What is the recommended treatment for condyloma acuminata during pregnancy?
Which of the following conditions microscopically shows cystic glandular hyperplasia of all the endometrial components?
All of the following are causes of postmenopausal bleeding except?
A fixed pelvic tumour occurs in which of the following conditions?
What is the uncommon change that can occur in a myoma?
Interstitial myomas predispose to menorrhagia by which mechanism?
A patient presents with creamy white or slightly green vaginal discharge. What is the drug of choice?
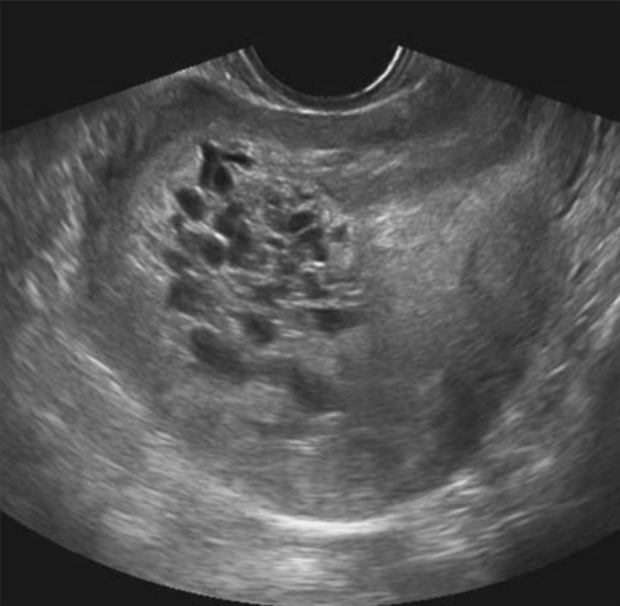
A 30-year-old primigravida complains of vaginal bleeding, pain in the abdomen, and vomiting. The uterus is enlarged, soft, and non-tender. Based on the ultrasound findings, what is the most likely diagnosis?

Which type of uterus is characterized by two separate endometrial cavities and two separate vaginas?
What is the recommended treatment for an ovarian cyst in a post-menopausal patient?
Explanation: **Explanation:** Condyloma acuminata (anogenital warts) are caused by Human Papillomavirus (HPV), typically types 6 and 11. During pregnancy, these lesions often increase in size and number due to physiological immunosuppression and increased vascularity. **Why Trichloroacetic Acid (TCA) is Correct:** TCA (80–90%) is the preferred chemical treatment during pregnancy because it acts via local caustic destruction (protein coagulation) and has **minimal systemic absorption**, making it safe for the fetus. Other safe modalities include cryotherapy, surgical excision, and laser ablation. **Analysis of Incorrect Options:** * **Podophyllin (A) & Podophyllotoxin (B):** These are strictly **contraindicated** in pregnancy. They are antimitotic agents that can be systemically absorbed, leading to potential teratogenicity, fetal death, or maternal toxicity (peripheral neuropathy, respiratory failure). * **5-FU Cream (D):** This is a fluorinated pyrimidine (antimetabolite) that interferes with DNA synthesis. It is **contraindicated** due to its potential for systemic absorption and teratogenic risks. **High-Yield Clinical Pearls for NEET-PG:** * **Mode of Delivery:** HPV is NOT an indication for Cesarean section unless the warts are so large they physically obstruct the birth canal or risk massive hemorrhage during vaginal delivery. * **Vertical Transmission:** While rare, HPV can be transmitted to the neonate, potentially leading to **Juvenile Onset Recurrent Respiratory Papillomatosis (JORRP)**. Cesarean delivery does not reliably prevent this transmission. * **Treatment Goal:** In pregnancy, the goal is to eradicate visible warts; the underlying viral infection often persists. Many lesions regress spontaneously postpartum.
Explanation: **Explanation:** **Metropathia Haemorrhagica** (also known as Schroeder’s Disease) is a specialized form of Dysfunctional Uterine Bleeding (DUB) typically seen in perimenopausal women. 1. **Why it is correct:** The condition is characterized by **persistent unovulation**, leading to a state of absolute hyperestrogenism without the balancing effect of progesterone. This continuous estrogenic stimulation causes the endometrium to become markedly thickened and hyperplastic. Microscopically, it shows **Cystic Glandular Hyperplasia**, classically described as a **"Swiss-Cheese" appearance**, where glands of varying sizes (some dilated and cystic) are lined by pseudostratified epithelium. All components—glands, stroma, and vessels—undergo hyperplasia. 2. **Why other options are incorrect:** * **Menorrhagia:** This is a clinical symptom (heavy cyclic bleeding) rather than a specific pathological diagnosis. While it can be caused by hyperplasia, it is also caused by fibroids, adenomyosis, or copper-Ts, which do not show this specific microscopic pattern. * **Polymenorrhea:** This refers to a shortened menstrual cycle (<21 days). It is usually due to a short follicular phase or luteal phase deficiency, not necessarily cystic hyperplasia. * **Oligomenorrhea:** This refers to infrequent cycles (>35 days). While often associated with PCOS (which can lead to hyperplasia), it is a clinical description and not a microscopic diagnosis of all endometrial components. **NEET-PG High-Yield Pearls:** * **Clinical Presentation:** Characterized by a period of **amenorrhea** (due to high estrogen) followed by **profuse, painless, prolonged bleeding**. * **Classic Triad:** Amenorrhea, Hyperestrogenism, and Cystic Glandular Hyperplasia. * **Ovarian finding:** Presence of a persistent follicular cyst (unruptured follicle). * **Microscopy:** "Swiss-Cheese" pattern is the hallmark buzzword for exams.
Explanation: **Explanation:** Postmenopausal bleeding (PMB) is defined as vaginal bleeding occurring after 12 consecutive months of amenorrhea in a woman of menopausal age. It is a clinical "red flag" that must be investigated to rule out malignancy, although benign causes are more common. **Why "None of the above" is the correct answer:** The question asks for the exception among the causes of PMB. However, **all three options (A, B, and C) are recognized clinical causes of postmenopausal bleeding.** Since every listed condition can lead to PMB, there is no "exception" among them. * **Senile (Atrophic) Vaginitis:** This is the **most common cause** of PMB. Low estrogen levels lead to thinning of the vaginal epithelium and increased fragility of the mucosal capillaries, resulting in spotting or bleeding. * **Decubitus Ulcer:** This occurs in cases of **uterine prolapse** (specifically stage III or IV). The exposed vaginal mucosa becomes congested and undergoes friction against clothing or the thighs, leading to an infected, necrotic ulcer that bleeds. * **Cervical Erosion (Ectropion/Ectopy):** While more common in the reproductive age group, chronic cervicitis or trauma in a postmenopausal woman can lead to erosive changes or friability of the cervix, causing contact bleeding. **NEET-PG High-Yield Pearls:** * **Most common cause of PMB:** Senile Vaginitis/Atrophy (approx. 60-80%). * **Most common malignant cause of PMB:** Endometrial Carcinoma. * **Gold Standard Investigation:** Fractional Curettage (historically) or Office Endometrial Biopsy (Pipelle). * **First-line Screening:** Transvaginal Ultrasound (TVS). An **endometrial thickness (ET) ≤ 4 mm** has a high negative predictive value for endometrial cancer. * **Rule of Thumb:** Any PMB is endometrial cancer until proven otherwise.
Explanation: **Explanation:** The mobility of a pelvic mass is a critical clinical finding. A **fixed pelvic tumor** indicates that the mass is no longer confined to its organ of origin but has become tethered to surrounding pelvic structures (such as the pelvic side walls, broad ligament, or pouch of Douglas) through infiltration, inflammation, or mechanical extension. * **Malignancy (Option A):** Ovarian or uterine cancers often cause fixation due to direct **cancerous infiltration** into adjacent tissues or the development of malignant adhesions. This is a hallmark of advanced-stage disease. * **Endometriosis (Option B):** This condition is characterized by chronic inflammation and "powder-burn" lesions that lead to the formation of **dense, fibrous adhesions**. In severe cases (Stage IV), this results in a "frozen pelvis," where the uterus and adnexa become completely immobile. * **Growth Extension into Pelvic Ligaments (Option C):** Benign but aggressive growths (like large broad ligament fibroids) or inflammatory processes (like Chronic Pelvic Inflammatory Disease/PID) can extend into the pelvic ligaments, obliterating natural cleavage planes and fixing the mass in place. **Conclusion:** Since all three mechanisms—malignant invasion, inflammatory adhesions, and anatomical extension—result in a non-mobile mass, **Option D** is the correct answer. **NEET-PG High-Yield Pearls:** * **Frozen Pelvis:** Most commonly associated with **Endometriosis**, **Advanced Malignancy**, and **Chronic PID**. * **Mobility Check:** A mobile, non-tender mass is typically a benign ovarian cyst; a fixed, irregular mass should always raise suspicion for malignancy. * **Pouch of Douglas (POD):** Nodularity felt in the POD on rectovaginal examination is a classic sign of either **Endometriosis** or **Peritoneal Seedings** from ovarian cancer.
Explanation: **Explanation:** Uterine leiomyomas (fibroids) are the most common benign tumors of the uterus. While they frequently undergo various forms of degeneration due to outgrowing their blood supply, the frequency of these changes varies significantly. **Why Malignant Change is the Correct Answer:** Malignant transformation into a **Leiomyosarcoma** is the rarest change occurring in a myoma. The incidence is extremely low, estimated at approximately **0.1% to 0.5%**. It is typically suspected in postmenopausal women who present with a rapidly enlarging uterus or a "growing fibroid" after menopause. **Analysis of Incorrect Options:** * **Hyaline Change (D):** This is the **most common** type of degeneration (occurring in ~65% of cases). It involves the replacement of smooth muscle cells by homogenous eosinophilic acellular tissue. * **Calcification (A):** This is a common "end-stage" change, especially in postmenopausal women (subserosal fibroids). It results from circulatory impairment and is often seen as a "womb stone" on X-ray. * **Red Degeneration (B):** This is a common complication specifically during **pregnancy** (usually the 2nd trimester). It is caused by aseptic infarction due to venous thrombosis and presents with acute abdominal pain. **NEET-PG High-Yield Pearls:** * **Most common degeneration:** Hyaline degeneration. * **Most common degeneration in pregnancy:** Red (Carneous) degeneration. * **Cystic degeneration:** Often follows hyaline change; may mimic pregnancy or ovarian cysts. * **Sarcomatous change:** Suspect if there is rapid growth, postmenopausal bleeding, or pain. It usually arises *de novo* rather than from a pre-existing benign fibroid.
Explanation: **Explanation:** The primary mechanism by which **interstitial (intramural) myomas** cause menorrhagia is by **inhibiting uterine contractility**. During menstruation, the contraction of the myometrium acts as "physiologic ligatures" to compress the spiral arteries and control blood loss. Intramural fibroids distort the myometrial architecture and interfere with these rhythmic contractions, leading to prolonged and heavy bleeding. Additionally, they increase the total surface area of the uterine cavity and cause congestion of the overlying endometrial veins. **Analysis of Options:** * **A (Correct):** As explained, the mechanical presence of the tumor within the muscle layer prevents efficient myometrial contraction and retraction. * **B (Incorrect):** While degeneration (e.g., red or cystic) can cause acute pain and fever, it is a complication of the fibroid itself and not the primary mechanism for chronic menorrhagia. * **C (Incorrect):** Erosion of the endometrial mucosa is the classic mechanism for **submucous myomas**, which protrude into the cavity and cause ulceration of the overlying thin endometrium. * **D (Incorrect):** The physiological basis (contractility and surface area) is well-established in gynecological pathology. **High-Yield Clinical Pearls for NEET-PG:** * **Most common symptom of fibroids:** Menorrhagia (specifically intramural and submucous types). * **Submucous myomas:** Most likely to cause infertility and intermenstrual spotting/metrorrhagia. * **Subserous myomas:** Usually asymptomatic or cause pressure symptoms; they rarely cause menorrhagia. * **Red Degeneration:** Most common in the 2nd trimester of pregnancy due to rapid growth and venous thrombosis. * **Treatment of choice for symptomatic fibroids in women desiring fertility:** Myomectomy.
Explanation: **Explanation:** The clinical presentation of **creamy white or slightly green vaginal discharge** is characteristic of **Trichomoniasis**, a sexually transmitted infection caused by the protozoan *Trichomonas vaginalis*. While the discharge is classically described as "frothy" and "greenish-yellow," variations in consistency (creamy) and color (white to green) are common clinical findings. **1. Why Metronidazole is the Correct Answer:** Metronidazole is the **Drug of Choice (DOC)** for Trichomoniasis. It is a nitroimidazole that works by inhibiting nucleic acid synthesis in anaerobic bacteria and protozoa. The standard treatment is either a single 2g oral dose or 500mg twice daily for 7 days. It is also the DOC for **Bacterial Vaginosis (BV)**, which presents with a thin, grayish-white discharge. **2. Why Other Options are Incorrect:** * **Doxycycline & Ofloxacin:** These are used in the treatment of Pelvic Inflammatory Disease (PID) or infections caused by *Chlamydia trachomatis* and *Neisseria gonorrhoeae*. They are ineffective against protozoal infections like Trichomoniasis. * **Clindamycin:** While Clindamycin can be used as an alternative for Bacterial Vaginosis (especially in patients allergic to Metronidazole), it is not the primary choice for Trichomoniasis. **3. NEET-PG High-Yield Pearls:** * **Strawberry Cervix:** Punctate hemorrhages on the cervix (Colpitis macularis) are pathognomonic for Trichomoniasis (seen in ~10% of cases). * **pH Factor:** In both Trichomoniasis and BV, the vaginal pH is typically **>4.5**. * **Partner Treatment:** Unlike Candidiasis or BV, Trichomoniasis is a true STI; therefore, **simultaneous treatment of the male partner** is mandatory to prevent reinfection. * **Whiff Test:** A positive Whiff test (fishy odor with KOH) is more characteristic of BV but can occasionally be positive in Trichomoniasis.
Explanation: ***Hydatidiform mole*** - Classic presentation of **vaginal bleeding**, **hyperemesis gravidarum** (severe vomiting), and **enlarged soft uterus** in a primigravida strongly suggests molar pregnancy. - Ultrasound shows characteristic **"snowstorm" appearance** with grape-like vesicular pattern and absence of fetal structures. *Missed abortion* - Features **retained dead fetus** with **closed cervix** and **absence of cardiac activity** on ultrasound, not the snowstorm pattern. - Typically presents with **minimal bleeding** and **cramping pain**, with uterus smaller than expected for gestational age. *Blighted ovum* - Shows **empty gestational sac** without embryonic structures on ultrasound, lacking the vesicular pattern of molar pregnancy. - Usually presents with **mild bleeding** and **cramping**, without the severe vomiting seen in this case. *Ectopic pregnancy* - Occurs when pregnancy implants **outside the uterine cavity**, most commonly in **fallopian tubes**. - Presents with **severe unilateral pain**, **amenorrhea**, and potential **hemodynamic instability**, not an enlarged soft uterus.
Explanation: **Explanation:** The correct answer is **Didelphys**. This condition results from the **complete failure of fusion** of the two Müllerian (paramesonephric) ducts. Consequently, each duct develops independently into a separate hemi-uterus, cervix, and often a longitudinal vaginal septum, leading to two separate endometrial cavities and two separate vaginas. **Analysis of Options:** * **Bicornuate Uterus:** Caused by **partial failure of fusion** of the Müllerian ducts. It presents as two uterine horns with a single cervix (Bicornuate Unicollis) or two cervices (Bicornuate Bicollis), but it does not typically involve two separate vaginas. * **Septate Uterus:** Results from the **failure of resorption** of the midline septum after the ducts have fused. It features a single outer uterine contour but a divided cavity. This is the most common Müllerian anomaly and is associated with the highest rate of miscarriage. * **Arcuate Uterus:** A mild variation where there is a small indentation in the fundal midline. It is considered a normal variant and does not significantly impact reproductive outcomes. **High-Yield Clinical Pearls for NEET-PG:** * **Müllerian Agenesis (MRKH Syndrome):** Absence of the uterus and upper 2/3rd of the vagina; ovaries are functional (46, XX). * **Renal Anomalies:** Always screen the renal system (e.g., via Ultrasound/IVP) in patients with Müllerian anomalies, as they share a common embryological origin (up to 30-50% association). * **HSG vs. MRI:** Hysterosalpingography (HSG) can identify the cavity shape, but **MRI or 3D Ultrasound** is the gold standard for distinguishing between Bicornuate and Septate uteri by visualizing the external fundal contour.
Explanation: **Explanation:** In post-menopausal women, any palpable ovarian mass is considered abnormal and must be approached with a high index of suspicion for malignancy. Unlike pre-menopausal women, where functional cysts (follicular or corpus luteal) are common and often resolve spontaneously, post-menopausal ovaries are physiologically inactive. Therefore, the **"Wait and Watch"** approach is generally avoided. **Why Option A is Correct:** The risk of ovarian cancer increases significantly with age, peaking in the 60s and 70s. Because post-menopausal ovaries should be atrophic, any new cyst or enlargement is potentially neoplastic. **Immediate surgical removal** (usually via salpingo-oophorectomy) is the standard of care to obtain a definitive histopathological diagnosis and to prevent the progression of an undiagnosed malignancy. **Why Options B, C, and D are Incorrect:** * **B, C, and D (Delayed removal):** These options suggest a period of observation. While a very small (<5cm), simple, unilocular cyst with a low CA-125 level may sometimes be monitored in highly specific clinical scenarios, the standard teaching for NEET-PG is that a post-menopausal ovarian cyst requires prompt intervention. Delaying surgery for 2 weeks to 3 months risks the metastasis of an early-stage ovarian carcinoma. **High-Yield Clinical Pearls for NEET-PG:** * **RMI (Risk of Malignancy Index):** Used to assess ovarian masses. It calculates: $U (Ultrasound\ score) \times M (Menopausal\ status) \times CA\text{-}125\ level$. * **Post-menopausal Palpable Ovary Syndrome:** A classic clinical sign where an ovary palpable on bimanual examination in a post-menopausal woman is considered malignant until proven otherwise. * **Investigation of Choice:** Transvaginal Ultrasound (TVUS) is the primary imaging modality, followed by serum CA-125 levels.
Abnormal Uterine Bleeding
Practice Questions
Endometriosis
Practice Questions
Adenomyosis
Practice Questions
Uterine Fibroids
Practice Questions
Ovarian Cysts
Practice Questions
Pelvic Inflammatory Disease
Practice Questions
Vulvovaginitis
Practice Questions
Pelvic Organ Prolapse
Practice Questions
Vulvar Disorders
Practice Questions
Benign Breast Diseases
Practice Questions
Get full access to all questions, explanations, and performance tracking.
Start For Free