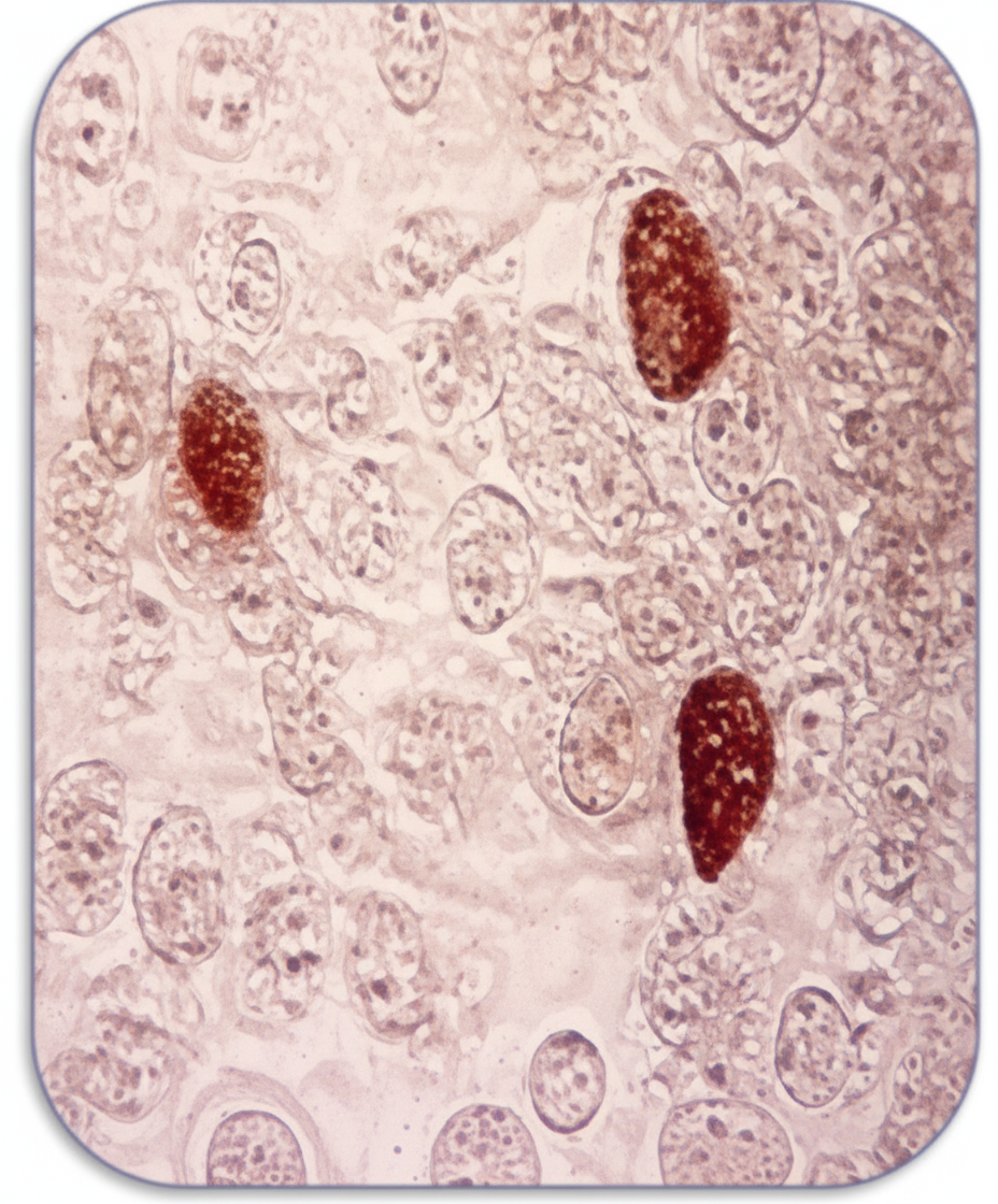
Histopathological diagram of a lesion shows characteristic intracytoplasmic viral inclusion bodies. Which virus is responsible for these inclusions?

What is the drug of choice for Herpes zoster?
What is the treatment of varicella in an immunocompetent host?
A 10-year-old boy develops an itchy, vesicular rash that is maximal on his face and trunk. Physical examination demonstrates a mixture of lesions, including macules, papules, vesicles, and crusted lesions. The mother reports that the lesions seem to be occurring in crops. Which of the following is the most likely diagnosis?
Which of the following conditions is characterized by a "dew-drop on a rose petal" rash?
Molluscum contagiosum is caused by:
Genital elephantiasis is seen in:
What is true about the rash of chickenpox?
Common warts are caused by which virus?
What is the causative organism of molluscum contagiosum?
Explanation: ***Molluscum contagiosum*** - **Molluscum contagiosum virus** (a **poxvirus**) produces pathognomonic **intracytoplasmic Henderson-Patterson bodies** (molluscum bodies) that are diagnostic. - These **eosinophilic inclusion bodies** are large, well-defined, and occupy most of the cytoplasm in infected keratinocytes. *Cytomegalovirus (CMV)* - CMV produces characteristic **intranuclear inclusions** called **"owl-eye" inclusions**, not intracytoplasmic bodies. - These inclusions are **basophilic** and surrounded by a clear halo within the nucleus. *Herpes simplex virus (HSV)* - HSV creates **intranuclear Cowdry A inclusions** that are **eosinophilic** and surrounded by a clear halo. - The viral inclusions are located in the **nucleus**, not in the cytoplasm as described. *Human papilloma virus (HPV)* - HPV causes **koilocytic changes** with **perinuclear halos** and nuclear enlargement, not distinct inclusion bodies. - The characteristic finding is **koilocytosis** (hollow cells) rather than intracytoplasmic inclusions.
Explanation: **Explanation:** The question asks for a condition associated with Herpes infections, specifically identifying **Erythema Multiforme (EM)** as the correct association. **Why Erythema Multiforme is correct:** Erythema Multiforme is a hypersensitivity reaction most commonly triggered by infections. **Herpes Simplex Virus (HSV)** is the most frequent precipitant (up to 90% of cases). While the question mentions Herpes Zoster, in clinical dermatology, the "Herpes group" of viruses is the classic trigger for EM. It presents with characteristic **"target" or "iris" lesions** (three concentric zones: a central dusky disk, a pale edematous ring, and an erythematous halo) typically on the palms, soles, and extensor surfaces. **Why other options are incorrect:** * **Urticaria:** This is a Type I hypersensitivity reaction (wheals) usually triggered by allergens, drugs, or physical factors, not specifically linked as a primary sequela of Herpes. * **Scabies:** This is a parasitic infestation caused by the mite *Sarcoptes scabiei*. It is unrelated to viral triggers. * **Lichen Planus:** This is an idiopathic inflammatory condition (6 P's: Planar, Purple, Polygonal, Pruritic, Papules, Plaques). While associated with Hepatitis C, it is not a classic reaction to Herpes. **NEET-PG High-Yield Pearls:** * **Drug of Choice for Herpes Zoster:** Oral **Acyclovir** (800 mg 5x/day for 7 days). Valacyclovir and Famciclovir are preferred for better bioavailability. * **Hutchinson’s Sign:** Vesicles on the tip of the nose indicating ophthalmic involvement in Zoster. * **Ramsay Hunt Syndrome:** Zoster involving the geniculate ganglion (triad: facial palsy, ear pain, and vesicles in the external auditory canal). * **Tzanck Smear:** Shows **Multinucleated Giant Cells** and Cowdry Type A inclusion bodies in Herpes infections.
Explanation: ### **Explanation** The correct answer is **C. Prevention of complications**. **1. Why "Prevention of complications" is correct:** In an **immunocompetent host** (especially children), Varicella (Chickenpox) is typically a self-limiting disease. The primary goal of management is supportive care to prevent secondary bacterial infections (most commonly by *Staphylococcus aureus* or *Streptococcus pyogenes*) and other complications. This includes maintaining hygiene, trimming fingernails to prevent scratching, and using calamine lotion or antihistamines for pruritus. Antiviral therapy is generally not mandatory for healthy children as the benefit is marginal. **2. Why the other options are incorrect:** * **A. Acyclovir:** While Acyclovir can be used, it is **not routine** for all immunocompetent hosts. It is specifically indicated if the patient is >12 years old, has chronic cutaneous/pulmonary disorders, or is on long-term salicylate/steroid therapy. * **B. Acyclovir and vaccination:** Vaccination is a preventive measure (primary prophylaxis) and is not used as a treatment modality once the infection has manifested. * **C. Immunoglobulin (VZIG):** This is used for **post-exposure prophylaxis** in high-risk individuals (e.g., neonates, pregnant women, or immunocompromised patients) who have been exposed to the virus, not as standard treatment for an active infection in a healthy host. **3. Clinical Pearls for NEET-PG:** * **Tzanck Smear:** Shows **Multinucleated Giant Cells** (common to HSV and VZV). * **Dew-drop on a rose petal:** Classic description of the varicella vesicle on an erythematous base. * **Pleomorphism:** The hallmark of chickenpox where lesions in all stages (papules, vesicles, crusts) are seen simultaneously. * **Congenital Varicella Syndrome:** Highest risk if the mother is infected between **8–20 weeks** of gestation; characterized by limb hypoplasia and cicatricial skin scarring.
Explanation: ### Explanation **Correct Option: D (Varicella)** The clinical presentation is classic for **Chickenpox (Varicella)**, caused by the Varicella-Zoster Virus (VZV). The hallmark of Varicella is **pleomorphism**, where lesions at different stages of development (macules, papules, vesicles, and crusts) coexist simultaneously. This occurs because the rash appears in successive **"crops"** over 3–5 days. The distribution is typically **centripetal**, meaning it is maximal on the trunk and face, sparing the distal extremities. The characteristic vesicle is often described as a **"dewdrop on a rose petal."** **Why other options are incorrect:** * **A & B (Herpes Simplex I & II):** These typically present as localized, grouped (herpetiform) vesicles on an erythematous base, usually involving the orolabial or genital regions. They do not present with a generalized, pleomorphic rash in crops. * **C (Measles):** This is characterized by a prodrome of the "3 Cs" (Cough, Coryza, Conjunctivitis) and **Koplik spots**. The rash is maculopapular and starts behind the ears, spreading cranio-caudally. It is not vesicular and does not appear in crops. **High-Yield NEET-PG Pearls:** * **Tzanck Smear:** Shows **Multinucleated Giant Cells** (common to VZV and HSV). * **Infectivity:** Patients are infectious from 48 hours before the rash appears until all lesions have crusted over. * **Complications:** Secondary bacterial infection (most common) and cerebellar ataxia (specific to children). * **Congenital Varicella Syndrome:** Characterized by cicatricial skin scarring, limb hypoplasia, and ocular defects if the mother is infected in the first 20 weeks of pregnancy.
Explanation: ### Explanation **Correct Answer: C. Chickenpox** **Medical Concept:** The "dew-drop on a rose petal" appearance is the classic morphological description of the **Chickenpox (Varicella)** rash. This appearance is created by a thin-walled, clear vesicle (the "dew-drop") situated on an erythematous, circular base (the "rose petal"). * **Key Feature:** The rash is characterized by **pleomorphism**, meaning lesions at various stages of development (papules, vesicles, and crusts) are present simultaneously in the same anatomical area. The distribution is **centripetal**, primarily affecting the trunk before spreading to the face and extremities. **Analysis of Incorrect Options:** * **A. Measles (Rubeola):** Characterized by a morbilliform (maculopapular) rash that begins behind the ears and spreads cephalocaudally. It is preceded by the 3 C’s (Cough, Coryza, Conjunctivitis) and **Koplik spots** on the buccal mucosa. * **B. Smallpox (Variola):** Unlike chickenpox, smallpox lesions are **monomorphic** (all at the same stage) and follow a **centrifugal** distribution (more dense on the face and distal extremities). The vesicles are deep-seated and often umbilicated. * **D. Rubella (German Measles):** Presents with a faint pink macular rash and is classically associated with **Forchheimer spots** (petechiae on the soft palate) and significant post-auricular/suboccipital lymphadenopathy. **High-Yield Clinical Pearls for NEET-PG:** * **Tzanck Smear:** Shows **Multinucleated Giant Cells** (also seen in Herpes Simplex). * **Incubation Period:** 10–21 days. * **Contagiousness:** From 1–2 days before the rash appears until all lesions have crusted over. * **Complication:** Secondary bacterial infection (Staph/Strep) is common; **Cerebellar ataxia** is a specific neurological complication in children.
Explanation: **Explanation:** **Molluscum Contagiosum (MC)** is a common, benign viral infection of the skin. The correct answer is **Virus** because the condition is caused by the **Molluscum Contagiosum Virus (MCV)**, which is a large, double-stranded DNA virus belonging to the **Poxviridae** family (specifically the genus *Molluscipoxvirus*). It replicates within the cytoplasm of keratinocytes. **Why other options are incorrect:** * **Bacteria:** Bacterial skin infections (like Impetigo or Folliculitis) typically present with crusting, pus, or inflammation, unlike the discrete, waxy papules of MC. * **Fungus:** Fungal infections (Dermatophytosis) usually present as scaly, itchy, annular plaques (Tinea) rather than umbilicated papules. * **Protozoa:** Protozoal skin infections (like Leishmaniasis) are rare and typically present as chronic ulcers or nodules, not the characteristic viral lesions seen in MC. **High-Yield Clinical Pearls for NEET-PG:** * **Morphology:** Characterized by firm, pearly, flesh-colored, **umbilicated papules** (central depression). * **Histopathology:** Pathognomonic **Henderson-Paterson bodies** (intracytoplasmic eosinophilic inclusion bodies) are seen in the epidermis. * **Transmission:** Spread via direct skin-to-skin contact, fomites, or autoinoculation. In adults, it is often considered a **Sexually Transmitted Infection (STI)** if found in the anogenital region. * **HIV Association:** Giant molluscum or extensive facial lesions are often markers of underlying **immunodeficiency (HIV/AIDS)**. * **Treatment:** Usually self-limiting; however, cryotherapy, curettage, or topical cantharidin may be used.
Explanation: **Explanation:** **Lymphogranuloma venereum (LGV)** is the correct answer. It is a sexually transmitted infection caused by **Chlamydia trachomatis (serotypes L1, L2, and L3)**. The pathogenesis involves the spread of the organism from the primary site of infection to the regional lymph nodes, leading to chronic lymphangitis and lymphadenitis. Over time, this causes extensive **lymphatic obstruction and fibrosis**. In late-stage (tertiary) LGV, this chronic obstruction leads to massive edema and hypertrophy of the external genitalia, a condition known as **Genital Elephantiasis** (also called *esthiomene* in females). **Analysis of Incorrect Options:** * **A. Rickettsia:** These are obligate intracellular bacteria causing spotted fevers and typhus. They primarily affect vascular endothelium (vasculitis) and do not cause chronic lymphatic obstruction. * **B. Chancroid:** Caused by *Haemophilus ducreyi*, it presents with painful genital ulcers and "bubo" formation (suppurative lymphadenopathy). While it involves lymph nodes, it does not lead to chronic lymphatic scarring or elephantiasis. * **D. Syphilis:** Caused by *Treponema pallidum*. While tertiary syphilis can cause various systemic complications (gummas, cardiovascular issues), it typically does not result in genital elephantiasis. **High-Yield Clinical Pearls for NEET-PG:** * **Groove Sign of Greenblatt:** A characteristic finding in LGV where the inguinal ligament creates a depression between enlarged superficial and deep inguinal lymph nodes. * **Esthiomene:** Specifically refers to the chronic hypertrophic ulceration and elephantiasis of the vulva in LGV. * **Treatment of Choice:** Doxycycline (100 mg twice daily for 21 days). * **Differential Diagnosis:** Genital elephantiasis can also be caused by **Filariasis** (Wuchereria bancrofti) and **Donovanosis** (Granuloma inguinale), but among the given options, LGV is the classic cause.
Explanation: **Explanation:** Chickenpox (Varicella) is caused by the **Varicella-Zoster Virus (VZV)**. The distribution of its rash is a classic high-yield topic for NEET-PG. **Why Centripetal is Correct:** The rash of chickenpox follows a **centripetal distribution**, meaning it is most dense on the trunk (center) and less dense on the extremities (periphery). This is the opposite of Smallpox, which is centrifugal. The lesions typically appear first on the trunk and then spread to the face and limbs. **Analysis of Incorrect Options:** * **A. Deep seated:** Chickenpox vesicles are **superficial** and thin-walled, often described as **"dewdrops on a rose petal."** In contrast, Smallpox lesions are deep-seated and firm. * **C. Affects palms and soles:** Chickenpox characteristically **spares the palms and soles**. If a vesicular rash involves the palms and soles, clinicians should consider Hand-Foot-Mouth Disease (Coxsackievirus) or Secondary Syphilis. * **D. Slow evolution:** Chickenpox is known for **rapid evolution**. Lesions progress from macules to papules, vesicles, and crusts within hours. This leads to **pleomorphism** (different stages of the rash present simultaneously in the same area). **High-Yield Clinical Pearls for NEET-PG:** * **Pleomorphism:** This is the hallmark of chickenpox (all stages of rash seen at once). * **Tzanck Smear:** Shows **Multinucleated Giant Cells** with Cowdry Type A intranuclear inclusion bodies. * **Incubation Period:** 10–21 days. * **Infectivity:** From 1–2 days before the rash appears until all lesions have crusted over. * **Starry Sky Appearance:** A descriptive term for the pleomorphic rash distributed over the body.
Explanation: **Explanation:** **Common warts (Verruca vulgaris)** are benign epidermal proliferations caused by the **Human Papilloma Virus (HPV)**, specifically types 1, 2, 4, and 7. HPV infects the basal keratinocytes of the skin and mucous membranes, leading to characteristic hyperplasia and hyperkeratosis. On histology, these are identified by the presence of **koilocytes** (vacuolated cells with pyknotic nuclei). **Analysis of Options:** * **Human Papilloma Virus (Correct):** A double-stranded DNA virus that causes various cutaneous and mucosal warts. High-yield associations include HPV 6 and 11 (Anogenital warts/Condyloma acuminata) and HPV 16 and 18 (Cervical cancer). * **Cytomegalovirus (A):** A member of the Herpesvirus family (HHV-5). It typically causes systemic infections in immunocompromised patients (e.g., CMV retinitis) rather than localized skin warts. * **Hepatitis B Virus (C):** A hepadnavirus primarily affecting the liver. While it can have cutaneous manifestations like the Gianotti-Crosti syndrome, it does not cause warts. * **Epstein-Barr Virus (D):** Known for causing Infectious Mononucleosis and Oral Hairy Leukoplakia (in HIV patients), but not common cutaneous warts. **Clinical Pearls for NEET-PG:** 1. **Deep Palmar/Plantar Warts (Myrmecia):** Primarily caused by **HPV-1**. 2. **Plane Warts (Verruca plana):** Smooth, flat-topped papules caused by **HPV-3 and 10**. 3. **Butcher’s Warts:** Common in meat handlers, caused by **HPV-7**. 4. **Epidermodysplasia Verruciformis:** A genetic condition associated with "tree-man" appearance, linked to **HPV-5 and 8**, which carry a high risk of progression to Squamous Cell Carcinoma (SCC).
Explanation: **Explanation:** **Molluscum Contagiosum (MC)** is a common viral skin infection caused by the **Molluscum Contagiosum Virus (MCV)**, which belongs to the **Poxviridae** family. It is a large, enveloped, double-stranded DNA virus. Unlike most DNA viruses that replicate in the nucleus, Poxviruses are unique because they replicate within the **cytoplasm** of host cells. **Analysis of Options:** * **Option B (Correct):** MCV is a member of the *Molluscipoxvirus* genus within the Poxvirus family. * **Option A (Incorrect):** Papovaviruses (now categorized as Papillomaviridae and Polyomaviridae) cause conditions like viral warts (HPV). * **Option C (Incorrect):** Orthomyxoviruses (likely intended by "Ohomyxo") are responsible for Influenza. * **Option D (Incorrect):** Parvovirus (specifically B19) causes Erythema Infectiosum (Fifth disease), characterized by a "slapped-cheek" appearance. **High-Yield Clinical Pearls for NEET-PG:** 1. **Clinical Presentation:** Characterized by firm, pearly, flesh-colored, **umbilicated papules**. 2. **Histopathology:** The pathognomonic feature is the presence of **Henderson-Paterson bodies** (intracytoplasmic eosinophilic inclusion bodies) within the epidermis. 3. **Transmission:** Spread via direct skin-to-skin contact, fomites (towels), or autoinoculation. In adults, lesions in the anogenital region are often considered a **Sexually Transmitted Infection (STI)**. 4. **HIV Association:** Extensive, giant, or recalcitrant lesions, especially on the face, are a marker for underlying immunodeficiency (HIV/AIDS). 5. **Treatment:** Usually self-limiting, but active management includes cryotherapy, curettage, or topical cantharidin.
Herpes Simplex Virus Infections
Practice Questions
Varicella-Zoster Virus Infections
Practice Questions
Human Papillomavirus Infections
Practice Questions
Molluscum Contagiosum
Practice Questions
Viral Exanthems
Practice Questions
Hand, Foot, and Mouth Disease
Practice Questions
Orf and Milker's Nodule
Practice Questions
Cytomegalovirus Cutaneous Manifestations
Practice Questions
Epstein-Barr Virus Manifestations
Practice Questions
Poxvirus Infections
Practice Questions
HIV-Related Dermatoses
Practice Questions
Viral Infections in Immunocompromised Hosts
Practice Questions
Get full access to all questions, explanations, and performance tracking.
Start For Free