A 25 -year-male presents with high grade fever for 2 days. Vitals are pulse rate = 90 bpm and BP = 110/70 mm Hg. Labs were done and show positive NS-1 Antigen and platelet count = 40,000/cu.mm. The physical examination findings are shown below. What is the grade of severity of DHF?

Comment on the diagnosis:

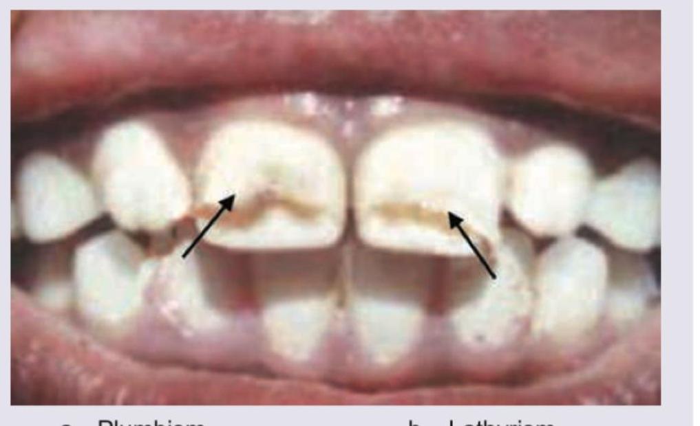
All are correct about the condition shown below except:

Which is incorrect about the picture shown below?

A 20-year-old patient presents with urethral discharge. What is the possible diagnosis?

A 26-year-old male presented with fever and headache for 3 days. On 3rd day, his BP is $90 / 60 \mathrm{~mm} \mathrm{Hg}$ and examination revealed rashes on the legs as shown. What is the likely diagnosis?

All are correct about the organism shown in the image except: (Recent NEET Pattern 2016-17)

A 6-year-old child from Kashmir is brought to New Delhi hospital in a delirious condition with history of high grade fever for last 10 days. He is nonresponsive to commands and blanching rash is noted all over the body especially soles and palms. Per abdomen examination shows splenohepatomegaly. Probable diagnosis is:

All are useful in management of patient with infection with the following organism except:

Drug of choice for following infection (as shown in image) in a HIV patient: (NEET Pattern 2019)

Explanation: ***Correct Option: Grade II*** - The image displays features of **petechiae** and **epistaxis** (nosebleed), along with **thrombocytopenia** (platelet count 40,000/cu.mm) and a positive NS-1 antigen confirming dengue infection. - Grade II DHF is defined by **fever + thrombocytopenia + hemoconcentration + spontaneous bleeding** (skin hemorrhages such as petechiae, epistaxis, gum bleeds) **without any signs of circulatory failure**. - This patient's **stable vitals** (pulse 90 bpm, BP 110/70 mmHg) confirm the **absence of circulatory failure**, placing the patient firmly in Grade II. *Incorrect Option: Grade I* - Grade I DHF is characterized by **fever** and constitutional symptoms with a **positive tourniquet test** as the **only** hemorrhagic manifestation. - This patient has **spontaneous bleeding** (petechiae, epistaxis), which upgrades the classification beyond Grade I. *Incorrect Option: Grade III* - Grade III DHF requires signs of **circulatory failure**: rapid weak pulse, **narrow pulse pressure (≤20 mmHg)**, hypotension, cold clammy skin, and restlessness (early Dengue Shock Syndrome). - This patient's pulse pressure is 40 mmHg (110−70) and vitals are **entirely normal**, ruling out Grade III. *Incorrect Option: Grade IV* - Grade IV DHF is **profound shock** with **undetectable blood pressure and pulse** (Dengue Shock Syndrome). - The patient's stable BP (110/70 mmHg) and palpable pulse definitively exclude Grade IV.
Explanation: ***Plumbism*** - The image shows a **lead line** or **Burton line** which is a blue-black line visible on the gums at the junction with the teeth, indicative of chronic lead poisoning (plumbism). - This line is caused by the precipitation of **lead sulfide** in the gingival capillaries. *Lathyrism* - This is a neurotoxic disorder caused by the consumption of **Lathyrus sativus (grass pea)**, leading to **neurological symptoms** such as paralysis and spasticity. - It does not present with characteristic oral findings like the lead line seen in the image. *Fluorosis* - Dental fluorosis is characterized by **mottling, discoloration, and pitting of tooth enamel** due to excessive fluoride intake, typically appearing as white streaks or brown stains. - While it affects teeth, the appearance of a distinct blue-black gingival line is not a feature of fluorosis. *Selenosis* - Selenosis is a condition caused by **chronic selenium toxicity**, which can result in symptoms like hair loss, brittle nails, and neurological issues. - It does not present with specific oral manifestations such as a gingival lead line.
Explanation: ***Calcification of interosseous membrane*** - The image shows features consistent with **fluorosis**, a condition caused by excessive fluoride intake. While fluorosis can lead to widespread calcification of ligaments and tendons, **calcification of the interosseous membrane** is a characteristic but often later finding. - The patient exhibits **genu valgum** (knock-knees) and the radiograph of the forearm shows diffuse increased bone density and osteosclerosis, typical of fluorosis. *Multiple lytic lesions in vertebra* - **Fluorosis** primarily causes **osteosclerosis** (increased bone density) and periosteal bone formation, not lytic lesions. - **Lytic lesions in vertebrae** are more often associated with conditions like multiple myeloma, metastatic cancer, or infections, which involve bone destruction rather than excessive bone formation. *Barrel chest* - **Barrel chest** is typically associated with chronic obstructive pulmonary disease (COPD) or other respiratory conditions that cause hyperinflation of the lungs. - While **skeletal deformities** are common in advanced fluorosis, a "barrel chest" is not a direct or characteristic manifestation of the condition. *Bony exostosis in limb bones* - **Bony exostoses** (osteochondromas) are generally seen in hereditary multiple exostoses or can be isolated benign bone tumors. - While fluorosis causes irregular new bone formation and thickening of long bones, specific, discrete **bony exostoses** are not a typical feature; rather, it's a more generalized osteosclerosis and periostitis.
Explanation: ***Stimulation of Renshaw cell*** - Tetanus toxin (tetanospasmin) **inhibits the release of inhibitory neurotransmitters** (glycine and GABA) from Renshaw cells, preventing them from modulating alpha motor neuron activity. - This **disinhibition leads to sustained muscle contraction** and spasms characteristic of tetanus, such as opisthotonus. *Opisthotonus* - This image clearly depicts **opisthotonus**, a severe spasm of the muscles causing the head and heels to bend backward, and the body to arch forward. - It's a classic sign of **severe tetanus** due to generalized muscle rigidity and uncontrolled muscle spasms. *Tetanospasmin* - The clinical picture of **opisthotonus** is directly caused by **tetanospasmin**, the neurotoxin produced by *Clostridium tetani*. - This toxin blocks the release of inhibitory neurotransmitters, leading to **uncontrolled muscle contractions and spasms**. *Laryngospasm* - **Laryngospasm** is a serious complication of tetanus, involving spasmic closure of the glottis, which can lead to **airway obstruction and asphyxia**. - While not directly depicted, it is a well-known and life-threatening manifestation of severe tetanus caused by the same mechanism as other muscle spasms due to tetanospasmin.
Explanation: ***Gonorrhea*** - The image shows a thick, **purulent urethral discharge**, which is characteristic of **gonococcal urethritis** caused by *Neisseria gonorrhoeae*. - This presentation is consistent with the rapid onset of severe symptoms often seen in gonorrhea. *Chlamydia trachomatis* - While *Chlamydia trachomatis* also causes urethritis, the discharge is typically **less purulent** and more **mucopurulent or watery**, unlike the thick discharge shown. - Chlamydial infections are often **asymptomatic** or cause milder symptoms compared to gonorrhea. *Ureaplasma urealyticum* - *Ureaplasma urealyticum* is a common cause of **non-gonococcal urethritis (NGU)**, but the discharge is usually **scant** and **watery**, not the frank pus seen in the image. - Diagnosis of *Ureaplasma* urethritis typically requires specific laboratory testing, as the clinical presentation is less distinct. *Trichomonas vaginalis* - *Trichomonas vaginalis* can cause urethritis in men, often presenting with **mild or asymptomatic discharge** that can be **clear or mucopurulent**. - A purulent discharge like the one depicted is less typical for *Trichomonas* infection in men; it is more commonly associated with vaginitis in women.
Explanation: ***Meningococcus*** - The combination of **fever, headache, hypotension**, and a **purpuric rash** (as shown in the image, indicating petechiae and ecchymoses) is highly suggestive of **meningococcemia**, a severe systemic infection caused by *Neisseria meningitidis*. - This rapidly progressive infection can lead to **septic shock** and disseminated intravascular coagulation (DIC), often presenting with these characteristic skin lesions. *Dengue hemorrhagic fever* - While dengue can cause **fever** and **rash**, the rash is typically a maculopapular or scarlatiniform erythema, not the distinct **purpuric lesions** seen. - Though **hypotension** can occur in severe dengue, the overall clinical picture with extensive purpura points away from dengue without other classic features like **thrombocytopenia** and hemoconcentration. *Enteric fever* - Enteric fever (typhoid fever) presents with **prolonged fever**, headache, and often **bradycardia**. - The typical rash associated with enteric fever is **rose spots**, which are transient, faintly erythematous macules, distinct from the petechial/purpuric rash in the image. *Scrub typhus* - Scrub typhus is characterized by fever, headache, and a **maculopapular rash** that may later become purpuric, but also typically includes an **eschar** at the site of the chigger bite. - While **hypotension** can occur in severe cases, the absence of an eschar and the rapid progression with prominent purpura are less typical for scrub typhus compared to meningococcemia.
Explanation: **Pneumonic plague is the predominant presentation** - **Bubonic plague** is the most common form of plague, accounting for approximately 80-90% of cases. - While pneumonic plague is highly dangerous and can be transmitted person-to-person, it is **not the predominant clinical form** globally. *Safety pin appearance* - The image shows bipolar staining, which gives *Yersinia pestis* its characteristic **"safety pin" appearance** under microscopy. - This is a classic diagnostic feature when stained with **Giemsa or Wayson stain**. *Direct immunofluorescence for F1 antigen in sputum* - **F1 antigen** is a major virulence factor of *Yersinia pestis* and is produced in large quantities by the bacterium. - **Direct immunofluorescence (DIF)** for detecting F1 antigen in patient samples like sputum is a rapid and specific diagnostic method for plague, especially pneumonic plague. *Doxycycline is used for prophylaxis in house-hold contacts of pneumonic plague* - Due to the high transmissibility and severity of pneumonic plague, **post-exposure prophylaxis (PEP)** is crucial for close contacts. - **Doxycycline** is a recommended antibiotic for PEP alongside other options like ciprofloxacin or levofloxacin.
Explanation: ***Rickettsia*** - The combination of **high-grade fever**, **delirium**, **non-blanching rash** on palms and soles, and **splenohepatomegaly** is highly suggestive of severe rickettsial infection, especially with the child being from Kashmir where rickettsial diseases like Indian Tick Typhus are endemic. - The **non-blanching rash** (petechial/purpuric) on palms and soles is a classic, though not universally present, sign of severe rickettsial infection, reflecting vascular damage. *Cerebral malaria* - While cerebral malaria can cause **delirium**, **high fever**, and **splenohepatomegaly**, it typically does not present with a prominent **blanching rash** on the palms and soles. - Malaria is often endemic in Kashmir, but the rash pattern described is less typical for it. *Dengue hemorrhagic fever* - Dengue hemorrhagic fever can cause high fever, rash, and in severe cases, neurological symptoms due to shock or encephalopathy. However, the rash is typically **maculopapular** or **petechial**, and while it can involve extremities, the prominent *blanching* nature and distribution solely on **palms and soles** are less characteristic. - While splenomegaly can occur, prominent **splenohepatomegaly** in conjunction with this specific rash and neurological status points away from uncomplicated or even severe dengue as the primary diagnosis. *SSPE* - **Subacute sclerosing panencephalitis (SSPE)** is a chronic, progressive, and fatal neurodegenerative disease that usually develops several years after measles infection. - It presents with progressive neurological deterioration, including **cognitive decline**, **myoclonus**, and **seizures**, but does not typically involve acute high fever or a rash like the one described.
Explanation: This image depicts a gram stain morphology suggestive of **Clostridium perfringens**, characterized by **gram-positive rods** (the purple lines) and **spores** (the round blue dots). *C. perfringens* is a common cause of **gas gangrene** (myonecrosis). ***Intramuscular tetanus immunoglobulin*** - **Tetanus** is caused by *Clostridium tetani*, not *Clostridium perfringens*. Tetanus immunoglobulin is used to treat or prevent tetanus, which presents with muscle spasms and lockjaw, not gas gangrene. - While both are *Clostridium* species, their pathogenic mechanisms and clinical manifestations are distinct, requiring different specific treatments. *Hyperbaric oxygen* - *Clostridium perfringens* is an **anaerobic bacterium**, meaning it thrives in low-oxygen environments. - **Hyperbaric oxygen therapy** increases tissue oxygen levels, which is highly toxic to *C. perfringens* and can halt toxin production and bacterial growth. *Metronidazole* - **Metronidazole is an antimicrobial highly effective against anaerobic bacteria**, including *Clostridium perfringens*. - It works by disrupting bacterial DNA synthesis and is a crucial part of antibiotic regimens for gas gangrene. *Wound debridement* - Gas gangrene caused by *Clostridium perfringens* involves rapid tissue destruction and necrosis. - **Surgical debridement** is critical for removing infected, necrotic tissue, reducing the bacterial load, and allowing antibiotics and hyperbaric oxygen to be more effective.
Explanation: ***Cotrimoxazole*** - The image shows numerous **dark-stained cysts** and **trophozoites** within lung tissue, characteristic of **Pneumocystis jirovecii pneumonia (PCP)**, a common opportunistic infection in HIV patients. - **Cotrimoxazole (trimethoprim-sulfamethoxazole)** is the drug of choice for the treatment and prophylaxis of PCP. *INH + Rifampicin* - This combination is used for the treatment of **tuberculosis**, characterized by **acid-fast bacilli** and granulomas, which are not seen in this image. - While TB is common in HIV patients, the morphology in the image is not consistent with Mycobacterium tuberculosis. *Doxycycline* - Doxycycline is a broad-spectrum antibiotic used for various bacterial infections, including atypical pneumonia, but it is not effective against **Pneumocystis jirovecii.** - It is also used for malaria prophylaxis and Rickettsial infections. *Azithromycin* - Azithromycin is an antibiotic primarily effective against atypical bacteria like **Mycoplasma** and **Chlamydia**, and it is used for **MAC (Mycobacterium avium complex)** prophylaxis in advanced HIV. - It has no role in the treatment of Pneumocystis jirovecii pneumonia.
Get full access to all questions, explanations, and performance tracking.
Start For Free