A 24-year-old patient has been diagnosed with androgen-insensitivity syndrome. The patient is likely to have all of the following signs EXCEPT?
Which hormone is typically elevated in polycystic ovarian syndrome?
Which of the following conditions does not present with both Mullerian and Wolffian duct structures?
Which hormone is responsible for a positive "Fern test"?
Which of the following is a false statement regarding testicular feminisation syndrome?
Ovarian Hyperstimulation syndrome can be seen in patients treated with which of the following therapies?
Hypergonadotropic hypogonadism is due to which of the following conditions?
A nineteen-year-old female with short stature, widely spaced nipples, and primary amenorrhea most likely has which karyotype?
This syndrome is an example of

Which of the following is NOT a feature of Turner's syndrome?
Explanation: **Explanation:** Androgen Insensitivity Syndrome (AIS), formerly known as Testicular Feminization Syndrome, is an X-linked recessive condition where there is a mutation in the androgen receptor. This leads to a complete or partial resistance to the action of testosterone. **Why "Menstruation" is the correct answer:** In AIS, the karyotype is **46, XY**. The testes are present (usually intra-abdominal) and secrete **Anti-Müllerian Hormone (AMH)**. AMH causes the regression of Müllerian structures, meaning the patient has **no uterus, fallopian tubes, or upper third of the vagina**. Without a uterus and endometrium, menstruation is physiologically impossible. This is a classic cause of primary amenorrhea. **Analysis of Incorrect Options:** * **A. An XY chromosome complement:** This is a feature of AIS. Patients are genetically male but phenotypically female due to the inability of tissues to respond to androgens. * **C. Female external genitalia:** Since the body cannot respond to Dihydrotestosterone (DHT), the external genitalia default to the female phenotype. The vagina is typically short and blind-ending (pouch). * **D. Heterosexuality:** In medical board exams, sexual orientation is generally defined by the gender of rearing. Since these patients are raised as females and have a female gender identity, being attracted to males is classified as heterosexuality. **NEET-PG High-Yield Pearls:** * **Phenotype:** Tall stature, well-developed breasts (due to peripheral conversion of testosterone to estrogen), but **absent/scant axillary and pubic hair** (the "hairless woman"). * **Diagnosis:** High Testosterone levels, high LH, and 46, XY karyotype. * **Management:** Gonadectomy is performed **after puberty** (to allow natural breast development) to prevent gonadoblastoma/dysgerminoma. * **Differential:** Distinguish from Müllerian Agenesis (MRKH), where the karyotype is 46, XX and testosterone levels are normal.
Explanation: **Explanation:** In Polycystic Ovarian Syndrome (PCOS), the primary endocrine hallmark is a disruption of the hypothalamic-pituitary-ovarian axis. There is an increase in the **frequency and amplitude of GnRH pulses**, which preferentially stimulates the anterior pituitary to secrete **Luteinizing Hormone (LH)** over Follicle-stimulating hormone (FSH). This results in a characteristically **elevated LH:FSH ratio** (typically >2:1 or 3:1). High LH levels stimulate the ovarian theca cells to produce excessive androgens (androstenedione and testosterone), leading to hyperandrogenism and follicular arrest. **Analysis of Incorrect Options:** * **A. 17-alpha-hydroxyprogesterone:** This is a marker for **Congenital Adrenal Hyperplasia (CAH)**, specifically 21-hydroxylase deficiency. While it may be slightly elevated in PCOS, a significant rise is diagnostic of CAH, which is a key differential diagnosis to rule out before confirming PCOS. * **B. Follicle-stimulating hormone (FSH):** FSH levels in PCOS are typically **low or low-normal**. The relative deficiency of FSH prevents the recruitment and maturation of a dominant follicle, contributing to the "string of pearls" appearance of immature follicles on ultrasound. * **D. Thyroid-stimulating hormone (TSH):** While hypothyroidism can cause menstrual irregularities, TSH is not typically elevated as a feature of PCOS itself. It is measured during workups only to exclude thyroid dysfunction as a cause of oligomenorrhea. **NEET-PG High-Yield Pearls:** * **Rotterdam Criteria (2 of 3):** 1. Hyperandrogenism (clinical/biochemical), 2. Ovulatory dysfunction (oligo/anovulation), 3. Polycystic ovaries on USG. * **Gold Standard Treatment for Ovulation Induction:** Letrozole (Aromatase inhibitor). * **Metabolic Association:** Hyperinsulinemia and insulin resistance are central to the pathogenesis, often leading to Acanthosis Nigricans.
Explanation: **Explanation:** The development of internal genitalia depends on the presence or absence of two key hormones produced by the fetal testes: **Anti-Müllerian Hormone (AMH)** and **Testosterone**. **Why FSH Receptor Mutation is the correct answer:** In individuals with FSH receptor mutations (e.g., 46,XX females), the internal genitalia develop normally as female (Müllerian structures only). In 46,XY individuals, FSH is required for spermatogenesis but **not** for the initial differentiation of Wolffian ducts or the regression of Müllerian ducts. These processes are mediated by Testosterone and AMH, respectively—both of which are independent of FSH action during early embryogenesis. Therefore, this condition does not result in the persistence of both ductal systems. **Analysis of Incorrect Options:** * **AMH Deficiency (Persistent Müllerian Duct Syndrome):** In 46,XY males, testosterone is present (Wolffian ducts develop), but the lack of AMH prevents Müllerian regression. Thus, both systems coexist. * **Ovo-testicular Syndrome:** These individuals possess both ovarian and testicular tissue. The testicular tissue produces Testosterone (Wolffian development) and AMH, but often in insufficient amounts or only unilaterally, allowing Müllerian structures to persist. * **Mixed Gonadal Dysgenesis (45,X/46,XY):** Characterized by a streak gonad on one side and a testis on the other. The testis produces testosterone (Wolffian), but inadequate AMH production leads to the persistence of Müllerian structures (uterus/tubes). **Clinical Pearls for NEET-PG:** * **Müllerian structures:** Fallopian tubes, uterus, upper 2/3 of the vagina. * **Wolffian structures:** Epididymis, vas deferens, seminal vesicles. * **Key Rule:** If you see both ducts, there was enough Testosterone to save the Wolffian ducts but not enough AMH to kill the Müllerian ducts. * **FSH vs. LH:** LH stimulates Leydig cells (Testosterone); FSH stimulates Sertoli cells (Spermatogenesis/Inhibin). Neither is strictly required for initial male phenotypic differentiation.
Explanation: The **Fern test** (arborization) is a classic clinical test used to evaluate cervical mucus characteristics under the influence of ovarian hormones. ### Why Estrogen is Correct Under the influence of high **Estrogen** levels (typically during the follicular phase, peaking just before ovulation), the cervical mucus becomes thin, watery, and alkaline. Most importantly, there is a significant increase in the concentration of **sodium chloride (NaCl)**. When this mucus is spread on a glass slide and allowed to air-dry, the high salt content crystallizes with glycoproteins to form a characteristic **"fern-like" pattern** visible under a light microscope. ### Why Other Options are Incorrect * **Progesterone:** This hormone is dominant during the luteal phase. It makes the cervical mucus thick, cellular, and scant. Progesterone **inhibits** ferning (causing a "disappearing fern" effect). If a woman is pregnant or in the secretory phase, the presence of progesterone will result in a negative fern test. * **FSH & LH:** While these gonadotropins regulate the production of estrogen and progesterone from the ovaries, they do not have a direct biochemical effect on the crystallization properties of cervical mucus. ### NEET-PG High-Yield Pearls * **Spinnbarkeit Test:** Also occurs under **Estrogen** influence; it refers to the "stretchability" of cervical mucus (usually >6–10 cm at ovulation). * **Clinical Use:** The Fern test is used to detect ovulation or to confirm the **Premature Rupture of Membranes (PROM)**, as amniotic fluid also shows a positive fern pattern. * **Cellularity:** Estrogenic mucus has low cellularity, whereas Progestogenic mucus has high cellularity (leukocytes).
Explanation: **Explanation:** **Testicular Feminization Syndrome (now commonly known as Complete Androgen Insensitivity Syndrome - CAIS)** is a condition where a genetic male (46, XY) has a total resistance to androgens due to a defect in the androgen receptor. **1. Why Option A is the Correct (False) Statement:** The **buccal smear** detects the presence of a **Barr body**, which represents an inactivated X chromosome. Since patients with CAIS have a **46, XY** karyotype, they possess only one X chromosome. Therefore, no Barr body is formed, making the buccal smear **chromatin negative**. A chromatin-positive smear is characteristic of individuals with at least two X chromosomes (e.g., normal females or Klinefelter syndrome). **2. Analysis of Other Options:** * **Option B (Normal breast size):** True. High levels of testosterone are converted to estrogen via peripheral aromatization. Since androgen action is blocked, this estrogen acts unopposed, leading to excellent breast development (often described as "voluptuous"). * **Option C (Amenorrhea):** True. Patients have **primary amenorrhea**. Because they have testes that produce Anti-Müllerian Hormone (AMH), the Müllerian structures (uterus, fallopian tubes, and upper vagina) fail to develop. * **Option D (Familial incidence):** True. The condition is inherited as an **X-linked recessive** trait, often affecting multiple "sisters" in a family. **High-Yield Clinical Pearls for NEET-PG:** * **Phenotype:** Phenotypically female but genetically male (46, XY). * **Gonads:** Undescended testes (may present as inguinal hernia in a "girl"). * **Hair:** Scanty to absent pubic and axillary hair (due to androgen resistance). * **Vagina:** Blind-ending pouch (short vagina). * **Management:** Gonadectomy is performed **after puberty** (to allow natural breast development) to prevent gonadoblastoma/dysgerminoma.
Explanation: **Explanation:** Ovarian Hyperstimulation Syndrome (OHSS) is an iatrogenic complication of ovulation induction characterized by an exaggerated response to hormonal stimulation. The pathophysiology involves the overproduction of **Vascular Endothelial Growth Factor (VEGF)**, leading to increased capillary permeability, fluid shift from the intravascular to the extravascular space (third-spacing), and subsequent ascites or pleural effusion. **Why "All the Above" is Correct:** Any medication that stimulates the recruitment and maturation of multiple follicles can trigger OHSS. * **FSH/LH therapy (Gonadotropins):** This is the **most common** cause. Direct stimulation of the ovaries often leads to high serum estradiol levels and multiple follicles, significantly increasing the risk. * **Clomiphene Citrate:** While the risk is much lower (approx. 1%) compared to gonadotropins, it can still cause mild to moderate OHSS by increasing endogenous FSH production. * **GnRH therapy:** Pulsatile GnRH therapy used for hypothalamic amenorrhea stimulates the pituitary to release FSH/LH, which can occasionally lead to hyperstimulation. **High-Yield Clinical Pearls for NEET-PG:** * **Trigger Factor:** OHSS is typically triggered by the administration of **hCG** (used for final oocyte maturation) because of its long half-life and cross-reactivity with LH receptors. * **Risk Factors:** Young age (<30 years), low BMI, **Polycystic Ovarian Syndrome (PCOS)**, and high Anti-Müllerian Hormone (AMH) levels. * **Classification:** It ranges from Mild (abdominal bloating) to Critical (thromboembolism, ARDS, and renal failure). * **Management:** The primary strategy is "Prevention." If OHSS is suspected, the hCG trigger is withheld ("coasting"), or a GnRH agonist trigger is used instead. Treatment is largely supportive with fluid management (Albumin) and thromboprophylaxis.
Explanation: **Explanation:** **Hypergonadotropic hypogonadism** is characterized by low levels of sex steroids (estrogen/progesterone) and a compensatory rise in gonadotropins (FSH/LH). However, this question specifically tests a unique physiological nuance regarding **Hypothyroidism**. **Why Hypothyroidism is the Correct Answer:** In primary hypothyroidism, low levels of T3/T4 lead to a compensatory increase in **Thyrotropin-Releasing Hormone (TRH)** from the hypothalamus. TRH is a potent stimulator of both TSH and **Prolactin**. Hyperprolactinemia subsequently inhibits GnRH pulsatility, leading to low FSH/LH and low estrogen (Hypogonadotropic Hypogonadism). *Note:* While the question asks for "Hypergonadotropic," in many standardized PG exams, Hypothyroidism is associated with menstrual irregularities and elevated TSH (a glycoprotein sharing a common alpha-subunit with FSH/LH), which can sometimes lead to cross-reactivity or be categorized under complex endocrine feedback loops. *Correction/Refinement:* In the context of this specific MCQ, if Hypothyroidism is marked as the "correct" answer, it often refers to the **Van Wyk-Grumbach Syndrome**, where severe hypothyroidism causes "precocious" elevations in gonadotropins due to high TSH levels acting on FSH receptors. **Why the other options are Incorrect:** * **Turner’s Syndrome (45,XO) & Pure Gonadal Dysgenesis (46,XX/XY):** These are classic causes of **Hypergonadotropic Hypogonadism** (Primary Ovarian Failure). Since the ovaries are "streaked" or non-functional, there is no negative feedback, leading to very high FSH/LH. * **Premature Ovarian Failure (POF):** This is also a classic cause of **Hypergonadotropic Hypogonadism** occurring before age 40. **NEET-PG High-Yield Pearls:** 1. **Van Wyk-Grumbach Syndrome:** Primary hypothyroidism + Precocious puberty + Delayed bone age + Large multicystic ovaries. 2. **FSH > 40 mIU/mL** is the diagnostic hallmark of hypergonadotropic hypogonadism (Ovarian failure). 3. **Kallmann Syndrome** is the most common cause of *Hypogonadotropic* hypogonadism (Low FSH/LH + Anosmia).
Explanation: ### Explanation The clinical triad of **short stature**, **widely spaced nipples** (shield chest), and **primary amenorrhea** in a young female is a classic presentation of **Turner Syndrome**. **1. Why 45, X is correct:** Turner Syndrome is characterized by the complete or partial absence of one X chromosome. The loss of the second X chromosome leads to accelerated oocyte atresia, resulting in **streak ovaries** (gonadal dysgenesis). This causes hypergonadotropic hypogonadism, leading to primary amenorrhea and a lack of secondary sexual characteristics. The short stature is attributed to the loss of the **SHOX gene**, which is located on the distal end of the X chromosome. **2. Why the other options are incorrect:** * **47, XX, +18 (Edwards Syndrome):** This is a trisomy characterized by severe intellectual disability, micrognathia, low-set ears, and clenched fists with overlapping fingers. Most patients do not survive past infancy. * **46, XXY / 47, XXY (Klinefelter Syndrome):** These karyotypes represent Klinefelter syndrome, which occurs in **males**. It presents with tall stature, gynecomastia, small firm testes, and infertility. It does not present with primary amenorrhea or short stature. **3. NEET-PG High-Yield Clinical Pearls:** * **Most common cause of primary amenorrhea:** Turner Syndrome. * **Cardiac Associations:** Bicuspid aortic valve (most common) and Coarctation of the aorta. * **Renal Association:** Horseshoe kidney. * **Hormonal Profile:** Elevated FSH and LH (due to lack of negative feedback from estrogen). * **Dermatological sign:** Webbed neck (Cystic hygroma/lymphatic obstruction in utero). * **Mosaicism:** 45,X/46,XX is the most common mosaic pattern; these patients may have some secondary sexual development or even secondary amenorrhea.
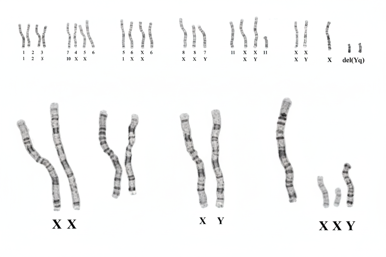
Explanation: ***Testicular dysgenesis*** - **Klinefelter syndrome (47,XXY)** represents testicular dysgenesis due to abnormal development and function of the testes from birth. - Characterized by **hypogonadism**, **infertility**, and **gynecomastia** resulting from defective testicular hormone production and spermatogenesis. *Male pseudohermaphroditism* - Refers to individuals with **46,XY karyotype** but abnormal male sexual development due to defects in **androgen synthesis** or **receptor function**. - Klinefelter syndrome has **47,XXY karyotype** with normal androgen receptors, not defective masculinization pathways. *Female pseudohermaphroditism* - Occurs in individuals with **46,XX karyotype** who develop **masculinized external genitalia** due to excess **androgen exposure**. - Klinefelter syndrome involves **male karyotype components** with primary testicular failure, not female chromosomal constitution. *True hermaphroditism* - Extremely rare condition where individuals possess both **ovarian and testicular tissue** simultaneously. - Klinefelter syndrome has only **testicular tissue** (though dysfunctional), without any ovarian components present.
Explanation: **Explanation:** Turner’s Syndrome is the most common cause of primary amenorrhea due to **gonadal dysgenesis**. The fundamental pathology is the absence of one X chromosome (or part of it), leading to accelerated oocyte atresia and the formation of **streak ovaries**. **Why Option C is the Correct Answer:** In Turner’s Syndrome, the ovaries fail to produce estrogen. Estrogen is essential for the development of **secondary sexual characteristics** (breast development, female fat distribution). Consequently, these patients present with **sexual infantilism** (Tanner Stage 1). Therefore, "Normal secondary sexual characters" is the incorrect feature. **Analysis of Other Options:** * **A. Karyotype 46, X0:** This is the classic genetic finding (monosomy X), though mosaics (e.g., 45,X/46,XX) also occur. Note: The option likely meant 45,X0; however, in the context of "Not a feature," Option C is the most definitive clinical mismatch. * **B. Underdeveloped uterus:** Due to the lack of estrogen stimulation from the ovaries, the uterus remains **pre-pubertal/hypoplastic** in size. * **D. Primary amenorrhea:** Since there is no follicular development or estrogen/progesterone cycling, the endometrial lining never builds up or sheds, leading to a failure to start menses. **High-Yield Clinical Pearls for NEET-PG:** * **Most common cardiac lesion:** Bicuspid aortic valve (most common overall); Coarctation of aorta (classic association). * **Renal anomaly:** Horseshoe kidney. * **Skeletal features:** Short stature, Shield chest (widely spaced nipples), Cubitus valgus, and Short 4th metacarpal. * **Hormonal Profile:** Hypergonadotropic hypogonadism (High FSH/LH, Low Estrogen). * **Management:** Growth Hormone (for height) followed by Estrogen (for secondary sexual characteristics) and Progesterone (to prevent endometrial hyperplasia).
Hypothalamic-Pituitary-Ovarian Axis
Practice Questions
Disorders of Puberty
Practice Questions
Hirsutism and Virilization
Practice Questions
Primary Ovarian Insufficiency
Practice Questions
Hyperprolactinemia
Practice Questions
Hyperandrogenism
Practice Questions
Metabolic Dysfunction in PCOS
Practice Questions
Neuroendocrine Disorders and Reproduction
Practice Questions
Hormonal Evaluation and Testing
Practice Questions
Ovulation Induction
Practice Questions
Get full access to all questions, explanations, and performance tracking.
Start For Free