Acanthamoeba keratitis**. - Works by disrupting **cell membranes** of the amoeba and is effective against both **trophozoite and cyst forms**. - Usually used as **0.02% solution** and often combined with propamidine for synergistic effect. *Natamycin* - While primarily an **antifungal polyene antibiotic**, natamycin has demonstrated **anti-amoebic activity** and is used in **Acanthamoeba keratitis treatment protocols**. - Has shown efficacy against **Acanthamoeba trophozoites and cysts** in various studies. - Often used as **5% suspension** and may be included in combination regimens, particularly in cases with suspected fungal co-infection or as adjunctive therapy.
Explanation: ***Anterior staphyloma*** - An anterior staphyloma is characterized by a **bulging of the cornea and/or sclera**, often with iris prolapse, due to increased intraocular pressure and weakening of the corneal tissue following severe inflammation or trauma, as clearly depicted in the image. - The appearance of the affected eye in the image, showing a **dark, bluish, and irregularly bulging cornea**, is highly consistent with an anterior staphyloma, which results from the incarceration and subsequent atrophy of the uveal tissue within a weakened corneal stroma. *Leucoma* - A leucoma refers to a **dense, opaque white scar** on the cornea that significantly impairs vision. - While leucoma is a severe corneal opacity following inflammation or ulceration, it does not typically involve the **bulging or ectasia** of the cornea and iris shown in the image, which is characteristic of staphyloma. *Nebula* - A nebula is a **faint, cloud-like corneal opacity** that is usually barely discernible and causes minimal visual impairment. - This term describes a very mild corneal scar, which is distinctly different from the **prominent, bulging, and dense opacity** seen in the image. *Descemetocele* - A descemetocele is a condition where the **ulceration of the cornea extends down to Descemet's membrane**, which then bulges outwards due to intraocular pressure. - While it involves corneal bulging, a descemetocele specifically refers to **only Descemet's membrane intact and bulging**, whereas an anterior staphyloma involves the entire corneal and often scleral tissue, frequently with iris incorporation, resulting in a distinctly dark, bluish, iris-pigmented appearance as seen in the image.
Explanation: ***Kayser-Fleischer sign*** - The image displays a **golden-brown or greenish-brown ring** visible circumferentially in the peripheral cornea, which is characteristic of the **Kayser-Fleischer sign**. - This sign is caused by the deposition of **copper in Descemet's membrane** and is pathognomonic for **Wilson's disease**, a disorder of copper metabolism. *Arcus senilis* - **Arcus senilis** presents as a grayish-white or bluish-white ring in the peripheral cornea due to **lipid deposition**, usually symmetrical and bilateral. - It is typically associated with **aging** and is composed of cholesterol and phospholipids, which is distinct from the copper deposits seen in the image. *Krukenberg spindle* - A **Krukenberg spindle** is a vertical, spindle-shaped deposition of **pigment on the corneal endothelium**, primarily found in **pigment dispersion syndrome**. - The appearance in the image is a circumferential ring of discoloration, not a vertical pigment deposit on the endothelium. *Hudson-Stahli line* - A **Hudson-Stahli line** is a **horizontal brown line** in the inferior third of the cornea, at the junction of the middle and lower thirds of the epithelium. - It results from the **deposition of iron pigment** and is typically an age-related benign finding, very different from the copper ring shown.
Explanation: **Descemetocele** - The image shows a **protrusion of Descemet's membrane** through a corneal ulcer, maintaining the integrity of the globe and appearing as a clear or whitish "bubble" on the cornea. This condition occurs due to **corneal thinning**, where all layers of the cornea except Descemet's membrane and endothelium are lost. - The patient's symptoms of acute pain, redness, reduced visual acuity, and a white spot on the cornea are consistent with a severe corneal ulcer leading to exposure of Descemet's membrane. - This is a **medical emergency** requiring urgent intervention to prevent corneal perforation. *Anterior staphyloma* - This is a **bulging of the cornea or sclera** lined by uveal tissue, typically dark in color due to the underlying uvea. It results from a weakening of the ocular wall, often following trauma or inflammation, not an isolated corneal defect. - Unlike a descemetocele, an anterior staphyloma involves multiple layers of the eye wall and is usually a consequence of a more extensive structural compromise. *Nebula* - A nebula is a **faint, superficial corneal opacity** that causes only minor visual impairment. It is a shallow scar that is usually not associated with acute pain or significant reduction in visual acuity, and it does not involve protrusion of corneal layers. - The "white spot" described in the question, especially with acute symptoms and reduced visual acuity, suggests a more severe and active corneal pathology than a nebula. *Leucoma* - A leucoma is a **dense, white, opaque corneal scar** that causes significant vision loss. It involves full-thickness corneal scarring, but it is typically a stable, non-progressive lesion and does not present as an acute protrusion like a descemetocele. - While leucomas can result from severe corneal ulcers, the description of a "white spot" in an acute setting with protrusion points more towards an active breakdown leading to a descemetocele, rather than a mature, dense scar.
Explanation: ***More common on temporal side as compared to nasal side*** - The image shows a **pterygium**, which is a fleshy, triangular growth of conjunctival tissue on the cornea. Pterygia are **more common on the nasal side** of the eye, typically growing from the nasal conjunctiva towards the cornea. - The statement claims it's more common on the temporal side, which is incorrect and therefore the exception. *Exposure to UV light is a risk factor* - **Chronic exposure to ultraviolet (UV) light** from sunlight is a well-established and major risk factor for the development and progression of pterygium. - This is why pterygium is more prevalent in individuals living in equatorial regions or those with outdoor occupations. *Probe cannot be passed beneath the neck* - A characteristic feature of a pterygium, differentiating it from a pseudopterygium, is that a **probe cannot be passed beneath its neck** (the corneal portion). - This indicates that the pterygium is firmly adherent to the corneal surface, representing an invasive growth. *Conjunctival limbal autograft has the least recurrence rate* - Surgical excision of a pterygium combined with a **conjunctival limbal autograft** (CLAG) is considered one of the most effective techniques to prevent recurrence. - The autograft tissue, containing limbal stem cells, helps repopulate the limbus and discourage further fibrovascular invasion onto the cornea, leading to a significantly lower recurrence rate compared to simple excision.
Explanation: ***Pannus*** - The image distinctly shows **new blood vessels growing into the cornea** from the limbus, which is characteristic of pannus formation. This vascularization often accompanies chronic inflammation or hypoxia. - This condition is a hallmark of certain ophthalmic diseases, such as **trachoma** or chronic irritation from prolonged **contact lens wear**. *Anterior uveitis* - Anterior uveitis presents with inflammation of the iris and ciliary body, typically causing **ciliary flush**, **miosis**, and cells/flare in the anterior chamber, which are not the primary features shown. - While uveitis can sometimes lead to corneal changes, the prominent **vascularization extending onto the cornea** is not its defining visual characteristic. *Membranous conjunctivitis* - Membranous conjunctivitis is characterized by the formation of a **true membrane on the conjunctiva** that binds tightly to the underlying epithelium, often caused by severe bacterial infections like *Corynebacterium diphtheriae*. - The image does not show a membrane on the conjunctival surface; instead, it highlights **corneal vascularization**. *Pseudomembranous conjunctivitis* - Pseudomembranous conjunctivitis involves a **fibrinous exudate loosely adherent** to the conjunctiva, which can be peeled off without significant bleeding, as seen in adenoviral conjunctivitis. - The findings in the image, specifically **vascular ingrowth into the cornea**, are not consistent with the appearance of a pseudomembrane on the conjunctiva.
Explanation: ***Fluorescein stain*** - The image shows a **green-yellow fluorescence** under cobalt blue light, which is characteristic of **fluorescein dye** pooling in areas of epithelial defect or healthy tear film. - Fluorescein is a commonly used diagnostic dye in ophthalmology to visualize **corneal abrasions**, ulcers, or contact lens-related issues as it stains damaged corneal epithelial cells. *Rose Bengal stain* - **Rose Bengal** stains devitalized epithelial cells and mucus a **red or purple color**, not green or yellow. - It is particularly useful for identifying **dry eye syndrome** and herpes simplex keratitis but would appear distinctly different from the image. *Lissamine green stain* - **Lissamine green** stains damaged or devitalized conjunctival and corneal cells a **blue-green color**, similar to Rose Bengal. - While it has a greenish hue, it typically does not fluoresce and produces a distinct staining pattern different from the bright, uniform green seen with fluorescein under blue light. *Rhodamine stain* - **Rhodamine** dyes, which are typically **red or pink fluorescent**, are not routinely used as a standard ophthalmic stain for general corneal evaluation. - Its spectral properties and clinical applications are distinct from the common diagnostic dyes used on the ocular surface.
Explanation: ***Correct: Keratometer*** - The image displays a **keratometer**, an ophthalmic instrument used to measure the **curvature of the anterior surface of the cornea**. - It typically features a fixed head with a viewing mechanism and mires that are projected onto the cornea, with adjustments for alignment and focus. *Incorrect: Auto refractometer* - An **auto refractometer** is an electronic device that objectively measures the eye's refractive error, often appearing as a larger, more automated station. - Unlike the device pictured, it generally has a screen to display measurements and an automatic focusing system. *Incorrect: Streak retinoscope* - A **streak retinoscope** is a handheld instrument used to assess the refractive error by observing the light reflex from the retina. - It consists of a light source that projects a streak of light and a viewing aperture, making its appearance distinctively different from the pictured instrument. *Incorrect: Indirect ophthalmoscope* - An **indirect ophthalmoscope** is worn on the examiner's head, consisting of a system of lights and lenses to view the fundus (back of the eye). - Its design is characterized by a head-mounted light source and often a handheld condensing lens, which is not depicted in the image.
Explanation: ***Develops due to failure of development of both the Müllerian ducts*** - The image shows a **bicornuate uterus**, which arises from incomplete fusion of the Müllerian ducts, not a complete failure of development of both. - Complete failure of development of both Müllerian ducts would result in **uterine agenesis** or **Mayer-Rokitansky-Küster-Hauser (MRKH) syndrome**, where the uterus is absent or rudimentary. *Metroplasty is performed* - **Metroplasty** (e.g., Strassman metroplasty) is a surgical procedure commonly performed to correct a bicornuate uterus, especially in cases of recurrent pregnancy loss. - The goal is to reshape the uterus into a single, functional cavity to improve reproductive outcomes by excising the septum and uniting the two horns. *Cornual pregnancy is an associated condition* - Women with a bicornuate uterus have an increased risk of **cornual pregnancy**, a type of ectopic pregnancy where implantation occurs in the rudimentary horn or the cornua of the uterus. - The abnormal anatomy can predispose to implantation in these less accommodating regions. *Can present as recurrent abortions* - A bicornuate uterus is a known risk factor for **recurrent abortions** and preterm labor due to the compromised uterine cavity size, abnormal uterine contractility, and reduced blood supply in the horns. - The altered uterine shape can hinder proper fetal development and implantation, leading to pregnancy loss.
Corneal Anatomy and Physiology
Practice Questions
Bacterial Keratitis
Practice Questions
Viral Keratitis
Practice Questions
Fungal Keratitis
Practice Questions
Protozoan Keratitis
Practice Questions
Corneal Degenerations
Practice Questions
Corneal Dystrophies
Practice Questions
Keratoconus and Ectatic Disorders
Practice Questions
Corneal Transplantation
Practice Questions
Corneal Topography and Imaging
Practice Questions
Dry Eye Disease
Practice Questions
Corneal Trauma
Practice Questions
Get full access to all questions, explanations, and performance tracking.
Start For Free