What is the co-test in cervical cancer screening?
Which is the primary chemotherapeutic agent used for cervical cancer?
A patient presents with an endometrial thickness of 14mm with an adnexal mass. She has a history of complex endometrial hyperplasia with the presence of atypical cells. Which of the following is likely the diagnosis?
Which type of hysterectomy is done in a case of carcinoma cervix stage IB?
A woman diagnosed with cervical cancer is found to have unilateral hydroureteronephrosis on imaging due to tumor invasion. What is the FIGO stage of her disease?
A 62-year-old postmenopausal woman with a history of hypertension presents with vaginal bleeding. Her blood pressure is 170 / 100 mmHg. What is the most appropriate next step in management?
A 65-year-old postmenopausal woman presents with painless vaginal bleeding. She has no history of hormone replacement therapy. What is the most likely diagnosis?
A patient presents with ascites and omental caking. Imaging reveals solid components in an adnexal mass, and there is a long-standing history of symptoms. CA-125 is positive. What is the most probable diagnosis?
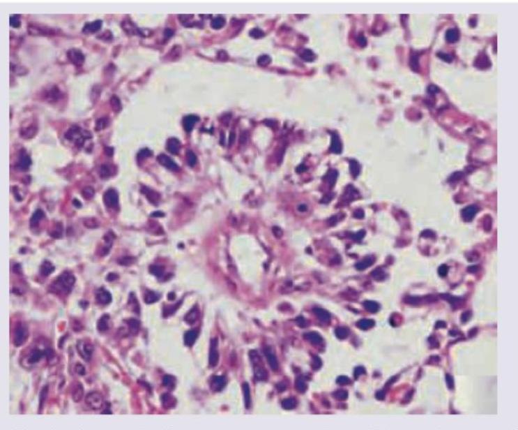
15-year-old girl presents with a big pelvic mass. CT abdomen shows omental thickening and large ovarian mass. For surgical staging, biopsy of the ovarian mass was done. The specimen findings are diagnostic of?

Bilateral total salpingectomy is a recommended surgical procedure to reduce the risk of :
Explanation: ***HPV and PAP smear*** - **Co-testing** is the simultaneous use of the **hrHPV DNA test** (to detect oncogenic virus presence) and the **Papanicolaou (PAP) smear** (to detect cytological abnormalities). - This combination provides the highest sensitivity for detecting high-grade cervical intraepithelial neoplasia (**CIN 2/3**) and is recommended for screening women aged 30-65 years in many guidelines. *Pap smear and VIA* - **Visual Inspection with Acetic acid (VIA)** is typically used as a primary screening method in settings where laboratory infrastructure for cytology or HPV testing is limited, not as a standard co-test. - The combination of **PAP smear** (cytology) and **HPV testing** (molecular) offers a superior and more risk-stratified approach than combining cytology with simple visual inspection. *HPV and VIA* - This combination lacks the necessary **specificity** provided by the PAP smear, as VIA relies on subjective visual assessment of acetowhite changes rather than objective cytological classification. - Standard screening protocols often require detailed cytological results (e.g., **ASCUS, LSIL, HSIL**) from the PAP smear to guide subsequent triage and management decisions when HPV is positive. *PAP smear and colposcopy* - **Colposcopy** is a **diagnostic and evaluation procedure** performed *after* an abnormal screening result (e.g., abnormal PAP or positive HPV), not a screening test to be paired with the PAP smear. - Colposcopy allows for directed biopsy and is crucial for definitive diagnosis and staging of **cervical intraepithelial neoplasia (CIN)**.
Explanation: ***Platinum-based therapy*** - **Cisplatin** is the foundational chemotherapeutic agent utilized, often combined with radiation (**chemoradiation**) for locally advanced disease. - For metastatic or recurrent cervical cancer, combinations using platinum agents (**Cisplatin** or **Carboplatin**) along with **Paclitaxel** are standard first-line systemic treatments. *Immunotherapy* - **Immunotherapy**, specifically checkpoint inhibitors like **Pembrolizumab**, is approved for recurrent or metastatic cervical cancer that progresses after first-line chemotherapy. - It is not the initial or primary systemic treatment modality, which is founded upon platinum agents. *Hormonal therapy* - **Hormonal therapy** is primarily used for hormone-responsive cancers such as **breast cancer** (estrogen/progesterone receptors positive) or **prostate cancer**. - Cervical cancer is typically driven by **HPV infection** and carcinogenesis, making it largely unresponsive to sex hormones. *Targeted therapy* - **Targeted therapy**, such as the **anti-VEGF** agent **Bevacizumab**, is often utilized, but only *in addition to* platinum-based chemotherapy for advanced or recurrent disease. - It is used as an adjunct to systemic chemotherapy, which remains centered on platinum compounds.
Explanation: ***Metastasis endometrial cancer to ovary*** - A history of **complex endometrial hyperplasia with atypical cells** is a strong precursor or co-existing condition with **endometrial carcinoma**. - The combination of a highly suspicious thick endometrium (**14mm**) and an **adnexal mass** strongly suggests a primary uterine malignancy that has spread to the ovary, which is a common site for endometrial cancer metastasis. *Struma ovarii* - This is a rare specialized form of **mature cystic teratoma** composed predominantly of thyroid tissue and is generally benign. - *Struma ovarii* is not etiologically linked to primary uterine pathology like **atypical endometrial hyperplasia** or endometrial carcinoma. *Polycystic ovarian disease* - PCOD leads to unopposed **estrogen stimulation** causing endometrial hyperplasia, but it rarely produces a solitary, large **adnexal mass** as described. - While PCOD is a risk factor for endometrial hyperplasia, the finding of presumed *metastasis* (mass + primary cancer features) is inconsistent with this diagnosis. *Immature ovarian teratoma* - These are malignant **germ cell tumors**, typically presenting in young women and often associated with elevated **alpha-fetoprotein (AFP)** or LDH markers. - Immature teratomas are not associated with the development of primary **endometrial carcinoma** or its precursor lesions like atypical hyperplasia.
Explanation: ***Type 3 hysterectomy***- This procedure represents the **classic radical hysterectomy** (Wertheim-Meigs operation) and is the standard surgical treatment for primary carcinoma of the cervix, specifically **FIGO Stage IB** and early Stage IIA- It requires the complete excision of the uterus, cervix, upper third of the vagina, and the removal of the *entire* **parametria** and uterosacral ligaments up to the pelvic sidewall, alongside meticulous **pelvic lymphadenectomy**.*Type 1 hysterectomy*- This is a **simple (extra-fascial) hysterectomy** that removes the uterus while preserving the deep pelvic fascia; it removes minimal to no parametrial tissue- It is inadequate for Stage IB disease and is typically reserved for benign indications or **FIGO Stage IA1** microinvasive carcinoma.*Type 2 hysterectomy*- Known as a **modified radical hysterectomy**, this procedure involves the resection of the uterus along with the medial half of the parametrium, providing less radical resection than Type 3.- It is usually reserved for smaller, low-risk lesions like **FIGO Stage IA2** or very small Stage IB1 tumors, depending on institutional protocol and tumor characteristics.*Type 4 hysterectomy*- This procedure is an **extended radical hysterectomy**, involving extensive removal of adjacent structures beyond Type 3, often including parts of the bladder or ureters (approaching pelvic exenteration).- It is generally reserved for critically advanced local cancers, those involving neighboring organs, or specific cases of local **recurrence**.
Explanation: ***Stage IIIB*** - According to the FIGO 2018 staging, the presence of **hydronephrosis** or a non-functioning kidney due to the primary tumor classifies the disease as **Stage IIIB**. - This signifies locally advanced disease where the tumor has extended to the **pelvic wall** or caused ureteral obstruction. *Stage IIB* - Stage IIB involves tumor extension to the parametrium (the fibrous tissue surrounding the uterus) but specifically **without reaching the pelvic wall** or causing hydronephrosis. - While there is parametrial involvement, it is not sufficient in extent to cause clinical or radiological evidence of **ureteral obstruction**. *Stage IIIA* - This stage is defined by tumor extension to the **lower third of the vagina**, which is a local but not a distant spread criterion. - Importantly, Stage IIIA implies no involvement of the pelvic wall and no **hydronephrosis** or non-functioning kidney based on obstruction. *Stage IIIC* - **Stage IIIC** is defined solely by the presence of lymph node metastases, regardless of the size or extent of the primary tumor. - This includes involvement of either **pelvic lymph nodes (IIIC1)** or **para-aortic lymph nodes (IIIC2)**, which is a different criterion from ureteral obstruction.
Explanation: ***Immediate pelvic examination and transvaginal ultrasound*** - **Postmenopausal bleeding (PMB)** must be considered **endometrial cancer** until proven otherwise, necessitating immediate, comprehensive evaluation. - The standard initial workup includes a **pelvic examination** and a **transvaginal ultrasound (TVUS)** to measure **endometrial thickness** (normal <4-5 mm in postmenopausal women). - If endometrial thickness is >4-5 mm or if the endometrium cannot be adequately visualized, an **endometrial biopsy** is indicated. - **Pap smear is NOT part of PMB workup** as it screens for cervical cancer, not endometrial pathology. *Reassure her that this is normal at her age* - **PMB is never normal** and requires mandatory investigation; reassuring her would be negligence and could delay the diagnosis of malignancy. - The history of hypertension is an independent risk factor for **endometrial hyperplasia** and **endometrial carcinoma**. *Refer her to cardiology before any further evaluation* - While her blood pressure is high (Stage 2 hypertension), the **vaginal bleeding** is an acute, potentially malignant symptom that takes immediate priority. - Evaluating hypertension can occur concurrently, but it should not **delay** the urgent gynecological workup. *Start antihypertensives and observe for 1 week* - Starting antihypertensives treats her chronic risk factor, but observation for one week means delaying the crucial diagnostic workup for **endometrial cancer**. - This approach risks advancing the stage of a potentially **treatable malignancy**.
Explanation: ***Endometrial carcinoma*** - **Painless postmenopausal bleeding** is the cardinal sign of endometrial carcinoma, and **malignancy must be excluded in every postmenopausal woman** presenting with this symptom. - Since the patient is 65 (well past menopause) and not on **Hormone Replacement Therapy (HRT)**, the risk is significantly higher for primary endometrial cancer. - **Key principle**: Any postmenopausal bleeding (even spotting) requires **endometrial sampling** (via endometrial biopsy or D&C) to rule out malignancy. *Adenomyosis* - This condition typically presents in **premenopausal women** (usually 40s and 50s) with symptoms like **dysmenorrhea** (painful periods) and **menorrhagia** (heavy bleeding). - It is highly unlikely to be the cause of isolated new-onset painless bleeding in a woman 15+ years post-menopause. *Uterine fibroid* - Fibroids (leiomyomas) are most common in **reproductive years** and generally cause symptoms like **heavy menstrual bleeding** or pelvic pressure. - While fibroids can sometimes cause postmenopausal bleeding due to atrophy or malignancy (sarcoma), they are less likely than carcinoma to be the primary cause of painless bleeding in this age group. *Endometriosis* - Endometriosis is a disease of **reproductive-aged women** typically causing symptoms like **chronic pelvic pain**, dysmenorrhea, and dyspareunia. - It almost always regresses spontaneously after menopause and does not cause isolated postmenopausal bleeding.
Explanation: ***Serous ovarian tumor*** - This is the most common type of epithelial ovarian cancer, often presenting late with extensive **peritoneal dissemination**, causing **ascites** and **omental caking** (carcinomatosis). - High elevation of the tumor marker **CA-125** is characteristic and strongly supports this diagnosis in the setting of advanced disease. *Mucinous ovarian tumor* - These tumors often grow large but are typically confined to the ovary or manifest as **pseudomyxoma peritonei** if ruptured, which is different from typical omental caking. - While they can elevate CA-125, the elevation is less common and less pronounced than in serous carcinoma. *Endometrioid tumor* - This type has a strong association with **endometriosis** and concurrent or preceding **endometrial cancer**, a feature not mentioned in the presentation. - While they are often CA-125 positive, the combined clinical picture of omental caking plus ascites points preferentially to **Serous carcinoma**. *Granulosa cell tumor* - This is a sex-cord stromal tumor that is typically detected earlier due to its **endocrine activity**, often causing signs of **estrogen excess** (e.g., post-menopausal bleeding). - The key tumor marker for this type is **inhibin**, not CA-125.
Explanation: ***Endodermal sinus tumour*** - The image displays characteristic **Schiller-Duval bodies**, which are pathognomonic for endodermal sinus tumors (also known as yolk sac tumors). These structures resemble primitive glomeruli with a central vessel surrounded by tumor cells. - Endodermal sinus tumors are aggressive **germ cell tumors** and are common in adolescent girls, often presenting with a large pelvic mass and elevated **alpha-fetoprotein (AFP)**, correlating with the clinical picture. *Granulosa cell tumour* - Granulosa cell tumors are **sex cord-stromal tumors** and typically present with features of estrogen excess, such as precocious puberty or abnormal uterine bleeding. - Histologically, they are characterized by **Call-Exner bodies**, which are small, gland-like structures containing eosinophilic fluid, not seen in the provided image. *Arrhenoblastoma* - Arrhenoblastomas (Sertoli-Leydig cell tumors) are also **sex cord-stromal tumors** that typically cause virilization due to androgen production. - Histologically, they show cords and tubules composed of Sertoli and Leydig cells, which are distinct from the structures in the image. *Thecoma* - Thecomas are benign **sex cord-stromal tumors** primarily composed of lipid-rich stromal cells, often producing estrogen. - They typically appear as solid, yellow tumors and histologically consist of spindle cells with intracellular lipid droplets, without the complex architectural patterns like Schiller-Duval bodies.
Explanation: ***Epithelial ovarian cancer*** - Many high-grade serous ovarian cancers, the most common and aggressive type, are now believed to originate in the **distal fallopian tube** (specifically the fimbriae). - Removing the fallopian tubes significantly reduces the risk of these cancers, especially in women at **high genetic risk** (e.g., BRCA1/2 mutations) or undergoing hysterectomy for benign indications. *Uterine cancer* - Uterine cancer primarily affects the **endometrium** (lining of the uterus) or the **myometrium** (muscle wall). - Bilateral salpingectomy, which involves removing the fallopian tubes, does not directly influence the risk of uterine cancer. *Fallopian tube cancer* - While bilateral salpingectomy removes the fallopian tubes, the primary goal for risk reduction associated with these tubes is for **epithelial ovarian cancer**, not primary fallopian tube cancer itself. - Primary fallopian tube cancer is extremely rare, and often shares similar histopathological features and biological behavior with high-grade serous ovarian cancer. *Peritoneal cancer* - Peritoneal cancer can arise from the lining of the abdominal cavity, often with a similar histology to **serous ovarian cancer**. - While there might be some overlap in the pathogenesis, the strongest evidence for risk reduction with salpingectomy specifically targets the origin of **epithelial ovarian cancer** from the fallopian tube, rather than direct primary peritoneal cancer risk.
Cervical Cancer
Practice Questions
Endometrial Cancer
Practice Questions
Ovarian Cancer
Practice Questions
Vulvar and Vaginal Cancer
Practice Questions
Gestational Trophoblastic Disease
Practice Questions
Screening for Gynecologic Cancers
Practice Questions
Principles of Gynecologic Oncology Surgery
Practice Questions
Radiation Therapy in Gynecologic Malignancies
Practice Questions
Chemotherapy in Gynecologic Oncology
Practice Questions
Palliative Care in Gynecologic Oncology
Practice Questions
Get full access to all questions, explanations, and performance tracking.
Start For Free