Which of the following variables does NOT predict survival in a patient with primary sclerosing cholangitis?
Which of the following is associated with nonalcoholic steatohepatitis?
All of the following extraintestinal manifestations of ulcerative colitis respond to colectomy except?
Which of the following diseases is not a cause of indirect hyperbilirubinemia?
A 25-year-old male with no previous history of jaundice presents with yellowish discoloration of the sclera for 3 days, accompanied by fatigue and abdominal pain. He has been fasting for the past 3 days due to religious reasons. On examination, his abdomen was soft and tender with no evidence of hepatomegaly. Hepatic histology showed a moderate increase in the lipofuscin pigment. Which of the following would be expected in this patient?
In which of the following conditions of malabsorption is an intestinal biopsy diagnostic?
A 45-year-old male presents with a history of epigastric pain radiating to the back after a night of partying. Which of the following investigations is most appropriate for diagnosing the cause of his symptoms?
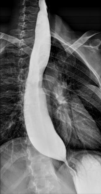
A middle-aged patient presents with dysphagia for liquids. A barium esophagogram is shown. What is the diagnosis?

Extraintestinal manifestations of Crohn disease include ALL EXCEPT?
Protein-losing enteropathy is seen in which of the following conditions?
Explanation: **Explanation:** The correct answer is **C. Presence of AMA in high titre.** **Primary Sclerosing Cholangitis (PSC)** is a chronic cholestatic liver disease characterized by fibrosing inflammation of the intrahepatic and extrahepatic bile ducts [1]. Unlike Primary Biliary Cholangitis (PBC), where **Anti-Mitochondrial Antibodies (AMA)** are a hallmark diagnostic marker (found in >95% of cases), AMA is typically **absent** in PSC [2]. Therefore, its presence or titre does not correlate with the disease process or predict survival in PSC patients. **Analysis of Incorrect Options:** * **Serum Bilirubin Level:** This is one of the most potent predictors of survival. Rising bilirubin indicates progressive cholestasis and deteriorating liver function; it is a core component of the Mayo PSC Risk Score. * **Splenomegaly:** The presence of an enlarged spleen signifies the development of portal hypertension, a late-stage complication that indicates a poorer prognosis and reduced survival. * **Histologic Stage:** Liver biopsy findings (Stages I-IV) are predictive. Advanced stages (Stage III: Septal fibrosis; Stage IV: Cirrhosis) are associated with significantly shorter survival times compared to early-stage disease. **High-Yield Clinical Pearls for NEET-PG:** * **Gold Standard Diagnosis:** MRCP (shows "beaded appearance" of bile ducts). * **Strongest Association:** Approximately 70-80% of PSC patients have **Ulcerative Colitis** [1]. * **Antibody Marker:** p-ANCA is often positive in PSC (60-80%), though not specific [1]. * **Malignancy Risk:** PSC patients have a high risk of **Cholangiocarcinoma** and Colorectal Cancer. * **Mayo Risk Score Variables:** Age, Bilirubin, Albumin, AST, and history of Variceal Bleeding.
Explanation: **Explanation:** **Nonalcoholic Steatohepatitis (NASH)**, now increasingly referred to under the umbrella of **MASLD/MASH** (Metabolic Dysfunction-Associated Steatotic Liver Disease), is characterized by hepatic fat accumulation with inflammation and hepatocyte injury [1]. While most cases are linked to metabolic syndrome, **Drug-Induced Steatohepatitis (DISH)** is a critical high-yield sub-category for NEET-PG. **Why Option A is Correct:** **Amiodarone** is a classic cause of secondary steatohepatitis. It is a lipophilic drug that accumulates in lysosomes and inhibits mitochondrial beta-oxidation of fatty acids [2]. This leads to the accumulation of microvesicular and macrovesicular fat. Histologically, amiodarone-induced injury can be indistinguishable from alcoholic hepatitis, often showing **Mallory-Denk bodies** and phospholipidosis (lamellar bodies on electron microscopy) [2]. **Why Incorrect Options are Wrong:** * **B. Thin body habitus:** NASH is strongly associated with **obesity**, insulin resistance, and Type 2 Diabetes [3]. While "Lean NAFLD" exists (especially in Asian populations), it is not the classic association compared to amiodarone. * **C. Phenytoin sodium therapy:** Phenytoin is typically associated with **drug-induced liver injury (DILI)** presenting as hypersensitivity reactions (DRESS syndrome) or acute hepatitis, but not typically steatohepatitis. * **D. Right hemicolectomy:** While **extensive small bowel resection** (leading to Short Bowel Syndrome) or **jejunoileal bypass** can cause rapid weight loss and secondary NASH, a simple right hemicolectomy does not typically predispose a patient to steatohepatitis. **High-Yield Clinical Pearls for NEET-PG:** * **Drugs causing Steatosis/NASH:** Amiodarone, Methotrexate, Tamoxifen, Valproate, and Tetracyclines (acute microvesicular) [2]. * **Gold Standard Diagnosis:** Liver biopsy (shows macrovesicular steatosis, ballooning degeneration, and perisinusoidal fibrosis). * **First-line Management:** Weight loss (7-10%) and Vitamin E (in non-diabetic biopsy-proven NASH) or Pioglitazone.
Explanation: Extraintestinal manifestations (EIMs) of Ulcerative Colitis (UC) are classified based on their relationship with bowel disease activity and their response to surgical intervention (colectomy). ### **Why Primary Sclerosing Cholangitis (PSC) is the Correct Answer** **Primary Sclerosing Cholangitis (PSC)** is the most important EIM that follows an **independent course** [1]. Its progression is not related to the severity of colonic inflammation, nor is it cured by a total proctocolectomy. Even after the colon is removed, the biliary destruction in PSC can progress to cirrhosis or cholangiocarcinoma [1]. ### **Analysis of Incorrect Options** The following EIMs typically parallel the activity of the colitis and **resolve or significantly improve** following a colectomy [2]: * **Peripheral Arthralgia (Type 1):** Large joint involvement usually mirrors bowel flares; removing the diseased colon eliminates the inflammatory trigger [2]. * **Episcleritis:** This ocular manifestation is highly correlated with intestinal disease activity and resolves when the underlying colitis is treated or surgically removed. * **Pyoderma Gangrenosum:** While its relationship with bowel activity is sometimes less predictable than Erythema Nodosum, it generally responds to the removal of the diseased colon in refractory cases [2]. ### **High-Yield Clinical Pearls for NEET-PG** * **Independent Course (Does NOT respond to colectomy):** PSC and Ankylosing Spondylitis (AS) [1]. * **Dependent Course (Responds to colectomy):** Erythema nodosum, Episcleritis, and Type 1 Peripheral Arthritis [2]. * **Most common EIM of IBD:** Arthritis (Peripheral is more common than Axial). * **PSC-UC Link:** Approximately 70-80% of patients with PSC have underlying UC, but only 5% of UC patients develop PSC [1]. PSC increases the risk of colorectal cancer even after colectomy (in the ileal pouch).
Explanation: To approach this question, one must distinguish between disorders of bilirubin **conjugation** (indirect/unconjugated) and bilirubin **excretion** (direct/conjugated). [3] ### **Why Rotor’s Syndrome is the Correct Answer** **Rotor’s Syndrome** is a rare, autosomal recessive condition characterized by **conjugated (direct) hyperbilirubinemia**. It results from a defect in the hepatic storage and re-uptake of bilirubin due to mutations in the OATP1B1 and OATP1B3 transporters. Unlike the other options, the bilirubin is already conjugated by the liver but cannot be properly stored or excreted into the bile, leading to its regurgitation into the blood. ### **Analysis of Incorrect Options** * **Gilbert’s Syndrome:** The most common hereditary hyperbilirubinemia. It is caused by reduced activity of the enzyme **UGT1A1**, leading to impaired conjugation and thus **indirect** hyperbilirubinemia (often triggered by stress or fasting). [1] * **Crigler-Najjar Syndrome:** Caused by a severe deficiency (Type II) or total absence (Type I) of **UGT1A1**. This leads to significant **indirect** hyperbilirubinemia, which can cause kernicterus in infants. [1] * **Hereditary Spherocytosis:** A hemolytic anemia where red blood cells are destroyed prematurely. The massive breakdown of hemoglobin overwhelms the liver's conjugating capacity, resulting in **pre-hepatic indirect** hyperbilirubinemia. [2] ### **NEET-PG High-Yield Pearls** * **Direct Hyperbilirubinemia:** Think **D**ubins-Johnson and **R**otor’s (Mnemonic: **DR**). * **Dubins-Johnson vs. Rotor’s:** Dubins-Johnson features a **black liver** (epinephrine metabolite deposition) and normal urinary coproporphyrin levels (but 80% is isomer I). Rotor’s has a **normal-appearing liver** and elevated total urinary coproporphyrins. * **Gilbert’s Trigger:** Jaundice appearing after a 24-hour fast is a classic clinical vignette for Gilbert’s Syndrome.
Explanation: ### **Explanation** The clinical presentation points toward **Gilbert Syndrome**, a common, benign autosomal recessive condition characterized by reduced activity of the enzyme **UDP-glucuronosyltransferase (UGT1A1)** [1]. **1. Why Unconjugated Hyperbilirubinemia is Correct:** In Gilbert Syndrome, the liver's ability to conjugate bilirubin is impaired (reduced to ~30% of normal) [1]. Bilirubin levels are typically normal but rise during periods of **physiologic stress**, such as **fasting**, illness, dehydration, or strenuous exercise [2]. The patient’s 3-day fast triggered this transient rise in **unconjugated (indirect) bilirubin** [2]. The presence of **lipofuscin pigment** on histology is a non-specific finding often seen in normal aging or chronic conditions but is classically associated with Gilbert and Dubin-Johnson (though much more prominent in the latter). **2. Why the Other Options are Incorrect:** * **Option A (Conjugated Hyperbilirubinemia):** This occurs in conditions of impaired excretion (e.g., Dubin-Johnson, Rotor Syndrome) or biliary obstruction [4]. Gilbert Syndrome specifically affects the conjugation step [2]. * **Option C (Grossly elevated AST/ALT):** These are markers of hepatocellular injury (e.g., Viral Hepatitis) [3]. In Gilbert Syndrome, liver enzymes, bile acids, and synthetic function tests remain **normal**. * **Option D (Normal bilirubin):** While the patient’s baseline might be normal, he is currently symptomatic (jaundiced), indicating an active state of hyperbilirubinemia (>2–2.5 mg/dL) [4]. ### **NEET-PG High-Yield Pearls** * **Gilbert Syndrome:** Most common hereditary hyperbilirubinemia. Diagnosis is usually clinical; a "Fasting Test" or "Nicotinic Acid Provocation Test" can be used to induce jaundice [2]. * **Histology:** Liver architecture is **normal**. Lipofuscin may be present but is not diagnostic. * **Dubin-Johnson vs. Rotor:** Both cause conjugated hyperbilirubinemia. Dubin-Johnson features a **"Black Liver"** due to heavy pigment and abnormal coproporphyrin I excretion. * **Crigler-Najjar Syndrome:** A more severe form of UGT1A1 deficiency (Type I is total absence; Type II is severe deficiency) [1].
Explanation: In malabsorption syndromes, intestinal biopsy findings are categorized into three groups: **Diagnostic** (pathognomonic), **Suggestive** (but not specific), and **Non-diagnostic**. ### Why Whipple's Disease is the Correct Answer **Whipple’s disease** is one of the few conditions where an intestinal biopsy is considered **diagnostic** [1]. The characteristic histological finding is the presence of **PAS-positive macrophages** in the lamina propria containing Gram-positive bacilli (*Tropheryma whipplei*) [1]. These macrophages distort the villi, providing a definitive diagnosis that does not require further clinical correlation for confirmation. ### Explanation of Incorrect Options * **Celiac Disease:** While biopsy is essential, it is **suggestive** rather than pathognomonic. Findings like villous atrophy, crypt hyperplasia, and increased intraepithelial lymphocytes (Marsh Criteria) can also be seen in tropical sprue or viral enteritis [2]. Diagnosis requires clinical and serological correlation (e.g., anti-tTG antibodies). * **Tropical Sprue:** Similar to Celiac disease, the biopsy shows non-specific subtotal villous atrophy. It is a diagnosis of exclusion based on travel history and response to antibiotics/folate. * **Lactose Intolerance:** This is a mucosal enzyme deficiency. The intestinal morphology (biopsy) appears **completely normal**. Diagnosis is typically made via a Hydrogen Breath Test or clinical challenge. ### High-Yield Clinical Pearls for NEET-PG * **Other conditions where biopsy is diagnostic:** Abetalipoproteinemia (clear vacuolated enterocytes), Agammaglobulinemia (absence of plasma cells), and Mycobacterium avium-intracellulare (acid-fast bacilli in macrophages). * **Whipple's Disease Triad:** Malabsorption, migratory polyarthritis, and lymphadenopathy [1]. * **Treatment of Whipple's:** Ceftriaxone (initial) followed by oral Trimethoprim-sulfamethoxazole (TMP-SMX) for 1 year.
Explanation: The clinical presentation of epigastric pain radiating to the back, especially following alcohol consumption ("partying"), is a classic description of **Acute Pancreatitis** [1]. **1. Why Serum Lipase is the Correct Answer:** Serum lipase is the preferred biochemical marker for diagnosing acute pancreatitis. According to the Revised Atlanta Criteria, the diagnosis requires at least two of the following: (a) characteristic abdominal pain, (b) serum amylase or lipase levels >3 times the upper limit of normal, and (c) characteristic findings on imaging. Lipase is more **specific** than amylase and remains elevated for a longer duration (7–14 days), making it superior for diagnosis. **2. Why Other Options are Incorrect:** * **CPK-MB:** This is a marker for myocardial injury (Acute Coronary Syndrome). While an inferior wall MI can present with epigastric pain, it does not typically radiate to the back or follow alcohol binges. * **ALP (Alkaline Phosphatase):** This is a marker of cholestasis or bone turnover. While it may be elevated in gallstone pancreatitis, it is not diagnostic of pancreatitis itself. * **Gamma-GGT:** This is a sensitive marker for hepatobiliary disease and chronic alcohol consumption, but it lacks the specificity to diagnose acute pancreatic inflammation. **Clinical Pearls for NEET-PG:** * **Most Specific Marker:** Serum Lipase. * **Earliest Marker:** Serum Amylase (rises within 2–12 hours) but returns to normal faster (3–5 days). * **Most Common Cause:** Gallstones (overall), followed by Alcohol. * **Imaging of Choice:** Contrast-Enhanced CT (CECT) is the gold standard but is ideally performed after 48–72 hours to assess for necrosis [2]. * **Cullen’s Sign/Grey Turner’s Sign:** Indicators of hemorrhagic pancreatitis (periumbilical and flank ecchymosis, respectively).
Explanation: ***Achalasia*** - Barium esophagogram shows the classic **"bird-beak" sign** with a dilated esophagus and smooth tapering at the gastroesophageal junction. - **Dysphagia for both liquids and solids** is characteristic, caused by failure of the **lower esophageal sphincter** to relax properly. *Diffuse esophageal spasm (DES)* - Barium study would show a **"corkscrew" pattern** with multiple simultaneous contractions, not the smooth tapering seen here. - Typically causes **chest pain** rather than progressive dysphagia, and liquids are usually tolerated better than solids. *Nutritional causes of esophageal dysfunction (NCE)* - Would not produce the characteristic **bird-beak appearance** on barium swallow studies. - Usually associated with **vitamin deficiencies** (B12, folate) and presents with more generalized symptoms rather than isolated dysphagia. *Esophageal cancer* - Barium study would show an **irregular filling defect** or **apple-core lesion** rather than smooth tapering. - Typically presents with **progressive dysphagia** starting with solids then progressing to liquids, opposite to the pattern in achalasia.
Explanation: **Explanation:** The correct answer is **D. Pericholangitis**. While both Crohn’s Disease (CD) and Ulcerative Colitis (UC) share several extraintestinal manifestations (EIMs), certain conditions are more strongly associated with one over the other. [1] 1. **Why Pericholangitis is the correct answer:** Pericholangitis (and more significantly, **Primary Sclerosing Cholangitis - PSC**) is a classic hepatobiliary manifestation of **Ulcerative Colitis**. While it can rarely occur in Crohn’s, it is considered a hallmark of UC. In the context of NEET-PG questions, when asked to differentiate between the two, hepatobiliary involvements like PSC and Pericholangitis are always linked to UC. 2. **Uveitis (Option A):** This is a common ocular manifestation seen in both UC and CD. It is independent of bowel activity and requires urgent ophthalmological referral to prevent blindness. [1] 3. **Migratory Polyarthritis (Option B):** This is the most common EIM of Inflammatory Bowel Disease (IBD). Type I peripheral arthritis is typically large-joint, pauciarticular, and parallels the activity of the bowel disease. [1] 4. **Sacroiliitis (Option C):** Along with Ankylosing Spondylitis, this is a common axial arthropathy associated with IBD (more common in CD). Unlike peripheral arthritis, sacroiliitis runs a course **independent** of the bowel disease activity and is often associated with the HLA-B27 gene. [1] **High-Yield Clinical Pearls for NEET-PG:** * **Activity-Dependent EIMs:** Erythema nodosum, Type I Peripheral arthritis, and Episcleritis (these improve when the bowel disease is treated). * **Activity-Independent EIMs:** Pyoderma gangrenosum, Sacroiliitis, Ankylosing Spondylitis, and Uveitis. [1] * **Gallstones & Kidney stones (Oxalate):** These are specifically more common in **Crohn’s Disease** due to terminal ileal malabsorption. [2] * **PSC:** 70-80% of patients with PSC have underlying UC.
Explanation: **Explanation:** Protein-losing enteropathy (PLE) is a clinical syndrome characterized by the excessive loss of serum proteins into the gastrointestinal tract, leading to hypoproteinemia and edema [1]. **Why Chronic Pericarditis is Correct:** The underlying mechanism in cardiac-related PLE is **increased central venous pressure (CVP)**. In conditions like **Chronic Constrictive Pericarditis**, there is a significant elevation in right-sided heart pressures [1]. This high pressure is transmitted backward into the hepatic veins and the thoracic duct. The resulting **lymphatic hypertension** causes intestinal lymphangiectasia (dilation of intestinal lymphatics). These fragile vessels eventually rupture or leak, spilling protein-rich lymph into the bowel lumen [1]. **Analysis of Incorrect Options:** * **Tetralogy of Fallot (TOF):** This is a cyanotic heart disease characterized by a right-to-left shunt. It does not typically cause the sustained, severe elevation in systemic venous pressure required to induce PLE. * **HOCM:** This primarily affects ventricular outflow and diastolic filling of the left ventricle. While it can lead to heart failure, it is not a classic or common cause of PLE compared to constrictive pathologies. * **Dilated Cardiomyopathy:** While advanced biventricular failure can increase CVP, it is far less commonly associated with PLE than constrictive pericarditis or post-Fontan procedure physiology. **NEET-PG High-Yield Pearls:** * **Cardiac Causes of PLE:** Constrictive pericarditis, Fontan procedure (most common post-surgical cause), and severe Right Heart Failure [1]. * **Gastrointestinal Causes:** Menetrier’s disease (enlarged gastric folds), Celiac disease, and Inflammatory Bowel Disease (IBD) [1]. * **Diagnostic Gold Standard:** Increased **α1-antitrypsin clearance** in a 24-hour stool collection (as it is resistant to degradation by digestive enzymes). * **Clinical Sign:** Look for a patient with "unexplained edema" and low albumin despite normal liver and kidney function [2].
Esophageal Disorders
Practice Questions
Peptic Ulcer Disease
Practice Questions
Inflammatory Bowel Disease
Practice Questions
Irritable Bowel Syndrome
Practice Questions
Malabsorption Syndromes
Practice Questions
Pancreatitis (Acute and Chronic)
Practice Questions
Gastrointestinal Bleeding
Practice Questions
Liver Diseases and Cirrhosis
Practice Questions
Viral Hepatitis
Practice Questions
Biliary Tract Disorders
Practice Questions
Gastrointestinal Motility Disorders
Practice Questions
Gastrointestinal Malignancies
Practice Questions
Get full access to all questions, explanations, and performance tracking.
Start For Free