Which of the following is the most important indication for Strassman Metroplasty for a bicornuate uterus?
Which among the following hormones acts on post ovulatory endometrium?
A 12-year-old girl presents with primary amenorrhea. She has been raised as a girl, has not developed breast tissue, and ultrasound reveals absence of the uterus. Karyotyping shows a 46 XY chromosomal pattern. What is the most likely diagnosis?
A 12-year-old female presents with Tanner stage II breast development and white, odorless vaginal discharge. This discharge is most likely due to the action of which hormone?
A 25-year-old female presents with irregular menstrual cycles, acne, and excessive hair growth. An ultrasound reveals multiple ovarian cysts. What is the most likely diagnosis?
A 27-year-old woman presents with irregular periods, acne & excessive hair growth. What is the first line management?
A female presents with hirsutism, delayed periods, obesity. USG findings are given below. What is the likely diagnosis?
A woman is diagnosed with a pituitary microadenoma and has elevated serum prolactin levels. She presents with secondary amenorrhea and infertility. What is the most likely mechanism by which hyperprolactinemia causes these symptoms?
In a woman with a regular 28-day menstrual cycle, which of the following best describes the typical hormonal profile during days 21 to 25 of the cycle?
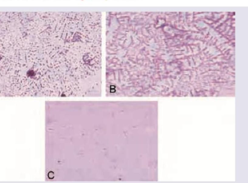
Which of the following cervical mucus smear represents the mid-cycle period?

Explanation: **Explanation:** The **Strassman Metroplasty** is a surgical procedure specifically designed for the unification of a **bicornuate uterus**. It involves a wedge excision of the intervening septum followed by the fusion of the two uterine horns. **1. Why "Repeated early pregnancy losses" is correct:** The primary clinical challenge in a bicornuate uterus is not the inability to conceive, but the inability to carry a pregnancy to term. The reduced capacity of the uterine cavity and abnormal vascularization lead to **recurrent mid-trimester abortions** and preterm labor. Surgery is indicated only when a patient has a history of repeated pregnancy losses where no other cause is identified. It aims to increase uterine volume and improve obstetric outcomes. **2. Why other options are incorrect:** * **Infertility (A):** Uterine malformations like bicornuate uterus are generally not a cause of primary infertility. These patients usually conceive easily; the issue is "pregnancy wastage." Metroplasty does not improve conception rates. * **Menorrhagia (B):** Menstrual irregularities are not typically associated with a bicornuate uterus. Heavy bleeding is more commonly linked to fibroids, adenomyosis, or hormonal imbalances. * **Associated vaginal atresia (D):** While Mullerian anomalies can coexist with vaginal issues, Strassman Metroplasty specifically addresses the uterine fundus and has no role in treating vaginal atresia (which requires procedures like McIndoe vaginoplasty). **High-Yield Clinical Pearls for NEET-PG:** * **Strassman Metroplasty:** Used for Bicornuate uterus (rarely used now due to improved conservative management). * **Jones and Tompkins Metroplasty:** Used for Septate uterus (historically), though **Hysteroscopic Septal Resection** is now the Gold Standard. * **Diagnosis:** MRI is the gold standard for differentiating between septate and bicornuate uteri. * **Rule of Thumb:** Never perform metroplasty for an incidental finding of a bicornuate uterus; it is only indicated after documented reproductive failure.
Explanation: ***Progesterone*** - It is predominantly secreted by the **corpus luteum** during the post-ovulatory phase, inducing the crucial changes of the **secretory endometrium** to facilitate implantation.- Progesterone causes the endometrial glands to become highly **coiled** and secretory, leading to the development of **spiral arteries** and preparing the uterine lining for a fertilized ovum.*Luteinizing hormone* - LH's main role is triggering **ovulation** via the mid-cycle surge and maintaining the function of the **corpus luteum** post-ovulation.- Its primary targets are ovarian cells (theca and corpus luteum), not the direct transformation of the post-ovulatory endometrial structure.*Follicular stimulating hormone* - FSH functions primarily during the preceding **follicular phase**, stimulating the growth of ovarian follicles and inducing **estrogen** synthesis.- Its levels decrease significantly after ovulation, and it has no direct, major trophic effect on the secretory endometrium.*Oestrogen* - **Oestrogen** is the primary hormone responsible for the **proliferative phase** (pre-ovulatory), causing endometrial thickening and repair.- While necessary for endometrial primedness, Oestrogen is superseded by **Progesterone** in dictating the specific glandular and vascular characteristics of the post-ovulatory secretory phase.
Explanation: ***Androgen Insensitivity Syndrome (AIS)*** - **46,XY karyotype with absent uterus** is the key diagnostic feature - testes produce Anti-Müllerian Hormone (AMH) which causes regression of Müllerian structures (uterus, fallopian tubes, upper vagina) - **Phenotypically female appearance** due to inability of tissues to respond to androgens, despite normal testosterone production - At **12 years of age**, breast development may not have occurred yet, though in complete AIS, breast development typically occurs at puberty due to peripheral conversion of testosterone to estrogen - **Testes are typically located in abdomen or inguinal canal** - must be removed due to malignancy risk after puberty - This is the **most common cause of 46,XY DSD presenting with female external genitalia** *Incorrect: MRKH Syndrome* - Mayer-Rokitansky-Küster-Hauser syndrome presents with **absent uterus but normal 46,XX karyotype** - These patients have **normal ovarian function** with normal breast development and secondary sexual characteristics - The **46,XY karyotype rules out MRKH** *Incorrect: 17-hydroxylase deficiency* - This enzyme deficiency affects both **glucocorticoid and sex steroid synthesis** - Classically presents with **hypertension and hypokalemia** due to excess mineralocorticoids (DOC, corticosterone) - In 46,XY individuals, causes undervirilization but does not explain the **absent uterus** - Müllerian regression still occurs from testicular AMH - **Does not fit the clinical picture** of absent uterus in 46,XY individual *Incorrect: Swyer Syndrome* - Pure gonadal dysgenesis with **46,XY karyotype but streak gonads** - Key differentiating feature: **uterus is PRESENT** because streak gonads do not produce AMH - These patients have **female external genitalia with normal Müllerian structures** - The **absent uterus in this case rules out Swyer syndrome**
Explanation: ***Estrogen*** - **Estrogen** levels rise during the initial phases of puberty (Tanner stage II), primarily driving secondary sexual characteristics like **breast development** and maturation of the vaginal epithelium. - Increased estrogen levels lead to enhanced mucus production by cervical glands and increased desquamation of vaginal epithelial cells, resulting in the normal, odorless, white discharge known as **physiologic leukorrhea** seen premenarche. *GnRH* - **Gonadotropin-releasing hormone (GnRH)** is the hypothalamic hormone that initiates puberty by stimulating the pituitary to release **FSH** and **LH**. - While GnRH initiates the hormonal cascade, it is the downstream production of **estrogen** by the ovaries that directly causes the changes in the genital tract mucosa resulting in vaginal discharge. *Inhibin B* - **Inhibin B** is predominantly produced by the **granulosa cells** of the developing ovarian follicles. - Its main function is to provide negative feedback to the pituitary gland, selectively inhibiting the secretion of **Follicle-Stimulating Hormone (FSH)**, and is not directly implicated in causing vaginal discharge. *Progesterone* - **Progesterone** is primarily produced by the corpus luteum after ovulation and plays a key role in preparing the endometrium for implantation. - In early puberty (Tanner stage II), progesterone levels are typically low as ovulatory cycles have not yet been established, and it does not directly cause the vaginal discharge seen at this stage.
Explanation: ***Polycystic Ovary Syndrome (PCOS)*** - This diagnosis is strongly suggested by the combination of clinical hyperandrogenism (**hirsutism** and **acne**) and chronic **anovulation** (irregular menstrual cycles). - PCOS is further supported by the **polycystic ovarian morphology** seen on ultrasound, fulfilling the diagnostic criteria (often Rotterdam criteria). *Endometriosis* - Endometriosis is characterized by the presence of **endometrial tissue outside the uterus**, classically presenting with chronic pelvic pain or **dysmenorrhea** (painful periods). - It typically does not cause the severe **hyperandrogenism** (acne, hirsutism) or chronic anovulation seen in this patient. *Hypothyroidism* - While hypothyroidism is a common cause of menstrual irregularities, it typically causes symptoms such as fatigue, weight gain, and **cold intolerance**. - It does not cause signs of **hyperandrogenism** like acne and hirsutism, which are key differentiating features in this case. *Ovarian hyperstimulation syndrome (OHSS)* - OHSS is an iatrogenic condition, almost exclusively occurring after intensive **gonadotropin stimulation** used in fertility treatments. - It presents acutely with severe ovarian enlargement, abdominal distension, and potentially **third-spacing of fluids**, not as a chronic condition causing hirsutism.
Explanation: ***Lifestyle modifications***- As many patients with **PCOS** are overweight or obese, lifestyle changes (diet and exercise) are crucial for tackling associated **insulin resistance** and obesity.- Weight loss, even modest amounts (5-10%), often significantly improves menstrual regularity, metabolic profiles, and symptoms of **hyperandrogenism**.*Metformin*- Used primarily to improve **insulin sensitivity** and may help regulate cycles, but it is typically initiated after lifestyle interventions have proven insufficient or when glucose intolerance is confirmed.- It is not recommended as the initial management strategy unless the patient has confirmed **Type 2 Diabetes** or severe insulin resistance.*OCPs*- Oral contraceptive pills are highly effective for managing symptoms like **hirsutism** (by increasing **SHBG** and decreasing free testosterone) and regulating menses.- While effective symptomatically, they are usually introduced after lifestyle changes have failed, or if symptoms are severe and require immediate hormonal suppression.*Clomiphene citrate*- This medication is specifically used as a **fertility treatment** to induce ovulation in anovulatory women with PCOS who are seeking pregnancy.- It does not treat the hyperandrogenism (acne, hirsutism) or metabolic issues associated with PCOS, and thus is not the first-line management for the presenting symptoms.
Explanation: ***PCOD*** - The clinical triad of **hirsutism** (excess hair growth), **oligomenorrhea** (delayed periods), and **obesity** are classic features of Polycystic Ovarian Disease (PCOD). - The ultrasound image shows multiple small, peripherally arranged follicles in an enlarged ovary, a classic finding known as the **"string of pearls"** sign, which fulfills one of the key **Rotterdam criteria** for diagnosis. *POI* - Primary Ovarian Insufficiency (POI) is characterized by amenorrhea and symptoms of estrogen deficiency (like hot flashes) before age 40, associated with elevated **FSH** levels. - Ultrasound in POI typically shows small, **atrophic ovaries** with very few or no visible follicles, which is the opposite of the enlarged, polycystic ovary shown. *OHSS* - Ovarian Hyperstimulation Syndrome (OHSS) is an acute, iatrogenic condition resulting from **fertility treatments** involving ovulation induction, not a chronic presentation. - Sonographically, OHSS presents with massively enlarged ovaries containing numerous large cysts, often accompanied by **ascites** and **pleural effusion**, which are not seen here. *Thecal luteal cyst* - Theca lutein cysts are caused by overstimulation from very high levels of **hCG**, commonly seen in conditions like **molar pregnancy** or multiple gestations. - These cysts are typically large, bilateral, and multiseptated, giving a **"soap-bubble"** appearance on ultrasound, which is distinct from the multiple small peripheral follicles of PCOD.
Explanation: ***Decreased GnRH secretion from the hypothalamus*** - High levels of prolactin directly inhibit the pulsatile release of **Gonadotropin-Releasing Hormone (GnRH)** from the hypothalamus. - This inhibition leads to decreased pituitary secretion of **Luteinizing Hormone (LH)** and Follicle-Stimulating Hormone (FSH), causing **hypogonadotropic hypogonadism**, resulting in anovulation, amenorrhea, and infertility. *Antagonism of estrogen receptors* - Prolactin primarily exerts its reproductive effects centrally on the **hypothalamic-pituitary axis**, not by acting as a peripheral antagonist of estrogen receptors. - The resulting symptoms are due to **low estrogen production** secondary to inhibited gonadotropins, not receptor blockade. *Increased pulsatile FSH secretion* - Hyperprolactinemia actually causes **decreased** and non-pulsatile secretion of FSH and LH, rather than an increase. - If FSH were increased, it would stimulate follicular development and likely lead to ovarian hyperfunction, which is the opposite of the clinical presentation. *Increased LH secretion from the pituitary* - Prolactin actively inhibits LH release, causing **low plasma LH** levels and disrupting the mid-cycle LH surge necessary for ovulation. - The resulting state is one of inadequate follicular stimulation and anovulation, causing infertility and oligomenorrhea/amenorrhea.
Explanation: ***High estrogen, high progesterone*** - Days 21 to 25 fall within the **mid-to-late luteal phase** of a 28-day cycle, which is dominated by the corpus luteum. - The corpus luteum secretes large amounts of **progesterone** (peak luteal levels) and **moderate-to-high levels of estrogen** (secondary luteal peak). - Both hormones exert **negative feedback** on the hypothalamus and pituitary, leading to suppressed **LH and FSH** levels. - This combination of high progesterone with moderately elevated estrogen is characteristic of a functional corpus luteum during the mid-luteal phase. *Low estrogen, high progesterone, low LH and FSH* - While **LH and FSH** are correctly low due to negative feedback, and **progesterone** is high, describing estrogen as "low" is inaccurate for days 21–25. - During the mid-luteal phase, the corpus luteum produces a **secondary estrogen peak** that is moderate-to-high, not low. - Low estrogen would only occur if the corpus luteum had already regressed, which happens closer to menstruation (days 26–28). *Low estrogen, high progesterone, high LH and FSH* - High levels of **LH and FSH** occur only during the **LH surge** around day 14 (ovulation) or during the **menstrual/early follicular phase** when steroid hormones are low. - The combination of **high progesterone** and **high gonadotropins** does not occur normally in the menstrual cycle, as progesterone and estrogen suppress LH and FSH through negative feedback. *Low estrogen, low progesterone, low LH and FSH* - This hormonal profile is characteristic of the **late follicular phase** before the LH surge, or the very end of the luteal phase when the corpus luteum regresses. - During days 21–25, the **corpus luteum** is still fully functional, maintaining high levels of **progesterone** and moderate-to-high levels of **estrogen**.
Explanation: ***Correct Option B*** - Image B shows **prominent ferning**, which is characteristic of cervical mucus during the **mid-cycle period** (periovulatory phase). At this time, increased estrogen levels cause cervical mucus to become thin, clear, and elastic, allowing for this fern-like crystallization pattern when dried on a slide. - This ferning pattern indicates high estrogen influence and is associated with increased **fertility** and sperm penetrability. *Incorrect Option A* - Image A displays a less pronounced ferning pattern, suggesting a **moderate estrogen effect**. - This pattern is more typical of the **early follicular phase** or late luteal phase, when estrogen levels are lower than at mid-cycle. *Incorrect Option C* - Image C shows **absent or minimal ferning**, indicating a low estrogen state. - This pattern is seen during the **luteal phase** (when progesterone dominates) or during pregnancy, or in postmenopausal women, when cervical mucus is thick and opaque, creating a barrier to sperm. *Incorrect Option "All of the above"* - Each image represents a distinct phase of the menstrual cycle based on the **ferning pattern** of cervical mucus. - Therefore, not all images can represent the mid-cycle period simultaneously.
Hypothalamic-Pituitary-Ovarian Axis
Practice Questions
Disorders of Puberty
Practice Questions
Hirsutism and Virilization
Practice Questions
Primary Ovarian Insufficiency
Practice Questions
Hyperprolactinemia
Practice Questions
Hyperandrogenism
Practice Questions
Metabolic Dysfunction in PCOS
Practice Questions
Neuroendocrine Disorders and Reproduction
Practice Questions
Hormonal Evaluation and Testing
Practice Questions
Ovulation Induction
Practice Questions
Get full access to all questions, explanations, and performance tracking.
Start For Free