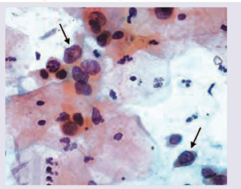
Comment on the Pap smear taken in a 31-year-old woman with normal menses taken in pre-ovulatory stage. She complains of occasional postcoital bleeding.

Name the cell marked as X in Pap smear.

A 28 -year-old P_2 ~L_2 presents to Gynaecology OPD with complaints of malodorous vaginal discharge. On examination, the discharge was found to be grayish-white in colour and adherent to vaginal walls. Which one of the following is a bedside diagnostic criterion for the causative organism?
Which one of the following is not a differential diagnosis of chronic inversion of uterus?
What are the characteristics of dermoid cyst? I. Germ cell ovarian tumour II. Bilateral in 15-20 % cases III. Torsion is common IV. Rupture is common Select the correct answer using the code given below :
Which of the following are the primary organisms involved in PID ? I. N. gonorrhoeae II. Chlamydia III. Mycoplasma hominis IV. Candida albicans Select the correct answer using the code given below :
Which of the following are Amsel's diagnostic criteria? I. Vaginal pH>4.5 II. Positive Whiff test III. Presence of clue cells >20 % IV. Positive bacterial vaginal culture Select the correct answer using the code given below :
Which of the following are criteria for opting Le Fort's operation for surgical correction of pelvic organ prolapse? I. Procidentia in old age II. Unfit for long duration surgery III. Associated uterine pathology IV. Coital function no longer required Select the correct answer using the code given below :
For which of the following conditions, surgery is indicated in a case of Fibroid Uterus ? I. Symptomatic and failed medical management II. Size >12 weeks III. Pedunculated fibroid Select the correct answer using the code given below :
Which of the following are indications of endometrial sampling? I. Routine screening in asymptomatic premenopausal women II. Endometrial polyp III. Postmenopausal bleeding IV. Abnormal uterine bleeding Select the correct answer using the code given below :
Explanation: ***Koilocyte*** - The image shows cells with **perinuclear halos (koilocytic atypia)**, which are **pathognomonic cytopathic effects of human papillomavirus (HPV) infection**. - Koilocytes are the **characteristic cells** identified in this Pap smear, representing the specific cytomorphological finding. - These cells are the hallmark feature seen in **low-grade squamous intraepithelial lesions (LSIL)** and explain the patient's postcoital bleeding. - When asked to "comment on" cytology with an image showing specific cellular changes, identifying the **characteristic cell type** (koilocyte) is the most direct and specific answer. *Squamous intraepithelial lesion* - While this is the **clinical diagnosis/Bethesda classification** that would be reported when koilocytes are found, this option is less specific than identifying the actual cellular finding. - In clinical practice, the presence of koilocytes leads to a diagnosis of LSIL (a type of squamous intraepithelial lesion). - However, "Squamous intraepithelial lesion" is a broader category that could include findings beyond just koilocytic changes. - The question specifically asks to "comment on" the Pap smear image, making identification of the **specific cytological feature** (koilocyte) more appropriate than the diagnostic category. *Normal study* - A normal Pap smear would show **mature squamous cells without atypia**, with no perinuclear halos or other abnormal cellular changes. - The presence of koilocytes with their characteristic perinuclear halos indicates **pathology**, not a normal study. *Candida infection* - **Candida infection** presents with **budding yeast cells and pseudohyphae** on Pap smear, which are distinctly different from koilocytic changes. - While Candida can cause vaginal discharge, the cytomorphology shown (perinuclear halos in squamous cells) is characteristic of **HPV infection**, not fungal infection.
Explanation: ***Superficial cells*** - The cell marked 'X' is a **superficial cell**, characterized by its large, polygonal shape, small, dense, **pyknotic nucleus**, and abundant, transparent cytoplasm. - The cytoplasm of superficial cells typically stains **eosinophilic** (pink) with Pap staining, as seen in the image. *Intermediate cells* - **Intermediate cells** are characterized by a vesicular nucleus with finely granular chromatin and a larger cytoplasm-to-nucleus ratio than parabasal or basal cells. - Their cytoplasm stains **cyanophilic** (blue-green) and they have a smaller, less dense nucleus than superficial cells. *Parabasal cells* - **Parabasal cells** are round or oval with a relatively large nucleus and a high nuclear to cytoplasmic ratio, observed in atrophic smears or prepubertal/postmenopausal women. - Their cytoplasm is typically **cyanophilic** (blue-green) and they are smaller than intermediate and superficial cells. *Basal cells* - **Basal cells** are the smallest, deepest cells of the non-keratinizing squamous epithelium and are usually not seen in normal Pap smears unless there's an ulcer or an inflammatory process. - They have a relatively large, round nucleus and scant **basophilic cytoplasm**, which would appear much darker and with little cytoplasm compared to the cell marked 'X'.
Explanation: ***Positive 10% potassium hydroxide test*** - A **positive whiff test** (amine test) with 10% KOH, producing a **fishy odor**, is a characteristic bedside diagnostic criterion for **bacterial vaginosis**. - This test detects the presence of **amines** produced by anaerobic bacteria in the vaginal discharge. *Presence of RBCs in vaginal smear* - The presence of **red blood cells (RBCs)** in a vaginal smear is not a specific diagnostic criterion for bacterial vaginosis. - RBCs may indicate **inflammation**, trauma, or other infections, but not specifically bacterial overgrowth. *Vaginal pH < 4.5* - In bacterial vaginosis, the **vaginal pH is typically elevated (> 4.5)** due to the reduction of **lactobacilli** and overgrowth of anaerobic bacteria. - A pH less than 4.5 would suggest a normal vaginal flora or possibly a fungal infection, not bacterial vaginosis. *Positive NAAT test* - **Nucleic acid amplification tests (NAATs)** are used to detect specific pathogens like **Chlamydia** or **Gonorrhea**, not typically bacterial vaginosis. - While NAATs are highly sensitive and specific, they are not a **bedside diagnostic criterion** for bacterial vaginosis.
Explanation: ***Gartner's cyst*** - A **Gartner's cyst** is a benign vaginal cyst resulting from remnants of the **Wolffian duct**. - It is typically a **small, asymptomatic lesion** along the lateral vaginal wall and would not be mistaken for a uterine inversion, which involves the uterus turning inside out. - This is **not a differential diagnosis** of chronic uterine inversion. *Fungating cervical malignancy* - An **exophytic (fungating) cervical malignancy** can present as a mass protruding through the cervix. - On examination, it can be confused with an inverted uterus, as both can present with **vaginal bleeding** and a **fleshy mass** visible at or beyond the cervix. - This is a **recognized differential diagnosis** of chronic uterine inversion. *Fibroid polyp* - A **pedunculated submucous fibroid** (fibroid polyp) that prolapses through the cervix is a **classic differential diagnosis** of chronic uterine inversion. - Its appearance as a firm, smooth, fleshy mass protruding through the cervix can closely mimic an inverted uterine fundus. - Differentiation requires careful examination - the attachment site and presence of a pedicle help identify a fibroid polyp. *Cervical prolapse* - **Cervical prolapse** (procidentia) involves the descent of the entire uterus with the cervix leading. - While both conditions involve protrusion beyond the vaginal opening, they are **clinically distinct** - in prolapse, the cervix is visible with its external os, and the uterus remains anatomically normal (not inverted). - However, in exam contexts, **cervical prolapse is sometimes listed as a differential** as both present with a mass at the introitus, though experienced clinicians can readily distinguish them on examination.
Explanation: ***I, II and III*** - **Dermoid cysts (mature cystic teratomas) are germ cell ovarian tumors** arising from totipotent germ cells, containing mature tissues from all three germ layers (ectoderm, mesoderm, endoderm) - They are **bilateral in 15-20% of cases**, which is a significant percentage for benign ovarian masses - **Torsion is the most common complication** (10-15% of cases) due to their buoyancy, irregular shape, and mobility - **Rupture is relatively uncommon** (spontaneous rupture in only 1-4% of cases), making statement IV incorrect *II and IV only* - While bilaterality (15-20%) is correct, rupture is NOT a common characteristic - This option incorrectly includes statement IV (rupture common) and misses the fundamental classification as a germ cell tumor *I and III only* - Correctly identifies germ cell origin and torsion risk - However, this excludes the significant bilaterality rate (15-20%), which is an important clinical characteristic - Incomplete answer *II, III and IV* - Correctly identifies bilaterality and torsion - Incorrectly states rupture is common (actually occurs in only 1-4% of cases) - Critically fails to mention the germ cell tumor classification, which is fundamental to understanding dermoid cysts
Explanation: ***I, II and III*** - **Neisseria gonorrhoeae** and **Chlamydia trachomatis** are the two most common and well-established primary bacterial causes of PID, responsible for the majority of sexually transmitted cases that ascend from the cervix to the upper genital tract. - **Mycoplasma hominis** is frequently isolated in PID cases and is recognized as a significant pathogen contributing to the polymicrobial nature of PID, particularly in cases not solely due to gonorrhea or chlamydia. - These three organisms together represent the primary causative pathogens in acute PID. *II, III and IV* - This option incorrectly omits **Neisseria gonorrhoeae**, which is one of the two most important primary causes of PID. - **Candida albicans** causes vulvovaginal candidiasis but is **not a primary causative agent of PID**, which involves ascending bacterial infection of the upper reproductive tract (endometrium, fallopian tubes, ovaries, and pelvic peritoneum). *I, II and IV* - While **Neisseria gonorrhoeae** and **Chlamydia trachomatis** are correctly identified as major primary causes, **Candida albicans** is not typically involved in PID pathogenesis. - This option incorrectly excludes **Mycoplasma hominis**, which is a recognized pathogen in PID. *I, III and IV* - This option correctly identifies **Neisseria gonorrhoeae** and **Mycoplasma hominis** but incorrectly includes **Candida albicans**, which is not a PID pathogen. - Critically, this omits **Chlamydia trachomatis**, the single most common cause of PID and a leading cause of tubal factor infertility.
Explanation: ***I, II and III*** - Amsel's criteria are used for diagnosing **bacterial vaginosis** and include a vaginal pH >4.5, a positive **Whiff test** (amine odor with KOH), and the presence of **clue cells** (>20%) on microscopy. - The presence of at least three out of these four criteria is generally considered diagnostic for bacterial vaginosis. *I, III and IV* - This option incorrectly includes a **positive bacterial vaginal culture** as an Amsel's criterion. - Bacterial vaginal culture is generally not part of Amsel's criteria for diagnosing bacterial vaginosis, as it is often difficult to interpret due to the polymicrobial nature of the condition and doesn't differentiate between normal flora and pathogenic overgrowth. *I, II and IV* - This option also incorrectly includes a **positive bacterial vaginal culture** as an Amsel's criterion. - Amsel's criteria rely on direct, rapid clinical assessment rather than labor-intensive culture methods for diagnosis of bacterial vaginosis. *II, III and IV* - This option incorrectly includes a **positive bacterial vaginal culture** and omits **vaginal pH >4.5**, which is a key component of Amsel's criteria. - The elevated vaginal pH is crucial as it indicates a shift from the normal acidic vaginal environment, making it a critical diagnostic marker.
Explanation: **Correct: I, II and IV** Le Fort's operation (colpocleisis) is an **obliterative procedure** that partially closes the vaginal canal, making it suitable for: - **Procidentia in old age (I)**: Complete uterovaginal prolapse in elderly patients who are ideal candidates for this procedure - **Unfit for long duration surgery (II)**: The procedure is less extensive with shorter operative time, making it appropriate for patients with significant comorbidities who cannot tolerate prolonged reconstructive surgery - **Coital function no longer required (IV)**: This is a **fundamental criterion** as the procedure obliterates the vaginal canal, precluding sexual intercourse *Incorrect: II, III and IV* This option incorrectly includes **"Associated uterine pathology (III)"** which is actually a **contraindication** or relative contraindication for Le Fort's operation. Uterine pathology requiring intervention (e.g., endometrial hyperplasia, fibroids, ongoing bleeding) would necessitate: - Hysterectomy prior to or concurrent with the procedure, OR - Other uterine-specific surgical management - After vaginal closure, the uterus cannot be adequately monitored or accessed for future pathology Le Fort's operation does not address uterine disease and may complicate future management. *Incorrect: I and II only* This option is incomplete as it excludes **"Coital function no longer required (IV)"**, which is an **essential criterion** for any obliterative procedure. The patient's desire to preserve sexual function is a critical factor in surgical planning: - If coital function is desired → Reconstructive surgery (sacrocolpopexy, native tissue repair) - If coital function not required → Obliterative surgery (Le Fort's, total colpocleisis) *Incorrect: I, III and IV* This option incorrectly includes **"Associated uterine pathology (III)"**. Significant uterine pathology is generally a **contraindication** to Le Fort's operation unless: - The pathology is addressed with concurrent hysterectomy, OR - The pathology requires no ongoing surveillance The presence of uterine disease requiring monitoring would make vaginal obliteration inappropriate, as it prevents future access for diagnostic or therapeutic procedures.
Explanation: ***I, II and III*** - **Symptomatic fibroids that have failed medical management** are a primary indication for surgery, as treatment aims to alleviate symptoms like heavy menstrual bleeding, pelvic pain, pressure symptoms, or urinary complaints. - A fibroid uterus size greater than **12 weeks' gestation** is considered a **relative indication for surgery** in most guidelines. Large fibroids (>12 weeks) are more likely to cause pressure symptoms, may be difficult to monitor for growth, and have increased risk of complications. While asymptomatic large fibroids can be observed, size >12 weeks is widely accepted as a surgical indication in standard practice. - **Pedunculated fibroids** (especially subserosal) carry a risk of **torsion**, which can cause acute abdominal pain and ischemia requiring emergency surgery. Pedunculated submucosal fibroids often cause menorrhagia and are typically removed. Thus, pedunculated fibroids are generally considered surgical indications due to these risks. - **All three conditions (I, II, and III)** represent accepted indications for surgical management of fibroid uterus in standard gynecological practice. *I and II only* - This option incorrectly excludes **pedunculated fibroids** as an indication for surgery. - Pedunculated fibroids, particularly those that are subserosal, have a significant risk of torsion, and submucosal pedunculated fibroids commonly cause bleeding requiring surgical intervention. *I and III only* - This option incorrectly excludes **fibroid size >12 weeks** as an indication for surgery. - Large fibroids are difficult to monitor, more likely to be symptomatic, and may cause bulk-related complications warranting surgical consideration even when initial medical management hasn't been attempted. *II and III only* - This option incorrectly excludes **symptomatic fibroids that have failed medical management** as a surgical indication. - Symptomatic relief is the primary goal of fibroid treatment, and when conservative medical measures fail, surgery becomes the definitive treatment option regardless of size or morphology.
Explanation: ***II, III and IV*** - **Endometrial polyps** require sampling for histopathological diagnosis and to assess for malignancy, especially when symptomatic or found in postmenopausal women. - **Postmenopausal bleeding** is a red-flag symptom that mandates endometrial sampling to rule out **endometrial hyperplasia** or **endometrial carcinoma**, as 5-10% of cases are associated with malignancy. - **Abnormal uterine bleeding** in premenopausal or perimenopausal women often requires endometrial sampling to investigate underlying causes such as **endometrial hyperplasia**, **polyps**, **endometritis**, or **malignancy**. *I, II and IV* - This option incorrectly includes **routine screening in asymptomatic premenopausal women (I)**, which is NOT an indication for endometrial sampling. - Endometrial sampling is not recommended for routine screening in asymptomatic women without risk factors or concerning symptoms. *I, III and IV* - This option also incorrectly includes **routine screening (I)** as an indication. - Additionally, it excludes **endometrial polyps (II)**, which are a definite indication for endometrial sampling when detected. *I, II and III* - This option incorrectly includes **routine screening (I)** while excluding **abnormal uterine bleeding (IV)**. - **Abnormal uterine bleeding** is one of the most common and important indications for endometrial evaluation across all age groups.
Abnormal Uterine Bleeding
Practice Questions
Endometriosis
Practice Questions
Adenomyosis
Practice Questions
Uterine Fibroids
Practice Questions
Ovarian Cysts
Practice Questions
Pelvic Inflammatory Disease
Practice Questions
Vulvovaginitis
Practice Questions
Pelvic Organ Prolapse
Practice Questions
Vulvar Disorders
Practice Questions
Benign Breast Diseases
Practice Questions
Get full access to all questions, explanations, and performance tracking.
Start For Free