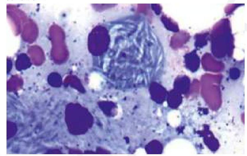
A child presents with bone pain and hepatosplenomegaly, indicative of Gaucher's disease. A trephine biopsy and aspirate show the following finding. Which of the following is the most likely enzyme deficient in this condition?

Enzyme deficiency in Farber disease is:
What is the main component of a bilayer cell membrane?
Which of the following is required for fatty acid synthesis ?
A primigravida at 38 weeks of gestation has gone into labor. Oxytocin was started to augment labor. The second messenger system through which oxytocin acts is:
Which of the following is not a phospholipid ?
Phospholipid associated with the mechanism of hormone action is
Match the following: A) Caplan syndrome- 1) Found first in coal worker B) Asbestosis- 2) Upper lobe predominance C) Mesothelioma- 3) Involves lower lobe D) Sarcoidosis- 4) Pleural effusion is seen
Essential fatty acid:
A person switches from a high-fat diet to a low-fat diet with a compensatory increase in carbohydrates to maintain the same caloric intake. Which lipoprotein is likely to increase?
Explanation: ***Correct: Glucocerebrosidase*** - The clinical presentation of **bone pain**, **hepatosplenomegaly**, and the characteristic histological finding of **lipid-laden macrophages** (Gaucher cells) with a **crinkled paper** appearance in the bone marrow aspirate are highly suggestive of **Gaucher's disease**. - **Gaucher's disease** is caused by a deficiency of the lysosomal enzyme **glucocerebrosidase**, leading to the accumulation of **glucocerebroside**. *Incorrect: Hexosaminidase* - Deficiency of **hexosaminidase A** is associated with **Tay-Sachs disease**, which presents with neurological degeneration but typically **lacks hepatosplenomegaly** and bone pain. - The histological findings in Tay-Sachs disease would show neuronal storage of **GM2 gangliosides**, not Gaucher cells. *Incorrect: Sphingomyelinase* - Deficiency of **sphingomyelinase** causes **Niemann-Pick disease**, characterized by hepatosplenomegaly, neurological involvement, and interstitial lung disease, but the storage cells (foam cells) have a **foamy appearance** due to sphingomyelin accumulation, not the "crinkled paper" appearance of Gaucher cells. - While there is organomegaly, the distinct **histological features** in the image rule out Niemann-Pick disease. *Incorrect: Alpha 1,4-glucosidase* - Deficiency of **alpha 1,4-glucosidase** (acid maltase) causes **Pompe disease** (Glycogen Storage Disease Type II), which primarily affects muscle and liver with **glycogen accumulation**. - Pompe disease does not typically present with the same type of **bone pain** or the characteristic **Gaucher cells** seen in the image.
Explanation: ***Ceramidase*** - Farber disease, also known as **Farber lipogranulomatosis** or **Farber's disease**, is an autosomal recessive lysosomal storage disorder caused by a deficiency of the enzyme **acid ceramidase**. - This deficiency leads to the accumulation of **ceramide** in various tissues, causing granulomatous lesions, joint deformities, and neurological symptoms. *Arylsulfatase A* - Deficiency of **arylsulfatase A** is associated with **metachromatic leukodystrophy**, a lysosomal storage disorder affecting the nervous system. - This enzyme is crucial for the breakdown of **sulfatides**, not ceramide. *Sphingomyelinase* - A deficiency in **sphingomyelinase** is the hallmark of **Niemann-Pick disease**, specifically types A and B. - This enzyme is responsible for breaking down **sphingomyelin**, leading to its accumulation in organs like the liver, spleen, and brain. *Hexosaminidase A* - A deficiency in **hexosaminidase A** is the cause of **Tay-Sachs disease**, a severe neurodegenerative disorder. - This enzyme is essential for the metabolism of **GM2 ganglioside**, which accumulates in neurons in affected individuals.
Explanation: ***Correct: Phospholipids*** - **Phospholipids** are the primary structural components of cell membranes, forming a **bilayer** due to their amphipathic nature. - The **hydrophilic heads** face the aqueous environment, while the **hydrophobic tails** form the core of the membrane. *Incorrect: Cholesterol* - **Cholesterol** is an important component of animal cell membranes, contributing to fluidity and stability, but it is not the **main structural component**. - It inserts between phospholipids, modulating membrane fluidity by preventing the tight packing of fatty acid tails at lower temperatures and hindering excessive movement at higher temperatures. *Incorrect: Cholesterol ester* - **Cholesterol esters** are storage forms of cholesterol and are primarily found in intracellular lipid droplets or associated with lipoproteins in the bloodstream. - They are generally too **hydrophobic** to be significant structural components within the phospholipid bilayer itself. *Incorrect: Triacyl glycerol* - **Triacylglycerols** (triglycerides) are the primary form of **energy storage** in cells, found in lipid droplets within the cytoplasm. - They are highly **hydrophobic** and do not form a structural part of the cell membrane bilayer.
Explanation: ***NADPH*** - **NADPH** is crucial for fatty acid synthesis, providing the **reducing power** needed for the successive reduction steps. - The enzymes involved, such as **fatty acid synthase**, utilize **NADPH** for the conversion of keto groups to hydroxyl groups and then to saturated methylene groups. *NADH* - **NADH** plays a primary role in **oxidative phosphorylation** and the electron transport chain to generate ATP. - It is generally produced during **catabolic reactions** and is not primarily used as a reducing agent in anabolic processes like fatty acid synthesis. *FADH* - **FADH2** (reduced form of FAD, not FADH) is a coenzyme involved in redox reactions, particularly in the **Krebs cycle** and beta-oxidation of fatty acids. - Like NADH, it is mostly involved in **catabolic processes** that generate energy, rather than anabolic processes requiring reducing equivalents for synthesis. *None of the options* - This option is incorrect because **NADPH** is indeed required for fatty acid synthesis, serving as the essential reducing agent. - The other coenzymes mentioned (NADH, FADH) have different metabolic roles, primarily in energy production rather than biosynthesis.
Explanation: ***Phospholipase C (IP3/DAG pathway)*** - Oxytocin binds to its receptor, which is a **Gq protein-coupled receptor**. This activates **phospholipase C**. - **Phospholipase C** then hydrolyzes **phosphatidylinositol 4,5-bisphosphate (PIP2)** into **inositol triphosphate (IP3)** and **diacylglycerol (DAG)**, which act as second messengers to increase intracellular calcium and mediate myometrial contraction. *Tyrosine kinase* - **Tyrosine kinase receptors** are typically activated by growth factors (e.g., insulin, epidermal growth factor) and lead to phosphorylation cascades. - This mechanism is not primarily associated with the downstream signaling of **oxytocin receptors**. *cGMP* - **Cyclic guanosine monophosphate (cGMP)** is a second messenger primarily involved in signaling pathways initiated by **nitric oxide** and some peptide hormones. - It often acts to cause smooth muscle relaxation, which is contrary to oxytocin's role in uterine contraction. *cAMP* - **Cyclic adenosine monophosphate (cAMP)** is a common second messenger for many hormones that bind to **Gs protein-coupled receptors**. - Hormones such as **epinephrine (beta-adrenergic receptors)** and **glucagon** utilize cAMP, typically leading to different cellular responses than those of oxytocin.
Explanation: ***Ganglioside*** - Gangliosides are a type of **glycosphingolipid** because their structure includes a ceramide (a sphingoid base linked to a fatty acid) and a carbohydrate portion with one or more **sialic acid** residues, but no phosphate group. - They are primarily found in **nerve cell membranes** and are crucial for cell-cell recognition and signaling, differentiating them from phospholipids which contain a phosphate group. *Lecithin* - Lecithin, specifically **phosphatidylcholine**, is a common phospholipid characterized by a **phosphate group** and a **choline head group** attached to a diacylglycerol backbone. - It plays vital roles in cell membrane structure and function and is an important emulsifier. *Plasmalogen* - Plasmalogens are a class of phospholipids characterized by a **vinyl ether linkage** at the *sn*-1 position of the glycerol backbone, instead of the typical ester linkage found in other phospholipids. - They retain the defining **phosphate group** that classifies them as phospholipids. *Cardiolipin* - Cardiolipin is a unique phospholipid composed of **two phosphatidic acid moieties** connected by a glycerol molecule, resulting in four fatty acid chains and two phosphate groups. - It is predominantly found in the **inner mitochondrial membrane**, essential for mitochondrial function.
Explanation: ***Phosphatidylinositol*** (Correct) - **Phosphatidylinositol (PI)** and its phosphorylated derivatives, particularly **PIP2 (phosphatidylinositol 4,5-bisphosphate)**, are critical in signal transduction pathways activated by many hormones. - Hormones binding to **G protein-coupled receptors** can activate phospholipase C, which cleaves PIP2 into **inositol triphosphate (IP3)** and **diacylglycerol (DAG)**, leading to increased intracellular calcium and protein kinase C activation, respectively. *Phosphatidylcholine* (Incorrect) - **Phosphatidylcholine** is a major component of cell membranes and is involved in membrane structure and fluidity. - While it can be a source of signaling molecules like **lysophosphatidic acid**, it is not primarily associated with the initial intracellular signaling events of hormone action in the same way as phosphatidylinositol. *Phosphatidylethanolamine* (Incorrect) - **Phosphatidylethanolamine** is another abundant membrane phospholipid primarily involved in membrane structure and stability. - It can be a precursor for other lipids, but it does not directly participate in the **second messenger systems** triggered by most hormones as a primary signaling molecule. *Plasmalogen* (Incorrect) - **Plasmalogens** are a unique class of phospholipids containing an ether bond at the sn-1 position. - They are abundant in certain tissues, particularly nervous and cardiovascular tissues, and are thought to have antioxidant properties, but they are not directly involved in the initiating events of **hormone signaling pathways**.
Explanation: **A-1, B-4, C-3, D-2** - **Caplan syndrome** was first described in **coal workers** with **rheumatoid arthritis** and progressive massive fibrosis. - **Asbestosis** is often associated with **pleural effusion**, which can be benign or malignant. - **Mesothelioma** typically involves the **lower lobes** of the lungs, specifically the pleura, and is strongly linked to asbestos exposure. - **Sarcoidosis** is characterized by **non-caseating granulomas**, which have a predilection for the **upper lobes** of the lungs. *A-3, B-4, C-2, D-1* - This option incorrectly states that Caplan syndrome involves the lower lobe; **Caplan syndrome** is defined by the presence of large nodules in the lungs of coal workers with rheumatoid arthritis, and their specific lobar distribution is not a defining characteristic. - This option incorrectly states that Mesothelioma has an upper lobe predominance; **Mesothelioma** is a pleural malignancy and typically involves the **lower lobes**, extending along the pleura. *A-4, B-2, C-3, D-1* - This option incorrectly associates Caplan syndrome with pleural effusion; **Caplan syndrome** manifests as rheumatoid nodules in the lungs, not primarily pleural effusion. - This option incorrectly states that Asbestosis has an upper lobe predominance; **Asbestosis** predominantly affects the **lower lobes** of the lungs, causing interstitial fibrosis. *A-2, B-4, C-3, D-1* - This option incorrectly states that Caplan syndrome has an upper lobe predominance; the defining feature of **Caplan syndrome** is the combination of rheumatoid arthritis and pneumoconiosis, not specific lobar involvement. - This option correctly identifies pleural effusion with asbestosis and lower lobe involvement with mesothelioma, but **Caplan syndrome** is not characterized by upper lobe predominance.
Explanation: ***Linoleic acid*** - **Linoleic acid** is an **omega-6 fatty acid** that is considered essential because the human body cannot synthesize it and must obtain it through diet. - It is a precursor for other important fatty acids like **arachidonic acid**, which are involved in inflammation and blood clotting. *Citric acid* - **Citric acid** is an organic acid found in citrus fruits and is a key intermediate in the **Krebs cycle** (citric acid cycle), a central metabolic pathway, but it is not a fatty acid. - It is readily synthesized by the body and is therefore not considered an essential nutrient. *Palmitic acid* - **Palmitic acid** is a **saturated fatty acid** with 16 carbon atoms, which is the most common fatty acid in animals and plants. - It can be synthesized by the human body from excess carbohydrates and proteins, hence it is not an essential fatty acid. *Stearic acid* - **Stearic acid** is another common **saturated fatty acid** with 18 carbon atoms, found in various animal and plant fats. - Like palmitic acid, it can be endogenously synthesized by the body and is not considered essential.
Explanation: ***VLDL*** - A low-fat diet with increased **carbohydrates** can lead to increased hepatic synthesis of triglycerides, which are then packaged into **VLDL** particles for transport from the liver. This is because excess carbohydrates can be converted to fatty acids and then to triglycerides in the liver. - The liver's increased triglyceride production, driven by abundant **glucose** from carbohydrates, directly corresponds to a rise in **VLDL** secretion to export these lipids. *Chylomicron* - **Chylomicrons** primarily transport **dietary fats** (exogenous triglycerides) absorbed from the intestine. - Switching to a low-fat diet would typically lead to a *decrease* in chylomicron production, as less dietary fat is available for absorption. *IDL* - **IDL** (Intermediate-Density Lipoprotein) is a remnant of **VLDL** metabolism, formed after VLDL loses some triglycerides. - While VLDL may increase, leading to *more* IDL formation, IDL itself is not the primary component that *increases* directly due to high carbohydrate intake; rather, the precursor **VLDL** is directly affected. *HDL* - **HDL** (High-Density Lipoprotein) is involved in **reverse cholesterol transport**, picking up excess cholesterol from peripheral tissues and returning it to the liver. - High carbohydrate intake, especially refined carbohydrates, can sometimes lead to a *decrease* in HDL levels, not an increase.
Get full access to all questions, explanations, and performance tracking.
Start For Free