Excessive sunlight exposure can cause which of the following?
Micrographic excision is used for the management of which of the following?
What is the diagnostic procedure for basal cell carcinoma?
What is the most common clinical presentation of basal cell carcinoma?
Which is considered the most malignant form of malignant melanoma?
Which of the following statements associated with Kaposi's sarcoma is FALSE?
Which condition presents with 'Cayenne pepper' stippling due to hemosiderin?
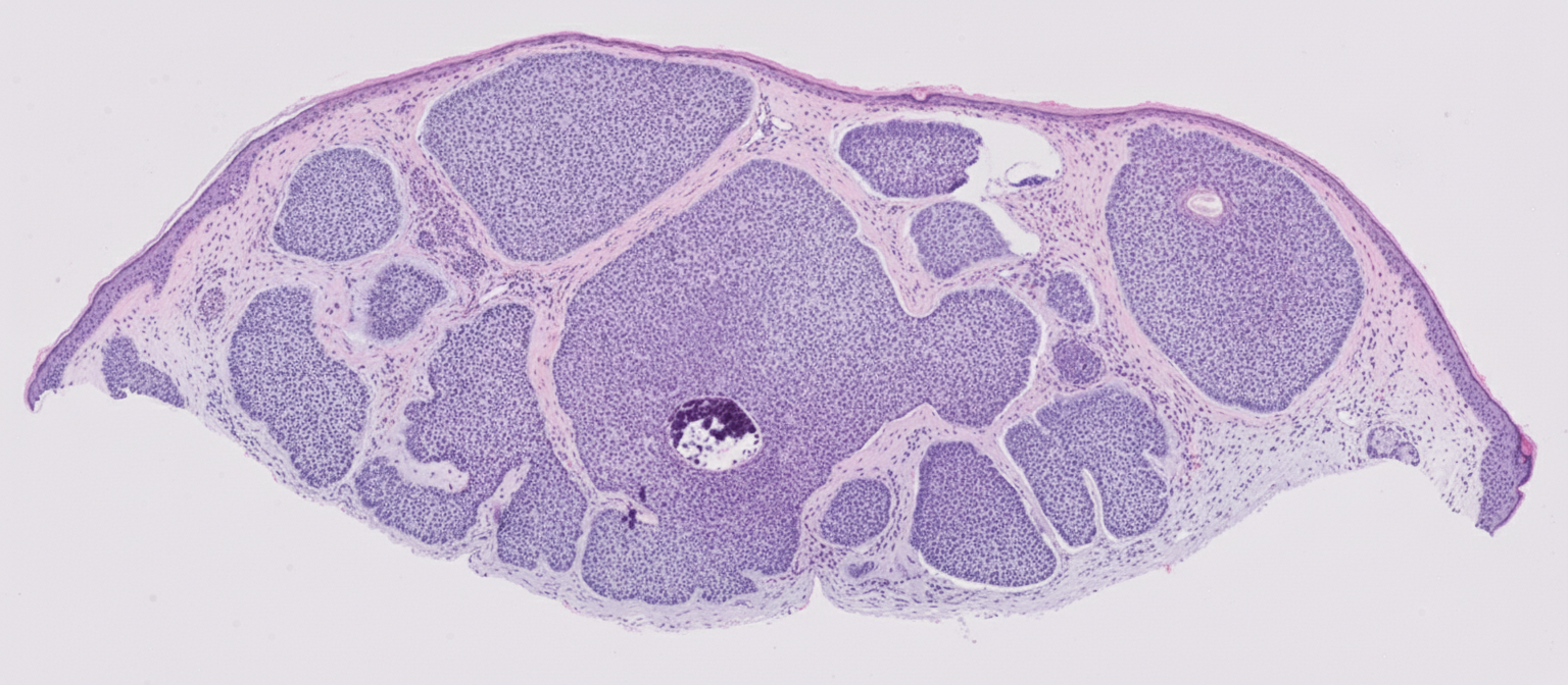
An 80-year-old man presents with a recently noticed skin lesion. A biopsy was performed, and the histopathology report is available. Which of the following options cannot be used as a management for this clinical scenario?

Which of the following best describes the characteristic lesion of Kaposi sarcoma?
A 60-year-old person presented with an ulcer on the medial canthus. The ulcer has rolled-out, beaded margins. Histopathology shows nesting cells with peripheral palisading patterns. What is the most likely diagnosis?
Explanation: **Explanation:** The correct answer is **Squamous Cell Carcinoma (SCC)** because it has the strongest and most direct correlation with **cumulative, chronic UV radiation exposure**. While UV light is a risk factor for several skin cancers, SCC specifically arises from the progressive accumulation of DNA damage in keratinocytes, often preceded by precancerous lesions like **Actinic Keratosis**. **Analysis of Options:** * **Squamous Cell Carcinoma (SCC):** The risk is directly proportional to the total lifetime (cumulative) dose of sunlight. It typically occurs on sun-exposed areas (face, lower lip, dorsum of hands) in individuals with outdoor occupations. * **Basal Cell Carcinoma (BCC):** While linked to sunlight, BCC is more strongly associated with **intermittent, intense recreational sun exposure** and childhood sunburns rather than just cumulative exposure. * **Melanoma:** Similar to BCC, the primary risk factor is **episodic high-intensity sun exposure** and blistering sunburns, along with genetic predisposition (CDKN2A mutations). * **Leukemia:** This is a hematologic malignancy involving bone marrow and white blood cells; it is not etiologically linked to UV radiation. **NEET-PG High-Yield Pearls:** * **Most common skin cancer overall:** Basal Cell Carcinoma. * **Most common skin cancer caused by cumulative UV:** Squamous Cell Carcinoma. * **Precursor lesion for SCC:** Actinic Keratosis (shows "strawberry pattern" on dermoscopy). * **UVB (290-320 nm):** The most carcinogenic component of sunlight; causes pyrimidine dimers in DNA. * **Marjolin’s Ulcer:** An aggressive SCC arising in chronic scars or non-healing ulcers.
Explanation: **Explanation:** **Mohs Micrographic Surgery (MMS)** is a specialized surgical technique used primarily for skin cancers. It involves the progressive removal of thin layers of cancer-containing tissue, which are then examined microscopically until only cancer-free tissue remains. This method ensures the **highest cure rate** while providing **maximal tissue conservation**. **Why Penile Cancer is Correct:** In the management of **Penile Squamous Cell Carcinoma (SCC)**, particularly for tumors involving the glans or distal shaft, Mohs Micrographic Surgery is an indicated treatment modality. Because the penis is a functionally and psychologically vital organ, MMS is preferred over traditional wide local excision or partial penectomy to preserve as much healthy tissue as possible without compromising oncological safety. **Why Other Options are Incorrect:** * **Testicular Cancer:** Managed primarily via radical inguinal orchiectomy followed by chemotherapy or radiation. Since the entire testis is removed, micrographic tissue-sparing is not applicable. * **Prostate Cancer:** Managed via radical prostatectomy, radiation, or hormonal therapy. The anatomy of the prostate does not allow for the layer-by-layer peripheral margin mapping used in MMS. **High-Yield Clinical Pearls for NEET-PG:** * **Indications for MMS:** Basal Cell Carcinoma (BCC) and Squamous Cell Carcinoma (SCC) in "high-risk" areas (the H-zone of the face, genitals, hands, and feet) or recurrent tumors. * **Gold Standard:** MMS is the gold standard for BCC, offering cure rates up to 99%. * **Key Advantage:** 100% of the surgical margins are examined, unlike the "bread-loafing" technique used in standard excision which examines <1%.
Explanation: **Explanation:** **Basal Cell Carcinoma (BCC)** is the most common skin cancer, characterized by slow growth and local invasiveness. The definitive diagnosis of BCC requires a histopathological examination to confirm the presence of characteristic peripheral palisading and stromal retraction. **Why Wedge Biopsy is the Correct Answer:** In the context of standard medical examinations like NEET-PG, **Wedge Biopsy** is considered the diagnostic procedure of choice for BCC. This is because BCC can be deeply invasive. A wedge biopsy provides a full-thickness specimen that includes the epidermis, dermis, and subcutaneous fat. This allows the pathologist to evaluate the **depth of invasion** and the **architectural pattern** of the tumor, which is crucial for determining the subtype (e.g., nodular vs. morpheaform) and planning surgical margins. **Analysis of Incorrect Options:** * **Shave Biopsy:** While often used in clinical practice for superficial lesions, it is generally discouraged for suspected BCC because it may not capture the deep invasive component, leading to an underestimation of the tumor's aggressiveness. * **Incisional/Punch Biopsy:** These are useful for large lesions to confirm a diagnosis before definitive surgery; however, they provide a smaller sample size compared to a wedge biopsy, which offers a more representative cross-section of the tumor margins and depth. **Clinical Pearls for NEET-PG:** * **Most common site:** Face (specifically above the line joining the lobe of the ear to the angle of the mouth). * **Characteristic feature:** "Pearly" borders with telangiectasia and a central ulcer (**Rodent Ulcer**). * **Histology:** Nests of basaloid cells with **peripheral palisading** and **retraction artifacts**. * **Treatment of choice:** Surgical excision with 4-5mm margins or **Mohs Micrographic Surgery** (for high-risk areas like the "H-zone" of the face).
Explanation: **Explanation:** **Basal Cell Carcinoma (BCC)** is the most common skin cancer globally, arising from the non-keratinizing cells of the basal layer of the epidermis. 1. **Why Nodular is correct:** The **Nodular subtype** is the most frequent clinical presentation, accounting for approximately **60-80% of all BCC cases**. It typically presents as a pearly, translucent papule or nodule with overlying telangiectasia (dilated blood vessels) and a rolled border. As it grows, it may undergo central ulceration, earning it the classical name **"Rodent Ulcer."** It is most commonly found on sun-exposed areas, particularly the head and neck. 2. **Why other options are incorrect:** * **Morpheaform (Sclerosing):** This is an aggressive, infiltrative variant that looks like a waxy, ill-defined scar or plaque. It is much less common but clinically significant due to its high recurrence rate. * **Superficial:** This is the second most common type, often appearing as an erythematous, scaly patch. It is typically found on the trunk and limbs rather than the face. * **Keratotic:** Also known as Basosquamous carcinoma, this is a rare variant that shows features of both BCC and Squamous Cell Carcinoma (SCC) and tends to be more aggressive. **High-Yield Clinical Pearls for NEET-PG:** * **Most common site:** The upper 2/3rd of the face (above the line joining the earlobe to the angle of the mouth). * **Metastasis:** BCC is locally invasive but **rarely metastasizes**. * **Risk Factor:** Chronic UV light exposure is the primary trigger. * **Gold Standard Treatment:** Mohs Micrographic Surgery (highest cure rate). * **Inherited Syndrome:** **Gorlin Syndrome** (Nevoid BCC syndrome) presents with multiple BCCs, odontogenic keratocysts, and palmar/plantar pits.
Explanation: **Explanation:** The malignancy of melanoma is primarily determined by its growth pattern. **Nodular Melanoma (NM)** is considered the most aggressive and malignant form because it lacks a significant **radial growth phase**. Unlike other types, it enters the **vertical growth phase** almost from the onset, invading deeply into the dermis early in its course. This rapid vertical expansion correlates with a higher Breslow thickness at the time of diagnosis, leading to a significantly poorer prognosis and a higher risk of metastasis. **Analysis of Incorrect Options:** * **Hutchinson’s Melanotic Freckle (Lentigo Maligna):** This is the least aggressive form. It has a prolonged radial growth phase (often lasting decades) before becoming invasive. It typically occurs on sun-damaged skin in the elderly. * **Acral Lentiginous Melanoma:** While it often has a poor prognosis due to delayed diagnosis (occurring on palms, soles, and subungual areas), its intrinsic biological growth is not as rapidly vertical as the nodular type. It is the most common type in dark-skinned individuals. * **Superficial Spreading Melanoma:** This is the **most common** overall type of melanoma. It has a prominent radial growth phase before vertical invasion begins, allowing for earlier detection compared to the nodular type. **High-Yield Clinical Pearls for NEET-PG:** * **Most Common Type:** Superficial Spreading Melanoma. * **Most Common Type in India/Dark Skin:** Acral Lentiginous Melanoma. * **Best Prognostic Factor:** Breslow’s Depth (vertical thickness in mm). * **ABCDE Criteria:** Asymmetry, Border irregularity, Color variegation, Diameter (>6mm), and Evolving. * **Nodular Melanoma Exception:** It often bypasses the ABCDE criteria, appearing as a symmetric, uniform, "EFG" (Elevated, Firm, Growing) lesion.
Explanation: **Explanation** Kaposi’s Sarcoma (KS) is a multicentric, angioproliferative neoplasm. The statement that **surgery is the treatment of choice is FALSE** because KS is typically a systemic or multifocal disease. Localized surgery is rarely curative and is associated with high recurrence rates. Management depends on the clinical variant but primarily focuses on highly active antiretroviral therapy (HAART) for AIDS-related KS, radiation for localized lesions, or systemic chemotherapy (e.g., liposomal doxorubicin) for widespread disease. **Analysis of Other Options:** * **Option A (True):** Human Herpesvirus 8 (HHV-8), also known as Kaposi Sarcoma-associated Herpesvirus (KSHV), is the definitive etiological agent across all four clinical types. * **Option B (True):** KS is frequently seen in immunosuppressed individuals, particularly those with HIV/AIDS (Epidemic KS) and organ transplant recipients (Iatrogenic KS). * **Option C (True):** It is a vascular tumor characterized by the proliferation of spindle cells, neoangiogenesis, and extravasated red blood cells. **High-Yield Clinical Pearls for NEET-PG:** * **Four Clinical Types:** Classic (elderly Mediterranean men), Endemic (African), Iatrogenic (transplant-related), and Epidemic (AIDS-related). * **Histopathology:** Look for **"Spindle cells"** and **"Slit-like vascular spaces"** containing RBCs. * **Promontory Sign:** A characteristic histological feature where small vessels protrude into larger ectatic vascular spaces. * **Clinical Appearance:** Presents as violaceous (purple), non-blanching macules, plaques, or nodules.
Explanation: **Explanation:** **Plasma cell balanitis of Zoon** is a chronic, idiopathic, inflammatory dermatosis typically affecting the glans penis of uncircumcised middle-aged to elderly men. **Why it is correct:** The characteristic clinical appearance is a solitary, well-circumscribed, "glistening" or "lacquered" orange-red plaque. The **"Cayenne pepper" stippling** is a hallmark finding caused by **hemosiderin deposition** within the dermis. This occurs due to the extravasation of red blood cells from dilated, fragile capillary loops (siderophages) in the upper dermis, which is also heavily infiltrated by plasma cells. **Why the other options are incorrect:** * **Erythroplasia of Queyrat:** This is Squamous Cell Carcinoma (SCC) in situ of the glans. While it also presents as a red velvety plaque, it lacks the characteristic hemosiderin stippling and shows full-thickness epidermal dysplasia on histology. * **Paget's disease (Extramammary):** This is an intraepidermal adenocarcinoma. It typically presents as an eczematous, itchy, or scaling plaque. Histology shows "Paget cells" (large cells with clear cytoplasm) rather than plasma cell infiltration or hemosiderin stippling. * **Metronidazole:** This is an antibiotic/antiprotozoal medication and not a clinical condition. It is unrelated to the pathology of pigmented purpuric-like stippling. **NEET-PG High-Yield Pearls:** * **Histology of Zoon’s:** Dense band-like infiltrate of **plasma cells** (>80%), "lozenge-shaped" keratinocytes, and extravasated RBCs. * **Treatment of Choice:** **Circumcision** is considered curative. * **Differential Diagnosis:** Always biopsy to rule out Erythroplasia of Queyrat (malignant) vs. Zoon’s (benign). * **Similar Finding:** "Cayenne pepper spots" are also seen in **Schamberg’s Disease** (Progressive Pigmented Purpuric Dermatosis), also due to hemosiderin.
Explanation: ***None of the above*** - All three treatment options (**Mohs micrographic surgery**, **photodynamic therapy**, and **electrodesiccation**) are valid management modalities for **basal cell carcinoma (BCC)**. - The histopathology shows typical BCC features including **basaloid cell nests**, **peripheral palisading**, and **retraction artifact**, confirming the diagnosis and making all listed treatments appropriate. *Mohs micrographic surgery* - **Gold standard** treatment for BCC, especially for **high-risk locations** (face, ears, genitals) and **recurrent tumors**. - Provides **complete margin assessment** with tissue-sparing technique, achieving cure rates of **95-99%** for primary BCC. *Photodynamic therapy* - **Non-invasive treatment** using **topical photosensitizers** (aminolevulinic acid) followed by **light activation**. - Particularly effective for **superficial BCC** and **multiple lesions**, with excellent **cosmetic outcomes**. *Electrodesiccation* - **Curettage and electrodesiccation** is a standard treatment for **low-risk, small BCCs** on the trunk and extremities. - Involves **scraping the tumor** followed by **electrical cautery**, with cure rates of **85-95%** for appropriate lesions.
Explanation: ***A raised, purple-red lesion*** - Kaposi sarcoma is a vascular tumor caused by **Human Herpesvirus-8 (HHV-8)**, presenting as violaceous (purple-red) macules, papules, or nodules on the skin and mucosa. - These lesions are common in immunocompromised individuals, particularly those with **HIV/AIDS**, and are characterized by the proliferation of endothelial cells. *A yellow lesion containing pus* - This description is characteristic of a **pustule** or an **abscess**, which are typically signs of a bacterial infection, such as those caused by **Staphylococcus aureus**. - Kaposi sarcoma is a neoplastic lesion, not an acute purulent infection, and does not contain pus. *A white, striated lesion that cannot be scraped off* - This is the classic presentation of **oral hairy leukoplakia**, a benign mucosal lesion caused by the **Epstein-Barr virus (EBV)**, also seen in immunocompromised patients. - It differs from Kaposi sarcoma in its color (white vs. purple-red), location (typically lateral tongue), and causative virus. *Small, red erosions* - This description is more consistent with conditions like **herpes simplex virus (HSV)** infection, where vesicles rupture to form erosions, or with erosive inflammatory dermatoses. - Kaposi sarcoma typically manifests as proliferative papules or nodules, not as primary erosions.
Explanation: ***Basal Cell Carcinoma (BCC)***- The clinical presentation of a slow-growing ulcer with **rolled-out, beaded margins** on a sun-exposed area like the medial canthus is classic for the nodular variant of BCC.- Histopathology showing nests of **basaloid cells** originating from the epidermis, with characteristic **peripheral palisading** of nuclei, is the pathognomonic microscopic description for BCC.*Squamous Cell Carcinoma (SCC)*- SCC often presents as a **firm, hyperkeratotic nodule** or plaque that frequently ulcerates, but it typically lacks the pearly, beaded margins characteristic of BCC.- Histologically, SCC consists of **squamous differentiation**, demonstrating **keratin pearls** and intercellular bridges, not peripheral palisading.*Nevus*- A nevus (mole) is a benign proliferation of **melanocytes**; it is usually a pigmented macule or papule and does not typically present as a destructive ulcer with rolled borders.- Histopathology shows uniform nests of nevus cells, confined to the junction or dermis, lacking the malignant architecture and the **basaloid cells** seen here.*Melanoma*- Melanoma often presents as an **asymmetrical, irregularly bordered**, and variably pigmented lesion (ABCDE criteria), which differs from the non-pigmented ulcer described.- Histopathology would reveal atypical **melanocytes** with characteristic nuclear features and dermal invasion, not the nested, palisading basaloid cells of BCC.
Benign Epithelial Tumors
Practice Questions
Premalignant Epidermal Tumors
Practice Questions
Basal Cell Carcinoma
Practice Questions
Squamous Cell Carcinoma
Practice Questions
Melanocytic Nevi
Practice Questions
Melanoma
Practice Questions
Merkel Cell Carcinoma
Practice Questions
Vascular Tumors and Malformations
Practice Questions
Cutaneous Lymphomas
Practice Questions
Soft Tissue Tumors
Practice Questions
Metastatic Skin Tumors
Practice Questions
Skin Cancer Prevention and Screening
Practice Questions
Get full access to all questions, explanations, and performance tracking.
Start For Free