Match the following woods lamp findings: 1. Erythrasma, 2. Pityriasis versicolor, 3. Tinea capitis, 4. Vitiligo || a. Yellow b. Coral red fluorescence c. Pink d. Green e. Milky white
In adult patients with multiple scaly macules over the chest and back, which single test is the most comprehensive for diagnosing pityriasis versicolor?
A 24-year-old male presents with asymptomatic scaly lesions over the body as shown in the image below. What is the likely diagnosis?

A 30-year-old male presented with silvery scales on elbow and knee, that bleed on removal. The probable diagnosis is:
'Pityriasis versicolor' is caused by:
A patient presents with annular, scaly plaques with perifollicular extension on the trunk. What is the most likely diagnosis?
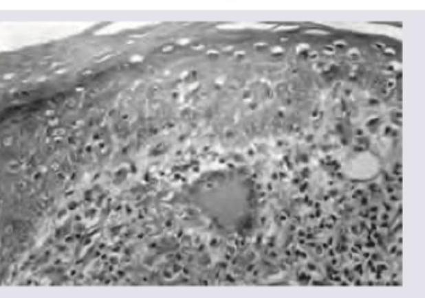
A young male presented with an anesthetic patch on the right forearm. A thickened nerve was palpable on examination. Skin biopsy shows the image below. What is the diagnosis?

Match the following scale types with their lesions. | Scales | Lesions | | :-- | :-- | | 1. Collarette scales | a. Pityriasis versicolour | | 2. Silvery scales | b. Pityriasis rosea | | 3. Mica-like scales | c. Psoriasis | | 4. Branny scales | d. Pityriasis lichenoides |
A patient presents with the skin finding shown in the image. Identify the most likely diagnosis for this lesion.

What is the most common association with Acanthosis nigricans?
Explanation: ***1-b, 2-a, 3-d, 4-e*** - **Erythrasma** is caused by *Corynebacterium minutissimum* and produces **porphyrins** that fluoresce **coral red** under a Wood's lamp [1]. - **Pityriasis versicolor** is caused by *Malassezia furfur* and typically fluoresces **yellow to yellowish-green** [2]. - **Tinea capitis** (especially due to *Microsporum* species) shows **green fluorescence** of infected hairs. - **Vitiligo** lesions, due to a complete absence of melanin, appear as **milky white** or bright white areas under a Wood's lamp [3]. *1-d, 2-a, 3-c, 4-e* - This option incorrectly states that Erythrasma fluoresces green. Green fluorescence is characteristic of *Microsporum* species causing **Tinea capitis**. - Additionally, Tinea capitis is incorrectly associated with pink fluorescence, which is not a typical finding. *1-a, 2-c, 3-e, 4-d* - This option incorrectly states that Erythrasma fluoresces yellow. Yellow fluorescence is associated with **Pityriasis versicolor** [2]. - It also incorrectly assigns milky white fluorescence to Tinea capitis and green fluorescence to Vitiligo. *1-b, 2-d, 3-a, 4-c* - This option incorrectly associates Pityriasis versicolor with green fluorescence. While some variations exist, **yellow** is the more characteristic finding [2]. - It also incorrectly links Tinea capitis to yellow fluorescence and Vitiligo to pink, which are not typical Wood's lamp findings for these conditions.
Explanation: ***10% KOH mount*** - A **10% KOH mount** is the most comprehensive and definitive single test for diagnosing **pityriasis versicolor** as it directly visualizes the *Malassezia furfur* yeast in its characteristic **spaghetti and meatballs** appearance. - This microscopic examination confirms the presence of pathogenic fungi, distinguishing it from other dermatoses with similar clinical presentations. *Wood Lamp examination* - A Wood lamp examination can show **yellow-gold fluorescence** in affected areas, which is suggestive of *Malassezia furfur*. - However, not all *Malassezia* species or presentations will fluoresce, making it a supportive but not definitive diagnostic tool on its own. *Skin biopsy* - A **skin biopsy** is an invasive procedure and is usually not required for the diagnosis of pityriasis versicolor, which can be readily identified with simpler tests. - While it can confirm fungal elements, it's typically reserved for atypical or refractory cases where other diagnoses are being considered. *All of the options* - While a Wood lamp examination can be helpful and a skin biopsy could confirm the diagnosis, the question asks for the **most comprehensive single test**. - The 10% KOH mount directly identifies the causative organism, making it superior to the other options when only one test can be chosen.
Explanation: ***Pityriasis Rosea*** - The image shows numerous **scaly, erythematous plaques** distributed over the trunk, with a characteristic "Christmas tree" pattern often observed in Pityriasis Rosea. - The lesions are described as **asymptomatic**, which is consistent with Pityriasis Rosea, although mild pruritus can occur. *Atopic Dermatitis* - Typically presents with **intensely pruritic, erythematous, and eczematous lesions** often found in flexural areas (e.g., antecubital and popliteal fossae). - While it can be widespread, the morphology of the lesions (eczematous vs. scaly plaques) and the absence of pruritus make this less likely. *Lichen planus* - Characterized by **pruritic, violaceous, polygonal papules** and plaques, often appearing on the flexor surfaces of wrists, ankles, and oral mucosa. - The appearance of the lesions in the image does not match the typical morphology of lichen planus. *Seborrheic Dermatitis* - Primarily affects areas with a high density of sebaceous glands, such as the **scalp, face (nasolabial folds, eyebrows), and chest**. - Presents with **greasy, yellowish scales** on an erythematous base, which is distinct from the dry, scaly plaques seen in the image.
Explanation: ***Psoriasis*** - The presence of **silvery scales** on the elbows and knees, which **bleed upon removal** (Auspitz sign), is a classic presentation of **plaque psoriasis**. - Psoriasis is a chronic inflammatory skin condition characterized by **accelerated epidermal turnover**. *Secondary syphilis* - Secondary syphilis typically presents with a **generalized maculopapular rash**, which can affect the palms and soles, but it does not usually feature silvery scales or the Auspitz sign. - Other common symptoms of secondary syphilis include **fever, lymphadenopathy, and condyloma lata**. *Pityriasis* - **Pityriasis rosea** is characterized by an oval, fawn-colored, scaly rash, often preceded by a **herald patch**, and usually resolves spontaneously. It does not typically present with silvery scales or bleeding on removal. - **Pityriasis versicolor** is caused by yeast and presents as hypopigmented or hyperpigmented macules with fine scales, commonly on the trunk, not silvery scales on elbows and knees. *Seborrhoeic dermatitis* - Seborrhoeic dermatitis involves greasy, yellowish scales on red skin, typically affecting areas rich in sebaceous glands like the scalp, face (nasolabial folds, eyebrows), and chest. - It does not present with silvery scales or the Auspitz sign, which are specific to psoriasis.
Explanation: ***Malassezia furfur*** - **Pityriasis versicolor** is a superficial fungal infection of the skin caused by the dimorphic yeast **Malassezia furfur** (also known as Pityrosporum ovale). - This organism is part of the normal skin flora but can become pathogenic under certain conditions, leading to characteristic **hypopigmented or hyperpigmented patches**, often on the trunk. *Nocardia species* - **Nocardia** are aerobic, gram-positive bacteria that typically cause **pulmonary, cutaneous, or disseminated infections**, particularly in immunocompromised individuals. - They are known for causing conditions like **nocardiosis**, which presents with abscesses, not pityriasis versicolor. *Aspergillus fumigatus* - **Aspergillus fumigatus** is a common mold that can cause a range of diseases, primarily in the respiratory tract, including **allergic bronchopulmonary aspergillosis (ABPA)**, **aspergilloma**, and **invasive aspergillosis**. - It is not associated with superficial skin infections like pityriasis versicolor. *Trichophyton rubrum* - **Trichophyton rubrum** is a dermatophyte fungus that commonly causes **tinea (ringworm) infections** of the skin, hair, and nails, such as **athlete's foot (tinea pedis)**, **jock itch (tinea cruris)**, and **nail infections (onychomycosis)**. - Unlike Malassezia, it invades the keratinized structures of the epidermis, not just superficial layers causing versicolor lesions.
Explanation: ***Tinea*** - **Tinea corporis** classically presents with **annular, scaly plaques with central clearing** and an active, raised border. - On hairy areas or with follicular involvement, dermatophyte infections show **perifollicular extension** as the fungus invades hair follicles. - The **annular morphology with scale** is pathognomonic for dermatophyte infection, confirmed by **KOH preparation** showing septate hyphae. - Common sites include trunk, limbs, and any body area with hair follicles. *Psoriasis* - Presents with **well-demarcated, erythematous plaques** with **silvery-white scales**, typically on extensor surfaces (elbows, knees, scalp). - **Follicular psoriasis** is rare and shows **pinpoint follicular papules**, not annular plaques with perifollicular extension. - Auspitz sign (pinpoint bleeding on scale removal) helps differentiate from tinea. *Lichen planus* - Characterized by **pruritic, polygonal, purple, planar papules** (the "6 Ps"). - **Lichen planopilaris** (follicular variant) causes **scarring alopecia** with follicular hyperkeratosis, not annular scaly plaques. - Wickham striae may be visible on mucosal surfaces. *Pityriasis versicolor* - Caused by **Malassezia species**, presents as **hypo- or hyperpigmented macules** with fine scale on trunk and upper arms. - **Follicular variant** (pityriasis folliculorum) shows discrete follicular papules, NOT annular plaques. - "Spaghetti and meatballs" appearance on KOH prep (short hyphae and spores) differentiates from dermatophytes.
Explanation: ***LL*** - The image shows a **granuloma with foamy macrophages** (Virchow cells) laden with bacilli, characteristic of **lepromatous leprosy (LL)**. The accompanying clinical features of an anesthetic patch and thickened nerve point towards leprosy. - In LL, there is **poor cell-mediated immunity** with a predominant **Th2 response**, leading to ineffective control of intracellular *Mycobacterium leprae*. While **humoral immunity** is increased, it is ineffective against the intracellular pathogen, resulting in widespread bacterial multiplication and the characteristic **foamy macrophages** (Virchow cells) laden with bacilli. *TT* - **Tuberculoid leprosy (TT)** would typically show a well-formed, epithelioid granuloma with few or no bacilli, reflecting a strong cell-mediated immune response. - Clinical presentation involves well-demarcated, anesthetic patches with significant nerve damage, but the biopsy features would differ from those seen here. *Histiocytosis* - **Histiocytosis** refers to a group of disorders involving abnormal proliferation of histiocytes/macrophages, such as Langerhans cell histiocytosis. - While it involves macrophages, the specific morphology and clinical presentation (anesthetic patch, thickened nerve) are not typical for histiocytosis. *Lymphoma* - **Lymphoma** involves the malignant proliferation of lymphocytes and would present with atypical lymphoid infiltrates, not the macrophage-rich granulomas seen in the image. - The clinical context of an anesthetic patch and thickened nerve is also not characteristic of primary cutaneous lymphoma.
Explanation: ***1-b, 2-c, 3-d, 4-a*** - **Collarette scales** are pathognomonic of **Pityriasis rosea**, appearing as fine, trailing scales around the periphery of oval lesions in a "Christmas tree" distribution. - **Silvery scales** are the classic hallmark of **Psoriasis**, presenting as thick, adherent, silvery-white scales overlying well-demarcated erythematous plaques. - **Mica-like scales** are characteristic of **Pityriasis lichenoides**, appearing as thick, shiny, adherent scales that can be peeled off like mica sheets. - **Branny scales** are typical of **Pityriasis versicolor**, presenting as fine, powdery scales caused by **Malassezia** yeast overgrowth. *1-d, 2-c, 3-a, 4-b* - Incorrectly matches **collarette scales with Pityriasis lichenoides**, which typically presents with mica-like scales, not collarette scales. - Misassociates **mica-like scales with Pityriasis versicolor**, which characteristically has branny (fine, powdery) scales. *1-c, 2-b, 3-d, 4-a* - Wrongly pairs **collarette scales with Psoriasis**, which is known for thick silvery scales, not peripheral collarette scales. - Incorrectly matches **silvery scales with Pityriasis rosea**, which has collarette scales at lesion periphery, not silvery scales. *1-a, 2-b, 3-d, 4-c* - Falsely associates **collarette scales with Pityriasis versicolor**, which has branny scales from yeast infection, not collarette scales. - Mismatches **branny scales with Psoriasis**, which has characteristic thick silvery scales, not fine powdery scales.
Explanation: ***Piebaldism*** - The image shows a **localized patch of depigmentation** on the forehead, characteristic of **piebaldism**. - **Piebaldism** is a rare, congenital autosomal dominant disorder caused by a defect in melanocyte development and migration, resulting in stable, well-demarcated depigmented areas, often with a **white forelock**. *Vitiligo* - **Vitiligo** typically presents as **progressive, acquired macules and patches of depigmentation** that often enlarge over time. - While it can appear on the face, the sharply demarcated, congenital appearance seen here is more consistent with piebaldism. *Contact leukoderma* - **Contact leukoderma** is an **acquired depigmentation** resulting from exposure to chemicals (e.g., rubber, phenols). - It would usually present in areas of direct contact, and the congenital nature of the lesion in the image rules this out. *Albinism* - **Albinism** is a **generalized hypopigmentation** affecting the skin, hair, and eyes due to a defect in melanin production. - The image shows a localized patch of depigmentation, not a widespread lack of pigment characteristic of albinism.
Explanation: **Explanation:** **Acanthosis Nigricans (AN)** is a common dermatological condition characterized by hyperpigmented, velvety plaques, typically found in intertriginous areas like the axilla and neck. **Why Obesity is the Correct Answer:** Obesity is the **most common** association and cause of Acanthosis Nigricans (Pseudo-acanthosis nigricans). The underlying mechanism is **Insulin Resistance**. In obese individuals, high levels of circulating insulin bind to **Insulin-like Growth Factor-1 (IGF-1) receptors** on keratinocytes and fibroblasts. This stimulates excessive proliferation of these cells, leading to the characteristic epidermal thickening and hyperpigmentation. **Analysis of Incorrect Options:** * **Diabetes Mellitus (B):** While AN is a strong cutaneous marker for Type 2 Diabetes, it usually precedes the clinical onset of diabetes. Obesity remains the primary driver and more frequent association. * **Hypertension (A) & Hypothyroidism (D):** These are often part of the "Metabolic Syndrome" or associated endocrinopathies (like PCOS), but they are not the primary or most common cause of the skin changes seen in AN. **High-Yield Clinical Pearls for NEET-PG:** * **Malignant Acanthosis Nigricans:** If AN appears suddenly, is very extensive, or involves the palms (**Tripe Palms**) and oral mucosa, it is highly suggestive of internal malignancy, most commonly **Gastric Adenocarcinoma**. * **Histopathology:** Shows hyperkeratosis and papillomatosis. Note that "acanthosis" (thickening of the stratum spinosum) is actually minimal despite the name. * **Common Sites:** Neck (most common), axilla, groins, and knuckles. * **Drug-induced AN:** Can be caused by Nicotinic acid, systemic corticosteroids, and OCPs.
Get full access to all questions, explanations, and performance tracking.
Start For Free