A person met with an accident and suffered a middle cranial fossa fracture. There was a bluish-purple discoloration behind the mastoid. What is your probable diagnosis?
Poroscopy in a forensic lab involves which of the following?
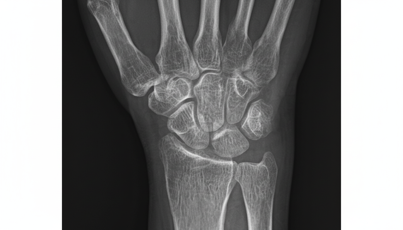
What is the estimated age from the given X-ray?

Which of the following features does NOT typically distinguish the skull of a male from that of a female?
The Singer's Alkali denaturation test is performed to differentiate between:
The Stack formula is used for age estimation from which group of individuals?
All of the following statements regarding hair structure and identification are true, EXCEPT?
According to Gustafson's method for age determination, what is the most important sign?
In the study of latent fingerprints, poroscopy involves which level of detail in individualization on ridge formations?
All are signs of live birth except?
Explanation: ### Explanation **Correct Answer: A. Battle sign** **Battle sign** (mastoid ecchymosis) is a classic clinical indicator of a **basilar skull fracture**, specifically involving the **middle cranial fossa** (petrous part of the temporal bone). The bluish-purple discoloration behind the ear occurs because blood from the fracture site tracks along the path of the posterior auricular artery. It typically takes 24–48 hours to appear after the initial trauma. **Analysis of Incorrect Options:** * **B. Bezold sign:** This refers to inflammatory edema or an abscess (Bezold’s abscess) over the mastoid process resulting from pus escaping through the medial surface of the mastoid tip in cases of severe mastoiditis. It is an infectious pathology, not traumatic. * **C. Laceration:** This is a mechanical injury characterized by a tear or split in the skin/tissues caused by blunt force. It involves a breach in the continuity of the skin, whereas Battle sign is an intact-skin ecchymosis. * **D. Aberration:** This is likely a distractor term. In forensic medicine, "Abrasion" (not aberration) is a superficial injury involving the loss of the epithelial layer of the skin. **High-Yield Clinical Pearls for NEET-PG:** * **Raccoon Eyes (Panda sign):** Periorbital ecchymosis indicating a fracture of the **anterior cranial fossa**. * **Halo Sign:** If blood from the ear or nose is dropped onto a filter paper/bedsheet, a clear ring of CSF forms around the central red blood spot, indicating **CSF rhinorrhea or otorrhea**. * **Facial Nerve (CN VII):** The most common cranial nerve injured in middle cranial fossa/temporal bone fractures.
Explanation: **Explanation:** **Poroscopy** is a method of personal identification based on the study of the size, shape, position, and number of **pores of sweat glands** found on the papillary ridges of the fingers, palms, and soles. 1. **Why Option B is Correct:** The concept was introduced by **Edmond Locard** in 1912. He established that the arrangement of sweat pores is **permanent, immutable, and unique** to every individual (even in monozygotic twins). Even a small fragment of a fingerprint where ridges are blurred can be identified if the sweat pores are clearly visible, as there are approximately 9 to 18 pores per millimeter of a ridge. 2. **Why Other Options are Incorrect:** * **Option A & D:** Counting whorls or papillary ridges refers to **Dactylography** (Fingerprinting) or **Dermatoglyphics**. While poroscopy is a specialized subset of dactylography, it specifically focuses on the microscopic pores within those ridges, not the macroscopic patterns (whorls, loops, arches) themselves. * **Option C:** **Sebaceous glands** are absent in the skin of the palms and soles (glabrous skin). Therefore, they do not play a role in fingerprinting or poroscopy. **High-Yield Facts for NEET-PG:** * **Locard’s Principle of Exchange:** The fundamental basis of all forensic science. * **Edgeoscopy:** The study of the characteristic outlines (edges) of the papillary ridges. * **Chiroscopy:** Identification using palm prints. * **Podoscopy:** Identification using footprints. * **Dactylography:** Also known as the Galton-Henry system; it is the most reliable method of identification. The chance of two people having the same fingerprint is 1 in 64 billion.
Explanation: ***More than 16 years*** - **Complete fusion of epiphyses** at the distal radius and ulna indicates skeletal maturity beyond 16 years of age. - The **absence of visible epiphyseal lines** and full ossification of carpal bones confirms age estimation above 16 years. *More than 12 years* - While **epiphyseal fusion begins** around 12-14 years, complete fusion occurs later, making this age estimate insufficient. - **Partial fusion** would still be visible at 12-14 years, not the complete ossification seen in mature bones. *Less than 16 years* - **Unfused epiphyseal plates** would be clearly visible in individuals under 16 years of age. - **Incomplete carpal ossification** and visible growth plates would indicate ongoing skeletal development. *Less than 12 years* - **Multiple unfused epiphyses** and **incomplete carpal bone development** would be evident at this age. - The **pisiform bone** typically appears around 12 years, and its presence with fused epiphyses rules out this age range.
Explanation: ### Explanation In forensic anthropology, the skull is the second most reliable bone for sex determination (after the pelvis), with an accuracy of approximately 80–90%. Male skulls are generally larger, heavier, and more "rugged" due to higher testosterone levels and larger muscle mass, whereas female skulls are smoother and more "gracile." **Why Option B is the Correct Answer:** The statement "Muscular markings over the occiput are less marked" is a **female** characteristic. In males, the muscular attachments (such as the nuchal lines and the external occipital protuberance) are **prominent and rugged**. Therefore, "less marked" markings do not distinguish a male skull; rather, they are a feature of the female skull. **Analysis of Incorrect Options:** * **A. Capacity greater than 1500 cc:** This is a typical male feature. The average male cranial capacity is ~1450–1550 cc, while the female capacity is usually ~200 cc less (approx. 1200–1300 cc). * **C. Orbits are square:** Male orbits are typically lower, relatively smaller, and **square/rectangular** with blunt margins. Female orbits are larger, more rounded, and have sharp supraorbital margins. * **D. Frontal eminence is small:** In males, the frontal eminences are small or less prominent because the forehead is more sloping and the supraorbital ridges are well-developed. In females, the forehead is vertical and the frontal/parietal eminences are prominent (retaining a pedomorphic/infantile shape). ### NEET-PG High-Yield Pearls: * **Mastoid Process:** The most reliable individual feature of the skull for sexing. It is large and blunt in males (the skull will balance on the mastoid processes when placed on a table). * **Zygomatic Arch:** Extends beyond the external auditory meatus in males. * **Mandible:** Males have a U-shaped chin and an everted angle of the jaw; females have a V-shaped chin and inverted angle. * **Cephalic Index:** Used for race determination, not sex (Dolichocephalic: <75; Mesaticephalic: 75-80; Brachycephalic: >80).
Explanation: **Explanation:** The **Singer’s Alkali Denaturation Test** (also known as the Apt-Downey test in clinical settings) is a biochemical test used to differentiate between **Fetal Hemoglobin (HbF)** and **Adult Hemoglobin (HbA)**. **Why the correct answer is right:** The test is based on the principle that HbF is highly resistant to denaturation by strong alkalis (like Sodium Hydroxide), whereas HbA is not. When an alkaline solution is added to a blood sample, HbA denatures and turns into a brownish-yellow color (alkaline hematin). In contrast, HbF remains stable and retains its pinkish-red color. In Forensic Medicine, this is crucial for identifying bloodstains from infants or neonates in cases of infanticide or abandoned newborns. **Why the incorrect options are wrong:** * **Maternal Hemoglobin:** While the test distinguishes between maternal (HbA) and fetal (HbF) blood, the primary substance being identified/confirmed by its resistance is Fetal Hemoglobin. * **Amniotic Fluid:** This is identified using tests for meconium, lanugo hair, or the **Nile Blue Sulfate test** (for vernix caseosa cells), not alkali denaturation. * **Menstrual Fluid:** This is identified by the absence of fibrinogen (it does not clot) and the presence of endometrial cells or Döderlein’s bacilli. **High-Yield Facts for NEET-PG:** * **HbF Composition:** Consists of 2 alpha and 2 gamma chains ($\alpha_2\gamma_2$). * **Kleihaur-Betke Test:** Another method to quantify HbF in maternal circulation (used in Rh incompatibility). * **Forensic Significance:** Singer’s test can detect HbF in bloodstains even after they have dried, provided the hemoglobin hasn't denatured due to environmental factors.
Explanation: **Explanation:** **1. Why the Correct Answer (Infants) is Right:** The **Stack formula** is a specialized method used for age estimation in **infants and fetuses** based on the dimensions of the teeth. Specifically, it utilizes the **height and weight of the dental crowns** (deciduous teeth) to determine the age of the child. Since dental mineralization follows a highly predictable chronological sequence during the intrauterine and early postnatal periods, this formula provides a reliable estimate for forensic and pediatric age determination. **2. Why the Other Options are Incorrect:** * **Young Adults:** Age estimation in young adults typically relies on the eruption of the third molar (Wisdom tooth) or the fusion of secondary ossification centers (e.g., medial end of the clavicle). * **Elderly Individuals:** In older populations, age is estimated using degenerative changes such as **Gustafson’s method** (for teeth) or changes in the pubic symphysis and auricular surface of the ilium. * **All Age Groups:** The Stack formula is specific to the developmental phase of deciduous teeth and cannot be applied once the permanent dentition is complete or when dental development has ceased. **3. High-Yield Clinical Pearls for NEET-PG:** * **Miles Method:** Another method for age estimation based on the degree of **occlusal wear (attrition)** of teeth. * **Gustafson’s Formula:** Uses six parameters (S-P-A-C-E-D: Secondary dentin, Periodontosis, Attrition, Cementum apposition, External resorption, Dentin translucency). **Translucency of dentin** is the most reliable parameter. * **Boyde’s Method:** Uses incremental lines in enamel (neonatal lines) for age estimation in newborns. * **Rule of Haase:** Used to estimate the age of a **fetus** based on the length of the body (Length = Month² for first 5 months; Month × 5 for last 5 months).
Explanation: **Explanation** In forensic identification, differentiating between human and animal hair is a high-yield topic. The hair shaft consists of three layers: the outermost **cuticle**, the middle **cortex**, and the innermost **medulla**. **Why Option C is the correct answer (False statement):** In human hair, the **cortex is thick** (constituting the bulk of the shaft), while the medulla is narrow. Conversely, in animal hair, the cortex is thin, and the medulla is very wide and prominent. **Analysis of other options:** * **Option A:** In humans, the **medulla** is typically thin, fragmented, or even absent. It is rarely continuous, unlike in many animals. * **Option B:** The **Medullary Index (MI)** is the ratio of the diameter of the medulla to the diameter of the entire hair shaft. * **Human hair:** MI is < 0.33 (medulla is less than 1/3rd of the shaft). * **Animal hair:** MI is > 0.5 (medulla is more than 1/2 of the shaft). * **Option D:** Animal hair is generally coarser, thicker, and has more distinct pigment distribution (often concentrated toward the medulla) compared to human hair. **High-Yield Clinical Pearls for NEET-PG:** * **Precipitin Test:** Used to confirm if a hair sample is of human origin. * **Scanning Electron Microscopy (SEM):** Best for studying cuticle scale patterns (Imbricate in humans; Spinous/Coronal in animals). * **Arsenic Poisoning:** Hair is an excellent sample for chronic arsenic poisoning as it binds to keratin (detected via the Marsh test or NAA). * **Growth Rate:** Human scalp hair grows at approximately 0.4 mm/day (roughly 1–1.2 cm per month).
Explanation: **Explanation:** **Gustafson’s Method** is a forensic technique used to estimate the age of an individual (usually above 21 years) by examining the structural changes in a single tooth. It utilizes a point system (0–3) based on six histological parameters. **Why Root Transparency is the Correct Answer:** Among the six parameters, **Root Transparency** (sclerosis of dentinal tubules) is considered the **most reliable and important sign**. It begins at the apex and progresses coronally with age. Unlike other factors, it is least affected by external environmental conditions, pathological processes, or dietary habits, making it a highly stable physiological marker for age estimation. **Analysis of Incorrect Options:** * **B. Root Attrition:** This refers to the wearing down of the occlusal surface. It is highly variable as it depends on diet (coarse food) and habits like bruxism. * **C. Root Resorption:** This involves the loss of cementum and dentin at the root apex. It is often influenced by local factors like pressure or inflammation, making it less consistent than transparency. * **D. Paradentosis:** This refers to the recession of gums and periodontal attachment. It is heavily influenced by oral hygiene and periodontal disease rather than just chronological age. **High-Yield Facts for NEET-PG:** * **The 6 Parameters (Mnemonic: "T-A-P-S-R-C"):** **T**ransparency, **A**ttrition, **P**eriodontosis (Paradentosis), **S**econdary dentin formation, **R**oot resorption, and **C**ementum apposition. * **Formula:** $Age = 11.43 + (4.54 \times \text{Total Score})$. * **Applicability:** Most accurate for individuals between **25–60 years**. * **Sample:** Requires a longitudinal ground section of the tooth.
Explanation: **Explanation:** In forensic dactyloscopy, fingerprint analysis is categorized into three levels of detail. **Poroscopy**, the study of the size, shape, and distribution of sweat gland pores on the papillary ridges, falls under **Level 3 Detail**. 1. **Why Option C is Correct:** * **Level 1 Detail:** Refers to the general ridge flow or **pattern type** (e.g., loops, whorls, arches). It is used for exclusion but not for individualization. * **Level 2 Detail:** Refers to **minutiae** or Galton details (e.g., ridge endings, bifurcations, dots). This is the standard level used for most forensic identifications. * **Level 3 Detail:** Refers to the microscopic morphological features of the ridges. This includes **poroscopy** (pore study) and **edgeoscopy** (ridge contours). Because the arrangement of pores is permanent and unique even to a fraction of a millimeter, it provides the highest level of individualization. 2. **Why Other Options are Incorrect:** * **Option A (First):** Only identifies the general pattern; two people can have the same pattern (e.g., Ulnar Loop). * **Option B (Second):** Focuses on ridge characteristics (minutiae). While used for identification, it does not include the internal pore structure. * **Option D (Fourth):** There is no officially recognized "Fourth Level" in standard fingerprint identification protocols. **High-Yield Pearls for NEET-PG:** * **Locard’s Principle:** Edmond Locard, the father of modern forensics, pioneered poroscopy. He stated that even a small fragment of a fingerprint can be identified if enough pores are visible. * **Minimum Pores:** Usually, **20 to 40 pores** are considered sufficient for identification in a fragment of a print. * **Edgeoscopy:** Also a Level 3 detail; it involves studying the characteristic shapes of the edges of the ridges. * **Dactylography:** Also known as the Galton-Henry system; it remains the most reliable method of identification (Gold Standard).
Explanation: ### Explanation In Forensic Medicine, determining whether a child was born alive (live birth) or was stillborn is a critical medicolegal task. **Why Cephalhematoma is the correct answer:** Cephalhematoma is a subperiosteal collection of blood caused by the rupture of vessels between the bone and the periosteum, usually due to birth trauma. Crucially, it can occur **during the process of labor** (birth act) before the child has actually been born or taken its first breath. Therefore, while it indicates the child was alive *during labor*, it is not a definitive sign of *live birth* (extrauterine life). **Analysis of other options (Signs of Live Birth):** * **Vagitus vaginalis:** This refers to the cry of the child while the head is in the vagina but the body is still inside. Since crying requires air inspiration, it is a definitive sign of life. * **Sneezing:** This is a reflex action that occurs only after the child has been born and has commenced respiration. * **Vagitus uterinus:** This is the cry of the fetus within the uterus (usually when air is introduced via instruments or membranes rupture). While rare, it signifies that the fetus has performed respiratory efforts. **High-Yield Clinical Pearls for NEET-PG:** * **Hydrostatic Test (Raygat’s Test):** Based on the fact that lungs float in water after respiration. It can give a **False Positive** in cases of putrefaction (gas formation) and a **False Negative** in cases of secondary atelectasis. * **Wredin’s Test:** Disappearance of the gelatinous embryonic connective tissue in the middle ear due to air entry. * **Breslau’s Second Life Test:** Presence of air in the stomach and intestines (Gastrointestinal Hydrostatic Test). * **Static Test (Foder’s Test):** Weight of the lungs increases after respiration due to increased pulmonary vascularity (approx. 500-600 grains to 900-1000 grains).
Personal Identification Methods
Practice Questions
Anthropometry
Practice Questions
Dactylography (Fingerprinting)
Practice Questions
Dental Identification
Practice Questions
DNA Profiling
Practice Questions
Facial Reconstruction
Practice Questions
Superimposition Techniques
Practice Questions
Hair and Fiber Analysis
Practice Questions
Handwriting Analysis
Practice Questions
Identification of Remains
Practice Questions
Mass Disaster Victim Identification
Practice Questions
Age, Sex and Race Determination
Practice Questions
Get full access to all questions, explanations, and performance tracking.
Start For Free