All of the following structures are involved in conductive deafness except?
In the Bing test, upon alternately compressing and releasing the external acoustic meatus, if the sound increases, what does this indicate?
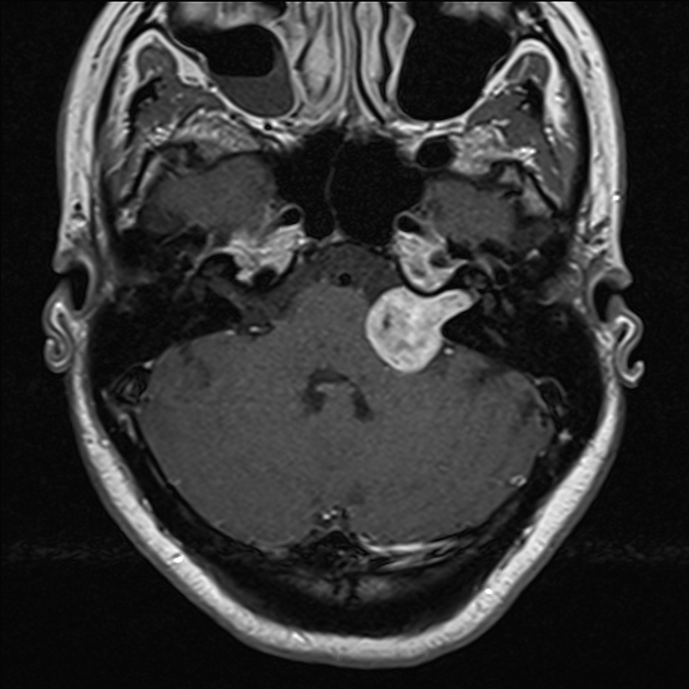
A patient presents with unilateral sensorineural hearing loss and the MRI findings are as shown. What is the most probable diagnosis?

What is the sound intensity required to elicit stapedial reflexes?
Which frequency is primarily affected in noise-induced hearing loss?
Which of the following conditions will result in the maximum conductive hearing loss?
Cochlear implants are used for which of the following conditions?
The Bing test is used to assess which of the following?
Otoacoustic emissions arise from?
Intensity of sound is measured in:
Explanation: **Explanation:** Hearing loss is broadly classified into two types based on the site of the lesion: **Conductive Hearing Loss (CHL)** and **Sensorineural Hearing Loss (SNHL).** **1. Why the 8th Nerve is the Correct Answer:** The 8th cranial nerve (Vestibulocochlear nerve) is responsible for transmitting electrical impulses from the cochlea to the brainstem. Any pathology involving the 8th nerve or the cochlea results in **Sensorineural Hearing Loss**, not conductive deafness. Therefore, it is the "except" in this list. **2. Analysis of Incorrect Options (Causes of Conductive Deafness):** Conductive deafness occurs when there is an obstruction or defect in the mechanism that conducts sound waves to the inner ear. * **Auricle (Option A):** Congenital conditions like anotia or microtia can prevent sound from being collected and directed into the ear canal. * **External Auditory Meatus (Option D):** Obstructions here, such as impacted wax, foreign bodies, otitis externa, or atresia, block sound conduction. * **Middle Ear (Option C):** This is the most common site for CHL. Conditions include Otitis Media with Effusion (OME), Otosclerosis (stapes fixation), ossicular discontinuity, or tympanic membrane perforation. **High-Yield Clinical Pearls for NEET-PG:** * **Rinne Test:** In CHL, Rinne is **Negative** (Bone Conduction > Air Conduction). In SNHL, Rinne is **Positive** (AC > BC). * **Weber Test:** Lateralizes to the **poorer ear** in CHL and to the **better ear** in SNHL. * **Carhart’s Notch:** A characteristic dip at 2000 Hz in bone conduction seen in **Otosclerosis** (a conductive pathology). * **Most common cause of CHL in children:** Otitis Media with Effusion (Glue Ear).
Explanation: ### Explanation The **Bing test** is a tuning fork test used to differentiate between conductive hearing loss (CHL) and sensorineural hearing loss (SNHL) by assessing the **occlusion effect**. #### 1. Why Sensorineural Deafness is Correct The occlusion effect occurs when the external ear canal is closed, causing sound heard via bone conduction to become louder. This happens because occlusion prevents the escape of low-frequency sound waves from the canal, reflecting them back to the tympanic membrane. * **Positive Bing Test:** In a normal individual or someone with **Sensorineural deafness**, the patient perceives the sound getting louder (pulsating) when the meatus is compressed and softer when released. This indicates that the middle ear conducting mechanism is functional. #### 2. Why the Other Options are Incorrect * **Otosclerosis, Adhesive Otitis Media, and CSOM:** These are all causes of **Conductive Hearing Loss (CHL)**. * **Negative Bing Test:** In CHL, the occlusion effect is already "built-in" because the pathology (e.g., stapedial fixation or fluid) prevents sound from escaping the ear. Therefore, manually compressing the tragus produces **no change** in the intensity of the sound. #### 3. Clinical Pearls for NEET-PG * **Bing Test vs. Gelle’s Test:** While Bing uses simple occlusion, **Gelle’s test** uses a Siegle’s speculum to increase air pressure in the canal. A "Negative Gelle’s" (no change in sound) is a classic finding in **Otosclerosis**. * **The "ABC" of Bone Conduction:** * **A**bsolute Bone Conduction (ABC) Test: Compares patient to examiner (with meatus occluded). * **B**ing Test: Uses the occlusion effect. * **C**onductive loss = Negative Bing (No change). * **High-Yield Rule:** Any test based on the occlusion effect (Bing, ABC, Schwabach) will show no change or "prolonged" results in conductive hearing loss because the ear is effectively already occluded by the disease process.
Explanation: ***Acoustic neuroma*** - **Unilateral sensorineural hearing loss** is the classic presenting feature of acoustic neuroma (vestibular schwannoma), arising from the **8th cranial nerve**. - MRI typically shows **contrast enhancement** in the **cerebellopontine angle (CPA)** and **internal auditory canal (IAC)** with the characteristic **ice-cream cone** or **trumpet sign**. *Astrocytoma* - Primarily occurs within the **brain parenchyma** rather than the cerebellopontine angle or internal auditory canal. - Usually presents with **increased intracranial pressure**, **seizures**, or **focal neurological deficits**, not isolated hearing loss. *Glioma* - Represents **intraparenchymal brain tumors** that typically arise from **glial cells** within the brain tissue. - Clinical presentation involves **headaches**, **seizures**, and **progressive neurological deficits**, rarely causing isolated unilateral hearing loss. *Secondaries in the brain* - Brain **metastases** typically appear as **multiple lesions** with significant **surrounding edema** on MRI. - Usually associated with a **known primary malignancy** and systemic symptoms, not isolated cranial nerve dysfunction.
Explanation: ### Explanation **1. Why 70 - 90 dB is Correct:** The stapedial reflex (acoustic reflex) is an involuntary muscle contraction of the stapedius muscle in response to high-intensity sound stimuli. In a person with normal hearing, this reflex is typically elicited when a sound reaches an intensity of **70 to 90 dB above their hearing threshold (dB SL)**. The physiological purpose of this reflex is to stiffen the ossicular chain, thereby increasing the impedance of the middle ear and protecting the delicate inner ear (cochlea) from noise-induced damage. **2. Analysis of Incorrect Options:** * **A & D (30 - 65 dB):** These intensities represent normal conversational speech or moderate noise. If the reflex were triggered at these low levels, it would interfere with everyday communication and sound perception by unnecessarily attenuating normal sounds. * **C (90 - 100 dB):** While the reflex can occur at these levels, 70-90 dB is the standard clinical range for a healthy ear. Thresholds consistently above 95 dB are often considered absent or indicative of retrocochlear pathology (e.g., Vestibular Schwannoma). **3. Clinical Pearls for NEET-PG:** * **Reflex Arc:** Afferent limb is the **CN VIII** (Vestibulocochlear nerve); Efferent limb is the **CN VII** (Facial nerve). * **Metz Test:** Used to detect **Recruitment**. If the difference between the hearing threshold and the reflex threshold is less than 60 dB, it indicates cochlear hearing loss (Recruitment positive). * **Reflex Decay:** If the reflex cannot be maintained for 10 seconds at 10 dB above threshold, it suggests **Retrocochlear pathology** (e.g., Acoustic Neuroma). * **Otosclerosis:** The reflex is typically **absent** due to the fixation of the stapes footplate.
Explanation: **Explanation:** Noise-induced hearing loss (NIHL) is a sensorineural hearing loss resulting from exposure to high-intensity sound. The characteristic finding in NIHL is a localized dip in the audiogram, known as the **"Acoustic Notch."** **Why 4000 Hz is correct:** The notch typically occurs at **4000 Hz** (Boies' Notch). This specific vulnerability is attributed to the anatomical resonance of the external auditory canal, which peaks between 2000–3000 Hz. Due to the "half-octave shift" phenomenon, the maximum acoustic energy is delivered to the organ of Corti at a point slightly higher than the resonance frequency, specifically targeting the hair cells responsible for the 4000 Hz range. **Analysis of Incorrect Options:** * **1000 Hz & 2000 Hz:** These are mid-frequencies essential for speech perception. While they can be affected in advanced, chronic noise exposure, they are never the primary or initial site of injury. * **3000 Hz:** While the notch can sometimes begin at 3000 Hz or extend to 6000 Hz, 4000 Hz remains the most classic and frequently tested "peak" of the deficit in medical examinations. **High-Yield Clinical Pearls for NEET-PG:** * **Symmetry:** NIHL is almost always **bilateral and symmetrical**. Unilateral loss should prompt a search for other etiologies (e.g., acoustic neuroma). * **Recovery:** In early stages (Temporary Threshold Shift), hearing returns to normal within 24 hours. Permanent Threshold Shift (PTS) occurs with chronic exposure. * **Presbycusis vs. NIHL:** Unlike NIHL (which notches at 4000 Hz), presbycusis (age-related loss) shows a progressive **down-sloping** curve affecting all high frequencies without a notch. * **Management:** It is irreversible; hence, prevention with earplugs or muffs is the gold standard.
Explanation: ### Explanation The maximum possible conductive hearing loss (CHL) is approximately **60 dB**. This occurs when the sound-conducting mechanism of the middle ear is not only broken but actively working against the transmission of sound. **1. Why Option D is Correct:** In an **intact tympanic membrane (TM) with ossicular discontinuity** (e.g., incudostapedial joint dislocation), two factors combine to cause a 60 dB loss: * **Loss of Transformer Action:** The lever action of the ossicles and the hydraulic pressure gain of the TM are lost (approx. 30 dB loss). * **Phase Cancellation/Sound Shielding:** Because the TM is intact, it acts as a barrier that prevents sound waves from reaching the round window. However, since the ossicular chain is broken, sound energy hits the TM and is reflected or dissipated. The air in the middle ear acts as an insulator, and the phase difference between the oval and round windows is abolished. This "shielding" effect adds another 30 dB of loss, totaling **60 dB**. **2. Why the Other Options are Incorrect:** * **A. Partial stapes fixation:** This results in early-stage Otosclerosis. The hearing loss is typically mild to moderate (20–40 dB) depending on the degree of fixation. * **B. TM perforation with intact chain:** The loss is proportional to the size of the perforation. Even a large perforation usually only results in a 10–30 dB loss because sound can still vibrate the remaining TM and the intact ossicles. * **C. TM perforation with ossicular discontinuity:** Paradoxically, this results in *less* hearing loss (approx. 40–50 dB) than Option D. Because the TM is perforated, sound waves can reach the oval window directly. While inefficient, it avoids the "cushioning" effect of an intact TM over a broken chain. **3. Clinical Pearls for NEET-PG:** * **Maximum CHL:** 60 dB (Intact TM + Ossicular Discontinuity). * **Minimum CHL:** Small TM perforation (approx. 10-15 dB). * **Carhart’s Notch:** A dip in bone conduction at 2000 Hz, characteristic of stapes fixation (Otosclerosis). * **Transformer Ratio of Middle Ear:** 18:1 to 22:1.
Explanation: **Explanation:** **1. Why Option C is Correct:** A cochlear implant (CI) is a surgically implanted electronic device that bypasses damaged hair cells in the cochlea to provide direct electrical stimulation to the auditory nerve. The primary indication for a CI is **severe to profound sensorineural hearing loss (SNHL)** in patients who derive little to no benefit from conventional hearing aids. While the option mentions "moderate and severe," in clinical practice, it is specifically indicated for those with severe-to-profound loss where speech discrimination is significantly impaired. **2. Why Other Options are Incorrect:** * **A & D (Refractory Vertigo and Loss of Balance):** These are vestibular symptoms. While the cochlea and vestibule are both in the inner ear, a CI is designed for sound transduction, not for stabilizing the vestibular system. Treatments for refractory vertigo include intratympanic gentamicin or vestibular nerve section. * **B (Severe Tinnitus):** While some patients report an improvement in tinnitus after receiving a CI for hearing loss, tinnitus alone is not a primary indication for the procedure. **3. High-Yield Clinical Pearls for NEET-PG:** * **Components:** It consists of an external part (microphone, speech processor, transmitter) and an internal part (receiver-stimulator and electrode array). * **Site of Placement:** The electrode array is typically inserted into the **Scala Tympani** via the round window. * **Prerequisite:** A functioning **Auditory Nerve (CN VIII)** is mandatory. If the nerve is absent (e.g., in Auditory Nerve Aplasia), an **Auditory Brainstem Implant (ABI)** is indicated instead. * **Ideal Age:** For congenital deafness, the best results are achieved when implanted early (ideally <12–18 months) due to neural plasticity.
Explanation: ### Explanation The **Bing test** is a tuning fork test used to assess the presence or absence of the **occlusion effect**, which is a phenomenon of **bone conduction**. **Why the correct answer is right:** When the external auditory canal is occluded (either by a finger or a tragal press), the perception of bone-conducted sound increases in a normal ear or an ear with sensorineural hearing loss. This is known as a positive occlusion effect. * **Bing Positive:** If the patient hears the sound louder when the ear is occluded, it indicates a normal middle ear or SNHL. * **Bing Negative:** If there is no change in sound intensity, it indicates **conductive hearing loss (CHL)**, as the pathology in the middle ear has already created a "built-in" occlusion effect. Since the test relies on the vibration of the mastoid process to stimulate the cochlea directly, it is categorized as a **bone conduction test**. **Why incorrect options are wrong:** * **Audiometric test:** These are formal tests performed in a soundproof booth using an audiometer (e.g., Pure Tone Audiometry). The Bing test is a bedside tuning fork test. * **Air conduction test:** Air conduction involves sound traveling through the ear canal and ossicles (e.g., Rinne’s test compares AC to BC). The Bing test specifically manipulates the bone conduction pathway. * **Special test:** This category usually refers to site-of-lesion tests like SISI, Tone Decay, or ABR used to differentiate cochlear from retrocochlear lesions. **Clinical Pearls for NEET-PG:** * **Tuning Fork Frequency:** 512 Hz is preferred for all clinical tuning fork tests to avoid vibratory sensation (lower frequencies) or rapid decay (higher frequencies). * **Gelle’s Test:** Another bone conduction test using a Siegle’s speculum to increase air pressure in the canal; it is used specifically to screen for **Otosclerosis** (stapes fixation). * **ABC (Absolute Bone Conduction) Test:** Compares the patient's BC with the examiner's BC, assuming the examiner has normal hearing.
Explanation: ### Explanation **1. Why the Correct Answer is Right:** Otoacoustic emissions (OAEs) are low-intensity sounds produced by the cochlea that can be measured in the external auditory canal. They are a direct byproduct of the **electromotility of the Outer Hair Cells (OHCs)**. The OHCs contain a specialized motor protein called **prestin**, which allows them to physically contract and expand in response to sound. This active process amplifies the vibration of the basilar membrane (the "cochlear amplifier"). Some of this mechanical energy travels backward through the middle ear and vibrates the tympanic membrane, creating the sound we record as OAEs. Therefore, OAEs are a specific marker of OHC functional integrity. **2. Why the Incorrect Options are Wrong:** * **Inner Hair Cells (IHCs):** These are the primary sensory receptors that convert mechanical vibrations into neural signals for the auditory nerve. They do not possess contractile properties and do not generate OAEs. * **Organ of Corti:** While the OHCs are *part* of the Organ of Corti, this option is too broad. In competitive exams like NEET-PG, when a specific cellular origin is known (OHCs), the more specific answer is preferred over the anatomical structure containing it. **3. Clinical Pearls & High-Yield Facts:** * **Clinical Use:** OAEs are the gold standard for **Universal Newborn Hearing Screening (UNHS)** because they are non-invasive, quick, and objective. * **Hearing Loss Threshold:** OAEs are typically absent if there is a conductive hearing loss or a sensorineural hearing loss exceeding **30–35 dB**. * **Types of OAEs:** * *Spontaneous (SOAEs):* Occur without external stimulation (present in ~50% of normal ears). * *Evoked (EOAEs):* Occur in response to sound. The most clinically relevant are **Distortion Product OAEs (DPOAEs)** and **Transient Evoked OAEs (TEOAEs)**. * **Important Distinction:** OAEs test cochlear function (OHCs) but **do not** test the retrocochlear pathway (Cranial Nerve VIII or the brainstem). For a complete screen, BERA/ABR is required.
Explanation: **Explanation:** The correct answer is **Decibels (dB)**. In audiology, the **intensity** (or loudness) of sound is measured in decibels. The decibel is a logarithmic unit that expresses the ratio of a physical sound intensity to a specified reference level (usually the threshold of human hearing, 0 dB SPL). Because the human ear can perceive a vast range of intensities, a logarithmic scale is used to make these values manageable. In clinical practice, we use **dB HL (Hearing Level)** on audiograms to represent hearing loss relative to the average normal hearing threshold. **Analysis of Incorrect Options:** * **Diopters (A):** This is the unit of measurement for the refractive power of a lens (Ophthalmology). * **Daltons (B):** Also known as the unified atomic mass unit, it is used to express atomic and molecular masses (Biochemistry). * **Pounds (D):** A unit of mass or force in the imperial system, unrelated to acoustics. **High-Yield Clinical Pearls for NEET-PG:** * **Frequency vs. Intensity:** While intensity is measured in **Decibels (dB)**, the pitch or frequency of sound is measured in **Hertz (Hz)**. * **Reference Levels:** * **dB SPL (Sound Pressure Level):** Used for physical sound measurements. * **dB HL (Hearing Level):** Used in clinical audiometry (0 dB HL is the normalized average). * **dB SL (Sensation Level):** The number of decibels above an individual's specific hearing threshold. * **Inverse Square Law:** Sound intensity decreases inversely with the square of the distance from the source. * **Logarithmic Rule:** Every increase of 3 dB represents a doubling of sound energy, while an increase of 10 dB represents a tenfold increase.
Hearing Assessment Techniques
Practice Questions
Tympanometry and Acoustic Reflexes
Practice Questions
Otoacoustic Emissions
Practice Questions
Auditory Brainstem Response
Practice Questions
Hearing Aids
Practice Questions
Cochlear Implants
Practice Questions
Bone-Anchored Hearing Devices
Practice Questions
Speech and Language Development
Practice Questions
Articulation Disorders
Practice Questions
Stuttering
Practice Questions
Dysphonia
Practice Questions
Rehabilitation of Hearing-Impaired Children
Practice Questions
Get full access to all questions, explanations, and performance tracking.
Start For Free