Which of the following area of visual cortex is related to color vision?

Identify the tract shown as X which is responsible for conduction from SA node to AV node.

The image shows which anatomical classification system?

The image shows histological section of cerebellum. Identify the structures labeled in the image:

Which is correct about the image shown below?

This part of thalamus is linked to medial and lateral geniculate body. Identify the incorrect statement about the area marked as $X$.

The pathway of light reflex is shown. Lesion of which of the following areas results in development of Argyll Robertson pupil?

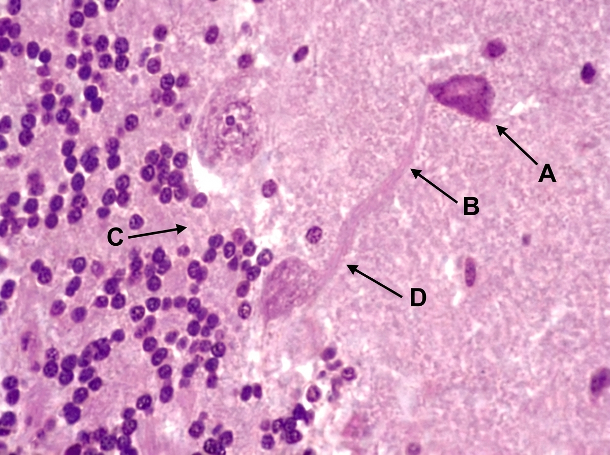
All are true about the area shown except:

Which of the following depicts insula in the cross section of the brain?

Identify the artery labelled with black arrow in the given diagram.

Explanation: ***V8*** - **V8** is a specific area within the human **visual cortex** that has been implicated in **color perception**. - Damage to this area can lead to **cerebral achromatopsia**, a condition where individuals lose the ability to perceive colors. *V1* - **V1**, also known as the **primary visual cortex**, processes basic visual information such as orientation, spatial frequency, and color. - While it processes color information, it is not considered the primary or most specialized area for **color vision** compared to V8. *V2* - **V2** receives input from V1 and is involved in processing more complex visual features, including **form, depth, and color**. - It plays a role in color processing but is less specialized for this function than V8. *V3* - **V3** is primarily involved in processing **dynamic form** and motion, with some contribution to complex visual features. - It is not extensively associated with **color perception** as its main function.
Explanation: **Tract of Thorel** - The image shows three internodal tracts (anterior, middle, posterior) connecting the **SA node** to the **AV node**. Tract X specifically points to the **posterior internodal tract**. - The posterior internodal tract is also known as the **Tract of Thorel**, which conducts impulses responsible for atrial depolarization. *Tract of Sentinel* - This term is not a recognized internodal tract in the cardiac conduction system. - The primary internodal tracts are typically named after Wenckebach, Thorel, and Bachmann. *Tract of Starling* - This term refers to **Starling's law of the heart**, which describes the relationship between end-diastolic volume and stroke volume. - It is not a tract within the cardiac conduction system. *Tract of Moses* - This term is not a recognized anatomical structure or conduction pathway in the context of the heart. - It does not describe any part of the electrical conduction system of the heart.
Explanation: ***Couinaud classification*** - This classification divides the liver into **eight functional segments** (I-VIII) based on their **hepatic venous drainage** and **portal vascular supply**. - The image shows the characteristic segmental anatomy with **hepatic veins** (right, middle, left) and **inferior vena cava (IVC)** clearly depicted, which is the hallmark of Couinaud's system. *Bismuth-Corlette classification* - This system is used for **staging hilar cholangiocarcinoma** (Klatskin tumors) based on tumor extension into bile ducts. - It focuses on **bile duct anatomy** and tumor involvement, not liver segmental anatomy as shown in the image. *Brisbane 2000 classification* - This classification system defines **hepatic resection terminology** and standardizes naming of liver resections. - It describes **resection procedures** rather than anatomical segmentation, making it unsuitable for this anatomical diagram. *Strasberg classification* - This system is used for **grading bile duct injuries** during laparoscopic cholecystectomy. - It classifies **iatrogenic bile duct injuries** into different grades, not liver segmental anatomy.
Explanation: ***Three layers of cerebellar cortex (Correct Answer)*** - The image shows a classic histological section of the **cerebellar cortex** with its three distinct layers: - **Molecular layer** (outer) - contains dendrites of Purkinje cells and parallel fibers - **Purkinje cell layer** (middle) - contains large Purkinje cell bodies (clearly visible) - **Granular layer** (inner) - densely packed small granule cells - This is a standard cortical section showing the superficial architecture of the cerebellum *Deep nuclei of cerebellum (Incorrect)* - The deep cerebellar nuclei (dentate, emboliform, globose, fastigial) are embedded within the **white matter** of the cerebellum - They would NOT be visible in this superficial cortical section - Deep nuclei require sections through the cerebellar white matter to visualize *Layers of cerebral cortex (Incorrect)* - Cerebral cortex has **six layers**, not three - The cellular organization is distinctly different from cerebellar cortex - Purkinje cells are pathognomonic of cerebellum, not cerebrum *Basal ganglia (Incorrect)* - Basal ganglia are subcortical nuclei (caudate, putamen, globus pallidus) - They have a nuclear architecture, not layered cortical structure - Completely different histological appearance
Explanation: ***A = Septum pellucidum, B= Body of fornix*** - The image displays a coronal section of the brain. **A** points to the **septum pellucidum**, which is a thin, triangular membrane that separates the anterior horns of the lateral ventricles and extends from the corpus callosum to the fornix. - **B** points to the **body of the fornix**, a C-shaped bundle of nerve fibers in the brain that acts as the major output tract of the hippocampus. *A = Choroidal fissure, B= Body of fornix* - The **choroidal fissure** is the gap between the fornix and the thalamus, where the choroid plexus is located; it is not indicated by A. - While B is correctly identified as the body of the fornix, A is clearly a septal structure. *A = Internal capsule, B= Body of fornix* - The **internal capsule** is a white matter structure located deep within the brain, medial to the lentiform nucleus and lateral to the caudate nucleus and thalamus; it is not A. - The structure indicated by A is a thin membrane separating the lateral ventricles, not the dense white matter of the internal capsule. *A = Insula, B= Body of fornix* - The **insula** is a portion of the cerebral cortex folded deep within the lateral sulcus, which separates the frontal and parietal lobes from the temporal lobe; it is not indicated by A. - A is a midline structure, whereas the insula is a lateral structure deep in the cerebrum.
Explanation: ***Relay station for sensation of touch, pain, temperature from contralateral body except face*** - This statement describes the function of the **ventral posterior lateral (VPL) nucleus** of the thalamus, not the pulvinar (area X). The VPL nucleus receives somatosensory input from the body. - The sensation of touch, pain, and temperature from the face is relayed by the **ventral posterior medial (VPM) nucleus** of the thalamus. *The area marked X is Pulvinar* - The image shows "X" as the most posterior and largest nuclear mass of the thalamus, which is consistent with the anatomical location of the **pulvinar**. - The pulvinar is a large association nucleus located in the posterior part of the thalamus, superior to the medial and lateral geniculate bodies. *Responsible for integration of visual and auditory inputs* - The pulvinar receives inputs from the **superior (visual)** and **inferior (auditory) colliculi**, as indicated in the diagram. - It plays a crucial role in the **integration of sensory information**, particularly visual and auditory, and is involved in attention and eye movements. *Supplied by posterior communicating and posterior cerebral arteries* - The thalamus, including the pulvinar, receives its primary blood supply from branches of the **posterior cerebral artery** and the **posterior communicating artery**. - Specifically, the posterior choroidal arteries (branches of the posterior cerebral artery) supply parts of the pulvinar.
Explanation: ***Periaqueductal gray matter in the midbrain*** - This region is crucial for the **light reflex pathway**, as it contains interneurons that connect the pretectal nucleus (after optic afferents synapse) to the Edinger-Westphal nuclei. - A lesion here interrupts the pupillary light reflex while sparing the accommodation reflex, leading to the classic **"light-near dissociation"** seen in Argyll Robertson pupils. - Classically associated with **neurosyphilis**, though can also occur in diabetes mellitus. *Optic nerve* - Damage to the optic nerve causes a **loss of consensual and direct light reflexes** in the affected eye, resulting in a **relative afferent pupillary defect (RAPD)**. - While it affects pupillary response to light, it does not produce the light-near dissociation characteristic of Argyll Robertson pupils. *Lateral geniculate body (LGB)* - The LGB is primarily involved in **visual processing**, receiving input from the optic tracts and projecting to the visual cortex. - Lesions here would cause **visual field defects** but would not affect the pupillary light reflex, as the light reflex pathway projects to the pretectal nucleus, bypassing the LGB. *Edinger-Westphal (E-W) nuclei* - These nuclei are the **preganglionic parasympathetic component** of the oculomotor nerve, controlling pupillary constriction. - Bilateral damage to the E-W nuclei would result in **fixed, dilated pupils** (mydriasis) that do not react to light *or* accommodation, unlike the Argyll Robertson pupil which preserves the accommodation reflex.
Explanation: ***Receives impulses from retinal halves of same side*** - The **primary visual cortex (V1)**, also known as **Brodmann area 17**, receives visual impusles from the contralateral visual field. - This means that the left V1 receives input from the right visual field (temporal half of the left retina, nasal half of the right retina), and the right V1 receives input from the left visual field (temporal half of the right retina, nasal half of the left retina). *Area 17 of Brodmann* - The image shows **V1**, which corresponds to **Brodmann Area 17**, the **primary visual cortex**. - This area is responsible for processing basic visual information like edges, colors, and motion. *Located in depth of calcarine sulcus with upper lip in lingual gyrus* - The **primary visual cortex (V1)** is located primarily along the banks of the **calcarine sulcus**. - Its upper lip extends into the **cuneus gyrus** and its lower lip into the **lingual gyrus**. *Supplied by posterior cerebral artery* - The **posterior cerebral artery (PCA)** supplies the **occipital lobe**, including the **primary visual cortex (V1)**. - Infarction in the PCA territory can lead to contralateral **hemianopia** with **macular sparing**.
Explanation: ***C*** - The image illustrates a **coronal section of the brain**. The letter C points to the **insula**, a cortical region buried deep within the lateral sulcus, covered by the opercula of the frontal, parietal, and temporal lobes. - The insula is involved in various functions including **consciousness**, emotion, homeostasis, and perception (e.g., taste, pain). *A* - The letter A indicates the **corpus callosum**, a large bundle of nerve fibers connecting the two cerebral hemispheres. - Its primary function is to integrate motor, sensory, and cognitive performances between the cerebral cortex on one side of the brain to the same region on the other side. *B* - The letter B points to the **third ventricle**, a narrow, C-shaped cavity filled with cerebrospinal fluid (CSF) that lies in the midline of the brain, between the two thalami. - It plays a crucial role in the production and circulation of **CSF**, which cushions the brain and spinal cord. *D* - The letter D is pointing to the **putamen**, which is part of the basal ganglia. - The putamen is involved in **motor control** and learning, particularly in the regulation of voluntary movement.
Explanation: ***Superior cerebellar artery*** - The superior cerebellar artery (SCA) typically originates from the **distal basilar artery**, just before its bifurcation into the posterior cerebral arteries. - In the provided image, the artery indicated by the black arrow is seen branching off the **basilar artery** (labeled H) and curving over the superior aspect of the cerebellum/brainstem, consistent with the SCA. *Posterior communicating artery* - The posterior communicating artery (PCOM) connects the **internal carotid artery** to the **posterior cerebral artery**. - This artery is part of the **Circle of Willis** and is located more anteriorly in relation to the basilar artery and cerebellum, and is not shown by the arrow. *Anterior inferior cerebellar artery* - The anterior inferior cerebellar artery (AICA) originates from the **lower third of the basilar artery** and supplies the anterior and inferior aspects of the cerebellum. - Its position is typically more caudal than the artery indicated by the black arrow, which is seen at a higher level with respect to the brainstem. *Basilar artery* - The basilar artery (labeled H) is a large, midline artery formed by the union of the two **vertebral arteries** and runs along the ventral surface of the pons. - The black arrow points to a vessel branching off the main basilar artery, not the basilar artery itself.
Cerebral Hemispheres
Practice Questions
Diencephalon
Practice Questions
Brainstem
Practice Questions
Cerebellum
Practice Questions
Basal Ganglia
Practice Questions
Limbic System
Practice Questions
Ventricular System and CSF
Practice Questions
Blood Supply of the Brain
Practice Questions
Cranial Nerves and Nuclei
Practice Questions
Functional Systems and Pathways
Practice Questions
Applied Neuroanatomy
Practice Questions
Neuroimaging Correlations
Practice Questions
Get full access to all questions, explanations, and performance tracking.
Start For Free