Which is not correct regarding the contraceptive method being used?

Identify the contraceptive method shown below:

Identify the contraceptive method shown below:

The procedure being performed in the image is:

What does the following image show?

What is incorrect about this instrument?

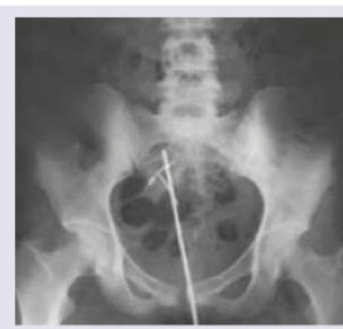
The X-ray pelvis AP shows presence of:

The following picture shows a contraceptive. All are correct about the device except:

The contraceptive shown below acts by:

A patient has received the following birth control method. It is called:

Explanation: ***Has lower failure rate than male condom*** - The **female condom** (as depicted in the image) generally has a **higher typical use failure rate** than the male condom based on most effectiveness studies. - While male condoms have an 18% typical use failure rate, female condoms have a typical use failure rate of about 21%. *Inner ring can irritate penis* - The flexible, **inner ring** of the female condom, which helps secure it in place against the cervix, can potentially cause **irritation to the penis** during intercourse due to friction. - This is a known concern for some users and their partners. *Made of polyurethane* - Female condoms are traditionally made of **polyurethane**, which is a synthetic rubber suitable for individuals with **latex allergies**, allowing for use with oil-based lubricants. - Newer versions may also be made of **nitrile** or other synthetic materials. *Pregnancy can occur if penis enters between the device and vagina* - If the **penis slips between the outer ring** of the female condom and the vaginal wall, sperm can be deposited directly into the vagina, leading to potential **pregnancy**. - Proper insertion and positioning are crucial to prevent this type of user error.
Explanation: ***Standard Days Method (SDM) / Cyclebeads*** - The image displays **Cyclebeads**, which are used in the **Standard Days Method (SDM)** of contraception as a visual aid to track a woman's fertile window. - This method helps women with **cycles between 26 and 32 days** identify days 8-19 as the potentially fertile period, during which they should avoid unprotected intercourse. - The beads are color-coded: **red bead marks day 1** of the cycle, **white beads mark fertile days (days 8-19)**, and **brown beads mark non-fertile days**. *Lactational Amenorrhea Method (LAM)* - A natural contraceptive method based on **exclusive breastfeeding** providing temporary protection against pregnancy. - Requires fully or nearly fully breastfeeding, **amenorrhea**, and **infant less than 6 months old**. - Does not use visual tracking devices like Cyclebeads. *Symptothermal Method* - Combines multiple fertility indicators including **basal body temperature**, **cervical mucus changes**, and **calendar calculations**. - More complex than SDM and requires daily temperature charting and cervical mucus observation. - Does not use bead-based tracking. *Billings Ovulation Method* - A fertility awareness method based solely on observing and interpreting **cervical mucus patterns** throughout the menstrual cycle. - Relies on identifying the "peak day" of mucus fertility to determine the fertile window. - Does not use mechanical tracking aids like Cyclebeads.
Explanation: ***NuvaRing*** - The image clearly displays a **flexible, clear ring-shaped device** designed for vaginal insertion, which is characteristic of the NuvaRing. - The **NuvaRing** is a **combined hormonal contraceptive** that releases estrogen (ethinyl estradiol) and progestin (etonogestrel) to prevent ovulation. *Plan B ring* - There is no contraceptive device known as a **"Plan B ring."** Plan B is an **oral emergency contraceptive pill**, not a ring. - Emergency contraception is a single-dose or two-dose medication taken after unprotected intercourse, distinct from ongoing methods. *Implanon* - **Implanon** (now usually Nexplanon) is a **subdermal implant**, a small, flexible rod inserted under the skin of the upper arm. - It is not a ring and is not typically visible externally once inserted, unlike the device shown. *Vaginal condom* - A **vaginal condom** (also known as a female condom) is a **pouch-like device** with flexible rings at both ends, which is inserted into the vagina before intercourse. - The item in the picture is a single, continuous ring, not a barrier device with a pouch.
Explanation: ***Fluorescein staining with cobalt blue light*** - The image shows a bright **fluorescent green** color on the surface of the eye, which is characteristic of **fluorescein dye** being illuminated by a **cobalt blue light** - This technique is used to detect **epithelial defects** or **abrasions** on the cornea or conjunctiva, as the dye adheres to areas where cells are damaged - Fluorescein is a **water-soluble** dye that stains areas where the **epithelial barrier is breached** - Essential for diagnosing **corneal ulcers**, **abrasions**, and **foreign body tracks** *Rose Bengal staining* - Rose Bengal is another vital dye used to stain **dead or degenerating cells** on the ocular surface - Stains areas of **poor mucin coverage** and is useful in diagnosing **dry eye syndrome** - Does NOT produce the characteristic **bright green fluorescence** seen with fluorescein under cobalt blue light *Schirmer's test* - This test is used to measure **tear production**, not to visualize epithelial defects - Involves placing a **filter paper strip** in the lower eyelid and measuring tear wetting - Used in diagnosis of **dry eye syndrome** and **keratoconjunctivitis sicca** *Slit lamp examination* - A general examination technique using a **biomicroscope** to examine anterior segment structures - Does not involve the use of dyes or produce the **fluorescent green** appearance - While fluorescein staining can be viewed with a slit lamp using a cobalt blue filter, the procedure shown specifically refers to the **staining technique** itself
Explanation: ***Lens subluxation*** - The image clearly shows the **lens is displaced from its normal position**, with the edge of the lens visible in the pupillary aperture, which is characteristic of subluxation. - Subluxation means the **lens is partially dislocated** but remains within the pupillary area or behind the iris. *Microspherophakia* - This condition refers to a **lens that is abnormally small and spherical**, which is not depicted in this image. - While microspherophakia can sometimes be associated with subluxation, the primary feature seen here is the displacement, not the shape of the lens. *Posterior lenticonus* - **Posterior lenticonus** involves a **conical protrusion of the posterior lens capsule and cortex**, causing an "oil droplet" reflex or an irregular reflex with retroillumination. - The image shows a **displaced lens edge**, not a specific conical bulge on the posterior surface. *Blue dot cataract* - A **blue dot cataract**, also known as punctate cerulean cataract, consists of small, bluish, punctate opacities in the lens cortex. - These are typically **benign and stationary opacities** and are not shown in this image, which emphasizes lens position.
Explanation: ***Used for Copper T removal*** - While a speculum is often used to *visualize* the cervix for **Copper T (IUD) removal**, the removal itself is performed using specific **forceps** or a **hook** to grasp the IUD strings. - This instrument, a speculum, primarily serves to **open the vaginal canal** and provide visibility, not to directly remove an IUD. *Self-retaining speculum* - The image clearly shows a **screw mechanism** at the handle which allows the blades to be fixed in an open position without manual holding. - This feature makes it a **self-retaining instrument**, providing hands-free operation once inserted and opened. *Excellent visualization of vagina* - This **bivalved speculum**, when properly inserted and opened, effectively separates the anterior and posterior vaginal walls. - This action allows for **broad and clear visualization** of the vaginal vault and cervix. *Bivalved speculum* - The instrument consists of **two blades (valves)**, one anterior and one posterior, which are articulated and operated by a handle. - This design is characteristic of a **bivalved speculum**, designed to open the vaginal canal.
Explanation: ***Uterine sounding to check position of dislodged IUD*** - The image shows a **T-shaped radiopaque object**, consistent with an **intrauterine device (IUD)**, located aberrantly outside the expected uterine cavity but within the pelvis. - A **uterine sound**, appearing as a long, thin radiopaque rod, has been inserted, indicating an attempt to locate or assess the position of the dislodged IUD. *Endoscopic removal of ureteric stones* - This image does not show any typical features of **ureteric stones** (e.g., small, dense calcifications along the ureteric course) or instruments commonly used for their endoscopic removal (e.g., ureteroscope or basket catheter). - The depicted objects are clearly a dislodged IUD and a uterine sound, which are unrelated to ureteric stone removal. *Uterine sounding to check for the site of uterine tear* - While a **uterine sound** can be used in cases of uterine perforation, the primary finding here is a clearly **dislodged IUD** outside the uterus. - The presence of the IUD in an extra-uterine location, rather than an obvious tear, suggests the sounding is for IUD localization. *Pelvic trauma* - There are **no signs of bony fractures, dislocations, or soft tissue injury** consistent with **pelvic trauma** on this X-ray. - The radiopaque objects observed are medical devices (IUD and uterine sound), not indicative of traumatic injury.
Explanation: ***Protects against STD*** - **Diaphragms** provide minimal to no protection against **sexually transmitted diseases (STDs)** as they only cover the cervix and do not prevent **skin-to-skin contact** transmission. - Unlike **condoms**, diaphragms do not cover the entire genital area and are not considered effective for **STD prevention**. *Made of latex* - **Diaphragms** are commonly manufactured from **latex** or **silicone** materials to provide flexibility and durability. - The **latex material** allows for proper fitting over the cervix while maintaining effectiveness as a barrier contraceptive. *Increases UTI risk* - **Diaphragm** use is associated with increased risk of **urinary tract infections (UTIs)** due to pressure on the urethra during insertion. - The device can alter **vaginal flora** and facilitate bacterial growth, leading to higher UTI incidence. *Efficacy enhanced with spermicide* - The contraceptive effectiveness of **diaphragms** is significantly improved when used with **spermicidal agents**. - **Spermicides** provide additional protection by immobilizing and destroying sperm that may bypass the physical barrier.
Explanation: ***Preventing implantation*** - The image shows **Saheli (Centchroman/Ormeloxifene)**, a non-steroidal oral contraceptive that works primarily as a **Selective Estrogen Receptor Modulator (SERM)**. - Its **primary mechanism** is to render the **endometrium unsuitable for implantation** by causing endometrial changes that prevent the blastocyst from attaching to the uterine wall. - This is the main contraceptive effect that makes Saheli effective at preventing pregnancy. *Preventing fertilization* - While Centchroman may have some **secondary effects** on cervical mucus and tubal motility that could affect sperm transport, this is not its primary mechanism of action. - Fertilization can still occur with Saheli use; the contraceptive effect primarily occurs at the implantation stage. - Unlike barrier methods or spermicides, Saheli does not primarily work by preventing sperm-egg union. *Preventing ovulation* - Saheli is specifically known for being a **non-hormonal contraceptive that does NOT suppress ovulation**. - This distinguishes it from combined oral contraceptive pills (COCs) that work by preventing ovulation. - Ovulation occurs normally in women taking Saheli, which is one of its advantages as it maintains more natural hormonal cycles. *Preventing zygote cell multiplication* - This would imply a direct toxic effect on the dividing embryo, which is not the mechanism of Centchroman. - The drug works by altering the endometrial receptivity rather than directly affecting the zygote's cellular division process. - Its action is on the **uterine environment** rather than on embryonic cell multiplication.
Explanation: ***Contraceptive implant*** - The image shows a **small, flexible rod inserted under the skin of the upper arm**, which is characteristic of a contraceptive implant. - This device continuously releases a progestin hormone to **prevent pregnancy** for up to three years or more.
Natural Family Planning Methods
Practice Questions
Barrier Methods
Practice Questions
Hormonal Contraceptives
Practice Questions
Intrauterine Devices
Practice Questions
Emergency Contraception
Practice Questions
Permanent Contraception Methods
Practice Questions
Contraception in Special Populations
Practice Questions
Contraceptive Counseling
Practice Questions
Side Effects and Complications of Contraceptives
Practice Questions
Future Contraceptive Technologies
Practice Questions
Get full access to all questions, explanations, and performance tracking.
Start For Free