CT abdomen shows: (Recent NEET Pattern 2016-17)

X-ray skull shows: (Recent NEET Pattern 2016-17)

Identify the condition on the basis of infantogram shown in the image:

The given IVU shows:

Which of the following kidney stones best explains the findings in this X-ray KUB?

The given X-ray of paranasal sinuses shows which view?

The blood vessel marked as $X$ in the CT angiography image is:

Name the structure marked as $X$ in the CT abdomen shown below: (Recent NEET Pattern 2016-17)

NEET-PG 2017 - Radiology NEET-PG Practice Questions and MCQs
Question 21: CT abdomen shows: (Recent NEET Pattern 2016-17)
- A. Diverticulosis (Correct Answer)
- B. Hiatus hernia
- C. Gallstones
- D. Acute pancreatitis
Explanation: ***Diverticulosis*** - The image shows an out-pouching of the colonic wall (indicated by the white arrow), characteristic of a **diverticulum**. - **Diverticulosis** refers to the presence of multiple such diverticula, often seen in the colon on CT scans. *Hiatus hernia* - A hiatus hernia involves the protrusion of the **stomach** through the **esophageal hiatus** of the diaphragm into the chest cavity. - This image does not show any gastric organ extending above the diaphragm. *Gallstones* - Gallstones are calcified deposits found within the **gallbladder**, appearing as bright, high-density structures. - The structure indicated by the arrow is clearly an out-pouching of the bowel wall, not a calcified stone within the gallbladder. *Acute pancreatitis* - Acute pancreatitis is characterized by **inflammation of the pancreas**, often visible as pancreatic enlargement, peripancreatic fat stranding, and fluid collections. - The image does not show any signs suggestive of pancreatic inflammation or changes in the pancreas itself.
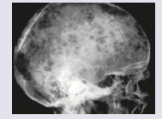
Question 22: X-ray skull shows: (Recent NEET Pattern 2016-17)
- A. Multiple myeloma
- B. Histiocytosis-X
- C. Letterer-Siwe disease
- D. Silver-beaten appearance (Correct Answer)
Explanation: ***Silver-beaten appearance*** - The image shows a skull with multiple **gyral impressions** on the inner table, giving it a **bumpy**, 'silver-beaten' or 'copper-beaten' appearance. - This pattern is classically associated with **chronically increased intracranial pressure**, which causes the brain's convolutions to press against the skull. *Multiple myeloma* - Multiple myeloma typically presents with multiple, sharply demarcated **"punched-out" lytic lesions** in the skull, not diffuse gyral impressions. - These lesions often lack a sclerotic rim and are more discrete than the pattern seen here. *Histiocytosis-X* - Histiocytosis-X (now called Langerhans cell histiocytosis) can cause lytic skull lesions, often described as **"beveled edge"** or geographically distributed lesions. - While it can cause osteolytic bone destruction, it does not typically produce the widespread, uniform gyral impressions of a silver-beaten skull. *Letterer-Siwe disease* - Letterer-Siwe disease is an aggressive, disseminated form of **Langerhans cell histiocytosis** affecting infants. - While it can cause bone lesions, including in the skull, it typically manifests as generalized lytic lesions rather than the "silver-beaten" pattern indicative of chronic elevated intracranial pressure.
Question 23: Identify the condition on the basis of infantogram shown in the image:
- A. Congenital diaphragmatic hernia (Correct Answer)
- B. Cystic adenomatoid malformation
- C. Pneumomediastinum
- D. Congenital lobar emphysema
Explanation: ***Congenital diaphragmatic hernia*** - The infantogram shows loops of **bowel within the thoracic cavity**, displacing the heart and mediastinum. - This classic appearance, with visible **gas-filled loops** in the chest, is characteristic of a congenital diaphragmatic hernia, typically on the left side (Bochdalek hernia). *Cystic adenomatoid malformation* - This condition involves an abnormal growth of lung tissue forming **cysts**; these cysts typically appear as discrete radiolucencies or a solid mass within the lung. - Unlike in the image, it does not typically show distinct **bowel loops in the chest cavity**. *Pneumomediastinum* - This condition is characterized by air in the **mediastinum**, which would appear as lucency outlining the mediastinal structures, such as the heart and great vessels. - It does not involve the presence of **abdominal contents** within the chest cavity. *Congenital lobar emphysema* - This condition presents with **hyperinflation of a single lobe** (usually left upper lobe) causing mass effect and mediastinal shift. - It appears as a hyperlucent, overexpanded lobe, but does not show **bowel gas pattern** or abdominal contents in the thorax.
Question 24: The given IVU shows:
- A. Hydronephrosis
- B. Horseshoe kidney (Correct Answer)
- C. Polycystic kidney
- D. Duplication of collecting system
Explanation: ***Horse shoe kidney*** - The IVU image clearly shows both kidneys are **fused at their lower poles**, forming a 'U' shape across the midline, characteristic of a **horseshoe kidney**. - This fusion often results in the kidneys lying lower in the abdomen and can cause anatomical variations in the **collecting system and vasculature**, as hinted by the lower position and altered calyces. *Hydronephrosis* - **Hydronephrosis** would manifest as **dilatation of the renal pelvis and calyces** due to urine outflow obstruction. - While horseshoe kidneys can be prone to hydronephrosis due to their abnormal anatomy, the primary finding here is the fusion, not significant dilatation. *Polycystic kidney* - **Polycystic kidney disease** would present with multiple **cysts replacing normal kidney parenchyma**, leading to enlarged, typically non-functioning kidneys. - The image does not show multiple fluid-filled sacs or significant renal enlargement typical of polycystic disease. *Duplication of collecting system* - A **duplication of the collecting system** (e.g., duplicate ureters) would show two distinct collecting systems draining from a single kidney. - The image shows a single collecting system for each kidney, albeit abnormally shaped due to the fusion, but not duplicated.
Question 25: Which of the following kidney stones best explains the findings in this X-ray KUB?
- A. Xanthine
- B. Phosphate
- C. Uric acid (Correct Answer)
- D. Cystine
Explanation: ***Uric acid*** - The X-ray KUB image shows **radio-lucent stones** (stones that are not visible) within the kidneys, which is characteristic of **uric acid** stones. - Uric acid stones appear radio-lucent because they **do not contain calcium** and have a low atomic number, making them poorly visible on plain radiographs. *Xanthine* - **Xanthine stones** are also typically **radio-lucent** on X-ray, similar to uric acid stones. - However, they are much **rarer** than uric acid stones, often associated with genetic disorders of purine metabolism or allopurinol use. *Phosphate* - **Phosphate stones**, such as **calcium phosphate** and **magnesium ammonium phosphate (struvite)** stones, are typically **radio-opaque** and appear bright white on X-ray. - Struvite stones often grow large, forming **staghorn calculi**, which is not depicted as a radio-opaque lesion here. *Cystine* - **Cystine stones** are usually **faintly radio-opaque** or **semi-opaque** on X-ray, appearing less dense than calcium stones but more dense than uric acid stones. - They tend to form in acidic urine environments due to a genetic defect in amino acid transport.
Question 26: The given X-ray of paranasal sinuses shows which view?
- A. Caldwell view
- B. Orthopantomogram
- C. Waters' view (Correct Answer)
- D. Luc's View
Explanation: ***Waters' view*** - This view, also known as the **occipitomental view**, is primarily used to visualize the **maxillary sinuses**. - Key features include the **maxillary sinuses** being projected above the petrous ridges, allowing clear visualization of their floors and the inferolateral orbital walls. - The patient's mouth is open in this view, and the **petrous pyramids are projected below the maxillary sinuses**. *Caldwell view* - Also known as the **occipitofrontal view**, it primarily visualizes the **frontal sinuses** and anterior ethmoid air cells. - In a Caldwell view, the **petrous ridges** obscure the lower third of the orbits. *Orthopantomogram* - An **Orthopantomogram (OPG)** is a panoramic dental X-ray that shows all the teeth and surrounding bones in a single image. - It provides a broad view of the **mandible** and **maxilla**, which is not depicted in the image. *Luc's View* - Luc's view is an uncommon projection, sometimes referring to a **lateral view of the maxillary sinus** or a **basal/submentovertex view**. - It is used to visualize the **sphenoid sinus** and **posterior structures**, not the maxillary sinuses as prominently shown in this image.
Question 27: The blood vessel marked as $X$ in the CT angiography image is:
- A. P1 PCA
- B. P2 PCA (Correct Answer)
- C. Internal carotid artery
- D. M1, Middle cerebral artery
Explanation: ***P2 PCA*** - The image displays a CT angiography of the **Circle of Willis**. The vessel marked 'X' is a segment of the **posterior cerebral artery** (PCA). - The PCA is conventionally divided into four segments: P1 (pre-communicating), P2 (peduncular), P3 (quadrigeminal), and P4 (cortical). The 'X' points to the segment of the PCA that is distal to the posterior communicating artery, indicating the **P2 segment**. *P1 PCA* - The **P1 segment** of the PCA is the initial part, located between the basilar artery bifurcation and the posterior communicating artery. - The vessel marked 'X' is clearly **distal to the connection point** where the posterior communicating artery would typically join, thus it is not the P1 segment. *Internal carotid artery* - The **internal carotid arteries** typically ascend higher and give rise to the anterior and middle cerebral arteries, forming the anterior circulation. - The vessel marked 'X' is part of the **posterior circulation**, originating from the basilar artery system, not the internal carotid artery. *M1, Middle cerebral artery* - The **M1 (main trunk) segment of the middle cerebral artery** extends laterally from the internal carotid artery. - The vessel marked 'X' is situated more posteriorly and medially, clearly identifying it as part of the **posterior cerebral artery**, and not the middle cerebral artery.
Question 28: Name the structure marked as $X$ in the CT abdomen shown below: (Recent NEET Pattern 2016-17)
- A. Pancreas
- B. Inferior vena cava (Correct Answer)
- C. Aorta
- D. Left renal vein
Explanation: ***Inferior vena cava*** - The structure marked as X is located to the **right of the aorta** and is typically seen as a large, relatively **thin-walled vessel**. - Its position anterior and to the right of the vertebral body, draining into the heart, is consistent with the **inferior vena cava (IVC)**. *Pancreas* - The pancreas is typically located more anteriorly and superiorly in this cross-section, usually nestled between the duodenum and spleen. - It would appear as a **glandular organ** with a different texture and position on a CT scan. *Aorta* - The aorta is typically the **larger, thick-walled, pulsatile vessel** located to the **left of the vertebral body** and to the left of the structure marked X. - It usually appears circular in cross-section and is often seen with higher attenuation due to arterial contrast. *Left renal vein* - The left renal vein typically arises from the left kidney and crosses the midline to drain into the IVC, passing **anterior to the aorta**. - The structure marked X is the IVC itself, which receives the left renal vein, rather than the left renal vein.