The image shows:

The least common site of ectopic pregnancy is:

The image shows an ultrasound-guided procedure with a needle inserted into the umbilical cord. What is this procedure called?

A 25-year-old lady had tubal rupture due to ectopic pregnancy at 6 weeks. The most common site of rupture of ectopic pregnancy amongst the following is:

Between the three studies of fetal umbilical artery velocimetry by Doppler USG, which one will have the highest chances of fetal compromise?

A pregnant lady was admitted with diagnosis of PIH for monitoring and bed rest. When lying in supine position, which of the following complications is depicted in the image below?

A pregnant woman undergoes a routine antenatal ultrasound scan in the second trimester. The sonologist notes an abnormal appearance of the fetal skull. What is the sign demonstrated in the given antenatal USG image?

Increased nuchal translucency is a feature of:
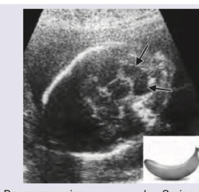
A 21-year-old G2P1 presents to OPD at 20 weeks of gestation for a second opinion since her family physician had told her that the foetus had some problem. Her obstetric USG is given below. What is the diagnosis? (AIIMS May 2016)

Which of the following maternal complications can be seen in hyperemesis gravidarum? I. Wernicke's encephalopathy II. Hepatic failure III. Hypoprothrombinemia IV. Convulsions Select the correct answer using the code given below :
Explanation: **PUBS** - The image displays a procedure where a needle is inserted through the maternal abdomen and into the **umbilical cord blood vessel** of the fetus, which is characteristic of **Percutaneous Umbilical Blood Sampling (PUBS)**. - PUBS, also known as **cordocentesis**, is used to obtain fetal blood for diagnostic purposes, such as detecting chromosomal abnormalities, genetic disorders, or fetal infections. *Amniocentesis* - **Amniocentesis** involves sampling **amniotic fluid** from the sac surrounding the fetus, not directly from the umbilical cord. - The needle in amniocentesis typically targets the amniotic sac, while in the image, it clearly targets an umbilical vessel. *Chorionic villus sampling* - **Chorionic villus sampling (CVS)** involves obtaining tissue from the **placenta** (chorionic villi), either transabdominally or transcervically. - The image clearly shows the needle entering the umbilical cord, not the placental tissue. *Fetal scalp sampling* - **Fetal scalp sampling** is performed during labor to assess fetal well-being by analyzing **fetal blood pH** from a small incision on the fetal scalp. - This procedure is performed late in pregnancy during labor and involves accessing the fetal scalp via the cervix, which is distinct from the transabdominal umbilical cord access shown.
Explanation: ***4*** - The image shows the 4 regions of the fallopian tube. Number 4 points to the **fimbriae**, which are finger-like projections at the end of the fallopian tube closest to the ovary. - While technically part of the fallopian tube, implantation in the fimbriae is extremely rare. More commonly, ectopic pregnancies occur in the ampulla or isthmus. It's the least common region of the fallopian tube for an ectopic pregnancy to occur. *1* - Number 1 points to the **interstitial** (or cornual) part of the fallopian tube, which is embedded within the muscular wall of the uterus. - While less common than ampullary pregnancies, interstitial pregnancies still account for about 2-4% of all ectopic pregnancies and have a higher risk of rupture due to the rich vascular supply and muscular distensibility of this region. *2* - Number 2 points to the **isthmus** of the fallopian tube, which is the narrow, thick-walled section connecting the ampulla to the uterine fundus. - Ectopic pregnancies in the isthmus account for approximately 12% of all ectopic pregnancies, making it the second most common site after the ampulla. *3* - Number 3 points to the **ampulla** of the fallopian tube, which is the widest and longest section, and where fertilization typically occurs. - The ampulla is the **most common site** for ectopic pregnancies, accounting for about 80% of all cases.
Explanation: ***PUBS*** - The image clearly depicts a needle inserted into the **umbilical cord**, which is characteristic of **Percutaneous Umbilical Blood Sampling (PUBS)**. - **PUBS**, also known as cordocentesis, involves sampling fetal blood from the umbilical cord for diagnostic purposes. *Amniocentesis* - This procedure involves withdrawing **amnionic fluid** from the sac surrounding the fetus, not directly from the umbilical cord. - The needle in amniocentesis would typically be shown entering the amniotic sac to aspirate fluid, not targeting the umbilical vessel. *Chorionic villus sampling* - This involves taking a sample of **chorionic villi** from the placenta, usually earlier in pregnancy than shown in the image. - The depicted needle insertion is into the umbilical cord itself, not placental tissue. *Fetal scalp sampling* - This procedure is performed during labor to measure fetal **pH** by taking a small blood sample from the fetal scalp. - The image shows an antenatal procedure targeting the umbilical cord, not the fetal scalp during labor.
Explanation: ***Option 2 (Ampulla)*** - The image shows the **ampulla** of the fallopian tube labeled with '2'. This is the **most common site** for ectopic pregnancies, accounting for approximately **80-90%** of all tubal ectopic pregnancies. - The ampulla is the widest and longest part of the fallopian tube, making it a frequent location for implantation outside the uterus. Despite being wider, rupture is common here due to the thin wall and progressive distension from the growing pregnancy. *Option 1 (Interstitial/Cornual)* - The image points to the **interstitial** (or cornual) portion of the fallopian tube, labeled '1'. This is the **least common site** for ectopic pregnancy, accounting for only **2-4%** of cases. - While rare, rupture here can be **catastrophic** due to proximity to the uterine blood supply and rich vascular anastomoses, leading to severe hemorrhage. *Option 3 (Isthmus)* - The image highlights the **isthmus** of the fallopian tube with '3'. Ectopic pregnancies in the isthmus account for approximately **12%** of cases. - Rupture in the isthmus typically occurs **earlier** (around 6-8 weeks) than in the ampulla due to its narrower lumen and thicker muscular wall, which limits its ability to accommodate the growing pregnancy. *Option 4 (Infundibulum/Fimbriae)* - The image points to the **infundibulum** and **fimbriae**, labeled '4'. Fimbrial ectopic pregnancies are **extremely rare**, accounting for less than **5%** of cases. - The fimbriae are involved in capturing the ovum after ovulation. Implantation here is uncommon and may result in fimbrial abortion rather than rupture.
Explanation: ***B*** - Pattern B shows **reversed end-diastolic flow** in the umbilical artery. This indicates severe placental insufficiency and **fetal hypoxemia and acidosis**, signifying the highest risk of fetal compromise and poor perinatal outcomes. - Reversed end-diastolic flow suggests that the fetal heart is working against extremely high resistance in the placenta, leading to a backflow of blood during diastole, which drastically **reduces oxygen and nutrient delivery** to the fetus. *A* - Pattern A shows **absent end-diastolic flow**, meaning there is no forward blood flow through the umbilical artery during diastole. While concerning, it is generally considered less severe than reversed flow. - Absent end-diastolic flow indicates significantly increased placental resistance and is associated with increased fetal morbidity and mortality, but the fetus may still compensate for some time. *C* - Pattern C demonstrates **positive end-diastolic flow**, which is a normal finding in umbilical artery Doppler velocimetry. - The presence of continuous forward flow during diastole indicates normal placental resistance and **adequate blood perfusion** to the fetus. *All of the above equally* - This option is incorrect because the three patterns (A, B, and C) represent different degrees of compromise, with **reversed end-diastolic flow (B) being the most severe**. - A normal Doppler tracing (C) suggests a healthy fetus, while absent (A) and reversed (B) end-diastolic flows signify progressively worse fetal conditions due to placental insufficiency.
Explanation: ***Supine venocaval syndrome*** - The image depicts a pregnant woman lying in a **supine position**, where the **gravid uterus** compresses the **inferior vena cava (IVC)** and potentially the aorta against the vertebral column. - This compression of the IVC leads to reduced venous return to the heart, causing a drop in cardiac output and blood pressure, known as **supine venocaval syndrome** or **aortocaval compression syndrome**. *Abdominal aorta syndrome* - While the aorta can also be compressed in the supine position by the gravid uterus, symptoms primarily arise from **venous compression (IVC)** due to its lower pressure, which is more easily obstructed. - Significant symptoms solely from **aortic compression** are less common than those from IVC compression. *Ascending aorta syndrome* - The **ascending aorta** is located in the chest, not in the abdomen, and would not be compressed by the gravid uterus. - This condition generally refers to issues like ascending aortic aneurysm or dissection, unrelated to uterine compression. *Superior vena cava syndrome* - **Superior vena cava (SVC) syndrome** results from obstruction of the SVC, typically by **mediastinal tumors** or **thrombosis**. - The SVC is in the upper chest and is not affected by the gravid uterus in a supine position.
Explanation: ***Lemon sign*** - The **lemon sign** refers to the shape of the fetal skull on ultrasound, where the frontal bones are indented, making the head appear lemon-shaped. - This sign is often associated with **Chiari II malformation** and spina bifida, where there is downward displacement of the cerebellar vermis and fourth ventricle. *Boomerang sign* - The **boomerang sign** is typically observed in imaging of the knee, referring to a meniscal tear where the displaced fragment resembles a boomerang. - It is not a sign used for fetal cranial abnormalities in ultrasound. *Spring coiled sign* - The **spring coiled sign** is a feature seen in intussusception on ultrasound, where layers of bowel are invaginated within another, resembling a coiled spring. - This sign is related to intestinal pathology, not fetal head anomalies. *Banana sign* - The **banana sign** describes the appearance of the cerebellum on fetal ultrasound when it is displaced or compressed due to Chiari II malformation, making it appear banana-shaped. - While also associated with Chiari II, the image provided shows the **head shape**, not the cerebellum, aligning with the lemon sign.
Explanation: ***Aneuploidy*** - Increased nuchal translucency (NT) is a well-established sonographic marker for fetal **aneuploidies**, particularly **Down syndrome (Trisomy 21)**. - The thickened NT reflects underlying fluid accumulation in the fetal neck due to various factors associated with aneuploidy, such as cardiac defects or altered lymphatic drainage. *Hyperploidy* - **Hyperploidy** refers to having more than the normal diploid number of chromosomes; it is a general term that includes aneuploidy. - While increased NT is a feature of conditions under the umbrella of hyperploidy, the term **aneuploidy** is more specific and commonly used in the context of NT screening for chromosomal abnormalities like trisomies. *Hypoploidy* - **Hypoploidy** refers to having fewer than the normal diploid number of chromosomes, such as **monosomy**. - While some hypoploid conditions (e.g., Turner syndrome, which is monosomy X) can be associated with increased NT, it is not the primary or most common genetic abnormality linked to significantly elevated NT measurements compared to aneuploidy in general. *Cystic fibrosis* - **Cystic fibrosis** is an autosomal recessive genetic disorder affecting exocrine glands, leading to mucus build-up in various organs. - It is **not directly associated with increased nuchal translucency** as a primary diagnostic marker; NT is a marker for chromosomal abnormalities and certain structural defects, not single-gene disorders like cystic fibrosis.
Explanation: ***Anencephaly*** - The ultrasound images clearly show the **absence of the cranial vault** and the **cerebral hemispheres**, which is characteristic of anencephaly. The upper arrow in the right image points to the irregular brain tissue that is exposed, not covered by bone. - The "frog-like" appearance of the fetal head, with exposed brain tissue, is a classic sonographic finding for this neural tube defect. *Cystic hygroma* - A cystic hygroma would appear as a **multiloculated cystic mass**, typically in the posterior neck region, often associated with chromosomal abnormalities. - The image does not show such a cystic mass; instead, it shows a defect in the fetal skull. *Omphalocele* - An omphalocele involves the **protrusion of abdominal organs** into the umbilical cord base, covered by a membrane. - This condition affects the abdominal wall, not the fetal head or brain, and would appear as an abdominal mass rather than a cranial defect. *Encephalocele* - Encephalocele is characterized by the **protrusion of brain tissue and/or meninges** through a defect in the skull, typically covered by skin or a membrane. - In encephalocele, while some brain tissue might protrude, the **cranial vault is still visible**, unlike the complete absence seen in anencephaly.
Explanation: ***Correct Option: I, III and IV only*** - **Hyperemesis gravidarum** can lead to severe metabolic derangements and nutrient deficiencies, resulting in multiple maternal complications. - **Wernicke's encephalopathy** occurs due to **thiamine (vitamin B1) deficiency** from prolonged vomiting and malnutrition, presenting with confusion, ataxia, and ophthalmoplegia. - **Hypoprothrombinemia** develops due to **vitamin K deficiency**, which can lead to coagulopathy and bleeding complications. - **Convulsions** can occur secondary to severe **electrolyte imbalances** (particularly hyponatremia, hypocalcemia) or metabolic derangements. *Incorrect Option: I, II, III and IV* - This option incorrectly includes **hepatic failure** as a complication of hyperemesis gravidarum. - While **mild transient elevation of liver enzymes** (transaminitis) can occur in hyperemesis gravidarum, **true hepatic failure does NOT occur**. - Hepatic failure in pregnancy is associated with other distinct conditions like **acute fatty liver of pregnancy (AFLP)** or **HELLP syndrome**, not hyperemesis gravidarum. *Incorrect Option: I, II and IV only* - This option incorrectly includes **hepatic failure**, which is not a recognized complication of hyperemesis gravidarum. - It also incorrectly excludes **hypoprothrombinemia**, which can occur due to vitamin K deficiency in severe cases. *Incorrect Option: II and III only* - This option is incorrect as it includes **hepatic failure** (which does not occur in hyperemesis gravidarum). - It also incorrectly excludes **Wernicke's encephalopathy** and **convulsions**, which are well-recognized severe complications of hyperemesis gravidarum.
Fetal Assessment Techniques
Practice Questions
Hypertensive Disorders in Pregnancy
Practice Questions
Intrauterine Growth Restriction
Practice Questions
Multiple Gestation
Practice Questions
Rh Isoimmunization and Other Blood Group Incompatibilities
Practice Questions
Intrauterine Fetal Therapy
Practice Questions
Prenatal Diagnosis and Genetic Counseling
Practice Questions
Placental Abnormalities
Practice Questions
Preterm Labor and Delivery
Practice Questions
Management of Medical Disorders in Pregnancy
Practice Questions
Get full access to all questions, explanations, and performance tracking.
Start For Free