Which muscle(s) is/are supplied by the facial nerve?
Which sinus is not present at birth?
All muscles of the face are supplied by the facial nerve, except which one?
Which gland is innervated by the pterygopalatine ganglion?
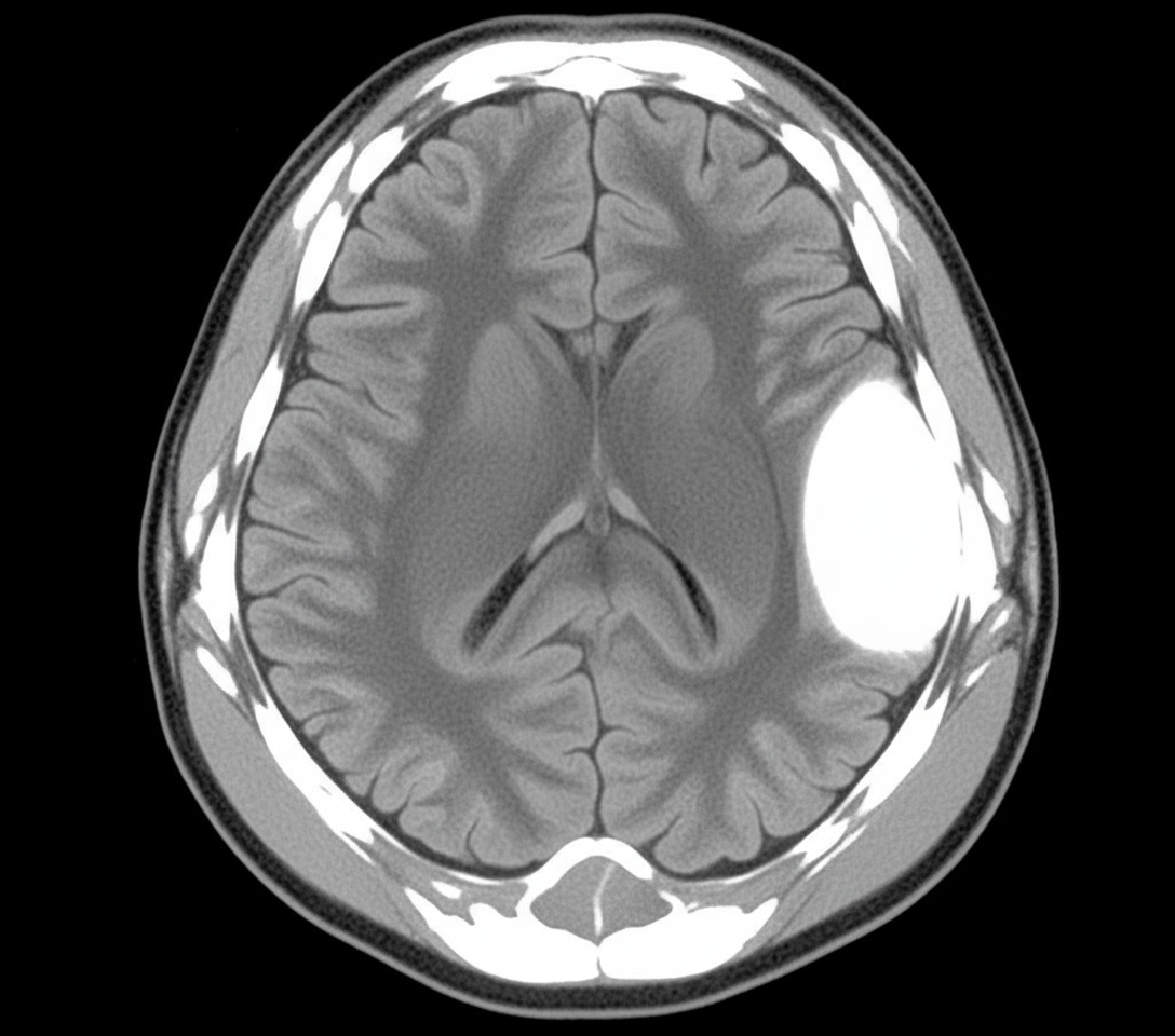
A 20-year-old male presented to the ER with altered sensorium, short-term memory loss, and severe headache after a road traffic accident. There was evidence of skull injury. A non-contrast CT head was performed. The artery most commonly involved in the above condition passes through which of the following structures?

A patient complains of persistent numbness of the chin, lower lip, and lower teeth. She further indicates that she has difficulty chewing. Radiographic studies of the head demonstrated a small discrete mass in the infratemporal fossa. Which nerve has been compromised by the mass?
The palatine bone furnishes the link between which of the following bones?
Into which meatus does the nasolacrimal duct open?
A 26-year-old male sustained a head injury after falling from a ladder. During surgery, the neurosurgeon noticed loss of sensation in the dura of the middle cranial fossa. Which of the following nerves is injured?
Which of the following is NOT a branch of the facial nerve below the stylomastoid foramen?
Explanation: The **Facial Nerve (CN VII)** is the nerve of the **second pharyngeal arch**. It provides motor innervation to all muscles of facial expression and specific muscles derived from this arch. ### **Explanation of Options** * **A. Stapedius (Correct):** This is the smallest skeletal muscle in the body, located in the middle ear. It is supplied by the **nerve to stapedius**, a branch of the facial nerve given off within the facial canal. Its primary function is to dampen loud sounds (acoustic reflex). * **B. Anterior Digastric (Incorrect):** This muscle is derived from the **first pharyngeal arch** and is supplied by the **nerve to mylohyoid** (a branch of the mandibular nerve, V3). Note: The *posterior* belly of the digastric is supplied by the facial nerve. * **C. Risorius (Incorrect):** While the Risorius is a muscle of facial expression supplied by the facial nerve (buccal branch), in the context of this specific MCQ format, the **Stapedius** is often the "classic" anatomical answer focused on in middle ear anatomy. *Note: If this were a "Multiple Correct" type question, C and D would also be technically correct.* * **D. Stylohyoid (Incorrect):** Like the posterior digastric, the stylohyoid is derived from the second arch and is supplied by the facial nerve. ### **NEET-PG High-Yield Pearls** * **The "S" Rule:** The Facial Nerve supplies the **S**tapedius, **S**tylohyoid, and **S**econd arch derivatives. * **Clinical Correlation:** Paralysis of the stapedius muscle (due to facial nerve palsy/Bell’s Palsy) leads to **Hyperacusis**—an increased sensitivity to normal sounds because the dampening mechanism is lost. * **Digastric Innervation:** This is a favorite "catch" for examiners. **A**nterior belly = V3; **P**osterior belly = VII. (Mnemonic: **A** comes before **P**; **5** comes before **7**).
Explanation: ### Explanation The development of paranasal sinuses is a high-yield topic in NEET-PG Anatomy. The correct answer is **Frontal sinus** because it is the only sinus listed that is histologically and radiologically absent at birth. **1. Why Frontal Sinus is the Correct Answer:** The frontal sinus is unique because it does not begin to develop until approximately the **2nd year of life**. It arises as an upward extension of the anterior ethmoidal air cells. It only becomes radiologically visible around age 6–8 and completes its development after puberty (around age 15–20). Therefore, it is entirely absent in a newborn. **2. Analysis of Incorrect Options:** * **Ethmoid Sinus (A):** These are the most developed sinuses at birth. They are present as small, fluid-filled cavities and are radiologically visible from birth. * **Maxillary Sinus (B):** This is the first sinus to develop embryologically (around the 3rd month of fetal life). At birth, it is present but very small (about the size of a pea). * **Sphenoid Sinus (C):** While very rudimentary and tiny at birth, the sphenoid sinus exists as a small evagination in the sphenoethmoidal recess. It undergoes significant expansion (pneumatization) only after the age of 2–3. **3. Clinical Pearls for NEET-PG:** * **Chronology of Development:** Maxillary (1st to develop) → Ethmoid → Sphenoid → Frontal (Last to develop). * **Radiological Significance:** Because the frontal sinus is absent at birth, a diagnosis of frontal sinusitis is never made in infants. * **Drainage:** Remember that the Maxillary, Frontal, and Anterior/Middle Ethmoidal sinuses all drain into the **Middle Meatus**. The Posterior Ethmoid drains into the Superior Meatus, and the Sphenoid drains into the **Sphenoethmoidal recess**. * **Size:** The Maxillary sinus is the largest paranasal sinus.
Explanation: **Explanation:** The core concept tested here is the distinction between the **muscles of facial expression** and the **muscles of the orbit**. **1. Why Levator Palpebrae Superioris (LPS) is the Correct Answer:** While the LPS is located in the facial region (the eyelid), it is embryologically and functionally distinct from the muscles of facial expression. The muscles of facial expression are derived from the **2nd pharyngeal arch** and are supplied by the **Facial Nerve (CN VII)**. In contrast, the LPS is an extraocular muscle responsible for elevating the upper eyelid. It is supplied by the **Oculomotor Nerve (CN III)**. **2. Analysis of Incorrect Options:** * **Levator anguli oris:** A muscle of facial expression that lifts the corner of the mouth; supplied by the buccal branch of CN VII. * **Corrugator supercilii:** Located deep to the eyebrow, it produces vertical wrinkles (frowning); supplied by the temporal branch of CN VII. * **Risorius:** The "smiling muscle" that pulls the angle of the mouth laterally; supplied by the buccal/mandibular branches of CN VII. **3. High-Yield Clinical Pearls for NEET-PG:** * **Dual Nerve Supply of Eyelid Elevation:** The eyelid is raised primarily by the **LPS (CN III)**. However, the **Superior Tarsal muscle (Müller’s muscle)**, which is smooth muscle supplied by **sympathetic fibers**, provides additional "tone." * **Clinical Correlation:** Damage to CN III causes complete ptosis (drooping eyelid), while damage to sympathetic fibers (Horner’s Syndrome) causes partial ptosis. * **The "Face" Exception:** Remember that while CN VII supplies the muscles of expression, the **Trigeminal Nerve (CN V)** provides sensory innervation to the face and motor supply to the muscles of mastication.
Explanation: **Explanation:** The **Pterygopalatine Ganglion (PPG)**, also known as Hayman’s ganglion, is the largest parasympathetic peripheral ganglion. It serves as a major relay station for secretomotor fibers to the **lacrimal gland** and the mucous glands of the nasal cavity, nasopharynx, and palate. **Why Lacrimal Gland is Correct:** The pathway for lacrimation begins in the **lacrimatory nucleus** (Pons). Preganglionic fibers travel via the **nervus intermedius** (CN VII) and the **greater petrosal nerve**, which joins the deep petrosal nerve to form the **nerve of the pterygoid canal (Vidian nerve)**. These fibers synapse in the PPG. Postganglionic fibers then reach the lacrimal gland by hitchhiking along the **maxillary nerve (V2)**, its zygomatic branch, and finally the lacrimal nerve (V1). **Why Other Options are Incorrect:** * **Parotid Gland:** Innervated by the **otic ganglion**. Preganglionic fibers arise from the inferior salivatory nucleus and travel via the glossopharyngeal nerve (CN IX) and the lesser petrosal nerve. * **Submandibular & Sublingual Glands:** Both are innervated by the **submandibular ganglion**. Preganglionic fibers arise from the superior salivatory nucleus and travel via the chorda tympani (CN VII) and the lingual nerve. **High-Yield Clinical Pearls for NEET-PG:** * **Sluder’s Neuralgia:** Irritation of the PPG causing referred pain to the eye, nose, and teeth. * **Vidian Nerve:** Formed by the union of the Greater Petrosal (Parasympathetic) and Deep Petrosal (Sympathetic) nerves. * **Mnemonic:** Remember **"L-P"** (Lacrimal - Pterygopalatine) and **"P-O"** (Parotid - Otic).
Explanation: ***Pterion*** - The clinical presentation suggests an **epidural hematoma** following skull fracture, most commonly caused by rupture of the **middle meningeal artery (MMA)**. - The MMA runs deep to the **pterion**, which is the thinnest part of the skull and most vulnerable to fracture in head trauma, producing the classic **biconvex (lens-shaped)** appearance on CT. *Anterior clinoid process* - This bony projection is related to the **internal carotid artery** and **optic nerve**, not the middle meningeal artery. - Injury here would more likely cause **visual disturbances** or **carotid-cavernous fistula**, not the typical epidural hematoma pattern. *Foramen ovale* - This foramen transmits the **mandibular division of trigeminal nerve (CN V3)** and **accessory meningeal artery**. - Damage here would cause **trigeminal nerve dysfunction** with jaw weakness and sensory loss, not epidural bleeding. *Carotid canal* - This canal transmits the **internal carotid artery** through the temporal bone into the middle cranial fossa. - Injury would result in **massive hemorrhage** or **stroke symptoms**, not the localized epidural hematoma described.
Explanation: ### Explanation The patient presents with a combination of sensory loss (numbness of the chin, lower lip, and teeth) and motor deficit (difficulty chewing). This clinical picture points directly to the **Mandibular nerve (V3)** or its specific branches. **Why the Inferior Alveolar Nerve (IAN) is correct:** The IAN is a major branch of the mandibular nerve that enters the mandibular canal. 1. **Sensory:** It supplies the lower teeth. Its terminal branch, the **mental nerve**, exits the mental foramen to provide sensation to the **lower lip and chin**. 2. **Motor:** Before entering the mandibular canal, the IAN gives off the **nerve to the mylohyoid**, which supplies the mylohyoid and the anterior belly of the digastric. While the primary muscles of mastication are supplied by other V3 branches, a mass in the infratemporal fossa affecting the IAN trunk often involves the nearby motor division, leading to "difficulty chewing." **Analysis of Incorrect Options:** * **A. Buccal nerve:** Provides sensory innervation to the skin and mucous membrane of the cheek. It does not supply the teeth or the chin. * **B. Lingual nerve:** Provides general sensation to the anterior 2/3rd of the tongue and the floor of the mouth. It does not supply the chin or teeth. * **C. Auriculotemporal nerve:** Supplies the TMJ, auricle, and temporal region. It also carries postganglionic parasympathetic fibers to the parotid gland. It is not involved in chin or tooth sensation. **Clinical Pearls for NEET-PG:** * **Mental Nerve Block:** Targeted at the mental foramen (below the 2nd premolar) to anesthetize the lower lip and chin. * **Inferior Alveolar Nerve Block:** The most common nerve block in dentistry; it anesthetizes all lower teeth, the chin, and the lower lip. * **Infratemporal Fossa:** A high-yield anatomical "crossroad" containing the muscles of mastication, the mandibular nerve (V3), the maxillary artery, and the pterygoid venous plexus.
Explanation: The **palatine bone** is an L-shaped cranial bone situated at the back part of the nasal cavity. It serves as a critical structural bridge in the deep face. ### 1. Why Option A is Correct The palatine bone is positioned between the **maxilla** (anteriorly) and the **pterygoid process of the sphenoid bone** (posteriorly). * **Horizontal Plate:** Joins the palatine process of the maxilla to form the posterior part of the hard palate. * **Perpendicular Plate:** Forms the lateral wall of the nasal cavity and articulates posteriorly with the medial pterygoid plate of the sphenoid. This "sandwich" position makes it the primary link between the midface (maxilla) and the skull base (sphenoid). ### 2. Why Other Options are Incorrect * **Option B (Sphenoid and Ethmoid):** While the palatine bone has an orbital process that touches both, it does not act as a primary "link" between them. The ethmoid is located superiorly and anteriorly to the sphenoid; they articulate directly at the spheno-ethmoidal suture. * **Option C (Sphenoid and Vomer):** The vomer articulates directly with the rostrum of the sphenoid bone. While the palatine bone articulates with the vomer medially, it is not the bridge connecting it to the sphenoid. ### 3. NEET-PG High-Yield Pearls * **Pterygopalatine Fossa:** The palatine bone forms the medial wall of this high-yield anatomical space. * **Greater Palatine Foramen:** Located in the palatine bone; it transmits the greater palatine nerve and vessels (important for dental anesthesia). * **Sphenopalatine Foramen:** Formed by the articulation of the palatine bone with the sphenoid; it is the "gateway" for the sphenopalatine artery (the artery of epistaxis). * **Orbital Process:** A small part of the palatine bone actually contributes to the floor of the bony orbit.
Explanation: **Explanation:** The lateral wall of the nasal cavity is characterized by three bony projections called conchae (turbinates), which create underlying passages known as **meatuses**. **1. Why Inferior Meatus is Correct:** The **nasolacrimal duct (NLD)** drains tears from the lacrimal sac into the anterior part of the **inferior meatus**. The opening is guarded by a mucosal fold known as **Hasner’s valve** (lacrimal fold), which prevents air from being blown into the lacrimal apparatus during nose-blowing. **2. Why Other Options are Incorrect:** * **Middle Meatus:** This is the most complex area. It receives drainage from the **frontal sinus** (via infundibulum), **maxillary sinus** (via hiatus semilunaris), and **anterior and middle ethmoidal air cells**. * **Superior Meatus:** This is the smallest meatus and receives the drainage of the **posterior ethmoidal air cells**. * **Supreme Meatus:** This is an occasional passage above the superior concha. The **sphenoethmoidal recess** (located above the superior/supreme concha) receives the drainage of the **sphenoid sinus**. **Clinical Pearls for NEET-PG:** * **Development:** The NLD is the last part of the lacrimal apparatus to canalize. Failure of canalization leads to **congenital dacryocystitis**. * **Epistaxis:** The inferior meatus is a common site for the placement of nasal packs, but the most common site for bleeding is **Kiesselbach's plexus** on the septum. * **Surgical Note:** During Dacryocystorhinostomy (DCR), a new tract is surgically created between the lacrimal sac and the middle meatus to bypass an obstructed NLD.
Explanation: The sensory innervation of the cranial dura mater is primarily supplied by the branches of the **Trigeminal nerve (CN V)**. The dura is divided into regions for its nerve supply: 1. **Anterior Cranial Fossa:** Supplied by the ethmoidal nerves (branches of the Ophthalmic division, V1). 2. **Middle Cranial Fossa:** Supplied by the meningeal branches of the **Maxillary (V2)** and **Mandibular (V3)** nerves. 3. **Posterior Cranial Fossa:** Supplied by the meningeal branches of the **Vagus (CN X)** and **Glossopharyngeal (CN IX)** nerves, along with the upper cervical nerves (C1-C3). Since the injury resulted in sensory loss specifically in the **middle cranial fossa**, the Trigeminal nerve (specifically its V2 and V3 divisions) is the structure involved. **Analysis of Incorrect Options:** * **Vagus nerve (CN X):** Provides sensory supply to the dura of the *posterior* cranial fossa, not the middle. * **Facial nerve (CN VII):** This is primarily a motor nerve for muscles of facial expression; it does not provide significant sensory innervation to the dura mater. * **Hypoglossal nerve (CN XII):** This is a purely motor nerve supplying the muscles of the tongue and has no sensory dural distribution. **High-Yield Clinical Pearls for NEET-PG:** * **The "Brain" doesn't feel pain:** The brain parenchyma itself is insensitive to pain; headache or dural pain is mediated by the stretching or irritation of the dural nerves. * **Nervus Spinosus:** This is the specific meningeal branch of the Mandibular nerve (V3) that enters the middle cranial fossa via the **foramen spinosum** alongside the middle meningeal artery. * **Referred Pain:** Dural irritation in the middle fossa (Trigeminal) often presents as pain referred to the face or temple.
Explanation: ### Explanation The **Facial Nerve (CN VII)** exits the skull through the **stylomastoid foramen**. To answer this question correctly, one must distinguish between the branches given off *within* the facial canal (intracranial/intrapetrosal) and those given off *after* it exits the skull (extracranial). **Why Chorda Tympani is the Correct Answer:** The **Chorda tympani nerve** is a branch of the facial nerve that arises **within the facial canal**, approximately 6 mm above the stylomastoid foramen. It travels through the middle ear cavity and exits the skull via the **itero-posterior canaliculus (Huguier’s canal)**. Since it originates before the nerve reaches the stylomastoid foramen, it is considered an intrapetrosal branch. **Analysis of Incorrect Options:** Immediately after exiting the stylomastoid foramen, the facial nerve gives off three extracranial branches before entering the parotid gland: * **Posterior auricular nerve (Option A):** Supplies the auricularis posterior muscle and the occipital belly of the occipitofrontalis. * **Nerve to the posterior belly of digastric (Option C):** A short branch supplying the posterior belly of the digastric muscle. * **Nerve to stylohyoid (Option D):** Supplies the stylohyoid muscle. **High-Yield NEET-PG Pearls:** * **The "Ten Zebras Bit My Cheek" Mnemonic:** Refers to the five terminal branches *within* the parotid gland: **T**emporal, **Z**ygomatic, **B**uccal, **M**arginal mandibular, and **C**ervical. * **Greater Petrosal Nerve:** The first branch of the facial nerve (at the geniculate ganglion); it carries parasympathetic fibers to the lacrimal gland. * **Nerve to Stapedius:** Arises within the facial canal; its paralysis leads to **hyperacusis** (sensitivity to loud sounds). * **Clinical Correlation:** In **Bell’s Palsy**, if the lesion is at the stylomastoid foramen, only the motor muscles of facial expression are affected, while taste (chorda tympani) and lacrimation (greater petrosal) remain intact.
Skull and Facial Bones
Practice Questions
Scalp and Facial Muscles
Practice Questions
Dural Venous Sinuses
Practice Questions
Cranial Cavity
Practice Questions
Orbit and Contents
Practice Questions
Temporal and Infratemporal Regions
Practice Questions
Pterygopalatine Fossa
Practice Questions
Oral Cavity
Practice Questions
Paranasal Sinuses
Practice Questions
Applied Anatomy and Clinical Correlations
Practice Questions
Get full access to all questions, explanations, and performance tracking.
Start For Free