The structure marked by arrow is:

The area marked in CT scan is?

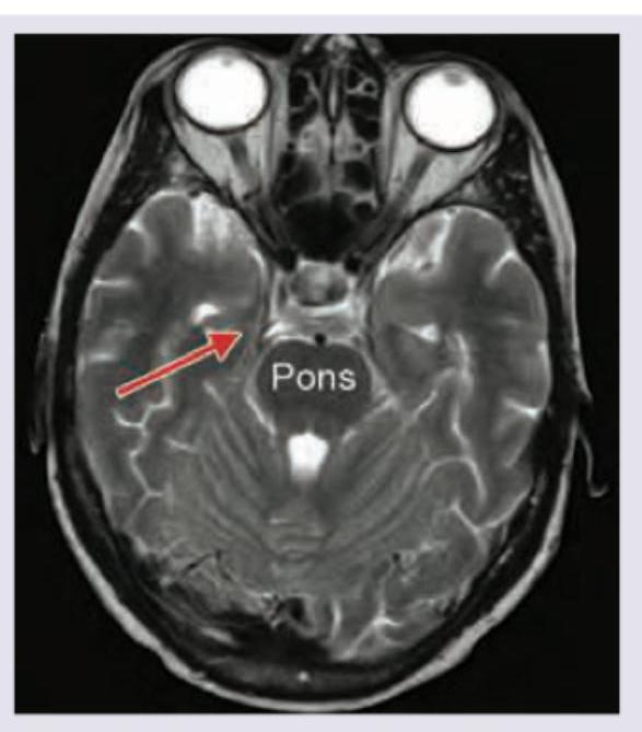
Which is the structure marked here?

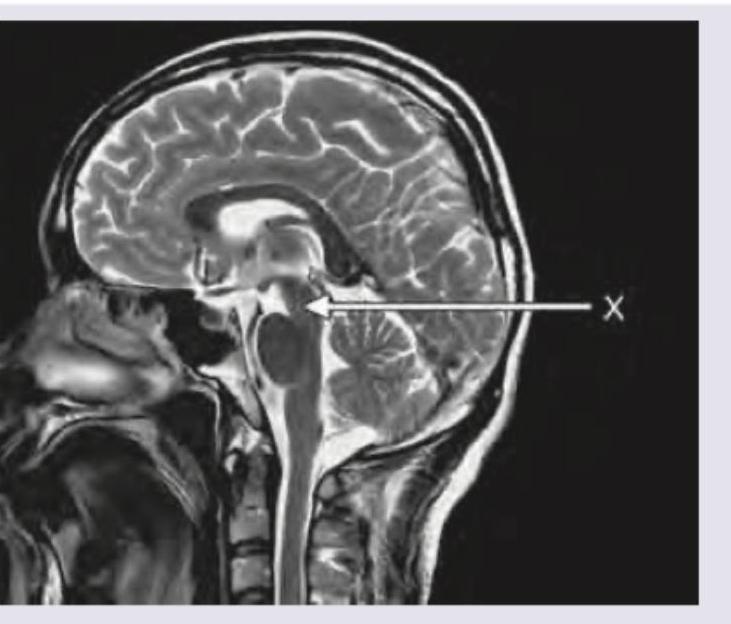
The following structure marked as $X$ is?

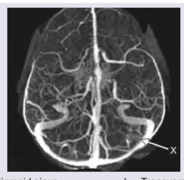
The structure marked as $X$ in the below shown MR venography of the brain is:

Which structure is marked with a red arrow in the image shown below? (AIIMS May 2018)

Which structure passes through the area marked in red? (AIIMS May 2018)

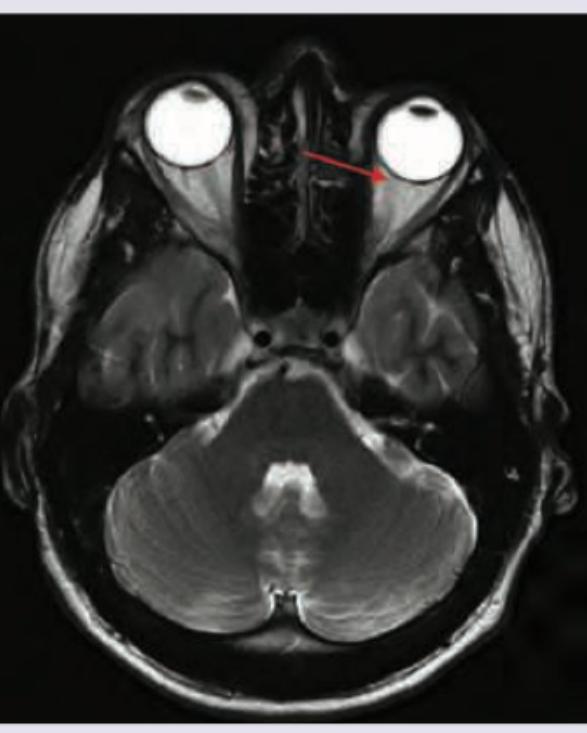
The marked extraocular muscle has a cranial nerve nucleus. At what level in the brain is the nucleus located? (AIIMS May 2018)

Identify the structure shown. (Recent NEET Pattern 2019)

A 25-year-old abattoir worker presents with myoclonus and amnesia for recent and remote events for last 1 year. MRI head was performed. All statements are correct about the organisms leading to this disease except:

Explanation: ***Fourth ventricle*** - The arrow points to a **CSF-filled space** located between the pons/medulla anteriorly and the cerebellum posteriorly, which is characteristic of the fourth ventricle. - On this **axial T2-weighted MRI** image, CSF appears bright, clearly delineating the ventricular space. *Clivus* - The clivus is a **bony structure** forming the anterior boundary of the posterior cranial fossa, situated anterior to the brainstem. - It would appear as a **dark, cortical bone signal** on T2-weighted images and is not pointing to the fluid space as indicated. *Massa intermedia* - The massa intermedia (or interthalamic adhesion) is a band of **gray matter connecting the two thalami**, located within the third ventricle. - This structure is found much more **superiorly** in the brain, not at the level of the brainstem and cerebellum shown. *Pineal gland* - The pineal gland is a **small endocrine gland** located in the epithalamus, near the center of the brain, positioned posterior to the third ventricle. - It is located **superior to the cerebellum** and brainstem in anatomical context, not within the fourth ventricle.
Explanation: ***Pons*** - The arrow (X) points to the **pons**, which is characterized by its **ventral bulge** on the brainstem and its position superior to the medulla oblongata and inferior to the midbrain. - On a sagittal CT scan view, the pons is distinctly visible as a prominent, rounded structure forming the central part of the **brainstem**. *Mammillary body* - The mammillary bodies are small, paired structures located on the **inferior surface of the hypothalamus**, near the midline. - They are much smaller than the structure indicated by the arrow and are situated more anteriorly and inferiorly relative to the midbrain. *Tectum* - The tectum is the **dorsal part of the midbrain**, consisting of the superior and inferior colliculi. - It lies posterior to the cerebral aqueduct, whereas the arrow points to a ventral brainstem structure. *Midbrain* - The midbrain is superior to the pons, and while part of the brainstem, the arrow specifically indicates the **pons**, which is the section immediately inferior to the midbrain and has a more bulbous appearance. - The midbrain would be located just above the structure indicated by the arrow, characterized by structures like the cerebral peduncles ventrally and the tectum dorsally.
Explanation: **Pons** - The image provided is a **sagittal view of an MRI of the brain**, and the arrow labeled 'X' points directly to the pons, a key part of the **brainstem**. - The pons is characterized by its **bulbous shape**, located anterior to the cerebellum and superior to the medulla oblongata, clearly visible in this anatomical plane. *Corpus callosum* - The **corpus callosum** is a large, C-shaped nerve fiber bundle found beneath the cerebral cortex and connects the two cerebral hemispheres. - It is located **superior to the structure indicated** by the arrow in this sagittal view. *Mammillary body* - The **mammillary bodies** are a pair of small, rounded prominences forming part of the posterior hypothalamus. - They are located **anterior and inferior to the region indicated** by the arrow. *Pineal gland* - The **pineal gland** is a small endocrine gland that produces melatonin and is located in the epithalamus, near the center of the brain. - It is situated **posterior and superior to the structure indicated**, typically nestled between the superior colliculi.
Explanation: ***Torcular herophili*** - The image points to the confluence of sinuses, also known as the **torcular herophili**, which is the meeting point of the superior sagittal, straight, occipital, and transverse sinuses. - It is located at the **internal occipital protuberance**, a key anatomical landmark for cerebral venous drainage. *Vein of Galen* - The **great cerebral vein of Galen** is an unpaired deep cerebral vein formed by the union of the two internal cerebral veins and the two basal veins of Rosenthal. - It drains into the **straight sinus** and is located more anterior and inferior to the marked structure. *Basal vein of Rosenthal* - The **basal vein of Rosenthal** is a deep cerebral vein that originates near the anterior perforated substance and drains into the great cerebral vein of Galen. - It is located deep within the brain and is not typically visible in this superficial view of the major dural sinuses. *Straight sinus* - The **straight sinus** (also known as the tentorial sinus) is a dural venous sinus that drains the deep brain structures. - It merges with the superior sagittal sinus at the torcular herophili, but the arrow points specifically to the **confluence** of these sinuses rather than the straight sinus itself, which connects more anteriorly.
Explanation: ***Sigmoid sinus*** - The image shows a **venogram**, highlighting the venous structures of the brain. The structure marked 'X' exhibits the characteristic **S-shaped curve** that defines the sigmoid sinus. - The sigmoid sinus is a continuation of the **transverse sinus** and drains into the **internal jugular vein**. *Transverse sinus* - The transverse sinuses are typically observed as straight, elongated structures running horizontally along the posterior aspect of the brain, a path distinct from the curved structure marked 'X'. - They receive blood from the superior sagittal sinus and often from the inferior sagittal sinus via the straight sinus, converging at the **confluence of sinuses (torcular herophili)**. *Basal vein of Rosenthal* - The basal vein of Rosenthal is a deep cerebral vein, typically running anterior to the brainstem and draining into the **great cerebral vein of Galen**. - Its location and appearance are different from structure 'X', which is a large superficial dural venous sinus. *Torcular herophili* - The torcular herophili, also known as the **confluence of sinuses**, is the junction point of the superior sagittal, straight, and transverse sinuses. - It would appear as a central convergence point at the back of the skull, not a distinct, curved sinus like 'X'.
Explanation: ***Mammillary bodies*** - The image shows an **axial view** of the brain, and the red arrow points to a rounded structure anterior to the pons, consistent with the location of the **mammillary bodies**. - These are part of the **limbic system** and play a crucial role in memory formation through their connections with the hippocampus and thalamus. *Hippocampus* - The hippocampus is located in the **medial temporal lobe**, deeper and more posterior than the structure indicated by the arrow on this axial slice. - It has a characteristic elongated, curved shape, quite distinct from the **paired, rounded structures** shown. *Habenular nuclei* - The **habenular nuclei** are located in the **epithalamus**, superior to the midbrain and posterior to the thalamus, not in the anterior brainstem region indicated. - They are much smaller and are involved in modulating various brain circuits, including those related to pain, stress, and reward. *Amygdala* - The amygdala is an **almond-shaped structure** located deep within the temporal lobe, anterior to the hippocampus. - While close to the region shown, its shape and exact position differ from the **mammillary bodies**, particularly in this axial plane where the mammillary bodies are seen as distinct, round structures near the midline.
Explanation: ***Vertebral artery*** - The image displays a cervical vertebra, and the red-marked area highlights the **foramen transversarium** (or transverse foramen). This foramen is a defining feature of cervical vertebrae. - The **vertebral artery** ascends through these foramina in cervical vertebrae C1-C6, providing blood supply to the brain. *Anterior inferior cerebellar artery* - The **anterior inferior cerebellar artery (AICA)** is a branch of the basilar artery and supplies parts of the cerebellum and brainstem. - It is an **intracranial vessel** and does not pass through the foramina transversaria of the cervical vertebrae. *Transverse ligament* - The **transverse ligament of the atlas** is a crucial ligament that holds the dens of the axis against the anterior arch of the atlas. - It is located **within the vertebral canal**, posterior to the dens, not within the foramen transversarium of the transverse process. *Apical ligament* - The **apical ligament** connects the apex of the dens (odontoid process) of C2 (axis) to the anterior margin of the foramen magnum. - Like the transverse ligament, it is an **intracranial ligament** associated with the craniocervical junction, not a structure passing through the foramen transversarium.
Explanation: ***Facial colliculus*** - The image shows the **lateral rectus muscle** (indicated by the arrow), which controls abduction of the eye. - The lateral rectus muscle is innervated by the **abducens nerve (CN VI)**, and its nucleus is located at the **facial colliculus** in the pons. - The facial colliculus is a bulge on the dorsal surface of the pons, formed by the **facial nerve (CN VII) fibers** wrapping around the **abducens nucleus (CN VI)**. - This is the only extraocular muscle whose nucleus is located at the facial colliculus. *Superior colliculus* - The superior colliculus is located in the **midbrain** and is involved in visual reflexes and saccadic eye movements. - The **oculomotor nucleus (CN III)** is located ventral to the superior colliculus in the periaqueductal gray at the level of the superior colliculus. - CN III innervates the superior rectus, inferior rectus, medial rectus, and inferior oblique muscles, but not the muscle shown in the image. *Superior olivary nucleus* - The superior olivary nucleus is located in the **pons** and is a critical component of the auditory pathway, involved in sound localization. - It has no role in the innervation of extraocular muscles. *Inferior colliculus* - The inferior colliculus is situated in the **midbrain** and is a major relay center in the auditory pathway. - The **trochlear nucleus (CN IV)** is located at the level of the inferior colliculus and innervates the superior oblique muscle. - However, the inferior colliculus itself does not contain nuclei for extraocular muscle innervation.
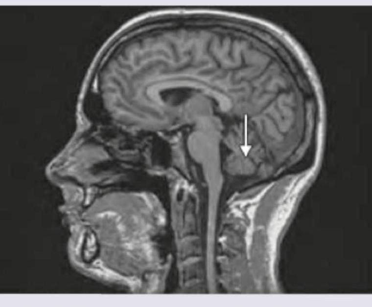
Explanation: ***Cerebellum*** - The arrow in the sagittal MRI view points to the posterior cranial fossa, where the **cerebellum** is located, characterized by its distinctive folia and fissures. - The cerebellum is critical for **motor control**, balance, coordination, and learning motor skills. *Pons* - The **pons** is located anterior to the cerebellum, appearing as a prominent bulge on the brainstem, superior to the medulla. - It primarily acts as a communication bridge between the **cerebrum and cerebellum** and contains nuclei important for sleep, respiration, and bladder control. *Medulla* - The **medulla oblongata** is the lowest part of the brainstem, continuous with the spinal cord, situated inferior to the pons. - It contains vital autonomic centers for **cardiac, respiratory, and vasomotor functions**. *Occipital cortex* - The **occipital cortex** is part of the cerebrum, located at the posterior pole of the brain, superior to the cerebellum, and is responsible for **visual processing**. - It is identifiable by its characteristic gyri and sulci, distinctly different from the highly folded cerebellar folia.
Explanation: ***Sensitive to ethylene dioxide*** - Prions, the causative agents of Creutzfeldt-Jakob Disease (CJD), are **resistant to conventional sterilization methods**, including ethylene oxide, radiation, and disinfectants like formaldehyde. This statement is incorrect. - They are primarily inactivated by methods that denature proteins, such as **autoclaving at high temperatures and pressures** or strong sodium hydroxide solutions. *Absence of nucleic acid* - **Prions are infectious proteinaceous particles** that lack nucleic acid (DNA or RNA), which distinguishes them from viruses, bacteria, and other conventional pathogens. - They propagate by inducing conformational changes in normal host proteins. *CSF examination of patient shows presence of protein 14.3.3* - The presence of **14-3-3 protein** in cerebrospinal fluid (CSF) is a significant and widely used diagnostic marker for **Creutzfeldt-Jakob Disease (CJD)**. - Elevated levels of this protein indicate neuronal damage and are often found in patients with rapidly progressive dementia caused by prions. *MRI shows cortical ribboning* - **Cortical ribboning**, characterized by hyperintense signal changes in the cerebral cortex on diffusion-weighted imaging (DWI) and fluid-attenuated inversion recovery (FLAIR) sequences, is a **highly characteristic finding in MRI scans of patients with CJD**. - This MRI finding, along with involvement of the basal ganglia and thalamus, supports the diagnosis of CJD.
Cerebral Hemispheres
Practice Questions
Diencephalon
Practice Questions
Brainstem
Practice Questions
Cerebellum
Practice Questions
Basal Ganglia
Practice Questions
Limbic System
Practice Questions
Ventricular System and CSF
Practice Questions
Blood Supply of the Brain
Practice Questions
Cranial Nerves and Nuclei
Practice Questions
Functional Systems and Pathways
Practice Questions
Applied Neuroanatomy
Practice Questions
Neuroimaging Correlations
Practice Questions
Get full access to all questions, explanations, and performance tracking.
Start For Free